KR20190076069A - 특이적 결합 단백질 및 이의 용도 - Google Patents
특이적 결합 단백질 및 이의 용도 Download PDFInfo
- Publication number
- KR20190076069A KR20190076069A KR1020197018017A KR20197018017A KR20190076069A KR 20190076069 A KR20190076069 A KR 20190076069A KR 1020197018017 A KR1020197018017 A KR 1020197018017A KR 20197018017 A KR20197018017 A KR 20197018017A KR 20190076069 A KR20190076069 A KR 20190076069A
- Authority
- KR
- South Korea
- Prior art keywords
- egfr
- antibody
- amino acid
- acid sequence
- seq
- Prior art date
- Legal status (The legal status is an assumption and is not a legal conclusion. Google has not performed a legal analysis and makes no representation as to the accuracy of the status listed.)
- Withdrawn
Links
- 230000009870 specific binding Effects 0.000 title abstract description 93
- 102000014914 Carrier Proteins Human genes 0.000 title description 10
- 108091008324 binding proteins Proteins 0.000 title description 10
- 206010028980 Neoplasm Diseases 0.000 claims abstract description 437
- 230000027455 binding Effects 0.000 claims abstract description 232
- 201000011510 cancer Diseases 0.000 claims abstract description 72
- 239000012634 fragment Substances 0.000 claims abstract description 67
- 239000002246 antineoplastic agent Substances 0.000 claims abstract description 19
- 210000004027 cell Anatomy 0.000 claims description 459
- 125000003275 alpha amino acid group Chemical group 0.000 claims description 227
- 108090000765 processed proteins & peptides Proteins 0.000 claims description 152
- 108090000623 proteins and genes Proteins 0.000 claims description 124
- 238000000034 method Methods 0.000 claims description 117
- 230000014509 gene expression Effects 0.000 claims description 99
- 102000004169 proteins and genes Human genes 0.000 claims description 93
- 102000004196 processed proteins & peptides Human genes 0.000 claims description 92
- 229920001184 polypeptide Polymers 0.000 claims description 85
- 101150039808 Egfr gene Proteins 0.000 claims description 79
- 108700021358 erbB-1 Genes Proteins 0.000 claims description 73
- 102000052116 epidermal growth factor receptor activity proteins Human genes 0.000 claims description 66
- 230000000694 effects Effects 0.000 claims description 59
- 230000003321 amplification Effects 0.000 claims description 53
- 238000003199 nucleic acid amplification method Methods 0.000 claims description 53
- 150000007523 nucleic acids Chemical class 0.000 claims description 48
- 102000039446 nucleic acids Human genes 0.000 claims description 35
- 108020004707 nucleic acids Proteins 0.000 claims description 35
- 208000005017 glioblastoma Diseases 0.000 claims description 29
- 125000000539 amino acid group Chemical group 0.000 claims description 28
- 239000008194 pharmaceutical composition Substances 0.000 claims description 24
- 241000124008 Mammalia Species 0.000 claims description 21
- GFNNBHLJANVSQV-UHFFFAOYSA-N tyrphostin AG 1478 Chemical group C=12C=C(OC)C(OC)=CC2=NC=NC=1NC1=CC=CC(Cl)=C1 GFNNBHLJANVSQV-UHFFFAOYSA-N 0.000 claims description 20
- 230000013595 glycosylation Effects 0.000 claims description 19
- 238000006206 glycosylation reaction Methods 0.000 claims description 19
- 239000003153 chemical reaction reagent Substances 0.000 claims description 18
- 239000003814 drug Substances 0.000 claims description 18
- WQZGKKKJIJFFOK-QTVWNMPRSA-N D-mannopyranose Chemical compound OC[C@H]1OC(O)[C@@H](O)[C@@H](O)[C@@H]1O WQZGKKKJIJFFOK-QTVWNMPRSA-N 0.000 claims description 14
- 102000053602 DNA Human genes 0.000 claims description 14
- 238000001514 detection method Methods 0.000 claims description 14
- 239000003112 inhibitor Substances 0.000 claims description 14
- 230000010261 cell growth Effects 0.000 claims description 13
- 229940079593 drug Drugs 0.000 claims description 13
- FWMNVWWHGCHHJJ-SKKKGAJSSA-N 4-amino-1-[(2r)-6-amino-2-[[(2r)-2-[[(2r)-2-[[(2r)-2-amino-3-phenylpropanoyl]amino]-3-phenylpropanoyl]amino]-4-methylpentanoyl]amino]hexanoyl]piperidine-4-carboxylic acid Chemical compound C([C@H](C(=O)N[C@H](CC(C)C)C(=O)N[C@H](CCCCN)C(=O)N1CCC(N)(CC1)C(O)=O)NC(=O)[C@H](N)CC=1C=CC=CC=1)C1=CC=CC=C1 FWMNVWWHGCHHJJ-SKKKGAJSSA-N 0.000 claims description 12
- 108020004511 Recombinant DNA Proteins 0.000 claims description 12
- 240000004808 Saccharomyces cerevisiae Species 0.000 claims description 12
- 229940127089 cytotoxic agent Drugs 0.000 claims description 9
- 239000000523 sample Substances 0.000 claims description 9
- 229940121358 tyrosine kinase inhibitor Drugs 0.000 claims description 9
- 239000005483 tyrosine kinase inhibitor Substances 0.000 claims description 9
- 239000003550 marker Substances 0.000 claims description 8
- 238000006467 substitution reaction Methods 0.000 claims description 8
- 241000588724 Escherichia coli Species 0.000 claims description 7
- 206010003571 Astrocytoma Diseases 0.000 claims description 6
- 241000238631 Hexapoda Species 0.000 claims description 6
- 239000003085 diluting agent Substances 0.000 claims description 6
- 230000002285 radioactive effect Effects 0.000 claims description 6
- 229910052727 yttrium Inorganic materials 0.000 claims description 6
- NHFDRBXTEDBWCZ-ZROIWOOFSA-N 3-[2,4-dimethyl-5-[(z)-(2-oxo-1h-indol-3-ylidene)methyl]-1h-pyrrol-3-yl]propanoic acid Chemical compound OC(=O)CCC1=C(C)NC(\C=C/2C3=CC=CC=C3NC\2=O)=C1C NHFDRBXTEDBWCZ-ZROIWOOFSA-N 0.000 claims description 5
- 241000193830 Bacillus <bacterium> Species 0.000 claims description 5
- 241000589516 Pseudomonas Species 0.000 claims description 5
- 241000187747 Streptomyces Species 0.000 claims description 5
- 230000032823 cell division Effects 0.000 claims description 5
- AAKJLRGGTJKAMG-UHFFFAOYSA-N erlotinib Chemical compound C=12C=C(OCCOC)C(OCCOC)=CC2=NC=NC=1NC1=CC=CC(C#C)=C1 AAKJLRGGTJKAMG-UHFFFAOYSA-N 0.000 claims description 5
- 229960001433 erlotinib Drugs 0.000 claims description 5
- XGALLCVXEZPNRQ-UHFFFAOYSA-N gefitinib Chemical compound C=12C=C(OCCCN3CCOCC3)C(OC)=CC2=NC=NC=1NC1=CC=C(F)C(Cl)=C1 XGALLCVXEZPNRQ-UHFFFAOYSA-N 0.000 claims description 5
- 229960002584 gefitinib Drugs 0.000 claims description 5
- 229960002411 imatinib Drugs 0.000 claims description 5
- 230000001613 neoplastic effect Effects 0.000 claims description 5
- 230000001323 posttranslational effect Effects 0.000 claims description 5
- 210000005260 human cell Anatomy 0.000 claims description 4
- 239000002955 immunomodulating agent Substances 0.000 claims description 4
- 229910052757 nitrogen Inorganic materials 0.000 claims description 4
- 230000019491 signal transduction Effects 0.000 claims description 4
- 150000004917 tyrosine kinase inhibitor derivatives Chemical class 0.000 claims description 4
- 208000022211 Arteriovenous Malformations Diseases 0.000 claims description 3
- 101100348617 Candida albicans (strain SC5314 / ATCC MYA-2876) NIK1 gene Proteins 0.000 claims description 3
- 101100007329 Saccharomyces cerevisiae (strain ATCC 204508 / S288c) COS1 gene Proteins 0.000 claims description 3
- 101100221606 Saccharomyces cerevisiae (strain ATCC 204508 / S288c) COS7 gene Proteins 0.000 claims description 3
- 239000003080 antimitotic agent Substances 0.000 claims description 3
- 230000005744 arteriovenous malformation Effects 0.000 claims description 3
- 239000012472 biological sample Substances 0.000 claims description 3
- 150000001875 compounds Chemical class 0.000 claims description 3
- 206010027191 meningioma Diseases 0.000 claims description 3
- 229910052717 sulfur Inorganic materials 0.000 claims description 2
- 229910052720 vanadium Inorganic materials 0.000 claims description 2
- 108700015053 epidermal growth factor receptor activity proteins Proteins 0.000 claims 59
- YOHYSYJDKVYCJI-UHFFFAOYSA-N n-[3-[[6-[3-(trifluoromethyl)anilino]pyrimidin-4-yl]amino]phenyl]cyclopropanecarboxamide Chemical compound FC(F)(F)C1=CC=CC(NC=2N=CN=C(NC=3C=C(NC(=O)C4CC4)C=CC=3)C=2)=C1 YOHYSYJDKVYCJI-UHFFFAOYSA-N 0.000 claims 48
- 238000009007 Diagnostic Kit Methods 0.000 claims 3
- KTUFNOKKBVMGRW-UHFFFAOYSA-N imatinib Chemical compound C1CN(C)CCN1CC1=CC=C(C(=O)NC=2C=C(NC=3N=C(C=CN=3)C=3C=NC=CC=3)C(C)=CC=2)C=C1 KTUFNOKKBVMGRW-UHFFFAOYSA-N 0.000 claims 2
- 230000009826 neoplastic cell growth Effects 0.000 claims 2
- 208000005718 Stomach Neoplasms Diseases 0.000 claims 1
- 206010017758 gastric cancer Diseases 0.000 claims 1
- 201000011549 stomach cancer Diseases 0.000 claims 1
- 238000011282 treatment Methods 0.000 abstract description 88
- 102000009465 Growth Factor Receptors Human genes 0.000 abstract description 10
- 108010009202 Growth Factor Receptors Proteins 0.000 abstract description 10
- 238000002560 therapeutic procedure Methods 0.000 abstract description 7
- 238000002512 chemotherapy Methods 0.000 abstract description 5
- 238000003745 diagnosis Methods 0.000 abstract description 4
- 230000009466 transformation Effects 0.000 abstract description 3
- 239000012829 chemotherapy agent Substances 0.000 abstract description 2
- 230000002547 anomalous effect Effects 0.000 abstract 1
- 238000001784 detoxification Methods 0.000 abstract 1
- 230000008472 epithelial growth Effects 0.000 abstract 1
- 108060006698 EGF receptor Proteins 0.000 description 433
- 102000001301 EGF receptor Human genes 0.000 description 425
- 235000018102 proteins Nutrition 0.000 description 86
- 239000007924 injection Substances 0.000 description 63
- 238000002347 injection Methods 0.000 description 63
- 108020003175 receptors Proteins 0.000 description 63
- 102000005962 receptors Human genes 0.000 description 62
- 108091028043 Nucleic acid sequence Proteins 0.000 description 48
- 241000699670 Mus sp. Species 0.000 description 47
- 210000001519 tissue Anatomy 0.000 description 45
- 230000009257 reactivity Effects 0.000 description 43
- 239000000427 antigen Substances 0.000 description 41
- 108091007433 antigens Proteins 0.000 description 41
- 102000036639 antigens Human genes 0.000 description 41
- 230000004048 modification Effects 0.000 description 41
- 238000012986 modification Methods 0.000 description 41
- 230000012010 growth Effects 0.000 description 38
- 108020004414 DNA Proteins 0.000 description 36
- 241001465754 Metazoa Species 0.000 description 36
- 108010047041 Complementarity Determining Regions Proteins 0.000 description 35
- 206010018338 Glioma Diseases 0.000 description 35
- 238000010186 staining Methods 0.000 description 35
- 235000001014 amino acid Nutrition 0.000 description 34
- 238000004458 analytical method Methods 0.000 description 34
- 229940024606 amino acid Drugs 0.000 description 33
- 150000001413 amino acids Chemical class 0.000 description 32
- LOKCTEFSRHRXRJ-UHFFFAOYSA-I dipotassium trisodium dihydrogen phosphate hydrogen phosphate dichloride Chemical compound P(=O)(O)(O)[O-].[K+].P(=O)(O)([O-])[O-].[Na+].[Na+].[Cl-].[K+].[Cl-].[Na+] LOKCTEFSRHRXRJ-UHFFFAOYSA-I 0.000 description 31
- 239000002953 phosphate buffered saline Substances 0.000 description 31
- 230000002159 abnormal effect Effects 0.000 description 30
- 230000035772 mutation Effects 0.000 description 30
- 208000032612 Glial tumor Diseases 0.000 description 27
- 239000000126 substance Substances 0.000 description 26
- 230000001965 increasing effect Effects 0.000 description 25
- 230000000069 prophylactic effect Effects 0.000 description 24
- 239000008280 blood Substances 0.000 description 23
- 238000001727 in vivo Methods 0.000 description 23
- 239000000203 mixture Substances 0.000 description 23
- 230000001225 therapeutic effect Effects 0.000 description 23
- 238000011580 nude mouse model Methods 0.000 description 22
- 239000013612 plasmid Substances 0.000 description 22
- 239000003981 vehicle Substances 0.000 description 22
- 230000000875 corresponding effect Effects 0.000 description 21
- 210000004408 hybridoma Anatomy 0.000 description 21
- 210000004185 liver Anatomy 0.000 description 21
- 239000013598 vector Substances 0.000 description 21
- 238000003556 assay Methods 0.000 description 20
- 210000004369 blood Anatomy 0.000 description 20
- 238000002965 ELISA Methods 0.000 description 19
- 241000699660 Mus musculus Species 0.000 description 19
- 239000003446 ligand Substances 0.000 description 19
- 230000004481 post-translational protein modification Effects 0.000 description 19
- 230000004083 survival effect Effects 0.000 description 19
- 230000008685 targeting Effects 0.000 description 19
- 108091026890 Coding region Proteins 0.000 description 18
- 241000699666 Mus <mouse, genus> Species 0.000 description 18
- 239000003795 chemical substances by application Substances 0.000 description 18
- 229920001542 oligosaccharide Polymers 0.000 description 18
- 150000002482 oligosaccharides Chemical class 0.000 description 18
- 238000012217 deletion Methods 0.000 description 16
- 230000037430 deletion Effects 0.000 description 16
- 229940116977 epidermal growth factor Drugs 0.000 description 16
- 238000011081 inoculation Methods 0.000 description 16
- 239000002773 nucleotide Substances 0.000 description 16
- 125000003729 nucleotide group Chemical group 0.000 description 16
- 238000004519 manufacturing process Methods 0.000 description 15
- 239000000047 product Substances 0.000 description 15
- 230000014616 translation Effects 0.000 description 15
- 238000013519 translation Methods 0.000 description 15
- 210000004881 tumor cell Anatomy 0.000 description 15
- 108020004705 Codon Proteins 0.000 description 14
- 230000000259 anti-tumor effect Effects 0.000 description 14
- 230000000295 complement effect Effects 0.000 description 14
- 238000002474 experimental method Methods 0.000 description 14
- 230000003463 hyperproliferative effect Effects 0.000 description 14
- 108020004999 messenger RNA Proteins 0.000 description 14
- 239000013615 primer Substances 0.000 description 14
- 239000000243 solution Substances 0.000 description 14
- 108010076504 Protein Sorting Signals Proteins 0.000 description 13
- 238000010521 absorption reaction Methods 0.000 description 13
- 230000002829 reductive effect Effects 0.000 description 13
- 238000005406 washing Methods 0.000 description 13
- 108060003951 Immunoglobulin Proteins 0.000 description 12
- 238000005516 engineering process Methods 0.000 description 12
- 102000018358 immunoglobulin Human genes 0.000 description 12
- 238000007917 intracranial administration Methods 0.000 description 12
- 230000008774 maternal effect Effects 0.000 description 12
- VBEQCZHXXJYVRD-GACYYNSASA-N uroanthelone Chemical compound C([C@@H](C(=O)N[C@H](C(=O)N[C@@H](CS)C(=O)N[C@@H](CC(N)=O)C(=O)N[C@@H](CS)C(=O)N[C@H](C(=O)N[C@@H]([C@@H](C)CC)C(=O)NCC(=O)N[C@@H](CC=1C=CC(O)=CC=1)C(=O)N[C@@H](CO)C(=O)NCC(=O)N[C@@H](CC(O)=O)C(=O)N[C@@H](CCCNC(N)=N)C(=O)N[C@@H](CS)C(=O)N[C@@H](CCC(N)=O)C(=O)N[C@@H]([C@@H](C)O)C(=O)N[C@@H](CCCNC(N)=N)C(=O)N[C@@H](CC(O)=O)C(=O)N[C@@H](CC(C)C)C(=O)N[C@@H](CCCNC(N)=N)C(=O)N[C@@H](CC=1C2=CC=CC=C2NC=1)C(=O)N[C@@H](CC=1C2=CC=CC=C2NC=1)C(=O)N[C@@H](CCC(O)=O)C(=O)N[C@@H](CC(C)C)C(=O)N[C@@H](CCCNC(N)=N)C(O)=O)C(C)C)[C@@H](C)O)NC(=O)[C@H](CO)NC(=O)[C@H](CC(O)=O)NC(=O)[C@H](CC(C)C)NC(=O)[C@H](CO)NC(=O)[C@H](CCC(O)=O)NC(=O)[C@@H](NC(=O)[C@H](CC=1NC=NC=1)NC(=O)[C@H](CCSC)NC(=O)[C@H](CS)NC(=O)[C@@H](NC(=O)CNC(=O)CNC(=O)[C@H](CC(N)=O)NC(=O)[C@H](CC(C)C)NC(=O)[C@H](CS)NC(=O)[C@H](CC=1C=CC(O)=CC=1)NC(=O)CNC(=O)[C@H](CC(O)=O)NC(=O)[C@H](CC=1C=CC(O)=CC=1)NC(=O)[C@H](CO)NC(=O)[C@H](CO)NC(=O)[C@H]1N(CCC1)C(=O)[C@H](CS)NC(=O)CNC(=O)[C@H]1N(CCC1)C(=O)[C@H](CC=1C=CC(O)=CC=1)NC(=O)[C@H](CO)NC(=O)[C@@H](N)CC(N)=O)C(C)C)[C@@H](C)CC)C1=CC=C(O)C=C1 VBEQCZHXXJYVRD-GACYYNSASA-N 0.000 description 12
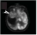
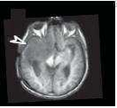
- 208000003174 Brain Neoplasms Diseases 0.000 description 11
- 239000004480 active ingredient Substances 0.000 description 11
- 239000002609 medium Substances 0.000 description 11
- 238000002360 preparation method Methods 0.000 description 11
- 208000026310 Breast neoplasm Diseases 0.000 description 10
- 102000053642 Catalytic RNA Human genes 0.000 description 10
- 108090000994 Catalytic RNA Proteins 0.000 description 10
- 230000004544 DNA amplification Effects 0.000 description 10
- DHMQDGOQFOQNFH-UHFFFAOYSA-N Glycine Chemical compound NCC(O)=O DHMQDGOQFOQNFH-UHFFFAOYSA-N 0.000 description 10
- 102000003886 Glycoproteins Human genes 0.000 description 10
- 108090000288 Glycoproteins Proteins 0.000 description 10
- 206010028851 Necrosis Diseases 0.000 description 10
- 210000004556 brain Anatomy 0.000 description 10
- 210000004899 c-terminal region Anatomy 0.000 description 10
- 238000003364 immunohistochemistry Methods 0.000 description 10
- 238000001114 immunoprecipitation Methods 0.000 description 10
- 238000000338 in vitro Methods 0.000 description 10
- 230000004807 localization Effects 0.000 description 10
- 230000001404 mediated effect Effects 0.000 description 10
- 230000017074 necrotic cell death Effects 0.000 description 10
- 108091092562 ribozyme Proteins 0.000 description 10
- 210000002966 serum Anatomy 0.000 description 10
- 238000012360 testing method Methods 0.000 description 10
- 102000004190 Enzymes Human genes 0.000 description 9
- 108090000790 Enzymes Proteins 0.000 description 9
- PEDCQBHIVMGVHV-UHFFFAOYSA-N Glycerine Chemical compound OCC(O)CO PEDCQBHIVMGVHV-UHFFFAOYSA-N 0.000 description 9
- FAPWRFPIFSIZLT-UHFFFAOYSA-M Sodium chloride Chemical compound [Na+].[Cl-] FAPWRFPIFSIZLT-UHFFFAOYSA-M 0.000 description 9
- 230000001594 aberrant effect Effects 0.000 description 9
- 230000006907 apoptotic process Effects 0.000 description 9
- 231100000673 dose–response relationship Toxicity 0.000 description 9
- 229940088598 enzyme Drugs 0.000 description 9
- 230000009036 growth inhibition Effects 0.000 description 9
- 239000007788 liquid Substances 0.000 description 9
- 239000006166 lysate Substances 0.000 description 9
- 238000005259 measurement Methods 0.000 description 9
- 210000003739 neck Anatomy 0.000 description 9
- 230000002018 overexpression Effects 0.000 description 9
- 238000006366 phosphorylation reaction Methods 0.000 description 9
- 238000011363 radioimmunotherapy Methods 0.000 description 9
- 238000011160 research Methods 0.000 description 9
- AOJJSUZBOXZQNB-TZSSRYMLSA-N Doxorubicin Chemical compound O([C@H]1C[C@@](O)(CC=2C(O)=C3C(=O)C=4C=CC=C(C=4C(=O)C3=C(O)C=21)OC)C(=O)CO)[C@H]1C[C@H](N)[C@H](O)[C@H](C)O1 AOJJSUZBOXZQNB-TZSSRYMLSA-N 0.000 description 8
- 239000006144 Dulbecco’s modified Eagle's medium Substances 0.000 description 8
- 102400001368 Epidermal growth factor Human genes 0.000 description 8
- 101800003838 Epidermal growth factor Proteins 0.000 description 8
- LYCAIKOWRPUZTN-UHFFFAOYSA-N Ethylene glycol Chemical compound OCCO LYCAIKOWRPUZTN-UHFFFAOYSA-N 0.000 description 8
- 108091006905 Human Serum Albumin Proteins 0.000 description 8
- 102000008100 Human Serum Albumin Human genes 0.000 description 8
- 235000014633 carbohydrates Nutrition 0.000 description 8
- 230000007423 decrease Effects 0.000 description 8
- 210000002472 endoplasmic reticulum Anatomy 0.000 description 8
- 230000006870 function Effects 0.000 description 8
- 230000002163 immunogen Effects 0.000 description 8
- 230000005764 inhibitory process Effects 0.000 description 8
- 239000012528 membrane Substances 0.000 description 8
- 231100000590 oncogenic Toxicity 0.000 description 8
- 230000002246 oncogenic effect Effects 0.000 description 8
- 230000026731 phosphorylation Effects 0.000 description 8
- 238000013391 scatchard analysis Methods 0.000 description 8
- 241000894007 species Species 0.000 description 8
- 238000013518 transcription Methods 0.000 description 8
- 230000035897 transcription Effects 0.000 description 8
- 230000000381 tumorigenic effect Effects 0.000 description 8
- 238000001262 western blot Methods 0.000 description 8
- 108091032973 (ribonucleotides)n+m Proteins 0.000 description 7
- CSCPPACGZOOCGX-UHFFFAOYSA-N Acetone Chemical class CC(C)=O CSCPPACGZOOCGX-UHFFFAOYSA-N 0.000 description 7
- 238000009175 antibody therapy Methods 0.000 description 7
- 230000001580 bacterial effect Effects 0.000 description 7
- 102000055104 bcl-X Human genes 0.000 description 7
- 108700000711 bcl-X Proteins 0.000 description 7
- 230000015572 biosynthetic process Effects 0.000 description 7
- 239000000872 buffer Substances 0.000 description 7
- 150000001720 carbohydrates Chemical class 0.000 description 7
- 210000003527 eukaryotic cell Anatomy 0.000 description 7
- 238000000684 flow cytometry Methods 0.000 description 7
- 239000010931 gold Substances 0.000 description 7
- 238000009396 hybridization Methods 0.000 description 7
- 238000003384 imaging method Methods 0.000 description 7
- 238000003119 immunoblot Methods 0.000 description 7
- 238000002372 labelling Methods 0.000 description 7
- 230000000670 limiting effect Effects 0.000 description 7
- 210000000056 organ Anatomy 0.000 description 7
- 230000035755 proliferation Effects 0.000 description 7
- 238000002741 site-directed mutagenesis Methods 0.000 description 7
- 238000002415 sodium dodecyl sulfate polyacrylamide gel electrophoresis Methods 0.000 description 7
- 239000007787 solid Substances 0.000 description 7
- 206010041823 squamous cell carcinoma Diseases 0.000 description 7
- 239000003053 toxin Substances 0.000 description 7
- 238000002054 transplantation Methods 0.000 description 7
- PZINFSHCXYXHOY-UHFFFAOYSA-N (2,5-dioxopyrrolidin-1-yl) 5-iodopyridine-3-carboxylate Chemical compound IC1=CN=CC(C(=O)ON2C(CCC2=O)=O)=C1 PZINFSHCXYXHOY-UHFFFAOYSA-N 0.000 description 6
- MTCFGRXMJLQNBG-REOHCLBHSA-N (2S)-2-Amino-3-hydroxypropansäure Chemical compound OC[C@H](N)C(O)=O MTCFGRXMJLQNBG-REOHCLBHSA-N 0.000 description 6
- QTBSBXVTEAMEQO-UHFFFAOYSA-N Acetic acid Chemical compound CC(O)=O QTBSBXVTEAMEQO-UHFFFAOYSA-N 0.000 description 6
- 238000011729 BALB/c nude mouse Methods 0.000 description 6
- 206010006187 Breast cancer Diseases 0.000 description 6
- 241000283707 Capra Species 0.000 description 6
- WQZGKKKJIJFFOK-GASJEMHNSA-N Glucose Natural products OC[C@H]1OC(O)[C@H](O)[C@@H](O)[C@@H]1O WQZGKKKJIJFFOK-GASJEMHNSA-N 0.000 description 6
- WZUVPPKBWHMQCE-UHFFFAOYSA-N Haematoxylin Chemical compound C12=CC(O)=C(O)C=C2CC2(O)C1C1=CC=C(O)C(O)=C1OC2 WZUVPPKBWHMQCE-UHFFFAOYSA-N 0.000 description 6
- 241001529936 Murinae Species 0.000 description 6
- DNIAPMSPPWPWGF-UHFFFAOYSA-N Propylene glycol Chemical compound CC(O)CO DNIAPMSPPWPWGF-UHFFFAOYSA-N 0.000 description 6
- 108060008682 Tumor Necrosis Factor Proteins 0.000 description 6
- 239000002671 adjuvant Substances 0.000 description 6
- 230000000692 anti-sense effect Effects 0.000 description 6
- 239000013592 cell lysate Substances 0.000 description 6
- 238000006243 chemical reaction Methods 0.000 description 6
- DQLATGHUWYMOKM-UHFFFAOYSA-L cisplatin Chemical compound N[Pt](N)(Cl)Cl DQLATGHUWYMOKM-UHFFFAOYSA-L 0.000 description 6
- 229960004316 cisplatin Drugs 0.000 description 6
- 239000000499 gel Substances 0.000 description 6
- 208000014829 head and neck neoplasm Diseases 0.000 description 6
- 230000003053 immunization Effects 0.000 description 6
- APFVFJFRJDLVQX-AHCXROLUSA-N indium-111 Chemical compound [111In] APFVFJFRJDLVQX-AHCXROLUSA-N 0.000 description 6
- 210000003712 lysosome Anatomy 0.000 description 6
- 230000001868 lysosomic effect Effects 0.000 description 6
- -1 mannose carbohydrates Chemical class 0.000 description 6
- 230000001338 necrotic effect Effects 0.000 description 6
- 239000002245 particle Substances 0.000 description 6
- 238000002823 phage display Methods 0.000 description 6
- 108010005636 polypeptide C Proteins 0.000 description 6
- 210000003491 skin Anatomy 0.000 description 6
- 239000000758 substrate Substances 0.000 description 6
- 230000009885 systemic effect Effects 0.000 description 6
- 229940124597 therapeutic agent Drugs 0.000 description 6
- 231100000765 toxin Toxicity 0.000 description 6
- 108700012359 toxins Proteins 0.000 description 6
- 102000003390 tumor necrosis factor Human genes 0.000 description 6
- 231100000588 tumorigenic Toxicity 0.000 description 6
- XLYOFNOQVPJJNP-UHFFFAOYSA-N water Substances O XLYOFNOQVPJJNP-UHFFFAOYSA-N 0.000 description 6
- 238000012413 Fluorescence activated cell sorting analysis Methods 0.000 description 5
- 239000004471 Glycine Substances 0.000 description 5
- XUJNEKJLAYXESH-REOHCLBHSA-N L-Cysteine Chemical compound SC[C@H](N)C(O)=O XUJNEKJLAYXESH-REOHCLBHSA-N 0.000 description 5
- 206010058467 Lung neoplasm malignant Diseases 0.000 description 5
- 108091034117 Oligonucleotide Proteins 0.000 description 5
- 108091000080 Phosphotransferase Proteins 0.000 description 5
- 206010035226 Plasma cell myeloma Diseases 0.000 description 5
- 206010060862 Prostate cancer Diseases 0.000 description 5
- 208000000236 Prostatic Neoplasms Diseases 0.000 description 5
- 239000008156 Ringer's lactate solution Substances 0.000 description 5
- 241000700605 Viruses Species 0.000 description 5
- 230000001640 apoptogenic effect Effects 0.000 description 5
- WQZGKKKJIJFFOK-VFUOTHLCSA-N beta-D-glucose Chemical compound OC[C@H]1O[C@@H](O)[C@H](O)[C@@H](O)[C@@H]1O WQZGKKKJIJFFOK-VFUOTHLCSA-N 0.000 description 5
- 210000000481 breast Anatomy 0.000 description 5
- 230000008859 change Effects 0.000 description 5
- 238000012512 characterization method Methods 0.000 description 5
- 238000010367 cloning Methods 0.000 description 5
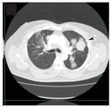
- 238000002591 computed tomography Methods 0.000 description 5
- 238000004925 denaturation Methods 0.000 description 5
- 230000036425 denaturation Effects 0.000 description 5
- 230000029087 digestion Effects 0.000 description 5
- 238000011156 evaluation Methods 0.000 description 5
- 230000004927 fusion Effects 0.000 description 5
- PCHJSUWPFVWCPO-UHFFFAOYSA-N gold Chemical compound [Au] PCHJSUWPFVWCPO-UHFFFAOYSA-N 0.000 description 5
- 229910052737 gold Inorganic materials 0.000 description 5
- 238000002991 immunohistochemical analysis Methods 0.000 description 5
- 239000012133 immunoprecipitate Substances 0.000 description 5
- 230000000977 initiatory effect Effects 0.000 description 5
- 230000002601 intratumoral effect Effects 0.000 description 5
- 230000003902 lesion Effects 0.000 description 5
- 210000004072 lung Anatomy 0.000 description 5
- 210000002540 macrophage Anatomy 0.000 description 5
- 201000000050 myeloid neoplasm Diseases 0.000 description 5
- 239000012188 paraffin wax Substances 0.000 description 5
- 102000020233 phosphotransferase Human genes 0.000 description 5
- 239000013641 positive control Substances 0.000 description 5
- 230000008569 process Effects 0.000 description 5
- 230000001105 regulatory effect Effects 0.000 description 5
- 230000004043 responsiveness Effects 0.000 description 5
- 150000003839 salts Chemical class 0.000 description 5
- 238000002603 single-photon emission computed tomography Methods 0.000 description 5
- 239000011780 sodium chloride Substances 0.000 description 5
- 238000003786 synthesis reaction Methods 0.000 description 5
- 238000001890 transfection Methods 0.000 description 5
- YBJHBAHKTGYVGT-ZKWXMUAHSA-N (+)-Biotin Chemical group N1C(=O)N[C@@H]2[C@H](CCCCC(=O)O)SC[C@@H]21 YBJHBAHKTGYVGT-ZKWXMUAHSA-N 0.000 description 4
- NFGXHKASABOEEW-UHFFFAOYSA-N 1-methylethyl 11-methoxy-3,7,11-trimethyl-2,4-dodecadienoate Chemical compound COC(C)(C)CCCC(C)CC=CC(C)=CC(=O)OC(C)C NFGXHKASABOEEW-UHFFFAOYSA-N 0.000 description 4
- 108010032595 Antibody Binding Sites Proteins 0.000 description 4
- IJGRMHOSHXDMSA-UHFFFAOYSA-N Atomic nitrogen Chemical compound N#N IJGRMHOSHXDMSA-UHFFFAOYSA-N 0.000 description 4
- 238000011537 Coomassie blue staining Methods 0.000 description 4
- KCXVZYZYPLLWCC-UHFFFAOYSA-N EDTA Chemical compound OC(=O)CN(CC(O)=O)CCN(CC(O)=O)CC(O)=O KCXVZYZYPLLWCC-UHFFFAOYSA-N 0.000 description 4
- WSFSSNUMVMOOMR-UHFFFAOYSA-N Formaldehyde Chemical compound O=C WSFSSNUMVMOOMR-UHFFFAOYSA-N 0.000 description 4
- 108010010803 Gelatin Proteins 0.000 description 4
- 108010001336 Horseradish Peroxidase Proteins 0.000 description 4
- MHAJPDPJQMAIIY-UHFFFAOYSA-N Hydrogen peroxide Chemical compound OO MHAJPDPJQMAIIY-UHFFFAOYSA-N 0.000 description 4
- CKLJMWTZIZZHCS-REOHCLBHSA-N L-aspartic acid Chemical compound OC(=O)[C@@H](N)CC(O)=O CKLJMWTZIZZHCS-REOHCLBHSA-N 0.000 description 4
- KDXKERNSBIXSRK-YFKPBYRVSA-N L-lysine Chemical compound NCCCC[C@H](N)C(O)=O KDXKERNSBIXSRK-YFKPBYRVSA-N 0.000 description 4
- OUYCCCASQSFEME-QMMMGPOBSA-N L-tyrosine Chemical compound OC(=O)[C@@H](N)CC1=CC=C(O)C=C1 OUYCCCASQSFEME-QMMMGPOBSA-N 0.000 description 4
- KDXKERNSBIXSRK-UHFFFAOYSA-N Lysine Natural products NCCCCC(N)C(O)=O KDXKERNSBIXSRK-UHFFFAOYSA-N 0.000 description 4
- 239000004472 Lysine Substances 0.000 description 4
- OVRNDRQMDRJTHS-UHFFFAOYSA-N N-acelyl-D-glucosamine Natural products CC(=O)NC1C(O)OC(CO)C(O)C1O OVRNDRQMDRJTHS-UHFFFAOYSA-N 0.000 description 4
- OVRNDRQMDRJTHS-FMDGEEDCSA-N N-acetyl-beta-D-glucosamine Chemical compound CC(=O)N[C@H]1[C@H](O)O[C@H](CO)[C@@H](O)[C@@H]1O OVRNDRQMDRJTHS-FMDGEEDCSA-N 0.000 description 4
- MBLBDJOUHNCFQT-LXGUWJNJSA-N N-acetylglucosamine Natural products CC(=O)N[C@@H](C=O)[C@@H](O)[C@H](O)[C@H](O)CO MBLBDJOUHNCFQT-LXGUWJNJSA-N 0.000 description 4
- 241000283973 Oryctolagus cuniculus Species 0.000 description 4
- 241000700159 Rattus Species 0.000 description 4
- 102000007562 Serum Albumin Human genes 0.000 description 4
- 108010071390 Serum Albumin Proteins 0.000 description 4
- 108010090804 Streptavidin Proteins 0.000 description 4
- 238000000692 Student's t-test Methods 0.000 description 4
- 239000007983 Tris buffer Substances 0.000 description 4
- 230000004075 alteration Effects 0.000 description 4
- 230000033115 angiogenesis Effects 0.000 description 4
- 238000013459 approach Methods 0.000 description 4
- 230000035578 autophosphorylation Effects 0.000 description 4
- OHDRQQURAXLVGJ-HLVWOLMTSA-N azane;(2e)-3-ethyl-2-[(e)-(3-ethyl-6-sulfo-1,3-benzothiazol-2-ylidene)hydrazinylidene]-1,3-benzothiazole-6-sulfonic acid Chemical compound [NH4+].[NH4+].S/1C2=CC(S([O-])(=O)=O)=CC=C2N(CC)C\1=N/N=C1/SC2=CC(S([O-])(=O)=O)=CC=C2N1CC OHDRQQURAXLVGJ-HLVWOLMTSA-N 0.000 description 4
- 230000008901 benefit Effects 0.000 description 4
- 229960002685 biotin Drugs 0.000 description 4
- 239000011616 biotin Substances 0.000 description 4
- BMLSTPRTEKLIPM-UHFFFAOYSA-I calcium;potassium;disodium;hydrogen carbonate;dichloride;dihydroxide;hydrate Chemical compound O.[OH-].[OH-].[Na+].[Na+].[Cl-].[Cl-].[K+].[Ca+2].OC([O-])=O BMLSTPRTEKLIPM-UHFFFAOYSA-I 0.000 description 4
- 125000003178 carboxy group Chemical group [H]OC(*)=O 0.000 description 4
- 230000015556 catabolic process Effects 0.000 description 4
- 230000003833 cell viability Effects 0.000 description 4
- 210000000349 chromosome Anatomy 0.000 description 4
- 238000002648 combination therapy Methods 0.000 description 4
- OPTASPLRGRRNAP-UHFFFAOYSA-N cytosine Chemical compound NC=1C=CNC(=O)N=1 OPTASPLRGRRNAP-UHFFFAOYSA-N 0.000 description 4
- 230000002950 deficient Effects 0.000 description 4
- 230000001419 dependent effect Effects 0.000 description 4
- 229960004679 doxorubicin Drugs 0.000 description 4
- 230000009977 dual effect Effects 0.000 description 4
- 108010087914 epidermal growth factor receptor VIII Proteins 0.000 description 4
- 239000013604 expression vector Substances 0.000 description 4
- 210000002950 fibroblast Anatomy 0.000 description 4
- 239000008273 gelatin Substances 0.000 description 4
- 229920000159 gelatin Polymers 0.000 description 4
- 235000019322 gelatine Nutrition 0.000 description 4
- 235000011852 gelatine desserts Nutrition 0.000 description 4
- BRZYSWJRSDMWLG-CAXSIQPQSA-N geneticin Chemical compound O1C[C@@](O)(C)[C@H](NC)[C@@H](O)[C@H]1O[C@@H]1[C@@H](O)[C@H](O[C@@H]2[C@@H]([C@@H](O)[C@H](O)[C@@H](C(C)O)O2)N)[C@@H](N)C[C@H]1N BRZYSWJRSDMWLG-CAXSIQPQSA-N 0.000 description 4
- 210000002288 golgi apparatus Anatomy 0.000 description 4
- 201000010536 head and neck cancer Diseases 0.000 description 4
- 238000002649 immunization Methods 0.000 description 4
- 238000012744 immunostaining Methods 0.000 description 4
- 230000001976 improved effect Effects 0.000 description 4
- 230000001939 inductive effect Effects 0.000 description 4
- XEEYBQQBJWHFJM-UHFFFAOYSA-N iron Substances [Fe] XEEYBQQBJWHFJM-UHFFFAOYSA-N 0.000 description 4
- 210000003734 kidney Anatomy 0.000 description 4
- 239000012139 lysis buffer Substances 0.000 description 4
- 210000004962 mammalian cell Anatomy 0.000 description 4
- 229950006780 n-acetylglucosamine Drugs 0.000 description 4
- 210000004940 nucleus Anatomy 0.000 description 4
- 239000000546 pharmaceutical excipient Substances 0.000 description 4
- 210000001236 prokaryotic cell Anatomy 0.000 description 4
- 230000002035 prolonged effect Effects 0.000 description 4
- 230000004044 response Effects 0.000 description 4
- 238000003757 reverse transcription PCR Methods 0.000 description 4
- 230000011664 signaling Effects 0.000 description 4
- 239000003381 stabilizer Substances 0.000 description 4
- 239000006228 supernatant Substances 0.000 description 4
- 239000003826 tablet Substances 0.000 description 4
- 230000001131 transforming effect Effects 0.000 description 4
- LENZDBCJOHFCAS-UHFFFAOYSA-N tris Chemical compound OCC(N)(CO)CO LENZDBCJOHFCAS-UHFFFAOYSA-N 0.000 description 4
- OUYCCCASQSFEME-UHFFFAOYSA-N tyrosine Natural products OC(=O)C(N)CC1=CC=C(O)C=C1 OUYCCCASQSFEME-UHFFFAOYSA-N 0.000 description 4
- JKMHFZQWWAIEOD-UHFFFAOYSA-N 2-[4-(2-hydroxyethyl)piperazin-1-yl]ethanesulfonic acid Chemical compound OCC[NH+]1CCN(CCS([O-])(=O)=O)CC1 JKMHFZQWWAIEOD-UHFFFAOYSA-N 0.000 description 3
- 201000009030 Carcinoma Diseases 0.000 description 3
- 108091035707 Consensus sequence Proteins 0.000 description 3
- 102000004163 DNA-directed RNA polymerases Human genes 0.000 description 3
- 108090000626 DNA-directed RNA polymerases Proteins 0.000 description 3
- 238000012286 ELISA Assay Methods 0.000 description 3
- LFQSCWFLJHTTHZ-UHFFFAOYSA-N Ethanol Chemical compound CCO LFQSCWFLJHTTHZ-UHFFFAOYSA-N 0.000 description 3
- GHASVSINZRGABV-UHFFFAOYSA-N Fluorouracil Chemical compound FC1=CNC(=O)NC1=O GHASVSINZRGABV-UHFFFAOYSA-N 0.000 description 3
- 239000007995 HEPES buffer Substances 0.000 description 3
- 108010054477 Immunoglobulin Fab Fragments Proteins 0.000 description 3
- 102000001706 Immunoglobulin Fab Fragments Human genes 0.000 description 3
- 108010021625 Immunoglobulin Fragments Proteins 0.000 description 3
- 102000008394 Immunoglobulin Fragments Human genes 0.000 description 3
- ZDXPYRJPNDTMRX-VKHMYHEASA-N L-glutamine Chemical compound OC(=O)[C@@H](N)CCC(N)=O ZDXPYRJPNDTMRX-VKHMYHEASA-N 0.000 description 3
- FFEARJCKVFRZRR-BYPYZUCNSA-N L-methionine Chemical compound CSCC[C@H](N)C(O)=O FFEARJCKVFRZRR-BYPYZUCNSA-N 0.000 description 3
- AYFVYJQAPQTCCC-GBXIJSLDSA-N L-threonine Chemical compound C[C@@H](O)[C@H](N)C(O)=O AYFVYJQAPQTCCC-GBXIJSLDSA-N 0.000 description 3
- 108060001084 Luciferase Proteins 0.000 description 3
- OKKJLVBELUTLKV-UHFFFAOYSA-N Methanol Chemical compound OC OKKJLVBELUTLKV-UHFFFAOYSA-N 0.000 description 3
- 108700020796 Oncogene Proteins 0.000 description 3
- MUBZPKHOEPUJKR-UHFFFAOYSA-N Oxalic acid Chemical compound OC(=O)C(O)=O MUBZPKHOEPUJKR-UHFFFAOYSA-N 0.000 description 3
- 239000002202 Polyethylene glycol Substances 0.000 description 3
- KWYUFKZDYYNOTN-UHFFFAOYSA-M Potassium hydroxide Chemical compound [OH-].[K+] KWYUFKZDYYNOTN-UHFFFAOYSA-M 0.000 description 3
- 208000006994 Precancerous Conditions Diseases 0.000 description 3
- 108010029485 Protein Isoforms Proteins 0.000 description 3
- 102000001708 Protein Isoforms Human genes 0.000 description 3
- HEMHJVSKTPXQMS-UHFFFAOYSA-M Sodium hydroxide Chemical compound [OH-].[Na+] HEMHJVSKTPXQMS-UHFFFAOYSA-M 0.000 description 3
- 108091081024 Start codon Proteins 0.000 description 3
- 239000013504 Triton X-100 Substances 0.000 description 3
- 229920004890 Triton X-100 Polymers 0.000 description 3
- 230000010056 antibody-dependent cellular cytotoxicity Effects 0.000 description 3
- 230000003190 augmentative effect Effects 0.000 description 3
- 230000000903 blocking effect Effects 0.000 description 3
- 210000004204 blood vessel Anatomy 0.000 description 3
- 230000001413 cellular effect Effects 0.000 description 3
- 210000004978 chinese hamster ovary cell Anatomy 0.000 description 3
- 230000002759 chromosomal effect Effects 0.000 description 3
- 230000002860 competitive effect Effects 0.000 description 3
- 239000002299 complementary DNA Substances 0.000 description 3
- 230000001268 conjugating effect Effects 0.000 description 3
- 238000010276 construction Methods 0.000 description 3
- XUJNEKJLAYXESH-UHFFFAOYSA-N cysteine Natural products SCC(N)C(O)=O XUJNEKJLAYXESH-UHFFFAOYSA-N 0.000 description 3
- 235000018417 cysteine Nutrition 0.000 description 3
- 230000006378 damage Effects 0.000 description 3
- 230000003247 decreasing effect Effects 0.000 description 3
- 238000011161 development Methods 0.000 description 3
- 239000008121 dextrose Substances 0.000 description 3
- 238000002405 diagnostic procedure Methods 0.000 description 3
- 238000010790 dilution Methods 0.000 description 3
- 239000012895 dilution Substances 0.000 description 3
- 239000012636 effector Substances 0.000 description 3
- 238000001493 electron microscopy Methods 0.000 description 3
- 239000010408 film Substances 0.000 description 3
- GNBHRKFJIUUOQI-UHFFFAOYSA-N fluorescein Chemical compound O1C(=O)C2=CC=CC=C2C21C1=CC=C(O)C=C1OC1=CC(O)=CC=C21 GNBHRKFJIUUOQI-UHFFFAOYSA-N 0.000 description 3
- 229960002949 fluorouracil Drugs 0.000 description 3
- 239000008103 glucose Substances 0.000 description 3
- ZDXPYRJPNDTMRX-UHFFFAOYSA-N glutamine Natural products OC(=O)C(N)CCC(N)=O ZDXPYRJPNDTMRX-UHFFFAOYSA-N 0.000 description 3
- 238000010438 heat treatment Methods 0.000 description 3
- 239000005556 hormone Substances 0.000 description 3
- 229940088597 hormone Drugs 0.000 description 3
- 238000010191 image analysis Methods 0.000 description 3
- YLMAHDNUQAMNNX-UHFFFAOYSA-N imatinib methanesulfonate Chemical compound CS(O)(=O)=O.C1CN(C)CCN1CC1=CC=C(C(=O)NC=2C=C(NC=3N=C(C=CN=3)C=3C=NC=CC=3)C(C)=CC=2)C=C1 YLMAHDNUQAMNNX-UHFFFAOYSA-N 0.000 description 3
- 230000028993 immune response Effects 0.000 description 3
- 230000000984 immunochemical effect Effects 0.000 description 3
- 230000005917 in vivo anti-tumor Effects 0.000 description 3
- 238000010253 intravenous injection Methods 0.000 description 3
- 230000026045 iodination Effects 0.000 description 3
- 238000006192 iodination reaction Methods 0.000 description 3
- 201000005296 lung carcinoma Diseases 0.000 description 3
- 208000020816 lung neoplasm Diseases 0.000 description 3
- 238000012423 maintenance Methods 0.000 description 3
- 238000013507 mapping Methods 0.000 description 3
- 239000000463 material Substances 0.000 description 3
- 230000007246 mechanism Effects 0.000 description 3
- 230000001394 metastastic effect Effects 0.000 description 3
- 206010061289 metastatic neoplasm Diseases 0.000 description 3
- 229960004452 methionine Drugs 0.000 description 3
- 230000003278 mimic effect Effects 0.000 description 3
- 210000000822 natural killer cell Anatomy 0.000 description 3
- 102000013415 peroxidase activity proteins Human genes 0.000 description 3
- 108040007629 peroxidase activity proteins Proteins 0.000 description 3
- 230000008488 polyadenylation Effects 0.000 description 3
- 229920001223 polyethylene glycol Polymers 0.000 description 3
- 238000012545 processing Methods 0.000 description 3
- 230000002062 proliferating effect Effects 0.000 description 3
- 238000000746 purification Methods 0.000 description 3
- 238000001959 radiotherapy Methods 0.000 description 3
- 230000009467 reduction Effects 0.000 description 3
- 108091008146 restriction endonucleases Proteins 0.000 description 3
- 238000013207 serial dilution Methods 0.000 description 3
- 239000011734 sodium Substances 0.000 description 3
- 210000000952 spleen Anatomy 0.000 description 3
- 238000010561 standard procedure Methods 0.000 description 3
- 238000007619 statistical method Methods 0.000 description 3
- 230000005747 tumor angiogenesis Effects 0.000 description 3
- 230000004614 tumor growth Effects 0.000 description 3
- 238000011725 BALB/c mouse Methods 0.000 description 2
- DLGOEMSEDOSKAD-UHFFFAOYSA-N Carmustine Chemical compound ClCCNC(=O)N(N=O)CCCl DLGOEMSEDOSKAD-UHFFFAOYSA-N 0.000 description 2
- CMSMOCZEIVJLDB-UHFFFAOYSA-N Cyclophosphamide Chemical compound ClCCN(CCCl)P1(=O)NCCCO1 CMSMOCZEIVJLDB-UHFFFAOYSA-N 0.000 description 2
- UHDGCWIWMRVCDJ-CCXZUQQUSA-N Cytarabine Chemical compound O=C1N=C(N)C=CN1[C@H]1[C@@H](O)[C@H](O)[C@@H](CO)O1 UHDGCWIWMRVCDJ-CCXZUQQUSA-N 0.000 description 2
- 102000004127 Cytokines Human genes 0.000 description 2
- 108090000695 Cytokines Proteins 0.000 description 2
- 230000004543 DNA replication Effects 0.000 description 2
- 241000196324 Embryophyta Species 0.000 description 2
- 108700024394 Exon Proteins 0.000 description 2
- ZHNUHDYFZUAESO-UHFFFAOYSA-N Formamide Chemical compound NC=O ZHNUHDYFZUAESO-UHFFFAOYSA-N 0.000 description 2
- SXRSQZLOMIGNAQ-UHFFFAOYSA-N Glutaraldehyde Chemical compound O=CCCCC=O SXRSQZLOMIGNAQ-UHFFFAOYSA-N 0.000 description 2
- 241000282412 Homo Species 0.000 description 2
- VEXZGXHMUGYJMC-UHFFFAOYSA-N Hydrochloric acid Chemical compound Cl VEXZGXHMUGYJMC-UHFFFAOYSA-N 0.000 description 2
- DGAQECJNVWCQMB-PUAWFVPOSA-M Ilexoside XXIX Chemical compound C[C@@H]1CC[C@@]2(CC[C@@]3(C(=CC[C@H]4[C@]3(CC[C@@H]5[C@@]4(CC[C@@H](C5(C)C)OS(=O)(=O)[O-])C)C)[C@@H]2[C@]1(C)O)C)C(=O)O[C@H]6[C@@H]([C@H]([C@@H]([C@H](O6)CO)O)O)O.[Na+] DGAQECJNVWCQMB-PUAWFVPOSA-M 0.000 description 2
- 102000006496 Immunoglobulin Heavy Chains Human genes 0.000 description 2
- 108010019476 Immunoglobulin Heavy Chains Proteins 0.000 description 2
- 102000015696 Interleukins Human genes 0.000 description 2
- 108010063738 Interleukins Proteins 0.000 description 2
- DCXYFEDJOCDNAF-REOHCLBHSA-N L-asparagine Chemical compound OC(=O)[C@@H](N)CC(N)=O DCXYFEDJOCDNAF-REOHCLBHSA-N 0.000 description 2
- HNDVDQJCIGZPNO-YFKPBYRVSA-N L-histidine Chemical compound OC(=O)[C@@H](N)CC1=CN=CN1 HNDVDQJCIGZPNO-YFKPBYRVSA-N 0.000 description 2
- COLNVLDHVKWLRT-QMMMGPOBSA-N L-phenylalanine Chemical compound OC(=O)[C@@H](N)CC1=CC=CC=C1 COLNVLDHVKWLRT-QMMMGPOBSA-N 0.000 description 2
- QIVBCDIJIAJPQS-VIFPVBQESA-N L-tryptophane Chemical compound C1=CC=C2C(C[C@H](N)C(O)=O)=CNC2=C1 QIVBCDIJIAJPQS-VIFPVBQESA-N 0.000 description 2
- GDBQQVLCIARPGH-UHFFFAOYSA-N Leupeptin Natural products CC(C)CC(NC(C)=O)C(=O)NC(CC(C)C)C(=O)NC(C=O)CCCN=C(N)N GDBQQVLCIARPGH-UHFFFAOYSA-N 0.000 description 2
- GQYIWUVLTXOXAJ-UHFFFAOYSA-N Lomustine Chemical compound ClCCN(N=O)C(=O)NC1CCCCC1 GQYIWUVLTXOXAJ-UHFFFAOYSA-N 0.000 description 2
- 206010027458 Metastases to lung Diseases 0.000 description 2
- 101710135898 Myc proto-oncogene protein Proteins 0.000 description 2
- 102100038895 Myc proto-oncogene protein Human genes 0.000 description 2
- PXHVJJICTQNCMI-UHFFFAOYSA-N Nickel Chemical compound [Ni] PXHVJJICTQNCMI-UHFFFAOYSA-N 0.000 description 2
- 239000000020 Nitrocellulose Substances 0.000 description 2
- 102000057297 Pepsin A Human genes 0.000 description 2
- 108090000284 Pepsin A Proteins 0.000 description 2
- NBIIXXVUZAFLBC-UHFFFAOYSA-N Phosphoric acid Chemical compound OP(O)(O)=O NBIIXXVUZAFLBC-UHFFFAOYSA-N 0.000 description 2
- 102100024616 Platelet endothelial cell adhesion molecule Human genes 0.000 description 2
- 239000004365 Protease Substances 0.000 description 2
- 102100030086 Receptor tyrosine-protein kinase erbB-2 Human genes 0.000 description 2
- 108091028664 Ribonucleotide Proteins 0.000 description 2
- 229940124639 Selective inhibitor Drugs 0.000 description 2
- 229920002684 Sepharose Polymers 0.000 description 2
- 241000251131 Sphyrna Species 0.000 description 2
- 210000001744 T-lymphocyte Anatomy 0.000 description 2
- BPEGJWRSRHCHSN-UHFFFAOYSA-N Temozolomide Chemical compound O=C1N(C)N=NC2=C(C(N)=O)N=CN21 BPEGJWRSRHCHSN-UHFFFAOYSA-N 0.000 description 2
- 108700009124 Transcription Initiation Site Proteins 0.000 description 2
- 101710150448 Transcriptional regulator Myc Proteins 0.000 description 2
- QIVBCDIJIAJPQS-UHFFFAOYSA-N Tryptophan Natural products C1=CC=C2C(CC(N)C(O)=O)=CNC2=C1 QIVBCDIJIAJPQS-UHFFFAOYSA-N 0.000 description 2
- 241000700618 Vaccinia virus Species 0.000 description 2
- 206010046865 Vaccinia virus infection Diseases 0.000 description 2
- JLCPHMBAVCMARE-UHFFFAOYSA-N [3-[[3-[[3-[[3-[[3-[[3-[[3-[[3-[[3-[[3-[[3-[[5-(2-amino-6-oxo-1H-purin-9-yl)-3-[[3-[[3-[[3-[[3-[[3-[[5-(2-amino-6-oxo-1H-purin-9-yl)-3-[[5-(2-amino-6-oxo-1H-purin-9-yl)-3-hydroxyoxolan-2-yl]methoxy-hydroxyphosphoryl]oxyoxolan-2-yl]methoxy-hydroxyphosphoryl]oxy-5-(5-methyl-2,4-dioxopyrimidin-1-yl)oxolan-2-yl]methoxy-hydroxyphosphoryl]oxy-5-(6-aminopurin-9-yl)oxolan-2-yl]methoxy-hydroxyphosphoryl]oxy-5-(6-aminopurin-9-yl)oxolan-2-yl]methoxy-hydroxyphosphoryl]oxy-5-(6-aminopurin-9-yl)oxolan-2-yl]methoxy-hydroxyphosphoryl]oxy-5-(6-aminopurin-9-yl)oxolan-2-yl]methoxy-hydroxyphosphoryl]oxyoxolan-2-yl]methoxy-hydroxyphosphoryl]oxy-5-(5-methyl-2,4-dioxopyrimidin-1-yl)oxolan-2-yl]methoxy-hydroxyphosphoryl]oxy-5-(4-amino-2-oxopyrimidin-1-yl)oxolan-2-yl]methoxy-hydroxyphosphoryl]oxy-5-(5-methyl-2,4-dioxopyrimidin-1-yl)oxolan-2-yl]methoxy-hydroxyphosphoryl]oxy-5-(5-methyl-2,4-dioxopyrimidin-1-yl)oxolan-2-yl]methoxy-hydroxyphosphoryl]oxy-5-(6-aminopurin-9-yl)oxolan-2-yl]methoxy-hydroxyphosphoryl]oxy-5-(6-aminopurin-9-yl)oxolan-2-yl]methoxy-hydroxyphosphoryl]oxy-5-(4-amino-2-oxopyrimidin-1-yl)oxolan-2-yl]methoxy-hydroxyphosphoryl]oxy-5-(4-amino-2-oxopyrimidin-1-yl)oxolan-2-yl]methoxy-hydroxyphosphoryl]oxy-5-(4-amino-2-oxopyrimidin-1-yl)oxolan-2-yl]methoxy-hydroxyphosphoryl]oxy-5-(6-aminopurin-9-yl)oxolan-2-yl]methoxy-hydroxyphosphoryl]oxy-5-(4-amino-2-oxopyrimidin-1-yl)oxolan-2-yl]methyl [5-(6-aminopurin-9-yl)-2-(hydroxymethyl)oxolan-3-yl] hydrogen phosphate Polymers Cc1cn(C2CC(OP(O)(=O)OCC3OC(CC3OP(O)(=O)OCC3OC(CC3O)n3cnc4c3nc(N)[nH]c4=O)n3cnc4c3nc(N)[nH]c4=O)C(COP(O)(=O)OC3CC(OC3COP(O)(=O)OC3CC(OC3COP(O)(=O)OC3CC(OC3COP(O)(=O)OC3CC(OC3COP(O)(=O)OC3CC(OC3COP(O)(=O)OC3CC(OC3COP(O)(=O)OC3CC(OC3COP(O)(=O)OC3CC(OC3COP(O)(=O)OC3CC(OC3COP(O)(=O)OC3CC(OC3COP(O)(=O)OC3CC(OC3COP(O)(=O)OC3CC(OC3COP(O)(=O)OC3CC(OC3COP(O)(=O)OC3CC(OC3COP(O)(=O)OC3CC(OC3COP(O)(=O)OC3CC(OC3COP(O)(=O)OC3CC(OC3CO)n3cnc4c(N)ncnc34)n3ccc(N)nc3=O)n3cnc4c(N)ncnc34)n3ccc(N)nc3=O)n3ccc(N)nc3=O)n3ccc(N)nc3=O)n3cnc4c(N)ncnc34)n3cnc4c(N)ncnc34)n3cc(C)c(=O)[nH]c3=O)n3cc(C)c(=O)[nH]c3=O)n3ccc(N)nc3=O)n3cc(C)c(=O)[nH]c3=O)n3cnc4c3nc(N)[nH]c4=O)n3cnc4c(N)ncnc34)n3cnc4c(N)ncnc34)n3cnc4c(N)ncnc34)n3cnc4c(N)ncnc34)O2)c(=O)[nH]c1=O JLCPHMBAVCMARE-UHFFFAOYSA-N 0.000 description 2
- GPKUGWDQUVWHIC-UHFFFAOYSA-N [4-(4-hydrazinylphenyl)phenyl]hydrazine tetrahydrochloride Chemical compound Cl.Cl.Cl.Cl.NNC1=CC=C(C=C1)C1=CC=C(NN)C=C1 GPKUGWDQUVWHIC-UHFFFAOYSA-N 0.000 description 2
- 230000021736 acetylation Effects 0.000 description 2
- 238000006640 acetylation reaction Methods 0.000 description 2
- 239000002253 acid Substances 0.000 description 2
- 230000004913 activation Effects 0.000 description 2
- 239000000654 additive Substances 0.000 description 2
- MGSKVZWGBWPBTF-UHFFFAOYSA-N aebsf Chemical compound NCCC1=CC=C(S(F)(=O)=O)C=C1 MGSKVZWGBWPBTF-UHFFFAOYSA-N 0.000 description 2
- 239000000556 agonist Substances 0.000 description 2
- 125000003277 amino group Chemical group 0.000 description 2
- 206010002224 anaplastic astrocytoma Diseases 0.000 description 2
- 239000010775 animal oil Substances 0.000 description 2
- 239000005557 antagonist Substances 0.000 description 2
- 230000001093 anti-cancer Effects 0.000 description 2
- 239000003963 antioxidant agent Substances 0.000 description 2
- 239000007864 aqueous solution Substances 0.000 description 2
- 108010030694 avidin-horseradish peroxidase complex Proteins 0.000 description 2
- 238000001574 biopsy Methods 0.000 description 2
- 235000020958 biotin Nutrition 0.000 description 2
- 239000002775 capsule Substances 0.000 description 2
- 229960005243 carmustine Drugs 0.000 description 2
- 239000000969 carrier Substances 0.000 description 2
- 238000004113 cell culture Methods 0.000 description 2
- 230000004700 cellular uptake Effects 0.000 description 2
- 229960004397 cyclophosphamide Drugs 0.000 description 2
- 229940104302 cytosine Drugs 0.000 description 2
- 231100000433 cytotoxic Toxicity 0.000 description 2
- 231100000599 cytotoxic agent Toxicity 0.000 description 2
- 230000001472 cytotoxic effect Effects 0.000 description 2
- 230000003013 cytotoxicity Effects 0.000 description 2
- 231100000135 cytotoxicity Toxicity 0.000 description 2
- 238000006731 degradation reaction Methods 0.000 description 2
- 238000013461 design Methods 0.000 description 2
- 239000000539 dimer Substances 0.000 description 2
- 238000011038 discontinuous diafiltration by volume reduction Methods 0.000 description 2
- 201000010099 disease Diseases 0.000 description 2
- 208000037265 diseases, disorders, signs and symptoms Diseases 0.000 description 2
- 239000006185 dispersion Substances 0.000 description 2
- 238000001962 electrophoresis Methods 0.000 description 2
- 238000004520 electroporation Methods 0.000 description 2
- 239000008393 encapsulating agent Substances 0.000 description 2
- 239000003623 enhancer Substances 0.000 description 2
- 230000008029 eradication Effects 0.000 description 2
- 210000003743 erythrocyte Anatomy 0.000 description 2
- 230000001747 exhibiting effect Effects 0.000 description 2
- 108020001507 fusion proteins Proteins 0.000 description 2
- 102000037865 fusion proteins Human genes 0.000 description 2
- 125000003630 glycyl group Chemical group [H]N([H])C([H])([H])C(*)=O 0.000 description 2
- 239000003102 growth factor Substances 0.000 description 2
- UYTPUPDQBNUYGX-UHFFFAOYSA-N guanine Chemical compound O=C1NC(N)=NC2=C1N=CN2 UYTPUPDQBNUYGX-UHFFFAOYSA-N 0.000 description 2
- 230000035931 haemagglutination Effects 0.000 description 2
- HNDVDQJCIGZPNO-UHFFFAOYSA-N histidine Natural products OC(=O)C(N)CC1=CN=CN1 HNDVDQJCIGZPNO-UHFFFAOYSA-N 0.000 description 2
- 229910052739 hydrogen Inorganic materials 0.000 description 2
- 125000002887 hydroxy group Chemical group [H]O* 0.000 description 2
- 230000036737 immune function Effects 0.000 description 2
- 210000000987 immune system Anatomy 0.000 description 2
- 229940127121 immunoconjugate Drugs 0.000 description 2
- 230000005847 immunogenicity Effects 0.000 description 2
- 230000016784 immunoglobulin production Effects 0.000 description 2
- 229940121354 immunomodulator Drugs 0.000 description 2
- 230000001024 immunotherapeutic effect Effects 0.000 description 2
- 238000010348 incorporation Methods 0.000 description 2
- 238000003780 insertion Methods 0.000 description 2
- 230000037431 insertion Effects 0.000 description 2
- 230000003993 interaction Effects 0.000 description 2
- 230000002452 interceptive effect Effects 0.000 description 2
- 230000003834 intracellular effect Effects 0.000 description 2
- 239000007928 intraperitoneal injection Substances 0.000 description 2
- 238000011835 investigation Methods 0.000 description 2
- 150000002500 ions Chemical class 0.000 description 2
- 210000003292 kidney cell Anatomy 0.000 description 2
- 239000010410 layer Substances 0.000 description 2
- GDBQQVLCIARPGH-ULQDDVLXSA-N leupeptin Chemical compound CC(C)C[C@H](NC(C)=O)C(=O)N[C@@H](CC(C)C)C(=O)N[C@H](C=O)CCCN=C(N)N GDBQQVLCIARPGH-ULQDDVLXSA-N 0.000 description 2
- 108010052968 leupeptin Proteins 0.000 description 2
- 229960002247 lomustine Drugs 0.000 description 2
- 201000005202 lung cancer Diseases 0.000 description 2
- 210000004698 lymphocyte Anatomy 0.000 description 2
- 238000002595 magnetic resonance imaging Methods 0.000 description 2
- 230000031852 maintenance of location in cell Effects 0.000 description 2
- 230000004060 metabolic process Effects 0.000 description 2
- 229930182817 methionine Natural products 0.000 description 2
- 239000002480 mineral oil Substances 0.000 description 2
- 235000010446 mineral oil Nutrition 0.000 description 2
- 238000007479 molecular analysis Methods 0.000 description 2
- 238000010369 molecular cloning Methods 0.000 description 2
- BQJCRHHNABKAKU-KBQPJGBKSA-N morphine Chemical compound O([C@H]1[C@H](C=C[C@H]23)O)C4=C5[C@@]12CCN(C)[C@@H]3CC5=CC=C4O BQJCRHHNABKAKU-KBQPJGBKSA-N 0.000 description 2
- 229940126619 mouse monoclonal antibody Drugs 0.000 description 2
- 238000002703 mutagenesis Methods 0.000 description 2
- 231100000350 mutagenesis Toxicity 0.000 description 2
- 229920001220 nitrocellulos Polymers 0.000 description 2
- OSTGTTZJOCZWJG-UHFFFAOYSA-N nitrosourea Chemical compound NC(=O)N=NO OSTGTTZJOCZWJG-UHFFFAOYSA-N 0.000 description 2
- 239000003921 oil Substances 0.000 description 2
- 235000019198 oils Nutrition 0.000 description 2
- 210000002741 palatine tonsil Anatomy 0.000 description 2
- 229960001972 panitumumab Drugs 0.000 description 2
- 230000005298 paramagnetic effect Effects 0.000 description 2
- 230000001575 pathological effect Effects 0.000 description 2
- 239000008188 pellet Substances 0.000 description 2
- 229940111202 pepsin Drugs 0.000 description 2
- 239000003208 petroleum Substances 0.000 description 2
- 239000012071 phase Substances 0.000 description 2
- COLNVLDHVKWLRT-UHFFFAOYSA-N phenylalanine Natural products OC(=O)C(N)CC1=CC=CC=C1 COLNVLDHVKWLRT-UHFFFAOYSA-N 0.000 description 2
- YBYRMVIVWMBXKQ-UHFFFAOYSA-N phenylmethanesulfonyl fluoride Chemical compound FS(=O)(=O)CC1=CC=CC=C1 YBYRMVIVWMBXKQ-UHFFFAOYSA-N 0.000 description 2
- 239000002504 physiological saline solution Substances 0.000 description 2
- 230000003389 potentiating effect Effects 0.000 description 2
- 239000000843 powder Substances 0.000 description 2
- 239000003755 preservative agent Substances 0.000 description 2
- CPTBDICYNRMXFX-UHFFFAOYSA-N procarbazine Chemical compound CNNCC1=CC=C(C(=O)NC(C)C)C=C1 CPTBDICYNRMXFX-UHFFFAOYSA-N 0.000 description 2
- 229960000624 procarbazine Drugs 0.000 description 2
- 210000002307 prostate Anatomy 0.000 description 2
- 238000000159 protein binding assay Methods 0.000 description 2
- 230000002797 proteolythic effect Effects 0.000 description 2
- 230000010076 replication Effects 0.000 description 2
- 230000003362 replicative effect Effects 0.000 description 2
- 238000012552 review Methods 0.000 description 2
- 239000002336 ribonucleotide Substances 0.000 description 2
- 125000002652 ribonucleotide group Chemical group 0.000 description 2
- 229920006395 saturated elastomer Polymers 0.000 description 2
- 230000028327 secretion Effects 0.000 description 2
- 238000010187 selection method Methods 0.000 description 2
- 230000035945 sensitivity Effects 0.000 description 2
- 238000012163 sequencing technique Methods 0.000 description 2
- 238000001542 size-exclusion chromatography Methods 0.000 description 2
- 150000003384 small molecules Chemical class 0.000 description 2
- 229910052708 sodium Inorganic materials 0.000 description 2
- 239000008354 sodium chloride injection Substances 0.000 description 2
- 238000001179 sorption measurement Methods 0.000 description 2
- 210000004988 splenocyte Anatomy 0.000 description 2
- UCSJYZPVAKXKNQ-HZYVHMACSA-N streptomycin Chemical compound CN[C@H]1[C@H](O)[C@@H](O)[C@H](CO)O[C@H]1O[C@@H]1[C@](C=O)(O)[C@H](C)O[C@H]1O[C@@H]1[C@@H](NC(N)=N)[C@H](O)[C@@H](NC(N)=N)[C@H](O)[C@H]1O UCSJYZPVAKXKNQ-HZYVHMACSA-N 0.000 description 2
- 238000001356 surgical procedure Methods 0.000 description 2
- 230000002195 synergetic effect Effects 0.000 description 2
- 229960004964 temozolomide Drugs 0.000 description 2
- RWQNBRDOKXIBIV-UHFFFAOYSA-N thymine Chemical compound CC1=CNC(=O)NC1=O RWQNBRDOKXIBIV-UHFFFAOYSA-N 0.000 description 2
- 231100000167 toxic agent Toxicity 0.000 description 2
- 239000003440 toxic substance Substances 0.000 description 2
- 238000010361 transduction Methods 0.000 description 2
- 230000026683 transduction Effects 0.000 description 2
- 230000001052 transient effect Effects 0.000 description 2
- GETQZCLCWQTVFV-UHFFFAOYSA-N trimethylamine Chemical compound CN(C)C GETQZCLCWQTVFV-UHFFFAOYSA-N 0.000 description 2
- 241000701447 unidentified baculovirus Species 0.000 description 2
- 241001430294 unidentified retrovirus Species 0.000 description 2
- 238000011144 upstream manufacturing Methods 0.000 description 2
- 210000003932 urinary bladder Anatomy 0.000 description 2
- 208000007089 vaccinia Diseases 0.000 description 2
- 235000015112 vegetable and seed oil Nutrition 0.000 description 2
- 239000008158 vegetable oil Substances 0.000 description 2
- 229960004528 vincristine Drugs 0.000 description 2
- OGWKCGZFUXNPDA-XQKSVPLYSA-N vincristine Chemical compound C([N@]1C[C@@H](C[C@]2(C(=O)OC)C=3C(=CC4=C([C@]56[C@H]([C@@]([C@H](OC(C)=O)[C@]7(CC)C=CCN([C@H]67)CC5)(O)C(=O)OC)N4C=O)C=3)OC)C[C@@](C1)(O)CC)CC1=C2NC2=CC=CC=C12 OGWKCGZFUXNPDA-XQKSVPLYSA-N 0.000 description 2
- OGWKCGZFUXNPDA-UHFFFAOYSA-N vincristine Natural products C1C(CC)(O)CC(CC2(C(=O)OC)C=3C(=CC4=C(C56C(C(C(OC(C)=O)C7(CC)C=CCN(C67)CC5)(O)C(=O)OC)N4C=O)C=3)OC)CN1CCC1=C2NC2=CC=CC=C12 OGWKCGZFUXNPDA-UHFFFAOYSA-N 0.000 description 2
- 230000003612 virological effect Effects 0.000 description 2
- JIAARYAFYJHUJI-UHFFFAOYSA-L zinc dichloride Chemical compound [Cl-].[Cl-].[Zn+2] JIAARYAFYJHUJI-UHFFFAOYSA-L 0.000 description 2
- QBYIENPQHBMVBV-HFEGYEGKSA-N (2R)-2-hydroxy-2-phenylacetic acid Chemical compound O[C@@H](C(O)=O)c1ccccc1.O[C@@H](C(O)=O)c1ccccc1 QBYIENPQHBMVBV-HFEGYEGKSA-N 0.000 description 1
- YJGVMLPVUAXIQN-LGWHJFRWSA-N (5s,5ar,8ar,9r)-5-hydroxy-9-(3,4,5-trimethoxyphenyl)-5a,6,8a,9-tetrahydro-5h-[2]benzofuro[5,6-f][1,3]benzodioxol-8-one Chemical compound COC1=C(OC)C(OC)=CC([C@@H]2C3=CC=4OCOC=4C=C3[C@@H](O)[C@@H]3[C@@H]2C(OC3)=O)=C1 YJGVMLPVUAXIQN-LGWHJFRWSA-N 0.000 description 1
- 125000003088 (fluoren-9-ylmethoxy)carbonyl group Chemical group 0.000 description 1
- 102000040650 (ribonucleotides)n+m Human genes 0.000 description 1
- VSNHCAURESNICA-NJFSPNSNSA-N 1-oxidanylurea Chemical compound N[14C](=O)NO VSNHCAURESNICA-NJFSPNSNSA-N 0.000 description 1
- GZCWLCBFPRFLKL-UHFFFAOYSA-N 1-prop-2-ynoxypropan-2-ol Chemical compound CC(O)COCC#C GZCWLCBFPRFLKL-UHFFFAOYSA-N 0.000 description 1
- MIJDSYMOBYNHOT-UHFFFAOYSA-N 2-(ethylamino)ethanol Chemical compound CCNCCO MIJDSYMOBYNHOT-UHFFFAOYSA-N 0.000 description 1
- IKOKHHBZFDFMJW-UHFFFAOYSA-N 2-[4-[2-(2,3-dihydro-1H-inden-2-ylamino)pyrimidin-5-yl]-3-(2-morpholin-4-ylethoxy)pyrazol-1-yl]-1-(2,4,6,7-tetrahydrotriazolo[4,5-c]pyridin-5-yl)ethanone Chemical compound C1C(CC2=CC=CC=C12)NC1=NC=C(C=N1)C=1C(=NN(C=1)CC(=O)N1CC2=C(CC1)NN=N2)OCCN1CCOCC1 IKOKHHBZFDFMJW-UHFFFAOYSA-N 0.000 description 1
- 101150055869 25 gene Proteins 0.000 description 1
- OSJPPGNTCRNQQC-UWTATZPHSA-N 3-phospho-D-glyceric acid Chemical compound OC(=O)[C@H](O)COP(O)(O)=O OSJPPGNTCRNQQC-UWTATZPHSA-N 0.000 description 1
- 101150052384 50 gene Proteins 0.000 description 1
- HBZVNWNSRNTWPS-UHFFFAOYSA-N 6-amino-4-hydroxynaphthalene-2-sulfonic acid Chemical compound C1=C(S(O)(=O)=O)C=C(O)C2=CC(N)=CC=C21 HBZVNWNSRNTWPS-UHFFFAOYSA-N 0.000 description 1
- DOBIZWYVJFIYOV-UHFFFAOYSA-N 7-hydroxynaphthalene-1,3-disulfonic acid Chemical compound C1=C(S(O)(=O)=O)C=C(S(O)(=O)=O)C2=CC(O)=CC=C21 DOBIZWYVJFIYOV-UHFFFAOYSA-N 0.000 description 1
- MVEOHWRUBFWKJY-UHFFFAOYSA-N 7-hydroxynaphthalene-2-sulfonic acid Chemical compound C1=CC(S(O)(=O)=O)=CC2=CC(O)=CC=C21 MVEOHWRUBFWKJY-UHFFFAOYSA-N 0.000 description 1
- ZCYVEMRRCGMTRW-UHFFFAOYSA-N 7553-56-2 Chemical compound [I] ZCYVEMRRCGMTRW-UHFFFAOYSA-N 0.000 description 1
- RZVAJINKPMORJF-UHFFFAOYSA-N Acetaminophen Chemical compound CC(=O)NC1=CC=C(O)C=C1 RZVAJINKPMORJF-UHFFFAOYSA-N 0.000 description 1
- 102000013563 Acid Phosphatase Human genes 0.000 description 1
- 108010051457 Acid Phosphatase Proteins 0.000 description 1
- 229930024421 Adenine Natural products 0.000 description 1
- GFFGJBXGBJISGV-UHFFFAOYSA-N Adenine Chemical compound NC1=NC=NC2=C1N=CN2 GFFGJBXGBJISGV-UHFFFAOYSA-N 0.000 description 1
- 241001479434 Agfa Species 0.000 description 1
- 102000002260 Alkaline Phosphatase Human genes 0.000 description 1
- 108020004774 Alkaline Phosphatase Proteins 0.000 description 1
- 108700028369 Alleles Proteins 0.000 description 1
- VHUUQVKOLVNVRT-UHFFFAOYSA-N Ammonium hydroxide Chemical compound [NH4+].[OH-] VHUUQVKOLVNVRT-UHFFFAOYSA-N 0.000 description 1
- 108020000948 Antisense Oligonucleotides Proteins 0.000 description 1
- 108010039627 Aprotinin Proteins 0.000 description 1
- 229920003319 Araldite® Polymers 0.000 description 1
- 239000004475 Arginine Substances 0.000 description 1
- DCXYFEDJOCDNAF-UHFFFAOYSA-N Asparagine Natural products OC(=O)C(N)CC(N)=O DCXYFEDJOCDNAF-UHFFFAOYSA-N 0.000 description 1
- BSYNRYMUTXBXSQ-UHFFFAOYSA-N Aspirin Chemical compound CC(=O)OC1=CC=CC=C1C(O)=O BSYNRYMUTXBXSQ-UHFFFAOYSA-N 0.000 description 1
- 208000023275 Autoimmune disease Diseases 0.000 description 1
- 108090001008 Avidin Proteins 0.000 description 1
- 241000894006 Bacteria Species 0.000 description 1
- 108091003079 Bovine Serum Albumin Proteins 0.000 description 1
- 125000001433 C-terminal amino-acid group Chemical group 0.000 description 1
- UXVMQQNJUSDDNG-UHFFFAOYSA-L Calcium chloride Chemical compound [Cl-].[Cl-].[Ca+2] UXVMQQNJUSDDNG-UHFFFAOYSA-L 0.000 description 1
- BVKZGUZCCUSVTD-UHFFFAOYSA-L Carbonate Chemical compound [O-]C([O-])=O BVKZGUZCCUSVTD-UHFFFAOYSA-L 0.000 description 1
- 101800005309 Carboxy-terminal peptide Proteins 0.000 description 1
- 108010006303 Carboxypeptidases Proteins 0.000 description 1
- 102000005367 Carboxypeptidases Human genes 0.000 description 1
- 241000282552 Chlorocebus aethiops Species 0.000 description 1
- 206010009944 Colon cancer Diseases 0.000 description 1
- 208000001333 Colorectal Neoplasms Diseases 0.000 description 1
- 108020004635 Complementary DNA Proteins 0.000 description 1
- 241000699800 Cricetinae Species 0.000 description 1
- 101710112752 Cytotoxin Proteins 0.000 description 1
- 101150074155 DHFR gene Proteins 0.000 description 1
- 239000003155 DNA primer Substances 0.000 description 1
- 230000007023 DNA restriction-modification system Effects 0.000 description 1
- 230000006820 DNA synthesis Effects 0.000 description 1
- 102000016928 DNA-directed DNA polymerase Human genes 0.000 description 1
- 108010014303 DNA-directed DNA polymerase Proteins 0.000 description 1
- 229920002307 Dextran Polymers 0.000 description 1
- FEWJPZIEWOKRBE-JCYAYHJZSA-N Dextrotartaric acid Chemical compound OC(=O)[C@H](O)[C@@H](O)C(O)=O FEWJPZIEWOKRBE-JCYAYHJZSA-N 0.000 description 1
- 102100024746 Dihydrofolate reductase Human genes 0.000 description 1
- 102000016607 Diphtheria Toxin Human genes 0.000 description 1
- 108010053187 Diphtheria Toxin Proteins 0.000 description 1
- 101100118548 Drosophila melanogaster Egfr gene Proteins 0.000 description 1
- 206010059866 Drug resistance Diseases 0.000 description 1
- 239000012983 Dulbecco’s minimal essential medium Substances 0.000 description 1
- 229910052691 Erbium Inorganic materials 0.000 description 1
- 241000701959 Escherichia virus Lambda Species 0.000 description 1
- 241000206602 Eukaryota Species 0.000 description 1
- 229910052693 Europium Inorganic materials 0.000 description 1
- 241000233866 Fungi Species 0.000 description 1
- 229910052688 Gadolinium Inorganic materials 0.000 description 1
- 108700028146 Genetic Enhancer Elements Proteins 0.000 description 1
- 108700039691 Genetic Promoter Regions Proteins 0.000 description 1
- 108700007698 Genetic Terminator Regions Proteins 0.000 description 1
- 239000004366 Glucose oxidase Substances 0.000 description 1
- 108010015776 Glucose oxidase Proteins 0.000 description 1
- 102000053187 Glucuronidase Human genes 0.000 description 1
- 108010060309 Glucuronidase Proteins 0.000 description 1
- WHUUTDBJXJRKMK-UHFFFAOYSA-N Glutamic acid Natural products OC(=O)C(N)CCC(O)=O WHUUTDBJXJRKMK-UHFFFAOYSA-N 0.000 description 1
- 102100020948 Growth hormone receptor Human genes 0.000 description 1
- 101710099093 Growth hormone receptor Proteins 0.000 description 1
- 229910052689 Holmium Inorganic materials 0.000 description 1
- 101001012157 Homo sapiens Receptor tyrosine-protein kinase erbB-2 Proteins 0.000 description 1
- 238000012450 HuMAb Mouse Methods 0.000 description 1
- 241000701044 Human gammaherpesvirus 4 Species 0.000 description 1
- VSNHCAURESNICA-UHFFFAOYSA-N Hydroxyurea Chemical compound NC(=O)NO VSNHCAURESNICA-UHFFFAOYSA-N 0.000 description 1
- HEFNNWSXXWATRW-UHFFFAOYSA-N Ibuprofen Chemical compound CC(C)CC1=CC=C(C(C)C(O)=O)C=C1 HEFNNWSXXWATRW-UHFFFAOYSA-N 0.000 description 1
- 108700005091 Immunoglobulin Genes Proteins 0.000 description 1
- 108010067060 Immunoglobulin Variable Region Proteins 0.000 description 1
- 102000017727 Immunoglobulin Variable Region Human genes 0.000 description 1
- 108010002386 Interleukin-3 Proteins 0.000 description 1
- 108091092195 Intron Proteins 0.000 description 1
- 238000012449 Kunming mouse Methods 0.000 description 1
- ONIBWKKTOPOVIA-BYPYZUCNSA-N L-Proline Chemical compound OC(=O)[C@@H]1CCCN1 ONIBWKKTOPOVIA-BYPYZUCNSA-N 0.000 description 1
- QNAYBMKLOCPYGJ-REOHCLBHSA-N L-alanine Chemical compound C[C@H](N)C(O)=O QNAYBMKLOCPYGJ-REOHCLBHSA-N 0.000 description 1
- 150000008575 L-amino acids Chemical group 0.000 description 1
- ODKSFYDXXFIFQN-BYPYZUCNSA-P L-argininium(2+) Chemical compound NC(=[NH2+])NCCC[C@H]([NH3+])C(O)=O ODKSFYDXXFIFQN-BYPYZUCNSA-P 0.000 description 1
- WHUUTDBJXJRKMK-VKHMYHEASA-N L-glutamic acid Chemical compound OC(=O)[C@@H](N)CCC(O)=O WHUUTDBJXJRKMK-VKHMYHEASA-N 0.000 description 1
- AGPKZVBTJJNPAG-WHFBIAKZSA-N L-isoleucine Chemical compound CC[C@H](C)[C@H](N)C(O)=O AGPKZVBTJJNPAG-WHFBIAKZSA-N 0.000 description 1
- ROHFNLRQFUQHCH-YFKPBYRVSA-N L-leucine Chemical compound CC(C)C[C@H](N)C(O)=O ROHFNLRQFUQHCH-YFKPBYRVSA-N 0.000 description 1
- KZSNJWFQEVHDMF-BYPYZUCNSA-N L-valine Chemical compound CC(C)[C@H](N)C(O)=O KZSNJWFQEVHDMF-BYPYZUCNSA-N 0.000 description 1
- 244000178870 Lavandula angustifolia Species 0.000 description 1
- 235000010663 Lavandula angustifolia Nutrition 0.000 description 1
- ROHFNLRQFUQHCH-UHFFFAOYSA-N Leucine Natural products CC(C)CC(N)C(O)=O ROHFNLRQFUQHCH-UHFFFAOYSA-N 0.000 description 1
- 239000005089 Luciferase Substances 0.000 description 1
- 231100000002 MTT assay Toxicity 0.000 description 1
- 238000000134 MTT assay Methods 0.000 description 1
- FYYHWMGAXLPEAU-UHFFFAOYSA-N Magnesium Chemical compound [Mg] FYYHWMGAXLPEAU-UHFFFAOYSA-N 0.000 description 1
- 108091027974 Mature messenger RNA Proteins 0.000 description 1
- 208000037196 Medullary thyroid carcinoma Diseases 0.000 description 1
- 208000000172 Medulloblastoma Diseases 0.000 description 1
- 206010063569 Metastatic squamous cell carcinoma Diseases 0.000 description 1
- 230000004988 N-glycosylation Effects 0.000 description 1
- 125000000729 N-terminal amino-acid group Chemical group 0.000 description 1
- 108091007491 NSP3 Papain-like protease domains Proteins 0.000 description 1
- 241001460678 Napo <wasp> Species 0.000 description 1
- 102000004459 Nitroreductase Human genes 0.000 description 1
- 208000015914 Non-Hodgkin lymphomas Diseases 0.000 description 1
- 101710149086 Nuclease S1 Proteins 0.000 description 1
- 206010033128 Ovarian cancer Diseases 0.000 description 1
- 206010061535 Ovarian neoplasm Diseases 0.000 description 1
- 108091008606 PDGF receptors Proteins 0.000 description 1
- 101150012394 PHO5 gene Proteins 0.000 description 1
- 239000002033 PVDF binder Substances 0.000 description 1
- 229930012538 Paclitaxel Natural products 0.000 description 1
- 206010061902 Pancreatic neoplasm Diseases 0.000 description 1
- 108090000526 Papain Proteins 0.000 description 1
- 229930040373 Paraformaldehyde Natural products 0.000 description 1
- 241001494479 Pecora Species 0.000 description 1
- 229930182555 Penicillin Natural products 0.000 description 1
- JGSARLDLIJGVTE-MBNYWOFBSA-N Penicillin G Chemical compound N([C@H]1[C@H]2SC([C@@H](N2C1=O)C(O)=O)(C)C)C(=O)CC1=CC=CC=C1 JGSARLDLIJGVTE-MBNYWOFBSA-N 0.000 description 1
- 240000004050 Pentaglottis sempervirens Species 0.000 description 1
- 235000004522 Pentaglottis sempervirens Nutrition 0.000 description 1
- 108091005804 Peptidases Proteins 0.000 description 1
- 102000035195 Peptidases Human genes 0.000 description 1
- 108010077524 Peptide Elongation Factor 1 Proteins 0.000 description 1
- 102000011653 Platelet-Derived Growth Factor Receptors Human genes 0.000 description 1
- 229920002584 Polyethylene Glycol 6000 Polymers 0.000 description 1
- 241001505332 Polyomavirus sp. Species 0.000 description 1
- ONIBWKKTOPOVIA-UHFFFAOYSA-N Proline Natural products OC(=O)C1CCCN1 ONIBWKKTOPOVIA-UHFFFAOYSA-N 0.000 description 1
- 229940124158 Protease/peptidase inhibitor Drugs 0.000 description 1
- 101000762949 Pseudomonas aeruginosa (strain ATCC 15692 / DSM 22644 / CIP 104116 / JCM 14847 / LMG 12228 / 1C / PRS 101 / PAO1) Exotoxin A Proteins 0.000 description 1
- IWYDHOAUDWTVEP-UHFFFAOYSA-N R-2-phenyl-2-hydroxyacetic acid Natural products OC(=O)C(O)C1=CC=CC=C1 IWYDHOAUDWTVEP-UHFFFAOYSA-N 0.000 description 1
- 230000004570 RNA-binding Effects 0.000 description 1
- 108020005091 Replication Origin Proteins 0.000 description 1
- 230000018199 S phase Effects 0.000 description 1
- 239000012722 SDS sample buffer Substances 0.000 description 1
- 235000013290 Sagittaria latifolia Nutrition 0.000 description 1
- 201000010208 Seminoma Diseases 0.000 description 1
- MTCFGRXMJLQNBG-UHFFFAOYSA-N Serine Natural products OCC(N)C(O)=O MTCFGRXMJLQNBG-UHFFFAOYSA-N 0.000 description 1
- 241000270295 Serpentes Species 0.000 description 1
- 241000702208 Shigella phage SfX Species 0.000 description 1
- BQCADISMDOOEFD-UHFFFAOYSA-N Silver Chemical compound [Ag] BQCADISMDOOEFD-UHFFFAOYSA-N 0.000 description 1
- VMHLLURERBWHNL-UHFFFAOYSA-M Sodium acetate Chemical compound [Na+].CC([O-])=O VMHLLURERBWHNL-UHFFFAOYSA-M 0.000 description 1
- 238000002105 Southern blotting Methods 0.000 description 1
- 244000297179 Syringa vulgaris Species 0.000 description 1
- 235000004338 Syringa vulgaris Nutrition 0.000 description 1
- 238000012288 TUNEL assay Methods 0.000 description 1
- FEWJPZIEWOKRBE-UHFFFAOYSA-N Tartaric acid Natural products [H+].[H+].[O-]C(=O)C(O)C(O)C([O-])=O FEWJPZIEWOKRBE-UHFFFAOYSA-N 0.000 description 1
- 241000223892 Tetrahymena Species 0.000 description 1
- AYFVYJQAPQTCCC-UHFFFAOYSA-N Threonine Natural products CC(O)C(N)C(O)=O AYFVYJQAPQTCCC-UHFFFAOYSA-N 0.000 description 1
- 239000004473 Threonine Substances 0.000 description 1
- GYDJEQRTZSCIOI-UHFFFAOYSA-N Tranexamic acid Chemical compound NCC1CCC(C(O)=O)CC1 GYDJEQRTZSCIOI-UHFFFAOYSA-N 0.000 description 1
- 102100037116 Transcription elongation factor 1 homolog Human genes 0.000 description 1
- 102400001320 Transforming growth factor alpha Human genes 0.000 description 1
- 101800004564 Transforming growth factor alpha Proteins 0.000 description 1
- 206010052779 Transplant rejections Diseases 0.000 description 1
- 108060008683 Tumor Necrosis Factor Receptor Proteins 0.000 description 1
- 206010054094 Tumour necrosis Diseases 0.000 description 1
- 229910052770 Uranium Inorganic materials 0.000 description 1
- COQLPRJCUIATTQ-UHFFFAOYSA-N Uranyl acetate Chemical compound O.O.O=[U]=O.CC(O)=O.CC(O)=O COQLPRJCUIATTQ-UHFFFAOYSA-N 0.000 description 1
- 108010046334 Urease Proteins 0.000 description 1
- 208000007097 Urinary Bladder Neoplasms Diseases 0.000 description 1
- 102000003990 Urokinase-type plasminogen activator Human genes 0.000 description 1
- 108090000435 Urokinase-type plasminogen activator Proteins 0.000 description 1
- KZSNJWFQEVHDMF-UHFFFAOYSA-N Valine Natural products CC(C)C(N)C(O)=O KZSNJWFQEVHDMF-UHFFFAOYSA-N 0.000 description 1
- 208000036142 Viral infection Diseases 0.000 description 1
- 238000012452 Xenomouse strains Methods 0.000 description 1
- SXEHKFHPFVVDIR-UHFFFAOYSA-N [4-(4-hydrazinylphenyl)phenyl]hydrazine Chemical compound C1=CC(NN)=CC=C1C1=CC=C(NN)C=C1 SXEHKFHPFVVDIR-UHFFFAOYSA-N 0.000 description 1
- 230000005856 abnormality Effects 0.000 description 1
- 238000002835 absorbance Methods 0.000 description 1
- 238000009825 accumulation Methods 0.000 description 1
- 235000011054 acetic acid Nutrition 0.000 description 1
- 229960001138 acetylsalicylic acid Drugs 0.000 description 1
- 230000009471 action Effects 0.000 description 1
- 239000013543 active substance Substances 0.000 description 1
- 238000001467 acupuncture Methods 0.000 description 1
- 229960000643 adenine Drugs 0.000 description 1
- 230000002776 aggregation Effects 0.000 description 1
- 238000004220 aggregation Methods 0.000 description 1
- 238000007605 air drying Methods 0.000 description 1
- 235000004279 alanine Nutrition 0.000 description 1
- 230000000172 allergic effect Effects 0.000 description 1
- 229910000147 aluminium phosphate Inorganic materials 0.000 description 1
- 230000009435 amidation Effects 0.000 description 1
- 238000007112 amidation reaction Methods 0.000 description 1
- 150000001412 amines Chemical class 0.000 description 1
- 239000000908 ammonium hydroxide Substances 0.000 description 1
- 210000004102 animal cell Anatomy 0.000 description 1
- 238000010171 animal model Methods 0.000 description 1
- 239000003242 anti bacterial agent Substances 0.000 description 1
- 230000002424 anti-apoptotic effect Effects 0.000 description 1
- 230000003474 anti-emetic effect Effects 0.000 description 1
- 230000003302 anti-idiotype Effects 0.000 description 1
- 230000002927 anti-mitotic effect Effects 0.000 description 1
- 230000000840 anti-viral effect Effects 0.000 description 1
- 210000000628 antibody-producing cell Anatomy 0.000 description 1
- 239000003146 anticoagulant agent Substances 0.000 description 1
- 239000002111 antiemetic agent Substances 0.000 description 1
- 229940125683 antiemetic agent Drugs 0.000 description 1
- 229940034982 antineoplastic agent Drugs 0.000 description 1
- 239000000074 antisense oligonucleotide Substances 0.000 description 1
- 238000012230 antisense oligonucleotides Methods 0.000 description 1
- 229960004676 antithrombotic agent Drugs 0.000 description 1
- ZPNFWUPYTFPOJU-MPSLMFKFSA-N aprotinin Chemical compound CC[C@H](C)[C@@H]1NC(=O)[C@@H](CCCNC(N)=N)NC(=O)[C@@H](C)NC(=O)[C@H](CCCCN)NC(=O)[C@@H]2CSSC[C@H]3NC(=O)CNC(=O)CNC(=O)[C@H](Cc4ccc(O)cc4)NC(=O)[C@H](NC(=O)[C@H](Cc4ccccc4)NC(=O)[C@@H](NC(=O)[C@H](CCC(N)=O)NC(=O)[C@@H](CSSC[C@@H](NC(=O)[C@H](CC(O)=O)NC(=O)[C@@H](CCC(O)=O)NC(=O)[C@H](C)NC(=O)[C@@H](CO)NC(=O)[C@H](CCCCN)NC(=O)[C@@H](Cc4ccccc4)NC(=O)[C@H](CC(N)=O)NC(=O)[C@@H](CC(N)=O)NC(=O)[C@H](CCCNC(N)=N)NC(=O)[C@@H](CCCCN)NC(=O)[C@H](C)NC(=O)[C@H](CCCNC(N)=N)NC3=O)C(=O)N[C@H](CCSC)C(=O)N[C@@H](CCCNC(N)=N)C(=O)N[C@@H]([C@@H](C)O)C(=O)N[C@H](CSSC[C@@H](NC(=O)[C@H](Cc3ccccc3)NC(=O)[C@@H](CC(O)=O)NC(=O)[C@H]3CCCN3C(=O)[C@H](N)CCCNC(N)=N)C(=O)N[C@H](CC(C)C)C(=O)N[C@@H](CCC(O)=O)C(=O)N3CCC[C@@H]3C(=O)N3CCC[C@H]3C(=O)N[C@H](Cc3ccc(O)cc3)C(=O)N[C@H]([C@H](C)O)C(=O)NCC(=O)N3CCC[C@H]3C(=O)N2)C(=O)NCC(=O)NCC(=O)N[C@H](C)C(O)=O)NC(=O)[C@@H](CC(C)C)NC(=O)CNC(=O)[C@@H](C)NC(=O)[C@H](CCCCN)NC(=O)[C@@H](C)NC(=O)[C@H](CC(N)=O)NC(=O)[C@@H](Cc2ccc(O)cc2)NC(=O)[C@H](Cc2ccccc2)NC(=O)[C@@H](Cc2ccc(O)cc2)NC(=O)[C@H](CCCNC(N)=N)NC(=O)[C@H](NC1=O)[C@H](C)CC)[C@@H](C)O)C(C)C ZPNFWUPYTFPOJU-MPSLMFKFSA-N 0.000 description 1
- 229960004405 aprotinin Drugs 0.000 description 1
- ODKSFYDXXFIFQN-UHFFFAOYSA-N arginine Natural products OC(=O)C(N)CCCNC(N)=N ODKSFYDXXFIFQN-UHFFFAOYSA-N 0.000 description 1
- 235000009582 asparagine Nutrition 0.000 description 1
- 229960001230 asparagine Drugs 0.000 description 1
- 235000003704 aspartic acid Nutrition 0.000 description 1
- 238000011717 athymic nude mouse Methods 0.000 description 1
- 239000012298 atmosphere Substances 0.000 description 1
- 125000004429 atom Chemical group 0.000 description 1
- 208000010668 atopic eczema Diseases 0.000 description 1
- 230000003416 augmentation Effects 0.000 description 1
- KSCQDDRPFHTIRL-UHFFFAOYSA-N auramine O Chemical compound [H+].[Cl-].C1=CC(N(C)C)=CC=C1C(=N)C1=CC=C(N(C)C)C=C1 KSCQDDRPFHTIRL-UHFFFAOYSA-N 0.000 description 1
- VSRXQHXAPYXROS-UHFFFAOYSA-N azanide;cyclobutane-1,1-dicarboxylic acid;platinum(2+) Chemical compound [NH2-].[NH2-].[Pt+2].OC(=O)C1(C(O)=O)CCC1 VSRXQHXAPYXROS-UHFFFAOYSA-N 0.000 description 1
- 210000003719 b-lymphocyte Anatomy 0.000 description 1
- 210000000270 basal cell Anatomy 0.000 description 1
- 208000022897 benign urinary system neoplasm Diseases 0.000 description 1
- 102000005936 beta-Galactosidase Human genes 0.000 description 1
- 108010005774 beta-Galactosidase Proteins 0.000 description 1
- OQFSQFPPLPISGP-UHFFFAOYSA-N beta-carboxyaspartic acid Natural products OC(=O)C(N)C(C(O)=O)C(O)=O OQFSQFPPLPISGP-UHFFFAOYSA-N 0.000 description 1
- 230000003115 biocidal effect Effects 0.000 description 1
- 230000004071 biological effect Effects 0.000 description 1
- 230000008827 biological function Effects 0.000 description 1
- 230000033228 biological regulation Effects 0.000 description 1
- 230000005540 biological transmission Effects 0.000 description 1
- 230000006287 biotinylation Effects 0.000 description 1
- HOQPTLCRWVZIQZ-UHFFFAOYSA-H bis[[2-(5-hydroxy-4,7-dioxo-1,3,2$l^{2}-dioxaplumbepan-5-yl)acetyl]oxy]lead Chemical compound [Pb+2].[Pb+2].[Pb+2].[O-]C(=O)CC(O)(CC([O-])=O)C([O-])=O.[O-]C(=O)CC(O)(CC([O-])=O)C([O-])=O HOQPTLCRWVZIQZ-UHFFFAOYSA-H 0.000 description 1
- 210000000601 blood cell Anatomy 0.000 description 1
- 230000037396 body weight Effects 0.000 description 1
- 210000002798 bone marrow cell Anatomy 0.000 description 1
- 201000007983 brain glioma Diseases 0.000 description 1
- 239000001110 calcium chloride Substances 0.000 description 1
- 229910001628 calcium chloride Inorganic materials 0.000 description 1
- AXCZMVOFGPJBDE-UHFFFAOYSA-L calcium dihydroxide Chemical compound [OH-].[OH-].[Ca+2] AXCZMVOFGPJBDE-UHFFFAOYSA-L 0.000 description 1
- 239000000920 calcium hydroxide Substances 0.000 description 1
- 229910001861 calcium hydroxide Inorganic materials 0.000 description 1
- 239000001506 calcium phosphate Substances 0.000 description 1
- 229910000389 calcium phosphate Inorganic materials 0.000 description 1
- 235000011010 calcium phosphates Nutrition 0.000 description 1
- ZEWYCNBZMPELPF-UHFFFAOYSA-J calcium;potassium;sodium;2-hydroxypropanoic acid;sodium;tetrachloride Chemical compound [Na].[Na+].[Cl-].[Cl-].[Cl-].[Cl-].[K+].[Ca+2].CC(O)C(O)=O ZEWYCNBZMPELPF-UHFFFAOYSA-J 0.000 description 1
- 229940022399 cancer vaccine Drugs 0.000 description 1
- 150000001718 carbodiimides Chemical class 0.000 description 1
- 229910002091 carbon monoxide Inorganic materials 0.000 description 1
- 229960004562 carboplatin Drugs 0.000 description 1
- 230000000747 cardiac effect Effects 0.000 description 1
- 238000012754 cardiac puncture Methods 0.000 description 1
- 230000003197 catalytic effect Effects 0.000 description 1
- 238000006555 catalytic reaction Methods 0.000 description 1
- 230000001364 causal effect Effects 0.000 description 1
- 239000013553 cell monolayer Substances 0.000 description 1
- 230000004663 cell proliferation Effects 0.000 description 1
- 230000007248 cellular mechanism Effects 0.000 description 1
- 239000001913 cellulose Substances 0.000 description 1
- 229920002678 cellulose Polymers 0.000 description 1
- 238000005119 centrifugation Methods 0.000 description 1
- 238000007385 chemical modification Methods 0.000 description 1
- 239000007795 chemical reaction product Substances 0.000 description 1
- 238000002038 chemiluminescence detection Methods 0.000 description 1
- 210000000038 chest Anatomy 0.000 description 1
- 238000000546 chi-square test Methods 0.000 description 1
- VDQQXEISLMTGAB-UHFFFAOYSA-N chloramine T Chemical compound [Na+].CC1=CC=C(S(=O)(=O)[N-]Cl)C=C1 VDQQXEISLMTGAB-UHFFFAOYSA-N 0.000 description 1
- 239000013611 chromosomal DNA Substances 0.000 description 1
- 230000004186 co-expression Effects 0.000 description 1
- 239000011248 coating agent Substances 0.000 description 1
- 238000000576 coating method Methods 0.000 description 1
- 239000005515 coenzyme Substances 0.000 description 1
- 210000001072 colon Anatomy 0.000 description 1
- 238000004040 coloring Methods 0.000 description 1
- 238000011220 combination immunotherapy Methods 0.000 description 1
- 235000015246 common arrowhead Nutrition 0.000 description 1
- 230000024203 complement activation Effects 0.000 description 1
- 230000004540 complement-dependent cytotoxicity Effects 0.000 description 1
- 230000009918 complex formation Effects 0.000 description 1
- 238000013170 computed tomography imaging Methods 0.000 description 1
- 238000012790 confirmation Methods 0.000 description 1
- 210000002808 connective tissue Anatomy 0.000 description 1
- 230000037011 constitutive activity Effects 0.000 description 1
- 238000012937 correction Methods 0.000 description 1
- 230000008878 coupling Effects 0.000 description 1
- 238000010168 coupling process Methods 0.000 description 1
- 238000005859 coupling reaction Methods 0.000 description 1
- 238000004132 cross linking Methods 0.000 description 1
- 239000003431 cross linking reagent Substances 0.000 description 1
- 150000003983 crown ethers Chemical class 0.000 description 1
- 239000013078 crystal Substances 0.000 description 1
- 239000012228 culture supernatant Substances 0.000 description 1
- 238000012258 culturing Methods 0.000 description 1
- 210000000805 cytoplasm Anatomy 0.000 description 1
- 239000002254 cytotoxic agent Substances 0.000 description 1
- 239000002619 cytotoxin Substances 0.000 description 1
- 230000022811 deglycosylation Effects 0.000 description 1
- 239000007857 degradation product Substances 0.000 description 1
- 230000018044 dehydration Effects 0.000 description 1
- 238000006297 dehydration reaction Methods 0.000 description 1
- 229960003964 deoxycholic acid Drugs 0.000 description 1
- 239000005547 deoxyribonucleotide Substances 0.000 description 1
- 125000002637 deoxyribonucleotide group Chemical group 0.000 description 1
- 238000009795 derivation Methods 0.000 description 1
- 239000003599 detergent Substances 0.000 description 1
- 229960003957 dexamethasone Drugs 0.000 description 1
- UREBDLICKHMUKA-CXSFZGCWSA-N dexamethasone Chemical compound C1CC2=CC(=O)C=C[C@]2(C)[C@]2(F)[C@@H]1[C@@H]1C[C@@H](C)[C@@](C(=O)CO)(O)[C@@]1(C)C[C@@H]2O UREBDLICKHMUKA-CXSFZGCWSA-N 0.000 description 1
- 238000013154 diagnostic monitoring Methods 0.000 description 1
- 238000012631 diagnostic technique Methods 0.000 description 1
- 238000010586 diagram Methods 0.000 description 1
- 238000000502 dialysis Methods 0.000 description 1
- 230000004069 differentiation Effects 0.000 description 1
- 108020001096 dihydrofolate reductase Proteins 0.000 description 1
- 125000005442 diisocyanate group Chemical group 0.000 description 1
- 238000002224 dissection Methods 0.000 description 1
- 238000009826 distribution Methods 0.000 description 1
- 208000002173 dizziness Diseases 0.000 description 1
- 239000002552 dosage form Substances 0.000 description 1
- 239000003937 drug carrier Substances 0.000 description 1
- 230000002526 effect on cardiovascular system Effects 0.000 description 1
- 230000008030 elimination Effects 0.000 description 1
- 238000003379 elimination reaction Methods 0.000 description 1
- 239000003995 emulsifying agent Substances 0.000 description 1
- YQGOJNYOYNNSMM-UHFFFAOYSA-N eosin Chemical compound [Na+].OC(=O)C1=CC=CC=C1C1=C2C=C(Br)C(=O)C(Br)=C2OC2=C(Br)C(O)=C(Br)C=C21 YQGOJNYOYNNSMM-UHFFFAOYSA-N 0.000 description 1
- 206010015037 epilepsy Diseases 0.000 description 1
- YJGVMLPVUAXIQN-UHFFFAOYSA-N epipodophyllotoxin Natural products COC1=C(OC)C(OC)=CC(C2C3=CC=4OCOC=4C=C3C(O)C3C2C(OC3)=O)=C1 YJGVMLPVUAXIQN-UHFFFAOYSA-N 0.000 description 1
- 210000000981 epithelium Anatomy 0.000 description 1
- UYAHIZSMUZPPFV-UHFFFAOYSA-N erbium Chemical compound [Er] UYAHIZSMUZPPFV-UHFFFAOYSA-N 0.000 description 1
- OGPBJKLSAFTDLK-UHFFFAOYSA-N europium atom Chemical compound [Eu] OGPBJKLSAFTDLK-UHFFFAOYSA-N 0.000 description 1
- 230000029142 excretion Effects 0.000 description 1
- 238000013213 extrapolation Methods 0.000 description 1
- 238000000855 fermentation Methods 0.000 description 1
- 230000004151 fermentation Effects 0.000 description 1
- 229960004887 ferric hydroxide Drugs 0.000 description 1
- 239000012091 fetal bovine serum Substances 0.000 description 1
- UIWYJDYFSGRHKR-UHFFFAOYSA-N gadolinium atom Chemical compound [Gd] UIWYJDYFSGRHKR-UHFFFAOYSA-N 0.000 description 1
- 230000002496 gastric effect Effects 0.000 description 1
- 238000001502 gel electrophoresis Methods 0.000 description 1
- 238000001415 gene therapy Methods 0.000 description 1
- 238000007429 general method Methods 0.000 description 1
- 230000002068 genetic effect Effects 0.000 description 1
- 210000004602 germ cell Anatomy 0.000 description 1
- 230000002518 glial effect Effects 0.000 description 1
- 229940116332 glucose oxidase Drugs 0.000 description 1
- 235000019420 glucose oxidase Nutrition 0.000 description 1
- 235000013922 glutamic acid Nutrition 0.000 description 1
- 239000004220 glutamic acid Substances 0.000 description 1
- 150000002334 glycols Chemical class 0.000 description 1
- 230000002414 glycolytic effect Effects 0.000 description 1
- 239000001963 growth medium Substances 0.000 description 1
- 239000003630 growth substance Substances 0.000 description 1
- 210000003128 head Anatomy 0.000 description 1
- 230000036541 health Effects 0.000 description 1
- 210000003494 hepatocyte Anatomy 0.000 description 1
- 229940022353 herceptin Drugs 0.000 description 1
- 230000002962 histologic effect Effects 0.000 description 1
- 238000010562 histological examination Methods 0.000 description 1
- KJZYNXUDTRRSPN-UHFFFAOYSA-N holmium atom Chemical compound [Ho] KJZYNXUDTRRSPN-UHFFFAOYSA-N 0.000 description 1
- 238000013415 human tumor xenograft model Methods 0.000 description 1
- 239000001257 hydrogen Substances 0.000 description 1
- WGCNASOHLSPBMP-UHFFFAOYSA-N hydroxyacetaldehyde Natural products OCC=O WGCNASOHLSPBMP-UHFFFAOYSA-N 0.000 description 1
- 229960001330 hydroxycarbamide Drugs 0.000 description 1
- 229960001680 ibuprofen Drugs 0.000 description 1
- 239000012216 imaging agent Substances 0.000 description 1
- 230000002519 immonomodulatory effect Effects 0.000 description 1
- 239000012651 immune agonist Substances 0.000 description 1
- 229940044680 immune agonist Drugs 0.000 description 1
- 230000001900 immune effect Effects 0.000 description 1
- 230000008105 immune reaction Effects 0.000 description 1
- 238000003018 immunoassay Methods 0.000 description 1
- 230000002055 immunohistochemical effect Effects 0.000 description 1
- 238000011532 immunohistochemical staining Methods 0.000 description 1
- 238000013388 immunohistochemistry analysis Methods 0.000 description 1
- 238000009169 immunotherapy Methods 0.000 description 1
- 238000002513 implantation Methods 0.000 description 1
- 238000000099 in vitro assay Methods 0.000 description 1
- 238000005462 in vivo assay Methods 0.000 description 1
- 238000011503 in vivo imaging Methods 0.000 description 1
- 230000002779 inactivation Effects 0.000 description 1
- 238000011534 incubation Methods 0.000 description 1
- 229940055742 indium-111 Drugs 0.000 description 1
- 230000006698 induction Effects 0.000 description 1
- 208000015181 infectious disease Diseases 0.000 description 1
- 230000028709 inflammatory response Effects 0.000 description 1
- 238000001802 infusion Methods 0.000 description 1
- 239000004615 ingredient Substances 0.000 description 1
- ZPNFWUPYTFPOJU-LPYSRVMUSA-N iniprol Chemical compound C([C@H]1C(=O)NCC(=O)NCC(=O)N[C@H]2CSSC[C@H]3C(=O)N[C@@H](CCCCN)C(=O)N[C@@H](C)C(=O)N[C@@H](CCCNC(N)=N)C(=O)N[C@H](C(N[C@H](C(=O)N[C@@H](CCCNC(N)=N)C(=O)N[C@@H](CC=4C=CC(O)=CC=4)C(=O)N[C@@H](CC=4C=CC=CC=4)C(=O)N[C@@H](CC=4C=CC(O)=CC=4)C(=O)N[C@@H](CC(N)=O)C(=O)N[C@@H](C)C(=O)N[C@@H](CCCCN)C(=O)N[C@@H](C)C(=O)NCC(=O)N[C@@H](CC(C)C)C(=O)N[C@@H](CSSC[C@H](NC(=O)[C@H](CC(O)=O)NC(=O)[C@H](CCC(O)=O)NC(=O)[C@H](C)NC(=O)[C@H](CO)NC(=O)[C@H](CCCCN)NC(=O)[C@H](CC=4C=CC=CC=4)NC(=O)[C@H](CC(N)=O)NC(=O)[C@H](CC(N)=O)NC(=O)[C@H](CCCNC(N)=N)NC(=O)[C@H](CCCCN)NC(=O)[C@H](C)NC(=O)[C@H](CCCNC(N)=N)NC2=O)C(=O)N[C@@H](CCSC)C(=O)N[C@@H](CCCNC(N)=N)C(=O)N[C@@H]([C@@H](C)O)C(=O)N[C@@H](CSSC[C@H](NC(=O)[C@H](CC=2C=CC=CC=2)NC(=O)[C@H](CC(O)=O)NC(=O)[C@H]2N(CCC2)C(=O)[C@@H](N)CCCNC(N)=N)C(=O)N[C@@H](CC(C)C)C(=O)N[C@@H](CCC(O)=O)C(=O)N2[C@@H](CCC2)C(=O)N2[C@@H](CCC2)C(=O)N[C@@H](CC=2C=CC(O)=CC=2)C(=O)N[C@@H]([C@@H](C)O)C(=O)NCC(=O)N2[C@@H](CCC2)C(=O)N3)C(=O)NCC(=O)NCC(=O)N[C@@H](C)C(O)=O)C(=O)N[C@@H](CCC(N)=O)C(=O)N[C@H](C(=O)N[C@@H](CC=2C=CC=CC=2)C(=O)N[C@H](C(=O)N1)C(C)C)[C@@H](C)O)[C@@H](C)CC)=O)[C@@H](C)CC)C1=CC=C(O)C=C1 ZPNFWUPYTFPOJU-LPYSRVMUSA-N 0.000 description 1
- 238000013383 initial experiment Methods 0.000 description 1
- 150000007529 inorganic bases Chemical class 0.000 description 1
- 230000010354 integration Effects 0.000 description 1
- 230000004068 intracellular signaling Effects 0.000 description 1
- 238000007912 intraperitoneal administration Methods 0.000 description 1
- 238000001990 intravenous administration Methods 0.000 description 1
- 230000009545 invasion Effects 0.000 description 1
- 239000011630 iodine Substances 0.000 description 1
- 229910052740 iodine Inorganic materials 0.000 description 1
- 239000002555 ionophore Substances 0.000 description 1
- 230000000236 ionophoric effect Effects 0.000 description 1
- 229910052742 iron Inorganic materials 0.000 description 1
- IEECXTSVVFWGSE-UHFFFAOYSA-M iron(3+);oxygen(2-);hydroxide Chemical compound [OH-].[O-2].[Fe+3] IEECXTSVVFWGSE-UHFFFAOYSA-M 0.000 description 1
- 230000001678 irradiating effect Effects 0.000 description 1
- 238000002955 isolation Methods 0.000 description 1
- AGPKZVBTJJNPAG-UHFFFAOYSA-N isoleucine Natural products CCC(C)C(N)C(O)=O AGPKZVBTJJNPAG-UHFFFAOYSA-N 0.000 description 1
- 229960000310 isoleucine Drugs 0.000 description 1
- JJWLVOIRVHMVIS-UHFFFAOYSA-N isopropylamine Chemical compound CC(C)N JJWLVOIRVHMVIS-UHFFFAOYSA-N 0.000 description 1
- 150000002540 isothiocyanates Chemical class 0.000 description 1
- 210000002510 keratinocyte Anatomy 0.000 description 1
- DKYWVDODHFEZIM-UHFFFAOYSA-N ketoprofen Chemical compound OC(=O)C(C)C1=CC=CC(C(=O)C=2C=CC=CC=2)=C1 DKYWVDODHFEZIM-UHFFFAOYSA-N 0.000 description 1
- 229960000991 ketoprofen Drugs 0.000 description 1
- 229910052746 lanthanum Inorganic materials 0.000 description 1
- FZLIPJUXYLNCLC-UHFFFAOYSA-N lanthanum atom Chemical compound [La] FZLIPJUXYLNCLC-UHFFFAOYSA-N 0.000 description 1
- 150000002605 large molecules Chemical class 0.000 description 1
- 239000001102 lavandula vera Substances 0.000 description 1
- 235000018219 lavender Nutrition 0.000 description 1
- 208000032839 leukemia Diseases 0.000 description 1
- 108020001756 ligand binding domains Proteins 0.000 description 1
- 238000012417 linear regression Methods 0.000 description 1
- 239000002502 liposome Substances 0.000 description 1
- 239000006193 liquid solution Substances 0.000 description 1
- 239000006194 liquid suspension Substances 0.000 description 1
- 230000007774 longterm Effects 0.000 description 1
- DLBFLQKQABVKGT-UHFFFAOYSA-L lucifer yellow dye Chemical compound [Li+].[Li+].[O-]S(=O)(=O)C1=CC(C(N(C(=O)NN)C2=O)=O)=C3C2=CC(S([O-])(=O)=O)=CC3=C1N DLBFLQKQABVKGT-UHFFFAOYSA-L 0.000 description 1
- 201000005243 lung squamous cell carcinoma Diseases 0.000 description 1
- 208000037841 lung tumor Diseases 0.000 description 1
- 229960003646 lysine Drugs 0.000 description 1
- 230000002080 lysosomotropic effect Effects 0.000 description 1
- 229920002521 macromolecule Polymers 0.000 description 1
- 239000011777 magnesium Substances 0.000 description 1
- 229910052749 magnesium Inorganic materials 0.000 description 1
- 230000014759 maintenance of location Effects 0.000 description 1
- 230000036210 malignancy Effects 0.000 description 1
- 208000030883 malignant astrocytoma Diseases 0.000 description 1
- 208000015486 malignant pancreatic neoplasm Diseases 0.000 description 1
- 229960002510 mandelic acid Drugs 0.000 description 1
- WPBNNNQJVZRUHP-UHFFFAOYSA-L manganese(2+);methyl n-[[2-(methoxycarbonylcarbamothioylamino)phenyl]carbamothioyl]carbamate;n-[2-(sulfidocarbothioylamino)ethyl]carbamodithioate Chemical compound [Mn+2].[S-]C(=S)NCCNC([S-])=S.COC(=O)NC(=S)NC1=CC=CC=C1NC(=S)NC(=O)OC WPBNNNQJVZRUHP-UHFFFAOYSA-L 0.000 description 1
- 125000000311 mannosyl group Chemical group C1([C@@H](O)[C@@H](O)[C@H](O)[C@H](O1)CO)* 0.000 description 1
- 238000001819 mass spectrum Methods 0.000 description 1
- 230000013011 mating Effects 0.000 description 1
- 208000023356 medullary thyroid gland carcinoma Diseases 0.000 description 1
- 201000001441 melanoma Diseases 0.000 description 1
- 230000011987 methylation Effects 0.000 description 1
- 238000007069 methylation reaction Methods 0.000 description 1
- 238000000386 microscopy Methods 0.000 description 1
- 150000007522 mineralic acids Chemical class 0.000 description 1
- 230000011278 mitosis Effects 0.000 description 1
- 230000000394 mitotic effect Effects 0.000 description 1
- 230000001483 mobilizing effect Effects 0.000 description 1
- 230000007193 modulation by symbiont of host erythrocyte aggregation Effects 0.000 description 1
- 238000003032 molecular docking Methods 0.000 description 1
- 239000000178 monomer Substances 0.000 description 1
- 150000002772 monosaccharides Chemical class 0.000 description 1
- 229960005181 morphine Drugs 0.000 description 1
- 210000004877 mucosa Anatomy 0.000 description 1
- 230000000869 mutational effect Effects 0.000 description 1
- VELGMVLNORPMAO-JTFNWEOFSA-N n-[(e)-1-[(3r,4r,5s,6r)-5-[(2s,3r,4r,5r,6r)-5-[(2s,3r,4r,5r,6r)-3-acetamido-5-hydroxy-6-(hydroxymethyl)-4-[(2r,3r,4s,5r,6r)-3,4,5-trihydroxy-6-(hydroxymethyl)oxan-2-yl]oxyoxan-2-yl]oxy-3,4-dihydroxy-6-(hydroxymethyl)oxan-2-yl]oxy-3,4-dihydroxy-6-(hydroxym Chemical compound O[C@@H]1[C@@H](O)C(OCC(NC(=O)CCCCCCCCCCCCCCCCC)C(O)\C=C\CCCCCCCCCCCCC)O[C@H](CO)[C@H]1O[C@H]1[C@H](O)[C@@H](O)[C@@H](O[C@H]2[C@@H]([C@@H](O[C@H]3[C@@H]([C@@H](O)[C@@H](O)[C@@H](CO)O3)O)[C@@H](O)[C@@H](CO)O2)NC(C)=O)[C@@H](CO)O1 VELGMVLNORPMAO-JTFNWEOFSA-N 0.000 description 1
- 239000013642 negative control Substances 0.000 description 1
- 230000017066 negative regulation of growth Effects 0.000 description 1
- 208000025440 neoplasm of neck Diseases 0.000 description 1
- 210000001577 neostriatum Anatomy 0.000 description 1
- 230000001537 neural effect Effects 0.000 description 1
- 210000004498 neuroglial cell Anatomy 0.000 description 1
- 229910052759 nickel Inorganic materials 0.000 description 1
- 125000000449 nitro group Chemical group [O-][N+](*)=O 0.000 description 1
- 108020001162 nitroreductase Proteins 0.000 description 1
- 208000002154 non-small cell lung carcinoma Diseases 0.000 description 1
- 229940021182 non-steroidal anti-inflammatory drug Drugs 0.000 description 1
- 230000009871 nonspecific binding Effects 0.000 description 1
- 231100000252 nontoxic Toxicity 0.000 description 1
- 230000003000 nontoxic effect Effects 0.000 description 1
- 238000007899 nucleic acid hybridization Methods 0.000 description 1
- 235000015097 nutrients Nutrition 0.000 description 1
- 238000011275 oncology therapy Methods 0.000 description 1
- 229940127240 opiate Drugs 0.000 description 1
- 210000003463 organelle Anatomy 0.000 description 1
- 150000007524 organic acids Chemical class 0.000 description 1
- 235000005985 organic acids Nutrition 0.000 description 1
- 150000007530 organic bases Chemical class 0.000 description 1
- 229910000489 osmium tetroxide Inorganic materials 0.000 description 1
- 235000006408 oxalic acid Nutrition 0.000 description 1
- 125000004430 oxygen atom Chemical group O* 0.000 description 1
- 239000006179 pH buffering agent Substances 0.000 description 1
- 229960001592 paclitaxel Drugs 0.000 description 1
- 201000002528 pancreatic cancer Diseases 0.000 description 1
- 208000008443 pancreatic carcinoma Diseases 0.000 description 1
- 229940055729 papain Drugs 0.000 description 1
- 235000019834 papain Nutrition 0.000 description 1
- 208000003154 papilloma Diseases 0.000 description 1
- 229960005489 paracetamol Drugs 0.000 description 1
- 229920002866 paraformaldehyde Polymers 0.000 description 1
- 230000007170 pathology Effects 0.000 description 1
- 239000013610 patient sample Substances 0.000 description 1
- 229940049954 penicillin Drugs 0.000 description 1
- 239000000137 peptide hydrolase inhibitor Substances 0.000 description 1
- 230000008447 perception Effects 0.000 description 1
- 125000001997 phenyl group Chemical group [H]C1=C([H])C([H])=C(*)C([H])=C1[H] 0.000 description 1
- DCWXELXMIBXGTH-UHFFFAOYSA-N phosphotyrosine Chemical compound OC(=O)C(N)CC1=CC=C(OP(O)(O)=O)C=C1 DCWXELXMIBXGTH-UHFFFAOYSA-N 0.000 description 1
- 210000002826 placenta Anatomy 0.000 description 1
- 239000004033 plastic Substances 0.000 description 1
- 229920003023 plastic Polymers 0.000 description 1
- 229920002401 polyacrylamide Polymers 0.000 description 1
- 229920000768 polyamine Polymers 0.000 description 1
- 102000040430 polynucleotide Human genes 0.000 description 1
- 108091033319 polynucleotide Proteins 0.000 description 1
- 239000002157 polynucleotide Substances 0.000 description 1
- 229920002981 polyvinylidene fluoride Polymers 0.000 description 1
- 238000010837 poor prognosis Methods 0.000 description 1
- 150000004032 porphyrins Chemical class 0.000 description 1
- 230000001376 precipitating effect Effects 0.000 description 1
- 239000002243 precursor Substances 0.000 description 1
- 230000002265 prevention Effects 0.000 description 1
- 125000002924 primary amino group Chemical group [H]N([H])* 0.000 description 1
- 210000001948 pro-b lymphocyte Anatomy 0.000 description 1
- REQCZEXYDRLIBE-UHFFFAOYSA-N procainamide Chemical compound CCN(CC)CCNC(=O)C1=CC=C(N)C=C1 REQCZEXYDRLIBE-UHFFFAOYSA-N 0.000 description 1
- MFDFERRIHVXMIY-UHFFFAOYSA-N procaine Chemical compound CCN(CC)CCOC(=O)C1=CC=C(N)C=C1 MFDFERRIHVXMIY-UHFFFAOYSA-N 0.000 description 1
- 229960004919 procaine Drugs 0.000 description 1
- 229940002612 prodrug Drugs 0.000 description 1
- 239000000651 prodrug Substances 0.000 description 1
- 208000023958 prostate neoplasm Diseases 0.000 description 1
- 125000006239 protecting group Chemical group 0.000 description 1
- 230000017854 proteolysis Effects 0.000 description 1
- 239000002510 pyrogen Substances 0.000 description 1
- 229940051022 radioimmunoconjugate Drugs 0.000 description 1
- 238000002708 random mutagenesis Methods 0.000 description 1
- 230000008707 rearrangement Effects 0.000 description 1
- 230000006798 recombination Effects 0.000 description 1
- 238000005215 recombination Methods 0.000 description 1
- 230000025053 regulation of cell proliferation Effects 0.000 description 1
- 230000003252 repetitive effect Effects 0.000 description 1
- 229920005989 resin Polymers 0.000 description 1
- 239000011347 resin Substances 0.000 description 1
- 230000000717 retained effect Effects 0.000 description 1
- 238000004007 reversed phase HPLC Methods 0.000 description 1
- 229910052702 rhenium Inorganic materials 0.000 description 1
- WUAPFZMCVAUBPE-UHFFFAOYSA-N rhenium atom Chemical compound [Re] WUAPFZMCVAUBPE-UHFFFAOYSA-N 0.000 description 1
- PYWVYCXTNDRMGF-UHFFFAOYSA-N rhodamine B Chemical compound [Cl-].C=12C=CC(=[N+](CC)CC)C=C2OC2=CC(N(CC)CC)=CC=C2C=1C1=CC=CC=C1C(O)=O PYWVYCXTNDRMGF-UHFFFAOYSA-N 0.000 description 1
- 238000005070 sampling Methods 0.000 description 1
- 238000012216 screening Methods 0.000 description 1
- 230000003248 secreting effect Effects 0.000 description 1
- 238000000926 separation method Methods 0.000 description 1
- 239000012679 serum free medium Substances 0.000 description 1
- 238000012807 shake-flask culturing Methods 0.000 description 1
- 229910052709 silver Inorganic materials 0.000 description 1
- 239000004332 silver Substances 0.000 description 1
- 239000001632 sodium acetate Substances 0.000 description 1
- 235000017281 sodium acetate Nutrition 0.000 description 1
- FHHPUSMSKHSNKW-SMOYURAASA-M sodium deoxycholate Chemical compound [Na+].C([C@H]1CC2)[C@H](O)CC[C@]1(C)[C@@H]1[C@@H]2[C@@H]2CC[C@H]([C@@H](CCC([O-])=O)C)[C@@]2(C)[C@@H](O)C1 FHHPUSMSKHSNKW-SMOYURAASA-M 0.000 description 1
- 239000007790 solid phase Substances 0.000 description 1
- 238000001228 spectrum Methods 0.000 description 1
- 230000003393 splenic effect Effects 0.000 description 1
- 210000004085 squamous epithelial cell Anatomy 0.000 description 1
- 210000000130 stem cell Anatomy 0.000 description 1
- 210000002784 stomach Anatomy 0.000 description 1
- 229960005322 streptomycin Drugs 0.000 description 1
- 238000010254 subcutaneous injection Methods 0.000 description 1
- 239000007929 subcutaneous injection Substances 0.000 description 1
- 239000000725 suspension Substances 0.000 description 1
- 230000009897 systematic effect Effects 0.000 description 1
- 238000009121 systemic therapy Methods 0.000 description 1
- 239000011975 tartaric acid Substances 0.000 description 1
- 235000002906 tartaric acid Nutrition 0.000 description 1
- RCINICONZNJXQF-MZXODVADSA-N taxol Chemical compound O([C@@H]1[C@@]2(C[C@@H](C(C)=C(C2(C)C)[C@H](C([C@]2(C)[C@@H](O)C[C@H]3OC[C@]3([C@H]21)OC(C)=O)=O)OC(=O)C)OC(=O)[C@H](O)[C@@H](NC(=O)C=1C=CC=CC=1)C=1C=CC=CC=1)O)C(=O)C1=CC=CC=C1 RCINICONZNJXQF-MZXODVADSA-N 0.000 description 1
- MPLHNVLQVRSVEE-UHFFFAOYSA-N texas red Chemical compound [O-]S(=O)(=O)C1=CC(S(Cl)(=O)=O)=CC=C1C(C1=CC=2CCCN3CCCC(C=23)=C1O1)=C2C1=C(CCC1)C3=[N+]1CCCC3=C2 MPLHNVLQVRSVEE-UHFFFAOYSA-N 0.000 description 1
- 239000010409 thin film Substances 0.000 description 1
- 229940113082 thymine Drugs 0.000 description 1
- 208000013818 thyroid gland medullary carcinoma Diseases 0.000 description 1
- 230000001988 toxicity Effects 0.000 description 1
- 231100000419 toxicity Toxicity 0.000 description 1
- 230000005030 transcription termination Effects 0.000 description 1
- 230000002103 transcriptional effect Effects 0.000 description 1
- 238000012546 transfer Methods 0.000 description 1
- 238000011830 transgenic mouse model Methods 0.000 description 1
- 230000032258 transport Effects 0.000 description 1
- QORWJWZARLRLPR-UHFFFAOYSA-H tricalcium bis(phosphate) Chemical compound [Ca+2].[Ca+2].[Ca+2].[O-]P([O-])([O-])=O.[O-]P([O-])([O-])=O QORWJWZARLRLPR-UHFFFAOYSA-H 0.000 description 1
- 239000013638 trimer Substances 0.000 description 1
- GPRLSGONYQIRFK-MNYXATJNSA-N triton Chemical compound [3H+] GPRLSGONYQIRFK-MNYXATJNSA-N 0.000 description 1
- 210000002993 trophoblast Anatomy 0.000 description 1
- 102000003298 tumor necrosis factor receptor Human genes 0.000 description 1
- 238000013042 tunel staining Methods 0.000 description 1
- 230000034512 ubiquitination Effects 0.000 description 1
- 238000010798 ubiquitination Methods 0.000 description 1
- 241000701161 unidentified adenovirus Species 0.000 description 1
- 241001515965 unidentified phage Species 0.000 description 1
- 230000003827 upregulation Effects 0.000 description 1
- 239000004474 valine Substances 0.000 description 1
- 230000009385 viral infection Effects 0.000 description 1
- 210000001260 vocal cord Anatomy 0.000 description 1
- 239000011534 wash buffer Substances 0.000 description 1
- 230000003442 weekly effect Effects 0.000 description 1
- 238000009736 wetting Methods 0.000 description 1
- 239000000080 wetting agent Substances 0.000 description 1
- 239000012130 whole-cell lysate Substances 0.000 description 1
- 210000005253 yeast cell Anatomy 0.000 description 1
- 239000011592 zinc chloride Substances 0.000 description 1
- 235000005074 zinc chloride Nutrition 0.000 description 1
Images
Classifications
-
- C—CHEMISTRY; METALLURGY
- C07—ORGANIC CHEMISTRY
- C07K—PEPTIDES
- C07K16/00—Immunoglobulins [IGs], e.g. monoclonal or polyclonal antibodies
- C07K16/40—Immunoglobulins [IGs], e.g. monoclonal or polyclonal antibodies against enzymes
-
- A—HUMAN NECESSITIES
- A61—MEDICAL OR VETERINARY SCIENCE; HYGIENE
- A61K—PREPARATIONS FOR MEDICAL, DENTAL OR TOILETRY PURPOSES
- A61K47/00—Medicinal preparations characterised by the non-active ingredients used, e.g. carriers or inert additives; Targeting or modifying agents chemically bound to the active ingredient
- A61K47/50—Medicinal preparations characterised by the non-active ingredients used, e.g. carriers or inert additives; Targeting or modifying agents chemically bound to the active ingredient the non-active ingredient being chemically bound to the active ingredient, e.g. polymer-drug conjugates
- A61K47/51—Medicinal preparations characterised by the non-active ingredients used, e.g. carriers or inert additives; Targeting or modifying agents chemically bound to the active ingredient the non-active ingredient being chemically bound to the active ingredient, e.g. polymer-drug conjugates the non-active ingredient being a modifying agent
- A61K47/68—Medicinal preparations characterised by the non-active ingredients used, e.g. carriers or inert additives; Targeting or modifying agents chemically bound to the active ingredient the non-active ingredient being chemically bound to the active ingredient, e.g. polymer-drug conjugates the non-active ingredient being a modifying agent the modifying agent being an antibody, an immunoglobulin or a fragment thereof, e.g. an Fc-fragment
- A61K47/6835—Medicinal preparations characterised by the non-active ingredients used, e.g. carriers or inert additives; Targeting or modifying agents chemically bound to the active ingredient the non-active ingredient being chemically bound to the active ingredient, e.g. polymer-drug conjugates the non-active ingredient being a modifying agent the modifying agent being an antibody, an immunoglobulin or a fragment thereof, e.g. an Fc-fragment the modifying agent being an antibody or an immunoglobulin bearing at least one antigen-binding site
- A61K47/6849—Medicinal preparations characterised by the non-active ingredients used, e.g. carriers or inert additives; Targeting or modifying agents chemically bound to the active ingredient the non-active ingredient being chemically bound to the active ingredient, e.g. polymer-drug conjugates the non-active ingredient being a modifying agent the modifying agent being an antibody, an immunoglobulin or a fragment thereof, e.g. an Fc-fragment the modifying agent being an antibody or an immunoglobulin bearing at least one antigen-binding site the antibody targeting a receptor, a cell surface antigen or a cell surface determinant
-
- A—HUMAN NECESSITIES
- A61—MEDICAL OR VETERINARY SCIENCE; HYGIENE
- A61K—PREPARATIONS FOR MEDICAL, DENTAL OR TOILETRY PURPOSES
- A61K31/00—Medicinal preparations containing organic active ingredients
- A61K31/33—Heterocyclic compounds
- A61K31/395—Heterocyclic compounds having nitrogen as a ring hetero atom, e.g. guanethidine or rifamycins
- A61K31/495—Heterocyclic compounds having nitrogen as a ring hetero atom, e.g. guanethidine or rifamycins having six-membered rings with two or more nitrogen atoms as the only ring heteroatoms, e.g. piperazine or tetrazines
-
- A—HUMAN NECESSITIES
- A61—MEDICAL OR VETERINARY SCIENCE; HYGIENE
- A61K—PREPARATIONS FOR MEDICAL, DENTAL OR TOILETRY PURPOSES
- A61K39/00—Medicinal preparations containing antigens or antibodies
- A61K39/395—Antibodies; Immunoglobulins; Immune serum, e.g. antilymphocytic serum
-
- A—HUMAN NECESSITIES
- A61—MEDICAL OR VETERINARY SCIENCE; HYGIENE
- A61K—PREPARATIONS FOR MEDICAL, DENTAL OR TOILETRY PURPOSES
- A61K39/00—Medicinal preparations containing antigens or antibodies
- A61K39/395—Antibodies; Immunoglobulins; Immune serum, e.g. antilymphocytic serum
- A61K39/39533—Antibodies; Immunoglobulins; Immune serum, e.g. antilymphocytic serum against materials from animals
- A61K39/39541—Antibodies; Immunoglobulins; Immune serum, e.g. antilymphocytic serum against materials from animals against normal tissues, cells
-
- A—HUMAN NECESSITIES
- A61—MEDICAL OR VETERINARY SCIENCE; HYGIENE
- A61K—PREPARATIONS FOR MEDICAL, DENTAL OR TOILETRY PURPOSES
- A61K39/00—Medicinal preparations containing antigens or antibodies
- A61K39/395—Antibodies; Immunoglobulins; Immune serum, e.g. antilymphocytic serum
- A61K39/39533—Antibodies; Immunoglobulins; Immune serum, e.g. antilymphocytic serum against materials from animals
- A61K39/39558—Antibodies; Immunoglobulins; Immune serum, e.g. antilymphocytic serum against materials from animals against tumor tissues, cells, antigens
-
- A—HUMAN NECESSITIES
- A61—MEDICAL OR VETERINARY SCIENCE; HYGIENE
- A61K—PREPARATIONS FOR MEDICAL, DENTAL OR TOILETRY PURPOSES
- A61K47/00—Medicinal preparations characterised by the non-active ingredients used, e.g. carriers or inert additives; Targeting or modifying agents chemically bound to the active ingredient
- A61K47/50—Medicinal preparations characterised by the non-active ingredients used, e.g. carriers or inert additives; Targeting or modifying agents chemically bound to the active ingredient the non-active ingredient being chemically bound to the active ingredient, e.g. polymer-drug conjugates
- A61K47/51—Medicinal preparations characterised by the non-active ingredients used, e.g. carriers or inert additives; Targeting or modifying agents chemically bound to the active ingredient the non-active ingredient being chemically bound to the active ingredient, e.g. polymer-drug conjugates the non-active ingredient being a modifying agent
- A61K47/68—Medicinal preparations characterised by the non-active ingredients used, e.g. carriers or inert additives; Targeting or modifying agents chemically bound to the active ingredient the non-active ingredient being chemically bound to the active ingredient, e.g. polymer-drug conjugates the non-active ingredient being a modifying agent the modifying agent being an antibody, an immunoglobulin or a fragment thereof, e.g. an Fc-fragment
-
- A—HUMAN NECESSITIES
- A61—MEDICAL OR VETERINARY SCIENCE; HYGIENE
- A61K—PREPARATIONS FOR MEDICAL, DENTAL OR TOILETRY PURPOSES
- A61K47/00—Medicinal preparations characterised by the non-active ingredients used, e.g. carriers or inert additives; Targeting or modifying agents chemically bound to the active ingredient
- A61K47/50—Medicinal preparations characterised by the non-active ingredients used, e.g. carriers or inert additives; Targeting or modifying agents chemically bound to the active ingredient the non-active ingredient being chemically bound to the active ingredient, e.g. polymer-drug conjugates
- A61K47/51—Medicinal preparations characterised by the non-active ingredients used, e.g. carriers or inert additives; Targeting or modifying agents chemically bound to the active ingredient the non-active ingredient being chemically bound to the active ingredient, e.g. polymer-drug conjugates the non-active ingredient being a modifying agent
- A61K47/68—Medicinal preparations characterised by the non-active ingredients used, e.g. carriers or inert additives; Targeting or modifying agents chemically bound to the active ingredient the non-active ingredient being chemically bound to the active ingredient, e.g. polymer-drug conjugates the non-active ingredient being a modifying agent the modifying agent being an antibody, an immunoglobulin or a fragment thereof, e.g. an Fc-fragment
- A61K47/6835—Medicinal preparations characterised by the non-active ingredients used, e.g. carriers or inert additives; Targeting or modifying agents chemically bound to the active ingredient the non-active ingredient being chemically bound to the active ingredient, e.g. polymer-drug conjugates the non-active ingredient being a modifying agent the modifying agent being an antibody, an immunoglobulin or a fragment thereof, e.g. an Fc-fragment the modifying agent being an antibody or an immunoglobulin bearing at least one antigen-binding site
- A61K47/6871—Medicinal preparations characterised by the non-active ingredients used, e.g. carriers or inert additives; Targeting or modifying agents chemically bound to the active ingredient the non-active ingredient being chemically bound to the active ingredient, e.g. polymer-drug conjugates the non-active ingredient being a modifying agent the modifying agent being an antibody, an immunoglobulin or a fragment thereof, e.g. an Fc-fragment the modifying agent being an antibody or an immunoglobulin bearing at least one antigen-binding site the antibody targeting an enzyme
-
- A—HUMAN NECESSITIES
- A61—MEDICAL OR VETERINARY SCIENCE; HYGIENE
- A61K—PREPARATIONS FOR MEDICAL, DENTAL OR TOILETRY PURPOSES
- A61K51/00—Preparations containing radioactive substances for use in therapy or testing in vivo
- A61K51/02—Preparations containing radioactive substances for use in therapy or testing in vivo characterised by the carrier, i.e. characterised by the agent or material covalently linked or complexing the radioactive nucleus
- A61K51/04—Organic compounds
- A61K51/08—Peptides, e.g. proteins, carriers being peptides, polyamino acids, proteins
- A61K51/10—Antibodies or immunoglobulins; Fragments thereof, the carrier being an antibody, an immunoglobulin or a fragment thereof, e.g. a camelised human single domain antibody or the Fc fragment of an antibody
- A61K51/1027—Antibodies or immunoglobulins; Fragments thereof, the carrier being an antibody, an immunoglobulin or a fragment thereof, e.g. a camelised human single domain antibody or the Fc fragment of an antibody against receptors, cell-surface antigens or cell-surface determinants
- A61K51/103—Antibodies or immunoglobulins; Fragments thereof, the carrier being an antibody, an immunoglobulin or a fragment thereof, e.g. a camelised human single domain antibody or the Fc fragment of an antibody against receptors, cell-surface antigens or cell-surface determinants against receptors for growth factors or receptors for growth regulators
-
- A—HUMAN NECESSITIES
- A61—MEDICAL OR VETERINARY SCIENCE; HYGIENE
- A61K—PREPARATIONS FOR MEDICAL, DENTAL OR TOILETRY PURPOSES
- A61K51/00—Preparations containing radioactive substances for use in therapy or testing in vivo
- A61K51/02—Preparations containing radioactive substances for use in therapy or testing in vivo characterised by the carrier, i.e. characterised by the agent or material covalently linked or complexing the radioactive nucleus
- A61K51/04—Organic compounds
- A61K51/08—Peptides, e.g. proteins, carriers being peptides, polyamino acids, proteins
- A61K51/10—Antibodies or immunoglobulins; Fragments thereof, the carrier being an antibody, an immunoglobulin or a fragment thereof, e.g. a camelised human single domain antibody or the Fc fragment of an antibody
- A61K51/1045—Antibodies or immunoglobulins; Fragments thereof, the carrier being an antibody, an immunoglobulin or a fragment thereof, e.g. a camelised human single domain antibody or the Fc fragment of an antibody against animal or human tumor cells or tumor cell determinants
-
- A—HUMAN NECESSITIES
- A61—MEDICAL OR VETERINARY SCIENCE; HYGIENE
- A61K—PREPARATIONS FOR MEDICAL, DENTAL OR TOILETRY PURPOSES
- A61K51/00—Preparations containing radioactive substances for use in therapy or testing in vivo
- A61K51/02—Preparations containing radioactive substances for use in therapy or testing in vivo characterised by the carrier, i.e. characterised by the agent or material covalently linked or complexing the radioactive nucleus
- A61K51/04—Organic compounds
- A61K51/08—Peptides, e.g. proteins, carriers being peptides, polyamino acids, proteins
- A61K51/10—Antibodies or immunoglobulins; Fragments thereof, the carrier being an antibody, an immunoglobulin or a fragment thereof, e.g. a camelised human single domain antibody or the Fc fragment of an antibody
- A61K51/1078—Antibodies or immunoglobulins; Fragments thereof, the carrier being an antibody, an immunoglobulin or a fragment thereof, e.g. a camelised human single domain antibody or the Fc fragment of an antibody the antibody being against an immunoglobulin, i.e. being an (anti)-anti-idiotypic antibody
-
- A—HUMAN NECESSITIES
- A61—MEDICAL OR VETERINARY SCIENCE; HYGIENE
- A61P—SPECIFIC THERAPEUTIC ACTIVITY OF CHEMICAL COMPOUNDS OR MEDICINAL PREPARATIONS
- A61P35/00—Antineoplastic agents
-
- A—HUMAN NECESSITIES
- A61—MEDICAL OR VETERINARY SCIENCE; HYGIENE
- A61P—SPECIFIC THERAPEUTIC ACTIVITY OF CHEMICAL COMPOUNDS OR MEDICINAL PREPARATIONS
- A61P43/00—Drugs for specific purposes, not provided for in groups A61P1/00-A61P41/00
-
- C—CHEMISTRY; METALLURGY
- C07—ORGANIC CHEMISTRY
- C07K—PEPTIDES
- C07K16/00—Immunoglobulins [IGs], e.g. monoclonal or polyclonal antibodies
- C07K16/18—Immunoglobulins [IGs], e.g. monoclonal or polyclonal antibodies against material from animals or humans
- C07K16/28—Immunoglobulins [IGs], e.g. monoclonal or polyclonal antibodies against material from animals or humans against receptors, cell surface antigens or cell surface determinants
- C07K16/2863—Immunoglobulins [IGs], e.g. monoclonal or polyclonal antibodies against material from animals or humans against receptors, cell surface antigens or cell surface determinants against receptors for growth factors, growth regulators
-
- C—CHEMISTRY; METALLURGY
- C07—ORGANIC CHEMISTRY
- C07K—PEPTIDES
- C07K16/00—Immunoglobulins [IGs], e.g. monoclonal or polyclonal antibodies
- C07K16/18—Immunoglobulins [IGs], e.g. monoclonal or polyclonal antibodies against material from animals or humans
- C07K16/28—Immunoglobulins [IGs], e.g. monoclonal or polyclonal antibodies against material from animals or humans against receptors, cell surface antigens or cell surface determinants
- C07K16/30—Immunoglobulins [IGs], e.g. monoclonal or polyclonal antibodies against material from animals or humans against receptors, cell surface antigens or cell surface determinants from tumour cells
-
- C—CHEMISTRY; METALLURGY
- C07—ORGANIC CHEMISTRY
- C07K—PEPTIDES
- C07K16/00—Immunoglobulins [IGs], e.g. monoclonal or polyclonal antibodies
- C07K16/42—Immunoglobulins [IGs], e.g. monoclonal or polyclonal antibodies against immunoglobulins
- C07K16/4208—Immunoglobulins [IGs], e.g. monoclonal or polyclonal antibodies against immunoglobulins against an idiotypic determinant on Ig
- C07K16/4241—Immunoglobulins [IGs], e.g. monoclonal or polyclonal antibodies against immunoglobulins against an idiotypic determinant on Ig against anti-human or anti-animal Ig
- C07K16/4258—Immunoglobulins [IGs], e.g. monoclonal or polyclonal antibodies against immunoglobulins against an idiotypic determinant on Ig against anti-human or anti-animal Ig against anti-receptor Ig
-
- G—PHYSICS
- G01—MEASURING; TESTING
- G01N—INVESTIGATING OR ANALYSING MATERIALS BY DETERMINING THEIR CHEMICAL OR PHYSICAL PROPERTIES
- G01N33/00—Investigating or analysing materials by specific methods not covered by groups G01N1/00 - G01N31/00
- G01N33/48—Biological material, e.g. blood, urine; Haemocytometers
- G01N33/50—Chemical analysis of biological material, e.g. blood, urine; Testing involving biospecific ligand binding methods; Immunological testing
- G01N33/53—Immunoassay; Biospecific binding assay; Materials therefor
- G01N33/574—Immunoassay; Biospecific binding assay; Materials therefor for cancer
-
- G—PHYSICS
- G01—MEASURING; TESTING
- G01N—INVESTIGATING OR ANALYSING MATERIALS BY DETERMINING THEIR CHEMICAL OR PHYSICAL PROPERTIES
- G01N33/00—Investigating or analysing materials by specific methods not covered by groups G01N1/00 - G01N31/00
- G01N33/48—Biological material, e.g. blood, urine; Haemocytometers
- G01N33/50—Chemical analysis of biological material, e.g. blood, urine; Testing involving biospecific ligand binding methods; Immunological testing
- G01N33/53—Immunoassay; Biospecific binding assay; Materials therefor
- G01N33/574—Immunoassay; Biospecific binding assay; Materials therefor for cancer
- G01N33/57484—Immunoassay; Biospecific binding assay; Materials therefor for cancer involving compounds serving as markers for tumor, cancer, neoplasia, e.g. cellular determinants, receptors, heat shock/stress proteins, A-protein, oligosaccharides, metabolites
-
- A—HUMAN NECESSITIES
- A61—MEDICAL OR VETERINARY SCIENCE; HYGIENE
- A61K—PREPARATIONS FOR MEDICAL, DENTAL OR TOILETRY PURPOSES
- A61K39/00—Medicinal preparations containing antigens or antibodies
- A61K2039/505—Medicinal preparations containing antigens or antibodies comprising antibodies
-
- A—HUMAN NECESSITIES
- A61—MEDICAL OR VETERINARY SCIENCE; HYGIENE
- A61K—PREPARATIONS FOR MEDICAL, DENTAL OR TOILETRY PURPOSES
- A61K2300/00—Mixtures or combinations of active ingredients, wherein at least one active ingredient is fully defined in groups A61K31/00 - A61K41/00
-
- C—CHEMISTRY; METALLURGY
- C07—ORGANIC CHEMISTRY
- C07K—PEPTIDES
- C07K2317/00—Immunoglobulins specific features
- C07K2317/20—Immunoglobulins specific features characterized by taxonomic origin
- C07K2317/24—Immunoglobulins specific features characterized by taxonomic origin containing regions, domains or residues from different species, e.g. chimeric, humanized or veneered
-
- C—CHEMISTRY; METALLURGY
- C07—ORGANIC CHEMISTRY
- C07K—PEPTIDES
- C07K2317/00—Immunoglobulins specific features
- C07K2317/30—Immunoglobulins specific features characterized by aspects of specificity or valency
- C07K2317/34—Identification of a linear epitope shorter than 20 amino acid residues or of a conformational epitope defined by amino acid residues
-
- C—CHEMISTRY; METALLURGY
- C07—ORGANIC CHEMISTRY
- C07K—PEPTIDES
- C07K2317/00—Immunoglobulins specific features
- C07K2317/50—Immunoglobulins specific features characterized by immunoglobulin fragments
- C07K2317/51—Complete heavy chain or Fd fragment, i.e. VH + CH1
-
- C—CHEMISTRY; METALLURGY
- C07—ORGANIC CHEMISTRY
- C07K—PEPTIDES
- C07K2317/00—Immunoglobulins specific features
- C07K2317/50—Immunoglobulins specific features characterized by immunoglobulin fragments
- C07K2317/515—Complete light chain, i.e. VL + CL
-
- C—CHEMISTRY; METALLURGY
- C07—ORGANIC CHEMISTRY
- C07K—PEPTIDES
- C07K2317/00—Immunoglobulins specific features
- C07K2317/50—Immunoglobulins specific features characterized by immunoglobulin fragments
- C07K2317/52—Constant or Fc region; Isotype
-
- C—CHEMISTRY; METALLURGY
- C07—ORGANIC CHEMISTRY
- C07K—PEPTIDES
- C07K2317/00—Immunoglobulins specific features
- C07K2317/50—Immunoglobulins specific features characterized by immunoglobulin fragments
- C07K2317/54—F(ab')2
-
- C—CHEMISTRY; METALLURGY
- C07—ORGANIC CHEMISTRY
- C07K—PEPTIDES
- C07K2317/00—Immunoglobulins specific features
- C07K2317/50—Immunoglobulins specific features characterized by immunoglobulin fragments
- C07K2317/56—Immunoglobulins specific features characterized by immunoglobulin fragments variable (Fv) region, i.e. VH and/or VL
-
- C—CHEMISTRY; METALLURGY
- C07—ORGANIC CHEMISTRY
- C07K—PEPTIDES
- C07K2317/00—Immunoglobulins specific features
- C07K2317/50—Immunoglobulins specific features characterized by immunoglobulin fragments
- C07K2317/56—Immunoglobulins specific features characterized by immunoglobulin fragments variable (Fv) region, i.e. VH and/or VL
- C07K2317/565—Complementarity determining region [CDR]
-
- C—CHEMISTRY; METALLURGY
- C07—ORGANIC CHEMISTRY
- C07K—PEPTIDES
- C07K2317/00—Immunoglobulins specific features
- C07K2317/60—Immunoglobulins specific features characterized by non-natural combinations of immunoglobulin fragments
- C07K2317/62—Immunoglobulins specific features characterized by non-natural combinations of immunoglobulin fragments comprising only variable region components
- C07K2317/622—Single chain antibody (scFv)
-
- C—CHEMISTRY; METALLURGY
- C07—ORGANIC CHEMISTRY
- C07K—PEPTIDES
- C07K2317/00—Immunoglobulins specific features
- C07K2317/70—Immunoglobulins specific features characterized by effect upon binding to a cell or to an antigen
- C07K2317/73—Inducing cell death, e.g. apoptosis, necrosis or inhibition of cell proliferation
-
- C—CHEMISTRY; METALLURGY
- C07—ORGANIC CHEMISTRY
- C07K—PEPTIDES
- C07K2317/00—Immunoglobulins specific features
- C07K2317/70—Immunoglobulins specific features characterized by effect upon binding to a cell or to an antigen
- C07K2317/73—Inducing cell death, e.g. apoptosis, necrosis or inhibition of cell proliferation
- C07K2317/732—Antibody-dependent cellular cytotoxicity [ADCC]
-
- C—CHEMISTRY; METALLURGY
- C07—ORGANIC CHEMISTRY
- C07K—PEPTIDES
- C07K2317/00—Immunoglobulins specific features
- C07K2317/70—Immunoglobulins specific features characterized by effect upon binding to a cell or to an antigen
- C07K2317/73—Inducing cell death, e.g. apoptosis, necrosis or inhibition of cell proliferation
- C07K2317/734—Complement-dependent cytotoxicity [CDC]
-
- C—CHEMISTRY; METALLURGY
- C07—ORGANIC CHEMISTRY
- C07K—PEPTIDES
- C07K2317/00—Immunoglobulins specific features
- C07K2317/70—Immunoglobulins specific features characterized by effect upon binding to a cell or to an antigen
- C07K2317/77—Internalization into the cell
-
- C—CHEMISTRY; METALLURGY
- C07—ORGANIC CHEMISTRY
- C07K—PEPTIDES
- C07K2317/00—Immunoglobulins specific features
- C07K2317/90—Immunoglobulins specific features characterized by (pharmaco)kinetic aspects or by stability of the immunoglobulin
- C07K2317/92—Affinity (KD), association rate (Ka), dissociation rate (Kd) or EC50 value
Landscapes
- Health & Medical Sciences (AREA)
- Chemical & Material Sciences (AREA)
- Life Sciences & Earth Sciences (AREA)
- Immunology (AREA)
- Medicinal Chemistry (AREA)
- General Health & Medical Sciences (AREA)
- Organic Chemistry (AREA)
- Proteomics, Peptides & Aminoacids (AREA)
- Pharmacology & Pharmacy (AREA)
- Animal Behavior & Ethology (AREA)
- Public Health (AREA)
- Veterinary Medicine (AREA)
- Epidemiology (AREA)
- Engineering & Computer Science (AREA)
- Molecular Biology (AREA)
- Biochemistry (AREA)
- Biophysics (AREA)
- Genetics & Genomics (AREA)
- Bioinformatics & Cheminformatics (AREA)
- Physics & Mathematics (AREA)
- Cell Biology (AREA)
- Optics & Photonics (AREA)
- Biomedical Technology (AREA)
- Microbiology (AREA)
- Oncology (AREA)
- Mycology (AREA)
- Nuclear Medicine, Radiotherapy & Molecular Imaging (AREA)
- General Chemical & Material Sciences (AREA)
- Chemical Kinetics & Catalysis (AREA)
- Hematology (AREA)
- Urology & Nephrology (AREA)
- Hospice & Palliative Care (AREA)
- Biotechnology (AREA)
- Food Science & Technology (AREA)
- Analytical Chemistry (AREA)
- General Physics & Mathematics (AREA)
- Pathology (AREA)
- Peptides Or Proteins (AREA)
- Medicines Containing Antibodies Or Antigens For Use As Internal Diagnostic Agents (AREA)
- Preparation Of Compounds By Using Micro-Organisms (AREA)
Applications Claiming Priority (3)
| Application Number | Priority Date | Filing Date | Title |
|---|---|---|---|
| US12/388,504 | 2009-02-18 | ||
| US12/388,504 US20100056762A1 (en) | 2001-05-11 | 2009-02-18 | Specific binding proteins and uses thereof |
| PCT/US2010/024407 WO2010096434A2 (en) | 2009-02-18 | 2010-02-17 | Specific binding proteins and uses thereof |
Related Parent Applications (1)
| Application Number | Title | Priority Date | Filing Date |
|---|---|---|---|
| KR1020187032867A Division KR20180125044A (ko) | 2009-02-18 | 2010-02-17 | 특이적 결합 단백질 및 이의 용도 |
Related Child Applications (1)
| Application Number | Title | Priority Date | Filing Date |
|---|---|---|---|
| KR1020217006120A Division KR20210028271A (ko) | 2009-02-18 | 2010-02-17 | 특이적 결합 단백질 및 이의 용도 |
Publications (1)
| Publication Number | Publication Date |
|---|---|
| KR20190076069A true KR20190076069A (ko) | 2019-07-01 |
Family
ID=42077108
Family Applications (7)
| Application Number | Title | Priority Date | Filing Date |
|---|---|---|---|
| KR1020217006120A Withdrawn KR20210028271A (ko) | 2009-02-18 | 2010-02-17 | 특이적 결합 단백질 및 이의 용도 |
| KR1020157020913A Active KR101809441B1 (ko) | 2009-02-18 | 2010-02-17 | 특이적 결합 단백질 및 이의 용도 |
| KR1020197018017A Withdrawn KR20190076069A (ko) | 2009-02-18 | 2010-02-17 | 특이적 결합 단백질 및 이의 용도 |
| KR1020227004795A Pending KR20220025913A (ko) | 2009-02-18 | 2010-02-17 | 특이적 결합 단백질 및 이의 용도 |
| KR1020187032867A Withdrawn KR20180125044A (ko) | 2009-02-18 | 2010-02-17 | 특이적 결합 단백질 및 이의 용도 |
| KR1020177018394A Active KR101921046B1 (ko) | 2009-02-18 | 2010-02-17 | 특이적 결합 단백질 및 이의 용도 |
| KR1020117021501A Active KR101579769B1 (ko) | 2009-02-18 | 2010-02-17 | 특이적 결합 단백질 및 이의 용도 |
Family Applications Before (2)
| Application Number | Title | Priority Date | Filing Date |
|---|---|---|---|
| KR1020217006120A Withdrawn KR20210028271A (ko) | 2009-02-18 | 2010-02-17 | 특이적 결합 단백질 및 이의 용도 |
| KR1020157020913A Active KR101809441B1 (ko) | 2009-02-18 | 2010-02-17 | 특이적 결합 단백질 및 이의 용도 |
Family Applications After (4)
| Application Number | Title | Priority Date | Filing Date |
|---|---|---|---|
| KR1020227004795A Pending KR20220025913A (ko) | 2009-02-18 | 2010-02-17 | 특이적 결합 단백질 및 이의 용도 |
| KR1020187032867A Withdrawn KR20180125044A (ko) | 2009-02-18 | 2010-02-17 | 특이적 결합 단백질 및 이의 용도 |
| KR1020177018394A Active KR101921046B1 (ko) | 2009-02-18 | 2010-02-17 | 특이적 결합 단백질 및 이의 용도 |
| KR1020117021501A Active KR101579769B1 (ko) | 2009-02-18 | 2010-02-17 | 특이적 결합 단백질 및 이의 용도 |
Country Status (34)
Families Citing this family (63)
| Publication number | Priority date | Publication date | Assignee | Title |
|---|---|---|---|---|
| US20110313230A1 (en) | 2001-05-11 | 2011-12-22 | Terrance Grant Johns | Specific binding proteins and uses thereof |
| US20100056762A1 (en) * | 2001-05-11 | 2010-03-04 | Old Lloyd J | Specific binding proteins and uses thereof |
| JP4414142B2 (ja) | 2001-05-11 | 2010-02-10 | ルードヴィッヒ インスティテュート フォー キャンサー リサーチ | 特異的結合タンパク質およびその使用 |
| US7767792B2 (en) * | 2004-02-20 | 2010-08-03 | Ludwig Institute For Cancer Research Ltd. | Antibodies to EGF receptor epitope peptides |
| CN104013956B (zh) * | 2007-01-25 | 2018-12-18 | 达娜-法勃肿瘤研究所公司 | 抗egfr抗体在治疗egfr突变体介导的疾病中的用途 |
| CA2680854C (en) * | 2007-03-15 | 2017-02-14 | Ludwig Institute For Cancer Research | Treatment method using egfr antibodies and src inhibitors and related formulations |
| CN108424454B (zh) | 2007-08-14 | 2022-05-31 | 路德维格癌症研究所有限公司 | 靶向egf受体的单克隆抗体175及其衍生物和用途 |
| CA2722466A1 (en) * | 2008-04-29 | 2009-11-05 | Tariq Ghayur | Dual variable domain immunoglobulins and uses thereof |
| US8314151B2 (en) | 2008-04-29 | 2012-11-20 | Enzo Therapeutics, Inc. | Sphingosine kinase type 1 inhibitors, and processes for using same |
| US20100260668A1 (en) * | 2008-04-29 | 2010-10-14 | Abbott Laboratories | Dual Variable Domain Immunoglobulins and Uses Thereof |
| SG191639A1 (en) * | 2008-06-03 | 2013-07-31 | Abbott Lab | Dual variable domain immunoglobulins and uses thereof |
| EP2297208A4 (en) * | 2008-06-03 | 2012-07-11 | Abbott Lab | DUAL VARIABLE DOMAIN IMMUNOGLOBULINS AND ITS USES |
| KR20110031369A (ko) * | 2008-07-08 | 2011-03-25 | 아보트 러보러터리즈 | 프로스타글란딘 e2 이원 가변 도메인 면역글로불린 및 이의 용도 |
| JP5781932B2 (ja) | 2008-11-03 | 2015-09-24 | アレシア・バイオセラピューティクス・インコーポレーテッド | 腫瘍抗原の生物活性を特異的にブロックする抗体 |
| TW201109438A (en) * | 2009-07-29 | 2011-03-16 | Abbott Lab | Dual variable domain immunoglobulins and uses thereof |
| RU2012112550A (ru) * | 2009-09-01 | 2013-10-10 | Эбботт Лэборетриз | Иммуноглобулины с двумя вариабельными доменами и их применение |
| US20110076232A1 (en) * | 2009-09-29 | 2011-03-31 | Ludwig Institute For Cancer Research | Specific binding proteins and uses thereof |
| TW201119676A (en) * | 2009-10-15 | 2011-06-16 | Abbott Lab | Dual variable domain immunoglobulins and uses thereof |
| UY32979A (es) | 2009-10-28 | 2011-02-28 | Abbott Lab | Inmunoglobulinas con dominio variable dual y usos de las mismas |
| WO2011100369A2 (en) * | 2010-02-09 | 2011-08-18 | The Trustees Of Columbia University In The City Of New York | Methods for altering polypeptide expression and solubility |
| EP2601218A4 (en) | 2010-08-03 | 2015-02-18 | Abbvie Inc | VARIABLE DOUBLE DOMAIN IMMUNOGLOBULINS AND USES THEREOF |
| US9051370B2 (en) | 2010-08-10 | 2015-06-09 | Glycotope Gmbh | Humanized EGFR antibodies |
| EP2603527A1 (en) * | 2010-08-10 | 2013-06-19 | Glycotope GmbH | Humanized egfr antibodies |
| BR112013004581A2 (pt) | 2010-08-26 | 2017-06-27 | Abbvie Inc | imunoglobulinas de domínio variável dual e seus usos |
| EP2670426B1 (en) | 2011-01-31 | 2017-05-10 | The General Hospital Corporation | Multimodal trail molecules and uses in cellular therapies |
| EP2691421B1 (en) | 2011-03-31 | 2016-11-09 | Alethia Biotherapeutics Inc. | Antibodies against kidney associated antigen 1 and antigen binding fragments thereof |
| US8911992B2 (en) * | 2011-04-28 | 2014-12-16 | Bio-Rad Laboratories, Inc. | DNA removal in target molecule purification |
| JP2015508994A (ja) | 2011-12-30 | 2015-03-26 | アッヴィ・インコーポレイテッド | Il−13および/またはil−17に対する二重可変ドメイン免疫グロブリン |
| EA201992513A1 (ru) | 2012-01-09 | 2020-05-31 | Адс Терапьютикс Са | Способ лечения рака груди |
| CN103382223B (zh) | 2012-04-01 | 2015-06-10 | 上海益杰生物技术有限公司 | 针对表皮生长因子受体隐蔽表位和t细胞抗原的多功能抗体多肽 |
| US9862932B2 (en) | 2012-07-24 | 2018-01-09 | The General Hospital Corporation | Oncolytic virus therapy for resistant tumors |
| US9605074B2 (en) * | 2012-08-30 | 2017-03-28 | The General Hospital Corporation | Multifunctional nanobodies for treating cancer |
| US20150293105A1 (en) * | 2012-10-26 | 2015-10-15 | The University Of Queensland | Methods for classifying tumors and uses therefor |
| RU2636043C2 (ru) | 2012-11-01 | 2017-11-17 | Эббви Инк. | Анти-vegf/dll4-иммуноглобулины с двойными вариабельными доменами и их применения |
| CN105324396A (zh) | 2013-03-15 | 2016-02-10 | 艾伯维公司 | 针对IL-1β和/或IL-17的双重特异性结合蛋白 |
| CN107058354A (zh) * | 2013-04-01 | 2017-08-18 | 科济生物医药(上海)有限公司 | 编码嵌合抗原受体蛋白的核酸及表达嵌合抗原受体蛋白的t淋巴细胞 |
| DK3030581T3 (da) * | 2013-08-07 | 2021-04-12 | Affimed Gmbh | Antistofbindingssteder, der er specifikke for egfrviii |
| CN106459199B (zh) | 2014-03-11 | 2021-01-01 | 瑞泽恩制药公司 | 抗-egfrviii抗体及其用途 |
| TW202330606A (zh) | 2014-03-21 | 2023-08-01 | 美商艾伯維有限公司 | 抗-egfr抗體及抗體藥物結合物 |
| DE112014006656B4 (de) | 2014-05-14 | 2018-05-17 | Carsgen Therapeutics Limited | Nukleinsäure zur Kodierung eines chimären Antigen-Rezeptor-Proteins und T-Lymphozyt zur Expression eines chimären Antigen-Rezeptor-Proteins |
| US10093733B2 (en) | 2014-12-11 | 2018-10-09 | Abbvie Inc. | LRP-8 binding dual variable domain immunoglobulin proteins |
| TW201710286A (zh) | 2015-06-15 | 2017-03-16 | 艾伯維有限公司 | 抗vegf、pdgf及/或其受體之結合蛋白 |
| CN106349389B (zh) * | 2015-07-21 | 2019-11-15 | 科济生物医药(上海)有限公司 | 肿瘤特异性抗egfr抗体及其应用 |
| US10768794B2 (en) | 2015-12-21 | 2020-09-08 | Sap Se | Truncated synchronization of data object instances |
| US11360997B2 (en) | 2015-12-21 | 2022-06-14 | Sap Se | Data synchronization error resolution based on UI manipulation actions |
| CN109963870B (zh) | 2016-06-08 | 2023-07-28 | 艾伯维公司 | 抗b7-h3抗体和抗体药物偶联物 |
| BR112018075639A2 (pt) | 2016-06-08 | 2019-04-09 | Abbvie Inc. | conjugados de anticorpo fármaco anti-egfr |
| CN109563168A (zh) | 2016-06-08 | 2019-04-02 | 艾伯维公司 | 抗egfr抗体药物偶联物 |
| EP3468616A1 (en) | 2016-06-08 | 2019-04-17 | AbbVie Inc. | Anti-egfr antibody drug conjugates |
| WO2018075823A1 (en) | 2016-10-19 | 2018-04-26 | United States Government As Represented By The Department Of Veterans Affairs | Compositions and methods for treating cancer |
| WO2018183762A1 (en) | 2017-03-29 | 2018-10-04 | United States Government As Represented By The Department Of Veterans Affairs | Methods and compositions for treating cancer |
| US10675255B2 (en) | 2017-06-23 | 2020-06-09 | Enzo Bochem, Inc. | Sphingosine pathway modulating compounds for the treatment of cancers |
| US10660879B2 (en) | 2017-06-23 | 2020-05-26 | Enzo Biochem, Inc. | Sphingosine pathway modulating compounds for the treatment of cancers |
| CN108220244A (zh) * | 2018-01-18 | 2018-06-29 | 东北农业大学 | 一种含重组人表皮生长因子受体抗体基因的cho细胞株、筛选方法及其生产工艺 |
| CN107974461A (zh) * | 2018-01-18 | 2018-05-01 | 东北农业大学 | 一种高效表达anti-hEGFR基因的真核表达载体构建方法 |
| CN108250297B (zh) * | 2018-01-23 | 2021-07-23 | 上海生物制品研究所有限责任公司 | 抗egfr抗体、其制法及其应用 |
| US20220169747A1 (en) * | 2019-03-22 | 2022-06-02 | Olivia Newton-John Cancer Research Institute | Anti-her2 binding molecules |
| KR20210148228A (ko) * | 2019-03-27 | 2021-12-07 | 내셔날 리서치 카운실 오브 캐나다 | 항-EGFRvIII 항체 및 그의 항원-결합 단편 |
| EP4117788A4 (en) * | 2020-03-11 | 2024-04-10 | UNITED STATES GOVERNMENT as represented by THE DEPARTMENT OF VETERANS AFFAIRS | Combined inhibition of egfr and nrf2 in the treatment of malignant glioma |
| US20240307539A1 (en) * | 2020-09-30 | 2024-09-19 | Institute Of Zoology, Chinese Academy Of Science | Egfr-targeting chimeric antigen receptor |
| AR124681A1 (es) | 2021-01-20 | 2023-04-26 | Abbvie Inc | Conjugados anticuerpo-fármaco anti-egfr |
| EP4359440A1 (en) | 2021-06-22 | 2024-05-01 | Regeneron Pharmaceuticals, Inc. | Anti-egfrviii antibody drug conjugates and uses thereof |
| WO2024196798A1 (en) * | 2023-03-17 | 2024-09-26 | Asher Biotherapeutics, Inc. | Fusion protein and uses thereof |
Family Cites Families (300)
| Publication number | Priority date | Publication date | Assignee | Title |
|---|---|---|---|---|
| US439912A (en) | 1890-11-04 | Shutter worker | ||
| USRE31006E (en) | 1968-09-24 | 1982-08-03 | Akzona Incorporated | Process for the demonstration and determination of reaction components having specific binding affinity for each other |
| US3654090A (en) | 1968-09-24 | 1972-04-04 | Organon | Method for the determination of antigens and antibodies |
| NL154598B (nl) | 1970-11-10 | 1977-09-15 | Organon Nv | Werkwijze voor het aantonen en bepalen van laagmoleculire verbindingen en van eiwitten die deze verbindingen specifiek kunnen binden, alsmede testverpakking. |
| CU22545A1 (es) | 1994-11-18 | 1999-03-31 | Centro Inmunologia Molecular | Obtención de un anticuerpo quimérico y humanizado contra el receptor del factor de crecimiento epidérmico para uso diagnóstico y terapéutico |
| US4016043A (en) | 1975-09-04 | 1977-04-05 | Akzona Incorporated | Enzymatic immunological method for the determination of antigens and antibodies |
| US4151042A (en) | 1977-03-31 | 1979-04-24 | Takeda Chemical Industries, Ltd. | Method for producing maytansinol and its derivatives |
| US4162940A (en) | 1977-03-31 | 1979-07-31 | Takeda Chemical Industries, Ltd. | Method for producing Antibiotic C-15003 by culturing nocardia |
| US4169888A (en) | 1977-10-17 | 1979-10-02 | The Upjohn Company | Composition of matter and process |
| US4137230A (en) | 1977-11-14 | 1979-01-30 | Takeda Chemical Industries, Ltd. | Method for the production of maytansinoids |
| US4307016A (en) | 1978-03-24 | 1981-12-22 | Takeda Chemical Industries, Ltd. | Demethyl maytansinoids |
| US4265814A (en) | 1978-03-24 | 1981-05-05 | Takeda Chemical Industries | Matansinol 3-n-hexadecanoate |
| JPS5562090A (en) | 1978-10-27 | 1980-05-10 | Takeda Chem Ind Ltd | Novel maytansinoid compound and its preparation |
| JPS55164687A (en) | 1979-06-11 | 1980-12-22 | Takeda Chem Ind Ltd | Novel maytansinoid compound and its preparation |
| US4256746A (en) | 1978-11-14 | 1981-03-17 | Takeda Chemical Industries | Dechloromaytansinoids, their pharmaceutical compositions and method of use |
| JPS5566585A (en) | 1978-11-14 | 1980-05-20 | Takeda Chem Ind Ltd | Novel maytansinoid compound and its preparation |
| US4263294A (en) | 1978-11-20 | 1981-04-21 | Takeda Chemical Industries, Ltd. | Maytansinoids, pharmaceutical compositions thereof and method of use thereof |
| JPS55102583A (en) | 1979-01-31 | 1980-08-05 | Takeda Chem Ind Ltd | 20-acyloxy-20-demethylmaytansinoid compound |
| JPS55162791A (en) | 1979-06-05 | 1980-12-18 | Takeda Chem Ind Ltd | Antibiotic c-15003pnd and its preparation |
| JPS55164685A (en) | 1979-06-08 | 1980-12-22 | Takeda Chem Ind Ltd | Novel maytansinoid compound and its preparation |
| JPS55164686A (en) | 1979-06-11 | 1980-12-22 | Takeda Chem Ind Ltd | Novel maytansinoid compound and its preparation |
| US4309428A (en) | 1979-07-30 | 1982-01-05 | Takeda Chemical Industries, Ltd. | Maytansinoids |
| JPS5622790A (en) | 1979-07-31 | 1981-03-03 | Takeda Chem Ind Ltd | Novel maytansinoid compound and its preparation |
| JPS5645483A (en) | 1979-09-19 | 1981-04-25 | Takeda Chem Ind Ltd | C-15003phm and its preparation |
| JPS5645485A (en) | 1979-09-21 | 1981-04-25 | Takeda Chem Ind Ltd | Production of c-15003pnd |
| EP0028683A1 (en) | 1979-09-21 | 1981-05-20 | Takeda Chemical Industries, Ltd. | Antibiotic C-15003 PHO and production thereof |
| US4491632A (en) | 1979-10-22 | 1985-01-01 | The Massachusetts General Hospital | Process for producing antibodies to hepatitis virus and cell lines therefor |
| US4444887A (en) | 1979-12-10 | 1984-04-24 | Sloan-Kettering Institute | Process for making human antibody producing B-lymphocytes |
| US4342566A (en) | 1980-02-22 | 1982-08-03 | Scripps Clinic & Research Foundation | Solid phase anti-C3 assay for detection of immune complexes |
| EP0043718B1 (en) | 1980-07-07 | 1984-11-28 | National Research Development Corporation | Improvements in or relating to cell lines |
| US4341761A (en) | 1980-07-25 | 1982-07-27 | E. I. Du Pont De Nemours And Company | Antibodies to immunogenic peptides and their use to purify human fibroblast interferon |
| WO1982001188A1 (en) | 1980-10-08 | 1982-04-15 | Takeda Chemical Industries Ltd | 4,5-deoxymaytansinoide compounds and process for preparing same |
| US4413132A (en) | 1980-11-18 | 1983-11-01 | The Upjohn Company | Antibiotic CC-1065 indoline intermediates |
| US4313946A (en) | 1981-01-27 | 1982-02-02 | The United States Of America As Represented By The Secretary Of Agriculture | Chemotherapeutically active maytansinoids from Trewia nudiflora |
| US4466917A (en) | 1981-02-12 | 1984-08-21 | New York University | Malaria vaccine |
| US4493890A (en) | 1981-03-23 | 1985-01-15 | Miles Laboratories, Inc. | Activated apoglucose oxidase and its use in specific binding assays |
| US4451570A (en) | 1981-03-26 | 1984-05-29 | The Regents Of The University Of California | Immunoglobulin-secreting human hybridomas from a cultured human lymphoblastoid cell line |
| US4399121A (en) | 1981-11-04 | 1983-08-16 | Miles Laboratories, Inc. | Iodothyronine immunogens and antibodies |
| US4427783A (en) | 1981-12-14 | 1984-01-24 | Hoffmann-La Roche Inc. | Immunoassay of thymosin α1 |
| US4867973A (en) | 1984-08-31 | 1989-09-19 | Cytogen Corporation | Antibody-therapeutic agent conjugates |
| US4671958A (en) | 1982-03-09 | 1987-06-09 | Cytogen Corporation | Antibody conjugates for the delivery of compounds to target sites |
| FR2523445A1 (fr) | 1982-03-17 | 1983-09-23 | Sanofi Sa | Nouveaux conjugues associant, par liaison covalente, une enzyme et un anticorps, et associations medicamenteuses utilisant lesdits conjugues |
| US4418064A (en) | 1982-09-29 | 1983-11-29 | The United States Of America As Represented By The Secretary Of Agriculture | Chemotherapeutically active maytansinoids: treflorine, trenudine, and N-methyltrenudone |
| GB8308235D0 (en) | 1983-03-25 | 1983-05-05 | Celltech Ltd | Polypeptides |
| US4816567A (en) | 1983-04-08 | 1989-03-28 | Genentech, Inc. | Recombinant immunoglobin preparations |
| US4493795A (en) | 1983-10-17 | 1985-01-15 | Syntex (U.S.A.) Inc. | Synthetic peptide sequences useful in biological and pharmaceutical applications and methods of manufacture |
| US4933294A (en) | 1984-01-30 | 1990-06-12 | Icrf Patents Limited | Method of detecting truncated epidermal growth factor receptors |
| US4943533A (en) * | 1984-03-01 | 1990-07-24 | The Regents Of The University Of California | Hybrid cell lines that produce monoclonal antibodies to epidermal growth factor receptor |
| US5807715A (en) | 1984-08-27 | 1998-09-15 | The Board Of Trustees Of The Leland Stanford Junior University | Methods and transformed mammalian lymphocyte cells for producing functional antigen-binding protein including chimeric immunoglobulin |
| US5851526A (en) | 1985-04-19 | 1998-12-22 | Ludwig Institute For Cancer Research | Methods of treating colon cancer utilizing tumor-specific antibodies |
| US5776093A (en) | 1985-07-05 | 1998-07-07 | Immunomedics, Inc. | Method for imaging and treating organs and tissues |
| US5225539A (en) | 1986-03-27 | 1993-07-06 | Medical Research Council | Recombinant altered antibodies and methods of making altered antibodies |
| US4997913A (en) | 1986-06-30 | 1991-03-05 | Oncogen | pH-sensitive immunoconjugates and methods for their use in tumor therapy |
| IN165717B (enExample) | 1986-08-07 | 1989-12-23 | Battelle Memorial Institute | |
| USRE38008E1 (en) | 1986-10-09 | 2003-02-25 | Neorx Corporation | Methods for improved targeting of antibody, antibody fragments, hormones and other targeting agents, and conjugates thereof |
| US5034223A (en) | 1986-10-09 | 1991-07-23 | Neorx Corporation | Methods for improved targeting of antibody, antibody fragments, hormones and other targeting agents, and conjugates thereof |
| US5071773A (en) | 1986-10-24 | 1991-12-10 | The Salk Institute For Biological Studies | Hormone receptor-related bioassays |
| US5047324A (en) | 1986-12-09 | 1991-09-10 | Miles Inc. | Substantially pure enzyme-antibody conjugate preparations |
| US5332837A (en) | 1986-12-19 | 1994-07-26 | The Upjohn Company | CC-1065 analogs |
| US4952394A (en) | 1987-11-23 | 1990-08-28 | Bristol-Myers Company | Drug-monoclonal antibody conjugates |
| US5563250A (en) | 1987-12-02 | 1996-10-08 | Neorx Corporation | Cleavable conjugates for the delivery and release of agents in native form |
| US4981784A (en) | 1987-12-02 | 1991-01-01 | The Salk Institute For Biological Studies | Retinoic acid receptor method |
| WO1989006692A1 (en) | 1988-01-12 | 1989-07-27 | Genentech, Inc. | Method of treating tumor cells by inhibiting growth factor receptor function |
| US4937183A (en) | 1988-02-03 | 1990-06-26 | Cytogen Corporation | Method for the preparation of antibody-fragment conjugates |
| FI102355B (fi) | 1988-02-11 | 1998-11-30 | Squibb Bristol Myers Co | Menetelmä yhdistävän välikappaleen omaavien antrasykliini-immunokonjug aattien valmistamiseksi |
| EP0329184A3 (en) | 1988-02-19 | 1990-05-23 | Neorx Corporation | Antimers and antimeric conjugation |
| US6010902A (en) | 1988-04-04 | 2000-01-04 | Bristol-Meyers Squibb Company | Antibody heteroconjugates and bispecific antibodies for use in regulation of lymphocyte activity |
| US5028697A (en) | 1988-08-08 | 1991-07-02 | Eli Lilly And Company | Cytotoxic antibody conjugates of hydrazide derivatized methotrexate analogs via simple organic linkers |
| AU632288B2 (en) | 1988-09-12 | 1992-12-24 | Pharmacia & Upjohn Company | Novel cc-1065 analogs having two cpi subunits |
| AU4128089A (en) * | 1988-09-15 | 1990-03-22 | Rorer International (Overseas) Inc. | Monoclonal antibodies specific to human epidermal growth factor receptor and therapeutic methods employing same |
| US5171563A (en) | 1988-09-30 | 1992-12-15 | Neorx Corporation | Cleavable linkers for the reduction of non-target organ retention of immunoconjugates |
| WO1990003799A1 (en) | 1988-10-12 | 1990-04-19 | Centocor, Inc. | Radiotherapeutic immunoconjugates labeled with iodine-125 |
| US5217713A (en) | 1988-12-27 | 1993-06-08 | Takeda Chemical Industries, Ltd. | Cytotoxic bispecific monoclonal antibody, its production and use |
| CA2006408A1 (en) | 1988-12-27 | 1990-06-27 | Susumu Iwasa | Bispecific monoclonal antibody, its production and use |
| US5013547A (en) | 1989-02-07 | 1991-05-07 | Erbamont, Inc. | Anticancer drug - antibody conjugates and method for preparing same |
| US5116964A (en) | 1989-02-23 | 1992-05-26 | Genentech, Inc. | Hybrid immunoglobulins |
| US6020145A (en) | 1989-06-30 | 2000-02-01 | Bristol-Myers Squibb Company | Methods for determining the presence of carcinoma using the antigen binding region of monoclonal antibody BR96 |
| US5980896A (en) | 1989-06-30 | 1999-11-09 | Bristol-Myers Squibb Company | Antibodies reactive with human carcinomas |
| US5332567A (en) | 1989-08-24 | 1994-07-26 | Immunomedics | Detection and treatment of infections with immunoconjugates |
| WO1991003489A1 (en) | 1989-09-08 | 1991-03-21 | The Johns Hopkins University | Structural alterations of the egf receptor gene in human gliomas |
| US5208020A (en) | 1989-10-25 | 1993-05-04 | Immunogen Inc. | Cytotoxic agents comprising maytansinoids and their therapeutic use |
| US6150584A (en) | 1990-01-12 | 2000-11-21 | Abgenix, Inc. | Human antibodies derived from immunized xenomice |
| US6075181A (en) | 1990-01-12 | 2000-06-13 | Abgenix, Inc. | Human antibodies derived from immunized xenomice |
| US5459061A (en) * | 1990-01-26 | 1995-10-17 | W. Alton Jones Cell Science Center, Inc. | Hybridomas producing monoclonal antibodies which specifically bind to continuous epitope on the human EGF receptor and compete with EGF for binding to the EGF receptor |
| JPH05504481A (ja) | 1990-02-20 | 1993-07-15 | クールター コーポレイション | 改良された抗体―酵素直接接合体及びその製造方法 |
| AU7774391A (en) | 1990-04-20 | 1991-11-11 | Ludwig Institute For Cancer Research | Aberrant, epidermal growth factor receptor dna, rna and protein forms and method |
| AU648313B2 (en) | 1990-04-25 | 1994-04-21 | Pharmacia & Upjohn Company | Novel CC-1065 analogs |
| GB9015198D0 (en) | 1990-07-10 | 1990-08-29 | Brien Caroline J O | Binding substance |
| CA2089661C (en) | 1990-08-29 | 2007-04-03 | Nils Lonberg | Transgenic non-human animals capable of producing heterologous antibodies |
| US5545806A (en) | 1990-08-29 | 1996-08-13 | Genpharm International, Inc. | Ransgenic non-human animals for producing heterologous antibodies |
| US6248332B1 (en) | 1990-10-05 | 2001-06-19 | Medarex, Inc. | Targeted immunostimulation with bispecific reagents |
| FI101678B (fi) | 1990-12-31 | 1998-08-14 | Akzo Nv | Happolabiileja kytkentämolekyylejä |
| ATE247168T1 (de) | 1991-03-06 | 2003-08-15 | Merck Patent Gmbh | Humanisierte monoklonale antikörper |
| DE122009000019I1 (de) * | 1991-04-25 | 2009-07-16 | Chugai Seiyaku K K 5 1 | Rekombinierte humane antikörper gegen den humanen interleukin-6 rezeptor |
| DE69233482T2 (de) | 1991-05-17 | 2006-01-12 | Merck & Co., Inc. | Verfahren zur Verminderung der Immunogenität der variablen Antikörperdomänen |
| US6797492B2 (en) * | 1991-05-17 | 2004-09-28 | Merck & Co., Inc. | Method for reducing the immunogenicity of antibody variable domains |
| EP1136556B1 (en) | 1991-11-25 | 2005-06-08 | Enzon, Inc. | Method of producing multivalent antigen-binding proteins |
| ES2227512T3 (es) | 1991-12-02 | 2005-04-01 | Medical Research Council | Produccion de anticuerpos contra auto-antigenos a partir de repertorios de segmentos de anticuerpos fijados en un fago. |
| US5869619A (en) | 1991-12-13 | 1999-02-09 | Xoma Corporation | Modified antibody variable domains |
| AU661533B2 (en) * | 1992-01-20 | 1995-07-27 | Astrazeneca Ab | Quinazoline derivatives |
| US5622929A (en) | 1992-01-23 | 1997-04-22 | Bristol-Myers Squibb Company | Thioether conjugates |
| US5714350A (en) | 1992-03-09 | 1998-02-03 | Protein Design Labs, Inc. | Increasing antibody affinity by altering glycosylation in the immunoglobulin variable region |
| DE69231123T2 (de) | 1992-03-25 | 2001-02-15 | Immunogen Inc | Konjugaten von Zell-bindender Mittel und Derivaten von CC-1065 |
| PT586002E (pt) | 1992-08-18 | 2000-07-31 | Centro Inmunologia Molecular | Anticorpos monoclonais que reconhecem o receptor do factor de crescimento epidermico, celulas e metodos para a sua producao e composicoes que os incluem |
| US5639641A (en) | 1992-09-09 | 1997-06-17 | Immunogen Inc. | Resurfacing of rodent antibodies |
| US5635483A (en) | 1992-12-03 | 1997-06-03 | Arizona Board Of Regents Acting On Behalf Of Arizona State University | Tumor inhibiting tetrapeptide bearing modified phenethyl amides |
| GB9225453D0 (en) | 1992-12-04 | 1993-01-27 | Medical Res Council | Binding proteins |
| ATE199392T1 (de) | 1992-12-04 | 2001-03-15 | Medical Res Council | Multivalente und multispezifische bindungsproteine, deren herstellung und verwendung |
| US5780588A (en) | 1993-01-26 | 1998-07-14 | Arizona Board Of Regents | Elucidation and synthesis of selected pentapeptides |
| US5674977A (en) | 1993-02-05 | 1997-10-07 | The Ontario Cancer Institute | Branched synthetic peptide conjugate |
| US5556623A (en) | 1993-03-30 | 1996-09-17 | Eli Lilly And Company | Antibody-drug conjugates |
| US6214345B1 (en) | 1993-05-14 | 2001-04-10 | Bristol-Myers Squibb Co. | Lysosomal enzyme-cleavable antitumor drug conjugates |
| US5443953A (en) | 1993-12-08 | 1995-08-22 | Immunomedics, Inc. | Preparation and use of immunoconjugates |
| GB9401182D0 (en) | 1994-01-21 | 1994-03-16 | Inst Of Cancer The Research | Antibodies to EGF receptor and their antitumour effect |
| DK0749325T3 (da) | 1994-03-07 | 2002-10-07 | Medarex Inc | Bispecifikke molekyler med klinisk anvendelse |
| CZ292061B6 (cs) | 1994-03-17 | 2003-07-16 | Merck Patent Gmbh | Jednořetězcové fragmenty protilátek a protilátky proti receptoru epidermálního růstového faktoru, způsob jejich přípravy a farmaceutický prostředek, který je obsahuje |
| US5612474A (en) | 1994-06-30 | 1997-03-18 | Eli Lilly And Company | Acid labile immunoconjugate intermediates |
| CU22615A1 (es) | 1994-06-30 | 2000-02-10 | Centro Inmunologia Molecular | Procedimiento de obtención de anticuerpos monoclonales murinos menos inmunogénicos. anticuerpos monoclonales obtenidos |
| US5911995A (en) | 1994-08-19 | 1999-06-15 | Regents Of The University Of Minnesota | EGF-genistein conjugates for the treatment of cancer |
| ATE262586T1 (de) | 1994-11-28 | 2004-04-15 | Univ Jefferson | Fusion junction typ iii mutant egf rezeptor peptid-tumorvakzin |
| JP3607407B2 (ja) | 1995-04-26 | 2005-01-05 | 株式会社日立製作所 | 半導体記憶装置 |
| WO1996040210A1 (en) | 1995-06-07 | 1996-12-19 | Imclone Systems Incorporated | Antibody and antibody fragments for inhibiting the growth of tumors |
| US6410690B1 (en) | 1995-06-07 | 2002-06-25 | Medarex, Inc. | Therapeutic compounds comprised of anti-Fc receptor antibodies |
| US7060808B1 (en) | 1995-06-07 | 2006-06-13 | Imclone Systems Incorporated | Humanized anti-EGF receptor monoclonal antibody |
| WO1996040662A2 (en) | 1995-06-07 | 1996-12-19 | Cellpro, Incorporated | Aminooxy-containing linker compounds and their application in conjugates |
| US6548530B1 (en) | 1995-10-03 | 2003-04-15 | The Scripps Research Institute | CBI analogs of CC-1065 and the duocarmycins |
| US6699715B1 (en) | 1995-11-30 | 2004-03-02 | Bristol-Myers Squibb Co. | Modified sFv molecules which mediate adhesion between cells and uses thereof |
| DK0871490T3 (da) | 1995-12-22 | 2003-07-07 | Bristol Myers Squibb Co | Forgrenede hydrazonlinkere |
| US5760041A (en) | 1996-02-05 | 1998-06-02 | American Cyanamid Company | 4-aminoquinazoline EGFR Inhibitors |
| CA2255703A1 (en) | 1996-05-31 | 1997-12-04 | Dale L. Boger | Analogs of cc-1065 and the duocarmycins |
| US5708156A (en) * | 1996-05-31 | 1998-01-13 | Ilekis; John V. | Epidermal growth factor receptor-like gene product and its uses |
| US6759509B1 (en) | 1996-11-05 | 2004-07-06 | Bristol-Myers Squibb Company | Branched peptide linkers |
| US5942602A (en) * | 1997-02-13 | 1999-08-24 | Schering Aktiengessellschaft | Growth factor receptor antibodies |
| US6306393B1 (en) | 1997-03-24 | 2001-10-23 | Immunomedics, Inc. | Immunotherapy of B-cell malignancies using anti-CD22 antibodies |
| US20020173629A1 (en) | 1997-05-05 | 2002-11-21 | Aya Jakobovits | Human monoclonal antibodies to epidermal growth factor receptor |
| US6235883B1 (en) | 1997-05-05 | 2001-05-22 | Abgenix, Inc. | Human monoclonal antibodies to epidermal growth factor receptor |
| ATE271041T1 (de) | 1997-05-22 | 2004-07-15 | Scripps Research Inst | Analoga von duocarmycin and cc-1065 |
| EP1015461B1 (en) | 1997-09-12 | 2004-05-12 | Lumigen, Inc. | Novel compounds for generating chemiluminescence with a peroxidase |
| US6262271B1 (en) | 1997-10-14 | 2001-07-17 | The Scripps Research Institute | ISO-CBI and ISO-CI analogs of CC-1065 and the duocarmycins |
| EP1037865A4 (en) | 1997-12-08 | 2004-03-31 | Scripps Research Inst | SYNTHESIS OF CC-1065 / DUOCARMYCIN ANALOGS |
| US6464686B1 (en) | 1998-01-21 | 2002-10-15 | Abbott Laboratories | Polyurethane feeding tube and associated adaptors |
| EP1053255A4 (en) | 1998-02-06 | 2003-01-02 | Ilexus Pty Ltd | THREE-DIMENSIONAL STRUCTURES AND MODELS OF Fc RECEPTORS, AND USES THEREOF |
| US6355683B1 (en) | 1998-09-11 | 2002-03-12 | Ilexus Pty Limited | Fc receptor modulators and uses thereof |
| US7553809B2 (en) | 1998-02-06 | 2009-06-30 | Ilexus Pty Limited | Fc receptor modulators and uses thereof |
| US6417168B1 (en) | 1998-03-04 | 2002-07-09 | The Trustees Of The University Of Pennsylvania | Compositions and methods of treating tumors |
| US20030224001A1 (en) | 1998-03-19 | 2003-12-04 | Goldstein Neil I. | Antibody and antibody fragments for inhibiting the growth of tumors |
| JP2002512776A (ja) | 1998-04-28 | 2002-05-08 | スミスクライン・ビーチャム・コーポレイション | 免疫原性の低下したモノクローナル抗体 |
| ZA200007412B (en) | 1998-05-15 | 2002-03-12 | Imclone Systems Inc | Treatment of human tumors with radiation and inhibitors of growth factor receptor tyrosine kinases. |
| AUPP380498A0 (en) | 1998-05-29 | 1998-06-25 | Biomolecular Research Institute Limited | Egf receptor agonists and antagonists |
| US6962702B2 (en) | 1998-06-22 | 2005-11-08 | Immunomedics Inc. | Production and use of novel peptide-based agents for use with bi-specific antibodies |
| US20030215387A1 (en) | 1998-09-04 | 2003-11-20 | Peter Harrison | Bifunctional antibodies and their use in targeting anti-tumour agents |
| US7396810B1 (en) | 2000-08-14 | 2008-07-08 | Oregon Health Sciences University | Compositions and methods for treating cancer by modulating HER-2 and EGF receptors |
| WO2000069459A1 (en) | 1999-05-14 | 2000-11-23 | Imclone Systems Incorporated | Treatment of refractory human tumors with epidermal growth factor receptor antagonists |
| US6946129B1 (en) | 1999-06-08 | 2005-09-20 | Seattle Genetics, Inc. | Recombinant anti-CD40 antibody and uses thereof |
| US6949245B1 (en) | 1999-06-25 | 2005-09-27 | Genentech, Inc. | Humanized anti-ErbB2 antibodies and treatment with anti-ErbB2 antibodies |
| US7303749B1 (en) | 1999-10-01 | 2007-12-04 | Immunogen Inc. | Compositions and methods for treating cancer using immunoconjugates and chemotherapeutic agents |
| EP2266607A3 (en) | 1999-10-01 | 2011-04-20 | Immunogen, Inc. | Immunoconjugates for treating cancer |
| PT1242401E (pt) | 1999-11-24 | 2007-03-30 | Immunogen Inc | Agentes citotóxicos compreendendo taxanos e o seu uso terapêutico |
| PT1242438E (pt) | 1999-12-29 | 2007-02-28 | Immunogen Inc | Agentes citotóxicos compreendendo dixorrubicinas e daunorrubicinas modificadas e seu uso terapêutico |
| US7129332B2 (en) | 2000-02-25 | 2006-10-31 | The United States Of America As Represented By The Department Of Health And Human Services | Anti-EGFRvIII scFvs with improved cytotoxicity and yield, immunotoxins based thereon, and methods of use thereof |
| CA2408175A1 (en) | 2000-03-10 | 2001-09-20 | Thomas Jefferson University | Sensitive detection of wild-type and mutant egfr by specific elisa assays in any biological sample |
| US7097840B2 (en) | 2000-03-16 | 2006-08-29 | Genentech, Inc. | Methods of treatment using anti-ErbB antibody-maytansinoid conjugates |
| SI2857516T1 (sl) | 2000-04-11 | 2017-09-29 | Genentech, Inc. | Multivalentna protitelesa in njihove uporabe |
| US6495599B2 (en) | 2000-04-13 | 2002-12-17 | Abbott Laboratories | Infant formulas containing long-chain polyunsaturated fatty acids and uses therof |
| WO2001083448A2 (de) | 2000-05-02 | 2001-11-08 | Tietze Lutz F | Neue prodrugs von 6-hydroxy-2,3-dihydro-1h-indolen, 5-hydroxy-1,2-dihydro-3h-pyrrolo[3,2-e]indolen und 5-hydroxy-1,2-dihydro-3h-benzo[e]indolen sowie von 6-hydroxy-1,2,3,4-tetrahydro-benzo[f]chinolin-derivaten für eine selektive krebstherapie |
| MXPA02011379A (es) | 2000-05-19 | 2003-06-06 | Genentech Inc | Ensayo de deteccion de genes para mejorar la probabilidad de una respuesta efectiva a terapia de cancer con el antagonista erbb. |
| AUPQ841800A0 (en) | 2000-06-28 | 2000-07-20 | Biomolecular Research Institute Limited | Truncated egf receptor |
| AU2001270609A1 (en) | 2000-06-30 | 2002-01-14 | Vlaams Interuniversitair Instituut Voor Biotechnologie Vzw | Heterodimeric fusion proteins |
| AU9500201A (en) | 2000-08-09 | 2002-02-18 | Imclone Systems Inc | Treatment of hyperproliferative diseases with epidermal growth factor receptor antagonists |
| US6333410B1 (en) | 2000-08-18 | 2001-12-25 | Immunogen, Inc. | Process for the preparation and purification of thiol-containing maytansinoids |
| AR030612A1 (es) | 2000-09-12 | 2003-08-27 | Smithkline Beecham Corp | Procedimiento e intermedios |
| DE60115265T2 (de) | 2000-09-19 | 2006-08-10 | Lee, Moses, Holland | Zusammensetzungen und verfahren zur verwendung achiraler analoge von cc-1065 und den duocarmycinen |
| DE10048417A1 (de) | 2000-09-29 | 2002-04-11 | Roche Diagnostics Gmbh | Verbindungen mit verzweigtem Linker |
| WO2002030924A1 (en) | 2000-10-13 | 2002-04-18 | Astrazeneca Ab | Quinazoline derivatives with anti-tumour activity |
| CN100488563C (zh) | 2001-02-19 | 2009-05-20 | 默克专利有限公司 | 免疫原性降低的经修饰抗egfr抗体 |
| US20080008704A1 (en) * | 2001-03-16 | 2008-01-10 | Mark Rubin | Methods of treating colorectal cancer with anti-epidermal growth factor antibodies |
| US20020156274A1 (en) | 2001-03-16 | 2002-10-24 | Terfloth Gerald J. | Process for preparing maytansinol |
| EP1243276A1 (en) | 2001-03-23 | 2002-09-25 | Franciscus Marinus Hendrikus De Groot | Elongated and multiple spacers containing activatible prodrugs |
| US20030083263A1 (en) | 2001-04-30 | 2003-05-01 | Svetlana Doronina | Pentapeptide compounds and uses related thereto |
| US7256257B2 (en) | 2001-04-30 | 2007-08-14 | Seattle Genetics, Inc. | Pentapeptide compounds and uses related thereto |
| US6884869B2 (en) | 2001-04-30 | 2005-04-26 | Seattle Genetics, Inc. | Pentapeptide compounds and uses related thereto |
| AU2002315306B2 (en) | 2001-05-08 | 2007-05-17 | Merck Patent Gmbh | Combination therapy using anti-EGFR antibodies and anti-hormonal agents |
| US20110313230A1 (en) * | 2001-05-11 | 2011-12-22 | Terrance Grant Johns | Specific binding proteins and uses thereof |
| JP4414142B2 (ja) * | 2001-05-11 | 2010-02-10 | ルードヴィッヒ インスティテュート フォー キャンサー リサーチ | 特異的結合タンパク質およびその使用 |
| US20100056762A1 (en) * | 2001-05-11 | 2010-03-04 | Old Lloyd J | Specific binding proteins and uses thereof |
| US6441163B1 (en) | 2001-05-31 | 2002-08-27 | Immunogen, Inc. | Methods for preparation of cytotoxic conjugates of maytansinoids and cell binding agents |
| WO2002096910A1 (en) | 2001-05-31 | 2002-12-05 | Medarex, Inc. | Cytotoxins, prodrugs, linkers and stabilizers useful therefor |
| AU2002345673B2 (en) | 2001-06-13 | 2007-04-26 | Genmab A/S | Human monoclonal antibodies to epidermal growth factor receptor (EGFR) |
| US7595378B2 (en) | 2001-06-13 | 2009-09-29 | Genmab A/S | Human monoclonal antibodies to epidermal growth factor receptor (EGFR) |
| US7803915B2 (en) | 2001-06-20 | 2010-09-28 | Genentech, Inc. | Antibody compositions for the diagnosis and treatment of tumor |
| US20050107595A1 (en) | 2001-06-20 | 2005-05-19 | Genentech, Inc. | Compositions and methods for the diagnosis and treatment of tumor |
| US20040248196A1 (en) | 2001-08-03 | 2004-12-09 | Adams Timothy Edward | Methods of screening based on the egf receptor crystal structure |
| DE10138876B4 (de) | 2001-08-08 | 2008-11-06 | Forschungszentrum Jülich GmbH | Genetisch modifizierte zyklisch-Nukleotid-gesteuerte lonenkanäle und deren Verwendung |
| JP2005502703A (ja) | 2001-09-07 | 2005-01-27 | ザ スクリプス リサーチ インスティテュート | Cc−1065およびデュオカルマイシンのcbi類似体 |
| US20030109682A1 (en) | 2001-09-07 | 2003-06-12 | Daniel Santi | Maytansines and maytansine conjugates |
| US7091186B2 (en) | 2001-09-24 | 2006-08-15 | Seattle Genetics, Inc. | p-Amidobenzylethers in drug delivery agents |
| EP1458737A4 (en) | 2001-11-21 | 2006-03-29 | Univ Washington | BIOSYNTHETIC MULTIGENIC FAMILY FOR ANTI-TUMOR AGENT ANSAMITOCIN MAYTANSINOIDE |
| US6716821B2 (en) | 2001-12-21 | 2004-04-06 | Immunogen Inc. | Cytotoxic agents bearing a reactive polyethylene glycol moiety, cytotoxic conjugates comprising polyethylene glycol linking groups, and methods of making and using the same |
| US20050031627A1 (en) | 2002-01-03 | 2005-02-10 | Mazzola Gregory J | Methods for preparing immunoconjugates |
| US6790954B2 (en) | 2002-01-29 | 2004-09-14 | Immunogen, Inc. | Mutant Actinosynnema pretiosum strain with increased maytansinoid production |
| CN100522999C (zh) * | 2002-02-14 | 2009-08-05 | 免疫医疗公司 | 抗cd20抗体及其融合蛋白和使用方法 |
| US20050222059A1 (en) | 2002-02-25 | 2005-10-06 | Tang Careen K | Egfrviii specific monoclonal antibody and egfrviii ribozymes and use to detect, treat or prevent egfrviii associated cancer |
| AU2003225860B2 (en) | 2002-03-19 | 2007-11-01 | The Penn State Research Foundation | EGFR ligands and methods of use |
| US6534660B1 (en) | 2002-04-05 | 2003-03-18 | Immunogen, Inc. | CC-1065 analog synthesis |
| US6756397B2 (en) | 2002-04-05 | 2004-06-29 | Immunogen, Inc. | Prodrugs of CC-1065 analogs |
| US20050276812A1 (en) | 2004-06-01 | 2005-12-15 | Genentech, Inc. | Antibody-drug conjugates and methods |
| AU2003228998A1 (en) | 2002-05-13 | 2003-12-02 | Smithkline Beecham Corporation | Process for preparing maytansinol |
| US6596757B1 (en) | 2002-05-14 | 2003-07-22 | Immunogen Inc. | Cytotoxic agents comprising polyethylene glycol-containing taxanes and their therapeutic use |
| WO2003099205A2 (en) | 2002-05-20 | 2003-12-04 | Abgenix, Inc. | Treatment of renal carcinoma using antibodies against the egfr |
| EP1510221A4 (en) | 2002-06-03 | 2009-04-29 | Mitsubishi Tanabe Pharma Corp | MEANS FOR THE PREVENTION AND / OR TREATMENT OF PERSONS EXPRESSING OR ACTIVATING HER2 AND / OR EGFR |
| EP2135879A3 (en) | 2002-06-28 | 2010-06-23 | Domantis Limited | Ligand |
| US7696320B2 (en) | 2004-08-24 | 2010-04-13 | Domantis Limited | Ligands that have binding specificity for VEGF and/or EGFR and methods of use therefor |
| PT2357006E (pt) | 2002-07-31 | 2016-01-22 | Seattle Genetics Inc | Conjugados de fármacos e sua utilização para tratamento do cancro, de uma doença autoimune ou de uma doença infeciosa |
| CA2494074A1 (en) | 2002-08-02 | 2004-02-12 | Immunogen, Inc. | Cytotoxic agents containing novel potent taxanes and their therapeutic use |
| US7390898B2 (en) | 2002-08-02 | 2008-06-24 | Immunogen Inc. | Cytotoxic agents containing novel potent taxanes and their therapeutic use |
| CA2495251C (en) | 2002-08-14 | 2018-03-06 | Macrogenics, Inc. | Fc.gamma.riib-specific antibodies and methods of use thereof |
| CA2495795C (en) | 2002-08-16 | 2011-12-13 | Immunogen, Inc. | Cross-linkers with high reactivity and solubility and their use in the preparation of conjugates for targeted delivery of small molecule drugs |
| MXPA05001933A (es) | 2002-08-19 | 2005-04-28 | Genentech Inc | Composiciones y metodos para el diagnostico y tratamiento de tumores. |
| CA2501818C (en) | 2002-10-10 | 2012-03-27 | Merck Patent Gesellschaft Mit Beschraenkter Haftung | Pharmaceutical compositions directed to erb-b1 receptors |
| WO2004043493A1 (en) | 2002-11-14 | 2004-05-27 | Syntarga B.V. | Prodrugs built as multiple self-elimination-release spacers |
| US20040147428A1 (en) | 2002-11-15 | 2004-07-29 | Pluenneke John D. | Methods of treatment using an inhibitor of epidermal growth factor receptor |
| US20040202666A1 (en) | 2003-01-24 | 2004-10-14 | Immunomedics, Inc. | Anti-cancer anthracycline drug-antibody conjugates |
| EP1622941A2 (en) | 2003-03-20 | 2006-02-08 | ImClone Systems Incorporated | Method of producing an antibody to epidermal growth factor receptor |
| CA2450289A1 (en) | 2003-03-20 | 2005-05-19 | Imclone Systems Incorporated | Method of producing an antibody to epidermal growth factor receptor |
| US7432088B2 (en) | 2003-05-08 | 2008-10-07 | Immunogen Inc. | Methods for the production of ansamitocins |
| WO2004101767A2 (en) | 2003-05-13 | 2004-11-25 | The Scripps Research Institute | Cbi analogues of the duocarmycins and cc-1065 |
| US8088387B2 (en) | 2003-10-10 | 2012-01-03 | Immunogen Inc. | Method of targeting specific cell populations using cell-binding agent maytansinoid conjugates linked via a non-cleavable linker, said conjugates, and methods of making said conjugates |
| CN1816356A (zh) | 2003-05-14 | 2006-08-09 | 免疫原公司 | 药物缀合物组合物 |
| US7276497B2 (en) | 2003-05-20 | 2007-10-02 | Immunogen Inc. | Cytotoxic agents comprising new maytansinoids |
| EP3679951A1 (en) | 2003-06-27 | 2020-07-15 | Amgen Fremont Inc. | Antibodies directed to the deletion mutants of epidermal growth factor receptor and uses thereof |
| US8101720B2 (en) | 2004-10-21 | 2012-01-24 | Xencor, Inc. | Immunoglobulin insertions, deletions and substitutions |
| WO2005042581A2 (en) * | 2003-11-01 | 2005-05-12 | Biovation Ltd. | Modified anti-cd52 antibody |
| SG149815A1 (en) | 2003-11-06 | 2009-02-27 | Seattle Genetics Inc | Monomethylvaline compounds capable of conjugation to ligands |
| EP1701979A2 (en) | 2003-12-03 | 2006-09-20 | Xencor, Inc. | Optimized antibodies that target the epidermal growth factor receptor |
| ATE554107T1 (de) | 2003-12-19 | 2012-05-15 | Genentech Inc | Als therapeutika geeignete monovalente antikörperfragmente |
| US20050214310A1 (en) | 2004-01-23 | 2005-09-29 | Seattle Genetics, Inc. | Melphalan prodrugs |
| US7767792B2 (en) * | 2004-02-20 | 2010-08-03 | Ludwig Institute For Cancer Research Ltd. | Antibodies to EGF receptor epitope peptides |
| JP5064037B2 (ja) | 2004-02-23 | 2012-10-31 | ジェネンテック, インコーポレイテッド | 複素環式自壊的リンカーおよび結合体 |
| WO2005084390A2 (en) | 2004-03-02 | 2005-09-15 | Seattle Genetics, Inc. | Partially loaded antibodies and methods of their conjugation |
| TW200533339A (en) | 2004-03-16 | 2005-10-16 | Bristol Myers Squibb Co | Therapeutic synergy of anti-cancer compounds |
| RU2402569C2 (ru) | 2004-03-19 | 2010-10-27 | Имклоун Элэлси | Человеческие антитела к рецептору эпидермального фактора роста |
| US7276585B2 (en) | 2004-03-24 | 2007-10-02 | Xencor, Inc. | Immunoglobulin variants outside the Fc region |
| DK2439285T3 (da) | 2004-03-31 | 2019-07-29 | Massachusetts Gen Hospital | Fremgangsmåde til at bestemme reaktivitet af cancer på behandlinger målrettet mod epidermal vækstfaktor-receptor |
| US7838519B2 (en) | 2004-04-14 | 2010-11-23 | The Ohio State University Research Foundation | Maytansinoid analogs as antitumor agents |
| WO2005112919A2 (en) | 2004-05-19 | 2005-12-01 | Medarex, Inc. | Self-immolative linkers and drug conjugates |
| US7691962B2 (en) | 2004-05-19 | 2010-04-06 | Medarex, Inc. | Chemical linkers and conjugates thereof |
| WO2005118876A2 (en) | 2004-06-04 | 2005-12-15 | Genentech, Inc. | Egfr mutations |
| RU2398777C2 (ru) * | 2004-08-05 | 2010-09-10 | Дженентек, Инк. | ГУМАНИЗИРОВАННЫЕ АНТАГОНИСТЫ, НАПРАВЛЕННЫЕ ПРОТИВ c-met |
| US20060029574A1 (en) | 2004-08-06 | 2006-02-09 | Board Of Regents, The University Of Texas System | Biomarkers for diagnosis, prognosis, monitoring, and treatment decisions for drug resistance and sensitivity |
| TR201808537T4 (tr) | 2004-09-23 | 2018-07-23 | Genentech Inc | Sistein değiştirilmiş antikorlar ve konjugatlar. |
| JO3000B1 (ar) | 2004-10-20 | 2016-09-05 | Genentech Inc | مركبات أجسام مضادة . |
| EP1817336B1 (en) | 2004-11-12 | 2019-01-09 | Seattle Genetics, Inc. | Auristatins having an aminobenzoic acid unit at the n terminus |
| JP2008521828A (ja) | 2004-11-29 | 2008-06-26 | シアトル ジェネティックス, インコーポレイテッド | 操作された抗体およびイムノコンジュゲート |
| US20070134243A1 (en) | 2004-12-01 | 2007-06-14 | Gazzard Lewis J | Antibody drug conjugates and methods |
| CN101115849A (zh) | 2004-12-07 | 2008-01-30 | 健泰科生物技术公司 | 选择her抑制剂疗法的患者 |
| EP1688415A1 (en) | 2004-12-07 | 2006-08-09 | Aventis Pharma S.A. | Cytotoxic agents comprising new C-2 modified taxanes |
| EP1669358A1 (en) | 2004-12-07 | 2006-06-14 | Aventis Pharma S.A. | Cytotoxic agents comprising new taxanes |
| US7301019B2 (en) | 2005-01-21 | 2007-11-27 | Immunogen, Inc. | Method for the preparation of maytansinoid esters |
| CA2597407C (en) | 2005-02-11 | 2013-09-10 | Immunogen, Inc. | Process for preparing stable drug conjugates |
| JP2008536493A (ja) | 2005-04-01 | 2008-09-11 | アムジエン・インコーポレーテツド | 上皮増殖因子受容体遺伝子のコピー数 |
| US7714016B2 (en) | 2005-04-08 | 2010-05-11 | Medarex, Inc. | Cytotoxic compounds and conjugates with cleavable substrates |
| US8871720B2 (en) | 2005-07-07 | 2014-10-28 | Seattle Genetics, Inc. | Monomethylvaline compounds having phenylalanine carboxy modifications at the C-terminus |
| ES2708763T3 (es) | 2005-07-07 | 2019-04-11 | Seattle Genetics Inc | Compuestos de monometilvalina que tienen modificaciones de la cadena lateral de fenilalanina en el extremo C |
| LT1912671T (lt) | 2005-07-18 | 2017-12-11 | Seattle Genetics, Inc. | Vaisto konjugatai, turintys gliukoronido linkerį |
| AU2006278573A1 (en) | 2005-08-03 | 2007-02-15 | Immunogen, Inc. | Immunoconjugate formulations |
| AU2006277117B2 (en) | 2005-08-05 | 2013-01-10 | Syntarga B.V. | Triazole-containing releasable linkers and conjugates comprising the same |
| EP1913002B9 (en) | 2005-08-09 | 2012-04-25 | Millennium Pharmaceuticals, Inc. | Method of acylating maytansinol with chiral amino acids |
| US7612181B2 (en) | 2005-08-19 | 2009-11-03 | Abbott Laboratories | Dual variable domain immunoglobulin and uses thereof |
| NZ595430A (en) | 2005-08-24 | 2013-05-31 | Immunogen Inc | Process for preparing maytansinoid antibody conjugates |
| NZ566982A (en) | 2005-09-26 | 2011-06-30 | Medarex Inc | Duocarmycin drug conjugates |
| ATE534629T1 (de) | 2005-10-26 | 2011-12-15 | Medarex Inc | Verfahren und verbindungen zur herstellung von cc-1065-analoga |
| PL1945647T3 (pl) | 2005-11-08 | 2012-04-30 | Immunogen Inc | Procesy wytwarzania maytansinolu |
| CA2627190A1 (en) | 2005-11-10 | 2007-05-24 | Medarex, Inc. | Duocarmycin derivatives as novel cytotoxic compounds and conjugates |
| PT1948180E (pt) | 2005-11-11 | 2013-05-10 | Boehringer Ingelheim Int | Tratamento de combinação de cancro compreendendo inibidores de egfr/her2 |
| PT1951759E (pt) | 2005-11-12 | 2010-04-01 | Lilly Co Eli | Anticorpos anti-egfr |
| MX2008008564A (es) | 2006-01-04 | 2009-01-29 | Merck Patent Gmbh | Terapeutica combinada con anticuerpos anti-egfr y anti-her2. |
| MX2008009956A (es) | 2006-02-02 | 2008-12-12 | Syntarga Bv | Analogos de cc-1065 solubles en agua y sus conjugados. |
| US7750116B1 (en) | 2006-02-18 | 2010-07-06 | Seattle Genetics, Inc. | Antibody drug conjugate metabolites |
| WO2007103288A2 (en) | 2006-03-02 | 2007-09-13 | Seattle Genetics, Inc. | Engineered antibody drug conjugates |
| EP1832577A1 (en) | 2006-03-07 | 2007-09-12 | Sanofi-Aventis | Improved prodrugs of CC-1065 analogs |
| US7651687B2 (en) | 2006-03-13 | 2010-01-26 | Osi Pharmaceuticals, Inc. | Combined treatment with an EGFR kinase inhibitor and an agent that sensitizes tumor cells to the effects of EGFR kinase inhibitors |
| WO2008033495A2 (en) * | 2006-09-15 | 2008-03-20 | Life Science Pharmaceuticals | Method for detecting and treating skin disorders |
| AU2007317333A1 (en) | 2006-11-02 | 2008-05-15 | Seattle Genetics, Inc. | Methods of treating neoplastic, autoimmune and inflammatory diseases |
| US7790164B2 (en) | 2006-11-14 | 2010-09-07 | Van Andel Research Institute | Fragments of antibodies to epidermal growth factor receptor and methods of their use |
| CA2670315A1 (en) | 2006-11-21 | 2008-11-20 | The Regents Of The University Of California | Anti-egfr family antibodies, bispecific anti-egfr family antibodies and methods of use thereof |
| WO2008063639A2 (en) * | 2006-11-21 | 2008-05-29 | Massachusetts Eye And Ear Infirmary | Compositions and methods for preserving cells of the eye |
| CN104013956B (zh) | 2007-01-25 | 2018-12-18 | 达娜-法勃肿瘤研究所公司 | 抗egfr抗体在治疗egfr突变体介导的疾病中的用途 |
| CA2680854C (en) | 2007-03-15 | 2017-02-14 | Ludwig Institute For Cancer Research | Treatment method using egfr antibodies and src inhibitors and related formulations |
| WO2008152537A2 (en) | 2007-06-14 | 2008-12-18 | Zenotech Laboratories Limited | Humanized monoclonal antibodies against human epidermal growth factor receptor, use and method thereof |
| WO2008154927A1 (en) | 2007-06-21 | 2008-12-24 | Genmab A/S | Novel methods for treating egfr-associated tumors |
| WO2009017394A1 (en) | 2007-08-01 | 2009-02-05 | Syntarga B.V. | Substituted cc-1065 analogs and their conjugates |
| CN108424454B (zh) | 2007-08-14 | 2022-05-31 | 路德维格癌症研究所有限公司 | 靶向egf受体的单克隆抗体175及其衍生物和用途 |
| US20090269343A1 (en) | 2008-04-11 | 2009-10-29 | Duke University | Dual Specific Immunotoxin for Brain Tumor Therapy |
| KR101764927B1 (ko) | 2008-04-30 | 2017-08-03 | 이뮤노젠 아이엔씨 | 가교제 및 그 용도 |
| EP2297208A4 (en) | 2008-06-03 | 2012-07-11 | Abbott Lab | DUAL VARIABLE DOMAIN IMMUNOGLOBULINS AND ITS USES |
| CN108727407B (zh) | 2009-02-05 | 2022-01-28 | 伊缪诺金公司 | 新型苯并二氮杂䓬衍生物 |
| WO2010127294A2 (en) | 2009-05-01 | 2010-11-04 | Abbott Laboratories | Dual variable domain immunoglobulins and uses thereof |
| EP2481754B1 (en) | 2009-09-22 | 2014-06-18 | Shanghai Yijie Biotechnology Co., Ltd | Specific binding proteins and uses thereof |
| US20110076232A1 (en) | 2009-09-29 | 2011-03-31 | Ludwig Institute For Cancer Research | Specific binding proteins and uses thereof |
| US9209965B2 (en) | 2014-01-14 | 2015-12-08 | Microsemi Semiconductor Ulc | Network interface with clock recovery module on line card |
-
2009
- 2009-02-18 US US12/388,504 patent/US20100056762A1/en not_active Abandoned
-
2010
- 2010-02-17 SG SG2011058476A patent/SG173688A1/en unknown
- 2010-02-17 MX MX2011008767A patent/MX2011008767A/es active IP Right Grant
- 2010-02-17 NZ NZ608773A patent/NZ608773A/en unknown
- 2010-02-17 HU HUE10704485A patent/HUE025435T2/en unknown
- 2010-02-17 CN CN201510419051.2A patent/CN105399829A/zh active Pending
- 2010-02-17 NO NO15160629A patent/NO2913344T3/no unknown
- 2010-02-17 EP EP15160629.0A patent/EP2913344B1/en active Active
- 2010-02-17 PH PH1/2020/500067A patent/PH12020500067A1/en unknown
- 2010-02-17 KR KR1020217006120A patent/KR20210028271A/ko not_active Withdrawn
- 2010-02-17 CN CN201510004733.7A patent/CN104650232B/zh active Active
- 2010-02-17 KR KR1020157020913A patent/KR101809441B1/ko active Active
- 2010-02-17 DK DK10704485T patent/DK2398828T3/en active
- 2010-02-17 MY MYPI2016001104A patent/MY185858A/en unknown
- 2010-02-17 PE PE2011001515A patent/PE20120569A1/es active IP Right Grant
- 2010-02-17 KR KR1020197018017A patent/KR20190076069A/ko not_active Withdrawn
- 2010-02-17 UA UAA201407733A patent/UA117807C2/uk unknown
- 2010-02-17 SG SG10201801945TA patent/SG10201801945TA/en unknown
- 2010-02-17 ES ES10704485.1T patent/ES2540802T3/es active Active
- 2010-02-17 RU RU2014120536A patent/RU2673724C2/ru active
- 2010-02-17 SI SI201031541T patent/SI2913344T1/sl unknown
- 2010-02-17 HR HRP20150656TT patent/HRP20150656T1/hr unknown
- 2010-02-17 MY MYPI2011003853A patent/MY165583A/en unknown
- 2010-02-17 ES ES15160629.0T patent/ES2645663T3/es active Active
- 2010-02-17 PE PE2015002701A patent/PE20160535A1/es unknown
- 2010-02-17 KR KR1020227004795A patent/KR20220025913A/ko active Pending
- 2010-02-17 SG SG10201407281UA patent/SG10201407281UA/en unknown
- 2010-02-17 DK DK15160629.0T patent/DK2913344T3/da active
- 2010-02-17 UA UAA201111099A patent/UA106607C2/uk unknown
- 2010-02-17 KR KR1020187032867A patent/KR20180125044A/ko not_active Withdrawn
- 2010-02-17 PL PL15160629T patent/PL2913344T3/pl unknown
- 2010-02-17 BR BRPI1012340-7A patent/BRPI1012340B1/pt active IP Right Grant
- 2010-02-17 SI SI201030953T patent/SI2398828T1/sl unknown
- 2010-02-17 RU RU2011138154/10A patent/RU2549678C2/ru active
- 2010-02-17 NZ NZ595224A patent/NZ595224A/xx unknown
- 2010-02-17 EP EP17184273.5A patent/EP3301117A3/en active Pending
- 2010-02-17 PL PL10704485T patent/PL2398828T3/pl unknown
- 2010-02-17 JP JP2011551178A patent/JP5859314B2/ja active Active
- 2010-02-17 PT PT107044851T patent/PT2398828E/pt unknown
- 2010-02-17 LT LTEP15160629.0T patent/LT2913344T/lt unknown
- 2010-02-17 KR KR1020177018394A patent/KR101921046B1/ko active Active
- 2010-02-17 NZ NZ716762A patent/NZ716762A/en unknown
- 2010-02-17 EP EP10704485.1A patent/EP2398828B1/en active Active
- 2010-02-17 HU HUE15160629A patent/HUE037061T2/hu unknown
- 2010-02-17 MX MX2014000475A patent/MX361876B/es unknown
- 2010-02-17 NZ NZ627103A patent/NZ627103A/en unknown
- 2010-02-17 KR KR1020117021501A patent/KR101579769B1/ko active Active
- 2010-02-17 PE PE2020000069A patent/PE20200609A1/es unknown
- 2010-02-17 PT PT151606290T patent/PT2913344T/pt unknown
- 2010-02-17 AU AU2010216168A patent/AU2010216168B2/en active Active
- 2010-02-17 WO PCT/US2010/024407 patent/WO2010096434A2/en not_active Ceased
- 2010-02-17 CN CN201080017279.4A patent/CN102405235B/zh active Active
- 2010-02-17 US US13/201,061 patent/US9072798B2/en active Active
- 2010-02-17 CA CA2752584A patent/CA2752584C/en active Active
-
2011
- 2011-08-14 IL IL214643A patent/IL214643A/en active IP Right Grant
- 2011-08-17 CL CL2011002003A patent/CL2011002003A1/es unknown
- 2011-08-17 GT GT201100223A patent/GT201100223A/es unknown
- 2011-08-18 MX MX2018015915A patent/MX2018015915A/es unknown
- 2011-09-09 CO CO11116706A patent/CO6420350A2/es not_active Application Discontinuation
- 2011-09-16 EC EC2011011335A patent/ECSP11011335A/es unknown
-
2014
- 2014-10-07 JP JP2014206544A patent/JP6199269B2/ja active Active
- 2014-10-28 PH PH12014502419A patent/PH12014502419A1/en unknown
-
2015
- 2015-05-22 CY CY20151100459T patent/CY1124849T1/el unknown
- 2015-06-11 US US14/737,381 patent/US20160046726A1/en not_active Abandoned
- 2015-10-19 CL CL2015003090A patent/CL2015003090A1/es unknown
- 2015-11-12 AU AU2015255246A patent/AU2015255246B2/en active Active
-
2016
- 2016-04-26 JP JP2016088333A patent/JP6317780B2/ja active Active
- 2016-07-25 HK HK16108847.0A patent/HK1220706A1/zh unknown
-
2017
- 2017-07-27 US US15/661,864 patent/US20180057606A1/en not_active Abandoned
- 2017-10-24 CY CY20171101103T patent/CY1119591T1/el unknown
- 2017-10-25 HR HRP20171636TT patent/HRP20171636T1/hr unknown
- 2017-12-12 AU AU2017276184A patent/AU2017276184A1/en not_active Abandoned
-
2018
- 2018-03-29 JP JP2018063673A patent/JP2018148887A/ja active Pending
- 2018-08-20 RU RU2018130075A patent/RU2018130075A/ru unknown
-
2020
- 2020-02-12 DO DO2020000032A patent/DOP2020000032A/es unknown
- 2020-03-13 US US16/818,062 patent/US20210032366A1/en not_active Abandoned
- 2020-04-23 JP JP2020076499A patent/JP2020195368A/ja active Pending
-
2021
- 2021-03-18 AU AU2021201724A patent/AU2021201724A1/en not_active Abandoned
-
2022
- 2022-06-07 JP JP2022092047A patent/JP2022137018A/ja active Pending
-
2023
- 2023-04-26 US US18/307,566 patent/US20240117073A1/en not_active Abandoned
-
2024
- 2024-06-28 JP JP2024104733A patent/JP2024138317A/ja active Pending
- 2024-09-06 AU AU2024219468A patent/AU2024219468A1/en active Pending
Also Published As
Similar Documents
| Publication | Publication Date | Title |
|---|---|---|
| KR101921046B1 (ko) | 특이적 결합 단백질 및 이의 용도 | |
| CA2447139C (en) | Specific binding proteins and uses thereof | |
| TW201124155A (en) | Specific binding proteins and uses thereof | |
| KR101245983B1 (ko) | 인간화 항-tgf-베타 항체 | |
| KR102763158B1 (ko) | 최적화된 항tl1a 항체 | |
| CN110121509B (zh) | 中和抗tl1a单克隆抗体 | |
| KR101920946B1 (ko) | Csf-1r에 대한 항체 | |
| KR100910433B1 (ko) | 이뮤노글로불린 변이체 및 이들의 용도 | |
| KR20060127409A (ko) | 종양 치료 방법 및 스크리닝 검정 | |
| JP7627216B2 (ja) | ムチン-16に対する抗体およびそれを使用する方法 | |
| TW201249868A (en) | Specific binding proteins and uses thereof | |
| CN111093692A (zh) | 治疗淀粉样沉积疾病的嵌合抗体 | |
| EP4357364A1 (en) | Antibody and use thereof | |
| US20250011448A1 (en) | Antibodies specifically recognizing tnfr2 and uses thereof | |
| TWI899684B (zh) | 中和抗tl1a之單株抗體 | |
| KR20100014279A (ko) | 인간 엘디엘 수용체에 대한 단일클론항체 | |
| CN103374071B (zh) | 一种抗derlin‑1人源化抗体的制备 | |
| EA048637B1 (ru) | Антитела против муцина-16 и способы их применения | |
| HK40028231A (en) | Chimeric antibodies for treatment of amyloid deposition diseases |
Legal Events
| Date | Code | Title | Description |
|---|---|---|---|
| A107 | Divisional application of patent | ||
| PA0104 | Divisional application for international application |
Comment text: Divisional Application for International Patent Patent event code: PA01041R01D Patent event date: 20190621 Application number text: 1020187032867 Filing date: 20181113 |
|
| PG1501 | Laying open of application | ||
| PA0201 | Request for examination |
Patent event code: PA02012R01D Patent event date: 20190719 Comment text: Request for Examination of Application |
|
| PA0104 | Divisional application for international application |
Comment text: Divisional Application for International Patent Patent event code: PA01041R01D Patent event date: 20210226 Application number text: 1020187032867 Filing date: 20181113 |
|
| PC1202 | Submission of document of withdrawal before decision of registration |
Comment text: [Withdrawal of Procedure relating to Patent, etc.] Withdrawal (Abandonment) Patent event code: PC12021R01D Patent event date: 20210305 |