KR20190101406A - Egfr 단백질분해 표적화 키메라 분자 및 관련 사용 방법 - Google Patents
Egfr 단백질분해 표적화 키메라 분자 및 관련 사용 방법 Download PDFInfo
- Publication number
- KR20190101406A KR20190101406A KR1020197021538A KR20197021538A KR20190101406A KR 20190101406 A KR20190101406 A KR 20190101406A KR 1020197021538 A KR1020197021538 A KR 1020197021538A KR 20197021538 A KR20197021538 A KR 20197021538A KR 20190101406 A KR20190101406 A KR 20190101406A
- Authority
- KR
- South Korea
- Prior art keywords
- alkyl
- optionally substituted
- substituted
- aryl
- heteroaryl
- Prior art date
- Legal status (The legal status is an assumption and is not a legal conclusion. Google has not performed a legal analysis and makes no representation as to the accuracy of the status listed.)
- Ceased
Links
- 238000000034 method Methods 0.000 title claims description 21
- 102000052116 epidermal growth factor receptor activity proteins Human genes 0.000 title claims 3
- 108700015053 epidermal growth factor receptor activity proteins Proteins 0.000 title claims 3
- YOHYSYJDKVYCJI-UHFFFAOYSA-N n-[3-[[6-[3-(trifluoromethyl)anilino]pyrimidin-4-yl]amino]phenyl]cyclopropanecarboxamide Chemical compound FC(F)(F)C1=CC=CC(NC=2N=CN=C(NC=3C=C(NC(=O)C4CC4)C=CC=3)C=2)=C1 YOHYSYJDKVYCJI-UHFFFAOYSA-N 0.000 title claims 3
- 230000008685 targeting Effects 0.000 title description 9
- 230000002797 proteolythic effect Effects 0.000 title description 5
- 150000001875 compounds Chemical class 0.000 claims abstract description 203
- 108090000623 proteins and genes Proteins 0.000 claims abstract description 91
- 102000004169 proteins and genes Human genes 0.000 claims abstract description 90
- 102000006275 Ubiquitin-Protein Ligases Human genes 0.000 claims abstract description 62
- 108010083111 Ubiquitin-Protein Ligases Proteins 0.000 claims abstract description 62
- 239000000203 mixture Substances 0.000 claims abstract description 44
- 230000001588 bifunctional effect Effects 0.000 claims abstract description 33
- 102000027426 receptor tyrosine kinases Human genes 0.000 claims abstract description 33
- 108091008598 receptor tyrosine kinases Proteins 0.000 claims abstract description 33
- 208000037265 diseases, disorders, signs and symptoms Diseases 0.000 claims abstract description 24
- 201000010099 disease Diseases 0.000 claims abstract description 16
- 208000035475 disorder Diseases 0.000 claims abstract description 8
- 125000000217 alkyl group Chemical group 0.000 claims description 330
- 125000001072 heteroaryl group Chemical group 0.000 claims description 263
- 125000003118 aryl group Chemical group 0.000 claims description 197
- -1 Renbatinib Chemical compound 0.000 claims description 193
- 229910052736 halogen Inorganic materials 0.000 claims description 153
- 150000002367 halogens Chemical class 0.000 claims description 143
- 229910052739 hydrogen Inorganic materials 0.000 claims description 138
- 125000000753 cycloalkyl group Chemical group 0.000 claims description 137
- 125000005647 linker group Chemical group 0.000 claims description 132
- 125000000547 substituted alkyl group Chemical group 0.000 claims description 132
- 125000002887 hydroxy group Chemical group [H]O* 0.000 claims description 131
- 125000003107 substituted aryl group Chemical group 0.000 claims description 128
- 125000005843 halogen group Chemical group 0.000 claims description 121
- 125000001424 substituent group Chemical group 0.000 claims description 118
- 125000000623 heterocyclic group Chemical group 0.000 claims description 110
- 125000003545 alkoxy group Chemical group 0.000 claims description 97
- 229910052760 oxygen Inorganic materials 0.000 claims description 91
- 239000000126 substance Substances 0.000 claims description 91
- 229910052731 fluorine Inorganic materials 0.000 claims description 89
- 125000004093 cyano group Chemical group *C#N 0.000 claims description 84
- 125000001188 haloalkyl group Chemical group 0.000 claims description 84
- 229910052717 sulfur Inorganic materials 0.000 claims description 82
- 229910052799 carbon Inorganic materials 0.000 claims description 81
- 229910052757 nitrogen Inorganic materials 0.000 claims description 79
- RWRDLPDLKQPQOW-UHFFFAOYSA-N tetrahydropyrrole Natural products C1CCNC1 RWRDLPDLKQPQOW-UHFFFAOYSA-N 0.000 claims description 71
- 125000004169 (C1-C6) alkyl group Chemical group 0.000 claims description 69
- 125000002496 methyl group Chemical group [H]C([H])([H])* 0.000 claims description 68
- 230000027455 binding Effects 0.000 claims description 67
- 229910052801 chlorine Inorganic materials 0.000 claims description 67
- 125000000592 heterocycloalkyl group Chemical group 0.000 claims description 63
- 125000001997 phenyl group Chemical group [H]C1=C([H])C([H])=C(*)C([H])=C1[H] 0.000 claims description 60
- 125000005842 heteroatom Chemical group 0.000 claims description 58
- 239000001257 hydrogen Substances 0.000 claims description 58
- 235000018102 proteins Nutrition 0.000 claims description 54
- 229920006395 saturated elastomer Polymers 0.000 claims description 53
- GLUUGHFHXGJENI-UHFFFAOYSA-N Piperazine Chemical compound C1CNCCN1 GLUUGHFHXGJENI-UHFFFAOYSA-N 0.000 claims description 51
- 125000005346 substituted cycloalkyl group Chemical group 0.000 claims description 49
- YLQBMQCUIZJEEH-UHFFFAOYSA-N Furan Chemical compound C=1C=COC=1 YLQBMQCUIZJEEH-UHFFFAOYSA-N 0.000 claims description 46
- SVSARCCKBMZNMR-UHFFFAOYSA-N [1-[2-[methyl-[2-[4-(oxoazaniumylmethylidene)pyridin-1-yl]ethyl]amino]ethyl]pyridin-4-ylidene]methyl-oxoazanium;dichloride Chemical compound [Cl-].[Cl-].C1=CC(=C[NH+]=O)C=CN1CCN(C)CCN1C=CC(=C[NH+]=O)C=C1 SVSARCCKBMZNMR-UHFFFAOYSA-N 0.000 claims description 43
- 125000003710 aryl alkyl group Chemical group 0.000 claims description 43
- RAXXELZNTBOGNW-UHFFFAOYSA-N imidazole Natural products C1=CNC=N1 RAXXELZNTBOGNW-UHFFFAOYSA-N 0.000 claims description 42
- 125000002924 primary amino group Chemical group [H]N([H])* 0.000 claims description 41
- 150000002431 hydrogen Chemical class 0.000 claims description 40
- 125000004429 atom Chemical group 0.000 claims description 37
- 125000006273 (C1-C3) alkyl group Chemical group 0.000 claims description 33
- IJGRMHOSHXDMSA-UHFFFAOYSA-N Atomic nitrogen Chemical compound N#N IJGRMHOSHXDMSA-UHFFFAOYSA-N 0.000 claims description 32
- SIKJAQJRHWYJAI-UHFFFAOYSA-N Indole Chemical compound C1=CC=C2NC=CC2=C1 SIKJAQJRHWYJAI-UHFFFAOYSA-N 0.000 claims description 32
- KAESVJOAVNADME-UHFFFAOYSA-N Pyrrole Chemical compound C=1C=CNC=1 KAESVJOAVNADME-UHFFFAOYSA-N 0.000 claims description 30
- XEEYBQQBJWHFJM-UHFFFAOYSA-N Iron Chemical compound [Fe] XEEYBQQBJWHFJM-UHFFFAOYSA-N 0.000 claims description 29
- 125000003178 carboxy group Chemical group [H]OC(*)=O 0.000 claims description 26
- 125000004122 cyclic group Chemical group 0.000 claims description 26
- PXBRQCKWGAHEHS-UHFFFAOYSA-N dichlorodifluoromethane Chemical compound FC(F)(Cl)Cl PXBRQCKWGAHEHS-UHFFFAOYSA-N 0.000 claims description 26
- 150000003384 small molecules Chemical class 0.000 claims description 22
- 125000001316 cycloalkyl alkyl group Chemical group 0.000 claims description 21
- PIGFYZPCRLYGLF-UHFFFAOYSA-N Aluminum nitride Chemical compound [Al]#N PIGFYZPCRLYGLF-UHFFFAOYSA-N 0.000 claims description 20
- WTKZEGDFNFYCGP-UHFFFAOYSA-N Pyrazole Chemical compound C=1C=NNC=1 WTKZEGDFNFYCGP-UHFFFAOYSA-N 0.000 claims description 20
- UFHFLCQGNIYNRP-UHFFFAOYSA-N Hydrogen Chemical compound [H][H] UFHFLCQGNIYNRP-UHFFFAOYSA-N 0.000 claims description 18
- 102100032783 Protein cereblon Human genes 0.000 claims description 18
- 125000003342 alkenyl group Chemical group 0.000 claims description 18
- 125000004446 heteroarylalkyl group Chemical group 0.000 claims description 18
- PZOUSPYUWWUPPK-UHFFFAOYSA-N indole Natural products CC1=CC=CC2=C1C=CN2 PZOUSPYUWWUPPK-UHFFFAOYSA-N 0.000 claims description 18
- RKJUIXBNRJVNHR-UHFFFAOYSA-N indolenine Natural products C1=CC=C2CC=NC2=C1 RKJUIXBNRJVNHR-UHFFFAOYSA-N 0.000 claims description 18
- 125000001570 methylene group Chemical group [H]C([H])([*:1])[*:2] 0.000 claims description 18
- 150000003839 salts Chemical class 0.000 claims description 18
- 125000000304 alkynyl group Chemical group 0.000 claims description 17
- 125000004433 nitrogen atom Chemical group N* 0.000 claims description 17
- 238000011282 treatment Methods 0.000 claims description 17
- 125000001313 C5-C10 heteroaryl group Chemical group 0.000 claims description 16
- 125000005415 substituted alkoxy group Chemical group 0.000 claims description 16
- 102000012199 E3 ubiquitin-protein ligase Mdm2 Human genes 0.000 claims description 15
- 101000941994 Homo sapiens Protein cereblon Proteins 0.000 claims description 15
- 150000001413 amino acids Chemical group 0.000 claims description 15
- 125000004438 haloalkoxy group Chemical group 0.000 claims description 15
- 125000001449 isopropyl group Chemical group [H]C([H])([H])C([H])(*)C([H])([H])[H] 0.000 claims description 15
- 150000001721 carbon Chemical group 0.000 claims description 14
- 125000001559 cyclopropyl group Chemical group [H]C1([H])C([H])([H])C1([H])* 0.000 claims description 14
- 125000001495 ethyl group Chemical group [H]C([H])([H])C([H])([H])* 0.000 claims description 14
- OKTJSMMVPCPJKN-UHFFFAOYSA-N Carbon Chemical compound [C] OKTJSMMVPCPJKN-UHFFFAOYSA-N 0.000 claims description 13
- FZWLAAWBMGSTSO-UHFFFAOYSA-N Thiazole Chemical compound C1=CSC=N1 FZWLAAWBMGSTSO-UHFFFAOYSA-N 0.000 claims description 13
- 150000001408 amides Chemical class 0.000 claims description 13
- 125000004432 carbon atom Chemical group C* 0.000 claims description 12
- 239000002136 L01XE07 - Lapatinib Substances 0.000 claims description 11
- 125000002619 bicyclic group Chemical group 0.000 claims description 11
- 229960004891 lapatinib Drugs 0.000 claims description 11
- 125000004448 alkyl carbonyl group Chemical group 0.000 claims description 10
- 125000000113 cyclohexyl group Chemical group [H]C1([H])C([H])([H])C([H])([H])C([H])(*)C([H])([H])C1([H])[H] 0.000 claims description 10
- 125000002768 hydroxyalkyl group Chemical group 0.000 claims description 10
- CTAPFRYPJLPFDF-UHFFFAOYSA-N isoxazole Chemical compound C=1C=NOC=1 CTAPFRYPJLPFDF-UHFFFAOYSA-N 0.000 claims description 10
- 230000000707 stereoselective effect Effects 0.000 claims description 10
- 125000000999 tert-butyl group Chemical group [H]C([H])([H])C(*)(C([H])([H])[H])C([H])([H])[H] 0.000 claims description 10
- ZCQWOFVYLHDMMC-UHFFFAOYSA-N Oxazole Chemical compound C1=COC=N1 ZCQWOFVYLHDMMC-UHFFFAOYSA-N 0.000 claims description 9
- 229940024606 amino acid Drugs 0.000 claims description 9
- 235000001014 amino acid Nutrition 0.000 claims description 9
- 125000000449 nitro group Chemical group [O-][N+](*)=O 0.000 claims description 9
- 206010028980 Neoplasm Diseases 0.000 claims description 8
- 125000004183 alkoxy alkyl group Chemical group 0.000 claims description 8
- 125000003368 amide group Chemical group 0.000 claims description 8
- 125000002915 carbonyl group Chemical group [*:2]C([*:1])=O 0.000 claims description 8
- 125000000524 functional group Chemical group 0.000 claims description 8
- 239000012453 solvate Substances 0.000 claims description 8
- 125000001797 benzyl group Chemical group [H]C1=C([H])C([H])=C(C([H])=C1[H])C([H])([H])* 0.000 claims description 7
- 239000012634 fragment Substances 0.000 claims description 7
- 229940002612 prodrug Drugs 0.000 claims description 7
- 239000000651 prodrug Substances 0.000 claims description 7
- 150000003235 pyrrolidines Chemical class 0.000 claims description 7
- 101001012157 Homo sapiens Receptor tyrosine-protein kinase erbB-2 Proteins 0.000 claims description 6
- 102100030086 Receptor tyrosine-protein kinase erbB-2 Human genes 0.000 claims description 6
- BTIIGNUPPKUQAP-UHFFFAOYSA-N [1-[2,3-dihydroxy-4-[4-(oxoazaniumylmethylidene)pyridin-1-yl]butyl]pyridin-4-ylidene]methyl-oxoazanium;diperchlorate Chemical compound [O-]Cl(=O)(=O)=O.[O-]Cl(=O)(=O)=O.C1=CC(=C[NH+]=O)C=CN1CC(O)C(O)CN1C=CC(=C[NH+]=O)C=C1 BTIIGNUPPKUQAP-UHFFFAOYSA-N 0.000 claims description 6
- 150000001345 alkine derivatives Chemical class 0.000 claims description 6
- 201000011510 cancer Diseases 0.000 claims description 6
- 125000001309 chloro group Chemical group Cl* 0.000 claims description 6
- 125000001995 cyclobutyl group Chemical group [H]C1([H])C([H])([H])C([H])(*)C1([H])[H] 0.000 claims description 6
- 125000001511 cyclopentyl group Chemical group [H]C1([H])C([H])([H])C([H])([H])C([H])(*)C1([H])[H] 0.000 claims description 6
- 239000003937 drug carrier Substances 0.000 claims description 6
- 125000005885 heterocycloalkylalkyl group Chemical group 0.000 claims description 6
- GAMYYCRTACQSBR-UHFFFAOYSA-N 4-azabenzimidazole Chemical class C1=CC=C2NC=NC2=N1 GAMYYCRTACQSBR-UHFFFAOYSA-N 0.000 claims description 5
- HBAQYPYDRFILMT-UHFFFAOYSA-N 8-[3-(1-cyclopropylpyrazol-4-yl)-1H-pyrazolo[4,3-d]pyrimidin-5-yl]-3-methyl-3,8-diazabicyclo[3.2.1]octan-2-one Chemical class C1(CC1)N1N=CC(=C1)C1=NNC2=C1N=C(N=C2)N1C2C(N(CC1CC2)C)=O HBAQYPYDRFILMT-UHFFFAOYSA-N 0.000 claims description 5
- OAKJQQAXSVQMHS-UHFFFAOYSA-N Hydrazine Chemical compound NN OAKJQQAXSVQMHS-UHFFFAOYSA-N 0.000 claims description 5
- 102000003960 Ligases Human genes 0.000 claims description 5
- 108090000364 Ligases Proteins 0.000 claims description 5
- 150000001204 N-oxides Chemical class 0.000 claims description 5
- 125000005099 aryl alkyl carbonyl group Chemical group 0.000 claims description 5
- 125000002102 aryl alkyloxo group Chemical group 0.000 claims description 5
- 239000012867 bioactive agent Substances 0.000 claims description 5
- 150000003857 carboxamides Chemical class 0.000 claims description 5
- 125000004029 hydroxymethyl group Chemical group [H]OC([H])([H])* 0.000 claims description 5
- 230000002018 overexpression Effects 0.000 claims description 5
- 125000004191 (C1-C6) alkoxy group Chemical group 0.000 claims description 4
- 125000006570 (C5-C6) heteroaryl group Chemical group 0.000 claims description 4
- OPYRETPBRCRXQU-UHFFFAOYSA-N 4,6-dihydro-1h-pyrrolo[3,2-b]pyrrol-5-one Chemical class N1C=CC2=C1CC(=O)N2 OPYRETPBRCRXQU-UHFFFAOYSA-N 0.000 claims description 4
- 108050002772 E3 ubiquitin-protein ligase Mdm2 Proteins 0.000 claims description 4
- 125000001246 bromo group Chemical group Br* 0.000 claims description 4
- 125000004216 fluoromethyl group Chemical group [H]C([H])(F)* 0.000 claims description 4
- 150000002462 imidazolines Chemical class 0.000 claims description 4
- 229960000310 isoleucine Drugs 0.000 claims description 4
- VDBNYAPERZTOOF-UHFFFAOYSA-N isoquinolin-1(2H)-one Chemical class C1=CC=C2C(=O)NC=CC2=C1 VDBNYAPERZTOOF-UHFFFAOYSA-N 0.000 claims description 4
- XUWHAWMETYGRKB-UHFFFAOYSA-N piperidin-2-one Chemical class O=C1CCCCN1 XUWHAWMETYGRKB-UHFFFAOYSA-N 0.000 claims description 4
- UEJJHQNACJXSKW-UHFFFAOYSA-N 2-(2,6-dioxopiperidin-3-yl)-1H-isoindole-1,3(2H)-dione Chemical compound O=C1C2=CC=CC=C2C(=O)N1C1CCC(=O)NC1=O UEJJHQNACJXSKW-UHFFFAOYSA-N 0.000 claims description 3
- KDOPAZIWBAHVJB-UHFFFAOYSA-N 5h-pyrrolo[3,2-d]pyrimidine Chemical compound C1=NC=C2NC=CC2=N1 KDOPAZIWBAHVJB-UHFFFAOYSA-N 0.000 claims description 3
- LYCAIKOWRPUZTN-UHFFFAOYSA-N Ethylene glycol Chemical group OCCO LYCAIKOWRPUZTN-UHFFFAOYSA-N 0.000 claims description 3
- QNAYBMKLOCPYGJ-REOHCLBHSA-N L-alanine Chemical compound C[C@H](N)C(O)=O QNAYBMKLOCPYGJ-REOHCLBHSA-N 0.000 claims description 3
- AGPKZVBTJJNPAG-WHFBIAKZSA-N L-isoleucine Chemical compound CC[C@H](C)[C@H](N)C(O)=O AGPKZVBTJJNPAG-WHFBIAKZSA-N 0.000 claims description 3
- KZSNJWFQEVHDMF-BYPYZUCNSA-N L-valine Chemical compound CC(C)[C@H](N)C(O)=O KZSNJWFQEVHDMF-BYPYZUCNSA-N 0.000 claims description 3
- ONIBWKKTOPOVIA-UHFFFAOYSA-N Proline Natural products OC(=O)C1CCCN1 ONIBWKKTOPOVIA-UHFFFAOYSA-N 0.000 claims description 3
- KZSNJWFQEVHDMF-UHFFFAOYSA-N Valine Natural products CC(C)C(N)C(O)=O KZSNJWFQEVHDMF-UHFFFAOYSA-N 0.000 claims description 3
- 235000004279 alanine Nutrition 0.000 claims description 3
- 239000002246 antineoplastic agent Substances 0.000 claims description 3
- 125000004104 aryloxy group Chemical group 0.000 claims description 3
- 125000005553 heteroaryloxy group Chemical group 0.000 claims description 3
- AGPKZVBTJJNPAG-UHFFFAOYSA-N isoleucine Natural products CCC(C)C(N)C(O)=O AGPKZVBTJJNPAG-UHFFFAOYSA-N 0.000 claims description 3
- GOTYRUGSSMKFNF-UHFFFAOYSA-N lenalidomide Chemical compound C1C=2C(N)=CC=CC=2C(=O)N1C1CCC(=O)NC1=O GOTYRUGSSMKFNF-UHFFFAOYSA-N 0.000 claims description 3
- 229960004942 lenalidomide Drugs 0.000 claims description 3
- VSEAAEQOQBMPQF-UHFFFAOYSA-N morpholin-3-one Chemical class O=C1COCCN1 VSEAAEQOQBMPQF-UHFFFAOYSA-N 0.000 claims description 3
- UVSMNLNDYGZFPF-UHFFFAOYSA-N pomalidomide Chemical compound O=C1C=2C(N)=CC=CC=2C(=O)N1C1CCC(=O)NC1=O UVSMNLNDYGZFPF-UHFFFAOYSA-N 0.000 claims description 3
- 229960000688 pomalidomide Drugs 0.000 claims description 3
- 230000018883 protein targeting Effects 0.000 claims description 3
- 229960003433 thalidomide Drugs 0.000 claims description 3
- 239000004474 valine Substances 0.000 claims description 3
- 125000000882 C2-C6 alkenyl group Chemical group 0.000 claims description 2
- YMWUJEATGCHHMB-UHFFFAOYSA-N Dichloromethane Chemical compound ClCCl YMWUJEATGCHHMB-UHFFFAOYSA-N 0.000 claims description 2
- 101001034652 Homo sapiens Insulin-like growth factor 1 receptor Proteins 0.000 claims description 2
- 102100039688 Insulin-like growth factor 1 receptor Human genes 0.000 claims description 2
- 230000001093 anti-cancer Effects 0.000 claims description 2
- 208000027866 inflammatory disease Diseases 0.000 claims description 2
- 125000004663 dialkyl amino group Chemical group 0.000 claims 42
- 125000003282 alkyl amino group Chemical group 0.000 claims 39
- 125000004103 aminoalkyl group Chemical group 0.000 claims 8
- 125000000278 alkyl amino alkyl group Chemical group 0.000 claims 4
- 125000004985 dialkyl amino alkyl group Chemical group 0.000 claims 4
- 125000004422 alkyl sulphonamide group Chemical group 0.000 claims 3
- UCEQXRCJXIVODC-PMACEKPBSA-N LSM-1131 Chemical compound C1CCC2=CC=CC3=C2N1C=C3[C@@H]1C(=O)NC(=O)[C@H]1C1=CNC2=CC=CC=C12 UCEQXRCJXIVODC-PMACEKPBSA-N 0.000 claims 2
- 206010037211 Psychomotor hyperactivity Diseases 0.000 claims 2
- 125000005129 aryl carbonyl group Chemical group 0.000 claims 2
- 229960005061 crizotinib Drugs 0.000 claims 2
- KTEIFNKAUNYNJU-GFCCVEGCSA-N crizotinib Chemical compound O([C@H](C)C=1C(=C(F)C=CC=1Cl)Cl)C(C(=NC=1)N)=CC=1C(=C1)C=NN1C1CCNCC1 KTEIFNKAUNYNJU-GFCCVEGCSA-N 0.000 claims 2
- 125000006413 ring segment Chemical group 0.000 claims 2
- 229950005976 tivantinib Drugs 0.000 claims 2
- GLBZSOQDAOLMGC-UHFFFAOYSA-N 1-(2-hydroxy-2-methylpropyl)-n-[5-(7-methoxyquinolin-4-yl)oxypyridin-2-yl]-5-methyl-3-oxo-2-phenylpyrazole-4-carboxamide Chemical compound C=1C=NC2=CC(OC)=CC=C2C=1OC(C=N1)=CC=C1NC(=O)C(C1=O)=C(C)N(CC(C)(C)O)N1C1=CC=CC=C1 GLBZSOQDAOLMGC-UHFFFAOYSA-N 0.000 claims 1
- YTUFHOKUFOQRDF-UHFFFAOYSA-N 2-(5-fluoro-2-hydroxyphenyl)-2-(3-oxo-1H-isoindol-2-yl)-N-(1,3-thiazol-2-yl)acetamide Chemical group FC=1C=CC(=C(C=1)C(C(=O)NC=1SC=CN=1)N1C(C2=CC=CC=C2C1)=O)O YTUFHOKUFOQRDF-UHFFFAOYSA-N 0.000 claims 1
- PDMUGYOXRHVNMO-UHFFFAOYSA-N 2-[4-[3-(6-quinolinylmethyl)-5-triazolo[4,5-b]pyrazinyl]-1-pyrazolyl]ethanol Chemical compound C1=NN(CCO)C=C1C1=CN=C(N=NN2CC=3C=C4C=CC=NC4=CC=3)C2=N1 PDMUGYOXRHVNMO-UHFFFAOYSA-N 0.000 claims 1
- LIOLIMKSCNQPLV-UHFFFAOYSA-N 2-fluoro-n-methyl-4-[7-(quinolin-6-ylmethyl)imidazo[1,2-b][1,2,4]triazin-2-yl]benzamide Chemical compound C1=C(F)C(C(=O)NC)=CC=C1C1=NN2C(CC=3C=C4C=CC=NC4=CC=3)=CN=C2N=C1 LIOLIMKSCNQPLV-UHFFFAOYSA-N 0.000 claims 1
- AILRADAXUVEEIR-UHFFFAOYSA-N 5-chloro-4-n-(2-dimethylphosphorylphenyl)-2-n-[2-methoxy-4-[4-(4-methylpiperazin-1-yl)piperidin-1-yl]phenyl]pyrimidine-2,4-diamine Chemical compound COC1=CC(N2CCC(CC2)N2CCN(C)CC2)=CC=C1NC(N=1)=NC=C(Cl)C=1NC1=CC=CC=C1P(C)(C)=O AILRADAXUVEEIR-UHFFFAOYSA-N 0.000 claims 1
- JRWCBEOAFGHNNU-UHFFFAOYSA-N 6-[difluoro-[6-(1-methyl-4-pyrazolyl)-[1,2,4]triazolo[4,3-b]pyridazin-3-yl]methyl]quinoline Chemical compound C1=NN(C)C=C1C1=NN2C(C(F)(F)C=3C=C4C=CC=NC4=CC=3)=NN=C2C=C1 JRWCBEOAFGHNNU-UHFFFAOYSA-N 0.000 claims 1
- JGEBLDKNWBUGRZ-HXUWFJFHSA-N 9-[[[(2r)-1,4-dioxan-2-yl]methyl-methylsulfamoyl]amino]-2-(1-methylpyrazol-4-yl)-11-oxobenzo[1,2]cyclohepta[2,4-b]pyridine Chemical compound C=1C=C2C=CC3=NC=C(C4=CN(C)N=C4)C=C3C(=O)C2=CC=1NS(=O)(=O)N(C)C[C@@H]1COCCO1 JGEBLDKNWBUGRZ-HXUWFJFHSA-N 0.000 claims 1
- 206010061424 Anal cancer Diseases 0.000 claims 1
- 208000007860 Anus Neoplasms Diseases 0.000 claims 1
- 229940088872 Apoptosis inhibitor Drugs 0.000 claims 1
- 201000001320 Atherosclerosis Diseases 0.000 claims 1
- 125000003601 C2-C6 alkynyl group Chemical group 0.000 claims 1
- 206010009944 Colon cancer Diseases 0.000 claims 1
- 201000004624 Dermatitis Diseases 0.000 claims 1
- UQRCJCNVNUFYDX-UHFFFAOYSA-N Golvatinib Chemical compound C1CN(C)CCN1C1CCN(C(=O)NC=2N=CC=C(OC=3C=C(F)C(NC(=O)C4(CC4)C(=O)NC=4C=CC(F)=CC=4)=CC=3)C=2)CC1 UQRCJCNVNUFYDX-UHFFFAOYSA-N 0.000 claims 1
- 239000005517 L01XE01 - Imatinib Substances 0.000 claims 1
- 239000003798 L01XE11 - Pazopanib Substances 0.000 claims 1
- 239000002118 L01XE12 - Vandetanib Substances 0.000 claims 1
- 239000002146 L01XE16 - Crizotinib Substances 0.000 claims 1
- 239000002176 L01XE26 - Cabozantinib Substances 0.000 claims 1
- 201000004681 Psoriasis Diseases 0.000 claims 1
- 125000005431 alkyl carboxamide group Chemical group 0.000 claims 1
- 239000002260 anti-inflammatory agent Substances 0.000 claims 1
- 229940121363 anti-inflammatory agent Drugs 0.000 claims 1
- 201000011165 anus cancer Diseases 0.000 claims 1
- 229960003982 apatinib Drugs 0.000 claims 1
- 239000000158 apoptosis inhibitor Substances 0.000 claims 1
- 208000010668 atopic eczema Diseases 0.000 claims 1
- 150000005347 biaryls Chemical group 0.000 claims 1
- 229950004272 brigatinib Drugs 0.000 claims 1
- 125000006297 carbonyl amino group Chemical group [H]N([*:2])C([*:1])=O 0.000 claims 1
- 208000029742 colonic neoplasm Diseases 0.000 claims 1
- LVXJQMNHJWSHET-AATRIKPKSA-N dacomitinib Chemical compound C=12C=C(NC(=O)\C=C\CN3CCCCC3)C(OC)=CC2=NC=NC=1NC1=CC=C(F)C(Cl)=C1 LVXJQMNHJWSHET-AATRIKPKSA-N 0.000 claims 1
- 229950002205 dacomitinib Drugs 0.000 claims 1
- 208000005017 glioblastoma Diseases 0.000 claims 1
- 208000014829 head and neck neoplasm Diseases 0.000 claims 1
- 125000005114 heteroarylalkoxy group Chemical group 0.000 claims 1
- 229950007440 icotinib Drugs 0.000 claims 1
- QQLKULDARVNMAL-UHFFFAOYSA-N icotinib Chemical compound C#CC1=CC=CC(NC=2C3=CC=4OCCOCCOCCOC=4C=C3N=CN=2)=C1 QQLKULDARVNMAL-UHFFFAOYSA-N 0.000 claims 1
- 229960002411 imatinib Drugs 0.000 claims 1
- KTUFNOKKBVMGRW-UHFFFAOYSA-N imatinib Chemical compound C1CN(C)CCN1CC1=CC=C(C(=O)NC=2C=C(NC=3N=C(C=CN=3)C=3C=NC=CC=3)C(C)=CC=2)C=C1 KTUFNOKKBVMGRW-UHFFFAOYSA-N 0.000 claims 1
- BCFGMOOMADDAQU-UHFFFAOYSA-N lapatinib Chemical compound O1C(CNCCS(=O)(=O)C)=CC=C1C1=CC=C(N=CN=C2NC=3C=C(Cl)C(OCC=4C=C(F)C=CC=4)=CC=3)C2=C1 BCFGMOOMADDAQU-UHFFFAOYSA-N 0.000 claims 1
- 201000005243 lung squamous cell carcinoma Diseases 0.000 claims 1
- 229950003968 motesanib Drugs 0.000 claims 1
- RAHBGWKEPAQNFF-UHFFFAOYSA-N motesanib Chemical compound C=1C=C2C(C)(C)CNC2=CC=1NC(=O)C1=CC=CN=C1NCC1=CC=NC=C1 RAHBGWKEPAQNFF-UHFFFAOYSA-N 0.000 claims 1
- WPEWQEMJFLWMLV-UHFFFAOYSA-N n-[4-(1-cyanocyclopentyl)phenyl]-2-(pyridin-4-ylmethylamino)pyridine-3-carboxamide Chemical compound C=1C=CN=C(NCC=2C=CN=CC=2)C=1C(=O)NC(C=C1)=CC=C1C1(C#N)CCCC1 WPEWQEMJFLWMLV-UHFFFAOYSA-N 0.000 claims 1
- 229960000639 pazopanib Drugs 0.000 claims 1
- CUIHSIWYWATEQL-UHFFFAOYSA-N pazopanib Chemical compound C1=CC2=C(C)N(C)N=C2C=C1N(C)C(N=1)=CC=NC=1NC1=CC=C(C)C(S(N)(=O)=O)=C1 CUIHSIWYWATEQL-UHFFFAOYSA-N 0.000 claims 1
- UHTHHESEBZOYNR-UHFFFAOYSA-N vandetanib Chemical compound COC1=CC(C(/N=CN2)=N/C=3C(=CC(Br)=CC=3)F)=C2C=C1OCC1CCN(C)CC1 UHTHHESEBZOYNR-UHFFFAOYSA-N 0.000 claims 1
- 229960000241 vandetanib Drugs 0.000 claims 1
- 239000003446 ligand Substances 0.000 abstract description 46
- 238000006731 degradation reaction Methods 0.000 abstract description 45
- 230000015556 catabolic process Effects 0.000 abstract description 44
- 230000034512 ubiquitination Effects 0.000 abstract description 14
- 238000010798 ubiquitination Methods 0.000 abstract description 13
- 230000005764 inhibitory process Effects 0.000 abstract description 11
- 230000000144 pharmacologic effect Effects 0.000 abstract description 3
- 238000009825 accumulation Methods 0.000 abstract 1
- 230000002776 aggregation Effects 0.000 abstract 1
- 238000004220 aggregation Methods 0.000 abstract 1
- 230000004481 post-translational protein modification Effects 0.000 description 101
- 108091007065 BIRCs Proteins 0.000 description 66
- 102000055031 Inhibitor of Apoptosis Proteins Human genes 0.000 description 66
- 239000000460 chlorine Substances 0.000 description 62
- NQRYJNQNLNOLGT-UHFFFAOYSA-N Piperidine Chemical compound C1CCNCC1 NQRYJNQNLNOLGT-UHFFFAOYSA-N 0.000 description 61
- 210000004027 cell Anatomy 0.000 description 50
- 108020005497 Nuclear hormone receptor Proteins 0.000 description 46
- JUJWROOIHBZHMG-UHFFFAOYSA-N Pyridine Chemical compound C1=CC=NC=C1 JUJWROOIHBZHMG-UHFFFAOYSA-N 0.000 description 44
- 125000005913 (C3-C6) cycloalkyl group Chemical group 0.000 description 43
- YNAVUWVOSKDBBP-UHFFFAOYSA-N Morpholine Chemical compound C1COCCN1 YNAVUWVOSKDBBP-UHFFFAOYSA-N 0.000 description 42
- WYURNTSHIVDZCO-UHFFFAOYSA-N Tetrahydrofuran Chemical compound C1CCOC1 WYURNTSHIVDZCO-UHFFFAOYSA-N 0.000 description 41
- 102100033254 Tumor suppressor ARF Human genes 0.000 description 41
- SMWDFEZZVXVKRB-UHFFFAOYSA-N Quinoline Chemical compound N1=CC=CC2=CC=CC=C21 SMWDFEZZVXVKRB-UHFFFAOYSA-N 0.000 description 37
- 210000005261 ventrolateral medulla Anatomy 0.000 description 28
- 239000011737 fluorine Substances 0.000 description 25
- IAZDPXIOMUYVGZ-UHFFFAOYSA-N Dimethylsulphoxide Chemical compound CS(C)=O IAZDPXIOMUYVGZ-UHFFFAOYSA-N 0.000 description 24
- 102000001301 EGF receptor Human genes 0.000 description 24
- 108060006698 EGF receptor Proteins 0.000 description 22
- 229960005141 piperazine Drugs 0.000 description 21
- 102000044159 Ubiquitin Human genes 0.000 description 19
- 108090000848 Ubiquitin Proteins 0.000 description 19
- 125000005677 ethinylene group Chemical group [*:2]C#C[*:1] 0.000 description 16
- UMJSCPRVCHMLSP-UHFFFAOYSA-N pyridine Natural products COC1=CC=CN=C1 UMJSCPRVCHMLSP-UHFFFAOYSA-N 0.000 description 16
- 239000003814 drug Substances 0.000 description 15
- 125000001624 naphthyl group Chemical group 0.000 description 15
- 150000001412 amines Chemical class 0.000 description 14
- YPHMISFOHDHNIV-FSZOTQKASA-N cycloheximide Chemical compound C1[C@@H](C)C[C@H](C)C(=O)[C@@H]1[C@H](O)CC1CC(=O)NC(=O)C1 YPHMISFOHDHNIV-FSZOTQKASA-N 0.000 description 14
- YCKRFDGAMUMZLT-UHFFFAOYSA-N Fluorine atom Chemical compound [F] YCKRFDGAMUMZLT-UHFFFAOYSA-N 0.000 description 13
- 125000002947 alkylene group Chemical group 0.000 description 13
- 230000000694 effects Effects 0.000 description 13
- HOBCFUWDNJPFHB-UHFFFAOYSA-N indolizine Chemical compound C1=CC=CN2C=CC=C21 HOBCFUWDNJPFHB-UHFFFAOYSA-N 0.000 description 13
- 150000003557 thiazoles Chemical class 0.000 description 13
- 125000006716 (C1-C6) heteroalkyl group Chemical group 0.000 description 12
- 125000006747 (C2-C10) heterocycloalkyl group Chemical group 0.000 description 12
- 229940083346 IAP antagonist Drugs 0.000 description 12
- RFRXIWQYSOIBDI-UHFFFAOYSA-N benzarone Chemical class CCC=1OC2=CC=CC=C2C=1C(=O)C1=CC=C(O)C=C1 RFRXIWQYSOIBDI-UHFFFAOYSA-N 0.000 description 12
- 150000003852 triazoles Chemical class 0.000 description 12
- 102000003745 Hepatocyte Growth Factor Human genes 0.000 description 11
- 108090000100 Hepatocyte Growth Factor Proteins 0.000 description 11
- 150000002545 isoxazoles Chemical group 0.000 description 11
- 150000002632 lipids Chemical class 0.000 description 11
- 150000002916 oxazoles Chemical class 0.000 description 11
- 239000000758 substrate Substances 0.000 description 11
- 125000001153 fluoro group Chemical group F* 0.000 description 10
- ZLTPDFXIESTBQG-UHFFFAOYSA-N isothiazole Chemical compound C=1C=NSC=1 ZLTPDFXIESTBQG-UHFFFAOYSA-N 0.000 description 10
- 125000000956 methoxy group Chemical group [H]C([H])([H])O* 0.000 description 10
- 230000003278 mimic effect Effects 0.000 description 10
- 229920001223 polyethylene glycol Polymers 0.000 description 10
- 238000006467 substitution reaction Methods 0.000 description 10
- 229910052794 bromium Inorganic materials 0.000 description 9
- 125000002837 carbocyclic group Chemical group 0.000 description 9
- 229940079593 drug Drugs 0.000 description 9
- 230000006870 function Effects 0.000 description 9
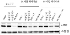
- 238000003119 immunoblot Methods 0.000 description 9
- 150000003854 isothiazoles Chemical class 0.000 description 9
- 230000001404 mediated effect Effects 0.000 description 9
- 125000002950 monocyclic group Chemical group 0.000 description 9
- 239000001301 oxygen Substances 0.000 description 9
- 150000003457 sulfones Chemical group 0.000 description 9
- RAOIDOHSFRTOEL-UHFFFAOYSA-N tetrahydrothiophene Chemical compound C1CCSC1 RAOIDOHSFRTOEL-UHFFFAOYSA-N 0.000 description 9
- QCULBRPVCWJUKY-OUMVKTTMSA-N (2S,4R)-N-[[2-[2-[2-[2-[4-[3-amino-6-(2-hydroxyphenyl)pyridazin-4-yl]piperazin-1-yl]ethoxy]ethoxy]ethoxy]-4-(4-methyl-1,3-thiazol-5-yl)phenyl]methyl]-1-[(2S)-2-[(1-fluorocyclopropanecarbonyl)amino]-3,3-dimethylbutanoyl]-4-hydroxypyrrolidine-2-carboxamide Chemical compound Cc1ncsc1-c1ccc(CNC(=O)[C@@H]2C[C@@H](O)CN2C(=O)[C@@H](NC(=O)C2(F)CC2)C(C)(C)C)c(OCCOCCOCCN2CCN(CC2)c2cc(nnc2N)-c2ccccc2O)c1 QCULBRPVCWJUKY-OUMVKTTMSA-N 0.000 description 8
- JKTCBAGSMQIFNL-UHFFFAOYSA-N 2,3-dihydrofuran Chemical compound C1CC=CO1 JKTCBAGSMQIFNL-UHFFFAOYSA-N 0.000 description 8
- 101100516568 Caenorhabditis elegans nhr-7 gene Proteins 0.000 description 8
- HEDRZPFGACZZDS-UHFFFAOYSA-N Chloroform Chemical compound ClC(Cl)Cl HEDRZPFGACZZDS-UHFFFAOYSA-N 0.000 description 8
- 239000005557 antagonist Substances 0.000 description 8
- 150000002460 imidazoles Chemical class 0.000 description 8
- 239000003112 inhibitor Substances 0.000 description 8
- 125000000468 ketone group Chemical group 0.000 description 8
- 102000004196 processed proteins & peptides Human genes 0.000 description 8
- 108090000765 processed proteins & peptides Proteins 0.000 description 8
- 150000003233 pyrroles Chemical class 0.000 description 8
- PFNFFQXMRSDOHW-UHFFFAOYSA-N spermine Chemical compound NCCCNCCCCNCCCN PFNFFQXMRSDOHW-UHFFFAOYSA-N 0.000 description 8
- 125000006584 (C3-C10) heterocycloalkyl group Chemical group 0.000 description 7
- 101100137546 Arabidopsis thaliana PRF2 gene Proteins 0.000 description 7
- 102100022361 CAAX prenyl protease 1 homolog Human genes 0.000 description 7
- 101000824531 Homo sapiens CAAX prenyl protease 1 homolog Proteins 0.000 description 7
- 101001003584 Homo sapiens Prelamin-A/C Proteins 0.000 description 7
- 101150004094 PRO2 gene Proteins 0.000 description 7
- QVGXLLKOCUKJST-UHFFFAOYSA-N atomic oxygen Chemical compound [O] QVGXLLKOCUKJST-UHFFFAOYSA-N 0.000 description 7
- 125000000392 cycloalkenyl group Chemical group 0.000 description 7
- 230000000670 limiting effect Effects 0.000 description 7
- 229920000728 polyester Polymers 0.000 description 7
- 230000019491 signal transduction Effects 0.000 description 7
- 230000001225 therapeutic effect Effects 0.000 description 7
- 125000004001 thioalkyl group Chemical group 0.000 description 7
- UWYZHKAOTLEWKK-UHFFFAOYSA-N 1,2,3,4-tetrahydroisoquinoline Chemical compound C1=CC=C2CNCCC2=C1 UWYZHKAOTLEWKK-UHFFFAOYSA-N 0.000 description 6
- LBUJPTNKIBCYBY-UHFFFAOYSA-N 1,2,3,4-tetrahydroquinoline Chemical compound C1=CC=C2CCCNC2=C1 LBUJPTNKIBCYBY-UHFFFAOYSA-N 0.000 description 6
- XNRVGTHNYCNCFF-UHFFFAOYSA-N Lapatinib ditosylate monohydrate Chemical compound O.CC1=CC=C(S(O)(=O)=O)C=C1.CC1=CC=C(S(O)(=O)=O)C=C1.O1C(CNCCS(=O)(=O)C)=CC=C1C1=CC=C(N=CN=C2NC=3C=C(Cl)C(OCC=4C=C(F)C=CC=4)=CC=3)C2=C1 XNRVGTHNYCNCFF-UHFFFAOYSA-N 0.000 description 6
- 241001465754 Metazoa Species 0.000 description 6
- KYQCOXFCLRTKLS-UHFFFAOYSA-N Pyrazine Chemical compound C1=CN=CC=N1 KYQCOXFCLRTKLS-UHFFFAOYSA-N 0.000 description 6
- NINIDFKCEFEMDL-UHFFFAOYSA-N Sulfur Chemical compound [S] NINIDFKCEFEMDL-UHFFFAOYSA-N 0.000 description 6
- 230000006907 apoptotic process Effects 0.000 description 6
- 150000002148 esters Chemical group 0.000 description 6
- 125000004404 heteroalkyl group Chemical group 0.000 description 6
- 125000004435 hydrogen atom Chemical group [H]* 0.000 description 6
- 229910052740 iodine Inorganic materials 0.000 description 6
- 235000018977 lysine Nutrition 0.000 description 6
- 229920001184 polypeptide Polymers 0.000 description 6
- ATHGHQPFGPMSJY-UHFFFAOYSA-N spermidine Chemical compound NCCCCNCCCN ATHGHQPFGPMSJY-UHFFFAOYSA-N 0.000 description 6
- 150000003462 sulfoxides Chemical group 0.000 description 6
- 239000011593 sulfur Substances 0.000 description 6
- 125000004434 sulfur atom Chemical group 0.000 description 6
- 125000000171 (C1-C6) haloalkyl group Chemical group 0.000 description 5
- KDXKERNSBIXSRK-UHFFFAOYSA-N Lysine Natural products NCCCCC(N)C(O)=O KDXKERNSBIXSRK-UHFFFAOYSA-N 0.000 description 5
- 239000004472 Lysine Substances 0.000 description 5
- 108091000080 Phosphotransferase Proteins 0.000 description 5
- 102100023102 Solute carrier family 22 member 18 Human genes 0.000 description 5
- YTPLMLYBLZKORZ-UHFFFAOYSA-N Thiophene Chemical compound C=1C=CSC=1 YTPLMLYBLZKORZ-UHFFFAOYSA-N 0.000 description 5
- 230000004913 activation Effects 0.000 description 5
- 230000008901 benefit Effects 0.000 description 5
- 230000015572 biosynthetic process Effects 0.000 description 5
- 230000030833 cell death Effects 0.000 description 5
- 238000002474 experimental method Methods 0.000 description 5
- 230000001965 increasing effect Effects 0.000 description 5
- 102000020233 phosphotransferase Human genes 0.000 description 5
- 150000003248 quinolines Chemical class 0.000 description 5
- XSCHRSMBECNVNS-UHFFFAOYSA-N quinoxaline Chemical compound N1=CC=NC2=CC=CC=C21 XSCHRSMBECNVNS-UHFFFAOYSA-N 0.000 description 5
- 125000002733 (C1-C6) fluoroalkyl group Chemical group 0.000 description 4
- BAXOFTOLAUCFNW-UHFFFAOYSA-N 1H-indazole Chemical compound C1=CC=C2C=NNC2=C1 BAXOFTOLAUCFNW-UHFFFAOYSA-N 0.000 description 4
- HBEDSQVIWPRPAY-UHFFFAOYSA-N 2,3-dihydrobenzofuran Chemical class C1=CC=C2OCCC2=C1 HBEDSQVIWPRPAY-UHFFFAOYSA-N 0.000 description 4
- KDCGOANMDULRCW-UHFFFAOYSA-N 7H-purine Chemical compound N1=CNC2=NC=NC2=C1 KDCGOANMDULRCW-UHFFFAOYSA-N 0.000 description 4
- UJOBWOGCFQCDNV-UHFFFAOYSA-N 9H-carbazole Chemical compound C1=CC=C2C3=CC=CC=C3NC2=C1 UJOBWOGCFQCDNV-UHFFFAOYSA-N 0.000 description 4
- 102000011727 Caspases Human genes 0.000 description 4
- 108010076667 Caspases Proteins 0.000 description 4
- ROSDSFDQCJNGOL-UHFFFAOYSA-N Dimethylamine Chemical compound CNC ROSDSFDQCJNGOL-UHFFFAOYSA-N 0.000 description 4
- 102000004190 Enzymes Human genes 0.000 description 4
- 108090000790 Enzymes Proteins 0.000 description 4
- KDXKERNSBIXSRK-YFKPBYRVSA-N L-lysine Chemical compound NCCCC[C@H](N)C(O)=O KDXKERNSBIXSRK-YFKPBYRVSA-N 0.000 description 4
- PCNDJXKNXGMECE-UHFFFAOYSA-N Phenazine Natural products C1=CC=CC2=NC3=CC=CC=C3N=C21 PCNDJXKNXGMECE-UHFFFAOYSA-N 0.000 description 4
- 239000002202 Polyethylene glycol Substances 0.000 description 4
- CZPWVGJYEJSRLH-UHFFFAOYSA-N Pyrimidine Chemical compound C1=CN=CN=C1 CZPWVGJYEJSRLH-UHFFFAOYSA-N 0.000 description 4
- DHXVGJBLRPWPCS-UHFFFAOYSA-N Tetrahydropyran Chemical compound C1CCOCC1 DHXVGJBLRPWPCS-UHFFFAOYSA-N 0.000 description 4
- DZBUGLKDJFMEHC-UHFFFAOYSA-N acridine Chemical compound C1=CC=CC2=CC3=CC=CC=C3N=C21 DZBUGLKDJFMEHC-UHFFFAOYSA-N 0.000 description 4
- 238000004458 analytical method Methods 0.000 description 4
- 150000001556 benzimidazoles Chemical class 0.000 description 4
- 239000013626 chemical specie Substances 0.000 description 4
- 238000000942 confocal micrograph Methods 0.000 description 4
- 125000005265 dialkylamine group Chemical group 0.000 description 4
- 229940088598 enzyme Drugs 0.000 description 4
- 150000002430 hydrocarbons Chemical class 0.000 description 4
- 238000001114 immunoprecipitation Methods 0.000 description 4
- 150000002475 indoles Chemical class 0.000 description 4
- AWJUIBRHMBBTKR-UHFFFAOYSA-N isoquinoline Chemical compound C1=NC=CC2=CC=CC=C21 AWJUIBRHMBBTKR-UHFFFAOYSA-N 0.000 description 4
- 150000002576 ketones Chemical group 0.000 description 4
- 238000011275 oncology therapy Methods 0.000 description 4
- RDOWQLZANAYVLL-UHFFFAOYSA-N phenanthridine Chemical compound C1=CC=C2C3=CC=CC=C3C=NC2=C1 RDOWQLZANAYVLL-UHFFFAOYSA-N 0.000 description 4
- 229910052698 phosphorus Inorganic materials 0.000 description 4
- 125000003367 polycyclic group Chemical group 0.000 description 4
- 230000003389 potentiating effect Effects 0.000 description 4
- 238000011002 quantification Methods 0.000 description 4
- 230000011664 signaling Effects 0.000 description 4
- 229940063675 spermine Drugs 0.000 description 4
- 229940124530 sulfonamide Drugs 0.000 description 4
- 150000003456 sulfonamides Chemical class 0.000 description 4
- 230000002459 sustained effect Effects 0.000 description 4
- 238000003786 synthesis reaction Methods 0.000 description 4
- 229940124597 therapeutic agent Drugs 0.000 description 4
- 150000003573 thiols Chemical class 0.000 description 4
- 229930192474 thiophene Natural products 0.000 description 4
- 125000002023 trifluoromethyl group Chemical group FC(F)(F)* 0.000 description 4
- 238000001262 western blot Methods 0.000 description 4
- XKVUYEYANWFIJX-UHFFFAOYSA-N 5-methyl-1h-pyrazole Chemical group CC1=CC=NN1 XKVUYEYANWFIJX-UHFFFAOYSA-N 0.000 description 3
- UHOVQNZJYSORNB-UHFFFAOYSA-N Benzene Chemical compound C1=CC=CC=C1 UHOVQNZJYSORNB-UHFFFAOYSA-N 0.000 description 3
- 125000004399 C1-C4 alkenyl group Chemical group 0.000 description 3
- 239000004215 Carbon black (E152) Substances 0.000 description 3
- 102000003956 Fibroblast growth factor 8 Human genes 0.000 description 3
- 108090000368 Fibroblast growth factor 8 Proteins 0.000 description 3
- 239000004952 Polyamide Substances 0.000 description 3
- 102000004245 Proteasome Endopeptidase Complex Human genes 0.000 description 3
- 108090000708 Proteasome Endopeptidase Complex Proteins 0.000 description 3
- YPWFISCTZQNZAU-UHFFFAOYSA-N Thiane Chemical compound C1CCSCC1 YPWFISCTZQNZAU-UHFFFAOYSA-N 0.000 description 3
- 102000004243 Tubulin Human genes 0.000 description 3
- 108090000704 Tubulin Proteins 0.000 description 3
- 230000009471 action Effects 0.000 description 3
- 125000002252 acyl group Chemical group 0.000 description 3
- 150000001336 alkenes Chemical group 0.000 description 3
- 125000005119 alkyl cycloalkyl group Chemical group 0.000 description 3
- 125000003636 chemical group Chemical group 0.000 description 3
- 238000011284 combination treatment Methods 0.000 description 3
- 238000013461 design Methods 0.000 description 3
- 230000018109 developmental process Effects 0.000 description 3
- 150000002240 furans Chemical class 0.000 description 3
- 125000002541 furyl group Chemical group 0.000 description 3
- 125000003827 glycol group Chemical group 0.000 description 3
- 239000003102 growth factor Substances 0.000 description 3
- 229930195733 hydrocarbon Natural products 0.000 description 3
- 150000003949 imides Chemical class 0.000 description 3
- 230000002779 inactivation Effects 0.000 description 3
- 238000011534 incubation Methods 0.000 description 3
- 150000002478 indolizines Chemical class 0.000 description 3
- 230000002401 inhibitory effect Effects 0.000 description 3
- 125000004573 morpholin-4-yl group Chemical group N1(CCOCC1)* 0.000 description 3
- QJGQUHMNIGDVPM-UHFFFAOYSA-N nitrogen group Chemical group [N] QJGQUHMNIGDVPM-UHFFFAOYSA-N 0.000 description 3
- 125000003386 piperidinyl group Chemical group 0.000 description 3
- 229920002647 polyamide Polymers 0.000 description 3
- 229920000642 polymer Polymers 0.000 description 3
- 229940121649 protein inhibitor Drugs 0.000 description 3
- 239000012268 protein inhibitor Substances 0.000 description 3
- 230000017854 proteolysis Effects 0.000 description 3
- 150000003222 pyridines Chemical class 0.000 description 3
- 125000000719 pyrrolidinyl group Chemical group 0.000 description 3
- 230000001105 regulatory effect Effects 0.000 description 3
- 229940063673 spermidine Drugs 0.000 description 3
- 230000000638 stimulation Effects 0.000 description 3
- 125000005017 substituted alkenyl group Chemical group 0.000 description 3
- 125000001412 tetrahydropyranyl group Chemical group 0.000 description 3
- 150000003536 tetrazoles Chemical class 0.000 description 3
- 150000003568 thioethers Chemical group 0.000 description 3
- 150000003577 thiophenes Chemical class 0.000 description 3
- YBJHBAHKTGYVGT-ZKWXMUAHSA-N (+)-Biotin Chemical compound N1C(=O)N[C@@H]2[C@H](CCCCC(=O)O)SC[C@@H]21 YBJHBAHKTGYVGT-ZKWXMUAHSA-N 0.000 description 2
- NICKHWYZMNLEPJ-TZSMONEZSA-N (2S,4R)-1-[(2S)-2-[3-[2-[5-[4-(3-chloro-4-fluoroanilino)-7-methoxyquinazolin-6-yl]oxypentoxy]ethoxy]propanoylamino]-3,3-dimethylbutanoyl]-4-hydroxy-N-[[4-(4-methyl-1,3-thiazol-5-yl)phenyl]methyl]pyrrolidine-2-carboxamide Chemical compound COC1=CC2=NC=NC(NC3=CC(Cl)=C(F)C=C3)=C2C=C1OCCCCCOCCOCCC(=O)N[C@H](C(=O)N1C[C@H](O)C[C@H]1C(=O)NCC1=CC=C(C=C1)C1=C(C)N=CS1)C(C)(C)C NICKHWYZMNLEPJ-TZSMONEZSA-N 0.000 description 2
- 125000000008 (C1-C10) alkyl group Chemical group 0.000 description 2
- 125000004178 (C1-C4) alkyl group Chemical group 0.000 description 2
- 125000006272 (C3-C7) cycloalkyl group Chemical group 0.000 description 2
- RYHBNJHYFVUHQT-UHFFFAOYSA-N 1,4-Dioxane Chemical compound C1COCCO1 RYHBNJHYFVUHQT-UHFFFAOYSA-N 0.000 description 2
- IANQTJSKSUMEQM-UHFFFAOYSA-N 1-benzofuran Chemical compound C1=CC=C2OC=CC2=C1 IANQTJSKSUMEQM-UHFFFAOYSA-N 0.000 description 2
- FCEHBMOGCRZNNI-UHFFFAOYSA-N 1-benzothiophene Chemical compound C1=CC=C2SC=CC2=C1 FCEHBMOGCRZNNI-UHFFFAOYSA-N 0.000 description 2
- QWENRTYMTSOGBR-UHFFFAOYSA-N 1H-1,2,3-Triazole Chemical compound C=1C=NNN=1 QWENRTYMTSOGBR-UHFFFAOYSA-N 0.000 description 2
- ADDZHRRCUWNSCS-UHFFFAOYSA-N 2-Benzofurancarboxaldehyde Chemical class C1=CC=C2OC(C=O)=CC2=C1 ADDZHRRCUWNSCS-UHFFFAOYSA-N 0.000 description 2
- JNSUFFBMQFHNIC-UHFFFAOYSA-N 2-benzyl-5-methoxy-1h-imidazole Chemical class N1C(OC)=CN=C1CC1=CC=CC=C1 JNSUFFBMQFHNIC-UHFFFAOYSA-N 0.000 description 2
- LXBGSDVWAMZHDD-UHFFFAOYSA-N 2-methyl-1h-imidazole Chemical compound CC1=NC=CN1 LXBGSDVWAMZHDD-UHFFFAOYSA-N 0.000 description 2
- VHMICKWLTGFITH-UHFFFAOYSA-N 2H-isoindole Chemical compound C1=CC=CC2=CNC=C21 VHMICKWLTGFITH-UHFFFAOYSA-N 0.000 description 2
- 101100067974 Arabidopsis thaliana POP2 gene Proteins 0.000 description 2
- 125000002853 C1-C4 hydroxyalkyl group Chemical group 0.000 description 2
- 102000015367 CRBN Human genes 0.000 description 2
- 102100028907 Cullin-4A Human genes 0.000 description 2
- 101710159242 Cullin-4A Proteins 0.000 description 2
- 102000012698 DDB1 Human genes 0.000 description 2
- 101100170004 Dictyostelium discoideum repE gene Proteins 0.000 description 2
- 101100170005 Drosophila melanogaster pic gene Proteins 0.000 description 2
- 108010003751 Elongin Proteins 0.000 description 2
- 102000004662 Elongin Human genes 0.000 description 2
- JOYRKODLDBILNP-UHFFFAOYSA-N Ethyl urethane Chemical compound CCOC(N)=O JOYRKODLDBILNP-UHFFFAOYSA-N 0.000 description 2
- 102000004864 Fibroblast growth factor 10 Human genes 0.000 description 2
- 108090001047 Fibroblast growth factor 10 Proteins 0.000 description 2
- DHMQDGOQFOQNFH-UHFFFAOYSA-N Glycine Chemical compound NCC(O)=O DHMQDGOQFOQNFH-UHFFFAOYSA-N 0.000 description 2
- 101100118549 Homo sapiens EGFR gene Proteins 0.000 description 2
- 206010021143 Hypoxia Diseases 0.000 description 2
- 229930194542 Keto Natural products 0.000 description 2
- ONIBWKKTOPOVIA-BYPYZUCNSA-N L-Proline Chemical compound OC(=O)[C@@H]1CCCN1 ONIBWKKTOPOVIA-BYPYZUCNSA-N 0.000 description 2
- 101100236865 Mus musculus Mdm2 gene Proteins 0.000 description 2
- 241000283973 Oryctolagus cuniculus Species 0.000 description 2
- 229940079156 Proteasome inhibitor Drugs 0.000 description 2
- 101100123851 Saccharomyces cerevisiae (strain ATCC 204508 / S288c) HER1 gene Proteins 0.000 description 2
- 108020004459 Small interfering RNA Proteins 0.000 description 2
- 108700031544 X-Linked Inhibitor of Apoptosis Proteins 0.000 description 2
- 102000050257 X-Linked Inhibitor of Apoptosis Human genes 0.000 description 2
- 102100026655 Zinc finger protein castor homolog 1 Human genes 0.000 description 2
- DGEZNRSVGBDHLK-UHFFFAOYSA-N [1,10]phenanthroline Chemical compound C1=CN=C2C3=NC=CC=C3C=CC2=C1 DGEZNRSVGBDHLK-UHFFFAOYSA-N 0.000 description 2
- 229960001686 afatinib Drugs 0.000 description 2
- 229960003767 alanine Drugs 0.000 description 2
- 125000005360 alkyl sulfoxide group Chemical group 0.000 description 2
- 125000003277 amino group Chemical group 0.000 description 2
- 230000000259 anti-tumor effect Effects 0.000 description 2
- 238000013459 approach Methods 0.000 description 2
- 125000000732 arylene group Chemical group 0.000 description 2
- IOJUPLGTWVMSFF-UHFFFAOYSA-N benzothiazole Chemical compound C1=CC=C2SC=NC2=C1 IOJUPLGTWVMSFF-UHFFFAOYSA-N 0.000 description 2
- UCMIRNVEIXFBKS-UHFFFAOYSA-N beta-alanine Chemical compound NCCC(O)=O UCMIRNVEIXFBKS-UHFFFAOYSA-N 0.000 description 2
- 238000012925 biological evaluation Methods 0.000 description 2
- 108091006004 biotinylated proteins Proteins 0.000 description 2
- 150000001732 carboxylic acid derivatives Chemical class 0.000 description 2
- 125000002843 carboxylic acid group Chemical group 0.000 description 2
- 230000004663 cell proliferation Effects 0.000 description 2
- 238000001516 cell proliferation assay Methods 0.000 description 2
- 238000012512 characterization method Methods 0.000 description 2
- 230000021615 conjugation Effects 0.000 description 2
- 230000009089 cytolysis Effects 0.000 description 2
- 101150077768 ddb1 gene Proteins 0.000 description 2
- 238000000354 decomposition reaction Methods 0.000 description 2
- 238000011161 development Methods 0.000 description 2
- 125000004852 dihydrofuranyl group Chemical group O1C(CC=C1)* 0.000 description 2
- 230000007783 downstream signaling Effects 0.000 description 2
- 125000004051 hexyl group Chemical group [H]C([H])([H])C([H])([H])C([H])([H])C([H])([H])C([H])([H])C([H])([H])* 0.000 description 2
- 125000002883 imidazolyl group Chemical group 0.000 description 2
- 238000012744 immunostaining Methods 0.000 description 2
- LPAGFVYQRIESJQ-UHFFFAOYSA-N indoline Chemical compound C1=CC=C2NCCC2=C1 LPAGFVYQRIESJQ-UHFFFAOYSA-N 0.000 description 2
- 125000001041 indolyl group Chemical group 0.000 description 2
- 230000003993 interaction Effects 0.000 description 2
- 230000003834 intracellular effect Effects 0.000 description 2
- 244000144972 livestock Species 0.000 description 2
- 125000003588 lysine group Chemical class [H]N([H])C([H])([H])C([H])([H])C([H])([H])C([H])([H])C([H])(N([H])[H])C(*)=O 0.000 description 2
- 230000007246 mechanism Effects 0.000 description 2
- 239000002609 medium Substances 0.000 description 2
- XLSZMDLNRCVEIJ-UHFFFAOYSA-N methylimidazole Natural products CC1=CNC=N1 XLSZMDLNRCVEIJ-UHFFFAOYSA-N 0.000 description 2
- 230000004048 modification Effects 0.000 description 2
- 125000002757 morpholinyl group Chemical group 0.000 description 2
- 230000035772 mutation Effects 0.000 description 2
- 231100000590 oncogenic Toxicity 0.000 description 2
- 230000002246 oncogenic effect Effects 0.000 description 2
- 230000003287 optical effect Effects 0.000 description 2
- 125000002971 oxazolyl group Chemical group 0.000 description 2
- 125000003566 oxetanyl group Chemical group 0.000 description 2
- 125000004430 oxygen atom Chemical group O* 0.000 description 2
- 230000002085 persistent effect Effects 0.000 description 2
- 239000000546 pharmaceutical excipient Substances 0.000 description 2
- 229920000768 polyamine Polymers 0.000 description 2
- 239000003207 proteasome inhibitor Substances 0.000 description 2
- 238000002331 protein detection Methods 0.000 description 2
- 230000004850 protein–protein interaction Effects 0.000 description 2
- 238000011865 proteolysis targeting chimera technique Methods 0.000 description 2
- CPNGPNLZQNNVQM-UHFFFAOYSA-N pteridine Chemical compound N1=CN=CC2=NC=CN=C21 CPNGPNLZQNNVQM-UHFFFAOYSA-N 0.000 description 2
- PBMFSQRYOILNGV-UHFFFAOYSA-N pyridazine Chemical compound C1=CC=NN=C1 PBMFSQRYOILNGV-UHFFFAOYSA-N 0.000 description 2
- 150000004944 pyrrolopyrimidines Chemical group 0.000 description 2
- 125000000168 pyrrolyl group Chemical group 0.000 description 2
- JWVCLYRUEFBMGU-UHFFFAOYSA-N quinazoline Chemical compound N1=CN=CC2=CC=CC=C21 JWVCLYRUEFBMGU-UHFFFAOYSA-N 0.000 description 2
- 102000005962 receptors Human genes 0.000 description 2
- 108020003175 receptors Proteins 0.000 description 2
- 230000009467 reduction Effects 0.000 description 2
- 238000006722 reduction reaction Methods 0.000 description 2
- 230000004044 response Effects 0.000 description 2
- 238000012552 review Methods 0.000 description 2
- 210000002966 serum Anatomy 0.000 description 2
- 108010026668 snake venom protein C activator Proteins 0.000 description 2
- 239000002904 solvent Substances 0.000 description 2
- KZNICNPSHKQLFF-UHFFFAOYSA-N succinimide Chemical compound O=C1CCC(=O)N1 KZNICNPSHKQLFF-UHFFFAOYSA-N 0.000 description 2
- 208000024891 symptom Diseases 0.000 description 2
- 125000005309 thioalkoxy group Chemical group 0.000 description 2
- BJBUEDPLEOHJGE-IMJSIDKUSA-N trans-3-hydroxy-L-proline Chemical class O[C@H]1CC[NH2+][C@@H]1C([O-])=O BJBUEDPLEOHJGE-IMJSIDKUSA-N 0.000 description 2
- 125000000025 triisopropylsilyl group Chemical group C(C)(C)[Si](C(C)C)(C(C)C)* 0.000 description 2
- 150000003673 urethanes Chemical class 0.000 description 2
- 229910052720 vanadium Inorganic materials 0.000 description 2
- MTCFGRXMJLQNBG-REOHCLBHSA-N (2S)-2-Amino-3-hydroxypropansäure Chemical group OC[C@H](N)C(O)=O MTCFGRXMJLQNBG-REOHCLBHSA-N 0.000 description 1
- UTZVLJZPTDCKCT-XBPZXCMESA-N (2S,4R)-N-[[2-[2-[4-[[4-[3-amino-6-(2-hydroxyphenyl)pyridazin-4-yl]piperazin-1-yl]methyl]phenyl]ethoxy]-4-(4-methyl-1,3-thiazol-5-yl)phenyl]methyl]-1-[(2S)-2-[(1-fluorocyclopropanecarbonyl)amino]-3,3-dimethylbutanoyl]-4-hydroxypyrrolidine-2-carboxamide Chemical compound Cc1ncsc1-c1ccc(CNC(=O)[C@@H]2C[C@@H](O)CN2C(=O)[C@@H](NC(=O)C2(F)CC2)C(C)(C)C)c(OCCc2ccc(CN3CCN(CC3)c3cc(nnc3N)-c3ccccc3O)cc2)c1 UTZVLJZPTDCKCT-XBPZXCMESA-N 0.000 description 1
- 125000006824 (C1-C6) dialkyl amine group Chemical group 0.000 description 1
- FNQJDLTXOVEEFB-UHFFFAOYSA-N 1,2,3-benzothiadiazole Chemical compound C1=CC=C2SN=NC2=C1 FNQJDLTXOVEEFB-UHFFFAOYSA-N 0.000 description 1
- JYEUMXHLPRZUAT-UHFFFAOYSA-N 1,2,3-triazine Chemical compound C1=CN=NN=C1 JYEUMXHLPRZUAT-UHFFFAOYSA-N 0.000 description 1
- IOEPOEDBBPRAEI-UHFFFAOYSA-N 1,2-dihydroisoquinoline Chemical compound C1=CC=C2CNC=CC2=C1 IOEPOEDBBPRAEI-UHFFFAOYSA-N 0.000 description 1
- IRFSXVIRXMYULF-UHFFFAOYSA-N 1,2-dihydroquinoline Chemical compound C1=CC=C2C=CCNC2=C1 IRFSXVIRXMYULF-UHFFFAOYSA-N 0.000 description 1
- 125000005871 1,3-benzodioxolyl group Chemical group 0.000 description 1
- BCMCBBGGLRIHSE-UHFFFAOYSA-N 1,3-benzoxazole Chemical compound C1=CC=C2OC=NC2=C1 BCMCBBGGLRIHSE-UHFFFAOYSA-N 0.000 description 1
- VDFVNEFVBPFDSB-UHFFFAOYSA-N 1,3-dioxane Chemical compound C1COCOC1 VDFVNEFVBPFDSB-UHFFFAOYSA-N 0.000 description 1
- WNXJIVFYUVYPPR-UHFFFAOYSA-N 1,3-dioxolane Chemical compound C1COCO1 WNXJIVFYUVYPPR-UHFFFAOYSA-N 0.000 description 1
- FVGQTQCPMNPSLU-UHFFFAOYSA-N 1,3-oxazole;1h-pyrazole Chemical compound C=1C=NNC=1.C1=COC=N1 FVGQTQCPMNPSLU-UHFFFAOYSA-N 0.000 description 1
- 125000005877 1,4-benzodioxanyl group Chemical group 0.000 description 1
- FLBAYUMRQUHISI-UHFFFAOYSA-N 1,8-naphthyridine Chemical compound N1=CC=CC2=CC=CN=C21 FLBAYUMRQUHISI-UHFFFAOYSA-N 0.000 description 1
- IYDMGGPKSVWQRT-IHLOFXLRSA-N 1-[4-[(4r,5s)-4,5-bis(4-chlorophenyl)-2-(4-methoxy-2-propan-2-yloxyphenyl)-4,5-dihydroimidazole-1-carbonyl]piperazin-1-yl]ethanone Chemical compound CC(C)OC1=CC(OC)=CC=C1C1=N[C@H](C=2C=CC(Cl)=CC=2)[C@H](C=2C=CC(Cl)=CC=2)N1C(=O)N1CCN(C(C)=O)CC1 IYDMGGPKSVWQRT-IHLOFXLRSA-N 0.000 description 1
- KKKDZZRICRFGSD-UHFFFAOYSA-N 1-benzylimidazole Chemical class C1=CN=CN1CC1=CC=CC=C1 KKKDZZRICRFGSD-UHFFFAOYSA-N 0.000 description 1
- QUIJMHDIAFOPRK-UHFFFAOYSA-N 1-cyclooctylazocane Chemical group C1CCCCCCC1N1CCCCCCC1 QUIJMHDIAFOPRK-UHFFFAOYSA-N 0.000 description 1
- 125000004214 1-pyrrolidinyl group Chemical group [H]C1([H])N(*)C([H])([H])C([H])([H])C1([H])[H] 0.000 description 1
- WJFKNYWRSNBZNX-UHFFFAOYSA-N 10H-phenothiazine Chemical compound C1=CC=C2NC3=CC=CC=C3SC2=C1 WJFKNYWRSNBZNX-UHFFFAOYSA-N 0.000 description 1
- TZMSYXZUNZXBOL-UHFFFAOYSA-N 10H-phenoxazine Chemical compound C1=CC=C2NC3=CC=CC=C3OC2=C1 TZMSYXZUNZXBOL-UHFFFAOYSA-N 0.000 description 1
- HYZJCKYKOHLVJF-UHFFFAOYSA-N 1H-benzimidazole Chemical compound C1=CC=C2NC=NC2=C1 HYZJCKYKOHLVJF-UHFFFAOYSA-N 0.000 description 1
- MREIFUWKYMNYTK-UHFFFAOYSA-N 1H-pyrrole Chemical class C=1C=CNC=1.C=1C=CNC=1 MREIFUWKYMNYTK-UHFFFAOYSA-N 0.000 description 1
- XWIYUCRMWCHYJR-UHFFFAOYSA-N 1h-pyrrolo[3,2-b]pyridine Chemical compound C1=CC=C2NC=CC2=N1 XWIYUCRMWCHYJR-UHFFFAOYSA-N 0.000 description 1
- AWBOSXFRPFZLOP-UHFFFAOYSA-N 2,1,3-benzoxadiazole Chemical compound C1=CC=CC2=NON=C21 AWBOSXFRPFZLOP-UHFFFAOYSA-N 0.000 description 1
- UKTNDLHXQNQKBH-UHFFFAOYSA-N 2,3-dihydro-1h-indole;1h-indole Chemical class C1=CC=C2NCCC2=C1.C1=CC=C2NC=CC2=C1 UKTNDLHXQNQKBH-UHFFFAOYSA-N 0.000 description 1
- VEPOHXYIFQMVHW-XOZOLZJESA-N 2,3-dihydroxybutanedioic acid (2S,3S)-3,4-dimethyl-2-phenylmorpholine Chemical compound OC(C(O)C(O)=O)C(O)=O.C[C@H]1[C@@H](OCCN1C)c1ccccc1 VEPOHXYIFQMVHW-XOZOLZJESA-N 0.000 description 1
- DRLCSJFKKILATL-YWCVFVGNSA-N 2-[(3r,5r,6s)-5-(3-chlorophenyl)-6-(4-chlorophenyl)-3-methyl-1-[(2s)-3-methyl-1-propan-2-ylsulfonylbutan-2-yl]-2-oxopiperidin-3-yl]acetic acid Chemical compound C1([C@@H]2[C@H](N(C([C@@](C)(CC(O)=O)C2)=O)[C@H](CS(=O)(=O)C(C)C)C(C)C)C=2C=CC(Cl)=CC=2)=CC=CC(Cl)=C1 DRLCSJFKKILATL-YWCVFVGNSA-N 0.000 description 1
- GOJUJUVQIVIZAV-UHFFFAOYSA-N 2-amino-4,6-dichloropyrimidine-5-carbaldehyde Chemical group NC1=NC(Cl)=C(C=O)C(Cl)=N1 GOJUJUVQIVIZAV-UHFFFAOYSA-N 0.000 description 1
- UXGVMFHEKMGWMA-UHFFFAOYSA-N 2-benzofuran Chemical compound C1=CC=CC2=COC=C21 UXGVMFHEKMGWMA-UHFFFAOYSA-N 0.000 description 1
- TUMCWFMHZOUPDA-UHFFFAOYSA-N 2-ethylsulfanyl-1,3-benzothiazol-6-amine Chemical compound C1=C(N)C=C2SC(SCC)=NC2=C1 TUMCWFMHZOUPDA-UHFFFAOYSA-N 0.000 description 1
- ZXWQZGROTQMXME-KMPXOGLXSA-N 2-hydroxy-n-[(e)-3-hydroxy-1-[(3r,4s,5r,6r)-3,4,5-trihydroxy-6-(hydroxymethyl)oxan-2-yl]oxyoctadec-4-en-2-yl]tetracosanamide Chemical compound CCCCCCCCCCCCCCCCCCCCCCC(O)C(=O)NC(C(O)\C=C\CCCCCCCCCCCCC)COC1O[C@H](CO)[C@H](O)[C@H](O)[C@H]1O ZXWQZGROTQMXME-KMPXOGLXSA-N 0.000 description 1
- WQJXHBHRHHCJAN-UHFFFAOYSA-N 2-methoxy-1h-benzimidazole Chemical class C1=CC=C2NC(OC)=NC2=C1 WQJXHBHRHHCJAN-UHFFFAOYSA-N 0.000 description 1
- VLRSADZEDXVUPG-UHFFFAOYSA-N 2-naphthalen-1-ylpyridine Chemical compound N1=CC=CC=C1C1=CC=CC2=CC=CC=C12 VLRSADZEDXVUPG-UHFFFAOYSA-N 0.000 description 1
- MGADZUXDNSDTHW-UHFFFAOYSA-N 2H-pyran Chemical compound C1OC=CC=C1 MGADZUXDNSDTHW-UHFFFAOYSA-N 0.000 description 1
- UMZCLZPXPCNKML-UHFFFAOYSA-N 2h-imidazo[4,5-d][1,3]thiazole Chemical compound C1=NC2=NCSC2=N1 UMZCLZPXPCNKML-UHFFFAOYSA-N 0.000 description 1
- FWBHETKCLVMNFS-UHFFFAOYSA-N 4',6-Diamino-2-phenylindol Chemical compound C1=CC(C(=N)N)=CC=C1C1=CC2=CC=C(C(N)=N)C=C2N1 FWBHETKCLVMNFS-UHFFFAOYSA-N 0.000 description 1
- LOROIKRUMJLRJU-UHFFFAOYSA-N 4,6-dihydro-1h-pyrrolo[2,3-d]imidazol-5-one Chemical compound N1C=NC2=C1CC(=O)N2 LOROIKRUMJLRJU-UHFFFAOYSA-N 0.000 description 1
- HCFRWBBJISAZNK-UHFFFAOYSA-N 4-Hydroxycyclohexylcarboxylic acid Chemical group OC1CCC(C(O)=O)CC1 HCFRWBBJISAZNK-UHFFFAOYSA-N 0.000 description 1
- TVTXCJFHQKSQQM-LJQIRTBHSA-N 4-[[(2r,3s,4r,5s)-3-(3-chloro-2-fluorophenyl)-4-(4-chloro-2-fluorophenyl)-4-cyano-5-(2,2-dimethylpropyl)pyrrolidine-2-carbonyl]amino]-3-methoxybenzoic acid Chemical compound COC1=CC(C(O)=O)=CC=C1NC(=O)[C@H]1[C@H](C=2C(=C(Cl)C=CC=2)F)[C@@](C#N)(C=2C(=CC(Cl)=CC=2)F)[C@H](CC(C)(C)C)N1 TVTXCJFHQKSQQM-LJQIRTBHSA-N 0.000 description 1
- XZLIYCQRASOFQM-UHFFFAOYSA-N 5h-imidazo[4,5-d]triazine Chemical compound N1=NC=C2NC=NC2=N1 XZLIYCQRASOFQM-UHFFFAOYSA-N 0.000 description 1
- 125000003341 7 membered heterocyclic group Chemical group 0.000 description 1
- 239000005964 Acibenzolar-S-methyl Substances 0.000 description 1
- 101710145634 Antigen 1 Proteins 0.000 description 1
- 101100111638 Arabidopsis thaliana BIR2 gene Proteins 0.000 description 1
- 239000004475 Arginine Substances 0.000 description 1
- DCXYFEDJOCDNAF-UHFFFAOYSA-N Asparagine Natural products OC(=O)C(N)CC(N)=O DCXYFEDJOCDNAF-UHFFFAOYSA-N 0.000 description 1
- 102100027522 Baculoviral IAP repeat-containing protein 7 Human genes 0.000 description 1
- 241000283690 Bos taurus Species 0.000 description 1
- WKBOTKDWSSQWDR-UHFFFAOYSA-N Bromine atom Chemical compound [Br] WKBOTKDWSSQWDR-UHFFFAOYSA-N 0.000 description 1
- CLRSLRWKONPSRQ-IIPSPAQQSA-N C1([C@@H]2N(C(=O)CC=3C=C(C(=CC=32)OC(C)C)OC)C=2C=CC(=CC=2)N(C)C[C@@H]2CC[C@H](CC2)N2CC(=O)N(C)CC2)=CC=C(Cl)C=C1 Chemical compound C1([C@@H]2N(C(=O)CC=3C=C(C(=CC=32)OC(C)C)OC)C=2C=CC(=CC=2)N(C)C[C@@H]2CC[C@H](CC2)N2CC(=O)N(C)CC2)=CC=C(Cl)C=C1 CLRSLRWKONPSRQ-IIPSPAQQSA-N 0.000 description 1
- 101150013999 CRBN gene Proteins 0.000 description 1
- GAWIXWVDTYZWAW-UHFFFAOYSA-N C[CH]O Chemical group C[CH]O GAWIXWVDTYZWAW-UHFFFAOYSA-N 0.000 description 1
- 101100115215 Caenorhabditis elegans cul-2 gene Proteins 0.000 description 1
- 241000282472 Canis lupus familiaris Species 0.000 description 1
- KXDHJXZQYSOELW-UHFFFAOYSA-M Carbamate Chemical compound NC([O-])=O KXDHJXZQYSOELW-UHFFFAOYSA-M 0.000 description 1
- 102000014914 Carrier Proteins Human genes 0.000 description 1
- 108090000397 Caspase 3 Proteins 0.000 description 1
- 108090000567 Caspase 7 Proteins 0.000 description 1
- 102100029855 Caspase-3 Human genes 0.000 description 1
- 102100038902 Caspase-7 Human genes 0.000 description 1
- 102100026550 Caspase-9 Human genes 0.000 description 1
- 108090000566 Caspase-9 Proteins 0.000 description 1
- 102100025064 Cellular tumor antigen p53 Human genes 0.000 description 1
- 241000252505 Characidae Species 0.000 description 1
- ZAMOUSCENKQFHK-UHFFFAOYSA-N Chlorine atom Chemical compound [Cl] ZAMOUSCENKQFHK-UHFFFAOYSA-N 0.000 description 1
- 208000035473 Communicable disease Diseases 0.000 description 1
- 108700020475 Cullin Proteins 0.000 description 1
- 102000052581 Cullin Human genes 0.000 description 1
- UHDGCWIWMRVCDJ-CCXZUQQUSA-N Cytarabine Chemical compound O=C1N=C(N)C=CN1[C@H]1[C@@H](O)[C@H](O)[C@@H](CO)O1 UHDGCWIWMRVCDJ-CCXZUQQUSA-N 0.000 description 1
- 108020004414 DNA Proteins 0.000 description 1
- 102100021122 DNA damage-binding protein 2 Human genes 0.000 description 1
- 230000006820 DNA synthesis Effects 0.000 description 1
- 102000052510 DNA-Binding Proteins Human genes 0.000 description 1
- 101710096438 DNA-binding protein Proteins 0.000 description 1
- YZCKVEUIGOORGS-OUBTZVSYSA-N Deuterium Chemical group [2H] YZCKVEUIGOORGS-OUBTZVSYSA-N 0.000 description 1
- RTZKZFJDLAIYFH-UHFFFAOYSA-N Diethyl ether Chemical group CCOCC RTZKZFJDLAIYFH-UHFFFAOYSA-N 0.000 description 1
- BWGNESOTFCXPMA-UHFFFAOYSA-N Dihydrogen disulfide Chemical compound SS BWGNESOTFCXPMA-UHFFFAOYSA-N 0.000 description 1
- MYMOFIZGZYHOMD-UHFFFAOYSA-N Dioxygen Chemical compound O=O MYMOFIZGZYHOMD-UHFFFAOYSA-N 0.000 description 1
- 102100032257 E3 ubiquitin-protein ligase Mdm2 Human genes 0.000 description 1
- 102100023877 E3 ubiquitin-protein ligase RBX1 Human genes 0.000 description 1
- 101710095156 E3 ubiquitin-protein ligase RBX1 Proteins 0.000 description 1
- 241000196324 Embryophyta Species 0.000 description 1
- 239000004593 Epoxy Substances 0.000 description 1
- 241000283086 Equidae Species 0.000 description 1
- 102000003951 Erythropoietin Human genes 0.000 description 1
- 108090000394 Erythropoietin Proteins 0.000 description 1
- 241000282326 Felis catus Species 0.000 description 1
- WHUUTDBJXJRKMK-UHFFFAOYSA-N Glutamic acid Natural products OC(=O)C(N)CCC(O)=O WHUUTDBJXJRKMK-UHFFFAOYSA-N 0.000 description 1
- 239000004471 Glycine Substances 0.000 description 1
- 102000009465 Growth Factor Receptors Human genes 0.000 description 1
- 108010009202 Growth Factor Receptors Proteins 0.000 description 1
- 102100022623 Hepatocyte growth factor receptor Human genes 0.000 description 1
- 101000936083 Homo sapiens Baculoviral IAP repeat-containing protein 7 Proteins 0.000 description 1
- 101000721661 Homo sapiens Cellular tumor antigen p53 Proteins 0.000 description 1
- 101001041466 Homo sapiens DNA damage-binding protein 2 Proteins 0.000 description 1
- 101000972946 Homo sapiens Hepatocyte growth factor receptor Proteins 0.000 description 1
- 101001046870 Homo sapiens Hypoxia-inducible factor 1-alpha Proteins 0.000 description 1
- 101000688216 Homo sapiens Intestinal-type alkaline phosphatase Proteins 0.000 description 1
- 101000868279 Homo sapiens Leukocyte surface antigen CD47 Proteins 0.000 description 1
- 101000616014 Homo sapiens Magnesium transporter protein 1 Proteins 0.000 description 1
- PMMYEEVYMWASQN-DMTCNVIQSA-N Hydroxyproline Chemical compound O[C@H]1CN[C@H](C(O)=O)C1 PMMYEEVYMWASQN-DMTCNVIQSA-N 0.000 description 1
- WRYCSMQKUKOKBP-UHFFFAOYSA-N Imidazolidine Chemical compound C1CNCN1 WRYCSMQKUKOKBP-UHFFFAOYSA-N 0.000 description 1
- 101710125507 Integrase/recombinase Proteins 0.000 description 1
- XUJNEKJLAYXESH-REOHCLBHSA-N L-Cysteine Chemical compound SC[C@H](N)C(O)=O XUJNEKJLAYXESH-REOHCLBHSA-N 0.000 description 1
- ODKSFYDXXFIFQN-BYPYZUCNSA-P L-argininium(2+) Chemical compound NC(=[NH2+])NCCC[C@H]([NH3+])C(O)=O ODKSFYDXXFIFQN-BYPYZUCNSA-P 0.000 description 1
- DCXYFEDJOCDNAF-REOHCLBHSA-N L-asparagine Chemical compound OC(=O)[C@@H](N)CC(N)=O DCXYFEDJOCDNAF-REOHCLBHSA-N 0.000 description 1
- CKLJMWTZIZZHCS-REOHCLBHSA-N L-aspartic acid Chemical compound OC(=O)[C@@H](N)CC(O)=O CKLJMWTZIZZHCS-REOHCLBHSA-N 0.000 description 1
- LEVWYRKDKASIDU-IMJSIDKUSA-N L-cystine Chemical compound [O-]C(=O)[C@@H]([NH3+])CSSC[C@H]([NH3+])C([O-])=O LEVWYRKDKASIDU-IMJSIDKUSA-N 0.000 description 1
- WHUUTDBJXJRKMK-VKHMYHEASA-N L-glutamic acid Chemical compound OC(=O)[C@@H](N)CCC(O)=O WHUUTDBJXJRKMK-VKHMYHEASA-N 0.000 description 1
- ZDXPYRJPNDTMRX-VKHMYHEASA-N L-glutamine Chemical compound OC(=O)[C@@H](N)CCC(N)=O ZDXPYRJPNDTMRX-VKHMYHEASA-N 0.000 description 1
- HNDVDQJCIGZPNO-YFKPBYRVSA-N L-histidine Chemical group OC(=O)[C@@H](N)CC1=CN=CN1 HNDVDQJCIGZPNO-YFKPBYRVSA-N 0.000 description 1
- ROHFNLRQFUQHCH-YFKPBYRVSA-N L-leucine Chemical group CC(C)C[C@H](N)C(O)=O ROHFNLRQFUQHCH-YFKPBYRVSA-N 0.000 description 1
- FFEARJCKVFRZRR-BYPYZUCNSA-N L-methionine Chemical group CSCC[C@H](N)C(O)=O FFEARJCKVFRZRR-BYPYZUCNSA-N 0.000 description 1
- AYFVYJQAPQTCCC-GBXIJSLDSA-N L-threonine Chemical group C[C@@H](O)[C@H](N)C(O)=O AYFVYJQAPQTCCC-GBXIJSLDSA-N 0.000 description 1
- QIVBCDIJIAJPQS-VIFPVBQESA-N L-tryptophane Chemical group C1=CC=C2C(C[C@H](N)C(O)=O)=CNC2=C1 QIVBCDIJIAJPQS-VIFPVBQESA-N 0.000 description 1
- OUYCCCASQSFEME-QMMMGPOBSA-N L-tyrosine Chemical group OC(=O)[C@@H](N)CC1=CC=C(O)C=C1 OUYCCCASQSFEME-QMMMGPOBSA-N 0.000 description 1
- 239000005411 L01XE02 - Gefitinib Substances 0.000 description 1
- ROHFNLRQFUQHCH-UHFFFAOYSA-N Leucine Chemical group CC(C)CC(N)C(O)=O ROHFNLRQFUQHCH-UHFFFAOYSA-N 0.000 description 1
- 229940113306 Ligase inhibitor Drugs 0.000 description 1
- 239000012819 MDM2-Inhibitor Substances 0.000 description 1
- BDUHCSBCVGXTJM-IZLXSDGUSA-N Nutlin-3 Chemical compound CC(C)OC1=CC(OC)=CC=C1C1=N[C@H](C=2C=CC(Cl)=CC=2)[C@H](C=2C=CC(Cl)=CC=2)N1C(=O)N1CC(=O)NCC1 BDUHCSBCVGXTJM-IZLXSDGUSA-N 0.000 description 1
- 108010087946 PROTAC-3 Proteins 0.000 description 1
- 108010087941 PROTAC-4 Proteins 0.000 description 1
- 241001494479 Pecora Species 0.000 description 1
- 102000035195 Peptidases Human genes 0.000 description 1
- 108091005804 Peptidases Proteins 0.000 description 1
- 108010068086 Polyubiquitin Proteins 0.000 description 1
- 102100037935 Polyubiquitin-C Human genes 0.000 description 1
- 239000004365 Protease Substances 0.000 description 1
- 102000001708 Protein Isoforms Human genes 0.000 description 1
- 108010029485 Protein Isoforms Proteins 0.000 description 1
- 101710178916 RING-box protein 1 Proteins 0.000 description 1
- 108091030071 RNAI Proteins 0.000 description 1
- 238000011529 RT qPCR Methods 0.000 description 1
- 229940124639 Selective inhibitor Drugs 0.000 description 1
- MTCFGRXMJLQNBG-UHFFFAOYSA-N Serine Chemical group OCC(N)C(O)=O MTCFGRXMJLQNBG-UHFFFAOYSA-N 0.000 description 1
- 108010090804 Streptavidin Proteins 0.000 description 1
- 244000269722 Thea sinensis Species 0.000 description 1
- AYFVYJQAPQTCCC-UHFFFAOYSA-N Threonine Chemical group CC(O)C(N)C(O)=O AYFVYJQAPQTCCC-UHFFFAOYSA-N 0.000 description 1
- 239000004473 Threonine Chemical group 0.000 description 1
- 108091023040 Transcription factor Proteins 0.000 description 1
- 102000040945 Transcription factor Human genes 0.000 description 1
- QIVBCDIJIAJPQS-UHFFFAOYSA-N Tryptophan Chemical group C1=CC=C2C(CC(N)C(O)=O)=CNC2=C1 QIVBCDIJIAJPQS-UHFFFAOYSA-N 0.000 description 1
- 108010040002 Tumor Suppressor Proteins Proteins 0.000 description 1
- 102000001742 Tumor Suppressor Proteins Human genes 0.000 description 1
- 102000005789 Vascular Endothelial Growth Factors Human genes 0.000 description 1
- 108010019530 Vascular Endothelial Growth Factors Proteins 0.000 description 1
- QBGKPEROWUKSBK-QPPIDDCLSA-N [(4s,5r)-2-(4-tert-butyl-2-ethoxyphenyl)-4,5-bis(4-chlorophenyl)-4,5-dimethylimidazol-1-yl]-[4-(3-methylsulfonylpropyl)piperazin-1-yl]methanone Chemical compound CCOC1=CC(C(C)(C)C)=CC=C1C(N([C@]1(C)C=2C=CC(Cl)=CC=2)C(=O)N2CCN(CCCS(C)(=O)=O)CC2)=N[C@@]1(C)C1=CC=C(Cl)C=C1 QBGKPEROWUKSBK-QPPIDDCLSA-N 0.000 description 1
- PVRYEWOXWGDQHA-URLMMPGGSA-N [(4s,5r)-4,5-bis(4-bromophenyl)-2-(2-ethoxy-4-methoxyphenyl)-4,5-dihydroimidazol-1-yl]-[4-(2-hydroxyethyl)piperazin-1-yl]methanone Chemical compound CCOC1=CC(OC)=CC=C1C1=N[C@@H](C=2C=CC(Br)=CC=2)[C@@H](C=2C=CC(Br)=CC=2)N1C(=O)N1CCN(CCO)CC1 PVRYEWOXWGDQHA-URLMMPGGSA-N 0.000 description 1
- 238000002679 ablation Methods 0.000 description 1
- 239000002253 acid Substances 0.000 description 1
- 150000008043 acidic salts Chemical group 0.000 description 1
- 230000002378 acidificating effect Effects 0.000 description 1
- 239000012190 activator Substances 0.000 description 1
- 125000004442 acylamino group Chemical group 0.000 description 1
- 125000004423 acyloxy group Chemical group 0.000 description 1
- ULXXDDBFHOBEHA-CWDCEQMOSA-N afatinib Chemical compound N1=CN=C2C=C(O[C@@H]3COCC3)C(NC(=O)/C=C/CN(C)C)=CC2=C1NC1=CC=C(F)C(Cl)=C1 ULXXDDBFHOBEHA-CWDCEQMOSA-N 0.000 description 1
- 150000001335 aliphatic alkanes Chemical group 0.000 description 1
- 150000001447 alkali salts Chemical group 0.000 description 1
- 125000000033 alkoxyamino group Chemical group 0.000 description 1
- 150000003973 alkyl amines Chemical class 0.000 description 1
- 125000002877 alkyl aryl group Chemical group 0.000 description 1
- 125000005907 alkyl ester group Chemical group 0.000 description 1
- 150000005215 alkyl ethers Chemical class 0.000 description 1
- 125000005213 alkyl heteroaryl group Chemical group 0.000 description 1
- HSFWRNGVRCDJHI-UHFFFAOYSA-N alpha-acetylene Natural products C#C HSFWRNGVRCDJHI-UHFFFAOYSA-N 0.000 description 1
- 125000000266 alpha-aminoacyl group Chemical group 0.000 description 1
- 125000000539 amino acid group Chemical group 0.000 description 1
- MDFFNEOEWAXZRQ-UHFFFAOYSA-N aminyl Chemical compound [NH2] MDFFNEOEWAXZRQ-UHFFFAOYSA-N 0.000 description 1
- 230000008485 antagonism Effects 0.000 description 1
- 125000002178 anthracenyl group Chemical group C1(=CC=CC2=CC3=CC=CC=C3C=C12)* 0.000 description 1
- 238000011319 anticancer therapy Methods 0.000 description 1
- ODKSFYDXXFIFQN-UHFFFAOYSA-N arginine Natural products OC(=O)C(N)CCCNC(N)=N ODKSFYDXXFIFQN-UHFFFAOYSA-N 0.000 description 1
- 229960003121 arginine Drugs 0.000 description 1
- 235000009697 arginine Nutrition 0.000 description 1
- 125000006615 aromatic heterocyclic group Chemical group 0.000 description 1
- 229960001230 asparagine Drugs 0.000 description 1
- 235000009582 asparagine Nutrition 0.000 description 1
- 235000003704 aspartic acid Nutrition 0.000 description 1
- 229960005261 aspartic acid Drugs 0.000 description 1
- 229910052789 astatine Inorganic materials 0.000 description 1
- 125000002393 azetidinyl group Chemical group 0.000 description 1
- 125000000852 azido group Chemical group *N=[N+]=[N-] 0.000 description 1
- 239000002585 base Substances 0.000 description 1
- 125000003785 benzimidazolyl group Chemical group N1=C(NC2=C1C=CC=C2)* 0.000 description 1
- 125000001164 benzothiazolyl group Chemical group S1C(=NC2=C1C=CC=C2)* 0.000 description 1
- 125000004196 benzothienyl group Chemical group S1C(=CC2=C1C=CC=C2)* 0.000 description 1
- 125000004541 benzoxazolyl group Chemical group O1C(=NC2=C1C=CC=C2)* 0.000 description 1
- 125000003236 benzoyl group Chemical group [H]C1=C([H])C([H])=C(C([H])=C1[H])C(*)=O 0.000 description 1
- 208000036815 beta tubulin Diseases 0.000 description 1
- 229940000635 beta-alanine Drugs 0.000 description 1
- OQFSQFPPLPISGP-UHFFFAOYSA-N beta-carboxyaspartic acid Natural products OC(=O)C(N)C(C(O)=O)C(O)=O OQFSQFPPLPISGP-UHFFFAOYSA-N 0.000 description 1
- 108091008324 binding proteins Proteins 0.000 description 1
- 230000033228 biological regulation Effects 0.000 description 1
- 239000011616 biotin Substances 0.000 description 1
- 229960002685 biotin Drugs 0.000 description 1
- 235000020958 biotin Nutrition 0.000 description 1
- 125000000319 biphenyl-4-yl group Chemical group [H]C1=C([H])C([H])=C([H])C([H])=C1C1=C([H])C([H])=C([*])C([H])=C1[H] 0.000 description 1
- GDTBXPJZTBHREO-UHFFFAOYSA-N bromine Substances BrBr GDTBXPJZTBHREO-UHFFFAOYSA-N 0.000 description 1
- 125000005518 carboxamido group Chemical group 0.000 description 1
- 125000004181 carboxyalkyl group Chemical group 0.000 description 1
- 150000001733 carboxylic acid esters Chemical class 0.000 description 1
- 150000001735 carboxylic acids Chemical group 0.000 description 1
- 238000004113 cell culture Methods 0.000 description 1
- 230000010261 cell growth Effects 0.000 description 1
- 239000013592 cell lysate Substances 0.000 description 1
- 210000000170 cell membrane Anatomy 0.000 description 1
- IDKAKZRYYDCJDU-HBMMIIHUSA-N chembl2381408 Chemical compound C1([C@H]2[C@@H](N[C@H]([C@]22C3=CC=C(Cl)C=C3NC2=O)CC(C)(C)C)C(=O)N[C@@H]2CC[C@@H](O)CC2)=CC=CC(Cl)=C1F IDKAKZRYYDCJDU-HBMMIIHUSA-N 0.000 description 1
- 239000003153 chemical reaction reagent Substances 0.000 description 1
- 239000003795 chemical substances by application Substances 0.000 description 1
- WCZVZNOTHYJIEI-UHFFFAOYSA-N cinnoline Chemical compound N1=NC=CC2=CC=CC=C21 WCZVZNOTHYJIEI-UHFFFAOYSA-N 0.000 description 1
- 238000011260 co-administration Methods 0.000 description 1
- 238000002648 combination therapy Methods 0.000 description 1
- 229940125904 compound 1 Drugs 0.000 description 1
- 229940125782 compound 2 Drugs 0.000 description 1
- ONCCWDRMOZMNSM-FBCQKBJTSA-N compound Z Chemical compound N1=C2C(=O)NC(N)=NC2=NC=C1C(=O)[C@H]1OP(O)(=O)OC[C@H]1O ONCCWDRMOZMNSM-FBCQKBJTSA-N 0.000 description 1
- 238000010276 construction Methods 0.000 description 1
- 239000013078 crystal Substances 0.000 description 1
- 125000004966 cyanoalkyl group Chemical group 0.000 description 1
- KTHXBEHDVMTNOH-UHFFFAOYSA-N cyclobutanol Chemical compound OC1CCC1 KTHXBEHDVMTNOH-UHFFFAOYSA-N 0.000 description 1
- 125000000582 cycloheptyl group Chemical group [H]C1([H])C([H])([H])C([H])([H])C([H])([H])C([H])(*)C([H])([H])C1([H])[H] 0.000 description 1
- LYHIYZUYZIHTCV-UHFFFAOYSA-N cyclopenta[b]pyran Chemical compound C1=COC2=CC=CC2=C1 LYHIYZUYZIHTCV-UHFFFAOYSA-N 0.000 description 1
- 125000004186 cyclopropylmethyl group Chemical group [H]C([H])(*)C1([H])C([H])([H])C1([H])[H] 0.000 description 1
- XUJNEKJLAYXESH-UHFFFAOYSA-N cysteine Natural products SCC(N)C(O)=O XUJNEKJLAYXESH-UHFFFAOYSA-N 0.000 description 1
- 235000018417 cysteine Nutrition 0.000 description 1
- 229960002433 cysteine Drugs 0.000 description 1
- 229960003067 cystine Drugs 0.000 description 1
- 230000001086 cytosolic effect Effects 0.000 description 1
- 230000002950 deficient Effects 0.000 description 1
- 230000000593 degrading effect Effects 0.000 description 1
- 229910052805 deuterium Inorganic materials 0.000 description 1
- 230000029087 digestion Effects 0.000 description 1
- 125000005043 dihydropyranyl group Chemical group O1C(CCC=C1)* 0.000 description 1
- 125000000532 dioxanyl group Chemical group 0.000 description 1
- 125000005879 dioxolanyl group Chemical group 0.000 description 1
- PMMYEEVYMWASQN-UHFFFAOYSA-N dl-hydroxyproline Natural products OC1C[NH2+]C(C([O-])=O)C1 PMMYEEVYMWASQN-UHFFFAOYSA-N 0.000 description 1
- 239000002552 dosage form Substances 0.000 description 1
- 231100000673 dose–response relationship Toxicity 0.000 description 1
- 230000001094 effect on targets Effects 0.000 description 1
- 210000002257 embryonic structure Anatomy 0.000 description 1
- 238000005516 engineering process Methods 0.000 description 1
- 210000002919 epithelial cell Anatomy 0.000 description 1
- 210000003743 erythrocyte Anatomy 0.000 description 1
- 125000001033 ether group Chemical group 0.000 description 1
- 150000002170 ethers Chemical group 0.000 description 1
- AEOCXXJPGCBFJA-UHFFFAOYSA-N ethionamide Chemical compound CCC1=CC(C(N)=S)=CC=N1 AEOCXXJPGCBFJA-UHFFFAOYSA-N 0.000 description 1
- 210000003527 eukaryotic cell Anatomy 0.000 description 1
- 238000011156 evaluation Methods 0.000 description 1
- 238000002875 fluorescence polarization Methods 0.000 description 1
- 125000003709 fluoroalkyl group Chemical group 0.000 description 1
- 150000002244 furazanes Chemical class 0.000 description 1
- YRTCKZIKGWZNCU-UHFFFAOYSA-N furo[3,2-b]pyridine Chemical compound C1=CC=C2OC=CC2=N1 YRTCKZIKGWZNCU-UHFFFAOYSA-N 0.000 description 1
- 229960002584 gefitinib Drugs 0.000 description 1
- XGALLCVXEZPNRQ-UHFFFAOYSA-N gefitinib Chemical compound C=12C=C(OCCCN3CCOCC3)C(OC)=CC2=NC=NC=1NC1=CC=C(F)C(Cl)=C1 XGALLCVXEZPNRQ-UHFFFAOYSA-N 0.000 description 1
- 238000012239 gene modification Methods 0.000 description 1
- 230000009368 gene silencing by RNA Effects 0.000 description 1
- 238000010353 genetic engineering Methods 0.000 description 1
- 235000013922 glutamic acid Nutrition 0.000 description 1
- 229960002989 glutamic acid Drugs 0.000 description 1
- 239000004220 glutamic acid Substances 0.000 description 1
- ZDXPYRJPNDTMRX-UHFFFAOYSA-N glutamine Natural products OC(=O)C(N)CCC(N)=O ZDXPYRJPNDTMRX-UHFFFAOYSA-N 0.000 description 1
- 229960002743 glutamine Drugs 0.000 description 1
- 229960002449 glycine Drugs 0.000 description 1
- 230000012010 growth Effects 0.000 description 1
- 230000009036 growth inhibition Effects 0.000 description 1
- 230000036541 health Effects 0.000 description 1
- 239000003481 heat shock protein 90 inhibitor Substances 0.000 description 1
- 125000004470 heterocyclooxy group Chemical group 0.000 description 1
- HNDVDQJCIGZPNO-UHFFFAOYSA-N histidine Chemical group OC(=O)C(N)CC1=CN=CN1 HNDVDQJCIGZPNO-UHFFFAOYSA-N 0.000 description 1
- 102000053119 human ALPI Human genes 0.000 description 1
- 150000004677 hydrates Chemical class 0.000 description 1
- 125000002349 hydroxyamino group Chemical group [H]ON([H])[*] 0.000 description 1
- 229960002591 hydroxyproline Drugs 0.000 description 1
- 230000001146 hypoxic effect Effects 0.000 description 1
- YAMHXTCMCPHKLN-UHFFFAOYSA-N imidazolidin-2-one Chemical compound O=C1NCCN1 YAMHXTCMCPHKLN-UHFFFAOYSA-N 0.000 description 1
- 125000002632 imidazolidinyl group Chemical group 0.000 description 1
- MTNDZQHUAFNZQY-UHFFFAOYSA-N imidazoline Chemical compound C1CN=CN1 MTNDZQHUAFNZQY-UHFFFAOYSA-N 0.000 description 1
- 125000002636 imidazolinyl group Chemical group 0.000 description 1
- 238000010166 immunofluorescence Methods 0.000 description 1
- 230000001771 impaired effect Effects 0.000 description 1
- 230000001976 improved effect Effects 0.000 description 1
- 238000001727 in vivo Methods 0.000 description 1
- 125000003392 indanyl group Chemical group C1(CCC2=CC=CC=C12)* 0.000 description 1
- JYGFTBXVXVMTGB-UHFFFAOYSA-N indolin-2-one Chemical compound C1=CC=C2NC(=O)CC2=C1 JYGFTBXVXVMTGB-UHFFFAOYSA-N 0.000 description 1
- 125000003387 indolinyl group Chemical group N1(CCC2=CC=CC=C12)* 0.000 description 1
- 230000006698 induction Effects 0.000 description 1
- 230000001939 inductive effect Effects 0.000 description 1
- 238000003780 insertion Methods 0.000 description 1
- 230000037431 insertion Effects 0.000 description 1
- 125000000959 isobutyl group Chemical group [H]C([H])([H])C([H])(C([H])([H])[H])C([H])([H])* 0.000 description 1
- 125000002183 isoquinolinyl group Chemical group C1(=NC=CC2=CC=CC=C12)* 0.000 description 1
- 125000005956 isoquinolyl group Chemical group 0.000 description 1
- 125000004628 isothiazolidinyl group Chemical group S1N(CCC1)* 0.000 description 1
- 125000001786 isothiazolyl group Chemical group 0.000 description 1
- 125000003965 isoxazolidinyl group Chemical group 0.000 description 1
- 125000000842 isoxazolyl group Chemical group 0.000 description 1
- 229940043355 kinase inhibitor Drugs 0.000 description 1
- 230000002045 lasting effect Effects 0.000 description 1
- 239000000436 ligase inhibitor Substances 0.000 description 1
- 238000011068 loading method Methods 0.000 description 1
- 239000003550 marker Substances 0.000 description 1
- 239000000463 material Substances 0.000 description 1
- 239000012528 membrane Substances 0.000 description 1
- LVWZTYCIRDMTEY-UHFFFAOYSA-N metamizole Chemical compound O=C1C(N(CS(O)(=O)=O)C)=C(C)N(C)N1C1=CC=CC=C1 LVWZTYCIRDMTEY-UHFFFAOYSA-N 0.000 description 1
- 229930182817 methionine Chemical group 0.000 description 1
- DMCIYNOPRUVFHE-UHFFFAOYSA-N methyl 4-(trifluoromethyl)pyridine-2-carboxylate Chemical compound COC(=O)C1=CC(C(F)(F)F)=CC=N1 DMCIYNOPRUVFHE-UHFFFAOYSA-N 0.000 description 1
- 230000002438 mitochondrial effect Effects 0.000 description 1
- 238000012986 modification Methods 0.000 description 1
- QBGYNPHZSZLSKO-UHFFFAOYSA-N n-[4-(2-aminopyridin-4-yl)oxy-3-fluorophenyl]-1-(4-fluorophenyl)-2-oxopyridine-3-carboxamide Chemical compound C1=NC(N)=CC(OC=2C(=CC(NC(=O)C=3C(N(C=4C=CC(F)=CC=4)C=CC=3)=O)=CC=2)F)=C1 QBGYNPHZSZLSKO-UHFFFAOYSA-N 0.000 description 1
- 125000004108 n-butyl group Chemical group [H]C([H])([H])C([H])([H])C([H])([H])C([H])([H])* 0.000 description 1
- 125000003136 n-heptyl group Chemical group [H]C([H])([H])C([H])([H])C([H])([H])C([H])([H])C([H])([H])C([H])([H])C([H])([H])* 0.000 description 1
- 125000001280 n-hexyl group Chemical group C(CCCCC)* 0.000 description 1
- 125000004593 naphthyridinyl group Chemical group N1=C(C=CC2=CC=CN=C12)* 0.000 description 1
- 238000012758 nuclear staining Methods 0.000 description 1
- WCPAKWJPBJAGKN-UHFFFAOYSA-N oxadiazole Chemical compound C1=CON=N1 WCPAKWJPBJAGKN-UHFFFAOYSA-N 0.000 description 1
- 125000000160 oxazolidinyl group Chemical group 0.000 description 1
- 125000004043 oxo group Chemical group O=* 0.000 description 1
- 125000005188 oxoalkyl group Chemical group 0.000 description 1
- 125000005255 oxyaminoacyl group Chemical group 0.000 description 1
- 230000037361 pathway Effects 0.000 description 1
- 125000001792 phenanthrenyl group Chemical group C1(=CC=CC=2C3=CC=CC=C3C=CC12)* 0.000 description 1
- 229950000688 phenothiazine Drugs 0.000 description 1
- 125000000951 phenoxy group Chemical group [H]C1=C([H])C([H])=C(O*)C([H])=C1[H] 0.000 description 1
- COLNVLDHVKWLRT-UHFFFAOYSA-N phenylalanine Natural products OC(=O)C(N)CC1=CC=CC=C1 COLNVLDHVKWLRT-UHFFFAOYSA-N 0.000 description 1
- COLNVLDHVKWLRT-QMMMGPOBSA-N phenylalanine group Chemical group N[C@@H](CC1=CC=CC=C1)C(=O)O COLNVLDHVKWLRT-QMMMGPOBSA-N 0.000 description 1
- 230000026731 phosphorylation Effects 0.000 description 1
- 238000006366 phosphorylation reaction Methods 0.000 description 1
- 239000003757 phosphotransferase inhibitor Substances 0.000 description 1
- LFSXCDWNBUNEEM-UHFFFAOYSA-N phthalazine Chemical compound C1=NN=CC2=CC=CC=C21 LFSXCDWNBUNEEM-UHFFFAOYSA-N 0.000 description 1
- XKJCHHZQLQNZHY-UHFFFAOYSA-N phthalimide Chemical compound C1=CC=C2C(=O)NC(=O)C2=C1 XKJCHHZQLQNZHY-UHFFFAOYSA-N 0.000 description 1
- 125000005544 phthalimido group Chemical group 0.000 description 1
- 125000004193 piperazinyl group Chemical group 0.000 description 1
- LWMPFIOTEAXAGV-UHFFFAOYSA-N piperidin-1-amine Chemical compound NN1CCCCC1 LWMPFIOTEAXAGV-UHFFFAOYSA-N 0.000 description 1
- 125000000587 piperidin-1-yl group Chemical group [H]C1([H])N(*)C([H])([H])C([H])([H])C([H])([H])C1([H])[H] 0.000 description 1
- KNCYXPMJDCCGSJ-UHFFFAOYSA-N piperidine-2,6-dione Chemical compound O=C1CCCC(=O)N1 KNCYXPMJDCCGSJ-UHFFFAOYSA-N 0.000 description 1
- 150000005459 piperidine-2,6-diones Chemical class 0.000 description 1
- 150000003053 piperidines Chemical class 0.000 description 1
- 229920003023 plastic Polymers 0.000 description 1
- 239000004033 plastic Substances 0.000 description 1
- 230000006551 post-translational degradation Effects 0.000 description 1
- 230000001323 posttranslational effect Effects 0.000 description 1
- 238000011321 prophylaxis Methods 0.000 description 1
- 125000002572 propoxy group Chemical group [*]OC([H])([H])C(C([H])([H])[H])([H])[H] 0.000 description 1
- 125000001436 propyl group Chemical group [H]C([*])([H])C([H])([H])C([H])([H])[H] 0.000 description 1
- 230000004952 protein activity Effects 0.000 description 1
- OUFHXMSGJIYFPW-UHFFFAOYSA-N pyrazino[2,3-c]pyridazine Chemical compound N1=NC=CC2=NC=CN=C21 OUFHXMSGJIYFPW-UHFFFAOYSA-N 0.000 description 1
- 125000003373 pyrazinyl group Chemical group 0.000 description 1
- 125000002755 pyrazolinyl group Chemical group 0.000 description 1
- BWESROVQGZSBRX-UHFFFAOYSA-N pyrido[3,2-d]pyrimidine Chemical compound C1=NC=NC2=CC=CN=C21 BWESROVQGZSBRX-UHFFFAOYSA-N 0.000 description 1
- 125000004076 pyridyl group Chemical group 0.000 description 1
- 125000000714 pyrimidinyl group Chemical group 0.000 description 1
- 125000001422 pyrrolinyl group Chemical group 0.000 description 1
- 125000002943 quinolinyl group Chemical group N1=C(C=CC2=CC=CC=C12)* 0.000 description 1
- 125000005493 quinolyl group Chemical group 0.000 description 1
- 150000003254 radicals Chemical class 0.000 description 1
- 230000008707 rearrangement Effects 0.000 description 1
- 230000002829 reductive effect Effects 0.000 description 1
- 230000010076 replication Effects 0.000 description 1
- 239000010948 rhodium Substances 0.000 description 1
- 102200048928 rs121434568 Human genes 0.000 description 1
- 102200048955 rs121434569 Human genes 0.000 description 1
- 239000000523 sample Substances 0.000 description 1
- 229930195734 saturated hydrocarbon Natural products 0.000 description 1
- 230000035945 sensitivity Effects 0.000 description 1
- 229940075439 smac mimetic Drugs 0.000 description 1
- 229940126586 small molecule drug Drugs 0.000 description 1
- 125000003003 spiro group Chemical group 0.000 description 1
- 125000004426 substituted alkynyl group Chemical group 0.000 description 1
- 229960002317 succinimide Drugs 0.000 description 1
- MPUQHZXIXSTTDU-QXGSTGNESA-N sulfamic acid [(1S,2S,4R)-4-[4-[[(1S)-2,3-dihydro-1H-inden-1-yl]amino]-7-pyrrolo[2,3-d]pyrimidinyl]-2-hydroxycyclopentyl]methyl ester Chemical compound C1[C@H](O)[C@H](COS(=O)(=O)N)C[C@H]1N1C2=NC=NC(N[C@@H]3C4=CC=CC=C4CC3)=C2C=C1 MPUQHZXIXSTTDU-QXGSTGNESA-N 0.000 description 1
- 125000000020 sulfo group Chemical group O=S(=O)([*])O[H] 0.000 description 1
- 230000002195 synergetic effect Effects 0.000 description 1
- AYUNIORJHRXIBJ-TXHRRWQRSA-N tanespimycin Chemical compound N1C(=O)\C(C)=C\C=C/[C@H](OC)[C@@H](OC(N)=O)\C(C)=C\[C@H](C)[C@@H](O)[C@@H](OC)C[C@H](C)CC2=C(NCC=C)C(=O)C=C1C2=O AYUNIORJHRXIBJ-TXHRRWQRSA-N 0.000 description 1
- 229950007866 tanespimycin Drugs 0.000 description 1
- 125000003718 tetrahydrofuranyl group Chemical group 0.000 description 1
- CXWXQJXEFPUFDZ-UHFFFAOYSA-N tetralin Chemical compound C1=CC=C2CCCCC2=C1 CXWXQJXEFPUFDZ-UHFFFAOYSA-N 0.000 description 1
- VLLMWSRANPNYQX-UHFFFAOYSA-N thiadiazole Chemical compound C1=CSN=N1.C1=CSN=N1 VLLMWSRANPNYQX-UHFFFAOYSA-N 0.000 description 1
- 125000001984 thiazolidinyl group Chemical group 0.000 description 1
- 125000000335 thiazolyl group Chemical group 0.000 description 1
- ONCNIMLKGZSAJT-UHFFFAOYSA-N thieno[3,2-b]furan Chemical compound S1C=CC2=C1C=CO2 ONCNIMLKGZSAJT-UHFFFAOYSA-N 0.000 description 1
- RBNBDIMXFJYDLQ-UHFFFAOYSA-N thieno[3,2-d]pyrimidine Chemical compound C1=NC=C2SC=CC2=N1 RBNBDIMXFJYDLQ-UHFFFAOYSA-N 0.000 description 1
- 125000001544 thienyl group Chemical group 0.000 description 1
- 150000007970 thio esters Chemical class 0.000 description 1
- 125000005296 thioaryloxy group Chemical group 0.000 description 1
- 125000005404 thioheteroaryloxy group Chemical group 0.000 description 1
- 125000005323 thioketone group Chemical group 0.000 description 1
- 150000003572 thiolanes Chemical class 0.000 description 1
- 210000001519 tissue Anatomy 0.000 description 1
- 231100000419 toxicity Toxicity 0.000 description 1
- 230000001988 toxicity Effects 0.000 description 1
- FGMPLJWBKKVCDB-UHFFFAOYSA-N trans-L-hydroxy-proline Natural products ON1CCCC1C(O)=O FGMPLJWBKKVCDB-UHFFFAOYSA-N 0.000 description 1
- 125000000876 trifluoromethoxy group Chemical group FC(F)(F)O* 0.000 description 1
- 231100000588 tumorigenic Toxicity 0.000 description 1
- 230000000381 tumorigenic effect Effects 0.000 description 1
- 229910052721 tungsten Inorganic materials 0.000 description 1
- OUYCCCASQSFEME-UHFFFAOYSA-N tyrosine Chemical group OC(=O)C(N)CC1=CC=C(O)C=C1 OUYCCCASQSFEME-UHFFFAOYSA-N 0.000 description 1
- 238000009423 ventilation Methods 0.000 description 1
- 230000007332 vesicle formation Effects 0.000 description 1
- 125000000391 vinyl group Chemical group [H]C([*])=C([H])[H] 0.000 description 1
- 229920002554 vinyl polymer Polymers 0.000 description 1
- 239000012130 whole-cell lysate Substances 0.000 description 1
- AIFRHYZBTHREPW-UHFFFAOYSA-N β-carboline Chemical compound N1=CC=C2C3=CC=CC=C3NC2=C1 AIFRHYZBTHREPW-UHFFFAOYSA-N 0.000 description 1
Images
Classifications
-
- A—HUMAN NECESSITIES
- A61—MEDICAL OR VETERINARY SCIENCE; HYGIENE
- A61K—PREPARATIONS FOR MEDICAL, DENTAL OR TOILETRY PURPOSES
- A61K47/00—Medicinal preparations characterised by the non-active ingredients used, e.g. carriers or inert additives; Targeting or modifying agents chemically bound to the active ingredient
- A61K47/50—Medicinal preparations characterised by the non-active ingredients used, e.g. carriers or inert additives; Targeting or modifying agents chemically bound to the active ingredient the non-active ingredient being chemically bound to the active ingredient, e.g. polymer-drug conjugates
- A61K47/51—Medicinal preparations characterised by the non-active ingredients used, e.g. carriers or inert additives; Targeting or modifying agents chemically bound to the active ingredient the non-active ingredient being chemically bound to the active ingredient, e.g. polymer-drug conjugates the non-active ingredient being a modifying agent
- A61K47/54—Medicinal preparations characterised by the non-active ingredients used, e.g. carriers or inert additives; Targeting or modifying agents chemically bound to the active ingredient the non-active ingredient being chemically bound to the active ingredient, e.g. polymer-drug conjugates the non-active ingredient being a modifying agent the modifying agent being an organic compound
- A61K47/545—Heterocyclic compounds
-
- C—CHEMISTRY; METALLURGY
- C07—ORGANIC CHEMISTRY
- C07D—HETEROCYCLIC COMPOUNDS
- C07D487/00—Heterocyclic compounds containing nitrogen atoms as the only ring hetero atoms in the condensed system, not provided for by groups C07D451/00 - C07D477/00
- C07D487/02—Heterocyclic compounds containing nitrogen atoms as the only ring hetero atoms in the condensed system, not provided for by groups C07D451/00 - C07D477/00 in which the condensed system contains two hetero rings
- C07D487/04—Ortho-condensed systems
-
- A—HUMAN NECESSITIES
- A61—MEDICAL OR VETERINARY SCIENCE; HYGIENE
- A61K—PREPARATIONS FOR MEDICAL, DENTAL OR TOILETRY PURPOSES
- A61K31/00—Medicinal preparations containing organic active ingredients
- A61K31/33—Heterocyclic compounds
- A61K31/395—Heterocyclic compounds having nitrogen as a ring hetero atom, e.g. guanethidine or rifamycins
- A61K31/41—Heterocyclic compounds having nitrogen as a ring hetero atom, e.g. guanethidine or rifamycins having five-membered rings with two or more ring hetero atoms, at least one of which being nitrogen, e.g. tetrazole
- A61K31/425—Thiazoles
- A61K31/427—Thiazoles not condensed and containing further heterocyclic rings
-
- A—HUMAN NECESSITIES
- A61—MEDICAL OR VETERINARY SCIENCE; HYGIENE
- A61K—PREPARATIONS FOR MEDICAL, DENTAL OR TOILETRY PURPOSES
- A61K31/00—Medicinal preparations containing organic active ingredients
- A61K31/33—Heterocyclic compounds
- A61K31/395—Heterocyclic compounds having nitrogen as a ring hetero atom, e.g. guanethidine or rifamycins
- A61K31/435—Heterocyclic compounds having nitrogen as a ring hetero atom, e.g. guanethidine or rifamycins having six-membered rings with one nitrogen as the only ring hetero atom
- A61K31/44—Non condensed pyridines; Hydrogenated derivatives thereof
- A61K31/445—Non condensed piperidines, e.g. piperocaine
- A61K31/4523—Non condensed piperidines, e.g. piperocaine containing further heterocyclic ring systems
- A61K31/454—Non condensed piperidines, e.g. piperocaine containing further heterocyclic ring systems containing a five-membered ring with nitrogen as a ring hetero atom, e.g. pimozide, domperidone
-
- A—HUMAN NECESSITIES
- A61—MEDICAL OR VETERINARY SCIENCE; HYGIENE
- A61K—PREPARATIONS FOR MEDICAL, DENTAL OR TOILETRY PURPOSES
- A61K31/00—Medicinal preparations containing organic active ingredients
- A61K31/33—Heterocyclic compounds
- A61K31/395—Heterocyclic compounds having nitrogen as a ring hetero atom, e.g. guanethidine or rifamycins
- A61K31/495—Heterocyclic compounds having nitrogen as a ring hetero atom, e.g. guanethidine or rifamycins having six-membered rings with two or more nitrogen atoms as the only ring heteroatoms, e.g. piperazine or tetrazines
- A61K31/496—Non-condensed piperazines containing further heterocyclic rings, e.g. rifampin, thiothixene or sparfloxacin
-
- A—HUMAN NECESSITIES
- A61—MEDICAL OR VETERINARY SCIENCE; HYGIENE
- A61K—PREPARATIONS FOR MEDICAL, DENTAL OR TOILETRY PURPOSES
- A61K31/00—Medicinal preparations containing organic active ingredients
- A61K31/33—Heterocyclic compounds
- A61K31/395—Heterocyclic compounds having nitrogen as a ring hetero atom, e.g. guanethidine or rifamycins
- A61K31/495—Heterocyclic compounds having nitrogen as a ring hetero atom, e.g. guanethidine or rifamycins having six-membered rings with two or more nitrogen atoms as the only ring heteroatoms, e.g. piperazine or tetrazines
- A61K31/505—Pyrimidines; Hydrogenated pyrimidines, e.g. trimethoprim
- A61K31/506—Pyrimidines; Hydrogenated pyrimidines, e.g. trimethoprim not condensed and containing further heterocyclic rings
-
- A—HUMAN NECESSITIES
- A61—MEDICAL OR VETERINARY SCIENCE; HYGIENE
- A61K—PREPARATIONS FOR MEDICAL, DENTAL OR TOILETRY PURPOSES
- A61K31/00—Medicinal preparations containing organic active ingredients
- A61K31/33—Heterocyclic compounds
- A61K31/395—Heterocyclic compounds having nitrogen as a ring hetero atom, e.g. guanethidine or rifamycins
- A61K31/495—Heterocyclic compounds having nitrogen as a ring hetero atom, e.g. guanethidine or rifamycins having six-membered rings with two or more nitrogen atoms as the only ring heteroatoms, e.g. piperazine or tetrazines
- A61K31/505—Pyrimidines; Hydrogenated pyrimidines, e.g. trimethoprim
- A61K31/517—Pyrimidines; Hydrogenated pyrimidines, e.g. trimethoprim ortho- or peri-condensed with carbocyclic ring systems, e.g. quinazoline, perimidine
-
- A—HUMAN NECESSITIES
- A61—MEDICAL OR VETERINARY SCIENCE; HYGIENE
- A61K—PREPARATIONS FOR MEDICAL, DENTAL OR TOILETRY PURPOSES
- A61K31/00—Medicinal preparations containing organic active ingredients
- A61K31/33—Heterocyclic compounds
- A61K31/395—Heterocyclic compounds having nitrogen as a ring hetero atom, e.g. guanethidine or rifamycins
- A61K31/495—Heterocyclic compounds having nitrogen as a ring hetero atom, e.g. guanethidine or rifamycins having six-membered rings with two or more nitrogen atoms as the only ring heteroatoms, e.g. piperazine or tetrazines
- A61K31/505—Pyrimidines; Hydrogenated pyrimidines, e.g. trimethoprim
- A61K31/519—Pyrimidines; Hydrogenated pyrimidines, e.g. trimethoprim ortho- or peri-condensed with heterocyclic rings
-
- A—HUMAN NECESSITIES
- A61—MEDICAL OR VETERINARY SCIENCE; HYGIENE
- A61K—PREPARATIONS FOR MEDICAL, DENTAL OR TOILETRY PURPOSES
- A61K31/00—Medicinal preparations containing organic active ingredients
- A61K31/33—Heterocyclic compounds
- A61K31/395—Heterocyclic compounds having nitrogen as a ring hetero atom, e.g. guanethidine or rifamycins
- A61K31/495—Heterocyclic compounds having nitrogen as a ring hetero atom, e.g. guanethidine or rifamycins having six-membered rings with two or more nitrogen atoms as the only ring heteroatoms, e.g. piperazine or tetrazines
- A61K31/505—Pyrimidines; Hydrogenated pyrimidines, e.g. trimethoprim
- A61K31/519—Pyrimidines; Hydrogenated pyrimidines, e.g. trimethoprim ortho- or peri-condensed with heterocyclic rings
- A61K31/52—Purines, e.g. adenine
-
- A—HUMAN NECESSITIES
- A61—MEDICAL OR VETERINARY SCIENCE; HYGIENE
- A61K—PREPARATIONS FOR MEDICAL, DENTAL OR TOILETRY PURPOSES
- A61K31/00—Medicinal preparations containing organic active ingredients
- A61K31/33—Heterocyclic compounds
- A61K31/395—Heterocyclic compounds having nitrogen as a ring hetero atom, e.g. guanethidine or rifamycins
- A61K31/55—Heterocyclic compounds having nitrogen as a ring hetero atom, e.g. guanethidine or rifamycins having seven-membered rings, e.g. azelastine, pentylenetetrazole
-
- A—HUMAN NECESSITIES
- A61—MEDICAL OR VETERINARY SCIENCE; HYGIENE
- A61K—PREPARATIONS FOR MEDICAL, DENTAL OR TOILETRY PURPOSES
- A61K31/00—Medicinal preparations containing organic active ingredients
- A61K31/33—Heterocyclic compounds
- A61K31/395—Heterocyclic compounds having nitrogen as a ring hetero atom, e.g. guanethidine or rifamycins
- A61K31/55—Heterocyclic compounds having nitrogen as a ring hetero atom, e.g. guanethidine or rifamycins having seven-membered rings, e.g. azelastine, pentylenetetrazole
- A61K31/551—Heterocyclic compounds having nitrogen as a ring hetero atom, e.g. guanethidine or rifamycins having seven-membered rings, e.g. azelastine, pentylenetetrazole having two nitrogen atoms, e.g. dilazep
-
- A—HUMAN NECESSITIES
- A61—MEDICAL OR VETERINARY SCIENCE; HYGIENE
- A61K—PREPARATIONS FOR MEDICAL, DENTAL OR TOILETRY PURPOSES
- A61K38/00—Medicinal preparations containing peptides
- A61K38/04—Peptides having up to 20 amino acids in a fully defined sequence; Derivatives thereof
- A61K38/07—Tetrapeptides
-
- A—HUMAN NECESSITIES
- A61—MEDICAL OR VETERINARY SCIENCE; HYGIENE
- A61K—PREPARATIONS FOR MEDICAL, DENTAL OR TOILETRY PURPOSES
- A61K45/00—Medicinal preparations containing active ingredients not provided for in groups A61K31/00 - A61K41/00
- A61K45/06—Mixtures of active ingredients without chemical characterisation, e.g. antiphlogistics and cardiaca
-
- A—HUMAN NECESSITIES
- A61—MEDICAL OR VETERINARY SCIENCE; HYGIENE
- A61K—PREPARATIONS FOR MEDICAL, DENTAL OR TOILETRY PURPOSES
- A61K47/00—Medicinal preparations characterised by the non-active ingredients used, e.g. carriers or inert additives; Targeting or modifying agents chemically bound to the active ingredient
- A61K47/50—Medicinal preparations characterised by the non-active ingredients used, e.g. carriers or inert additives; Targeting or modifying agents chemically bound to the active ingredient the non-active ingredient being chemically bound to the active ingredient, e.g. polymer-drug conjugates
- A61K47/51—Medicinal preparations characterised by the non-active ingredients used, e.g. carriers or inert additives; Targeting or modifying agents chemically bound to the active ingredient the non-active ingredient being chemically bound to the active ingredient, e.g. polymer-drug conjugates the non-active ingredient being a modifying agent
- A61K47/54—Medicinal preparations characterised by the non-active ingredients used, e.g. carriers or inert additives; Targeting or modifying agents chemically bound to the active ingredient the non-active ingredient being chemically bound to the active ingredient, e.g. polymer-drug conjugates the non-active ingredient being a modifying agent the modifying agent being an organic compound
- A61K47/55—Medicinal preparations characterised by the non-active ingredients used, e.g. carriers or inert additives; Targeting or modifying agents chemically bound to the active ingredient the non-active ingredient being chemically bound to the active ingredient, e.g. polymer-drug conjugates the non-active ingredient being a modifying agent the modifying agent being an organic compound the modifying agent being also a pharmacologically or therapeutically active agent, i.e. the entire conjugate being a codrug, i.e. a dimer, oligomer or polymer of pharmacologically or therapeutically active compounds
-
- A—HUMAN NECESSITIES
- A61—MEDICAL OR VETERINARY SCIENCE; HYGIENE
- A61P—SPECIFIC THERAPEUTIC ACTIVITY OF CHEMICAL COMPOUNDS OR MEDICINAL PREPARATIONS
- A61P1/00—Drugs for disorders of the alimentary tract or the digestive system
- A61P1/04—Drugs for disorders of the alimentary tract or the digestive system for ulcers, gastritis or reflux esophagitis, e.g. antacids, inhibitors of acid secretion, mucosal protectants
-
- A—HUMAN NECESSITIES
- A61—MEDICAL OR VETERINARY SCIENCE; HYGIENE
- A61P—SPECIFIC THERAPEUTIC ACTIVITY OF CHEMICAL COMPOUNDS OR MEDICINAL PREPARATIONS
- A61P11/00—Drugs for disorders of the respiratory system
-
- A—HUMAN NECESSITIES
- A61—MEDICAL OR VETERINARY SCIENCE; HYGIENE
- A61P—SPECIFIC THERAPEUTIC ACTIVITY OF CHEMICAL COMPOUNDS OR MEDICINAL PREPARATIONS
- A61P17/00—Drugs for dermatological disorders
-
- A—HUMAN NECESSITIES
- A61—MEDICAL OR VETERINARY SCIENCE; HYGIENE
- A61P—SPECIFIC THERAPEUTIC ACTIVITY OF CHEMICAL COMPOUNDS OR MEDICINAL PREPARATIONS
- A61P17/00—Drugs for dermatological disorders
- A61P17/06—Antipsoriatics
-
- A—HUMAN NECESSITIES
- A61—MEDICAL OR VETERINARY SCIENCE; HYGIENE
- A61P—SPECIFIC THERAPEUTIC ACTIVITY OF CHEMICAL COMPOUNDS OR MEDICINAL PREPARATIONS
- A61P25/00—Drugs for disorders of the nervous system
-
- A—HUMAN NECESSITIES
- A61—MEDICAL OR VETERINARY SCIENCE; HYGIENE
- A61P—SPECIFIC THERAPEUTIC ACTIVITY OF CHEMICAL COMPOUNDS OR MEDICINAL PREPARATIONS
- A61P29/00—Non-central analgesic, antipyretic or antiinflammatory agents, e.g. antirheumatic agents; Non-steroidal antiinflammatory drugs [NSAID]
-
- A—HUMAN NECESSITIES
- A61—MEDICAL OR VETERINARY SCIENCE; HYGIENE
- A61P—SPECIFIC THERAPEUTIC ACTIVITY OF CHEMICAL COMPOUNDS OR MEDICINAL PREPARATIONS
- A61P35/00—Antineoplastic agents
-
- A—HUMAN NECESSITIES
- A61—MEDICAL OR VETERINARY SCIENCE; HYGIENE
- A61P—SPECIFIC THERAPEUTIC ACTIVITY OF CHEMICAL COMPOUNDS OR MEDICINAL PREPARATIONS
- A61P43/00—Drugs for specific purposes, not provided for in groups A61P1/00-A61P41/00
-
- A—HUMAN NECESSITIES
- A61—MEDICAL OR VETERINARY SCIENCE; HYGIENE
- A61P—SPECIFIC THERAPEUTIC ACTIVITY OF CHEMICAL COMPOUNDS OR MEDICINAL PREPARATIONS
- A61P9/00—Drugs for disorders of the cardiovascular system
- A61P9/10—Drugs for disorders of the cardiovascular system for treating ischaemic or atherosclerotic diseases, e.g. antianginal drugs, coronary vasodilators, drugs for myocardial infarction, retinopathy, cerebrovascula insufficiency, renal arteriosclerosis
-
- C—CHEMISTRY; METALLURGY
- C07—ORGANIC CHEMISTRY
- C07D—HETEROCYCLIC COMPOUNDS
- C07D403/00—Heterocyclic compounds containing two or more hetero rings, having nitrogen atoms as the only ring hetero atoms, not provided for by group C07D401/00
- C07D403/14—Heterocyclic compounds containing two or more hetero rings, having nitrogen atoms as the only ring hetero atoms, not provided for by group C07D401/00 containing three or more hetero rings
-
- C—CHEMISTRY; METALLURGY
- C07—ORGANIC CHEMISTRY
- C07D—HETEROCYCLIC COMPOUNDS
- C07D417/00—Heterocyclic compounds containing two or more hetero rings, at least one ring having nitrogen and sulfur atoms as the only ring hetero atoms, not provided for by group C07D415/00
- C07D417/02—Heterocyclic compounds containing two or more hetero rings, at least one ring having nitrogen and sulfur atoms as the only ring hetero atoms, not provided for by group C07D415/00 containing two hetero rings
- C07D417/04—Heterocyclic compounds containing two or more hetero rings, at least one ring having nitrogen and sulfur atoms as the only ring hetero atoms, not provided for by group C07D415/00 containing two hetero rings directly linked by a ring-member-to-ring-member bond
-
- C—CHEMISTRY; METALLURGY
- C07—ORGANIC CHEMISTRY
- C07D—HETEROCYCLIC COMPOUNDS
- C07D471/00—Heterocyclic compounds containing nitrogen atoms as the only ring hetero atoms in the condensed system, at least one ring being a six-membered ring with one nitrogen atom, not provided for by groups C07D451/00 - C07D463/00
- C07D471/02—Heterocyclic compounds containing nitrogen atoms as the only ring hetero atoms in the condensed system, at least one ring being a six-membered ring with one nitrogen atom, not provided for by groups C07D451/00 - C07D463/00 in which the condensed system contains two hetero rings
- C07D471/04—Ortho-condensed systems
Landscapes
- Health & Medical Sciences (AREA)
- Chemical & Material Sciences (AREA)
- Life Sciences & Earth Sciences (AREA)
- Veterinary Medicine (AREA)
- Public Health (AREA)
- General Health & Medical Sciences (AREA)
- Medicinal Chemistry (AREA)
- Animal Behavior & Ethology (AREA)
- Pharmacology & Pharmacy (AREA)
- Epidemiology (AREA)
- Organic Chemistry (AREA)
- Bioinformatics & Cheminformatics (AREA)
- Engineering & Computer Science (AREA)
- Nuclear Medicine, Radiotherapy & Molecular Imaging (AREA)
- General Chemical & Material Sciences (AREA)
- Chemical Kinetics & Catalysis (AREA)
- Gastroenterology & Hepatology (AREA)
- Proteomics, Peptides & Aminoacids (AREA)
- Immunology (AREA)
- Pain & Pain Management (AREA)
- Rheumatology (AREA)
- Dermatology (AREA)
- Pulmonology (AREA)
- Heart & Thoracic Surgery (AREA)
- Neurology (AREA)
- Neurosurgery (AREA)
- Vascular Medicine (AREA)
- Urology & Nephrology (AREA)
- Cardiology (AREA)
- Biomedical Technology (AREA)
- Pharmaceuticals Containing Other Organic And Inorganic Compounds (AREA)
- Nitrogen Condensed Heterocyclic Rings (AREA)
- Nitrogen And Oxygen Or Sulfur-Condensed Heterocyclic Ring Systems (AREA)
- Medicinal Preparation (AREA)
- Medicines That Contain Protein Lipid Enzymes And Other Medicines (AREA)
- Plural Heterocyclic Compounds (AREA)
Applications Claiming Priority (5)
| Application Number | Priority Date | Filing Date | Title |
|---|---|---|---|
| US201662438901P | 2016-12-23 | 2016-12-23 | |
| US62/438,901 | 2016-12-23 | ||
| US201762563494P | 2017-09-26 | 2017-09-26 | |
| US62/563,494 | 2017-09-26 | ||
| PCT/US2017/068308 WO2018119441A1 (en) | 2016-12-23 | 2017-12-22 | Egfr proteolysis targeting chimeric molecules and associated methods of use |
Publications (1)
| Publication Number | Publication Date |
|---|---|
| KR20190101406A true KR20190101406A (ko) | 2019-08-30 |
Family
ID=62627537
Family Applications (1)
| Application Number | Title | Priority Date | Filing Date |
|---|---|---|---|
| KR1020197021538A Ceased KR20190101406A (ko) | 2016-12-23 | 2017-12-22 | Egfr 단백질분해 표적화 키메라 분자 및 관련 사용 방법 |
Country Status (13)
| Country | Link |
|---|---|
| US (3) | US10994015B2 (enExample) |
| EP (1) | EP3559002A4 (enExample) |
| JP (1) | JP2020505327A (enExample) |
| KR (1) | KR20190101406A (enExample) |
| CN (1) | CN110753693A (enExample) |
| AU (1) | AU2017382406A1 (enExample) |
| BR (1) | BR112019012682A2 (enExample) |
| CA (1) | CA3047586A1 (enExample) |
| CO (1) | CO2019007892A2 (enExample) |
| IL (1) | IL267398A (enExample) |
| MX (1) | MX2019007646A (enExample) |
| RU (1) | RU2019121527A (enExample) |
| WO (1) | WO2018119441A1 (enExample) |
Cited By (1)
| Publication number | Priority date | Publication date | Assignee | Title |
|---|---|---|---|---|
| KR20250044979A (ko) | 2023-09-25 | 2025-04-01 | 주식회사 메디아크 | 프로탁(Protac)이 탑재된 금속-유기 골격체(Metal-Organic Framework) 입자를 포함하는 약물 전달 시스템 및 이를 포함하는 약학 조성물 |
Families Citing this family (131)
| Publication number | Priority date | Publication date | Assignee | Title |
|---|---|---|---|---|
| US20180228907A1 (en) | 2014-04-14 | 2018-08-16 | Arvinas, Inc. | Cereblon ligands and bifunctional compounds comprising the same |
| WO2016197114A1 (en) | 2015-06-05 | 2016-12-08 | Arvinas, Inc. | Tank-binding kinase-1 protacs and associated methods of use |
| US10772962B2 (en) | 2015-08-19 | 2020-09-15 | Arvinas Operations, Inc. | Compounds and methods for the targeted degradation of bromodomain-containing proteins |
| JP6968823B2 (ja) * | 2016-04-22 | 2021-11-17 | ダナ−ファーバー キャンサー インスティテュート,インコーポレイテッド | Egfrの分解のための二官能性分子、及び使用方法 |
| WO2017197036A1 (en) | 2016-05-10 | 2017-11-16 | C4 Therapeutics, Inc. | Spirocyclic degronimers for target protein degradation |
| EP3455218A4 (en) | 2016-05-10 | 2019-12-18 | C4 Therapeutics, Inc. | C3 CARBON-BASED GLUTARIMIDE DEGRONIMERS FOR TARGET PROTEIN REDUCTION |
| EP3455219A4 (en) | 2016-05-10 | 2019-12-18 | C4 Therapeutics, Inc. | AMINE-RELATED C3-GLUTARIMIDE DEGRONIMERS FOR TARGET PROTEIN REDUCTION |
| EP4491236A3 (en) | 2016-05-10 | 2025-04-02 | C4 Therapeutics, Inc. | Heterocyclic degronimers for target protein degradation |
| WO2018053354A1 (en) | 2016-09-15 | 2018-03-22 | Arvinas, Inc. | Indole derivatives as estrogen receptor degraders |
| JP2019537585A (ja) | 2016-10-28 | 2019-12-26 | アイカーン スクール オブ メディスン アット マウント シナイ | Ezh2媒介性がんを治療するための組成物および方法 |
| KR20230127371A (ko) * | 2016-11-01 | 2023-08-31 | 아비나스 오퍼레이션스, 인코포레이티드 | 타우(Tau)-단백질 표적화 프로탁(PROTAC) 및 관련 사용 방법 |
| IL297717A (en) | 2016-12-01 | 2022-12-01 | Arvinas Operations Inc | History of tetrahydronaphthalene and tetrahydroisoquinoline as estrogen receptor antagonists |
| WO2018118598A1 (en) | 2016-12-23 | 2018-06-28 | Arvinas, Inc. | Compounds and methods for the targeted degradation of fetal liver kinase polypeptides |
| MX2019007649A (es) | 2016-12-23 | 2019-09-10 | Arvinas Operations Inc | Compuestos y metodos para la degradacion dirigida de polipeptidos de fibrosarcoma acelerado rapidamente. |
| US11173211B2 (en) | 2016-12-23 | 2021-11-16 | Arvinas Operations, Inc. | Compounds and methods for the targeted degradation of rapidly accelerated Fibrosarcoma polypeptides |
| WO2018119441A1 (en) | 2016-12-23 | 2018-06-28 | Arvinas, Inc. | Egfr proteolysis targeting chimeric molecules and associated methods of use |
| US11191741B2 (en) | 2016-12-24 | 2021-12-07 | Arvinas Operations, Inc. | Compounds and methods for the targeted degradation of enhancer of zeste homolog 2 polypeptide |
| IL300417A (en) | 2017-01-26 | 2023-04-01 | Arvinas Operations Inc | Bifunctional benzothiophene compounds, preparations containing them and their use in therapy |
| EP3577109A4 (en) | 2017-01-31 | 2020-11-18 | Arvinas Operations, Inc. | CEREMONY LIGANDS AND BIFUNCTIONAL COMPOUNDS CONTAINING THEM |
| US20180353501A1 (en) * | 2017-06-09 | 2018-12-13 | Arvinas, Inc. | Modulators of proteolysis and associated methods of use |
| CN118440096A (zh) | 2017-06-20 | 2024-08-06 | C4医药公司 | 用于蛋白降解的n/o-连接的降解决定子和降解决定子体 |
| CN109422751B (zh) * | 2017-09-03 | 2022-04-22 | 上海美志医药科技有限公司 | 一类具有降解酪氨酸蛋白激酶jak3活性的化合物 |
| EP3679026A1 (en) | 2017-09-04 | 2020-07-15 | C4 Therapeutics, Inc. | Glutarimide |
| CN111315735B (zh) | 2017-09-04 | 2024-03-08 | C4医药公司 | 二氢苯并咪唑酮 |
| WO2019043208A1 (en) | 2017-09-04 | 2019-03-07 | F. Hoffmann-La Roche Ag | DIHYDROQUINOLINONES |
| US11110177B2 (en) | 2017-11-10 | 2021-09-07 | The Regents Of The University Of Michigan | ASH1L degraders and methods of treatment therewith |
| CN111372585A (zh) | 2017-11-16 | 2020-07-03 | C4医药公司 | 用于靶蛋白降解的降解剂和降解决定子 |
| US11065231B2 (en) | 2017-11-17 | 2021-07-20 | Arvinas Operations, Inc. | Compounds and methods for the targeted degradation of interleukin-1 receptor- associated kinase 4 polypeptides |
| IL315310A (en) | 2017-12-26 | 2024-10-01 | Kymera Therapeutics Inc | Irak degraders and uses thereof |
| EP3743066A4 (en) | 2018-01-26 | 2021-09-08 | Yale University | IMIDE-BASED PROTEOLYSIS MODULATORS AND RELATED METHODS OF USE |
| WO2019183523A1 (en) * | 2018-03-23 | 2019-09-26 | Genentech, Inc. | Hetero-bifunctional degrader compounds and their use as modulators of targeted ubiquination (vhl) |
| KR20210018199A (ko) | 2018-03-26 | 2021-02-17 | 씨4 테라퓨틱스, 인코포레이티드 | 이카로스의 분해를 위한 세레블론 결합제 |
| JP7720698B2 (ja) * | 2018-04-04 | 2025-08-08 | アルビナス・オペレーションズ・インコーポレイテッド | タンパク質分解の調節因子および関連する使用方法 |
| JP7367908B2 (ja) * | 2018-04-09 | 2023-10-24 | 上海科技大学 | 標的タンパク質分解化合物、その抗腫瘍応用、その中間体および中間体の応用 |
| WO2019204354A1 (en) | 2018-04-16 | 2019-10-24 | C4 Therapeutics, Inc. | Spirocyclic compounds |
| EP3578561A1 (en) | 2018-06-04 | 2019-12-11 | F. Hoffmann-La Roche AG | Spiro compounds |
| JP2021527666A (ja) | 2018-06-21 | 2021-10-14 | アイカーン スクール オブ メディスン アット マウント シナイ | Wd40反復ドメインタンパク質5(wdr5)分解/破壊化合物および使用の方法 |
| WO2020010227A1 (en) | 2018-07-06 | 2020-01-09 | Kymera Therapeutics, Inc. | Protein degraders and uses thereof |
| CA3103385A1 (en) | 2018-07-10 | 2020-01-16 | Novartis Ag | 3-(5-hydroxy-1-oxoisoindolin-2-yl)piperidine-2,6-dione derivatives and their use in the treatment of ikaros family zinc finger 2 (ikzf2)-dependent diseases |
| AR116109A1 (es) | 2018-07-10 | 2021-03-31 | Novartis Ag | Derivados de 3-(5-amino-1-oxoisoindolin-2-il)piperidina-2,6-diona y usos de los mismos |
| EP3831811A4 (en) | 2018-07-31 | 2022-04-20 | Fimecs, Inc. | HETEROCYCLIC COMPOUND |
| CN110835345A (zh) * | 2018-08-17 | 2020-02-25 | 中国科学院上海药物研究所 | 一类细胞周期依赖性激酶的降解剂、其制备方法、药物组合物及其用途 |
| CN112912376A (zh) | 2018-08-20 | 2021-06-04 | 阿尔维纳斯运营股份有限公司 | 用于治疗神经变性疾病的具有E3泛素连接酶结合活性并靶向α-突触核蛋白的蛋白水解靶向嵌合(PROTAC)化合物 |
| US11969472B2 (en) | 2018-08-22 | 2024-04-30 | Cullgen (Shanghai), Inc. | Tropomyosin receptor kinase (TRK) degradation compounds and methods of use |
| CA3110267A1 (en) | 2018-08-22 | 2020-02-27 | Cullgen (Shanghai), Inc. | Tropomyosin receptor kinase (trk) degradation compounds and methods of use |
| EP3846800A4 (en) | 2018-09-04 | 2022-08-24 | C4 Therapeutics, Inc. | Compounds for the degradation of brd9 or mth1 |
| CN111018857B (zh) * | 2018-10-09 | 2023-06-02 | 嘉兴优博生物技术有限公司 | 靶向蛋白酶降解平台(ted) |
| US11352350B2 (en) | 2018-11-30 | 2022-06-07 | Kymera Therapeutics, Inc. | IRAK degraders and uses thereof |
| CN120698985A (zh) | 2018-12-20 | 2025-09-26 | C4医药公司 | 靶向蛋白降解 |
| CN113710660B (zh) * | 2019-01-09 | 2024-07-02 | 达纳-法伯癌症研究公司 | Dot1l降解剂及其用途 |
| WO2020162725A1 (ko) * | 2019-02-07 | 2020-08-13 | 한국화학연구원 | 표적 단백질 eed 분해 유도 데그라듀서, 이의 제조방법 및 이를 유효성분으로 함유하는 eed, ezh2, 또는 prc2 관련 질환의 예방 또는 치료용 약학적 조성물 |
| CA3134546A1 (en) * | 2019-03-28 | 2020-10-01 | Essa Pharma, Inc. | Androgen receptor modulators and methods for use as proteolysis targeting chimera ligands |
| KR20210152515A (ko) | 2019-04-12 | 2021-12-15 | 씨4 테라퓨틱스, 인코포레이티드 | 이카로스 및 아이올로스의 트리시클릭 분해제 |
| WO2020214555A1 (en) | 2019-04-16 | 2020-10-22 | Northwestern University | Bifunctional compounds comprising apcin-a and their use in the treatment of cancer |
| CN114423463B (zh) | 2019-05-06 | 2025-09-26 | 西奈山伊坎医学院 | 作为hpk1的降解剂的异双功能化合物 |
| CN110204532B (zh) * | 2019-05-15 | 2022-03-08 | 浙江工业大学 | 一种靶向egfr蛋白降解的化合物及其制备方法和应用 |
| WO2020257607A1 (en) * | 2019-06-21 | 2020-12-24 | Dana-Farber Cancer Institute, Inc. | Allosteric egfr inhibitors and methods of use thereof |
| US11912699B2 (en) | 2019-07-17 | 2024-02-27 | Arvinas Operations, Inc. | Tau-protein targeting compounds and associated |
| CN112321566B (zh) * | 2019-08-05 | 2022-06-10 | 上海科技大学 | Egfr蛋白降解剂及其抗肿瘤应用 |
| EP4019021A4 (en) * | 2019-08-23 | 2022-11-02 | Beijing Tide Pharmaceutical Co., Ltd. | COMPOUND INHIBITING AND INDUCING EGFR AND ALK DEGRADATION |
| EP4021450B1 (en) | 2019-08-26 | 2025-11-05 | Arvinas Operations, Inc. | Methods of treating breast cancer with tetrahydronaphthalene derivatives as estrogen receptor degraders |
| AU2020368542B2 (en) | 2019-10-17 | 2024-02-29 | Arvinas Operations, Inc. | Bifunctional molecules containing an E3 ubiquitine ligase binding moiety linked to a BCL6 targeting moiety |
| AU2020383423A1 (en) | 2019-11-11 | 2022-06-23 | Dana-Farber Cancer Institute, Inc. | Allosteric EGFR inhibitors and methods of use thereof |
| IL293027A (en) | 2019-11-19 | 2022-07-01 | Bristol Myers Squibb Co | Compounds useful as inhibitors of Helios protein |
| ES3041635T3 (en) | 2019-12-16 | 2025-11-13 | Beijing Tide Pharmaceutical Co Ltd | Macrocyclic compounds for inhibiting and inducing degradation of egfr kinase in the treatment of cancer |
| EP4076520A4 (en) | 2019-12-17 | 2024-03-27 | Kymera Therapeutics, Inc. | Irak degraders and uses thereof |
| IL293530A (en) | 2019-12-18 | 2022-08-01 | Novartis Ag | Derivatives of 3-(5-methoxy-1-oxoisoindolin-2-yl)piperidine-2,6-dione and their uses |
| AU2020405129A1 (en) | 2019-12-19 | 2022-06-23 | Arvinas Operations, Inc. | Compounds and methods for the targeted degradation of androgen receptor |
| MX2022007659A (es) | 2019-12-20 | 2022-07-19 | C4 Therapeutics Inc | Compuestos de isoindolinona e indazol para la degradacion del receptor del factor de crecimiento epidermico (egfr). |
| WO2023205701A1 (en) | 2022-04-20 | 2023-10-26 | Kumquat Biosciences Inc. | Macrocyclic heterocycles and uses thereof |
| CN115697989B (zh) | 2020-02-26 | 2025-03-18 | 上海睿跃生物科技有限公司 | 原肌球蛋白受体激酶(trk)降解化合物和使用方法 |
| AU2021231898A1 (en) | 2020-03-05 | 2022-10-27 | C4 Therapeutics, Inc. | Compounds for targeted degradation of BRD9 |
| CN113354622B (zh) * | 2020-03-06 | 2022-11-01 | 沈阳药科大学 | 对苯二胺类lsd1抑制剂及其制备方法 |
| CN113509557A (zh) * | 2020-04-09 | 2021-10-19 | 嘉兴优博生物技术有限公司 | 靶向蛋白酶降解平台(ted) |
| WO2021242982A1 (en) * | 2020-05-28 | 2021-12-02 | Bristol-Myers Squibb Company | Galectin-3 inhibitors |
| US12103924B2 (en) * | 2020-06-01 | 2024-10-01 | Icahn School Of Medicine At Mount Sinai | Mitogen-activated protein kinase kinase (MEK) degradation compounds and methods of use |
| TW202210483A (zh) | 2020-06-03 | 2022-03-16 | 美商凱麥拉醫療公司 | Irak降解劑之結晶型 |
| CN117327059A (zh) * | 2020-07-08 | 2024-01-02 | 北京泰德制药股份有限公司 | 抑制并诱导蛋白降解的化合物 |
| JP2023538517A (ja) | 2020-08-05 | 2023-09-08 | シーフォー セラピューティクス, インコーポレイテッド | Retの標的分解のための化合物 |
| CN114057770B (zh) * | 2020-08-06 | 2023-05-02 | 成都先导药物开发股份有限公司 | 靶向egfr蛋白降解的双功能化合物 |
| EP4204418A1 (en) | 2020-08-28 | 2023-07-05 | Arvinas Operations, Inc. | Rapidly accelerating fibrosarcoma protein degrading compounds and associated methods of use |
| KR102539755B1 (ko) * | 2020-09-11 | 2023-06-05 | 제이투에이치바이오텍 (주) | Egfr 돌연변이 암의 억제용 화합물 및 이들의 의약 용도 |
| EP4211128A1 (en) | 2020-09-14 | 2023-07-19 | Arvinas Operations, Inc. | Crystalline forms of a compound for the targeted degradation of estrogen receptor |
| CN114621231B (zh) * | 2020-12-14 | 2025-09-12 | 杭州中美华东制药有限公司 | 一种靶向降解/抑制活性的嵌合化合物及其制备方法和用途 |
| CN112661707B (zh) * | 2020-12-25 | 2022-11-08 | 扬子江药业集团有限公司 | 达可替尼的制备方法 |
| CN112608302B (zh) * | 2020-12-28 | 2022-05-24 | 郑州大学第一附属医院 | 低氧还原激活靶向泛素化降解egfr蛋白的喹唑啉类衍生物及其应用 |
| TW202241891A (zh) | 2020-12-30 | 2022-11-01 | 美商凱麥拉醫療公司 | Irak降解劑及其用途 |
| WO2022152821A1 (en) | 2021-01-13 | 2022-07-21 | Monte Rosa Therapeutics Ag | Isoindolinone compounds |
| CN112939965B (zh) * | 2021-02-08 | 2023-02-24 | 沈阳药科大学 | 同时诱导egfr和parp蛋白降解的化合物及制备方法和应用 |
| JP2024506656A (ja) | 2021-02-15 | 2024-02-14 | カイメラ セラピューティクス, インコーポレイテッド | Irak4分解剤およびその使用 |
| CN113004251B (zh) * | 2021-03-05 | 2022-09-27 | 郑州大学第一附属医院 | 含2-硝基咪唑的喹唑啉类衍生物及其应用 |
| RS66982B1 (sr) | 2021-04-06 | 2025-07-31 | Bristol Myers Squibb Co | Piridinil supstituisana oksoizoindolinska jedinjenja |
| EP4323352A1 (en) | 2021-04-16 | 2024-02-21 | Arvinas Operations, Inc. | Modulators of bcl6 proteolysis and associated methods of use |
| CN117222637A (zh) * | 2021-04-30 | 2023-12-12 | 百济神州有限公司 | Egfr降解剂和相关使用方法 |
| CA3217417A1 (en) | 2021-05-05 | 2022-11-10 | Kevin M. Guckian | Compounds for targeting degradation of bruton's tyrosine kinase |
| WO2022251588A1 (en) * | 2021-05-27 | 2022-12-01 | Halda Therapeutics Opco, Inc. | Heterobifunctional compounds and methods of treating disease |
| AR126052A1 (es) | 2021-06-03 | 2023-09-06 | Novartis Ag | Derivados de 3-(5-oxi)-1-oxoisoindolin-2-il)piperidina-2,6-diona y sus usos |
| WO2022270881A1 (ko) * | 2021-06-22 | 2022-12-29 | 주식회사 엘지화학 | 단백질 키나아제 억제제로서의 신규한 화합물 |
| WO2022270994A1 (ko) | 2021-06-25 | 2022-12-29 | 한국화학연구원 | 유비퀴틴 프로테오좀 경로를 통해 비티케이 분해작용을 가지는 신규한 이작용성 헤테로사이클릭 화합물과 이의 용도 |
| TW202317561A (zh) * | 2021-07-01 | 2023-05-01 | 美商羅曼德生物治療公司 | 作為治療劑的具有1h—吡唑并[4,3—c]吡啶—6—胺基的化合物 |
| WO2023283130A1 (en) | 2021-07-04 | 2023-01-12 | Newave Pharmaceutical Inc. | Isoquinoline derivatives as mutant egfr modulators and uses thereof |
| AU2022308734A1 (en) | 2021-07-07 | 2024-02-22 | Biogen Ma Inc. | Compounds for targeting degradation of irak4 proteins |
| US20250018046A1 (en) | 2021-07-07 | 2025-01-16 | Biogen Ma Inc | Compounds for targeting degradation of irak4 proteins |
| WO2023283425A1 (en) | 2021-07-09 | 2023-01-12 | Plexium, Inc. | Aryl compounds and pharmaceutical compositions that modulate ikzf2 |
| CN113636931B (zh) * | 2021-08-05 | 2024-02-13 | 康龙化成(宁波)科技发展有限公司 | 基因编码化合物库起始头片段化合物及其在基因编码化合物库合成上的应用 |
| CN113683491A (zh) * | 2021-09-01 | 2021-11-23 | 王传良 | 一种4-(2-溴乙基)苯酚的制备方法 |
| CN115109047B (zh) * | 2021-09-08 | 2024-02-20 | 中国科学院化学研究所 | 一种基于protac设计的铁死亡诱导剂 |
| WO2023076556A1 (en) | 2021-10-29 | 2023-05-04 | Kymera Therapeutics, Inc. | Irak4 degraders and synthesis thereof |
| CN116135852B (zh) * | 2021-11-17 | 2025-09-05 | 浙江同源康医药股份有限公司 | 用于egfr蛋白降解的化合物及其用途 |
| CN114349739A (zh) * | 2021-12-14 | 2022-04-15 | 杭州医学院 | 一种降解微管蛋白的偶氮类化合物及其合成方法和应用 |
| JP2025504059A (ja) | 2022-01-31 | 2025-02-06 | カイメラ セラピューティクス, インコーポレイテッド | Irakデグレーダー及びその使用 |
| CN115109055B (zh) * | 2022-05-26 | 2023-11-28 | 北京康辰药业股份有限公司 | 一种用于egfr降解的双功能化合物及其应用 |
| CN115160311B (zh) * | 2022-05-26 | 2024-03-15 | 北京康辰药业股份有限公司 | 一种用于egfr降解的双功能化合物及其应用 |
| IL316803A (en) | 2022-06-06 | 2025-01-01 | C4 Therapeutics Inc | Bicyclic glutarimide-modified cervalon-binding agents |
| CN115073439B (zh) * | 2022-07-22 | 2023-10-20 | 徐州医科大学 | 一种嘧啶类化合物及其医药用途 |
| CN115650975B (zh) * | 2022-08-23 | 2024-07-02 | 四川大学华西医院 | 一种靶向降解人表皮生长因子受体2的蛋白降解靶向嵌合体化合物及其应用 |
| TW202432544A (zh) | 2022-09-07 | 2024-08-16 | 美商亞文納營運公司 | 快速加速纖維肉瘤降解化合物及相關使用方法 |
| WO2024073507A1 (en) | 2022-09-28 | 2024-04-04 | Theseus Pharmaceuticals, Inc. | Macrocyclic compounds and uses thereof |
| AU2023387788A1 (en) * | 2022-12-08 | 2025-06-26 | Risen (Shanghai) Pharmaceutical Engineering Co., Ltd. | Bifunctional compounds and pharmaceutical uses thereof |
| TW202444727A (zh) | 2023-01-26 | 2024-11-16 | 美商艾維納斯手術有限公司 | 基於cereblon之kras降解protac及其相關用途 |
| WO2024206163A1 (en) * | 2023-03-24 | 2024-10-03 | The Children's Hospital Of Philadelphia | Large-scale induction of protein-protein interactions to discover novel effector proteins for proximity-based therapeutics |
| WO2024243441A1 (en) | 2023-05-24 | 2024-11-28 | Kumquat Biosciences Inc. | Heterocyclic compounds and uses thereof |
| WO2024246838A1 (en) | 2023-05-31 | 2024-12-05 | Beigene Switzerland Gmbh | Compounds for the degradation of egfr kinase |
| WO2025007000A1 (en) | 2023-06-30 | 2025-01-02 | Kumquat Biosciences Inc. | Substituted condensed tricyclic amine compounds and uses thereof as ras inhibitors |
| CN116693505B (zh) * | 2023-07-28 | 2023-10-27 | 中国药科大学 | 一种靶向降解egfr蛋白的化合物及其制法和应用 |
| WO2025063888A1 (en) | 2023-09-19 | 2025-03-27 | Kancure Pte. Ltd. | Survivin-targeted compounds |
| CN120152969A (zh) * | 2023-10-07 | 2025-06-13 | 普美瑞(苏州)生物科技有限公司 | 一种能降解表皮生长因子受体的化合物及其用途 |
| WO2025096855A1 (en) | 2023-11-02 | 2025-05-08 | Kumquat Biosciences Inc. | Degraders and uses thereof |
| WO2025113714A1 (zh) * | 2023-12-01 | 2025-06-05 | 苏州信诺维医药科技股份有限公司 | 稠环类化合物、其药物组合物及其应用 |
| WO2025137500A1 (en) | 2023-12-21 | 2025-06-26 | Dana-Farber Cancer Institute, Inc. | Kinase inhibition and degradation |
| CN117924286B (zh) * | 2024-03-20 | 2024-05-24 | 四川大学华西医院 | 一类喹唑啉-吡咯烷类衍生物及其制备方法 |
Family Cites Families (128)
| Publication number | Priority date | Publication date | Assignee | Title |
|---|---|---|---|---|
| GB9603095D0 (en) | 1996-02-14 | 1996-04-10 | Zeneca Ltd | Quinazoline derivatives |
| PL195916B1 (pl) | 1996-07-24 | 2007-11-30 | Celgene Corp | Izomery optyczne podstawionej 1-okso-izoindoliny i 1,3-diokso-izoindoliny, kompozycje farmaceutyczne je zawierające oraz ich zastosowanie |
| JP4903922B2 (ja) | 1997-05-14 | 2012-03-28 | スローン − ケッタリング インスティチュート フォー キャンサー リサーチ | 選択された蛋白質を分解する複合化合物 |
| GB9716557D0 (en) | 1997-08-06 | 1997-10-08 | Glaxo Group Ltd | Benzylidene-1,3-dihydro-indol-2-one derivatives having anti-cancer activity |
| US6306663B1 (en) | 1999-02-12 | 2001-10-23 | Proteinex, Inc. | Controlling protein levels in eucaryotic organisms |
| AU769652B2 (en) | 1999-05-05 | 2004-01-29 | Cubist Pharmaceuticals, Inc. | Novel prolines as antimicrobial agents |
| US6921763B2 (en) | 1999-09-17 | 2005-07-26 | Abbott Laboratories | Pyrazolopyrimidines as therapeutic agents |
| WO2002020740A2 (en) | 2000-09-08 | 2002-03-14 | California Institute Of Technology | Proteolysis targeting chimeric pharmaceutical |
| US7208157B2 (en) | 2000-09-08 | 2007-04-24 | California Institute Of Technology | Proteolysis targeting chimeric pharmaceutical |
| US20030045552A1 (en) | 2000-12-27 | 2003-03-06 | Robarge Michael J. | Isoindole-imide compounds, compositions, and uses thereof |
| JP2005507363A (ja) | 2001-02-16 | 2005-03-17 | イー・アイ・デュポン・ドウ・ヌムール・アンド・カンパニー | 血管新生阻害トリペプチド、組成物およびそれらの使用方法 |
| MXPA03008560A (es) | 2001-03-22 | 2004-06-30 | Abbot Gmbh & Co Kg | Pirazolopirimidinas como agentes terapeuticos. |
| HN2002000136A (es) | 2001-06-11 | 2003-07-31 | Basf Ag | Inhibidores de la proteasa del virus hiv, compuestos que contienen a los mismos, sus usos farmaceuticos y los materiales para su sintesis |
| GB0119249D0 (en) | 2001-08-07 | 2001-10-03 | Novartis Ag | Organic compounds |
| US7030141B2 (en) | 2001-11-29 | 2006-04-18 | Christopher Franklin Bigge | Inhibitors of factor Xa and other serine proteases involved in the coagulation cascade |
| US20060128632A1 (en) | 2002-07-02 | 2006-06-15 | Sharma Sushil K | Peptide inhibitors of smac protein binding to inhibitor of apoptosis proteins (iap) |
| CA2520586C (en) | 2003-03-27 | 2011-06-14 | Lankenau Institute For Medical Research | Novel ido inhibitors and methods of use |
| WO2005007621A2 (en) | 2003-05-30 | 2005-01-27 | Rigel Pharmaceuticals, Inc. | Ubiquitin ligase inhibitors |
| US20070281907A1 (en) | 2003-12-22 | 2007-12-06 | Watkins William J | Kinase Inhibitor Phosphonate Conjugates |
| EP1718300A4 (en) | 2004-01-16 | 2008-05-14 | Univ Michigan | CONFORMATIVELY IMPROVED SMAC MIMETIKA AND ITS USES |
| AU2005228950B2 (en) | 2004-03-23 | 2012-02-02 | Genentech, Inc. | Azabicyclo-octane inhibitors of IAP |
| WO2005097791A1 (en) | 2004-04-07 | 2005-10-20 | Novartis Ag | Inhibitors of iap |
| WO2006014361A1 (en) | 2004-07-02 | 2006-02-09 | Genentech, Inc. | Inhibitors of iap |
| EA019420B1 (ru) | 2004-12-20 | 2014-03-31 | Дженентех, Инк. | Пирролидиновые ингибиторы иап (ингибиторов апоптоза) |
| DK1851200T3 (da) | 2005-02-25 | 2014-04-14 | Tetralogic Pharm Corp | Dimere iap-inhibitorer |
| CN100383139C (zh) | 2005-04-07 | 2008-04-23 | 天津和美生物技术有限公司 | 可抑制细胞释放肿瘤坏死因子的哌啶-2,6-二酮衍生物 |
| WO2006113942A2 (en) | 2005-04-20 | 2006-10-26 | Schering Corporation | Method of inhibiting cathepsin activity |
| BRPI0614995A2 (pt) | 2005-08-31 | 2010-01-12 | Celgene Corp | composto ou um sal, solvato ou estereoisemero farmaceuticamente aceitável do mesmo, composição farmacêutica, uso de uma quantidade terapêutica ou profilaticamente eficaz de um composto ou um sal, solvato ou estereoisemero farmaceuticamente aceitável do mesmo, e, forma de dosagem unitária única |
| CA2643267A1 (en) | 2006-03-03 | 2007-09-20 | Novartis Ag | N-formyl hydroxylamine compounds |
| WO2007101347A1 (en) | 2006-03-07 | 2007-09-13 | Aegera Therapeutics Inc. | Bir domain binding compounds |
| AU2007248473B2 (en) | 2006-05-05 | 2011-01-27 | The Regents Of The University Of Michigan | Bivalent Smac mimetics and the uses thereof |
| AU2007275415A1 (en) | 2006-07-20 | 2008-01-24 | Ligand Pharmaceuticals Incorporated | Proline urea CCR1 antagonists for the treatment of autoimmune diseases or inflammation |
| US20100056495A1 (en) | 2006-07-24 | 2010-03-04 | Tetralogic Pharmaceuticals Corporation | Dimeric iap inhibitors |
| CL2007002513A1 (es) | 2006-08-30 | 2008-04-04 | Celgene Corp Soc Organizada Ba | Compuestos derivados de isoindolina sustituidos, compuestos intermediarios; composicion farmaceutica; y uso en el tratamiento y prevencion de enfermedades tales como cancer, dolor, degeneracion macular, entre otras. |
| RU2448101C2 (ru) | 2006-08-30 | 2012-04-20 | Селджин Корпорейшн | 5-замещенные изоиндолиновые соединения |
| EP2089391B1 (en) | 2006-11-03 | 2013-01-16 | Pharmacyclics, Inc. | Bruton's tyrosine kinase activity probe and method of using |
| WO2008109057A1 (en) | 2007-03-02 | 2008-09-12 | Dana-Farber Cancer Institute, Inc. | Organic compounds and their uses |
| EP2079309B1 (en) | 2007-04-12 | 2015-11-11 | Joyant Pharmaceuticals Inc | SMAC MIMEE DIMERS AND TRIMERS USEFUL AS ANTICANCER AGENTS |
| BRPI0810522B8 (pt) | 2007-04-13 | 2021-05-25 | Univ Michigan Regents | compostos miméticos diazo bicíclicos de smac, composição farmacêutica e kit compreendendo ditos compostos e uso dos mesmos para o tratamento de câncer |
| AR066348A1 (es) | 2007-04-30 | 2009-08-12 | Genentech Inc | Inhibidores de las iap |
| WO2008144925A1 (en) | 2007-05-30 | 2008-12-04 | Aegera Therapeutics Inc. | Iap bir domain binding compounds |
| KR20100038108A (ko) | 2007-07-25 | 2010-04-12 | 브리스톨-마이어스 스큅 컴퍼니 | 트리아진 키나제 억제제 |
| EP2058312A1 (en) | 2007-11-09 | 2009-05-13 | Universita' degli Studi di Milano | SMAC mimetic compounds as apoptosis inducers |
| PE20140963A1 (es) | 2008-10-29 | 2014-08-06 | Celgene Corp | Compuestos de isoindolina para el tratamiento de cancer |
| US20120135089A1 (en) | 2009-03-17 | 2012-05-31 | Stockwell Brent R | E3 ligase inhibitors |
| US8614201B2 (en) | 2009-06-05 | 2013-12-24 | Janssen Pharmaceutica Nv | Heterocyclic amides as modulators of TRPA1 |
| WO2011008260A2 (en) | 2009-07-13 | 2011-01-20 | President And Fellows Of Harvard College | Bifunctional stapled polypeptides and uses thereof |
| US8551955B2 (en) | 2009-10-28 | 2013-10-08 | Joyant Pharmaceuticals, Inc. | Dimeric Smac mimetics |
| SG10201501062SA (en) | 2010-02-11 | 2015-04-29 | Celgene Corp | Arylmethoxy isoindoline derivatives and compositions comprising and methods of using the same |
| AU2011272860A1 (en) | 2010-06-30 | 2013-02-07 | Brandeis University | Small-molecule-targeted protein degradation |
| CN103261169A (zh) | 2010-09-24 | 2013-08-21 | 密歇根大学董事会 | 脱泛素酶抑制剂及其应用方法 |
| WO2012061299A1 (en) | 2010-11-01 | 2012-05-10 | Avila Therapeutics, Inc. | Heterocyclic compounds and uses thereof |
| EP2649099A4 (en) | 2010-12-07 | 2016-10-19 | Univ Yale | SMALL MOLECULAR HYDROPHOBIC LABELING OF FUSION PROTEINS AND INDUCED REMOVAL FROM THIS |
| US20140243282A1 (en) | 2010-12-31 | 2014-08-28 | Satish Reddy Kallam | Methods and compositions for designing novel conjugate therapeutics |
| CN103688176A (zh) | 2011-04-29 | 2014-03-26 | 细胞基因公司 | 利用cereblon作为预报因子治疗癌和炎性疾病的方法 |
| JP6093770B2 (ja) | 2011-09-27 | 2017-03-08 | アムジエン・インコーポレーテツド | 癌の治療のためのmdm2阻害剤としての複素環化合物 |
| WO2013071039A1 (en) | 2011-11-09 | 2013-05-16 | Ensemble Therapeutics | Macrocyclic compounds for inhibition of inhibitors of apoptosis |
| JP2015504425A (ja) | 2011-11-09 | 2015-02-12 | アンサンブル・セラピューティクス | アポトーシスのインヒビターを阻害するための大環状化合物 |
| KR102438072B1 (ko) | 2012-01-12 | 2022-08-31 | 예일 유니버시티 | E3 유비퀴틴 리가아제에 의한 표적 단백질 및 다른 폴리펩티드의 증진된 분해를 위한 화합물 및 방법 |
| WO2013106646A2 (en) | 2012-01-12 | 2013-07-18 | Yale University | Compounds and methods for the inhibition of vcb e3 ubiquitin ligase |
| CN103374000B (zh) * | 2012-04-13 | 2015-11-11 | 中国科学院广州生物医药与健康研究院 | 嘧啶并二氮杂卓类化合物及其药用组合物和应用 |
| EP2846784A4 (en) | 2012-05-11 | 2016-03-09 | Univ Yale | COMPOUNDS FOR PROMOTING PROTEIN REMOVAL AND PROCESS THEREFOR |
| WO2013175417A1 (en) | 2012-05-24 | 2013-11-28 | Novartis Ag | Pyrrolopyrrolidinone compounds |
| SG11201406889WA (en) | 2012-05-30 | 2015-02-27 | Hoffmann La Roche | Substituted pyrrolidine-2-carboxamides |
| US20150152083A1 (en) * | 2012-06-06 | 2015-06-04 | Irm Llc, A Delaware Limited Liability Company | Compounds and Compositions for Modulating EGFR Activity |
| US9345740B2 (en) | 2012-07-10 | 2016-05-24 | Bristol-Myers Squibb Company | IAP antagonists |
| SI2880447T1 (sl) | 2012-07-31 | 2019-09-30 | Novartis Ag | Označevalci povezani z občutljivostjo na inhibitorje humanega dvominutnega 2 proteina (mdm2) |
| US9453048B2 (en) | 2012-08-09 | 2016-09-27 | Bristol-Myers Squibb Company | IAP antagonists |
| TWI586668B (zh) | 2012-09-06 | 2017-06-11 | 第一三共股份有限公司 | 二螺吡咯啶衍生物之結晶 |
| EP2897949B1 (en) | 2012-09-18 | 2018-01-10 | Bristol-Myers Squibb Company | Iap antagonists |
| TWI569799B (zh) | 2012-09-21 | 2017-02-11 | 安羅格製藥股份有限公司 | 抑制組成型活性磷酸化flt3激酶的方法 |
| EP2903998B1 (en) | 2012-10-02 | 2017-03-15 | Bristol-Myers Squibb Company | Iap antagonists |
| EP2917218B1 (en) | 2012-11-09 | 2017-01-04 | Ensemble Therapeutics Corporation | Macrocyclic compounds for inhibition of inhibitors of apoptosis |
| CN104955824B (zh) | 2012-11-20 | 2017-09-22 | 豪夫迈·罗氏有限公司 | 作为含t790m的egfr突变体的抑制剂的氨基嘧啶化合物 |
| AR094116A1 (es) | 2012-12-20 | 2015-07-08 | Merck Sharp & Dohme | Imidazopiridinas sustituidas como inhibidores de hdm2 |
| EP2934535B1 (en) | 2012-12-20 | 2017-07-19 | Merck Sharp & Dohme Corp. | Substituted pyrrolopyrimidines as hdm2 inhibitors |
| EP2752191A1 (en) | 2013-01-07 | 2014-07-09 | Sanofi | Compositions and methods using hdm2 antagonist and mek inhibitor |
| GB201311910D0 (en) | 2013-07-03 | 2013-08-14 | Glaxosmithkline Ip Dev Ltd | Novel Compounds |
| NL2011274C2 (en) | 2013-08-06 | 2015-02-09 | Illumicare Ip B V 51 | Groundbreaking platform technology for specific binding to necrotic cells. |
| AU2014223547B2 (en) | 2013-02-28 | 2017-11-16 | Amgen Inc. | A benzoic acid derivative MDM2 inhibitor for the treatment of cancer |
| JP6377123B2 (ja) | 2013-03-14 | 2018-08-22 | アムジエン・インコーポレーテツド | 癌の治療のためのmdm2阻害剤としてのヘテロアリール酸モルホリノン化合物 |
| WO2014210354A1 (en) | 2013-06-28 | 2014-12-31 | Genentech, Inc. | Azaindazole compounds as inhibitors of t790m containing egfr mutants |
| GB201311891D0 (en) | 2013-07-03 | 2013-08-14 | Glaxosmithkline Ip Dev Ltd | Novel compound |
| GB201311888D0 (en) | 2013-07-03 | 2013-08-14 | Glaxosmithkline Ip Dev Ltd | Novel compounds |
| EP3019517A1 (en) | 2013-07-12 | 2016-05-18 | Bristol-Myers Squibb Company | Iap antagonists |
| CN104418860B (zh) * | 2013-08-20 | 2016-09-07 | 中国科学院广州生物医药与健康研究院 | 嘧啶并杂环类化合物及其药用组合物和应用 |
| UA115388C2 (uk) | 2013-11-21 | 2017-10-25 | Пфайзер Інк. | 2,6-заміщені пуринові похідні та їх застосування в лікуванні проліферативних захворювань |
| US20150259288A1 (en) | 2014-03-14 | 2015-09-17 | City Of Hope | 5-bromo-indirubins |
| US20160058872A1 (en) | 2014-04-14 | 2016-03-03 | Arvinas, Inc. | Imide-based modulators of proteolysis and associated methods of use |
| KR20250127179A (ko) * | 2014-04-14 | 2025-08-26 | 아비나스 오퍼레이션스, 인코포레이티드 | 단백질분해의 이미드-기초된 조절인자 및 연관된 이용 방법 |
| US20180228907A1 (en) | 2014-04-14 | 2018-08-16 | Arvinas, Inc. | Cereblon ligands and bifunctional compounds comprising the same |
| JP6468611B2 (ja) | 2014-05-13 | 2019-02-13 | アリアド ファーマシューティカルズ, インコーポレイテッド | キナーゼ阻害のためのヘテロアリール化合物 |
| TW201613916A (en) | 2014-06-03 | 2016-04-16 | Gilead Sciences Inc | TANK-binding kinase inhibitor compounds |
| US20160022642A1 (en) | 2014-07-25 | 2016-01-28 | Yale University | Compounds Useful for Promoting Protein Degradation and Methods Using Same |
| US10071164B2 (en) | 2014-08-11 | 2018-09-11 | Yale University | Estrogen-related receptor alpha based protac compounds and associated methods of use |
| US9694084B2 (en) | 2014-12-23 | 2017-07-04 | Dana-Farber Cancer Institute, Inc. | Methods to induce targeted protein degradation through bifunctional molecules |
| JP6815318B2 (ja) * | 2014-12-23 | 2021-01-20 | ダナ−ファーバー キャンサー インスティテュート,インコーポレイテッド | 二官能性分子によって標的化タンパク質分解を誘導する方法 |
| US12312316B2 (en) | 2015-01-20 | 2025-05-27 | Arvinas Operations, Inc. | Compounds and methods for the targeted degradation of androgen receptor |
| US11352351B2 (en) | 2015-01-20 | 2022-06-07 | Arvinas Operations, Inc. | Compounds and methods for the targeted degradation of androgen receptor |
| GB201504314D0 (en) | 2015-03-13 | 2015-04-29 | Univ Dundee | Small molecules |
| HK1249058A1 (zh) | 2015-03-18 | 2018-10-26 | Arvinas, Inc. | 用於增强靶向蛋白质降解的化合物和方法 |
| GB201506872D0 (en) | 2015-04-22 | 2015-06-03 | Ge Oil & Gas Uk Ltd | Novel compounds |
| GB201506871D0 (en) | 2015-04-22 | 2015-06-03 | Glaxosmithkline Ip Dev Ltd | Novel compounds |
| WO2016197032A1 (en) * | 2015-06-04 | 2016-12-08 | Arvinas, Inc. | Imide-based modulators of proteolysis and associated methods of use |
| WO2016197114A1 (en) | 2015-06-05 | 2016-12-08 | Arvinas, Inc. | Tank-binding kinase-1 protacs and associated methods of use |
| US10385019B2 (en) | 2015-06-30 | 2019-08-20 | Dana-Farber Cancer Institute, Inc. | Inhibitors of EGFR and methods of use thereof |
| CA2988430A1 (en) | 2015-07-10 | 2017-01-19 | Arvinas, Inc. | Mdm2-based modulators of proteolysis and associated methods of use |
| RU2018105094A (ru) | 2015-07-13 | 2019-08-14 | Арвинас, Инк. | Модуляторы протеолиза на основе аланина и связанные с ними способы применения |
| EP3331905B1 (en) | 2015-08-06 | 2022-10-05 | Dana-Farber Cancer Institute, Inc. | Targeted protein degradation to attenuate adoptive t-cell therapy associated adverse inflammatory responses |
| US10772962B2 (en) | 2015-08-19 | 2020-09-15 | Arvinas Operations, Inc. | Compounds and methods for the targeted degradation of bromodomain-containing proteins |
| GB201516243D0 (en) | 2015-09-14 | 2015-10-28 | Glaxosmithkline Ip Dev Ltd | Novel compounds |
| CN108366992A (zh) | 2015-11-02 | 2018-08-03 | 耶鲁大学 | 蛋白水解靶向嵌合体化合物及其制备和应用方法 |
| WO2017117474A1 (en) | 2015-12-30 | 2017-07-06 | Dana-Farber Cancer Institute, Inc. | Bifunctional compounds for her3 degradation and methods of use |
| US20170281784A1 (en) | 2016-04-05 | 2017-10-05 | Arvinas, Inc. | Protein-protein interaction inducing technology |
| JP6968823B2 (ja) * | 2016-04-22 | 2021-11-17 | ダナ−ファーバー キャンサー インスティテュート,インコーポレイテッド | Egfrの分解のための二官能性分子、及び使用方法 |
| EP3455219A4 (en) | 2016-05-10 | 2019-12-18 | C4 Therapeutics, Inc. | AMINE-RELATED C3-GLUTARIMIDE DEGRONIMERS FOR TARGET PROTEIN REDUCTION |
| US10646488B2 (en) | 2016-07-13 | 2020-05-12 | Araxes Pharma Llc | Conjugates of cereblon binding compounds and G12C mutant KRAS, HRAS or NRAS protein modulating compounds and methods of use thereof |
| WO2018053354A1 (en) | 2016-09-15 | 2018-03-22 | Arvinas, Inc. | Indole derivatives as estrogen receptor degraders |
| HUE070289T2 (hu) | 2016-10-11 | 2025-05-28 | Arvinas Operations Inc | Vegyületek és módszerek az androgénreceptor célzott lebontására |
| KR20230127371A (ko) | 2016-11-01 | 2023-08-31 | 아비나스 오퍼레이션스, 인코포레이티드 | 타우(Tau)-단백질 표적화 프로탁(PROTAC) 및 관련 사용 방법 |
| IL297717A (en) | 2016-12-01 | 2022-12-01 | Arvinas Operations Inc | History of tetrahydronaphthalene and tetrahydroisoquinoline as estrogen receptor antagonists |
| WO2018119441A1 (en) | 2016-12-23 | 2018-06-28 | Arvinas, Inc. | Egfr proteolysis targeting chimeric molecules and associated methods of use |
| WO2018118598A1 (en) | 2016-12-23 | 2018-06-28 | Arvinas, Inc. | Compounds and methods for the targeted degradation of fetal liver kinase polypeptides |
| MX2019007649A (es) | 2016-12-23 | 2019-09-10 | Arvinas Operations Inc | Compuestos y metodos para la degradacion dirigida de polipeptidos de fibrosarcoma acelerado rapidamente. |
| US11191741B2 (en) | 2016-12-24 | 2021-12-07 | Arvinas Operations, Inc. | Compounds and methods for the targeted degradation of enhancer of zeste homolog 2 polypeptide |
| IL300417A (en) | 2017-01-26 | 2023-04-01 | Arvinas Operations Inc | Bifunctional benzothiophene compounds, preparations containing them and their use in therapy |
| EP3577109A4 (en) | 2017-01-31 | 2020-11-18 | Arvinas Operations, Inc. | CEREMONY LIGANDS AND BIFUNCTIONAL COMPOUNDS CONTAINING THEM |
| JP7227912B2 (ja) | 2017-02-08 | 2023-02-24 | ダナ-ファーバー キャンサー インスティテュート,インコーポレイテッド | キメラ抗原受容体の調節 |
-
2017
- 2017-12-22 WO PCT/US2017/068308 patent/WO2018119441A1/en not_active Ceased
- 2017-12-22 AU AU2017382406A patent/AU2017382406A1/en not_active Abandoned
- 2017-12-22 CA CA3047586A patent/CA3047586A1/en not_active Abandoned
- 2017-12-22 MX MX2019007646A patent/MX2019007646A/es unknown
- 2017-12-22 US US15/852,854 patent/US10994015B2/en active Active
- 2017-12-22 JP JP2019534368A patent/JP2020505327A/ja active Pending
- 2017-12-22 EP EP17884473.4A patent/EP3559002A4/en not_active Withdrawn
- 2017-12-22 KR KR1020197021538A patent/KR20190101406A/ko not_active Ceased
- 2017-12-22 RU RU2019121527A patent/RU2019121527A/ru not_active Application Discontinuation
- 2017-12-22 CN CN201780087264.7A patent/CN110753693A/zh active Pending
- 2017-12-22 BR BR112019012682A patent/BR112019012682A2/pt not_active Application Discontinuation
-
2019
- 2019-06-16 IL IL267398A patent/IL267398A/en unknown
- 2019-07-23 CO CONC2019/0007892A patent/CO2019007892A2/es unknown
-
2021
- 2021-03-04 US US17/192,083 patent/US20210220475A1/en not_active Abandoned
-
2024
- 2024-04-01 US US18/623,722 patent/US20240382599A1/en active Pending
Cited By (1)
| Publication number | Priority date | Publication date | Assignee | Title |
|---|---|---|---|---|
| KR20250044979A (ko) | 2023-09-25 | 2025-04-01 | 주식회사 메디아크 | 프로탁(Protac)이 탑재된 금속-유기 골격체(Metal-Organic Framework) 입자를 포함하는 약물 전달 시스템 및 이를 포함하는 약학 조성물 |
Also Published As
| Publication number | Publication date |
|---|---|
| US20180193470A1 (en) | 2018-07-12 |
| WO2018119441A1 (en) | 2018-06-28 |
| IL267398A (en) | 2019-08-29 |
| CO2019007892A2 (es) | 2019-10-09 |
| EP3559002A1 (en) | 2019-10-30 |
| RU2019121527A3 (enExample) | 2021-04-08 |
| AU2017382406A1 (en) | 2019-04-18 |
| US20240382599A1 (en) | 2024-11-21 |
| US10994015B2 (en) | 2021-05-04 |
| CN110753693A (zh) | 2020-02-04 |
| BR112019012682A2 (pt) | 2019-12-17 |
| WO2018119441A8 (en) | 2019-05-23 |
| JP2020505327A (ja) | 2020-02-20 |
| MX2019007646A (es) | 2019-09-06 |
| WO2018119441A9 (en) | 2019-10-10 |
| CA3047586A1 (en) | 2018-06-28 |
| RU2019121527A (ru) | 2021-01-15 |
| US20210220475A1 (en) | 2021-07-22 |
| EP3559002A4 (en) | 2021-02-17 |
Similar Documents
| Publication | Publication Date | Title |
|---|---|---|
| US20240382599A1 (en) | Egfr proteolysis targeting chimeric molecules and associated methods of use | |
| KR102564201B1 (ko) | 급속 진행성 섬유육종 폴리펩티드의 표적화 분해를 위한 화합물 및 방법 | |
| KR102642203B1 (ko) | 급속 진행형 섬유육종 폴리펩티드의 표적화 분해를 위한 다중 고리 화합물 및 방법 | |
| JP7266526B6 (ja) | エストロゲン受容体タンパク質分解性の調節因子およびその関連方法 | |
| JP6972211B2 (ja) | エストロゲン受容体分解物質としてのテトラヒドロナフタレン誘導体およびテトラヒドロイソキノリン誘導体 | |
| JP2020505327A5 (enExample) | ||
| KR20220102156A (ko) | Bcl6 표적화 모이어티에 연결된 e3 유비퀴틴 리가아제 결합 모이어티를 함유하는 이기능성 분자 | |
| KR20240095318A (ko) | 단백질분해 조절제 및 연관된 사용 방법 | |
| KR20230171979A (ko) | Bcl6 단백질 분해의 조절제 및 관련 사용 방법 | |
| JP2020504741A5 (enExample) | ||
| JP2020506914A5 (enExample) | ||
| RU2805511C2 (ru) | Модуляторы протеолиза и соответствующие способы применения | |
| RU2830173C2 (ru) | Полициклические соединения и способы целенаправленной деградации полипептидов быстро ускоренной фибросаркомы | |
| RU2782458C2 (ru) | Соединения и способы нацеленного расщепления полипептидов быстропрогрессирующей фибросаркомы |
Legal Events
| Date | Code | Title | Description |
|---|---|---|---|
| PA0105 | International application |
Patent event date: 20190723 Patent event code: PA01051R01D Comment text: International Patent Application |
|
| PG1501 | Laying open of application | ||
| PA0201 | Request for examination |
Patent event code: PA02012R01D Patent event date: 20201222 Comment text: Request for Examination of Application |
|
| E902 | Notification of reason for refusal | ||
| PE0902 | Notice of grounds for rejection |
Comment text: Notification of reason for refusal Patent event date: 20230103 Patent event code: PE09021S01D |
|
| E601 | Decision to refuse application | ||
| PE0601 | Decision on rejection of patent |
Patent event date: 20230501 Comment text: Decision to Refuse Application Patent event code: PE06012S01D Patent event date: 20230103 Comment text: Notification of reason for refusal Patent event code: PE06011S01I |