KR20180125044A - 특이적 결합 단백질 및 이의 용도 - Google Patents
특이적 결합 단백질 및 이의 용도 Download PDFInfo
- Publication number
- KR20180125044A KR20180125044A KR1020187032867A KR20187032867A KR20180125044A KR 20180125044 A KR20180125044 A KR 20180125044A KR 1020187032867 A KR1020187032867 A KR 1020187032867A KR 20187032867 A KR20187032867 A KR 20187032867A KR 20180125044 A KR20180125044 A KR 20180125044A
- Authority
- KR
- South Korea
- Prior art keywords
- egfr
- antibody
- amino acid
- acid sequence
- seq
- Prior art date
- Legal status (The legal status is an assumption and is not a legal conclusion. Google has not performed a legal analysis and makes no representation as to the accuracy of the status listed.)
- Withdrawn
Links
- 230000009870 specific binding Effects 0.000 title abstract description 93
- 102000014914 Carrier Proteins Human genes 0.000 title description 10
- 108091008324 binding proteins Proteins 0.000 title description 10
- 206010028980 Neoplasm Diseases 0.000 claims abstract description 437
- 230000027455 binding Effects 0.000 claims abstract description 232
- 201000011510 cancer Diseases 0.000 claims abstract description 72
- 239000012634 fragment Substances 0.000 claims abstract description 67
- 239000002246 antineoplastic agent Substances 0.000 claims abstract description 19
- 210000004027 cell Anatomy 0.000 claims description 459
- 125000003275 alpha amino acid group Chemical group 0.000 claims description 227
- 108090000765 processed proteins & peptides Proteins 0.000 claims description 152
- 108090000623 proteins and genes Proteins 0.000 claims description 124
- 238000000034 method Methods 0.000 claims description 117
- 230000014509 gene expression Effects 0.000 claims description 99
- 102000004169 proteins and genes Human genes 0.000 claims description 93
- 102000004196 processed proteins & peptides Human genes 0.000 claims description 92
- 229920001184 polypeptide Polymers 0.000 claims description 85
- 101150039808 Egfr gene Proteins 0.000 claims description 79
- 108700021358 erbB-1 Genes Proteins 0.000 claims description 73
- 102000052116 epidermal growth factor receptor activity proteins Human genes 0.000 claims description 66
- 230000000694 effects Effects 0.000 claims description 59
- 230000003321 amplification Effects 0.000 claims description 53
- 238000003199 nucleic acid amplification method Methods 0.000 claims description 53
- 150000007523 nucleic acids Chemical class 0.000 claims description 48
- 102000039446 nucleic acids Human genes 0.000 claims description 35
- 108020004707 nucleic acids Proteins 0.000 claims description 35
- 208000005017 glioblastoma Diseases 0.000 claims description 29
- 125000000539 amino acid group Chemical group 0.000 claims description 28
- 239000008194 pharmaceutical composition Substances 0.000 claims description 24
- 241000124008 Mammalia Species 0.000 claims description 21
- GFNNBHLJANVSQV-UHFFFAOYSA-N tyrphostin AG 1478 Chemical group C=12C=C(OC)C(OC)=CC2=NC=NC=1NC1=CC=CC(Cl)=C1 GFNNBHLJANVSQV-UHFFFAOYSA-N 0.000 claims description 20
- 230000013595 glycosylation Effects 0.000 claims description 19
- 238000006206 glycosylation reaction Methods 0.000 claims description 19
- 239000003153 chemical reaction reagent Substances 0.000 claims description 18
- 239000003814 drug Substances 0.000 claims description 18
- WQZGKKKJIJFFOK-QTVWNMPRSA-N D-mannopyranose Chemical compound OC[C@H]1OC(O)[C@@H](O)[C@@H](O)[C@@H]1O WQZGKKKJIJFFOK-QTVWNMPRSA-N 0.000 claims description 14
- 102000053602 DNA Human genes 0.000 claims description 14
- 238000001514 detection method Methods 0.000 claims description 14
- 239000003112 inhibitor Substances 0.000 claims description 14
- 230000010261 cell growth Effects 0.000 claims description 13
- 229940079593 drug Drugs 0.000 claims description 13
- FWMNVWWHGCHHJJ-SKKKGAJSSA-N 4-amino-1-[(2r)-6-amino-2-[[(2r)-2-[[(2r)-2-[[(2r)-2-amino-3-phenylpropanoyl]amino]-3-phenylpropanoyl]amino]-4-methylpentanoyl]amino]hexanoyl]piperidine-4-carboxylic acid Chemical compound C([C@H](C(=O)N[C@H](CC(C)C)C(=O)N[C@H](CCCCN)C(=O)N1CCC(N)(CC1)C(O)=O)NC(=O)[C@H](N)CC=1C=CC=CC=1)C1=CC=CC=C1 FWMNVWWHGCHHJJ-SKKKGAJSSA-N 0.000 claims description 12
- 108020004511 Recombinant DNA Proteins 0.000 claims description 12
- 240000004808 Saccharomyces cerevisiae Species 0.000 claims description 12
- 229940127089 cytotoxic agent Drugs 0.000 claims description 9
- 239000000523 sample Substances 0.000 claims description 9
- 229940121358 tyrosine kinase inhibitor Drugs 0.000 claims description 9
- 239000005483 tyrosine kinase inhibitor Substances 0.000 claims description 9
- 239000003550 marker Substances 0.000 claims description 8
- 238000006467 substitution reaction Methods 0.000 claims description 8
- 241000588724 Escherichia coli Species 0.000 claims description 7
- 206010003571 Astrocytoma Diseases 0.000 claims description 6
- 241000238631 Hexapoda Species 0.000 claims description 6
- 239000003085 diluting agent Substances 0.000 claims description 6
- 230000002285 radioactive effect Effects 0.000 claims description 6
- 229910052727 yttrium Inorganic materials 0.000 claims description 6
- NHFDRBXTEDBWCZ-ZROIWOOFSA-N 3-[2,4-dimethyl-5-[(z)-(2-oxo-1h-indol-3-ylidene)methyl]-1h-pyrrol-3-yl]propanoic acid Chemical compound OC(=O)CCC1=C(C)NC(\C=C/2C3=CC=CC=C3NC\2=O)=C1C NHFDRBXTEDBWCZ-ZROIWOOFSA-N 0.000 claims description 5
- 241000193830 Bacillus <bacterium> Species 0.000 claims description 5
- 241000589516 Pseudomonas Species 0.000 claims description 5
- 241000187747 Streptomyces Species 0.000 claims description 5
- 230000032823 cell division Effects 0.000 claims description 5
- AAKJLRGGTJKAMG-UHFFFAOYSA-N erlotinib Chemical compound C=12C=C(OCCOC)C(OCCOC)=CC2=NC=NC=1NC1=CC=CC(C#C)=C1 AAKJLRGGTJKAMG-UHFFFAOYSA-N 0.000 claims description 5
- 229960001433 erlotinib Drugs 0.000 claims description 5
- XGALLCVXEZPNRQ-UHFFFAOYSA-N gefitinib Chemical compound C=12C=C(OCCCN3CCOCC3)C(OC)=CC2=NC=NC=1NC1=CC=C(F)C(Cl)=C1 XGALLCVXEZPNRQ-UHFFFAOYSA-N 0.000 claims description 5
- 229960002584 gefitinib Drugs 0.000 claims description 5
- 229960002411 imatinib Drugs 0.000 claims description 5
- 230000001613 neoplastic effect Effects 0.000 claims description 5
- 230000001323 posttranslational effect Effects 0.000 claims description 5
- 210000005260 human cell Anatomy 0.000 claims description 4
- 239000002955 immunomodulating agent Substances 0.000 claims description 4
- 229910052757 nitrogen Inorganic materials 0.000 claims description 4
- 230000019491 signal transduction Effects 0.000 claims description 4
- 150000004917 tyrosine kinase inhibitor derivatives Chemical class 0.000 claims description 4
- 208000022211 Arteriovenous Malformations Diseases 0.000 claims description 3
- 101100348617 Candida albicans (strain SC5314 / ATCC MYA-2876) NIK1 gene Proteins 0.000 claims description 3
- 101100007329 Saccharomyces cerevisiae (strain ATCC 204508 / S288c) COS1 gene Proteins 0.000 claims description 3
- 101100221606 Saccharomyces cerevisiae (strain ATCC 204508 / S288c) COS7 gene Proteins 0.000 claims description 3
- 239000003080 antimitotic agent Substances 0.000 claims description 3
- 230000005744 arteriovenous malformation Effects 0.000 claims description 3
- 239000012472 biological sample Substances 0.000 claims description 3
- 150000001875 compounds Chemical class 0.000 claims description 3
- 206010027191 meningioma Diseases 0.000 claims description 3
- 229910052717 sulfur Inorganic materials 0.000 claims description 2
- 229910052720 vanadium Inorganic materials 0.000 claims description 2
- 108700015053 epidermal growth factor receptor activity proteins Proteins 0.000 claims 59
- YOHYSYJDKVYCJI-UHFFFAOYSA-N n-[3-[[6-[3-(trifluoromethyl)anilino]pyrimidin-4-yl]amino]phenyl]cyclopropanecarboxamide Chemical compound FC(F)(F)C1=CC=CC(NC=2N=CN=C(NC=3C=C(NC(=O)C4CC4)C=CC=3)C=2)=C1 YOHYSYJDKVYCJI-UHFFFAOYSA-N 0.000 claims 48
- 238000009007 Diagnostic Kit Methods 0.000 claims 3
- KTUFNOKKBVMGRW-UHFFFAOYSA-N imatinib Chemical compound C1CN(C)CCN1CC1=CC=C(C(=O)NC=2C=C(NC=3N=C(C=CN=3)C=3C=NC=CC=3)C(C)=CC=2)C=C1 KTUFNOKKBVMGRW-UHFFFAOYSA-N 0.000 claims 2
- 230000009826 neoplastic cell growth Effects 0.000 claims 2
- 208000005718 Stomach Neoplasms Diseases 0.000 claims 1
- 206010017758 gastric cancer Diseases 0.000 claims 1
- 201000011549 stomach cancer Diseases 0.000 claims 1
- 238000011282 treatment Methods 0.000 abstract description 88
- 102000009465 Growth Factor Receptors Human genes 0.000 abstract description 10
- 108010009202 Growth Factor Receptors Proteins 0.000 abstract description 10
- 238000002560 therapeutic procedure Methods 0.000 abstract description 7
- 238000002512 chemotherapy Methods 0.000 abstract description 5
- 238000003745 diagnosis Methods 0.000 abstract description 4
- 230000009466 transformation Effects 0.000 abstract description 3
- 239000012829 chemotherapy agent Substances 0.000 abstract description 2
- 230000002547 anomalous effect Effects 0.000 abstract 1
- 238000001784 detoxification Methods 0.000 abstract 1
- 230000008472 epithelial growth Effects 0.000 abstract 1
- 108060006698 EGF receptor Proteins 0.000 description 433
- 102000001301 EGF receptor Human genes 0.000 description 425
- 235000018102 proteins Nutrition 0.000 description 86
- 239000007924 injection Substances 0.000 description 63
- 238000002347 injection Methods 0.000 description 63
- 108020003175 receptors Proteins 0.000 description 63
- 102000005962 receptors Human genes 0.000 description 62
- 108091028043 Nucleic acid sequence Proteins 0.000 description 48
- 241000699670 Mus sp. Species 0.000 description 47
- 210000001519 tissue Anatomy 0.000 description 45
- 230000009257 reactivity Effects 0.000 description 43
- 239000000427 antigen Substances 0.000 description 41
- 108091007433 antigens Proteins 0.000 description 41
- 102000036639 antigens Human genes 0.000 description 41
- 230000004048 modification Effects 0.000 description 41
- 238000012986 modification Methods 0.000 description 41
- 230000012010 growth Effects 0.000 description 38
- 108020004414 DNA Proteins 0.000 description 36
- 241001465754 Metazoa Species 0.000 description 36
- 108010047041 Complementarity Determining Regions Proteins 0.000 description 35
- 206010018338 Glioma Diseases 0.000 description 35
- 238000010186 staining Methods 0.000 description 35
- 235000001014 amino acid Nutrition 0.000 description 34
- 238000004458 analytical method Methods 0.000 description 34
- 229940024606 amino acid Drugs 0.000 description 33
- 150000001413 amino acids Chemical class 0.000 description 32
- LOKCTEFSRHRXRJ-UHFFFAOYSA-I dipotassium trisodium dihydrogen phosphate hydrogen phosphate dichloride Chemical compound P(=O)(O)(O)[O-].[K+].P(=O)(O)([O-])[O-].[Na+].[Na+].[Cl-].[K+].[Cl-].[Na+] LOKCTEFSRHRXRJ-UHFFFAOYSA-I 0.000 description 31
- 239000002953 phosphate buffered saline Substances 0.000 description 31
- 230000002159 abnormal effect Effects 0.000 description 30
- 230000035772 mutation Effects 0.000 description 30
- 208000032612 Glial tumor Diseases 0.000 description 27
- 239000000126 substance Substances 0.000 description 26
- 230000001965 increasing effect Effects 0.000 description 25
- 230000000069 prophylactic effect Effects 0.000 description 24
- 239000008280 blood Substances 0.000 description 23
- 238000001727 in vivo Methods 0.000 description 23
- 239000000203 mixture Substances 0.000 description 23
- 230000001225 therapeutic effect Effects 0.000 description 23
- 238000011580 nude mouse model Methods 0.000 description 22
- 239000013612 plasmid Substances 0.000 description 22
- 239000003981 vehicle Substances 0.000 description 22
- 230000000875 corresponding effect Effects 0.000 description 21
- 210000004408 hybridoma Anatomy 0.000 description 21
- 210000004185 liver Anatomy 0.000 description 21
- 239000013598 vector Substances 0.000 description 21
- 238000003556 assay Methods 0.000 description 20
- 210000004369 blood Anatomy 0.000 description 20
- 238000002965 ELISA Methods 0.000 description 19
- 241000699660 Mus musculus Species 0.000 description 19
- 239000003446 ligand Substances 0.000 description 19
- 230000004481 post-translational protein modification Effects 0.000 description 19
- 230000004083 survival effect Effects 0.000 description 19
- 230000008685 targeting Effects 0.000 description 19
- 108091026890 Coding region Proteins 0.000 description 18
- 241000699666 Mus <mouse, genus> Species 0.000 description 18
- 239000003795 chemical substances by application Substances 0.000 description 18
- 229920001542 oligosaccharide Polymers 0.000 description 18
- 150000002482 oligosaccharides Chemical class 0.000 description 18
- 238000012217 deletion Methods 0.000 description 16
- 230000037430 deletion Effects 0.000 description 16
- 229940116977 epidermal growth factor Drugs 0.000 description 16
- 238000011081 inoculation Methods 0.000 description 16
- 239000002773 nucleotide Substances 0.000 description 16
- 125000003729 nucleotide group Chemical group 0.000 description 16
- 238000004519 manufacturing process Methods 0.000 description 15
- 239000000047 product Substances 0.000 description 15
- 230000014616 translation Effects 0.000 description 15
- 238000013519 translation Methods 0.000 description 15
- 210000004881 tumor cell Anatomy 0.000 description 15
- 108020004705 Codon Proteins 0.000 description 14
- 230000000259 anti-tumor effect Effects 0.000 description 14
- 230000000295 complement effect Effects 0.000 description 14
- 238000002474 experimental method Methods 0.000 description 14
- 230000003463 hyperproliferative effect Effects 0.000 description 14
- 108020004999 messenger RNA Proteins 0.000 description 14
- 239000013615 primer Substances 0.000 description 14
- 239000000243 solution Substances 0.000 description 14
- 108010076504 Protein Sorting Signals Proteins 0.000 description 13
- 238000010521 absorption reaction Methods 0.000 description 13
- 230000002829 reductive effect Effects 0.000 description 13
- 238000005406 washing Methods 0.000 description 13
- 108060003951 Immunoglobulin Proteins 0.000 description 12
- 238000005516 engineering process Methods 0.000 description 12
- 102000018358 immunoglobulin Human genes 0.000 description 12
- 238000007917 intracranial administration Methods 0.000 description 12
- 230000008774 maternal effect Effects 0.000 description 12
- VBEQCZHXXJYVRD-GACYYNSASA-N uroanthelone Chemical compound C([C@@H](C(=O)N[C@H](C(=O)N[C@@H](CS)C(=O)N[C@@H](CC(N)=O)C(=O)N[C@@H](CS)C(=O)N[C@H](C(=O)N[C@@H]([C@@H](C)CC)C(=O)NCC(=O)N[C@@H](CC=1C=CC(O)=CC=1)C(=O)N[C@@H](CO)C(=O)NCC(=O)N[C@@H](CC(O)=O)C(=O)N[C@@H](CCCNC(N)=N)C(=O)N[C@@H](CS)C(=O)N[C@@H](CCC(N)=O)C(=O)N[C@@H]([C@@H](C)O)C(=O)N[C@@H](CCCNC(N)=N)C(=O)N[C@@H](CC(O)=O)C(=O)N[C@@H](CC(C)C)C(=O)N[C@@H](CCCNC(N)=N)C(=O)N[C@@H](CC=1C2=CC=CC=C2NC=1)C(=O)N[C@@H](CC=1C2=CC=CC=C2NC=1)C(=O)N[C@@H](CCC(O)=O)C(=O)N[C@@H](CC(C)C)C(=O)N[C@@H](CCCNC(N)=N)C(O)=O)C(C)C)[C@@H](C)O)NC(=O)[C@H](CO)NC(=O)[C@H](CC(O)=O)NC(=O)[C@H](CC(C)C)NC(=O)[C@H](CO)NC(=O)[C@H](CCC(O)=O)NC(=O)[C@@H](NC(=O)[C@H](CC=1NC=NC=1)NC(=O)[C@H](CCSC)NC(=O)[C@H](CS)NC(=O)[C@@H](NC(=O)CNC(=O)CNC(=O)[C@H](CC(N)=O)NC(=O)[C@H](CC(C)C)NC(=O)[C@H](CS)NC(=O)[C@H](CC=1C=CC(O)=CC=1)NC(=O)CNC(=O)[C@H](CC(O)=O)NC(=O)[C@H](CC=1C=CC(O)=CC=1)NC(=O)[C@H](CO)NC(=O)[C@H](CO)NC(=O)[C@H]1N(CCC1)C(=O)[C@H](CS)NC(=O)CNC(=O)[C@H]1N(CCC1)C(=O)[C@H](CC=1C=CC(O)=CC=1)NC(=O)[C@H](CO)NC(=O)[C@@H](N)CC(N)=O)C(C)C)[C@@H](C)CC)C1=CC=C(O)C=C1 VBEQCZHXXJYVRD-GACYYNSASA-N 0.000 description 12
- 208000003174 Brain Neoplasms Diseases 0.000 description 11
- 239000004480 active ingredient Substances 0.000 description 11
- 239000002609 medium Substances 0.000 description 11
- 238000002360 preparation method Methods 0.000 description 11
- 208000026310 Breast neoplasm Diseases 0.000 description 10
- 102000053642 Catalytic RNA Human genes 0.000 description 10
- 108090000994 Catalytic RNA Proteins 0.000 description 10
- 230000004544 DNA amplification Effects 0.000 description 10
- DHMQDGOQFOQNFH-UHFFFAOYSA-N Glycine Chemical compound NCC(O)=O DHMQDGOQFOQNFH-UHFFFAOYSA-N 0.000 description 10
- 102000003886 Glycoproteins Human genes 0.000 description 10
- 108090000288 Glycoproteins Proteins 0.000 description 10
- 206010028851 Necrosis Diseases 0.000 description 10
- 210000004556 brain Anatomy 0.000 description 10
- 210000004899 c-terminal region Anatomy 0.000 description 10
- 238000003364 immunohistochemistry Methods 0.000 description 10
- 238000001114 immunoprecipitation Methods 0.000 description 10
- 238000000338 in vitro Methods 0.000 description 10
- 230000004807 localization Effects 0.000 description 10
- 230000001404 mediated effect Effects 0.000 description 10
- 230000017074 necrotic cell death Effects 0.000 description 10
- 108091092562 ribozyme Proteins 0.000 description 10
- 210000002966 serum Anatomy 0.000 description 10
- 238000012360 testing method Methods 0.000 description 10
- 102000004190 Enzymes Human genes 0.000 description 9
- 108090000790 Enzymes Proteins 0.000 description 9
- PEDCQBHIVMGVHV-UHFFFAOYSA-N Glycerine Chemical compound OCC(O)CO PEDCQBHIVMGVHV-UHFFFAOYSA-N 0.000 description 9
- FAPWRFPIFSIZLT-UHFFFAOYSA-M Sodium chloride Chemical compound [Na+].[Cl-] FAPWRFPIFSIZLT-UHFFFAOYSA-M 0.000 description 9
- 230000001594 aberrant effect Effects 0.000 description 9
- 230000006907 apoptotic process Effects 0.000 description 9
- 231100000673 dose–response relationship Toxicity 0.000 description 9
- 229940088598 enzyme Drugs 0.000 description 9
- 230000009036 growth inhibition Effects 0.000 description 9
- 239000007788 liquid Substances 0.000 description 9
- 239000006166 lysate Substances 0.000 description 9
- 238000005259 measurement Methods 0.000 description 9
- 210000003739 neck Anatomy 0.000 description 9
- 230000002018 overexpression Effects 0.000 description 9
- 238000006366 phosphorylation reaction Methods 0.000 description 9
- 238000011363 radioimmunotherapy Methods 0.000 description 9
- 238000011160 research Methods 0.000 description 9
- AOJJSUZBOXZQNB-TZSSRYMLSA-N Doxorubicin Chemical compound O([C@H]1C[C@@](O)(CC=2C(O)=C3C(=O)C=4C=CC=C(C=4C(=O)C3=C(O)C=21)OC)C(=O)CO)[C@H]1C[C@H](N)[C@H](O)[C@H](C)O1 AOJJSUZBOXZQNB-TZSSRYMLSA-N 0.000 description 8
- 239000006144 Dulbecco’s modified Eagle's medium Substances 0.000 description 8
- 102400001368 Epidermal growth factor Human genes 0.000 description 8
- 101800003838 Epidermal growth factor Proteins 0.000 description 8
- LYCAIKOWRPUZTN-UHFFFAOYSA-N Ethylene glycol Chemical compound OCCO LYCAIKOWRPUZTN-UHFFFAOYSA-N 0.000 description 8
- 108091006905 Human Serum Albumin Proteins 0.000 description 8
- 102000008100 Human Serum Albumin Human genes 0.000 description 8
- 235000014633 carbohydrates Nutrition 0.000 description 8
- 230000007423 decrease Effects 0.000 description 8
- 210000002472 endoplasmic reticulum Anatomy 0.000 description 8
- 230000006870 function Effects 0.000 description 8
- 230000002163 immunogen Effects 0.000 description 8
- 230000005764 inhibitory process Effects 0.000 description 8
- 239000012528 membrane Substances 0.000 description 8
- 231100000590 oncogenic Toxicity 0.000 description 8
- 230000002246 oncogenic effect Effects 0.000 description 8
- 230000026731 phosphorylation Effects 0.000 description 8
- 238000013391 scatchard analysis Methods 0.000 description 8
- 241000894007 species Species 0.000 description 8
- 238000013518 transcription Methods 0.000 description 8
- 230000035897 transcription Effects 0.000 description 8
- 230000000381 tumorigenic effect Effects 0.000 description 8
- 238000001262 western blot Methods 0.000 description 8
- 108091032973 (ribonucleotides)n+m Proteins 0.000 description 7
- CSCPPACGZOOCGX-UHFFFAOYSA-N Acetone Chemical class CC(C)=O CSCPPACGZOOCGX-UHFFFAOYSA-N 0.000 description 7
- 238000009175 antibody therapy Methods 0.000 description 7
- 230000001580 bacterial effect Effects 0.000 description 7
- 102000055104 bcl-X Human genes 0.000 description 7
- 108700000711 bcl-X Proteins 0.000 description 7
- 230000015572 biosynthetic process Effects 0.000 description 7
- 239000000872 buffer Substances 0.000 description 7
- 150000001720 carbohydrates Chemical class 0.000 description 7
- 210000003527 eukaryotic cell Anatomy 0.000 description 7
- 238000000684 flow cytometry Methods 0.000 description 7
- 239000010931 gold Substances 0.000 description 7
- 238000009396 hybridization Methods 0.000 description 7
- 238000003384 imaging method Methods 0.000 description 7
- 238000003119 immunoblot Methods 0.000 description 7
- 238000002372 labelling Methods 0.000 description 7
- 230000000670 limiting effect Effects 0.000 description 7
- 210000000056 organ Anatomy 0.000 description 7
- 230000035755 proliferation Effects 0.000 description 7
- 238000002741 site-directed mutagenesis Methods 0.000 description 7
- 238000002415 sodium dodecyl sulfate polyacrylamide gel electrophoresis Methods 0.000 description 7
- 239000007787 solid Substances 0.000 description 7
- 206010041823 squamous cell carcinoma Diseases 0.000 description 7
- 239000003053 toxin Substances 0.000 description 7
- 238000002054 transplantation Methods 0.000 description 7
- PZINFSHCXYXHOY-UHFFFAOYSA-N (2,5-dioxopyrrolidin-1-yl) 5-iodopyridine-3-carboxylate Chemical compound IC1=CN=CC(C(=O)ON2C(CCC2=O)=O)=C1 PZINFSHCXYXHOY-UHFFFAOYSA-N 0.000 description 6
- MTCFGRXMJLQNBG-REOHCLBHSA-N (2S)-2-Amino-3-hydroxypropansäure Chemical compound OC[C@H](N)C(O)=O MTCFGRXMJLQNBG-REOHCLBHSA-N 0.000 description 6
- QTBSBXVTEAMEQO-UHFFFAOYSA-N Acetic acid Chemical compound CC(O)=O QTBSBXVTEAMEQO-UHFFFAOYSA-N 0.000 description 6
- 238000011729 BALB/c nude mouse Methods 0.000 description 6
- 206010006187 Breast cancer Diseases 0.000 description 6
- 241000283707 Capra Species 0.000 description 6
- WQZGKKKJIJFFOK-GASJEMHNSA-N Glucose Natural products OC[C@H]1OC(O)[C@H](O)[C@@H](O)[C@@H]1O WQZGKKKJIJFFOK-GASJEMHNSA-N 0.000 description 6
- WZUVPPKBWHMQCE-UHFFFAOYSA-N Haematoxylin Chemical compound C12=CC(O)=C(O)C=C2CC2(O)C1C1=CC=C(O)C(O)=C1OC2 WZUVPPKBWHMQCE-UHFFFAOYSA-N 0.000 description 6
- 241001529936 Murinae Species 0.000 description 6
- DNIAPMSPPWPWGF-UHFFFAOYSA-N Propylene glycol Chemical compound CC(O)CO DNIAPMSPPWPWGF-UHFFFAOYSA-N 0.000 description 6
- 108060008682 Tumor Necrosis Factor Proteins 0.000 description 6
- 239000002671 adjuvant Substances 0.000 description 6
- 230000000692 anti-sense effect Effects 0.000 description 6
- 239000013592 cell lysate Substances 0.000 description 6
- 238000006243 chemical reaction Methods 0.000 description 6
- DQLATGHUWYMOKM-UHFFFAOYSA-L cisplatin Chemical compound N[Pt](N)(Cl)Cl DQLATGHUWYMOKM-UHFFFAOYSA-L 0.000 description 6
- 229960004316 cisplatin Drugs 0.000 description 6
- 239000000499 gel Substances 0.000 description 6
- 208000014829 head and neck neoplasm Diseases 0.000 description 6
- 230000003053 immunization Effects 0.000 description 6
- APFVFJFRJDLVQX-AHCXROLUSA-N indium-111 Chemical compound [111In] APFVFJFRJDLVQX-AHCXROLUSA-N 0.000 description 6
- 210000003712 lysosome Anatomy 0.000 description 6
- 230000001868 lysosomic effect Effects 0.000 description 6
- -1 mannose carbohydrates Chemical class 0.000 description 6
- 230000001338 necrotic effect Effects 0.000 description 6
- 239000002245 particle Substances 0.000 description 6
- 238000002823 phage display Methods 0.000 description 6
- 108010005636 polypeptide C Proteins 0.000 description 6
- 210000003491 skin Anatomy 0.000 description 6
- 239000000758 substrate Substances 0.000 description 6
- 230000009885 systemic effect Effects 0.000 description 6
- 229940124597 therapeutic agent Drugs 0.000 description 6
- 231100000765 toxin Toxicity 0.000 description 6
- 108700012359 toxins Proteins 0.000 description 6
- 102000003390 tumor necrosis factor Human genes 0.000 description 6
- 231100000588 tumorigenic Toxicity 0.000 description 6
- XLYOFNOQVPJJNP-UHFFFAOYSA-N water Substances O XLYOFNOQVPJJNP-UHFFFAOYSA-N 0.000 description 6
- 238000012413 Fluorescence activated cell sorting analysis Methods 0.000 description 5
- 239000004471 Glycine Substances 0.000 description 5
- XUJNEKJLAYXESH-REOHCLBHSA-N L-Cysteine Chemical compound SC[C@H](N)C(O)=O XUJNEKJLAYXESH-REOHCLBHSA-N 0.000 description 5
- 206010058467 Lung neoplasm malignant Diseases 0.000 description 5
- 108091034117 Oligonucleotide Proteins 0.000 description 5
- 108091000080 Phosphotransferase Proteins 0.000 description 5
- 206010035226 Plasma cell myeloma Diseases 0.000 description 5
- 206010060862 Prostate cancer Diseases 0.000 description 5
- 208000000236 Prostatic Neoplasms Diseases 0.000 description 5
- 239000008156 Ringer's lactate solution Substances 0.000 description 5
- 241000700605 Viruses Species 0.000 description 5
- 230000001640 apoptogenic effect Effects 0.000 description 5
- WQZGKKKJIJFFOK-VFUOTHLCSA-N beta-D-glucose Chemical compound OC[C@H]1O[C@@H](O)[C@H](O)[C@@H](O)[C@@H]1O WQZGKKKJIJFFOK-VFUOTHLCSA-N 0.000 description 5
- 210000000481 breast Anatomy 0.000 description 5
- 230000008859 change Effects 0.000 description 5
- 238000012512 characterization method Methods 0.000 description 5
- 238000010367 cloning Methods 0.000 description 5
- 238000002591 computed tomography Methods 0.000 description 5
- 238000004925 denaturation Methods 0.000 description 5
- 230000036425 denaturation Effects 0.000 description 5
- 230000029087 digestion Effects 0.000 description 5
- 238000011156 evaluation Methods 0.000 description 5
- 230000004927 fusion Effects 0.000 description 5
- PCHJSUWPFVWCPO-UHFFFAOYSA-N gold Chemical compound [Au] PCHJSUWPFVWCPO-UHFFFAOYSA-N 0.000 description 5
- 229910052737 gold Inorganic materials 0.000 description 5
- 238000002991 immunohistochemical analysis Methods 0.000 description 5
- 239000012133 immunoprecipitate Substances 0.000 description 5
- 230000000977 initiatory effect Effects 0.000 description 5
- 230000002601 intratumoral effect Effects 0.000 description 5
- 230000003902 lesion Effects 0.000 description 5
- 210000004072 lung Anatomy 0.000 description 5
- 210000002540 macrophage Anatomy 0.000 description 5
- 201000000050 myeloid neoplasm Diseases 0.000 description 5
- 239000012188 paraffin wax Substances 0.000 description 5
- 102000020233 phosphotransferase Human genes 0.000 description 5
- 239000013641 positive control Substances 0.000 description 5
- 230000008569 process Effects 0.000 description 5
- 230000001105 regulatory effect Effects 0.000 description 5
- 230000004043 responsiveness Effects 0.000 description 5
- 150000003839 salts Chemical class 0.000 description 5
- 238000002603 single-photon emission computed tomography Methods 0.000 description 5
- 239000011780 sodium chloride Substances 0.000 description 5
- 238000003786 synthesis reaction Methods 0.000 description 5
- 238000001890 transfection Methods 0.000 description 5
- YBJHBAHKTGYVGT-ZKWXMUAHSA-N (+)-Biotin Chemical group N1C(=O)N[C@@H]2[C@H](CCCCC(=O)O)SC[C@@H]21 YBJHBAHKTGYVGT-ZKWXMUAHSA-N 0.000 description 4
- NFGXHKASABOEEW-UHFFFAOYSA-N 1-methylethyl 11-methoxy-3,7,11-trimethyl-2,4-dodecadienoate Chemical compound COC(C)(C)CCCC(C)CC=CC(C)=CC(=O)OC(C)C NFGXHKASABOEEW-UHFFFAOYSA-N 0.000 description 4
- 108010032595 Antibody Binding Sites Proteins 0.000 description 4
- IJGRMHOSHXDMSA-UHFFFAOYSA-N Atomic nitrogen Chemical compound N#N IJGRMHOSHXDMSA-UHFFFAOYSA-N 0.000 description 4
- 238000011537 Coomassie blue staining Methods 0.000 description 4
- KCXVZYZYPLLWCC-UHFFFAOYSA-N EDTA Chemical compound OC(=O)CN(CC(O)=O)CCN(CC(O)=O)CC(O)=O KCXVZYZYPLLWCC-UHFFFAOYSA-N 0.000 description 4
- WSFSSNUMVMOOMR-UHFFFAOYSA-N Formaldehyde Chemical compound O=C WSFSSNUMVMOOMR-UHFFFAOYSA-N 0.000 description 4
- 108010010803 Gelatin Proteins 0.000 description 4
- 108010001336 Horseradish Peroxidase Proteins 0.000 description 4
- MHAJPDPJQMAIIY-UHFFFAOYSA-N Hydrogen peroxide Chemical compound OO MHAJPDPJQMAIIY-UHFFFAOYSA-N 0.000 description 4
- CKLJMWTZIZZHCS-REOHCLBHSA-N L-aspartic acid Chemical compound OC(=O)[C@@H](N)CC(O)=O CKLJMWTZIZZHCS-REOHCLBHSA-N 0.000 description 4
- KDXKERNSBIXSRK-YFKPBYRVSA-N L-lysine Chemical compound NCCCC[C@H](N)C(O)=O KDXKERNSBIXSRK-YFKPBYRVSA-N 0.000 description 4
- OUYCCCASQSFEME-QMMMGPOBSA-N L-tyrosine Chemical compound OC(=O)[C@@H](N)CC1=CC=C(O)C=C1 OUYCCCASQSFEME-QMMMGPOBSA-N 0.000 description 4
- KDXKERNSBIXSRK-UHFFFAOYSA-N Lysine Natural products NCCCCC(N)C(O)=O KDXKERNSBIXSRK-UHFFFAOYSA-N 0.000 description 4
- 239000004472 Lysine Substances 0.000 description 4
- OVRNDRQMDRJTHS-UHFFFAOYSA-N N-acelyl-D-glucosamine Natural products CC(=O)NC1C(O)OC(CO)C(O)C1O OVRNDRQMDRJTHS-UHFFFAOYSA-N 0.000 description 4
- OVRNDRQMDRJTHS-FMDGEEDCSA-N N-acetyl-beta-D-glucosamine Chemical compound CC(=O)N[C@H]1[C@H](O)O[C@H](CO)[C@@H](O)[C@@H]1O OVRNDRQMDRJTHS-FMDGEEDCSA-N 0.000 description 4
- MBLBDJOUHNCFQT-LXGUWJNJSA-N N-acetylglucosamine Natural products CC(=O)N[C@@H](C=O)[C@@H](O)[C@H](O)[C@H](O)CO MBLBDJOUHNCFQT-LXGUWJNJSA-N 0.000 description 4
- 241000283973 Oryctolagus cuniculus Species 0.000 description 4
- 241000700159 Rattus Species 0.000 description 4
- 102000007562 Serum Albumin Human genes 0.000 description 4
- 108010071390 Serum Albumin Proteins 0.000 description 4
- 108010090804 Streptavidin Proteins 0.000 description 4
- 238000000692 Student's t-test Methods 0.000 description 4
- 239000007983 Tris buffer Substances 0.000 description 4
- 230000004075 alteration Effects 0.000 description 4
- 230000033115 angiogenesis Effects 0.000 description 4
- 238000013459 approach Methods 0.000 description 4
- 230000035578 autophosphorylation Effects 0.000 description 4
- OHDRQQURAXLVGJ-HLVWOLMTSA-N azane;(2e)-3-ethyl-2-[(e)-(3-ethyl-6-sulfo-1,3-benzothiazol-2-ylidene)hydrazinylidene]-1,3-benzothiazole-6-sulfonic acid Chemical compound [NH4+].[NH4+].S/1C2=CC(S([O-])(=O)=O)=CC=C2N(CC)C\1=N/N=C1/SC2=CC(S([O-])(=O)=O)=CC=C2N1CC OHDRQQURAXLVGJ-HLVWOLMTSA-N 0.000 description 4
- 230000008901 benefit Effects 0.000 description 4
- 229960002685 biotin Drugs 0.000 description 4
- 239000011616 biotin Substances 0.000 description 4
- BMLSTPRTEKLIPM-UHFFFAOYSA-I calcium;potassium;disodium;hydrogen carbonate;dichloride;dihydroxide;hydrate Chemical compound O.[OH-].[OH-].[Na+].[Na+].[Cl-].[Cl-].[K+].[Ca+2].OC([O-])=O BMLSTPRTEKLIPM-UHFFFAOYSA-I 0.000 description 4
- 125000003178 carboxy group Chemical group [H]OC(*)=O 0.000 description 4
- 230000015556 catabolic process Effects 0.000 description 4
- 230000003833 cell viability Effects 0.000 description 4
- 210000000349 chromosome Anatomy 0.000 description 4
- 238000002648 combination therapy Methods 0.000 description 4
- OPTASPLRGRRNAP-UHFFFAOYSA-N cytosine Chemical compound NC=1C=CNC(=O)N=1 OPTASPLRGRRNAP-UHFFFAOYSA-N 0.000 description 4
- 230000002950 deficient Effects 0.000 description 4
- 230000001419 dependent effect Effects 0.000 description 4
- 229960004679 doxorubicin Drugs 0.000 description 4
- 230000009977 dual effect Effects 0.000 description 4
- 108010087914 epidermal growth factor receptor VIII Proteins 0.000 description 4
- 239000013604 expression vector Substances 0.000 description 4
- 210000002950 fibroblast Anatomy 0.000 description 4
- 239000008273 gelatin Substances 0.000 description 4
- 229920000159 gelatin Polymers 0.000 description 4
- 235000019322 gelatine Nutrition 0.000 description 4
- 235000011852 gelatine desserts Nutrition 0.000 description 4
- BRZYSWJRSDMWLG-CAXSIQPQSA-N geneticin Chemical compound O1C[C@@](O)(C)[C@H](NC)[C@@H](O)[C@H]1O[C@@H]1[C@@H](O)[C@H](O[C@@H]2[C@@H]([C@@H](O)[C@H](O)[C@@H](C(C)O)O2)N)[C@@H](N)C[C@H]1N BRZYSWJRSDMWLG-CAXSIQPQSA-N 0.000 description 4
- 210000002288 golgi apparatus Anatomy 0.000 description 4
- 201000010536 head and neck cancer Diseases 0.000 description 4
- 238000002649 immunization Methods 0.000 description 4
- 238000012744 immunostaining Methods 0.000 description 4
- 230000001976 improved effect Effects 0.000 description 4
- 230000001939 inductive effect Effects 0.000 description 4
- XEEYBQQBJWHFJM-UHFFFAOYSA-N iron Substances [Fe] XEEYBQQBJWHFJM-UHFFFAOYSA-N 0.000 description 4
- 210000003734 kidney Anatomy 0.000 description 4
- 239000012139 lysis buffer Substances 0.000 description 4
- 210000004962 mammalian cell Anatomy 0.000 description 4
- 229950006780 n-acetylglucosamine Drugs 0.000 description 4
- 210000004940 nucleus Anatomy 0.000 description 4
- 239000000546 pharmaceutical excipient Substances 0.000 description 4
- 210000001236 prokaryotic cell Anatomy 0.000 description 4
- 230000002035 prolonged effect Effects 0.000 description 4
- 230000004044 response Effects 0.000 description 4
- 238000003757 reverse transcription PCR Methods 0.000 description 4
- 230000011664 signaling Effects 0.000 description 4
- 239000003381 stabilizer Substances 0.000 description 4
- 239000006228 supernatant Substances 0.000 description 4
- 239000003826 tablet Substances 0.000 description 4
- 230000001131 transforming effect Effects 0.000 description 4
- LENZDBCJOHFCAS-UHFFFAOYSA-N tris Chemical compound OCC(N)(CO)CO LENZDBCJOHFCAS-UHFFFAOYSA-N 0.000 description 4
- OUYCCCASQSFEME-UHFFFAOYSA-N tyrosine Natural products OC(=O)C(N)CC1=CC=C(O)C=C1 OUYCCCASQSFEME-UHFFFAOYSA-N 0.000 description 4
- JKMHFZQWWAIEOD-UHFFFAOYSA-N 2-[4-(2-hydroxyethyl)piperazin-1-yl]ethanesulfonic acid Chemical compound OCC[NH+]1CCN(CCS([O-])(=O)=O)CC1 JKMHFZQWWAIEOD-UHFFFAOYSA-N 0.000 description 3
- 201000009030 Carcinoma Diseases 0.000 description 3
- 108091035707 Consensus sequence Proteins 0.000 description 3
- 102000004163 DNA-directed RNA polymerases Human genes 0.000 description 3
- 108090000626 DNA-directed RNA polymerases Proteins 0.000 description 3
- 238000012286 ELISA Assay Methods 0.000 description 3
- LFQSCWFLJHTTHZ-UHFFFAOYSA-N Ethanol Chemical compound CCO LFQSCWFLJHTTHZ-UHFFFAOYSA-N 0.000 description 3
- GHASVSINZRGABV-UHFFFAOYSA-N Fluorouracil Chemical compound FC1=CNC(=O)NC1=O GHASVSINZRGABV-UHFFFAOYSA-N 0.000 description 3
- 239000007995 HEPES buffer Substances 0.000 description 3
- 108010054477 Immunoglobulin Fab Fragments Proteins 0.000 description 3
- 102000001706 Immunoglobulin Fab Fragments Human genes 0.000 description 3
- 108010021625 Immunoglobulin Fragments Proteins 0.000 description 3
- 102000008394 Immunoglobulin Fragments Human genes 0.000 description 3
- ZDXPYRJPNDTMRX-VKHMYHEASA-N L-glutamine Chemical compound OC(=O)[C@@H](N)CCC(N)=O ZDXPYRJPNDTMRX-VKHMYHEASA-N 0.000 description 3
- FFEARJCKVFRZRR-BYPYZUCNSA-N L-methionine Chemical compound CSCC[C@H](N)C(O)=O FFEARJCKVFRZRR-BYPYZUCNSA-N 0.000 description 3
- AYFVYJQAPQTCCC-GBXIJSLDSA-N L-threonine Chemical compound C[C@@H](O)[C@H](N)C(O)=O AYFVYJQAPQTCCC-GBXIJSLDSA-N 0.000 description 3
- 108060001084 Luciferase Proteins 0.000 description 3
- OKKJLVBELUTLKV-UHFFFAOYSA-N Methanol Chemical compound OC OKKJLVBELUTLKV-UHFFFAOYSA-N 0.000 description 3
- 108700020796 Oncogene Proteins 0.000 description 3
- MUBZPKHOEPUJKR-UHFFFAOYSA-N Oxalic acid Chemical compound OC(=O)C(O)=O MUBZPKHOEPUJKR-UHFFFAOYSA-N 0.000 description 3
- 239000002202 Polyethylene glycol Substances 0.000 description 3
- KWYUFKZDYYNOTN-UHFFFAOYSA-M Potassium hydroxide Chemical compound [OH-].[K+] KWYUFKZDYYNOTN-UHFFFAOYSA-M 0.000 description 3
- 208000006994 Precancerous Conditions Diseases 0.000 description 3
- 108010029485 Protein Isoforms Proteins 0.000 description 3
- 102000001708 Protein Isoforms Human genes 0.000 description 3
- HEMHJVSKTPXQMS-UHFFFAOYSA-M Sodium hydroxide Chemical compound [OH-].[Na+] HEMHJVSKTPXQMS-UHFFFAOYSA-M 0.000 description 3
- 108091081024 Start codon Proteins 0.000 description 3
- 239000013504 Triton X-100 Substances 0.000 description 3
- 229920004890 Triton X-100 Polymers 0.000 description 3
- 230000010056 antibody-dependent cellular cytotoxicity Effects 0.000 description 3
- 230000003190 augmentative effect Effects 0.000 description 3
- 230000000903 blocking effect Effects 0.000 description 3
- 210000004204 blood vessel Anatomy 0.000 description 3
- 230000001413 cellular effect Effects 0.000 description 3
- 210000004978 chinese hamster ovary cell Anatomy 0.000 description 3
- 230000002759 chromosomal effect Effects 0.000 description 3
- 230000002860 competitive effect Effects 0.000 description 3
- 239000002299 complementary DNA Substances 0.000 description 3
- 230000001268 conjugating effect Effects 0.000 description 3
- 238000010276 construction Methods 0.000 description 3
- XUJNEKJLAYXESH-UHFFFAOYSA-N cysteine Natural products SCC(N)C(O)=O XUJNEKJLAYXESH-UHFFFAOYSA-N 0.000 description 3
- 235000018417 cysteine Nutrition 0.000 description 3
- 230000006378 damage Effects 0.000 description 3
- 230000003247 decreasing effect Effects 0.000 description 3
- 238000011161 development Methods 0.000 description 3
- 239000008121 dextrose Substances 0.000 description 3
- 238000002405 diagnostic procedure Methods 0.000 description 3
- 238000010790 dilution Methods 0.000 description 3
- 239000012895 dilution Substances 0.000 description 3
- 239000012636 effector Substances 0.000 description 3
- 238000001493 electron microscopy Methods 0.000 description 3
- 239000010408 film Substances 0.000 description 3
- GNBHRKFJIUUOQI-UHFFFAOYSA-N fluorescein Chemical compound O1C(=O)C2=CC=CC=C2C21C1=CC=C(O)C=C1OC1=CC(O)=CC=C21 GNBHRKFJIUUOQI-UHFFFAOYSA-N 0.000 description 3
- 229960002949 fluorouracil Drugs 0.000 description 3
- 239000008103 glucose Substances 0.000 description 3
- ZDXPYRJPNDTMRX-UHFFFAOYSA-N glutamine Natural products OC(=O)C(N)CCC(N)=O ZDXPYRJPNDTMRX-UHFFFAOYSA-N 0.000 description 3
- 238000010438 heat treatment Methods 0.000 description 3
- 239000005556 hormone Substances 0.000 description 3
- 229940088597 hormone Drugs 0.000 description 3
- 238000010191 image analysis Methods 0.000 description 3
- YLMAHDNUQAMNNX-UHFFFAOYSA-N imatinib methanesulfonate Chemical compound CS(O)(=O)=O.C1CN(C)CCN1CC1=CC=C(C(=O)NC=2C=C(NC=3N=C(C=CN=3)C=3C=NC=CC=3)C(C)=CC=2)C=C1 YLMAHDNUQAMNNX-UHFFFAOYSA-N 0.000 description 3
- 230000028993 immune response Effects 0.000 description 3
- 230000000984 immunochemical effect Effects 0.000 description 3
- 230000005917 in vivo anti-tumor Effects 0.000 description 3
- 238000010253 intravenous injection Methods 0.000 description 3
- 230000026045 iodination Effects 0.000 description 3
- 238000006192 iodination reaction Methods 0.000 description 3
- 201000005296 lung carcinoma Diseases 0.000 description 3
- 208000020816 lung neoplasm Diseases 0.000 description 3
- 238000012423 maintenance Methods 0.000 description 3
- 238000013507 mapping Methods 0.000 description 3
- 239000000463 material Substances 0.000 description 3
- 230000007246 mechanism Effects 0.000 description 3
- 230000001394 metastastic effect Effects 0.000 description 3
- 206010061289 metastatic neoplasm Diseases 0.000 description 3
- 229960004452 methionine Drugs 0.000 description 3
- 230000003278 mimic effect Effects 0.000 description 3
- 210000000822 natural killer cell Anatomy 0.000 description 3
- 102000013415 peroxidase activity proteins Human genes 0.000 description 3
- 108040007629 peroxidase activity proteins Proteins 0.000 description 3
- 230000008488 polyadenylation Effects 0.000 description 3
- 229920001223 polyethylene glycol Polymers 0.000 description 3
- 238000012545 processing Methods 0.000 description 3
- 230000002062 proliferating effect Effects 0.000 description 3
- 238000000746 purification Methods 0.000 description 3
- 238000001959 radiotherapy Methods 0.000 description 3
- 230000009467 reduction Effects 0.000 description 3
- 108091008146 restriction endonucleases Proteins 0.000 description 3
- 238000013207 serial dilution Methods 0.000 description 3
- 239000011734 sodium Substances 0.000 description 3
- 210000000952 spleen Anatomy 0.000 description 3
- 238000010561 standard procedure Methods 0.000 description 3
- 238000007619 statistical method Methods 0.000 description 3
- 230000005747 tumor angiogenesis Effects 0.000 description 3
- 230000004614 tumor growth Effects 0.000 description 3
- 238000011725 BALB/c mouse Methods 0.000 description 2
- DLGOEMSEDOSKAD-UHFFFAOYSA-N Carmustine Chemical compound ClCCNC(=O)N(N=O)CCCl DLGOEMSEDOSKAD-UHFFFAOYSA-N 0.000 description 2
- CMSMOCZEIVJLDB-UHFFFAOYSA-N Cyclophosphamide Chemical compound ClCCN(CCCl)P1(=O)NCCCO1 CMSMOCZEIVJLDB-UHFFFAOYSA-N 0.000 description 2
- UHDGCWIWMRVCDJ-CCXZUQQUSA-N Cytarabine Chemical compound O=C1N=C(N)C=CN1[C@H]1[C@@H](O)[C@H](O)[C@@H](CO)O1 UHDGCWIWMRVCDJ-CCXZUQQUSA-N 0.000 description 2
- 102000004127 Cytokines Human genes 0.000 description 2
- 108090000695 Cytokines Proteins 0.000 description 2
- 230000004543 DNA replication Effects 0.000 description 2
- 241000196324 Embryophyta Species 0.000 description 2
- 108700024394 Exon Proteins 0.000 description 2
- ZHNUHDYFZUAESO-UHFFFAOYSA-N Formamide Chemical compound NC=O ZHNUHDYFZUAESO-UHFFFAOYSA-N 0.000 description 2
- SXRSQZLOMIGNAQ-UHFFFAOYSA-N Glutaraldehyde Chemical compound O=CCCCC=O SXRSQZLOMIGNAQ-UHFFFAOYSA-N 0.000 description 2
- 241000282412 Homo Species 0.000 description 2
- VEXZGXHMUGYJMC-UHFFFAOYSA-N Hydrochloric acid Chemical compound Cl VEXZGXHMUGYJMC-UHFFFAOYSA-N 0.000 description 2
- DGAQECJNVWCQMB-PUAWFVPOSA-M Ilexoside XXIX Chemical compound C[C@@H]1CC[C@@]2(CC[C@@]3(C(=CC[C@H]4[C@]3(CC[C@@H]5[C@@]4(CC[C@@H](C5(C)C)OS(=O)(=O)[O-])C)C)[C@@H]2[C@]1(C)O)C)C(=O)O[C@H]6[C@@H]([C@H]([C@@H]([C@H](O6)CO)O)O)O.[Na+] DGAQECJNVWCQMB-PUAWFVPOSA-M 0.000 description 2
- 102000006496 Immunoglobulin Heavy Chains Human genes 0.000 description 2
- 108010019476 Immunoglobulin Heavy Chains Proteins 0.000 description 2
- 102000015696 Interleukins Human genes 0.000 description 2
- 108010063738 Interleukins Proteins 0.000 description 2
- DCXYFEDJOCDNAF-REOHCLBHSA-N L-asparagine Chemical compound OC(=O)[C@@H](N)CC(N)=O DCXYFEDJOCDNAF-REOHCLBHSA-N 0.000 description 2
- HNDVDQJCIGZPNO-YFKPBYRVSA-N L-histidine Chemical compound OC(=O)[C@@H](N)CC1=CN=CN1 HNDVDQJCIGZPNO-YFKPBYRVSA-N 0.000 description 2
- COLNVLDHVKWLRT-QMMMGPOBSA-N L-phenylalanine Chemical compound OC(=O)[C@@H](N)CC1=CC=CC=C1 COLNVLDHVKWLRT-QMMMGPOBSA-N 0.000 description 2
- QIVBCDIJIAJPQS-VIFPVBQESA-N L-tryptophane Chemical compound C1=CC=C2C(C[C@H](N)C(O)=O)=CNC2=C1 QIVBCDIJIAJPQS-VIFPVBQESA-N 0.000 description 2
- GDBQQVLCIARPGH-UHFFFAOYSA-N Leupeptin Natural products CC(C)CC(NC(C)=O)C(=O)NC(CC(C)C)C(=O)NC(C=O)CCCN=C(N)N GDBQQVLCIARPGH-UHFFFAOYSA-N 0.000 description 2
- GQYIWUVLTXOXAJ-UHFFFAOYSA-N Lomustine Chemical compound ClCCN(N=O)C(=O)NC1CCCCC1 GQYIWUVLTXOXAJ-UHFFFAOYSA-N 0.000 description 2
- 206010027458 Metastases to lung Diseases 0.000 description 2
- 101710135898 Myc proto-oncogene protein Proteins 0.000 description 2
- 102100038895 Myc proto-oncogene protein Human genes 0.000 description 2
- PXHVJJICTQNCMI-UHFFFAOYSA-N Nickel Chemical compound [Ni] PXHVJJICTQNCMI-UHFFFAOYSA-N 0.000 description 2
- 239000000020 Nitrocellulose Substances 0.000 description 2
- 102000057297 Pepsin A Human genes 0.000 description 2
- 108090000284 Pepsin A Proteins 0.000 description 2
- NBIIXXVUZAFLBC-UHFFFAOYSA-N Phosphoric acid Chemical compound OP(O)(O)=O NBIIXXVUZAFLBC-UHFFFAOYSA-N 0.000 description 2
- 102100024616 Platelet endothelial cell adhesion molecule Human genes 0.000 description 2
- 239000004365 Protease Substances 0.000 description 2
- 102100030086 Receptor tyrosine-protein kinase erbB-2 Human genes 0.000 description 2
- 108091028664 Ribonucleotide Proteins 0.000 description 2
- 229940124639 Selective inhibitor Drugs 0.000 description 2
- 229920002684 Sepharose Polymers 0.000 description 2
- 241000251131 Sphyrna Species 0.000 description 2
- 210000001744 T-lymphocyte Anatomy 0.000 description 2
- BPEGJWRSRHCHSN-UHFFFAOYSA-N Temozolomide Chemical compound O=C1N(C)N=NC2=C(C(N)=O)N=CN21 BPEGJWRSRHCHSN-UHFFFAOYSA-N 0.000 description 2
- 108700009124 Transcription Initiation Site Proteins 0.000 description 2
- 101710150448 Transcriptional regulator Myc Proteins 0.000 description 2
- QIVBCDIJIAJPQS-UHFFFAOYSA-N Tryptophan Natural products C1=CC=C2C(CC(N)C(O)=O)=CNC2=C1 QIVBCDIJIAJPQS-UHFFFAOYSA-N 0.000 description 2
- 241000700618 Vaccinia virus Species 0.000 description 2
- 206010046865 Vaccinia virus infection Diseases 0.000 description 2
- JLCPHMBAVCMARE-UHFFFAOYSA-N [3-[[3-[[3-[[3-[[3-[[3-[[3-[[3-[[3-[[3-[[3-[[5-(2-amino-6-oxo-1H-purin-9-yl)-3-[[3-[[3-[[3-[[3-[[3-[[5-(2-amino-6-oxo-1H-purin-9-yl)-3-[[5-(2-amino-6-oxo-1H-purin-9-yl)-3-hydroxyoxolan-2-yl]methoxy-hydroxyphosphoryl]oxyoxolan-2-yl]methoxy-hydroxyphosphoryl]oxy-5-(5-methyl-2,4-dioxopyrimidin-1-yl)oxolan-2-yl]methoxy-hydroxyphosphoryl]oxy-5-(6-aminopurin-9-yl)oxolan-2-yl]methoxy-hydroxyphosphoryl]oxy-5-(6-aminopurin-9-yl)oxolan-2-yl]methoxy-hydroxyphosphoryl]oxy-5-(6-aminopurin-9-yl)oxolan-2-yl]methoxy-hydroxyphosphoryl]oxy-5-(6-aminopurin-9-yl)oxolan-2-yl]methoxy-hydroxyphosphoryl]oxyoxolan-2-yl]methoxy-hydroxyphosphoryl]oxy-5-(5-methyl-2,4-dioxopyrimidin-1-yl)oxolan-2-yl]methoxy-hydroxyphosphoryl]oxy-5-(4-amino-2-oxopyrimidin-1-yl)oxolan-2-yl]methoxy-hydroxyphosphoryl]oxy-5-(5-methyl-2,4-dioxopyrimidin-1-yl)oxolan-2-yl]methoxy-hydroxyphosphoryl]oxy-5-(5-methyl-2,4-dioxopyrimidin-1-yl)oxolan-2-yl]methoxy-hydroxyphosphoryl]oxy-5-(6-aminopurin-9-yl)oxolan-2-yl]methoxy-hydroxyphosphoryl]oxy-5-(6-aminopurin-9-yl)oxolan-2-yl]methoxy-hydroxyphosphoryl]oxy-5-(4-amino-2-oxopyrimidin-1-yl)oxolan-2-yl]methoxy-hydroxyphosphoryl]oxy-5-(4-amino-2-oxopyrimidin-1-yl)oxolan-2-yl]methoxy-hydroxyphosphoryl]oxy-5-(4-amino-2-oxopyrimidin-1-yl)oxolan-2-yl]methoxy-hydroxyphosphoryl]oxy-5-(6-aminopurin-9-yl)oxolan-2-yl]methoxy-hydroxyphosphoryl]oxy-5-(4-amino-2-oxopyrimidin-1-yl)oxolan-2-yl]methyl [5-(6-aminopurin-9-yl)-2-(hydroxymethyl)oxolan-3-yl] hydrogen phosphate Polymers Cc1cn(C2CC(OP(O)(=O)OCC3OC(CC3OP(O)(=O)OCC3OC(CC3O)n3cnc4c3nc(N)[nH]c4=O)n3cnc4c3nc(N)[nH]c4=O)C(COP(O)(=O)OC3CC(OC3COP(O)(=O)OC3CC(OC3COP(O)(=O)OC3CC(OC3COP(O)(=O)OC3CC(OC3COP(O)(=O)OC3CC(OC3COP(O)(=O)OC3CC(OC3COP(O)(=O)OC3CC(OC3COP(O)(=O)OC3CC(OC3COP(O)(=O)OC3CC(OC3COP(O)(=O)OC3CC(OC3COP(O)(=O)OC3CC(OC3COP(O)(=O)OC3CC(OC3COP(O)(=O)OC3CC(OC3COP(O)(=O)OC3CC(OC3COP(O)(=O)OC3CC(OC3COP(O)(=O)OC3CC(OC3COP(O)(=O)OC3CC(OC3CO)n3cnc4c(N)ncnc34)n3ccc(N)nc3=O)n3cnc4c(N)ncnc34)n3ccc(N)nc3=O)n3ccc(N)nc3=O)n3ccc(N)nc3=O)n3cnc4c(N)ncnc34)n3cnc4c(N)ncnc34)n3cc(C)c(=O)[nH]c3=O)n3cc(C)c(=O)[nH]c3=O)n3ccc(N)nc3=O)n3cc(C)c(=O)[nH]c3=O)n3cnc4c3nc(N)[nH]c4=O)n3cnc4c(N)ncnc34)n3cnc4c(N)ncnc34)n3cnc4c(N)ncnc34)n3cnc4c(N)ncnc34)O2)c(=O)[nH]c1=O JLCPHMBAVCMARE-UHFFFAOYSA-N 0.000 description 2
- GPKUGWDQUVWHIC-UHFFFAOYSA-N [4-(4-hydrazinylphenyl)phenyl]hydrazine tetrahydrochloride Chemical compound Cl.Cl.Cl.Cl.NNC1=CC=C(C=C1)C1=CC=C(NN)C=C1 GPKUGWDQUVWHIC-UHFFFAOYSA-N 0.000 description 2
- 230000021736 acetylation Effects 0.000 description 2
- 238000006640 acetylation reaction Methods 0.000 description 2
- 239000002253 acid Substances 0.000 description 2
- 230000004913 activation Effects 0.000 description 2
- 239000000654 additive Substances 0.000 description 2
- MGSKVZWGBWPBTF-UHFFFAOYSA-N aebsf Chemical compound NCCC1=CC=C(S(F)(=O)=O)C=C1 MGSKVZWGBWPBTF-UHFFFAOYSA-N 0.000 description 2
- 239000000556 agonist Substances 0.000 description 2
- 125000003277 amino group Chemical group 0.000 description 2
- 206010002224 anaplastic astrocytoma Diseases 0.000 description 2
- 239000010775 animal oil Substances 0.000 description 2
- 239000005557 antagonist Substances 0.000 description 2
- 230000001093 anti-cancer Effects 0.000 description 2
- 239000003963 antioxidant agent Substances 0.000 description 2
- 239000007864 aqueous solution Substances 0.000 description 2
- 108010030694 avidin-horseradish peroxidase complex Proteins 0.000 description 2
- 238000001574 biopsy Methods 0.000 description 2
- 235000020958 biotin Nutrition 0.000 description 2
- 239000002775 capsule Substances 0.000 description 2
- 229960005243 carmustine Drugs 0.000 description 2
- 239000000969 carrier Substances 0.000 description 2
- 238000004113 cell culture Methods 0.000 description 2
- 230000004700 cellular uptake Effects 0.000 description 2
- 229960004397 cyclophosphamide Drugs 0.000 description 2
- 229940104302 cytosine Drugs 0.000 description 2
- 231100000433 cytotoxic Toxicity 0.000 description 2
- 231100000599 cytotoxic agent Toxicity 0.000 description 2
- 230000001472 cytotoxic effect Effects 0.000 description 2
- 230000003013 cytotoxicity Effects 0.000 description 2
- 231100000135 cytotoxicity Toxicity 0.000 description 2
- 238000006731 degradation reaction Methods 0.000 description 2
- 238000013461 design Methods 0.000 description 2
- 239000000539 dimer Substances 0.000 description 2
- 238000011038 discontinuous diafiltration by volume reduction Methods 0.000 description 2
- 201000010099 disease Diseases 0.000 description 2
- 208000037265 diseases, disorders, signs and symptoms Diseases 0.000 description 2
- 239000006185 dispersion Substances 0.000 description 2
- 238000001962 electrophoresis Methods 0.000 description 2
- 238000004520 electroporation Methods 0.000 description 2
- 239000008393 encapsulating agent Substances 0.000 description 2
- 239000003623 enhancer Substances 0.000 description 2
- 230000008029 eradication Effects 0.000 description 2
- 210000003743 erythrocyte Anatomy 0.000 description 2
- 230000001747 exhibiting effect Effects 0.000 description 2
- 108020001507 fusion proteins Proteins 0.000 description 2
- 102000037865 fusion proteins Human genes 0.000 description 2
- 125000003630 glycyl group Chemical group [H]N([H])C([H])([H])C(*)=O 0.000 description 2
- 239000003102 growth factor Substances 0.000 description 2
- UYTPUPDQBNUYGX-UHFFFAOYSA-N guanine Chemical compound O=C1NC(N)=NC2=C1N=CN2 UYTPUPDQBNUYGX-UHFFFAOYSA-N 0.000 description 2
- 230000035931 haemagglutination Effects 0.000 description 2
- HNDVDQJCIGZPNO-UHFFFAOYSA-N histidine Natural products OC(=O)C(N)CC1=CN=CN1 HNDVDQJCIGZPNO-UHFFFAOYSA-N 0.000 description 2
- 229910052739 hydrogen Inorganic materials 0.000 description 2
- 125000002887 hydroxy group Chemical group [H]O* 0.000 description 2
- 230000036737 immune function Effects 0.000 description 2
- 210000000987 immune system Anatomy 0.000 description 2
- 229940127121 immunoconjugate Drugs 0.000 description 2
- 230000005847 immunogenicity Effects 0.000 description 2
- 230000016784 immunoglobulin production Effects 0.000 description 2
- 229940121354 immunomodulator Drugs 0.000 description 2
- 230000001024 immunotherapeutic effect Effects 0.000 description 2
- 238000010348 incorporation Methods 0.000 description 2
- 238000003780 insertion Methods 0.000 description 2
- 230000037431 insertion Effects 0.000 description 2
- 230000003993 interaction Effects 0.000 description 2
- 230000002452 interceptive effect Effects 0.000 description 2
- 230000003834 intracellular effect Effects 0.000 description 2
- 239000007928 intraperitoneal injection Substances 0.000 description 2
- 238000011835 investigation Methods 0.000 description 2
- 150000002500 ions Chemical class 0.000 description 2
- 210000003292 kidney cell Anatomy 0.000 description 2
- 239000010410 layer Substances 0.000 description 2
- GDBQQVLCIARPGH-ULQDDVLXSA-N leupeptin Chemical compound CC(C)C[C@H](NC(C)=O)C(=O)N[C@@H](CC(C)C)C(=O)N[C@H](C=O)CCCN=C(N)N GDBQQVLCIARPGH-ULQDDVLXSA-N 0.000 description 2
- 108010052968 leupeptin Proteins 0.000 description 2
- 229960002247 lomustine Drugs 0.000 description 2
- 201000005202 lung cancer Diseases 0.000 description 2
- 210000004698 lymphocyte Anatomy 0.000 description 2
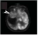
- 238000002595 magnetic resonance imaging Methods 0.000 description 2
- 230000031852 maintenance of location in cell Effects 0.000 description 2
- 230000004060 metabolic process Effects 0.000 description 2
- 229930182817 methionine Natural products 0.000 description 2
- 239000002480 mineral oil Substances 0.000 description 2
- 235000010446 mineral oil Nutrition 0.000 description 2
- 238000007479 molecular analysis Methods 0.000 description 2
- 238000010369 molecular cloning Methods 0.000 description 2
- BQJCRHHNABKAKU-KBQPJGBKSA-N morphine Chemical compound O([C@H]1[C@H](C=C[C@H]23)O)C4=C5[C@@]12CCN(C)[C@@H]3CC5=CC=C4O BQJCRHHNABKAKU-KBQPJGBKSA-N 0.000 description 2
- 229940126619 mouse monoclonal antibody Drugs 0.000 description 2
- 238000002703 mutagenesis Methods 0.000 description 2
- 231100000350 mutagenesis Toxicity 0.000 description 2
- 229920001220 nitrocellulos Polymers 0.000 description 2
- OSTGTTZJOCZWJG-UHFFFAOYSA-N nitrosourea Chemical compound NC(=O)N=NO OSTGTTZJOCZWJG-UHFFFAOYSA-N 0.000 description 2
- 239000003921 oil Substances 0.000 description 2
- 235000019198 oils Nutrition 0.000 description 2
- 210000002741 palatine tonsil Anatomy 0.000 description 2
- 229960001972 panitumumab Drugs 0.000 description 2
- 230000005298 paramagnetic effect Effects 0.000 description 2
- 230000001575 pathological effect Effects 0.000 description 2
- 239000008188 pellet Substances 0.000 description 2
- 229940111202 pepsin Drugs 0.000 description 2
- 239000003208 petroleum Substances 0.000 description 2
- 239000012071 phase Substances 0.000 description 2
- COLNVLDHVKWLRT-UHFFFAOYSA-N phenylalanine Natural products OC(=O)C(N)CC1=CC=CC=C1 COLNVLDHVKWLRT-UHFFFAOYSA-N 0.000 description 2
- YBYRMVIVWMBXKQ-UHFFFAOYSA-N phenylmethanesulfonyl fluoride Chemical compound FS(=O)(=O)CC1=CC=CC=C1 YBYRMVIVWMBXKQ-UHFFFAOYSA-N 0.000 description 2
- 239000002504 physiological saline solution Substances 0.000 description 2
- 230000003389 potentiating effect Effects 0.000 description 2
- 239000000843 powder Substances 0.000 description 2
- 239000003755 preservative agent Substances 0.000 description 2
- CPTBDICYNRMXFX-UHFFFAOYSA-N procarbazine Chemical compound CNNCC1=CC=C(C(=O)NC(C)C)C=C1 CPTBDICYNRMXFX-UHFFFAOYSA-N 0.000 description 2
- 229960000624 procarbazine Drugs 0.000 description 2
- 210000002307 prostate Anatomy 0.000 description 2
- 238000000159 protein binding assay Methods 0.000 description 2
- 230000002797 proteolythic effect Effects 0.000 description 2
- 230000010076 replication Effects 0.000 description 2
- 230000003362 replicative effect Effects 0.000 description 2
- 238000012552 review Methods 0.000 description 2
- 239000002336 ribonucleotide Substances 0.000 description 2
- 125000002652 ribonucleotide group Chemical group 0.000 description 2
- 229920006395 saturated elastomer Polymers 0.000 description 2
- 230000028327 secretion Effects 0.000 description 2
- 238000010187 selection method Methods 0.000 description 2
- 230000035945 sensitivity Effects 0.000 description 2
- 238000012163 sequencing technique Methods 0.000 description 2
- 238000001542 size-exclusion chromatography Methods 0.000 description 2
- 150000003384 small molecules Chemical class 0.000 description 2
- 229910052708 sodium Inorganic materials 0.000 description 2
- 239000008354 sodium chloride injection Substances 0.000 description 2
- 238000001179 sorption measurement Methods 0.000 description 2
- 210000004988 splenocyte Anatomy 0.000 description 2
- UCSJYZPVAKXKNQ-HZYVHMACSA-N streptomycin Chemical compound CN[C@H]1[C@H](O)[C@@H](O)[C@H](CO)O[C@H]1O[C@@H]1[C@](C=O)(O)[C@H](C)O[C@H]1O[C@@H]1[C@@H](NC(N)=N)[C@H](O)[C@@H](NC(N)=N)[C@H](O)[C@H]1O UCSJYZPVAKXKNQ-HZYVHMACSA-N 0.000 description 2
- 238000001356 surgical procedure Methods 0.000 description 2
- 230000002195 synergetic effect Effects 0.000 description 2
- 229960004964 temozolomide Drugs 0.000 description 2
- RWQNBRDOKXIBIV-UHFFFAOYSA-N thymine Chemical compound CC1=CNC(=O)NC1=O RWQNBRDOKXIBIV-UHFFFAOYSA-N 0.000 description 2
- 231100000167 toxic agent Toxicity 0.000 description 2
- 239000003440 toxic substance Substances 0.000 description 2
- 238000010361 transduction Methods 0.000 description 2
- 230000026683 transduction Effects 0.000 description 2
- 230000001052 transient effect Effects 0.000 description 2
- GETQZCLCWQTVFV-UHFFFAOYSA-N trimethylamine Chemical compound CN(C)C GETQZCLCWQTVFV-UHFFFAOYSA-N 0.000 description 2
- 241000701447 unidentified baculovirus Species 0.000 description 2
- 241001430294 unidentified retrovirus Species 0.000 description 2
- 238000011144 upstream manufacturing Methods 0.000 description 2
- 210000003932 urinary bladder Anatomy 0.000 description 2
- 208000007089 vaccinia Diseases 0.000 description 2
- 235000015112 vegetable and seed oil Nutrition 0.000 description 2
- 239000008158 vegetable oil Substances 0.000 description 2
- 229960004528 vincristine Drugs 0.000 description 2
- OGWKCGZFUXNPDA-XQKSVPLYSA-N vincristine Chemical compound C([N@]1C[C@@H](C[C@]2(C(=O)OC)C=3C(=CC4=C([C@]56[C@H]([C@@]([C@H](OC(C)=O)[C@]7(CC)C=CCN([C@H]67)CC5)(O)C(=O)OC)N4C=O)C=3)OC)C[C@@](C1)(O)CC)CC1=C2NC2=CC=CC=C12 OGWKCGZFUXNPDA-XQKSVPLYSA-N 0.000 description 2
- OGWKCGZFUXNPDA-UHFFFAOYSA-N vincristine Natural products C1C(CC)(O)CC(CC2(C(=O)OC)C=3C(=CC4=C(C56C(C(C(OC(C)=O)C7(CC)C=CCN(C67)CC5)(O)C(=O)OC)N4C=O)C=3)OC)CN1CCC1=C2NC2=CC=CC=C12 OGWKCGZFUXNPDA-UHFFFAOYSA-N 0.000 description 2
- 230000003612 virological effect Effects 0.000 description 2
- JIAARYAFYJHUJI-UHFFFAOYSA-L zinc dichloride Chemical compound [Cl-].[Cl-].[Zn+2] JIAARYAFYJHUJI-UHFFFAOYSA-L 0.000 description 2
- QBYIENPQHBMVBV-HFEGYEGKSA-N (2R)-2-hydroxy-2-phenylacetic acid Chemical compound O[C@@H](C(O)=O)c1ccccc1.O[C@@H](C(O)=O)c1ccccc1 QBYIENPQHBMVBV-HFEGYEGKSA-N 0.000 description 1
- YJGVMLPVUAXIQN-LGWHJFRWSA-N (5s,5ar,8ar,9r)-5-hydroxy-9-(3,4,5-trimethoxyphenyl)-5a,6,8a,9-tetrahydro-5h-[2]benzofuro[5,6-f][1,3]benzodioxol-8-one Chemical compound COC1=C(OC)C(OC)=CC([C@@H]2C3=CC=4OCOC=4C=C3[C@@H](O)[C@@H]3[C@@H]2C(OC3)=O)=C1 YJGVMLPVUAXIQN-LGWHJFRWSA-N 0.000 description 1
- 125000003088 (fluoren-9-ylmethoxy)carbonyl group Chemical group 0.000 description 1
- 102000040650 (ribonucleotides)n+m Human genes 0.000 description 1
- VSNHCAURESNICA-NJFSPNSNSA-N 1-oxidanylurea Chemical compound N[14C](=O)NO VSNHCAURESNICA-NJFSPNSNSA-N 0.000 description 1
- GZCWLCBFPRFLKL-UHFFFAOYSA-N 1-prop-2-ynoxypropan-2-ol Chemical compound CC(O)COCC#C GZCWLCBFPRFLKL-UHFFFAOYSA-N 0.000 description 1
- MIJDSYMOBYNHOT-UHFFFAOYSA-N 2-(ethylamino)ethanol Chemical compound CCNCCO MIJDSYMOBYNHOT-UHFFFAOYSA-N 0.000 description 1
- IKOKHHBZFDFMJW-UHFFFAOYSA-N 2-[4-[2-(2,3-dihydro-1H-inden-2-ylamino)pyrimidin-5-yl]-3-(2-morpholin-4-ylethoxy)pyrazol-1-yl]-1-(2,4,6,7-tetrahydrotriazolo[4,5-c]pyridin-5-yl)ethanone Chemical compound C1C(CC2=CC=CC=C12)NC1=NC=C(C=N1)C=1C(=NN(C=1)CC(=O)N1CC2=C(CC1)NN=N2)OCCN1CCOCC1 IKOKHHBZFDFMJW-UHFFFAOYSA-N 0.000 description 1
- 101150055869 25 gene Proteins 0.000 description 1
- OSJPPGNTCRNQQC-UWTATZPHSA-N 3-phospho-D-glyceric acid Chemical compound OC(=O)[C@H](O)COP(O)(O)=O OSJPPGNTCRNQQC-UWTATZPHSA-N 0.000 description 1
- 101150052384 50 gene Proteins 0.000 description 1
- HBZVNWNSRNTWPS-UHFFFAOYSA-N 6-amino-4-hydroxynaphthalene-2-sulfonic acid Chemical compound C1=C(S(O)(=O)=O)C=C(O)C2=CC(N)=CC=C21 HBZVNWNSRNTWPS-UHFFFAOYSA-N 0.000 description 1
- DOBIZWYVJFIYOV-UHFFFAOYSA-N 7-hydroxynaphthalene-1,3-disulfonic acid Chemical compound C1=C(S(O)(=O)=O)C=C(S(O)(=O)=O)C2=CC(O)=CC=C21 DOBIZWYVJFIYOV-UHFFFAOYSA-N 0.000 description 1
- MVEOHWRUBFWKJY-UHFFFAOYSA-N 7-hydroxynaphthalene-2-sulfonic acid Chemical compound C1=CC(S(O)(=O)=O)=CC2=CC(O)=CC=C21 MVEOHWRUBFWKJY-UHFFFAOYSA-N 0.000 description 1
- ZCYVEMRRCGMTRW-UHFFFAOYSA-N 7553-56-2 Chemical compound [I] ZCYVEMRRCGMTRW-UHFFFAOYSA-N 0.000 description 1
- RZVAJINKPMORJF-UHFFFAOYSA-N Acetaminophen Chemical compound CC(=O)NC1=CC=C(O)C=C1 RZVAJINKPMORJF-UHFFFAOYSA-N 0.000 description 1
- 102000013563 Acid Phosphatase Human genes 0.000 description 1
- 108010051457 Acid Phosphatase Proteins 0.000 description 1
- 229930024421 Adenine Natural products 0.000 description 1
- GFFGJBXGBJISGV-UHFFFAOYSA-N Adenine Chemical compound NC1=NC=NC2=C1N=CN2 GFFGJBXGBJISGV-UHFFFAOYSA-N 0.000 description 1
- 241001479434 Agfa Species 0.000 description 1
- 102000002260 Alkaline Phosphatase Human genes 0.000 description 1
- 108020004774 Alkaline Phosphatase Proteins 0.000 description 1
- 108700028369 Alleles Proteins 0.000 description 1
- VHUUQVKOLVNVRT-UHFFFAOYSA-N Ammonium hydroxide Chemical compound [NH4+].[OH-] VHUUQVKOLVNVRT-UHFFFAOYSA-N 0.000 description 1
- 108020000948 Antisense Oligonucleotides Proteins 0.000 description 1
- 108010039627 Aprotinin Proteins 0.000 description 1
- 229920003319 Araldite® Polymers 0.000 description 1
- 239000004475 Arginine Substances 0.000 description 1
- DCXYFEDJOCDNAF-UHFFFAOYSA-N Asparagine Natural products OC(=O)C(N)CC(N)=O DCXYFEDJOCDNAF-UHFFFAOYSA-N 0.000 description 1
- BSYNRYMUTXBXSQ-UHFFFAOYSA-N Aspirin Chemical compound CC(=O)OC1=CC=CC=C1C(O)=O BSYNRYMUTXBXSQ-UHFFFAOYSA-N 0.000 description 1
- 208000023275 Autoimmune disease Diseases 0.000 description 1
- 108090001008 Avidin Proteins 0.000 description 1
- 241000894006 Bacteria Species 0.000 description 1
- 108091003079 Bovine Serum Albumin Proteins 0.000 description 1
- 125000001433 C-terminal amino-acid group Chemical group 0.000 description 1
- UXVMQQNJUSDDNG-UHFFFAOYSA-L Calcium chloride Chemical compound [Cl-].[Cl-].[Ca+2] UXVMQQNJUSDDNG-UHFFFAOYSA-L 0.000 description 1
- BVKZGUZCCUSVTD-UHFFFAOYSA-L Carbonate Chemical compound [O-]C([O-])=O BVKZGUZCCUSVTD-UHFFFAOYSA-L 0.000 description 1
- 101800005309 Carboxy-terminal peptide Proteins 0.000 description 1
- 108010006303 Carboxypeptidases Proteins 0.000 description 1
- 102000005367 Carboxypeptidases Human genes 0.000 description 1
- 241000282552 Chlorocebus aethiops Species 0.000 description 1
- 206010009944 Colon cancer Diseases 0.000 description 1
- 208000001333 Colorectal Neoplasms Diseases 0.000 description 1
- 108020004635 Complementary DNA Proteins 0.000 description 1
- 241000699800 Cricetinae Species 0.000 description 1
- 101710112752 Cytotoxin Proteins 0.000 description 1
- 101150074155 DHFR gene Proteins 0.000 description 1
- 239000003155 DNA primer Substances 0.000 description 1
- 230000007023 DNA restriction-modification system Effects 0.000 description 1
- 230000006820 DNA synthesis Effects 0.000 description 1
- 102000016928 DNA-directed DNA polymerase Human genes 0.000 description 1
- 108010014303 DNA-directed DNA polymerase Proteins 0.000 description 1
- 229920002307 Dextran Polymers 0.000 description 1
- FEWJPZIEWOKRBE-JCYAYHJZSA-N Dextrotartaric acid Chemical compound OC(=O)[C@H](O)[C@@H](O)C(O)=O FEWJPZIEWOKRBE-JCYAYHJZSA-N 0.000 description 1
- 102100024746 Dihydrofolate reductase Human genes 0.000 description 1
- 102000016607 Diphtheria Toxin Human genes 0.000 description 1
- 108010053187 Diphtheria Toxin Proteins 0.000 description 1
- 101100118548 Drosophila melanogaster Egfr gene Proteins 0.000 description 1
- 206010059866 Drug resistance Diseases 0.000 description 1
- 239000012983 Dulbecco’s minimal essential medium Substances 0.000 description 1
- 229910052691 Erbium Inorganic materials 0.000 description 1
- 241000701959 Escherichia virus Lambda Species 0.000 description 1
- 241000206602 Eukaryota Species 0.000 description 1
- 229910052693 Europium Inorganic materials 0.000 description 1
- 241000233866 Fungi Species 0.000 description 1
- 229910052688 Gadolinium Inorganic materials 0.000 description 1
- 108700028146 Genetic Enhancer Elements Proteins 0.000 description 1
- 108700039691 Genetic Promoter Regions Proteins 0.000 description 1
- 108700007698 Genetic Terminator Regions Proteins 0.000 description 1
- 239000004366 Glucose oxidase Substances 0.000 description 1
- 108010015776 Glucose oxidase Proteins 0.000 description 1
- 102000053187 Glucuronidase Human genes 0.000 description 1
- 108010060309 Glucuronidase Proteins 0.000 description 1
- WHUUTDBJXJRKMK-UHFFFAOYSA-N Glutamic acid Natural products OC(=O)C(N)CCC(O)=O WHUUTDBJXJRKMK-UHFFFAOYSA-N 0.000 description 1
- 102100020948 Growth hormone receptor Human genes 0.000 description 1
- 101710099093 Growth hormone receptor Proteins 0.000 description 1
- 229910052689 Holmium Inorganic materials 0.000 description 1
- 101001012157 Homo sapiens Receptor tyrosine-protein kinase erbB-2 Proteins 0.000 description 1
- 238000012450 HuMAb Mouse Methods 0.000 description 1
- 241000701044 Human gammaherpesvirus 4 Species 0.000 description 1
- VSNHCAURESNICA-UHFFFAOYSA-N Hydroxyurea Chemical compound NC(=O)NO VSNHCAURESNICA-UHFFFAOYSA-N 0.000 description 1
- HEFNNWSXXWATRW-UHFFFAOYSA-N Ibuprofen Chemical compound CC(C)CC1=CC=C(C(C)C(O)=O)C=C1 HEFNNWSXXWATRW-UHFFFAOYSA-N 0.000 description 1
- 108700005091 Immunoglobulin Genes Proteins 0.000 description 1
- 108010067060 Immunoglobulin Variable Region Proteins 0.000 description 1
- 102000017727 Immunoglobulin Variable Region Human genes 0.000 description 1
- 108010002386 Interleukin-3 Proteins 0.000 description 1
- 108091092195 Intron Proteins 0.000 description 1
- 238000012449 Kunming mouse Methods 0.000 description 1
- ONIBWKKTOPOVIA-BYPYZUCNSA-N L-Proline Chemical compound OC(=O)[C@@H]1CCCN1 ONIBWKKTOPOVIA-BYPYZUCNSA-N 0.000 description 1
- QNAYBMKLOCPYGJ-REOHCLBHSA-N L-alanine Chemical compound C[C@H](N)C(O)=O QNAYBMKLOCPYGJ-REOHCLBHSA-N 0.000 description 1
- 150000008575 L-amino acids Chemical group 0.000 description 1
- ODKSFYDXXFIFQN-BYPYZUCNSA-P L-argininium(2+) Chemical compound NC(=[NH2+])NCCC[C@H]([NH3+])C(O)=O ODKSFYDXXFIFQN-BYPYZUCNSA-P 0.000 description 1
- WHUUTDBJXJRKMK-VKHMYHEASA-N L-glutamic acid Chemical compound OC(=O)[C@@H](N)CCC(O)=O WHUUTDBJXJRKMK-VKHMYHEASA-N 0.000 description 1
- AGPKZVBTJJNPAG-WHFBIAKZSA-N L-isoleucine Chemical compound CC[C@H](C)[C@H](N)C(O)=O AGPKZVBTJJNPAG-WHFBIAKZSA-N 0.000 description 1
- ROHFNLRQFUQHCH-YFKPBYRVSA-N L-leucine Chemical compound CC(C)C[C@H](N)C(O)=O ROHFNLRQFUQHCH-YFKPBYRVSA-N 0.000 description 1
- KZSNJWFQEVHDMF-BYPYZUCNSA-N L-valine Chemical compound CC(C)[C@H](N)C(O)=O KZSNJWFQEVHDMF-BYPYZUCNSA-N 0.000 description 1
- 244000178870 Lavandula angustifolia Species 0.000 description 1
- 235000010663 Lavandula angustifolia Nutrition 0.000 description 1
- ROHFNLRQFUQHCH-UHFFFAOYSA-N Leucine Natural products CC(C)CC(N)C(O)=O ROHFNLRQFUQHCH-UHFFFAOYSA-N 0.000 description 1
- 239000005089 Luciferase Substances 0.000 description 1
- 231100000002 MTT assay Toxicity 0.000 description 1
- 238000000134 MTT assay Methods 0.000 description 1
- FYYHWMGAXLPEAU-UHFFFAOYSA-N Magnesium Chemical compound [Mg] FYYHWMGAXLPEAU-UHFFFAOYSA-N 0.000 description 1
- 108091027974 Mature messenger RNA Proteins 0.000 description 1
- 208000037196 Medullary thyroid carcinoma Diseases 0.000 description 1
- 208000000172 Medulloblastoma Diseases 0.000 description 1
- 206010063569 Metastatic squamous cell carcinoma Diseases 0.000 description 1
- 230000004988 N-glycosylation Effects 0.000 description 1
- 125000000729 N-terminal amino-acid group Chemical group 0.000 description 1
- 108091007491 NSP3 Papain-like protease domains Proteins 0.000 description 1
- 241001460678 Napo <wasp> Species 0.000 description 1
- 102000004459 Nitroreductase Human genes 0.000 description 1
- 208000015914 Non-Hodgkin lymphomas Diseases 0.000 description 1
- 101710149086 Nuclease S1 Proteins 0.000 description 1
- 206010033128 Ovarian cancer Diseases 0.000 description 1
- 206010061535 Ovarian neoplasm Diseases 0.000 description 1
- 108091008606 PDGF receptors Proteins 0.000 description 1
- 101150012394 PHO5 gene Proteins 0.000 description 1
- 239000002033 PVDF binder Substances 0.000 description 1
- 229930012538 Paclitaxel Natural products 0.000 description 1
- 206010061902 Pancreatic neoplasm Diseases 0.000 description 1
- 108090000526 Papain Proteins 0.000 description 1
- 229930040373 Paraformaldehyde Natural products 0.000 description 1
- 241001494479 Pecora Species 0.000 description 1
- 229930182555 Penicillin Natural products 0.000 description 1
- JGSARLDLIJGVTE-MBNYWOFBSA-N Penicillin G Chemical compound N([C@H]1[C@H]2SC([C@@H](N2C1=O)C(O)=O)(C)C)C(=O)CC1=CC=CC=C1 JGSARLDLIJGVTE-MBNYWOFBSA-N 0.000 description 1
- 240000004050 Pentaglottis sempervirens Species 0.000 description 1
- 235000004522 Pentaglottis sempervirens Nutrition 0.000 description 1
- 108091005804 Peptidases Proteins 0.000 description 1
- 102000035195 Peptidases Human genes 0.000 description 1
- 108010077524 Peptide Elongation Factor 1 Proteins 0.000 description 1
- 102000011653 Platelet-Derived Growth Factor Receptors Human genes 0.000 description 1
- 229920002584 Polyethylene Glycol 6000 Polymers 0.000 description 1
- 241001505332 Polyomavirus sp. Species 0.000 description 1
- ONIBWKKTOPOVIA-UHFFFAOYSA-N Proline Natural products OC(=O)C1CCCN1 ONIBWKKTOPOVIA-UHFFFAOYSA-N 0.000 description 1
- 229940124158 Protease/peptidase inhibitor Drugs 0.000 description 1
- 101000762949 Pseudomonas aeruginosa (strain ATCC 15692 / DSM 22644 / CIP 104116 / JCM 14847 / LMG 12228 / 1C / PRS 101 / PAO1) Exotoxin A Proteins 0.000 description 1
- IWYDHOAUDWTVEP-UHFFFAOYSA-N R-2-phenyl-2-hydroxyacetic acid Natural products OC(=O)C(O)C1=CC=CC=C1 IWYDHOAUDWTVEP-UHFFFAOYSA-N 0.000 description 1
- 230000004570 RNA-binding Effects 0.000 description 1
- 108020005091 Replication Origin Proteins 0.000 description 1
- 230000018199 S phase Effects 0.000 description 1
- 239000012722 SDS sample buffer Substances 0.000 description 1
- 235000013290 Sagittaria latifolia Nutrition 0.000 description 1
- 201000010208 Seminoma Diseases 0.000 description 1
- MTCFGRXMJLQNBG-UHFFFAOYSA-N Serine Natural products OCC(N)C(O)=O MTCFGRXMJLQNBG-UHFFFAOYSA-N 0.000 description 1
- 241000270295 Serpentes Species 0.000 description 1
- 241000702208 Shigella phage SfX Species 0.000 description 1
- BQCADISMDOOEFD-UHFFFAOYSA-N Silver Chemical compound [Ag] BQCADISMDOOEFD-UHFFFAOYSA-N 0.000 description 1
- VMHLLURERBWHNL-UHFFFAOYSA-M Sodium acetate Chemical compound [Na+].CC([O-])=O VMHLLURERBWHNL-UHFFFAOYSA-M 0.000 description 1
- 238000002105 Southern blotting Methods 0.000 description 1
- 244000297179 Syringa vulgaris Species 0.000 description 1
- 235000004338 Syringa vulgaris Nutrition 0.000 description 1
- 238000012288 TUNEL assay Methods 0.000 description 1
- FEWJPZIEWOKRBE-UHFFFAOYSA-N Tartaric acid Natural products [H+].[H+].[O-]C(=O)C(O)C(O)C([O-])=O FEWJPZIEWOKRBE-UHFFFAOYSA-N 0.000 description 1
- 241000223892 Tetrahymena Species 0.000 description 1
- AYFVYJQAPQTCCC-UHFFFAOYSA-N Threonine Natural products CC(O)C(N)C(O)=O AYFVYJQAPQTCCC-UHFFFAOYSA-N 0.000 description 1
- 239000004473 Threonine Substances 0.000 description 1
- GYDJEQRTZSCIOI-UHFFFAOYSA-N Tranexamic acid Chemical compound NCC1CCC(C(O)=O)CC1 GYDJEQRTZSCIOI-UHFFFAOYSA-N 0.000 description 1
- 102100037116 Transcription elongation factor 1 homolog Human genes 0.000 description 1
- 102400001320 Transforming growth factor alpha Human genes 0.000 description 1
- 101800004564 Transforming growth factor alpha Proteins 0.000 description 1
- 206010052779 Transplant rejections Diseases 0.000 description 1
- 108060008683 Tumor Necrosis Factor Receptor Proteins 0.000 description 1
- 206010054094 Tumour necrosis Diseases 0.000 description 1
- 229910052770 Uranium Inorganic materials 0.000 description 1
- COQLPRJCUIATTQ-UHFFFAOYSA-N Uranyl acetate Chemical compound O.O.O=[U]=O.CC(O)=O.CC(O)=O COQLPRJCUIATTQ-UHFFFAOYSA-N 0.000 description 1
- 108010046334 Urease Proteins 0.000 description 1
- 208000007097 Urinary Bladder Neoplasms Diseases 0.000 description 1
- 102000003990 Urokinase-type plasminogen activator Human genes 0.000 description 1
- 108090000435 Urokinase-type plasminogen activator Proteins 0.000 description 1
- KZSNJWFQEVHDMF-UHFFFAOYSA-N Valine Natural products CC(C)C(N)C(O)=O KZSNJWFQEVHDMF-UHFFFAOYSA-N 0.000 description 1
- 208000036142 Viral infection Diseases 0.000 description 1
- 238000012452 Xenomouse strains Methods 0.000 description 1
- SXEHKFHPFVVDIR-UHFFFAOYSA-N [4-(4-hydrazinylphenyl)phenyl]hydrazine Chemical compound C1=CC(NN)=CC=C1C1=CC=C(NN)C=C1 SXEHKFHPFVVDIR-UHFFFAOYSA-N 0.000 description 1
- 230000005856 abnormality Effects 0.000 description 1
- 238000002835 absorbance Methods 0.000 description 1
- 238000009825 accumulation Methods 0.000 description 1
- 235000011054 acetic acid Nutrition 0.000 description 1
- 229960001138 acetylsalicylic acid Drugs 0.000 description 1
- 230000009471 action Effects 0.000 description 1
- 239000013543 active substance Substances 0.000 description 1
- 238000001467 acupuncture Methods 0.000 description 1
- 229960000643 adenine Drugs 0.000 description 1
- 230000002776 aggregation Effects 0.000 description 1
- 238000004220 aggregation Methods 0.000 description 1
- 238000007605 air drying Methods 0.000 description 1
- 235000004279 alanine Nutrition 0.000 description 1
- 230000000172 allergic effect Effects 0.000 description 1
- 229910000147 aluminium phosphate Inorganic materials 0.000 description 1
- 230000009435 amidation Effects 0.000 description 1
- 238000007112 amidation reaction Methods 0.000 description 1
- 150000001412 amines Chemical class 0.000 description 1
- 239000000908 ammonium hydroxide Substances 0.000 description 1
- 210000004102 animal cell Anatomy 0.000 description 1
- 238000010171 animal model Methods 0.000 description 1
- 239000003242 anti bacterial agent Substances 0.000 description 1
- 230000002424 anti-apoptotic effect Effects 0.000 description 1
- 230000003474 anti-emetic effect Effects 0.000 description 1
- 230000003302 anti-idiotype Effects 0.000 description 1
- 230000002927 anti-mitotic effect Effects 0.000 description 1
- 230000000840 anti-viral effect Effects 0.000 description 1
- 210000000628 antibody-producing cell Anatomy 0.000 description 1
- 239000003146 anticoagulant agent Substances 0.000 description 1
- 239000002111 antiemetic agent Substances 0.000 description 1
- 229940125683 antiemetic agent Drugs 0.000 description 1
- 229940034982 antineoplastic agent Drugs 0.000 description 1
- 239000000074 antisense oligonucleotide Substances 0.000 description 1
- 238000012230 antisense oligonucleotides Methods 0.000 description 1
- 229960004676 antithrombotic agent Drugs 0.000 description 1
- ZPNFWUPYTFPOJU-MPSLMFKFSA-N aprotinin Chemical compound CC[C@H](C)[C@@H]1NC(=O)[C@@H](CCCNC(N)=N)NC(=O)[C@@H](C)NC(=O)[C@H](CCCCN)NC(=O)[C@@H]2CSSC[C@H]3NC(=O)CNC(=O)CNC(=O)[C@H](Cc4ccc(O)cc4)NC(=O)[C@H](NC(=O)[C@H](Cc4ccccc4)NC(=O)[C@@H](NC(=O)[C@H](CCC(N)=O)NC(=O)[C@@H](CSSC[C@@H](NC(=O)[C@H](CC(O)=O)NC(=O)[C@@H](CCC(O)=O)NC(=O)[C@H](C)NC(=O)[C@@H](CO)NC(=O)[C@H](CCCCN)NC(=O)[C@@H](Cc4ccccc4)NC(=O)[C@H](CC(N)=O)NC(=O)[C@@H](CC(N)=O)NC(=O)[C@H](CCCNC(N)=N)NC(=O)[C@@H](CCCCN)NC(=O)[C@H](C)NC(=O)[C@H](CCCNC(N)=N)NC3=O)C(=O)N[C@H](CCSC)C(=O)N[C@@H](CCCNC(N)=N)C(=O)N[C@@H]([C@@H](C)O)C(=O)N[C@H](CSSC[C@@H](NC(=O)[C@H](Cc3ccccc3)NC(=O)[C@@H](CC(O)=O)NC(=O)[C@H]3CCCN3C(=O)[C@H](N)CCCNC(N)=N)C(=O)N[C@H](CC(C)C)C(=O)N[C@@H](CCC(O)=O)C(=O)N3CCC[C@@H]3C(=O)N3CCC[C@H]3C(=O)N[C@H](Cc3ccc(O)cc3)C(=O)N[C@H]([C@H](C)O)C(=O)NCC(=O)N3CCC[C@H]3C(=O)N2)C(=O)NCC(=O)NCC(=O)N[C@H](C)C(O)=O)NC(=O)[C@@H](CC(C)C)NC(=O)CNC(=O)[C@@H](C)NC(=O)[C@H](CCCCN)NC(=O)[C@@H](C)NC(=O)[C@H](CC(N)=O)NC(=O)[C@@H](Cc2ccc(O)cc2)NC(=O)[C@H](Cc2ccccc2)NC(=O)[C@@H](Cc2ccc(O)cc2)NC(=O)[C@H](CCCNC(N)=N)NC(=O)[C@H](NC1=O)[C@H](C)CC)[C@@H](C)O)C(C)C ZPNFWUPYTFPOJU-MPSLMFKFSA-N 0.000 description 1
- 229960004405 aprotinin Drugs 0.000 description 1
- ODKSFYDXXFIFQN-UHFFFAOYSA-N arginine Natural products OC(=O)C(N)CCCNC(N)=N ODKSFYDXXFIFQN-UHFFFAOYSA-N 0.000 description 1
- 235000009582 asparagine Nutrition 0.000 description 1
- 229960001230 asparagine Drugs 0.000 description 1
- 235000003704 aspartic acid Nutrition 0.000 description 1
- 238000011717 athymic nude mouse Methods 0.000 description 1
- 239000012298 atmosphere Substances 0.000 description 1
- 125000004429 atom Chemical group 0.000 description 1
- 208000010668 atopic eczema Diseases 0.000 description 1
- 230000003416 augmentation Effects 0.000 description 1
- KSCQDDRPFHTIRL-UHFFFAOYSA-N auramine O Chemical compound [H+].[Cl-].C1=CC(N(C)C)=CC=C1C(=N)C1=CC=C(N(C)C)C=C1 KSCQDDRPFHTIRL-UHFFFAOYSA-N 0.000 description 1
- VSRXQHXAPYXROS-UHFFFAOYSA-N azanide;cyclobutane-1,1-dicarboxylic acid;platinum(2+) Chemical compound [NH2-].[NH2-].[Pt+2].OC(=O)C1(C(O)=O)CCC1 VSRXQHXAPYXROS-UHFFFAOYSA-N 0.000 description 1
- 210000003719 b-lymphocyte Anatomy 0.000 description 1
- 210000000270 basal cell Anatomy 0.000 description 1
- 208000022897 benign urinary system neoplasm Diseases 0.000 description 1
- 102000005936 beta-Galactosidase Human genes 0.000 description 1
- 108010005774 beta-Galactosidase Proteins 0.000 description 1
- OQFSQFPPLPISGP-UHFFFAOYSA-N beta-carboxyaspartic acid Natural products OC(=O)C(N)C(C(O)=O)C(O)=O OQFSQFPPLPISGP-UHFFFAOYSA-N 0.000 description 1
- 230000003115 biocidal effect Effects 0.000 description 1
- 230000004071 biological effect Effects 0.000 description 1
- 230000008827 biological function Effects 0.000 description 1
- 230000033228 biological regulation Effects 0.000 description 1
- 230000005540 biological transmission Effects 0.000 description 1
- 230000006287 biotinylation Effects 0.000 description 1
- HOQPTLCRWVZIQZ-UHFFFAOYSA-H bis[[2-(5-hydroxy-4,7-dioxo-1,3,2$l^{2}-dioxaplumbepan-5-yl)acetyl]oxy]lead Chemical compound [Pb+2].[Pb+2].[Pb+2].[O-]C(=O)CC(O)(CC([O-])=O)C([O-])=O.[O-]C(=O)CC(O)(CC([O-])=O)C([O-])=O HOQPTLCRWVZIQZ-UHFFFAOYSA-H 0.000 description 1
- 210000000601 blood cell Anatomy 0.000 description 1
- 230000037396 body weight Effects 0.000 description 1
- 210000002798 bone marrow cell Anatomy 0.000 description 1
- 201000007983 brain glioma Diseases 0.000 description 1
- 239000001110 calcium chloride Substances 0.000 description 1
- 229910001628 calcium chloride Inorganic materials 0.000 description 1
- AXCZMVOFGPJBDE-UHFFFAOYSA-L calcium dihydroxide Chemical compound [OH-].[OH-].[Ca+2] AXCZMVOFGPJBDE-UHFFFAOYSA-L 0.000 description 1
- 239000000920 calcium hydroxide Substances 0.000 description 1
- 229910001861 calcium hydroxide Inorganic materials 0.000 description 1
- 239000001506 calcium phosphate Substances 0.000 description 1
- 229910000389 calcium phosphate Inorganic materials 0.000 description 1
- 235000011010 calcium phosphates Nutrition 0.000 description 1
- ZEWYCNBZMPELPF-UHFFFAOYSA-J calcium;potassium;sodium;2-hydroxypropanoic acid;sodium;tetrachloride Chemical compound [Na].[Na+].[Cl-].[Cl-].[Cl-].[Cl-].[K+].[Ca+2].CC(O)C(O)=O ZEWYCNBZMPELPF-UHFFFAOYSA-J 0.000 description 1
- 229940022399 cancer vaccine Drugs 0.000 description 1
- 150000001718 carbodiimides Chemical class 0.000 description 1
- 229910002091 carbon monoxide Inorganic materials 0.000 description 1
- 229960004562 carboplatin Drugs 0.000 description 1
- 230000000747 cardiac effect Effects 0.000 description 1
- 238000012754 cardiac puncture Methods 0.000 description 1
- 230000003197 catalytic effect Effects 0.000 description 1
- 238000006555 catalytic reaction Methods 0.000 description 1
- 230000001364 causal effect Effects 0.000 description 1
- 239000013553 cell monolayer Substances 0.000 description 1
- 230000004663 cell proliferation Effects 0.000 description 1
- 230000007248 cellular mechanism Effects 0.000 description 1
- 239000001913 cellulose Substances 0.000 description 1
- 229920002678 cellulose Polymers 0.000 description 1
- 238000005119 centrifugation Methods 0.000 description 1
- 238000007385 chemical modification Methods 0.000 description 1
- 239000007795 chemical reaction product Substances 0.000 description 1
- 238000002038 chemiluminescence detection Methods 0.000 description 1
- 210000000038 chest Anatomy 0.000 description 1
- 238000000546 chi-square test Methods 0.000 description 1
- VDQQXEISLMTGAB-UHFFFAOYSA-N chloramine T Chemical compound [Na+].CC1=CC=C(S(=O)(=O)[N-]Cl)C=C1 VDQQXEISLMTGAB-UHFFFAOYSA-N 0.000 description 1
- 239000013611 chromosomal DNA Substances 0.000 description 1
- 230000004186 co-expression Effects 0.000 description 1
- 239000011248 coating agent Substances 0.000 description 1
- 238000000576 coating method Methods 0.000 description 1
- 239000005515 coenzyme Substances 0.000 description 1
- 210000001072 colon Anatomy 0.000 description 1
- 238000004040 coloring Methods 0.000 description 1
- 238000011220 combination immunotherapy Methods 0.000 description 1
- 235000015246 common arrowhead Nutrition 0.000 description 1
- 230000024203 complement activation Effects 0.000 description 1
- 230000004540 complement-dependent cytotoxicity Effects 0.000 description 1
- 230000009918 complex formation Effects 0.000 description 1
- 238000013170 computed tomography imaging Methods 0.000 description 1
- 238000012790 confirmation Methods 0.000 description 1
- 210000002808 connective tissue Anatomy 0.000 description 1
- 230000037011 constitutive activity Effects 0.000 description 1
- 238000012937 correction Methods 0.000 description 1
- 230000008878 coupling Effects 0.000 description 1
- 238000010168 coupling process Methods 0.000 description 1
- 238000005859 coupling reaction Methods 0.000 description 1
- 238000004132 cross linking Methods 0.000 description 1
- 239000003431 cross linking reagent Substances 0.000 description 1
- 150000003983 crown ethers Chemical class 0.000 description 1
- 239000013078 crystal Substances 0.000 description 1
- 239000012228 culture supernatant Substances 0.000 description 1
- 238000012258 culturing Methods 0.000 description 1
- 210000000805 cytoplasm Anatomy 0.000 description 1
- 239000002254 cytotoxic agent Substances 0.000 description 1
- 239000002619 cytotoxin Substances 0.000 description 1
- 230000022811 deglycosylation Effects 0.000 description 1
- 239000007857 degradation product Substances 0.000 description 1
- 230000018044 dehydration Effects 0.000 description 1
- 238000006297 dehydration reaction Methods 0.000 description 1
- 229960003964 deoxycholic acid Drugs 0.000 description 1
- 239000005547 deoxyribonucleotide Substances 0.000 description 1
- 125000002637 deoxyribonucleotide group Chemical group 0.000 description 1
- 238000009795 derivation Methods 0.000 description 1
- 239000003599 detergent Substances 0.000 description 1
- 229960003957 dexamethasone Drugs 0.000 description 1
- UREBDLICKHMUKA-CXSFZGCWSA-N dexamethasone Chemical compound C1CC2=CC(=O)C=C[C@]2(C)[C@]2(F)[C@@H]1[C@@H]1C[C@@H](C)[C@@](C(=O)CO)(O)[C@@]1(C)C[C@@H]2O UREBDLICKHMUKA-CXSFZGCWSA-N 0.000 description 1
- 238000013154 diagnostic monitoring Methods 0.000 description 1
- 238000012631 diagnostic technique Methods 0.000 description 1
- 238000010586 diagram Methods 0.000 description 1
- 238000000502 dialysis Methods 0.000 description 1
- 230000004069 differentiation Effects 0.000 description 1
- 108020001096 dihydrofolate reductase Proteins 0.000 description 1
- 125000005442 diisocyanate group Chemical group 0.000 description 1
- 238000002224 dissection Methods 0.000 description 1
- 238000009826 distribution Methods 0.000 description 1
- 208000002173 dizziness Diseases 0.000 description 1
- 239000002552 dosage form Substances 0.000 description 1
- 239000003937 drug carrier Substances 0.000 description 1
- 230000002526 effect on cardiovascular system Effects 0.000 description 1
- 230000008030 elimination Effects 0.000 description 1
- 238000003379 elimination reaction Methods 0.000 description 1
- 239000003995 emulsifying agent Substances 0.000 description 1
- YQGOJNYOYNNSMM-UHFFFAOYSA-N eosin Chemical compound [Na+].OC(=O)C1=CC=CC=C1C1=C2C=C(Br)C(=O)C(Br)=C2OC2=C(Br)C(O)=C(Br)C=C21 YQGOJNYOYNNSMM-UHFFFAOYSA-N 0.000 description 1
- 206010015037 epilepsy Diseases 0.000 description 1
- YJGVMLPVUAXIQN-UHFFFAOYSA-N epipodophyllotoxin Natural products COC1=C(OC)C(OC)=CC(C2C3=CC=4OCOC=4C=C3C(O)C3C2C(OC3)=O)=C1 YJGVMLPVUAXIQN-UHFFFAOYSA-N 0.000 description 1
- 210000000981 epithelium Anatomy 0.000 description 1
- UYAHIZSMUZPPFV-UHFFFAOYSA-N erbium Chemical compound [Er] UYAHIZSMUZPPFV-UHFFFAOYSA-N 0.000 description 1
- OGPBJKLSAFTDLK-UHFFFAOYSA-N europium atom Chemical compound [Eu] OGPBJKLSAFTDLK-UHFFFAOYSA-N 0.000 description 1
- 230000029142 excretion Effects 0.000 description 1
- 238000013213 extrapolation Methods 0.000 description 1
- 238000000855 fermentation Methods 0.000 description 1
- 230000004151 fermentation Effects 0.000 description 1
- 229960004887 ferric hydroxide Drugs 0.000 description 1
- 239000012091 fetal bovine serum Substances 0.000 description 1
- UIWYJDYFSGRHKR-UHFFFAOYSA-N gadolinium atom Chemical compound [Gd] UIWYJDYFSGRHKR-UHFFFAOYSA-N 0.000 description 1
- 230000002496 gastric effect Effects 0.000 description 1
- 238000001502 gel electrophoresis Methods 0.000 description 1
- 238000001415 gene therapy Methods 0.000 description 1
- 238000007429 general method Methods 0.000 description 1
- 230000002068 genetic effect Effects 0.000 description 1
- 210000004602 germ cell Anatomy 0.000 description 1
- 230000002518 glial effect Effects 0.000 description 1
- 229940116332 glucose oxidase Drugs 0.000 description 1
- 235000019420 glucose oxidase Nutrition 0.000 description 1
- 235000013922 glutamic acid Nutrition 0.000 description 1
- 239000004220 glutamic acid Substances 0.000 description 1
- 150000002334 glycols Chemical class 0.000 description 1
- 230000002414 glycolytic effect Effects 0.000 description 1
- 239000001963 growth medium Substances 0.000 description 1
- 239000003630 growth substance Substances 0.000 description 1
- 210000003128 head Anatomy 0.000 description 1
- 230000036541 health Effects 0.000 description 1
- 210000003494 hepatocyte Anatomy 0.000 description 1
- 229940022353 herceptin Drugs 0.000 description 1
- 230000002962 histologic effect Effects 0.000 description 1
- 238000010562 histological examination Methods 0.000 description 1
- KJZYNXUDTRRSPN-UHFFFAOYSA-N holmium atom Chemical compound [Ho] KJZYNXUDTRRSPN-UHFFFAOYSA-N 0.000 description 1
- 238000013415 human tumor xenograft model Methods 0.000 description 1
- 239000001257 hydrogen Substances 0.000 description 1
- WGCNASOHLSPBMP-UHFFFAOYSA-N hydroxyacetaldehyde Natural products OCC=O WGCNASOHLSPBMP-UHFFFAOYSA-N 0.000 description 1
- 229960001330 hydroxycarbamide Drugs 0.000 description 1
- 229960001680 ibuprofen Drugs 0.000 description 1
- 239000012216 imaging agent Substances 0.000 description 1
- 230000002519 immonomodulatory effect Effects 0.000 description 1
- 239000012651 immune agonist Substances 0.000 description 1
- 229940044680 immune agonist Drugs 0.000 description 1
- 230000001900 immune effect Effects 0.000 description 1
- 230000008105 immune reaction Effects 0.000 description 1
- 238000003018 immunoassay Methods 0.000 description 1
- 230000002055 immunohistochemical effect Effects 0.000 description 1
- 238000011532 immunohistochemical staining Methods 0.000 description 1
- 238000013388 immunohistochemistry analysis Methods 0.000 description 1
- 238000009169 immunotherapy Methods 0.000 description 1
- 238000002513 implantation Methods 0.000 description 1
- 238000000099 in vitro assay Methods 0.000 description 1
- 238000005462 in vivo assay Methods 0.000 description 1
- 238000011503 in vivo imaging Methods 0.000 description 1
- 230000002779 inactivation Effects 0.000 description 1
- 238000011534 incubation Methods 0.000 description 1
- 229940055742 indium-111 Drugs 0.000 description 1
- 230000006698 induction Effects 0.000 description 1
- 208000015181 infectious disease Diseases 0.000 description 1
- 230000028709 inflammatory response Effects 0.000 description 1
- 238000001802 infusion Methods 0.000 description 1
- 239000004615 ingredient Substances 0.000 description 1
- ZPNFWUPYTFPOJU-LPYSRVMUSA-N iniprol Chemical compound C([C@H]1C(=O)NCC(=O)NCC(=O)N[C@H]2CSSC[C@H]3C(=O)N[C@@H](CCCCN)C(=O)N[C@@H](C)C(=O)N[C@@H](CCCNC(N)=N)C(=O)N[C@H](C(N[C@H](C(=O)N[C@@H](CCCNC(N)=N)C(=O)N[C@@H](CC=4C=CC(O)=CC=4)C(=O)N[C@@H](CC=4C=CC=CC=4)C(=O)N[C@@H](CC=4C=CC(O)=CC=4)C(=O)N[C@@H](CC(N)=O)C(=O)N[C@@H](C)C(=O)N[C@@H](CCCCN)C(=O)N[C@@H](C)C(=O)NCC(=O)N[C@@H](CC(C)C)C(=O)N[C@@H](CSSC[C@H](NC(=O)[C@H](CC(O)=O)NC(=O)[C@H](CCC(O)=O)NC(=O)[C@H](C)NC(=O)[C@H](CO)NC(=O)[C@H](CCCCN)NC(=O)[C@H](CC=4C=CC=CC=4)NC(=O)[C@H](CC(N)=O)NC(=O)[C@H](CC(N)=O)NC(=O)[C@H](CCCNC(N)=N)NC(=O)[C@H](CCCCN)NC(=O)[C@H](C)NC(=O)[C@H](CCCNC(N)=N)NC2=O)C(=O)N[C@@H](CCSC)C(=O)N[C@@H](CCCNC(N)=N)C(=O)N[C@@H]([C@@H](C)O)C(=O)N[C@@H](CSSC[C@H](NC(=O)[C@H](CC=2C=CC=CC=2)NC(=O)[C@H](CC(O)=O)NC(=O)[C@H]2N(CCC2)C(=O)[C@@H](N)CCCNC(N)=N)C(=O)N[C@@H](CC(C)C)C(=O)N[C@@H](CCC(O)=O)C(=O)N2[C@@H](CCC2)C(=O)N2[C@@H](CCC2)C(=O)N[C@@H](CC=2C=CC(O)=CC=2)C(=O)N[C@@H]([C@@H](C)O)C(=O)NCC(=O)N2[C@@H](CCC2)C(=O)N3)C(=O)NCC(=O)NCC(=O)N[C@@H](C)C(O)=O)C(=O)N[C@@H](CCC(N)=O)C(=O)N[C@H](C(=O)N[C@@H](CC=2C=CC=CC=2)C(=O)N[C@H](C(=O)N1)C(C)C)[C@@H](C)O)[C@@H](C)CC)=O)[C@@H](C)CC)C1=CC=C(O)C=C1 ZPNFWUPYTFPOJU-LPYSRVMUSA-N 0.000 description 1
- 238000013383 initial experiment Methods 0.000 description 1
- 150000007529 inorganic bases Chemical class 0.000 description 1
- 230000010354 integration Effects 0.000 description 1
- 230000004068 intracellular signaling Effects 0.000 description 1
- 238000007912 intraperitoneal administration Methods 0.000 description 1
- 238000001990 intravenous administration Methods 0.000 description 1
- 230000009545 invasion Effects 0.000 description 1
- 239000011630 iodine Substances 0.000 description 1
- 229910052740 iodine Inorganic materials 0.000 description 1
- 239000002555 ionophore Substances 0.000 description 1
- 230000000236 ionophoric effect Effects 0.000 description 1
- 229910052742 iron Inorganic materials 0.000 description 1
- IEECXTSVVFWGSE-UHFFFAOYSA-M iron(3+);oxygen(2-);hydroxide Chemical compound [OH-].[O-2].[Fe+3] IEECXTSVVFWGSE-UHFFFAOYSA-M 0.000 description 1
- 230000001678 irradiating effect Effects 0.000 description 1
- 238000002955 isolation Methods 0.000 description 1
- AGPKZVBTJJNPAG-UHFFFAOYSA-N isoleucine Natural products CCC(C)C(N)C(O)=O AGPKZVBTJJNPAG-UHFFFAOYSA-N 0.000 description 1
- 229960000310 isoleucine Drugs 0.000 description 1
- JJWLVOIRVHMVIS-UHFFFAOYSA-N isopropylamine Chemical compound CC(C)N JJWLVOIRVHMVIS-UHFFFAOYSA-N 0.000 description 1
- 150000002540 isothiocyanates Chemical class 0.000 description 1
- 210000002510 keratinocyte Anatomy 0.000 description 1
- DKYWVDODHFEZIM-UHFFFAOYSA-N ketoprofen Chemical compound OC(=O)C(C)C1=CC=CC(C(=O)C=2C=CC=CC=2)=C1 DKYWVDODHFEZIM-UHFFFAOYSA-N 0.000 description 1
- 229960000991 ketoprofen Drugs 0.000 description 1
- 229910052746 lanthanum Inorganic materials 0.000 description 1
- FZLIPJUXYLNCLC-UHFFFAOYSA-N lanthanum atom Chemical compound [La] FZLIPJUXYLNCLC-UHFFFAOYSA-N 0.000 description 1
- 150000002605 large molecules Chemical class 0.000 description 1
- 239000001102 lavandula vera Substances 0.000 description 1
- 235000018219 lavender Nutrition 0.000 description 1
- 208000032839 leukemia Diseases 0.000 description 1
- 108020001756 ligand binding domains Proteins 0.000 description 1
- 238000012417 linear regression Methods 0.000 description 1
- 239000002502 liposome Substances 0.000 description 1
- 239000006193 liquid solution Substances 0.000 description 1
- 239000006194 liquid suspension Substances 0.000 description 1
- 230000007774 longterm Effects 0.000 description 1
- DLBFLQKQABVKGT-UHFFFAOYSA-L lucifer yellow dye Chemical compound [Li+].[Li+].[O-]S(=O)(=O)C1=CC(C(N(C(=O)NN)C2=O)=O)=C3C2=CC(S([O-])(=O)=O)=CC3=C1N DLBFLQKQABVKGT-UHFFFAOYSA-L 0.000 description 1
- 201000005243 lung squamous cell carcinoma Diseases 0.000 description 1
- 208000037841 lung tumor Diseases 0.000 description 1
- 229960003646 lysine Drugs 0.000 description 1
- 230000002080 lysosomotropic effect Effects 0.000 description 1
- 229920002521 macromolecule Polymers 0.000 description 1
- 239000011777 magnesium Substances 0.000 description 1
- 229910052749 magnesium Inorganic materials 0.000 description 1
- 230000014759 maintenance of location Effects 0.000 description 1
- 230000036210 malignancy Effects 0.000 description 1
- 208000030883 malignant astrocytoma Diseases 0.000 description 1
- 208000015486 malignant pancreatic neoplasm Diseases 0.000 description 1
- 229960002510 mandelic acid Drugs 0.000 description 1
- WPBNNNQJVZRUHP-UHFFFAOYSA-L manganese(2+);methyl n-[[2-(methoxycarbonylcarbamothioylamino)phenyl]carbamothioyl]carbamate;n-[2-(sulfidocarbothioylamino)ethyl]carbamodithioate Chemical compound [Mn+2].[S-]C(=S)NCCNC([S-])=S.COC(=O)NC(=S)NC1=CC=CC=C1NC(=S)NC(=O)OC WPBNNNQJVZRUHP-UHFFFAOYSA-L 0.000 description 1
- 125000000311 mannosyl group Chemical group C1([C@@H](O)[C@@H](O)[C@H](O)[C@H](O1)CO)* 0.000 description 1
- 238000001819 mass spectrum Methods 0.000 description 1
- 230000013011 mating Effects 0.000 description 1
- 208000023356 medullary thyroid gland carcinoma Diseases 0.000 description 1
- 201000001441 melanoma Diseases 0.000 description 1
- 230000011987 methylation Effects 0.000 description 1
- 238000007069 methylation reaction Methods 0.000 description 1
- 238000000386 microscopy Methods 0.000 description 1
- 150000007522 mineralic acids Chemical class 0.000 description 1
- 230000011278 mitosis Effects 0.000 description 1
- 230000000394 mitotic effect Effects 0.000 description 1
- 230000001483 mobilizing effect Effects 0.000 description 1
- 230000007193 modulation by symbiont of host erythrocyte aggregation Effects 0.000 description 1
- 238000003032 molecular docking Methods 0.000 description 1
- 239000000178 monomer Substances 0.000 description 1
- 150000002772 monosaccharides Chemical class 0.000 description 1
- 229960005181 morphine Drugs 0.000 description 1
- 210000004877 mucosa Anatomy 0.000 description 1
- 230000000869 mutational effect Effects 0.000 description 1
- VELGMVLNORPMAO-JTFNWEOFSA-N n-[(e)-1-[(3r,4r,5s,6r)-5-[(2s,3r,4r,5r,6r)-5-[(2s,3r,4r,5r,6r)-3-acetamido-5-hydroxy-6-(hydroxymethyl)-4-[(2r,3r,4s,5r,6r)-3,4,5-trihydroxy-6-(hydroxymethyl)oxan-2-yl]oxyoxan-2-yl]oxy-3,4-dihydroxy-6-(hydroxymethyl)oxan-2-yl]oxy-3,4-dihydroxy-6-(hydroxym Chemical compound O[C@@H]1[C@@H](O)C(OCC(NC(=O)CCCCCCCCCCCCCCCCC)C(O)\C=C\CCCCCCCCCCCCC)O[C@H](CO)[C@H]1O[C@H]1[C@H](O)[C@@H](O)[C@@H](O[C@H]2[C@@H]([C@@H](O[C@H]3[C@@H]([C@@H](O)[C@@H](O)[C@@H](CO)O3)O)[C@@H](O)[C@@H](CO)O2)NC(C)=O)[C@@H](CO)O1 VELGMVLNORPMAO-JTFNWEOFSA-N 0.000 description 1
- 239000013642 negative control Substances 0.000 description 1
- 230000017066 negative regulation of growth Effects 0.000 description 1
- 208000025440 neoplasm of neck Diseases 0.000 description 1
- 210000001577 neostriatum Anatomy 0.000 description 1
- 230000001537 neural effect Effects 0.000 description 1
- 210000004498 neuroglial cell Anatomy 0.000 description 1
- 229910052759 nickel Inorganic materials 0.000 description 1
- 125000000449 nitro group Chemical group [O-][N+](*)=O 0.000 description 1
- 108020001162 nitroreductase Proteins 0.000 description 1
- 208000002154 non-small cell lung carcinoma Diseases 0.000 description 1
- 229940021182 non-steroidal anti-inflammatory drug Drugs 0.000 description 1
- 230000009871 nonspecific binding Effects 0.000 description 1
- 231100000252 nontoxic Toxicity 0.000 description 1
- 230000003000 nontoxic effect Effects 0.000 description 1
- 238000007899 nucleic acid hybridization Methods 0.000 description 1
- 235000015097 nutrients Nutrition 0.000 description 1
- 238000011275 oncology therapy Methods 0.000 description 1
- 229940127240 opiate Drugs 0.000 description 1
- 210000003463 organelle Anatomy 0.000 description 1
- 150000007524 organic acids Chemical class 0.000 description 1
- 235000005985 organic acids Nutrition 0.000 description 1
- 150000007530 organic bases Chemical class 0.000 description 1
- 229910000489 osmium tetroxide Inorganic materials 0.000 description 1
- 235000006408 oxalic acid Nutrition 0.000 description 1
- 125000004430 oxygen atom Chemical group O* 0.000 description 1
- 239000006179 pH buffering agent Substances 0.000 description 1
- 229960001592 paclitaxel Drugs 0.000 description 1
- 201000002528 pancreatic cancer Diseases 0.000 description 1
- 208000008443 pancreatic carcinoma Diseases 0.000 description 1
- 229940055729 papain Drugs 0.000 description 1
- 235000019834 papain Nutrition 0.000 description 1
- 208000003154 papilloma Diseases 0.000 description 1
- 229960005489 paracetamol Drugs 0.000 description 1
- 229920002866 paraformaldehyde Polymers 0.000 description 1
- 230000007170 pathology Effects 0.000 description 1
- 239000013610 patient sample Substances 0.000 description 1
- 229940049954 penicillin Drugs 0.000 description 1
- 239000000137 peptide hydrolase inhibitor Substances 0.000 description 1
- 230000008447 perception Effects 0.000 description 1
- 125000001997 phenyl group Chemical group [H]C1=C([H])C([H])=C(*)C([H])=C1[H] 0.000 description 1
- DCWXELXMIBXGTH-UHFFFAOYSA-N phosphotyrosine Chemical compound OC(=O)C(N)CC1=CC=C(OP(O)(O)=O)C=C1 DCWXELXMIBXGTH-UHFFFAOYSA-N 0.000 description 1
- 210000002826 placenta Anatomy 0.000 description 1
- 239000004033 plastic Substances 0.000 description 1
- 229920003023 plastic Polymers 0.000 description 1
- 229920002401 polyacrylamide Polymers 0.000 description 1
- 229920000768 polyamine Polymers 0.000 description 1
- 102000040430 polynucleotide Human genes 0.000 description 1
- 108091033319 polynucleotide Proteins 0.000 description 1
- 239000002157 polynucleotide Substances 0.000 description 1
- 229920002981 polyvinylidene fluoride Polymers 0.000 description 1
- 238000010837 poor prognosis Methods 0.000 description 1
- 150000004032 porphyrins Chemical class 0.000 description 1
- 230000001376 precipitating effect Effects 0.000 description 1
- 239000002243 precursor Substances 0.000 description 1
- 230000002265 prevention Effects 0.000 description 1
- 125000002924 primary amino group Chemical group [H]N([H])* 0.000 description 1
- 210000001948 pro-b lymphocyte Anatomy 0.000 description 1
- REQCZEXYDRLIBE-UHFFFAOYSA-N procainamide Chemical compound CCN(CC)CCNC(=O)C1=CC=C(N)C=C1 REQCZEXYDRLIBE-UHFFFAOYSA-N 0.000 description 1
- MFDFERRIHVXMIY-UHFFFAOYSA-N procaine Chemical compound CCN(CC)CCOC(=O)C1=CC=C(N)C=C1 MFDFERRIHVXMIY-UHFFFAOYSA-N 0.000 description 1
- 229960004919 procaine Drugs 0.000 description 1
- 229940002612 prodrug Drugs 0.000 description 1
- 239000000651 prodrug Substances 0.000 description 1
- 208000023958 prostate neoplasm Diseases 0.000 description 1
- 125000006239 protecting group Chemical group 0.000 description 1
- 230000017854 proteolysis Effects 0.000 description 1
- 239000002510 pyrogen Substances 0.000 description 1
- 229940051022 radioimmunoconjugate Drugs 0.000 description 1
- 238000002708 random mutagenesis Methods 0.000 description 1
- 230000008707 rearrangement Effects 0.000 description 1
- 230000006798 recombination Effects 0.000 description 1
- 238000005215 recombination Methods 0.000 description 1
- 230000025053 regulation of cell proliferation Effects 0.000 description 1
- 230000003252 repetitive effect Effects 0.000 description 1
- 229920005989 resin Polymers 0.000 description 1
- 239000011347 resin Substances 0.000 description 1
- 230000000717 retained effect Effects 0.000 description 1
- 238000004007 reversed phase HPLC Methods 0.000 description 1
- 229910052702 rhenium Inorganic materials 0.000 description 1
- WUAPFZMCVAUBPE-UHFFFAOYSA-N rhenium atom Chemical compound [Re] WUAPFZMCVAUBPE-UHFFFAOYSA-N 0.000 description 1
- PYWVYCXTNDRMGF-UHFFFAOYSA-N rhodamine B Chemical compound [Cl-].C=12C=CC(=[N+](CC)CC)C=C2OC2=CC(N(CC)CC)=CC=C2C=1C1=CC=CC=C1C(O)=O PYWVYCXTNDRMGF-UHFFFAOYSA-N 0.000 description 1
- 238000005070 sampling Methods 0.000 description 1
- 238000012216 screening Methods 0.000 description 1
- 230000003248 secreting effect Effects 0.000 description 1
- 238000000926 separation method Methods 0.000 description 1
- 239000012679 serum free medium Substances 0.000 description 1
- 238000012807 shake-flask culturing Methods 0.000 description 1
- 229910052709 silver Inorganic materials 0.000 description 1
- 239000004332 silver Substances 0.000 description 1
- 239000001632 sodium acetate Substances 0.000 description 1
- 235000017281 sodium acetate Nutrition 0.000 description 1
- FHHPUSMSKHSNKW-SMOYURAASA-M sodium deoxycholate Chemical compound [Na+].C([C@H]1CC2)[C@H](O)CC[C@]1(C)[C@@H]1[C@@H]2[C@@H]2CC[C@H]([C@@H](CCC([O-])=O)C)[C@@]2(C)[C@@H](O)C1 FHHPUSMSKHSNKW-SMOYURAASA-M 0.000 description 1
- 239000007790 solid phase Substances 0.000 description 1
- 238000001228 spectrum Methods 0.000 description 1
- 230000003393 splenic effect Effects 0.000 description 1
- 210000004085 squamous epithelial cell Anatomy 0.000 description 1
- 210000000130 stem cell Anatomy 0.000 description 1
- 210000002784 stomach Anatomy 0.000 description 1
- 229960005322 streptomycin Drugs 0.000 description 1
- 238000010254 subcutaneous injection Methods 0.000 description 1
- 239000007929 subcutaneous injection Substances 0.000 description 1
- 239000000725 suspension Substances 0.000 description 1
- 230000009897 systematic effect Effects 0.000 description 1
- 238000009121 systemic therapy Methods 0.000 description 1
- 239000011975 tartaric acid Substances 0.000 description 1
- 235000002906 tartaric acid Nutrition 0.000 description 1
- RCINICONZNJXQF-MZXODVADSA-N taxol Chemical compound O([C@@H]1[C@@]2(C[C@@H](C(C)=C(C2(C)C)[C@H](C([C@]2(C)[C@@H](O)C[C@H]3OC[C@]3([C@H]21)OC(C)=O)=O)OC(=O)C)OC(=O)[C@H](O)[C@@H](NC(=O)C=1C=CC=CC=1)C=1C=CC=CC=1)O)C(=O)C1=CC=CC=C1 RCINICONZNJXQF-MZXODVADSA-N 0.000 description 1
- MPLHNVLQVRSVEE-UHFFFAOYSA-N texas red Chemical compound [O-]S(=O)(=O)C1=CC(S(Cl)(=O)=O)=CC=C1C(C1=CC=2CCCN3CCCC(C=23)=C1O1)=C2C1=C(CCC1)C3=[N+]1CCCC3=C2 MPLHNVLQVRSVEE-UHFFFAOYSA-N 0.000 description 1
- 239000010409 thin film Substances 0.000 description 1
- 229940113082 thymine Drugs 0.000 description 1
- 208000013818 thyroid gland medullary carcinoma Diseases 0.000 description 1
- 230000001988 toxicity Effects 0.000 description 1
- 231100000419 toxicity Toxicity 0.000 description 1
- 230000005030 transcription termination Effects 0.000 description 1
- 230000002103 transcriptional effect Effects 0.000 description 1
- 238000012546 transfer Methods 0.000 description 1
- 238000011830 transgenic mouse model Methods 0.000 description 1
- 230000032258 transport Effects 0.000 description 1
- QORWJWZARLRLPR-UHFFFAOYSA-H tricalcium bis(phosphate) Chemical compound [Ca+2].[Ca+2].[Ca+2].[O-]P([O-])([O-])=O.[O-]P([O-])([O-])=O QORWJWZARLRLPR-UHFFFAOYSA-H 0.000 description 1
- 239000013638 trimer Substances 0.000 description 1
- GPRLSGONYQIRFK-MNYXATJNSA-N triton Chemical compound [3H+] GPRLSGONYQIRFK-MNYXATJNSA-N 0.000 description 1
- 210000002993 trophoblast Anatomy 0.000 description 1
- 102000003298 tumor necrosis factor receptor Human genes 0.000 description 1
- 238000013042 tunel staining Methods 0.000 description 1
- 230000034512 ubiquitination Effects 0.000 description 1
- 238000010798 ubiquitination Methods 0.000 description 1
- 241000701161 unidentified adenovirus Species 0.000 description 1
- 241001515965 unidentified phage Species 0.000 description 1
- 230000003827 upregulation Effects 0.000 description 1
- 239000004474 valine Substances 0.000 description 1
- 230000009385 viral infection Effects 0.000 description 1
- 210000001260 vocal cord Anatomy 0.000 description 1
- 239000011534 wash buffer Substances 0.000 description 1
- 230000003442 weekly effect Effects 0.000 description 1
- 238000009736 wetting Methods 0.000 description 1
- 239000000080 wetting agent Substances 0.000 description 1
- 239000012130 whole-cell lysate Substances 0.000 description 1
- 210000005253 yeast cell Anatomy 0.000 description 1
- 239000011592 zinc chloride Substances 0.000 description 1
- 235000005074 zinc chloride Nutrition 0.000 description 1
Images
Classifications
-
- C—CHEMISTRY; METALLURGY
- C07—ORGANIC CHEMISTRY
- C07K—PEPTIDES
- C07K16/00—Immunoglobulins [IGs], e.g. monoclonal or polyclonal antibodies
- C07K16/18—Immunoglobulins [IGs], e.g. monoclonal or polyclonal antibodies against material from animals or humans
- C07K16/28—Immunoglobulins [IGs], e.g. monoclonal or polyclonal antibodies against material from animals or humans against receptors, cell surface antigens or cell surface determinants
- C07K16/30—Immunoglobulins [IGs], e.g. monoclonal or polyclonal antibodies against material from animals or humans against receptors, cell surface antigens or cell surface determinants from tumour cells
-
- A—HUMAN NECESSITIES
- A61—MEDICAL OR VETERINARY SCIENCE; HYGIENE
- A61K—PREPARATIONS FOR MEDICAL, DENTAL OR TOILETRY PURPOSES
- A61K47/00—Medicinal preparations characterised by the non-active ingredients used, e.g. carriers or inert additives; Targeting or modifying agents chemically bound to the active ingredient
- A61K47/50—Medicinal preparations characterised by the non-active ingredients used, e.g. carriers or inert additives; Targeting or modifying agents chemically bound to the active ingredient the non-active ingredient being chemically bound to the active ingredient, e.g. polymer-drug conjugates
- A61K47/51—Medicinal preparations characterised by the non-active ingredients used, e.g. carriers or inert additives; Targeting or modifying agents chemically bound to the active ingredient the non-active ingredient being chemically bound to the active ingredient, e.g. polymer-drug conjugates the non-active ingredient being a modifying agent
- A61K47/68—Medicinal preparations characterised by the non-active ingredients used, e.g. carriers or inert additives; Targeting or modifying agents chemically bound to the active ingredient the non-active ingredient being chemically bound to the active ingredient, e.g. polymer-drug conjugates the non-active ingredient being a modifying agent the modifying agent being an antibody, an immunoglobulin or a fragment thereof, e.g. an Fc-fragment
- A61K47/6835—Medicinal preparations characterised by the non-active ingredients used, e.g. carriers or inert additives; Targeting or modifying agents chemically bound to the active ingredient the non-active ingredient being chemically bound to the active ingredient, e.g. polymer-drug conjugates the non-active ingredient being a modifying agent the modifying agent being an antibody, an immunoglobulin or a fragment thereof, e.g. an Fc-fragment the modifying agent being an antibody or an immunoglobulin bearing at least one antigen-binding site
- A61K47/6849—Medicinal preparations characterised by the non-active ingredients used, e.g. carriers or inert additives; Targeting or modifying agents chemically bound to the active ingredient the non-active ingredient being chemically bound to the active ingredient, e.g. polymer-drug conjugates the non-active ingredient being a modifying agent the modifying agent being an antibody, an immunoglobulin or a fragment thereof, e.g. an Fc-fragment the modifying agent being an antibody or an immunoglobulin bearing at least one antigen-binding site the antibody targeting a receptor, a cell surface antigen or a cell surface determinant
-
- C—CHEMISTRY; METALLURGY
- C07—ORGANIC CHEMISTRY
- C07K—PEPTIDES
- C07K16/00—Immunoglobulins [IGs], e.g. monoclonal or polyclonal antibodies
- C07K16/40—Immunoglobulins [IGs], e.g. monoclonal or polyclonal antibodies against enzymes
-
- A—HUMAN NECESSITIES
- A61—MEDICAL OR VETERINARY SCIENCE; HYGIENE
- A61K—PREPARATIONS FOR MEDICAL, DENTAL OR TOILETRY PURPOSES
- A61K31/00—Medicinal preparations containing organic active ingredients
- A61K31/33—Heterocyclic compounds
- A61K31/395—Heterocyclic compounds having nitrogen as a ring hetero atom, e.g. guanethidine or rifamycins
- A61K31/495—Heterocyclic compounds having nitrogen as a ring hetero atom, e.g. guanethidine or rifamycins having six-membered rings with two or more nitrogen atoms as the only ring heteroatoms, e.g. piperazine or tetrazines
-
- A—HUMAN NECESSITIES
- A61—MEDICAL OR VETERINARY SCIENCE; HYGIENE
- A61K—PREPARATIONS FOR MEDICAL, DENTAL OR TOILETRY PURPOSES
- A61K39/00—Medicinal preparations containing antigens or antibodies
- A61K39/395—Antibodies; Immunoglobulins; Immune serum, e.g. antilymphocytic serum
-
- A—HUMAN NECESSITIES
- A61—MEDICAL OR VETERINARY SCIENCE; HYGIENE
- A61K—PREPARATIONS FOR MEDICAL, DENTAL OR TOILETRY PURPOSES
- A61K39/00—Medicinal preparations containing antigens or antibodies
- A61K39/395—Antibodies; Immunoglobulins; Immune serum, e.g. antilymphocytic serum
- A61K39/39533—Antibodies; Immunoglobulins; Immune serum, e.g. antilymphocytic serum against materials from animals
- A61K39/39541—Antibodies; Immunoglobulins; Immune serum, e.g. antilymphocytic serum against materials from animals against normal tissues, cells
-
- A—HUMAN NECESSITIES
- A61—MEDICAL OR VETERINARY SCIENCE; HYGIENE
- A61K—PREPARATIONS FOR MEDICAL, DENTAL OR TOILETRY PURPOSES
- A61K39/00—Medicinal preparations containing antigens or antibodies
- A61K39/395—Antibodies; Immunoglobulins; Immune serum, e.g. antilymphocytic serum
- A61K39/39533—Antibodies; Immunoglobulins; Immune serum, e.g. antilymphocytic serum against materials from animals
- A61K39/39558—Antibodies; Immunoglobulins; Immune serum, e.g. antilymphocytic serum against materials from animals against tumor tissues, cells, antigens
-
- A—HUMAN NECESSITIES
- A61—MEDICAL OR VETERINARY SCIENCE; HYGIENE
- A61K—PREPARATIONS FOR MEDICAL, DENTAL OR TOILETRY PURPOSES
- A61K47/00—Medicinal preparations characterised by the non-active ingredients used, e.g. carriers or inert additives; Targeting or modifying agents chemically bound to the active ingredient
- A61K47/50—Medicinal preparations characterised by the non-active ingredients used, e.g. carriers or inert additives; Targeting or modifying agents chemically bound to the active ingredient the non-active ingredient being chemically bound to the active ingredient, e.g. polymer-drug conjugates
- A61K47/51—Medicinal preparations characterised by the non-active ingredients used, e.g. carriers or inert additives; Targeting or modifying agents chemically bound to the active ingredient the non-active ingredient being chemically bound to the active ingredient, e.g. polymer-drug conjugates the non-active ingredient being a modifying agent
- A61K47/68—Medicinal preparations characterised by the non-active ingredients used, e.g. carriers or inert additives; Targeting or modifying agents chemically bound to the active ingredient the non-active ingredient being chemically bound to the active ingredient, e.g. polymer-drug conjugates the non-active ingredient being a modifying agent the modifying agent being an antibody, an immunoglobulin or a fragment thereof, e.g. an Fc-fragment
-
- A—HUMAN NECESSITIES
- A61—MEDICAL OR VETERINARY SCIENCE; HYGIENE
- A61K—PREPARATIONS FOR MEDICAL, DENTAL OR TOILETRY PURPOSES
- A61K47/00—Medicinal preparations characterised by the non-active ingredients used, e.g. carriers or inert additives; Targeting or modifying agents chemically bound to the active ingredient
- A61K47/50—Medicinal preparations characterised by the non-active ingredients used, e.g. carriers or inert additives; Targeting or modifying agents chemically bound to the active ingredient the non-active ingredient being chemically bound to the active ingredient, e.g. polymer-drug conjugates
- A61K47/51—Medicinal preparations characterised by the non-active ingredients used, e.g. carriers or inert additives; Targeting or modifying agents chemically bound to the active ingredient the non-active ingredient being chemically bound to the active ingredient, e.g. polymer-drug conjugates the non-active ingredient being a modifying agent
- A61K47/68—Medicinal preparations characterised by the non-active ingredients used, e.g. carriers or inert additives; Targeting or modifying agents chemically bound to the active ingredient the non-active ingredient being chemically bound to the active ingredient, e.g. polymer-drug conjugates the non-active ingredient being a modifying agent the modifying agent being an antibody, an immunoglobulin or a fragment thereof, e.g. an Fc-fragment
- A61K47/6835—Medicinal preparations characterised by the non-active ingredients used, e.g. carriers or inert additives; Targeting or modifying agents chemically bound to the active ingredient the non-active ingredient being chemically bound to the active ingredient, e.g. polymer-drug conjugates the non-active ingredient being a modifying agent the modifying agent being an antibody, an immunoglobulin or a fragment thereof, e.g. an Fc-fragment the modifying agent being an antibody or an immunoglobulin bearing at least one antigen-binding site
- A61K47/6871—Medicinal preparations characterised by the non-active ingredients used, e.g. carriers or inert additives; Targeting or modifying agents chemically bound to the active ingredient the non-active ingredient being chemically bound to the active ingredient, e.g. polymer-drug conjugates the non-active ingredient being a modifying agent the modifying agent being an antibody, an immunoglobulin or a fragment thereof, e.g. an Fc-fragment the modifying agent being an antibody or an immunoglobulin bearing at least one antigen-binding site the antibody targeting an enzyme
-
- A—HUMAN NECESSITIES
- A61—MEDICAL OR VETERINARY SCIENCE; HYGIENE
- A61K—PREPARATIONS FOR MEDICAL, DENTAL OR TOILETRY PURPOSES
- A61K51/00—Preparations containing radioactive substances for use in therapy or testing in vivo
- A61K51/02—Preparations containing radioactive substances for use in therapy or testing in vivo characterised by the carrier, i.e. characterised by the agent or material covalently linked or complexing the radioactive nucleus
- A61K51/04—Organic compounds
- A61K51/08—Peptides, e.g. proteins, carriers being peptides, polyamino acids, proteins
- A61K51/10—Antibodies or immunoglobulins; Fragments thereof, the carrier being an antibody, an immunoglobulin or a fragment thereof, e.g. a camelised human single domain antibody or the Fc fragment of an antibody
- A61K51/1027—Antibodies or immunoglobulins; Fragments thereof, the carrier being an antibody, an immunoglobulin or a fragment thereof, e.g. a camelised human single domain antibody or the Fc fragment of an antibody against receptors, cell-surface antigens or cell-surface determinants
- A61K51/103—Antibodies or immunoglobulins; Fragments thereof, the carrier being an antibody, an immunoglobulin or a fragment thereof, e.g. a camelised human single domain antibody or the Fc fragment of an antibody against receptors, cell-surface antigens or cell-surface determinants against receptors for growth factors or receptors for growth regulators
-
- A—HUMAN NECESSITIES
- A61—MEDICAL OR VETERINARY SCIENCE; HYGIENE
- A61K—PREPARATIONS FOR MEDICAL, DENTAL OR TOILETRY PURPOSES
- A61K51/00—Preparations containing radioactive substances for use in therapy or testing in vivo
- A61K51/02—Preparations containing radioactive substances for use in therapy or testing in vivo characterised by the carrier, i.e. characterised by the agent or material covalently linked or complexing the radioactive nucleus
- A61K51/04—Organic compounds
- A61K51/08—Peptides, e.g. proteins, carriers being peptides, polyamino acids, proteins
- A61K51/10—Antibodies or immunoglobulins; Fragments thereof, the carrier being an antibody, an immunoglobulin or a fragment thereof, e.g. a camelised human single domain antibody or the Fc fragment of an antibody
- A61K51/1045—Antibodies or immunoglobulins; Fragments thereof, the carrier being an antibody, an immunoglobulin or a fragment thereof, e.g. a camelised human single domain antibody or the Fc fragment of an antibody against animal or human tumor cells or tumor cell determinants
-
- A—HUMAN NECESSITIES
- A61—MEDICAL OR VETERINARY SCIENCE; HYGIENE
- A61K—PREPARATIONS FOR MEDICAL, DENTAL OR TOILETRY PURPOSES
- A61K51/00—Preparations containing radioactive substances for use in therapy or testing in vivo
- A61K51/02—Preparations containing radioactive substances for use in therapy or testing in vivo characterised by the carrier, i.e. characterised by the agent or material covalently linked or complexing the radioactive nucleus
- A61K51/04—Organic compounds
- A61K51/08—Peptides, e.g. proteins, carriers being peptides, polyamino acids, proteins
- A61K51/10—Antibodies or immunoglobulins; Fragments thereof, the carrier being an antibody, an immunoglobulin or a fragment thereof, e.g. a camelised human single domain antibody or the Fc fragment of an antibody
- A61K51/1078—Antibodies or immunoglobulins; Fragments thereof, the carrier being an antibody, an immunoglobulin or a fragment thereof, e.g. a camelised human single domain antibody or the Fc fragment of an antibody the antibody being against an immunoglobulin, i.e. being an (anti)-anti-idiotypic antibody
-
- A—HUMAN NECESSITIES
- A61—MEDICAL OR VETERINARY SCIENCE; HYGIENE
- A61P—SPECIFIC THERAPEUTIC ACTIVITY OF CHEMICAL COMPOUNDS OR MEDICINAL PREPARATIONS
- A61P35/00—Antineoplastic agents
-
- A—HUMAN NECESSITIES
- A61—MEDICAL OR VETERINARY SCIENCE; HYGIENE
- A61P—SPECIFIC THERAPEUTIC ACTIVITY OF CHEMICAL COMPOUNDS OR MEDICINAL PREPARATIONS
- A61P43/00—Drugs for specific purposes, not provided for in groups A61P1/00-A61P41/00
-
- C—CHEMISTRY; METALLURGY
- C07—ORGANIC CHEMISTRY
- C07K—PEPTIDES
- C07K16/00—Immunoglobulins [IGs], e.g. monoclonal or polyclonal antibodies
- C07K16/18—Immunoglobulins [IGs], e.g. monoclonal or polyclonal antibodies against material from animals or humans
- C07K16/28—Immunoglobulins [IGs], e.g. monoclonal or polyclonal antibodies against material from animals or humans against receptors, cell surface antigens or cell surface determinants
- C07K16/2863—Immunoglobulins [IGs], e.g. monoclonal or polyclonal antibodies against material from animals or humans against receptors, cell surface antigens or cell surface determinants against receptors for growth factors, growth regulators
-
- C—CHEMISTRY; METALLURGY
- C07—ORGANIC CHEMISTRY
- C07K—PEPTIDES
- C07K16/00—Immunoglobulins [IGs], e.g. monoclonal or polyclonal antibodies
- C07K16/42—Immunoglobulins [IGs], e.g. monoclonal or polyclonal antibodies against immunoglobulins
- C07K16/4208—Immunoglobulins [IGs], e.g. monoclonal or polyclonal antibodies against immunoglobulins against an idiotypic determinant on Ig
- C07K16/4241—Immunoglobulins [IGs], e.g. monoclonal or polyclonal antibodies against immunoglobulins against an idiotypic determinant on Ig against anti-human or anti-animal Ig
- C07K16/4258—Immunoglobulins [IGs], e.g. monoclonal or polyclonal antibodies against immunoglobulins against an idiotypic determinant on Ig against anti-human or anti-animal Ig against anti-receptor Ig
-
- G—PHYSICS
- G01—MEASURING; TESTING
- G01N—INVESTIGATING OR ANALYSING MATERIALS BY DETERMINING THEIR CHEMICAL OR PHYSICAL PROPERTIES
- G01N33/00—Investigating or analysing materials by specific methods not covered by groups G01N1/00 - G01N31/00
- G01N33/48—Biological material, e.g. blood, urine; Haemocytometers
- G01N33/50—Chemical analysis of biological material, e.g. blood, urine; Testing involving biospecific ligand binding methods; Immunological testing
- G01N33/53—Immunoassay; Biospecific binding assay; Materials therefor
- G01N33/574—Immunoassay; Biospecific binding assay; Materials therefor for cancer
-
- G—PHYSICS
- G01—MEASURING; TESTING
- G01N—INVESTIGATING OR ANALYSING MATERIALS BY DETERMINING THEIR CHEMICAL OR PHYSICAL PROPERTIES
- G01N33/00—Investigating or analysing materials by specific methods not covered by groups G01N1/00 - G01N31/00
- G01N33/48—Biological material, e.g. blood, urine; Haemocytometers
- G01N33/50—Chemical analysis of biological material, e.g. blood, urine; Testing involving biospecific ligand binding methods; Immunological testing
- G01N33/53—Immunoassay; Biospecific binding assay; Materials therefor
- G01N33/574—Immunoassay; Biospecific binding assay; Materials therefor for cancer
- G01N33/57484—Immunoassay; Biospecific binding assay; Materials therefor for cancer involving compounds serving as markers for tumor, cancer, neoplasia, e.g. cellular determinants, receptors, heat shock/stress proteins, A-protein, oligosaccharides, metabolites
-
- A—HUMAN NECESSITIES
- A61—MEDICAL OR VETERINARY SCIENCE; HYGIENE
- A61K—PREPARATIONS FOR MEDICAL, DENTAL OR TOILETRY PURPOSES
- A61K39/00—Medicinal preparations containing antigens or antibodies
- A61K2039/505—Medicinal preparations containing antigens or antibodies comprising antibodies
-
- A—HUMAN NECESSITIES
- A61—MEDICAL OR VETERINARY SCIENCE; HYGIENE
- A61K—PREPARATIONS FOR MEDICAL, DENTAL OR TOILETRY PURPOSES
- A61K2300/00—Mixtures or combinations of active ingredients, wherein at least one active ingredient is fully defined in groups A61K31/00 - A61K41/00
-
- C—CHEMISTRY; METALLURGY
- C07—ORGANIC CHEMISTRY
- C07K—PEPTIDES
- C07K2317/00—Immunoglobulins specific features
- C07K2317/20—Immunoglobulins specific features characterized by taxonomic origin
- C07K2317/24—Immunoglobulins specific features characterized by taxonomic origin containing regions, domains or residues from different species, e.g. chimeric, humanized or veneered
-
- C—CHEMISTRY; METALLURGY
- C07—ORGANIC CHEMISTRY
- C07K—PEPTIDES
- C07K2317/00—Immunoglobulins specific features
- C07K2317/30—Immunoglobulins specific features characterized by aspects of specificity or valency
- C07K2317/34—Identification of a linear epitope shorter than 20 amino acid residues or of a conformational epitope defined by amino acid residues
-
- C—CHEMISTRY; METALLURGY
- C07—ORGANIC CHEMISTRY
- C07K—PEPTIDES
- C07K2317/00—Immunoglobulins specific features
- C07K2317/50—Immunoglobulins specific features characterized by immunoglobulin fragments
- C07K2317/51—Complete heavy chain or Fd fragment, i.e. VH + CH1
-
- C—CHEMISTRY; METALLURGY
- C07—ORGANIC CHEMISTRY
- C07K—PEPTIDES
- C07K2317/00—Immunoglobulins specific features
- C07K2317/50—Immunoglobulins specific features characterized by immunoglobulin fragments
- C07K2317/515—Complete light chain, i.e. VL + CL
-
- C—CHEMISTRY; METALLURGY
- C07—ORGANIC CHEMISTRY
- C07K—PEPTIDES
- C07K2317/00—Immunoglobulins specific features
- C07K2317/50—Immunoglobulins specific features characterized by immunoglobulin fragments
- C07K2317/52—Constant or Fc region; Isotype
-
- C—CHEMISTRY; METALLURGY
- C07—ORGANIC CHEMISTRY
- C07K—PEPTIDES
- C07K2317/00—Immunoglobulins specific features
- C07K2317/50—Immunoglobulins specific features characterized by immunoglobulin fragments
- C07K2317/56—Immunoglobulins specific features characterized by immunoglobulin fragments variable (Fv) region, i.e. VH and/or VL
-
- C—CHEMISTRY; METALLURGY
- C07—ORGANIC CHEMISTRY
- C07K—PEPTIDES
- C07K2317/00—Immunoglobulins specific features
- C07K2317/50—Immunoglobulins specific features characterized by immunoglobulin fragments
- C07K2317/56—Immunoglobulins specific features characterized by immunoglobulin fragments variable (Fv) region, i.e. VH and/or VL
- C07K2317/565—Complementarity determining region [CDR]
-
- C—CHEMISTRY; METALLURGY
- C07—ORGANIC CHEMISTRY
- C07K—PEPTIDES
- C07K2317/00—Immunoglobulins specific features
- C07K2317/70—Immunoglobulins specific features characterized by effect upon binding to a cell or to an antigen
- C07K2317/73—Inducing cell death, e.g. apoptosis, necrosis or inhibition of cell proliferation
-
- C—CHEMISTRY; METALLURGY
- C07—ORGANIC CHEMISTRY
- C07K—PEPTIDES
- C07K2317/00—Immunoglobulins specific features
- C07K2317/70—Immunoglobulins specific features characterized by effect upon binding to a cell or to an antigen
- C07K2317/73—Inducing cell death, e.g. apoptosis, necrosis or inhibition of cell proliferation
- C07K2317/732—Antibody-dependent cellular cytotoxicity [ADCC]
-
- C—CHEMISTRY; METALLURGY
- C07—ORGANIC CHEMISTRY
- C07K—PEPTIDES
- C07K2317/00—Immunoglobulins specific features
- C07K2317/70—Immunoglobulins specific features characterized by effect upon binding to a cell or to an antigen
- C07K2317/73—Inducing cell death, e.g. apoptosis, necrosis or inhibition of cell proliferation
- C07K2317/734—Complement-dependent cytotoxicity [CDC]
-
- C—CHEMISTRY; METALLURGY
- C07—ORGANIC CHEMISTRY
- C07K—PEPTIDES
- C07K2317/00—Immunoglobulins specific features
- C07K2317/70—Immunoglobulins specific features characterized by effect upon binding to a cell or to an antigen
- C07K2317/77—Internalization into the cell
-
- C—CHEMISTRY; METALLURGY
- C07—ORGANIC CHEMISTRY
- C07K—PEPTIDES
- C07K2317/00—Immunoglobulins specific features
- C07K2317/90—Immunoglobulins specific features characterized by (pharmaco)kinetic aspects or by stability of the immunoglobulin
- C07K2317/92—Affinity (KD), association rate (Ka), dissociation rate (Kd) or EC50 value
Landscapes
- Health & Medical Sciences (AREA)
- Chemical & Material Sciences (AREA)
- Life Sciences & Earth Sciences (AREA)
- Immunology (AREA)
- Medicinal Chemistry (AREA)
- General Health & Medical Sciences (AREA)
- Organic Chemistry (AREA)
- Proteomics, Peptides & Aminoacids (AREA)
- Pharmacology & Pharmacy (AREA)
- Animal Behavior & Ethology (AREA)
- Public Health (AREA)
- Veterinary Medicine (AREA)
- Epidemiology (AREA)
- Engineering & Computer Science (AREA)
- Molecular Biology (AREA)
- Biochemistry (AREA)
- Genetics & Genomics (AREA)
- Biophysics (AREA)
- Bioinformatics & Cheminformatics (AREA)
- Physics & Mathematics (AREA)
- Cell Biology (AREA)
- Optics & Photonics (AREA)
- Biomedical Technology (AREA)
- Microbiology (AREA)
- Oncology (AREA)
- Mycology (AREA)
- General Chemical & Material Sciences (AREA)
- Chemical Kinetics & Catalysis (AREA)
- Nuclear Medicine, Radiotherapy & Molecular Imaging (AREA)
- Hematology (AREA)
- Urology & Nephrology (AREA)
- General Physics & Mathematics (AREA)
- Biotechnology (AREA)
- Food Science & Technology (AREA)
- Analytical Chemistry (AREA)
- Hospice & Palliative Care (AREA)
- Pathology (AREA)
- Peptides Or Proteins (AREA)
- Medicines Containing Antibodies Or Antigens For Use As Internal Diagnostic Agents (AREA)
- Preparation Of Compounds By Using Micro-Organisms (AREA)
Applications Claiming Priority (3)
| Application Number | Priority Date | Filing Date | Title |
|---|---|---|---|
| US12/388,504 US20100056762A1 (en) | 2001-05-11 | 2009-02-18 | Specific binding proteins and uses thereof |
| US12/388,504 | 2009-02-18 | ||
| PCT/US2010/024407 WO2010096434A2 (en) | 2009-02-18 | 2010-02-17 | Specific binding proteins and uses thereof |
Related Parent Applications (1)
| Application Number | Title | Priority Date | Filing Date |
|---|---|---|---|
| KR1020177018394A Division KR101921046B1 (ko) | 2009-02-18 | 2010-02-17 | 특이적 결합 단백질 및 이의 용도 |
Related Child Applications (1)
| Application Number | Title | Priority Date | Filing Date |
|---|---|---|---|
| KR1020197018017A Division KR20190076069A (ko) | 2009-02-18 | 2010-02-17 | 특이적 결합 단백질 및 이의 용도 |
Publications (1)
| Publication Number | Publication Date |
|---|---|
| KR20180125044A true KR20180125044A (ko) | 2018-11-21 |
Family
ID=42077108
Family Applications (7)
| Application Number | Title | Priority Date | Filing Date |
|---|---|---|---|
| KR1020177018394A Active KR101921046B1 (ko) | 2009-02-18 | 2010-02-17 | 특이적 결합 단백질 및 이의 용도 |
| KR1020217006120A Withdrawn KR20210028271A (ko) | 2009-02-18 | 2010-02-17 | 특이적 결합 단백질 및 이의 용도 |
| KR1020197018017A Withdrawn KR20190076069A (ko) | 2009-02-18 | 2010-02-17 | 특이적 결합 단백질 및 이의 용도 |
| KR1020117021501A Active KR101579769B1 (ko) | 2009-02-18 | 2010-02-17 | 특이적 결합 단백질 및 이의 용도 |
| KR1020227004795A Pending KR20220025913A (ko) | 2009-02-18 | 2010-02-17 | 특이적 결합 단백질 및 이의 용도 |
| KR1020157020913A Active KR101809441B1 (ko) | 2009-02-18 | 2010-02-17 | 특이적 결합 단백질 및 이의 용도 |
| KR1020187032867A Withdrawn KR20180125044A (ko) | 2009-02-18 | 2010-02-17 | 특이적 결합 단백질 및 이의 용도 |
Family Applications Before (6)
| Application Number | Title | Priority Date | Filing Date |
|---|---|---|---|
| KR1020177018394A Active KR101921046B1 (ko) | 2009-02-18 | 2010-02-17 | 특이적 결합 단백질 및 이의 용도 |
| KR1020217006120A Withdrawn KR20210028271A (ko) | 2009-02-18 | 2010-02-17 | 특이적 결합 단백질 및 이의 용도 |
| KR1020197018017A Withdrawn KR20190076069A (ko) | 2009-02-18 | 2010-02-17 | 특이적 결합 단백질 및 이의 용도 |
| KR1020117021501A Active KR101579769B1 (ko) | 2009-02-18 | 2010-02-17 | 특이적 결합 단백질 및 이의 용도 |
| KR1020227004795A Pending KR20220025913A (ko) | 2009-02-18 | 2010-02-17 | 특이적 결합 단백질 및 이의 용도 |
| KR1020157020913A Active KR101809441B1 (ko) | 2009-02-18 | 2010-02-17 | 특이적 결합 단백질 및 이의 용도 |
Country Status (34)
Families Citing this family (63)
| Publication number | Priority date | Publication date | Assignee | Title |
|---|---|---|---|---|
| EP1392359B2 (en) | 2001-05-11 | 2013-03-13 | Ludwig Institute for Cancer Research Ltd. | Specific binding proteins and uses thereof |
| US20100056762A1 (en) | 2001-05-11 | 2010-03-04 | Old Lloyd J | Specific binding proteins and uses thereof |
| US20110313230A1 (en) | 2001-05-11 | 2011-12-22 | Terrance Grant Johns | Specific binding proteins and uses thereof |
| US7767792B2 (en) * | 2004-02-20 | 2010-08-03 | Ludwig Institute For Cancer Research Ltd. | Antibodies to EGF receptor epitope peptides |
| US9090693B2 (en) * | 2007-01-25 | 2015-07-28 | Dana-Farber Cancer Institute | Use of anti-EGFR antibodies in treatment of EGFR mutant mediated disease |
| CN101688229B (zh) * | 2007-03-15 | 2013-06-12 | 路德维格癌症研究所 | 包含egfr抗体和src抑制剂的组合物及其在制备用于治疗哺乳动物癌症的药物中的用途 |
| CN101896503B (zh) | 2007-08-14 | 2018-05-22 | 路德维格癌症研究所有限公司 | 靶向egf受体的单克隆抗体175及其衍生物和用途 |
| BRPI0910482A2 (pt) * | 2008-04-29 | 2019-09-24 | Abbott Lab | imunoglobinas de domínio variável duplo e usos das mesmas |
| US20100260668A1 (en) * | 2008-04-29 | 2010-10-14 | Abbott Laboratories | Dual Variable Domain Immunoglobulins and Uses Thereof |
| US8314151B2 (en) | 2008-04-29 | 2012-11-20 | Enzo Therapeutics, Inc. | Sphingosine kinase type 1 inhibitors, and processes for using same |
| AU2009256246B2 (en) * | 2008-06-03 | 2013-07-18 | Abbvie Inc. | Dual variable domain immunoglobulins and uses thereof |
| EP2297209A4 (en) * | 2008-06-03 | 2012-08-01 | Abbott Lab | IMMUNOGLOBULINS WITH TWO VARIABLE DOMAINS AND USES THEREOF |
| BRPI0915448A2 (pt) * | 2008-07-08 | 2015-11-10 | Abbott Lab | imunoglobulinas de domínio variável duplo para prostaglandina e2 e usos das mesmas |
| CA3050455A1 (en) | 2008-11-03 | 2010-06-03 | Adc Therapeutics Sa | Antibodies that specifically block the biological activity of a tumor antigen |
| UY32808A (es) * | 2009-07-29 | 2011-02-28 | Abbott Lab | Inmunoglobulinas como dominio variable dual y usos de las mismas |
| JP2013503607A (ja) * | 2009-09-01 | 2013-02-04 | アボット・ラボラトリーズ | 二重可変ドメイン免疫グロブリンおよびその使用 |
| US20110076232A1 (en) * | 2009-09-29 | 2011-03-31 | Ludwig Institute For Cancer Research | Specific binding proteins and uses thereof |
| MX2012004415A (es) * | 2009-10-15 | 2012-05-08 | Abbott Lab | Inmunoglobulinas de dominio variable doble y usos de las mismas. |
| UY32979A (es) | 2009-10-28 | 2011-02-28 | Abbott Lab | Inmunoglobulinas con dominio variable dual y usos de las mismas |
| EP2534264A4 (en) * | 2010-02-09 | 2014-02-26 | Univ Columbia | METHOD FOR CHANGING A POLYPEPTIDE EXPRESSION AND SOLUBILITY |
| JP2013537415A (ja) | 2010-08-03 | 2013-10-03 | アッヴィ・インコーポレイテッド | 二重可変ドメイン免疫グロブリンおよびその使用 |
| US9051370B2 (en) | 2010-08-10 | 2015-06-09 | Glycotope Gmbh | Humanized EGFR antibodies |
| EP2603527A1 (en) * | 2010-08-10 | 2013-06-19 | Glycotope GmbH | Humanized egfr antibodies |
| CN103260639A (zh) | 2010-08-26 | 2013-08-21 | Abbvie公司 | 双重可变结构域免疫球蛋白及其用途 |
| WO2012106281A2 (en) | 2011-01-31 | 2012-08-09 | The General Hospital Corporation | Multimodal trail molecules and uses in cellular therapies |
| DK3173427T3 (da) * | 2011-03-31 | 2019-08-05 | Adc Therapeutics Sa | Antistoffer mod nyre-associeret antigen 1 og antigen-bindende fragmenter deraf |
| US8911992B2 (en) * | 2011-04-28 | 2014-12-16 | Bio-Rad Laboratories, Inc. | DNA removal in target molecule purification |
| UY34558A (es) | 2011-12-30 | 2013-07-31 | Abbvie Inc | Proteínas de unión específicas duales dirigidas contra il-13 y/o il-17 |
| IN2014CN04690A (cg-RX-API-DMAC7.html) | 2012-01-09 | 2015-09-18 | Alethia Biotherapeutics Inc | |
| CN103382223B (zh) | 2012-04-01 | 2015-06-10 | 上海益杰生物技术有限公司 | 针对表皮生长因子受体隐蔽表位和t细胞抗原的多功能抗体多肽 |
| EP3473708B1 (en) | 2012-07-24 | 2021-01-27 | The General Hospital Corporation | Oncolytic virus therapy for resistant tumors |
| US9605074B2 (en) * | 2012-08-30 | 2017-03-28 | The General Hospital Corporation | Multifunctional nanobodies for treating cancer |
| WO2014063206A1 (en) * | 2012-10-26 | 2014-05-01 | The University Of Queensland | Methods for classifying tumors and uses therefor |
| KR20210111353A (ko) | 2012-11-01 | 2021-09-10 | 애브비 인코포레이티드 | 항-vegf/dll4 이원 가변 도메인 면역글로불린 및 이의 용도 |
| AU2014227732A1 (en) | 2013-03-15 | 2015-09-17 | Abbvie Inc. | Dual specific binding proteins directed against IL-1 beta and IL-17 |
| CN104087607B (zh) * | 2013-04-01 | 2017-06-20 | 科济生物医药(上海)有限公司 | 编码嵌合抗原受体蛋白的核酸及表达嵌合抗原受体蛋白的t淋巴细胞 |
| JP6529498B2 (ja) * | 2013-08-07 | 2019-06-12 | アッフィメッド・ゲー・エム・ベー・ハーAffimed Gmbh | EGFRvIIIに対して特異的な抗体結合部位 |
| MY178160A (en) | 2014-03-11 | 2020-10-06 | Regeneron Pharma | Anti-egfrviii antibodies and uses thereof |
| IL295906A (en) * | 2014-03-21 | 2022-10-01 | Abbvie Inc | Anti-egfr antibodies and antibody drug conjugates |
| DE112014006656B4 (de) | 2014-05-14 | 2018-05-17 | Carsgen Therapeutics Limited | Nukleinsäure zur Kodierung eines chimären Antigen-Rezeptor-Proteins und T-Lymphozyt zur Expression eines chimären Antigen-Rezeptor-Proteins |
| WO2016094881A2 (en) | 2014-12-11 | 2016-06-16 | Abbvie Inc. | Lrp-8 binding proteins |
| TW201710286A (zh) | 2015-06-15 | 2017-03-16 | 艾伯維有限公司 | 抗vegf、pdgf及/或其受體之結合蛋白 |
| CN106349389B (zh) * | 2015-07-21 | 2019-11-15 | 科济生物医药(上海)有限公司 | 肿瘤特异性抗egfr抗体及其应用 |
| US11360997B2 (en) | 2015-12-21 | 2022-06-14 | Sap Se | Data synchronization error resolution based on UI manipulation actions |
| US10768794B2 (en) | 2015-12-21 | 2020-09-08 | Sap Se | Truncated synchronization of data object instances |
| WO2017214233A1 (en) | 2016-06-08 | 2017-12-14 | Abbvie Inc. | Anti-egfr antibody drug conjugates |
| CA3027181A1 (en) | 2016-06-08 | 2017-12-14 | Abbvie Inc. | Anti-egfr antibody drug conjugates |
| PH12022553314A1 (en) | 2016-06-08 | 2024-05-27 | Abbvie Inc | Anti-egfr antibody drug conjugates |
| CN109963870B (zh) | 2016-06-08 | 2023-07-28 | 艾伯维公司 | 抗b7-h3抗体和抗体药物偶联物 |
| US11672801B2 (en) | 2016-10-19 | 2023-06-13 | United States Government As Represented By The Department Of Veterans Affairs | Compositions and methods for treating cancer |
| US11285154B2 (en) | 2017-03-29 | 2022-03-29 | United States Government As Represented By The Department Of Veterans Affairs | Methods and compositions for treating cancer |
| EP3641743A2 (en) | 2017-06-23 | 2020-04-29 | Enzo Biochem, Inc. | Sphingosine pathway modulating compounds for the treatment of cancers |
| US10660879B2 (en) | 2017-06-23 | 2020-05-26 | Enzo Biochem, Inc. | Sphingosine pathway modulating compounds for the treatment of cancers |
| CN108220244A (zh) * | 2018-01-18 | 2018-06-29 | 东北农业大学 | 一种含重组人表皮生长因子受体抗体基因的cho细胞株、筛选方法及其生产工艺 |
| CN107974461A (zh) * | 2018-01-18 | 2018-05-01 | 东北农业大学 | 一种高效表达anti-hEGFR基因的真核表达载体构建方法 |
| CN108250297B (zh) * | 2018-01-23 | 2021-07-23 | 上海生物制品研究所有限责任公司 | 抗egfr抗体、其制法及其应用 |
| CN113993902B (zh) * | 2019-03-22 | 2025-03-14 | 瑟缇斯治疗私人有限公司 | 抗her2结合分子 |
| KR20210148228A (ko) * | 2019-03-27 | 2021-12-07 | 내셔날 리서치 카운실 오브 캐나다 | 항-EGFRvIII 항체 및 그의 항원-결합 단편 |
| US20230130791A1 (en) * | 2020-03-11 | 2023-04-27 | United States Government As Represented By The Department Of Veterans Affairs | A Combined Inhibition of EGFR and NRF2 in The Treatment of Malignant Glioma |
| JP2023545681A (ja) * | 2020-09-30 | 2023-10-31 | インスティテュート オブ ズーオロジー、チャイニーズ アカデミー オブ サイエンシーズ | Egfrを標的とするキメラ抗原受容体 |
| AR124681A1 (es) | 2021-01-20 | 2023-04-26 | Abbvie Inc | Conjugados anticuerpo-fármaco anti-egfr |
| EP4359440A1 (en) | 2021-06-22 | 2024-05-01 | Regeneron Pharmaceuticals, Inc. | Anti-egfrviii antibody drug conjugates and uses thereof |
| WO2024196798A1 (en) * | 2023-03-17 | 2024-09-26 | Asher Biotherapeutics, Inc. | Fusion protein and uses thereof |
Family Cites Families (300)
| Publication number | Priority date | Publication date | Assignee | Title |
|---|---|---|---|---|
| US439912A (en) | 1890-11-04 | Shutter worker | ||
| USRE31006E (en) | 1968-09-24 | 1982-08-03 | Akzona Incorporated | Process for the demonstration and determination of reaction components having specific binding affinity for each other |
| US3654090A (en) | 1968-09-24 | 1972-04-04 | Organon | Method for the determination of antigens and antibodies |
| NL154598B (nl) | 1970-11-10 | 1977-09-15 | Organon Nv | Werkwijze voor het aantonen en bepalen van laagmoleculire verbindingen en van eiwitten die deze verbindingen specifiek kunnen binden, alsmede testverpakking. |
| CU22545A1 (es) | 1994-11-18 | 1999-03-31 | Centro Inmunologia Molecular | Obtención de un anticuerpo quimérico y humanizado contra el receptor del factor de crecimiento epidérmico para uso diagnóstico y terapéutico |
| US4016043A (en) | 1975-09-04 | 1977-04-05 | Akzona Incorporated | Enzymatic immunological method for the determination of antigens and antibodies |
| US4162940A (en) | 1977-03-31 | 1979-07-31 | Takeda Chemical Industries, Ltd. | Method for producing Antibiotic C-15003 by culturing nocardia |
| US4151042A (en) | 1977-03-31 | 1979-04-24 | Takeda Chemical Industries, Ltd. | Method for producing maytansinol and its derivatives |
| US4169888A (en) | 1977-10-17 | 1979-10-02 | The Upjohn Company | Composition of matter and process |
| US4137230A (en) | 1977-11-14 | 1979-01-30 | Takeda Chemical Industries, Ltd. | Method for the production of maytansinoids |
| US4307016A (en) | 1978-03-24 | 1981-12-22 | Takeda Chemical Industries, Ltd. | Demethyl maytansinoids |
| US4265814A (en) | 1978-03-24 | 1981-05-05 | Takeda Chemical Industries | Matansinol 3-n-hexadecanoate |
| JPS5562090A (en) | 1978-10-27 | 1980-05-10 | Takeda Chem Ind Ltd | Novel maytansinoid compound and its preparation |
| US4256746A (en) | 1978-11-14 | 1981-03-17 | Takeda Chemical Industries | Dechloromaytansinoids, their pharmaceutical compositions and method of use |
| JPS55164687A (en) | 1979-06-11 | 1980-12-22 | Takeda Chem Ind Ltd | Novel maytansinoid compound and its preparation |
| JPS5566585A (en) | 1978-11-14 | 1980-05-20 | Takeda Chem Ind Ltd | Novel maytansinoid compound and its preparation |
| US4263294A (en) | 1978-11-20 | 1981-04-21 | Takeda Chemical Industries, Ltd. | Maytansinoids, pharmaceutical compositions thereof and method of use thereof |
| JPS55102583A (en) | 1979-01-31 | 1980-08-05 | Takeda Chem Ind Ltd | 20-acyloxy-20-demethylmaytansinoid compound |
| JPS55162791A (en) | 1979-06-05 | 1980-12-18 | Takeda Chem Ind Ltd | Antibiotic c-15003pnd and its preparation |
| JPS55164685A (en) | 1979-06-08 | 1980-12-22 | Takeda Chem Ind Ltd | Novel maytansinoid compound and its preparation |
| JPS55164686A (en) | 1979-06-11 | 1980-12-22 | Takeda Chem Ind Ltd | Novel maytansinoid compound and its preparation |
| US4309428A (en) | 1979-07-30 | 1982-01-05 | Takeda Chemical Industries, Ltd. | Maytansinoids |
| JPS5622790A (en) | 1979-07-31 | 1981-03-03 | Takeda Chem Ind Ltd | Novel maytansinoid compound and its preparation |
| JPS5645483A (en) | 1979-09-19 | 1981-04-25 | Takeda Chem Ind Ltd | C-15003phm and its preparation |
| JPS5645485A (en) | 1979-09-21 | 1981-04-25 | Takeda Chem Ind Ltd | Production of c-15003pnd |
| EP0028683A1 (en) | 1979-09-21 | 1981-05-20 | Takeda Chemical Industries, Ltd. | Antibiotic C-15003 PHO and production thereof |
| US4491632A (en) | 1979-10-22 | 1985-01-01 | The Massachusetts General Hospital | Process for producing antibodies to hepatitis virus and cell lines therefor |
| US4444887A (en) | 1979-12-10 | 1984-04-24 | Sloan-Kettering Institute | Process for making human antibody producing B-lymphocytes |
| US4342566A (en) | 1980-02-22 | 1982-08-03 | Scripps Clinic & Research Foundation | Solid phase anti-C3 assay for detection of immune complexes |
| EP0043718B1 (en) | 1980-07-07 | 1984-11-28 | National Research Development Corporation | Improvements in or relating to cell lines |
| US4341761A (en) | 1980-07-25 | 1982-07-27 | E. I. Du Pont De Nemours And Company | Antibodies to immunogenic peptides and their use to purify human fibroblast interferon |
| WO1982001188A1 (en) | 1980-10-08 | 1982-04-15 | Takeda Chemical Industries Ltd | 4,5-deoxymaytansinoide compounds and process for preparing same |
| US4413132A (en) | 1980-11-18 | 1983-11-01 | The Upjohn Company | Antibiotic CC-1065 indoline intermediates |
| US4313946A (en) | 1981-01-27 | 1982-02-02 | The United States Of America As Represented By The Secretary Of Agriculture | Chemotherapeutically active maytansinoids from Trewia nudiflora |
| US4466917A (en) | 1981-02-12 | 1984-08-21 | New York University | Malaria vaccine |
| US4493890A (en) | 1981-03-23 | 1985-01-15 | Miles Laboratories, Inc. | Activated apoglucose oxidase and its use in specific binding assays |
| US4451570A (en) | 1981-03-26 | 1984-05-29 | The Regents Of The University Of California | Immunoglobulin-secreting human hybridomas from a cultured human lymphoblastoid cell line |
| US4399121A (en) | 1981-11-04 | 1983-08-16 | Miles Laboratories, Inc. | Iodothyronine immunogens and antibodies |
| US4427783A (en) | 1981-12-14 | 1984-01-24 | Hoffmann-La Roche Inc. | Immunoassay of thymosin α1 |
| US4671958A (en) | 1982-03-09 | 1987-06-09 | Cytogen Corporation | Antibody conjugates for the delivery of compounds to target sites |
| US4867973A (en) | 1984-08-31 | 1989-09-19 | Cytogen Corporation | Antibody-therapeutic agent conjugates |
| FR2523445A1 (fr) | 1982-03-17 | 1983-09-23 | Sanofi Sa | Nouveaux conjugues associant, par liaison covalente, une enzyme et un anticorps, et associations medicamenteuses utilisant lesdits conjugues |
| US4418064A (en) | 1982-09-29 | 1983-11-29 | The United States Of America As Represented By The Secretary Of Agriculture | Chemotherapeutically active maytansinoids: treflorine, trenudine, and N-methyltrenudone |
| GB8308235D0 (en) | 1983-03-25 | 1983-05-05 | Celltech Ltd | Polypeptides |
| US4816567A (en) | 1983-04-08 | 1989-03-28 | Genentech, Inc. | Recombinant immunoglobin preparations |
| US4493795A (en) | 1983-10-17 | 1985-01-15 | Syntex (U.S.A.) Inc. | Synthetic peptide sequences useful in biological and pharmaceutical applications and methods of manufacture |
| WO1985003357A1 (en) | 1984-01-30 | 1985-08-01 | Icrf Patents Ltd. | Improvements relating to growth factors |
| US4943533A (en) * | 1984-03-01 | 1990-07-24 | The Regents Of The University Of California | Hybrid cell lines that produce monoclonal antibodies to epidermal growth factor receptor |
| US5807715A (en) | 1984-08-27 | 1998-09-15 | The Board Of Trustees Of The Leland Stanford Junior University | Methods and transformed mammalian lymphocyte cells for producing functional antigen-binding protein including chimeric immunoglobulin |
| US5851526A (en) | 1985-04-19 | 1998-12-22 | Ludwig Institute For Cancer Research | Methods of treating colon cancer utilizing tumor-specific antibodies |
| US5776093A (en) | 1985-07-05 | 1998-07-07 | Immunomedics, Inc. | Method for imaging and treating organs and tissues |
| US5225539A (en) | 1986-03-27 | 1993-07-06 | Medical Research Council | Recombinant altered antibodies and methods of making altered antibodies |
| US4997913A (en) | 1986-06-30 | 1991-03-05 | Oncogen | pH-sensitive immunoconjugates and methods for their use in tumor therapy |
| IN165717B (cg-RX-API-DMAC7.html) | 1986-08-07 | 1989-12-23 | Battelle Memorial Institute | |
| USRE38008E1 (en) | 1986-10-09 | 2003-02-25 | Neorx Corporation | Methods for improved targeting of antibody, antibody fragments, hormones and other targeting agents, and conjugates thereof |
| US5034223A (en) | 1986-10-09 | 1991-07-23 | Neorx Corporation | Methods for improved targeting of antibody, antibody fragments, hormones and other targeting agents, and conjugates thereof |
| US5071773A (en) | 1986-10-24 | 1991-12-10 | The Salk Institute For Biological Studies | Hormone receptor-related bioassays |
| US5047324A (en) | 1986-12-09 | 1991-09-10 | Miles Inc. | Substantially pure enzyme-antibody conjugate preparations |
| US5332837A (en) | 1986-12-19 | 1994-07-26 | The Upjohn Company | CC-1065 analogs |
| US4952394A (en) | 1987-11-23 | 1990-08-28 | Bristol-Myers Company | Drug-monoclonal antibody conjugates |
| US5563250A (en) | 1987-12-02 | 1996-10-08 | Neorx Corporation | Cleavable conjugates for the delivery and release of agents in native form |
| US4981784A (en) | 1987-12-02 | 1991-01-01 | The Salk Institute For Biological Studies | Retinoic acid receptor method |
| WO1989006692A1 (en) | 1988-01-12 | 1989-07-27 | Genentech, Inc. | Method of treating tumor cells by inhibiting growth factor receptor function |
| US4937183A (en) | 1988-02-03 | 1990-06-26 | Cytogen Corporation | Method for the preparation of antibody-fragment conjugates |
| IL89220A (en) | 1988-02-11 | 1994-02-27 | Bristol Myers Squibb Co | Anthracycline immunoconjugates, their production and pharmaceutical compositions containing them |
| EP0329184A3 (en) | 1988-02-19 | 1990-05-23 | Neorx Corporation | Antimers and antimeric conjugation |
| US6010902A (en) | 1988-04-04 | 2000-01-04 | Bristol-Meyers Squibb Company | Antibody heteroconjugates and bispecific antibodies for use in regulation of lymphocyte activity |
| US5028697A (en) | 1988-08-08 | 1991-07-02 | Eli Lilly And Company | Cytotoxic antibody conjugates of hydrazide derivatized methotrexate analogs via simple organic linkers |
| KR0137959B1 (ko) | 1988-09-12 | 1998-05-15 | 로버트 에이. 아미테이지 | 2개의 cpi 소단위를 갖는 신규한 cc-1065 유사화합물 |
| AU4128089A (en) * | 1988-09-15 | 1990-03-22 | Rorer International (Overseas) Inc. | Monoclonal antibodies specific to human epidermal growth factor receptor and therapeutic methods employing same |
| US5171563A (en) | 1988-09-30 | 1992-12-15 | Neorx Corporation | Cleavable linkers for the reduction of non-target organ retention of immunoconjugates |
| DE68909416T2 (de) | 1988-10-12 | 1994-03-24 | Centocor Inc | Radiotherapeutische immunokonjugate, etikettiert mit iod-125. |
| US5217713A (en) | 1988-12-27 | 1993-06-08 | Takeda Chemical Industries, Ltd. | Cytotoxic bispecific monoclonal antibody, its production and use |
| CA2006408A1 (en) | 1988-12-27 | 1990-06-27 | Susumu Iwasa | Bispecific monoclonal antibody, its production and use |
| US5013547A (en) | 1989-02-07 | 1991-05-07 | Erbamont, Inc. | Anticancer drug - antibody conjugates and method for preparing same |
| US5116964A (en) | 1989-02-23 | 1992-05-26 | Genentech, Inc. | Hybrid immunoglobulins |
| US6020145A (en) | 1989-06-30 | 2000-02-01 | Bristol-Myers Squibb Company | Methods for determining the presence of carcinoma using the antigen binding region of monoclonal antibody BR96 |
| US5980896A (en) | 1989-06-30 | 1999-11-09 | Bristol-Myers Squibb Company | Antibodies reactive with human carcinomas |
| US5332567A (en) | 1989-08-24 | 1994-07-26 | Immunomedics | Detection and treatment of infections with immunoconjugates |
| AU639726B2 (en) * | 1989-09-08 | 1993-08-05 | Duke University | Structural alterations of the egf receptor gene in human gliomas |
| US5208020A (en) | 1989-10-25 | 1993-05-04 | Immunogen Inc. | Cytotoxic agents comprising maytansinoids and their therapeutic use |
| US6150584A (en) | 1990-01-12 | 2000-11-21 | Abgenix, Inc. | Human antibodies derived from immunized xenomice |
| US6075181A (en) | 1990-01-12 | 2000-06-13 | Abgenix, Inc. | Human antibodies derived from immunized xenomice |
| US5459061A (en) * | 1990-01-26 | 1995-10-17 | W. Alton Jones Cell Science Center, Inc. | Hybridomas producing monoclonal antibodies which specifically bind to continuous epitope on the human EGF receptor and compete with EGF for binding to the EGF receptor |
| EP0515527A4 (en) | 1990-02-20 | 1993-08-25 | Coulter Corporation | Improved antibody-enzyme direct conjugates and method of making same |
| WO1991016350A1 (en) | 1990-04-20 | 1991-10-31 | Ludwig Institute For Cancer Research | Aberrant, epidermal growth factor receptor dna, rna and protein forms and method |
| JPH05508394A (ja) | 1990-04-25 | 1993-11-25 | ファルマシア・アンド・アップジョン・カンパニー | 新規なcc―1065アナログ |
| GB9015198D0 (en) | 1990-07-10 | 1990-08-29 | Brien Caroline J O | Binding substance |
| AU8507191A (en) | 1990-08-29 | 1992-03-30 | Genpharm International, Inc. | Transgenic non-human animals capable of producing heterologous antibodies |
| US5545806A (en) | 1990-08-29 | 1996-08-13 | Genpharm International, Inc. | Ransgenic non-human animals for producing heterologous antibodies |
| US6248332B1 (en) | 1990-10-05 | 2001-06-19 | Medarex, Inc. | Targeted immunostimulation with bispecific reagents |
| FI101678B1 (fi) | 1990-12-31 | 1998-08-14 | Akzo Nv | Happolabiileja kytkentämolekyylejä |
| CZ283717B6 (cs) | 1991-03-06 | 1998-06-17 | MERCK Patent Gesellschaft mit beschränkter Haftung | Chimérická monoklonální protilátka, expresní vektory a farmaceutický prostředek |
| ATE181575T1 (de) * | 1991-04-25 | 1999-07-15 | Chugai Pharmaceutical Co Ltd | Rekombinierte humane antikörper gegen den humanen interleukin 6-rezeptor |
| EP0519596B1 (en) | 1991-05-17 | 2005-02-23 | Merck & Co. Inc. | A method for reducing the immunogenicity of antibody variable domains |
| US6797492B2 (en) | 1991-05-17 | 2004-09-28 | Merck & Co., Inc. | Method for reducing the immunogenicity of antibody variable domains |
| AU3178993A (en) | 1991-11-25 | 1993-06-28 | Enzon, Inc. | Multivalent antigen-binding proteins |
| WO1993011236A1 (en) | 1991-12-02 | 1993-06-10 | Medical Research Council | Production of anti-self antibodies from antibody segment repertoires and displayed on phage |
| US5869619A (en) | 1991-12-13 | 1999-02-09 | Xoma Corporation | Modified antibody variable domains |
| AU661533B2 (en) * | 1992-01-20 | 1995-07-27 | Astrazeneca Ab | Quinazoline derivatives |
| US5622929A (en) | 1992-01-23 | 1997-04-22 | Bristol-Myers Squibb Company | Thioether conjugates |
| US5714350A (en) | 1992-03-09 | 1998-02-03 | Protein Design Labs, Inc. | Increasing antibody affinity by altering glycosylation in the immunoglobulin variable region |
| DK0563475T3 (da) | 1992-03-25 | 2000-09-18 | Immunogen Inc | Konjugater af cellebindende midler og derivater af CC-1065 |
| ES2144440T3 (es) | 1992-08-18 | 2000-06-16 | Centro Inmunologia Molecular | Anticuerpos monoclonales que reconocen el receptor del factor de crecimiento epidermico, celulas y metodos para su produccion y compuestos que los contienen. |
| US5639641A (en) | 1992-09-09 | 1997-06-17 | Immunogen Inc. | Resurfacing of rodent antibodies |
| US5635483A (en) | 1992-12-03 | 1997-06-03 | Arizona Board Of Regents Acting On Behalf Of Arizona State University | Tumor inhibiting tetrapeptide bearing modified phenethyl amides |
| JP3720353B2 (ja) | 1992-12-04 | 2005-11-24 | メディカル リサーチ カウンシル | 多価および多重特異性の結合タンパク質、それらの製造および使用 |
| GB9225453D0 (en) | 1992-12-04 | 1993-01-27 | Medical Res Council | Binding proteins |
| US5780588A (en) | 1993-01-26 | 1998-07-14 | Arizona Board Of Regents | Elucidation and synthesis of selected pentapeptides |
| US5674977A (en) | 1993-02-05 | 1997-10-07 | The Ontario Cancer Institute | Branched synthetic peptide conjugate |
| US5556623A (en) | 1993-03-30 | 1996-09-17 | Eli Lilly And Company | Antibody-drug conjugates |
| US6214345B1 (en) | 1993-05-14 | 2001-04-10 | Bristol-Myers Squibb Co. | Lysosomal enzyme-cleavable antitumor drug conjugates |
| US5443953A (en) | 1993-12-08 | 1995-08-22 | Immunomedics, Inc. | Preparation and use of immunoconjugates |
| GB9401182D0 (en) | 1994-01-21 | 1994-03-16 | Inst Of Cancer The Research | Antibodies to EGF receptor and their antitumour effect |
| WO1995024220A1 (en) | 1994-03-07 | 1995-09-14 | Medarex, Inc. | Bispecific molecules having clinical utilities |
| UA41929C2 (uk) | 1994-03-17 | 2001-10-15 | Мерк Патент Гмбх | Анти-ефрр одноланцюжковий fv,молекула днк,яка його кодує, анти-ефрр антитіло,спосіб одержання анти-ефрр одноланцюжкового fv,спосіб одержання повного анти-ефрр антитіла та фармацевтична композиція (варіанти) |
| CU22615A1 (es) | 1994-06-30 | 2000-02-10 | Centro Inmunologia Molecular | Procedimiento de obtención de anticuerpos monoclonales murinos menos inmunogénicos. anticuerpos monoclonales obtenidos |
| US5612474A (en) | 1994-06-30 | 1997-03-18 | Eli Lilly And Company | Acid labile immunoconjugate intermediates |
| US5911995A (en) | 1994-08-19 | 1999-06-15 | Regents Of The University Of Minnesota | EGF-genistein conjugates for the treatment of cancer |
| ATE262586T1 (de) | 1994-11-28 | 2004-04-15 | Univ Jefferson | Fusion junction typ iii mutant egf rezeptor peptid-tumorvakzin |
| JP3607407B2 (ja) | 1995-04-26 | 2005-01-05 | 株式会社日立製作所 | 半導体記憶装置 |
| US7060808B1 (en) | 1995-06-07 | 2006-06-13 | Imclone Systems Incorporated | Humanized anti-EGF receptor monoclonal antibody |
| WO1996040662A2 (en) | 1995-06-07 | 1996-12-19 | Cellpro, Incorporated | Aminooxy-containing linker compounds and their application in conjugates |
| US6410690B1 (en) | 1995-06-07 | 2002-06-25 | Medarex, Inc. | Therapeutic compounds comprised of anti-Fc receptor antibodies |
| CA2222231A1 (en) | 1995-06-07 | 1996-12-19 | Imclone Systems Incorporated | Antibody and antibody fragments for inhibiting the growth of tumors |
| JPH11513391A (ja) | 1995-10-03 | 1999-11-16 | ザ スクリップス リサーチ インスティテュート | Cc−1065 及びズオカーマイシンのcbi 類縁体 |
| US6699715B1 (en) | 1995-11-30 | 2004-03-02 | Bristol-Myers Squibb Co. | Modified sFv molecules which mediate adhesion between cells and uses thereof |
| WO1997023243A1 (en) | 1995-12-22 | 1997-07-03 | Bristol-Myers Squibb Company | Branched hydrazone linkers |
| US5760041A (en) | 1996-02-05 | 1998-06-02 | American Cyanamid Company | 4-aminoquinazoline EGFR Inhibitors |
| AU3217897A (en) | 1996-05-31 | 1998-01-05 | Scripps Research Institute, The | Analogs of cc-1065 and the duocarmycins |
| US5708156A (en) * | 1996-05-31 | 1998-01-13 | Ilekis; John V. | Epidermal growth factor receptor-like gene product and its uses |
| US6759509B1 (en) | 1996-11-05 | 2004-07-06 | Bristol-Myers Squibb Company | Branched peptide linkers |
| US5942602A (en) * | 1997-02-13 | 1999-08-24 | Schering Aktiengessellschaft | Growth factor receptor antibodies |
| US6306393B1 (en) | 1997-03-24 | 2001-10-23 | Immunomedics, Inc. | Immunotherapy of B-cell malignancies using anti-CD22 antibodies |
| US6235883B1 (en) | 1997-05-05 | 2001-05-22 | Abgenix, Inc. | Human monoclonal antibodies to epidermal growth factor receptor |
| US20020173629A1 (en) | 1997-05-05 | 2002-11-21 | Aya Jakobovits | Human monoclonal antibodies to epidermal growth factor receptor |
| EP0983248B1 (en) | 1997-05-22 | 2004-07-14 | The Scripps Research Institute | Analogs of duocarmycin and cc-1065 |
| CA2300071C (en) | 1997-09-12 | 2009-04-07 | Lumigen, Inc. | Novel compounds for generating chemiluminescence with a peroxidase |
| NZ503966A (en) | 1997-10-14 | 2002-10-25 | Scripps Research Inst | iso -CBI and iso -CI analogs of CC-1065 and the duocarmycins |
| US6310209B1 (en) | 1997-12-08 | 2001-10-30 | The Scripps Research Institute | Synthesis of CC-1065/duocarmycin analogs |
| US6464686B1 (en) | 1998-01-21 | 2002-10-15 | Abbott Laboratories | Polyurethane feeding tube and associated adaptors |
| US7553809B2 (en) | 1998-02-06 | 2009-06-30 | Ilexus Pty Limited | Fc receptor modulators and uses thereof |
| WO1999040117A1 (en) | 1998-02-06 | 1999-08-12 | Ilexus Pty. Limited | THREE-DIMENSIONAL STRUCTURES AND MODELS OF Fc RECEPTORS AND USES THEREOF |
| US6417168B1 (en) | 1998-03-04 | 2002-07-09 | The Trustees Of The University Of Pennsylvania | Compositions and methods of treating tumors |
| US20030224001A1 (en) | 1998-03-19 | 2003-12-04 | Goldstein Neil I. | Antibody and antibody fragments for inhibiting the growth of tumors |
| ES2230848T3 (es) | 1998-04-28 | 2005-05-01 | Smithkline Beecham Corporation | Anticuerpos monoclonales con inmunogenicidad reducida. |
| ZA200007412B (en) | 1998-05-15 | 2002-03-12 | Imclone Systems Inc | Treatment of human tumors with radiation and inhibitors of growth factor receptor tyrosine kinases. |
| AUPP380498A0 (en) | 1998-05-29 | 1998-06-25 | Biomolecular Research Institute Limited | Egf receptor agonists and antagonists |
| US6962702B2 (en) | 1998-06-22 | 2005-11-08 | Immunomedics Inc. | Production and use of novel peptide-based agents for use with bi-specific antibodies |
| US20030215387A1 (en) | 1998-09-04 | 2003-11-20 | Peter Harrison | Bifunctional antibodies and their use in targeting anti-tumour agents |
| CA2343414C (en) | 1998-09-11 | 2011-11-08 | Ilexus Pty. Limited | Fc receptor modulators and uses thereof |
| US7396810B1 (en) | 2000-08-14 | 2008-07-08 | Oregon Health Sciences University | Compositions and methods for treating cancer by modulating HER-2 and EGF receptors |
| PL365999A1 (en) | 1999-05-14 | 2005-01-24 | Imclone Systems Incorporated | Treatment of refractory human tumors with epidermal growth factor receptor antagonists |
| US6946129B1 (en) | 1999-06-08 | 2005-09-20 | Seattle Genetics, Inc. | Recombinant anti-CD40 antibody and uses thereof |
| US6949245B1 (en) | 1999-06-25 | 2005-09-27 | Genentech, Inc. | Humanized anti-ErbB2 antibodies and treatment with anti-ErbB2 antibodies |
| EP2289549A3 (en) | 1999-10-01 | 2011-06-15 | Immunogen, Inc. | Immunoconjugates for treating cancer |
| US7303749B1 (en) | 1999-10-01 | 2007-12-04 | Immunogen Inc. | Compositions and methods for treating cancer using immunoconjugates and chemotherapeutic agents |
| ATE349438T1 (de) | 1999-11-24 | 2007-01-15 | Immunogen Inc | Cytotoxische wirkstoffe enthaltend taxane und deren therapeutische anwendung |
| NZ518764A (en) | 1999-12-29 | 2004-02-27 | Immunogen Inc | Cytotoxic agents comprising modified doxorubicins and daunorubicins and their therapeutic use |
| US7129332B2 (en) | 2000-02-25 | 2006-10-31 | The United States Of America As Represented By The Department Of Health And Human Services | Anti-EGFRvIII scFvs with improved cytotoxicity and yield, immunotoxins based thereon, and methods of use thereof |
| US20010046686A1 (en) | 2000-03-10 | 2001-11-29 | Wong Albert J. | Sensitive detection of wild-type and mutant EGFR by specific ELISA assays in any biological sample |
| US7097840B2 (en) | 2000-03-16 | 2006-08-29 | Genentech, Inc. | Methods of treatment using anti-ErbB antibody-maytansinoid conjugates |
| EP1272647B1 (en) | 2000-04-11 | 2014-11-12 | Genentech, Inc. | Multivalent antibodies and uses therefor |
| US6495599B2 (en) | 2000-04-13 | 2002-12-17 | Abbott Laboratories | Infant formulas containing long-chain polyunsaturated fatty acids and uses therof |
| ATE279390T1 (de) | 2000-05-02 | 2004-10-15 | Tietze Lutz F Prof Dr | Neue prodrugs von 6-hydroxy-2,3-dihydro-1h- indolen, 5-hydroxy-1,2-dihydro-3h-pyrrolo 3,2- e)indolen und 5-hydroxy-1,2-dihydro-3h-benzo e)indolen sowie von 6-hydroxy-1,2,3,4-tetrahydro- benzo f)chinolin-derivaten für eine selektive krebstherapie |
| CN109395082A (zh) | 2000-05-19 | 2019-03-01 | 杰南技术公司 | 用于提高对ErbB拮抗剂癌症治疗的有效应答可能性的基因检测试验 |
| AUPQ841800A0 (en) | 2000-06-28 | 2000-07-20 | Biomolecular Research Institute Limited | Truncated egf receptor |
| EP1294904A1 (en) | 2000-06-30 | 2003-03-26 | Vlaams Interuniversitair Instituut voor Biotechnologie vzw. | Heterodimeric fusion proteins |
| CA2418083A1 (en) | 2000-08-09 | 2002-02-14 | Imclone Systems Incorporated | Treatment of hyperproliferative diseases with epidermal growth factor receptor antagonists |
| US6333410B1 (en) | 2000-08-18 | 2001-12-25 | Immunogen, Inc. | Process for the preparation and purification of thiol-containing maytansinoids |
| AR030612A1 (es) | 2000-09-12 | 2003-08-27 | Smithkline Beecham Corp | Procedimiento e intermedios |
| WO2002030894A2 (en) | 2000-09-19 | 2002-04-18 | Taiho Pharmaceutical Co., Ltd. | Compositions and methods of the use thereof achiral analogues of cc-1065 and the duocarmycins |
| DE10048417A1 (de) | 2000-09-29 | 2002-04-11 | Roche Diagnostics Gmbh | Verbindungen mit verzweigtem Linker |
| WO2002030924A1 (en) | 2000-10-13 | 2002-04-18 | Astrazeneca Ab | Quinazoline derivatives with anti-tumour activity |
| KR20030074839A (ko) | 2001-02-19 | 2003-09-19 | 메르크 파텐트 게엠베하 | 감소된 면역원성을 갖는 개질 항-egfr 항체 |
| US20080008704A1 (en) * | 2001-03-16 | 2008-01-10 | Mark Rubin | Methods of treating colorectal cancer with anti-epidermal growth factor antibodies |
| US20020156274A1 (en) | 2001-03-16 | 2002-10-24 | Terfloth Gerald J. | Process for preparing maytansinol |
| EP1243276A1 (en) | 2001-03-23 | 2002-09-25 | Franciscus Marinus Hendrikus De Groot | Elongated and multiple spacers containing activatible prodrugs |
| US20030083263A1 (en) | 2001-04-30 | 2003-05-01 | Svetlana Doronina | Pentapeptide compounds and uses related thereto |
| US7256257B2 (en) | 2001-04-30 | 2007-08-14 | Seattle Genetics, Inc. | Pentapeptide compounds and uses related thereto |
| US6884869B2 (en) | 2001-04-30 | 2005-04-26 | Seattle Genetics, Inc. | Pentapeptide compounds and uses related thereto |
| CZ20033226A3 (en) | 2001-05-08 | 2004-07-14 | Merck Patent Gmbh | Combination therapy using anti-egfr antibodies and anti-hormonal agents |
| EP1392359B2 (en) * | 2001-05-11 | 2013-03-13 | Ludwig Institute for Cancer Research Ltd. | Specific binding proteins and uses thereof |
| US20110313230A1 (en) | 2001-05-11 | 2011-12-22 | Terrance Grant Johns | Specific binding proteins and uses thereof |
| US20100056762A1 (en) * | 2001-05-11 | 2010-03-04 | Old Lloyd J | Specific binding proteins and uses thereof |
| US6441163B1 (en) | 2001-05-31 | 2002-08-27 | Immunogen, Inc. | Methods for preparation of cytotoxic conjugates of maytansinoids and cell binding agents |
| MXPA03011094A (es) | 2001-05-31 | 2004-12-06 | Medarex Inc | Citotoxinas, profarmacos, ligadores, y estabilizadores utiles para ello. |
| MXPA03011365A (es) | 2001-06-13 | 2005-03-07 | Genmab As | Anticuerpos monoclonales humanos para el receptor de factor de crecimiento epidermico (egfr). |
| US7595378B2 (en) | 2001-06-13 | 2009-09-29 | Genmab A/S | Human monoclonal antibodies to epidermal growth factor receptor (EGFR) |
| US7803915B2 (en) | 2001-06-20 | 2010-09-28 | Genentech, Inc. | Antibody compositions for the diagnosis and treatment of tumor |
| US20050107595A1 (en) | 2001-06-20 | 2005-05-19 | Genentech, Inc. | Compositions and methods for the diagnosis and treatment of tumor |
| CA2456236A1 (en) | 2001-08-03 | 2003-02-20 | Commonwealth Scientific And Industrial Research Organisation | Methods of screening based on the egf receptor crystal structure |
| DE10138876B4 (de) | 2001-08-08 | 2008-11-06 | Forschungszentrum Jülich GmbH | Genetisch modifizierte zyklisch-Nukleotid-gesteuerte lonenkanäle und deren Verwendung |
| CA2459308A1 (en) | 2001-09-07 | 2003-03-20 | Dale L. Boger | Cbi analogues of cc-1065 and the duocarmycins |
| US20030109682A1 (en) | 2001-09-07 | 2003-06-12 | Daniel Santi | Maytansines and maytansine conjugates |
| US7091186B2 (en) | 2001-09-24 | 2006-08-15 | Seattle Genetics, Inc. | p-Amidobenzylethers in drug delivery agents |
| JP2005510226A (ja) | 2001-11-21 | 2005-04-21 | ユニバーシティ・オブ・ワシントン | メイタンシノイド抗腫瘍薬アンサマイトシンのための生合成遺伝子クラスター |
| US6716821B2 (en) | 2001-12-21 | 2004-04-06 | Immunogen Inc. | Cytotoxic agents bearing a reactive polyethylene glycol moiety, cytotoxic conjugates comprising polyethylene glycol linking groups, and methods of making and using the same |
| WO2003057163A2 (en) | 2002-01-03 | 2003-07-17 | Smithkline Beecham Corporation | Methods for preparing immunoconjugates |
| US6790954B2 (en) | 2002-01-29 | 2004-09-14 | Immunogen, Inc. | Mutant Actinosynnema pretiosum strain with increased maytansinoid production |
| CN101914158A (zh) * | 2002-02-14 | 2010-12-15 | 免疫医疗公司 | 抗cd 20抗体及其融合蛋白和使用方法 |
| US20050222059A1 (en) | 2002-02-25 | 2005-10-06 | Tang Careen K | Egfrviii specific monoclonal antibody and egfrviii ribozymes and use to detect, treat or prevent egfrviii associated cancer |
| US20030211112A1 (en) | 2002-03-19 | 2003-11-13 | Waldemar Debinski | EGFR ligands and methods of use |
| US6756397B2 (en) | 2002-04-05 | 2004-06-29 | Immunogen, Inc. | Prodrugs of CC-1065 analogs |
| US6534660B1 (en) | 2002-04-05 | 2003-03-18 | Immunogen, Inc. | CC-1065 analog synthesis |
| WO2003096782A2 (en) | 2002-05-13 | 2003-11-27 | Smithkline Beecham Corporation | Process for preparing maytansinol |
| US6596757B1 (en) | 2002-05-14 | 2003-07-22 | Immunogen Inc. | Cytotoxic agents comprising polyethylene glycol-containing taxanes and their therapeutic use |
| CA2485691A1 (en) | 2002-05-20 | 2003-12-04 | Abgenix, Inc. | Treatment of renal carcinoma using antibodies against the egfr |
| JPWO2003101491A1 (ja) | 2002-06-03 | 2005-09-29 | 三菱ウェルファーマ株式会社 | Her2又は/及びEGFR発現又は活性化対象に用いる予防又は/及び治療剤 |
| US7696320B2 (en) | 2004-08-24 | 2010-04-13 | Domantis Limited | Ligands that have binding specificity for VEGF and/or EGFR and methods of use therefor |
| EP2135879A3 (en) | 2002-06-28 | 2010-06-23 | Domantis Limited | Ligand |
| SI1545613T1 (sl) | 2002-07-31 | 2011-11-30 | Seattle Genetics Inc | Avristatinski konjugati in njihova uporaba za zdravljenje raka avtoimunske bolezni ali infekcijskebolezni |
| CA2494074A1 (en) | 2002-08-02 | 2004-02-12 | Immunogen, Inc. | Cytotoxic agents containing novel potent taxanes and their therapeutic use |
| US7390898B2 (en) | 2002-08-02 | 2008-06-24 | Immunogen Inc. | Cytotoxic agents containing novel potent taxanes and their therapeutic use |
| EP1534335B9 (en) * | 2002-08-14 | 2016-01-13 | Macrogenics, Inc. | Fcgammariib-specific antibodies and methods of use thereof |
| ATE499116T1 (de) | 2002-08-16 | 2011-03-15 | Immunogen Inc | Vernetzer mit hoher reaktivität und löslichkeit und ihre verwendung bei der herstellung von konjugaten für die gezielte abgabe von kleinmolekularen arzneimitteln |
| AU2003259913A1 (en) | 2002-08-19 | 2004-03-03 | Genentech, Inc. | Compositions and methods for the diagnosis and treatment of tumor |
| BR0315117A (pt) | 2002-10-10 | 2005-08-16 | Merck Patent Gmbh | Anticorpos anti-erb-b biespecìficos e seu uso na terapia de tumores |
| EP1560599A1 (en) | 2002-11-14 | 2005-08-10 | Syntarga B.V. | Prodrugs built as multiple self-elimination-release spacers |
| US20040147428A1 (en) | 2002-11-15 | 2004-07-29 | Pluenneke John D. | Methods of treatment using an inhibitor of epidermal growth factor receptor |
| US20040202666A1 (en) | 2003-01-24 | 2004-10-14 | Immunomedics, Inc. | Anti-cancer anthracycline drug-antibody conjugates |
| EP1622941A2 (en) | 2003-03-20 | 2006-02-08 | ImClone Systems Incorporated | Method of producing an antibody to epidermal growth factor receptor |
| CA2450289A1 (en) | 2003-03-20 | 2005-05-19 | Imclone Systems Incorporated | Method of producing an antibody to epidermal growth factor receptor |
| US7432088B2 (en) | 2003-05-08 | 2008-10-07 | Immunogen Inc. | Methods for the production of ansamitocins |
| WO2004101767A2 (en) | 2003-05-13 | 2004-11-25 | The Scripps Research Institute | Cbi analogues of the duocarmycins and cc-1065 |
| US8088387B2 (en) | 2003-10-10 | 2012-01-03 | Immunogen Inc. | Method of targeting specific cell populations using cell-binding agent maytansinoid conjugates linked via a non-cleavable linker, said conjugates, and methods of making said conjugates |
| MX369959B (es) | 2003-05-14 | 2019-11-27 | Immunogen Inc | Composicion de farmaco conjugado. |
| US7276497B2 (en) | 2003-05-20 | 2007-10-02 | Immunogen Inc. | Cytotoxic agents comprising new maytansinoids |
| JP4808614B2 (ja) | 2003-06-27 | 2011-11-02 | アムジエン・フレモント・インコーポレイテツド | 上皮成長因子受容体の欠失型変異体を認識する抗体、およびそれらの使用 |
| US8101720B2 (en) | 2004-10-21 | 2012-01-24 | Xencor, Inc. | Immunoglobulin insertions, deletions and substitutions |
| ES2384105T3 (es) * | 2003-11-01 | 2012-06-29 | Merck Patent Gmbh | Anticuerpo anti-CD52 modificado |
| KR101438983B1 (ko) | 2003-11-06 | 2014-09-05 | 시애틀 지네틱스, 인크. | 리간드에 접합될 수 있는 모노메틸발린 화합물 |
| US20050142133A1 (en) | 2003-12-03 | 2005-06-30 | Xencor, Inc. | Optimized proteins that target the epidermal growth factor receptor |
| DK1718677T3 (da) | 2003-12-19 | 2012-07-09 | Genentech Inc | Monovalente antistoffragmenter egnede som terapeutiske midler |
| US20050214310A1 (en) | 2004-01-23 | 2005-09-29 | Seattle Genetics, Inc. | Melphalan prodrugs |
| US7767792B2 (en) * | 2004-02-20 | 2010-08-03 | Ludwig Institute For Cancer Research Ltd. | Antibodies to EGF receptor epitope peptides |
| AU2005216251B2 (en) | 2004-02-23 | 2011-03-10 | Genentech, Inc. | Heterocyclic self-immolative linkers and conjugates |
| US7837980B2 (en) | 2004-03-02 | 2010-11-23 | Seattle Genetics, Inc. | Partially loaded antibodies and methods of their conjugation |
| TW200533339A (en) | 2004-03-16 | 2005-10-16 | Bristol Myers Squibb Co | Therapeutic synergy of anti-cancer compounds |
| ES2387809T3 (es) | 2004-03-19 | 2012-10-02 | Imclone Llc | Anticuerpo frente al receptor del factor de crecimiento epidérmico humano |
| EP1737890A2 (en) | 2004-03-24 | 2007-01-03 | Xencor, Inc. | Immunoglobulin variants outside the fc region |
| ES2741546T3 (es) | 2004-03-31 | 2020-02-11 | Massachusetts Gen Hospital | Método para determinar la respuesta del cáncer a tratamientos dirigidos al receptor del factor de crecimiento epidérmico |
| US7838519B2 (en) | 2004-04-14 | 2010-11-23 | The Ohio State University Research Foundation | Maytansinoid analogs as antitumor agents |
| CA2564076C (en) | 2004-05-19 | 2014-02-18 | Medarex, Inc. | Chemical linkers and conjugates thereof |
| RU2402548C2 (ru) | 2004-05-19 | 2010-10-27 | Медарекс, Инк. | Химические линкеры и их конъюгаты |
| RU2404810C9 (ru) | 2004-06-01 | 2015-06-20 | Дженентек, Инк. | Конъюгаты антитело-лекарственное средство и способы |
| EP3042964A1 (en) | 2004-06-04 | 2016-07-13 | Genentech, Inc. | Egfr mutations |
| CN102942631B (zh) * | 2004-08-05 | 2015-03-25 | 健泰科生物技术公司 | 人源化抗c-met拮抗剂 |
| US20060029574A1 (en) | 2004-08-06 | 2006-02-09 | Board Of Regents, The University Of Texas System | Biomarkers for diagnosis, prognosis, monitoring, and treatment decisions for drug resistance and sensitivity |
| CN104447992A (zh) | 2004-09-23 | 2015-03-25 | 健泰科生物技术公司 | 半胱氨酸改造的抗体和偶联物 |
| JO3000B1 (ar) | 2004-10-20 | 2016-09-05 | Genentech Inc | مركبات أجسام مضادة . |
| EP1817336B1 (en) | 2004-11-12 | 2019-01-09 | Seattle Genetics, Inc. | Auristatins having an aminobenzoic acid unit at the n terminus |
| EP1817341A2 (en) | 2004-11-29 | 2007-08-15 | Seattle Genetics, Inc. | Engineered antibodies and immunoconjugates |
| US20070134243A1 (en) | 2004-12-01 | 2007-06-14 | Gazzard Lewis J | Antibody drug conjugates and methods |
| ZA200704796B (en) | 2004-12-07 | 2008-11-26 | Genentech Inc | Selecting patients for therapy with a HER inhibitor |
| EP1669358A1 (en) | 2004-12-07 | 2006-06-14 | Aventis Pharma S.A. | Cytotoxic agents comprising new taxanes |
| EP1688415A1 (en) | 2004-12-07 | 2006-08-09 | Aventis Pharma S.A. | Cytotoxic agents comprising new C-2 modified taxanes |
| US7301019B2 (en) | 2005-01-21 | 2007-11-27 | Immunogen, Inc. | Method for the preparation of maytansinoid esters |
| EP1853322B1 (en) | 2005-02-11 | 2014-06-25 | ImmunoGen, Inc. | Process for preparing maytansinoid antibody conjugates |
| KR20080014745A (ko) | 2005-04-01 | 2008-02-14 | 암젠 인코포레이티드 | 상피세포 성장인자 수용체 유전자 복제 수 |
| US7714016B2 (en) | 2005-04-08 | 2010-05-11 | Medarex, Inc. | Cytotoxic compounds and conjugates with cleavable substrates |
| EP1917020B1 (en) | 2005-07-07 | 2016-05-25 | Seattle Genetics, Inc. | Monomethylvaline compounds having phenylalanine side-chain modifications at the c-terminus |
| WO2007008848A2 (en) | 2005-07-07 | 2007-01-18 | Seattle Genetics, Inc. | Monomethylvaline compounds having phenylalanine carboxy modifications at the c-terminus |
| HUE035853T2 (en) | 2005-07-18 | 2018-05-28 | Seattle Genetics Inc | Beta-glucuronide-linker-drug conjugates |
| NZ564843A (en) | 2005-08-03 | 2012-05-25 | Immunogen Inc | Immunoconjugate formulations comprising an immunoconjugate and an excipient in a buffered aqueous solution |
| US8158590B2 (en) | 2005-08-05 | 2012-04-17 | Syntarga B.V. | Triazole-containing releasable linkers, conjugates thereof, and methods of preparation |
| ATE535529T1 (de) | 2005-08-09 | 2011-12-15 | Millennium Pharm Inc | Verfahren zur acylierung von maytansinol mit chiralen aminosäuren |
| US7612181B2 (en) | 2005-08-19 | 2009-11-03 | Abbott Laboratories | Dual variable domain immunoglobulin and uses thereof |
| WO2007024536A2 (en) | 2005-08-24 | 2007-03-01 | Immunogen, Inc. | Process for preparing maytansinoid antibody conjugates |
| CN101312748A (zh) | 2005-09-26 | 2008-11-26 | 梅达莱克斯公司 | 抗体-药物轭合物和使用方法 |
| PT1940789E (pt) | 2005-10-26 | 2012-02-01 | Medarex Inc | Métodos e compostos para preparar análogos cc-1065 |
| ATE540956T1 (de) | 2005-11-08 | 2012-01-15 | Immunogen Inc | Verfahren zur herstellung von maytansinol |
| CA2627190A1 (en) | 2005-11-10 | 2007-05-24 | Medarex, Inc. | Duocarmycin derivatives as novel cytotoxic compounds and conjugates |
| EP2340837B1 (en) | 2005-11-11 | 2017-03-15 | Boehringer Ingelheim International GmbH | Combination treatment of cancer comprising egfr/her2 inhibitors |
| ATE461220T1 (de) | 2005-11-12 | 2010-04-15 | Lilly Co Eli | Anti-egfr-antikörper |
| US20090214541A1 (en) | 2006-01-04 | 2009-08-27 | L'instut National De La Sante Et De La Recherche Medicale | Combination Therapy Using Anti-EGFR and Anti-HER2 Antibodies |
| RU2489423C2 (ru) | 2006-02-02 | 2013-08-10 | Синтарга Б.В. | Водорастворимые аналоги сс-1065 и их конъюгаты |
| US7750116B1 (en) | 2006-02-18 | 2010-07-06 | Seattle Genetics, Inc. | Antibody drug conjugate metabolites |
| WO2007103288A2 (en) | 2006-03-02 | 2007-09-13 | Seattle Genetics, Inc. | Engineered antibody drug conjugates |
| EP1832577A1 (en) | 2006-03-07 | 2007-09-12 | Sanofi-Aventis | Improved prodrugs of CC-1065 analogs |
| JP5372737B2 (ja) | 2006-03-13 | 2013-12-18 | オーエスアイ・フアーマシユーテイカルズ・エル・エル・シー | Egfrキナーゼ阻害剤およびegfrキナーゼ阻害剤の効果に対し腫瘍細胞を感作する薬剤を用いる併用治療 |
| WO2008033495A2 (en) * | 2006-09-15 | 2008-03-20 | Life Science Pharmaceuticals | Method for detecting and treating skin disorders |
| CA2667808A1 (en) | 2006-11-02 | 2008-05-15 | Seattle Genetics, Inc. | Methods of treating neoplastic, autoimmune and inflammatory diseases |
| US7790164B2 (en) | 2006-11-14 | 2010-09-07 | Van Andel Research Institute | Fragments of antibodies to epidermal growth factor receptor and methods of their use |
| US20100034808A1 (en) * | 2006-11-21 | 2010-02-11 | Toru Nakazawa | Compositions and methods for preserving cells of the eye |
| AU2007353412A1 (en) | 2006-11-21 | 2008-11-20 | Fox Chase Cancer Center | Anti-EGFR family antibodies, bispecific anti-EGFR family antibodies and methods of use thereof |
| US9090693B2 (en) | 2007-01-25 | 2015-07-28 | Dana-Farber Cancer Institute | Use of anti-EGFR antibodies in treatment of EGFR mutant mediated disease |
| CN101688229B (zh) | 2007-03-15 | 2013-06-12 | 路德维格癌症研究所 | 包含egfr抗体和src抑制剂的组合物及其在制备用于治疗哺乳动物癌症的药物中的用途 |
| WO2008152537A2 (en) | 2007-06-14 | 2008-12-18 | Zenotech Laboratories Limited | Humanized monoclonal antibodies against human epidermal growth factor receptor, use and method thereof |
| WO2008154927A1 (en) | 2007-06-21 | 2008-12-24 | Genmab A/S | Novel methods for treating egfr-associated tumors |
| AU2007357156B2 (en) | 2007-08-01 | 2013-01-10 | Syntarga B.V. | Substituted CC-1065 analogs and their conjugates |
| CN101896503B (zh) * | 2007-08-14 | 2018-05-22 | 路德维格癌症研究所有限公司 | 靶向egf受体的单克隆抗体175及其衍生物和用途 |
| US20090269343A1 (en) | 2008-04-11 | 2009-10-29 | Duke University | Dual Specific Immunotoxin for Brain Tumor Therapy |
| KR20230003298A (ko) | 2008-04-30 | 2023-01-05 | 이뮤노젠 아이엔씨 | 가교제 및 그 용도 |
| AU2009256246B2 (en) | 2008-06-03 | 2013-07-18 | Abbvie Inc. | Dual variable domain immunoglobulins and uses thereof |
| CN105175434A (zh) | 2009-02-05 | 2015-12-23 | 伊缪诺金公司 | 新型苯并二氮杂*衍生物 |
| MX2011011670A (es) | 2009-05-01 | 2011-11-18 | Abbott Lab | Inmunoglobulinas de dominio variable dual y usos de las mismas. |
| WO2011035465A1 (zh) | 2009-09-22 | 2011-03-31 | 上海市肿瘤研究所 | 特异性结合蛋白及其使用 |
| US20110076232A1 (en) | 2009-09-29 | 2011-03-31 | Ludwig Institute For Cancer Research | Specific binding proteins and uses thereof |
| US9209965B2 (en) | 2014-01-14 | 2015-12-08 | Microsemi Semiconductor Ulc | Network interface with clock recovery module on line card |
-
2009
- 2009-02-18 US US12/388,504 patent/US20100056762A1/en not_active Abandoned
-
2010
- 2010-02-17 MX MX2011008767A patent/MX2011008767A/es active IP Right Grant
- 2010-02-17 KR KR1020177018394A patent/KR101921046B1/ko active Active
- 2010-02-17 AU AU2010216168A patent/AU2010216168B2/en active Active
- 2010-02-17 KR KR1020217006120A patent/KR20210028271A/ko not_active Withdrawn
- 2010-02-17 EP EP15160629.0A patent/EP2913344B1/en active Active
- 2010-02-17 BR BRPI1012340-7A patent/BRPI1012340B1/pt active IP Right Grant
- 2010-02-17 CN CN201080017279.4A patent/CN102405235B/zh active Active
- 2010-02-17 NZ NZ608773A patent/NZ608773A/en unknown
- 2010-02-17 MX MX2014000475A patent/MX361876B/es unknown
- 2010-02-17 PE PE2015002701A patent/PE20160535A1/es unknown
- 2010-02-17 PE PE2020000069A patent/PE20200609A1/es unknown
- 2010-02-17 UA UAA201111099A patent/UA106607C2/uk unknown
- 2010-02-17 DK DK10704485T patent/DK2398828T3/en active
- 2010-02-17 LT LTEP15160629.0T patent/LT2913344T/lt unknown
- 2010-02-17 UA UAA201407733A patent/UA117807C2/uk unknown
- 2010-02-17 ES ES10704485.1T patent/ES2540802T3/es active Active
- 2010-02-17 HU HUE10704485A patent/HUE025435T2/en unknown
- 2010-02-17 KR KR1020197018017A patent/KR20190076069A/ko not_active Withdrawn
- 2010-02-17 RU RU2014120536A patent/RU2673724C2/ru active
- 2010-02-17 PL PL15160629T patent/PL2913344T3/pl unknown
- 2010-02-17 NZ NZ627103A patent/NZ627103A/en unknown
- 2010-02-17 CN CN201510419051.2A patent/CN105399829A/zh active Pending
- 2010-02-17 ES ES15160629.0T patent/ES2645663T3/es active Active
- 2010-02-17 PE PE2011001515A patent/PE20120569A1/es active IP Right Grant
- 2010-02-17 KR KR1020117021501A patent/KR101579769B1/ko active Active
- 2010-02-17 DK DK15160629.0T patent/DK2913344T3/da active
- 2010-02-17 PL PL10704485T patent/PL2398828T3/pl unknown
- 2010-02-17 SG SG10201407281UA patent/SG10201407281UA/en unknown
- 2010-02-17 PT PT107044851T patent/PT2398828E/pt unknown
- 2010-02-17 MY MYPI2016001104A patent/MY185858A/en unknown
- 2010-02-17 HU HUE15160629A patent/HUE037061T2/hu unknown
- 2010-02-17 RU RU2011138154/10A patent/RU2549678C2/ru active
- 2010-02-17 CN CN201510004733.7A patent/CN104650232B/zh active Active
- 2010-02-17 MY MYPI2011003853A patent/MY165583A/en unknown
- 2010-02-17 EP EP17184273.5A patent/EP3301117A3/en active Pending
- 2010-02-17 KR KR1020227004795A patent/KR20220025913A/ko active Pending
- 2010-02-17 NZ NZ716762A patent/NZ716762A/en unknown
- 2010-02-17 HR HRP20150656TT patent/HRP20150656T1/hr unknown
- 2010-02-17 JP JP2011551178A patent/JP5859314B2/ja active Active
- 2010-02-17 NO NO15160629A patent/NO2913344T3/no unknown
- 2010-02-17 PT PT151606290T patent/PT2913344T/pt unknown
- 2010-02-17 PH PH1/2020/500067A patent/PH12020500067A1/en unknown
- 2010-02-17 KR KR1020157020913A patent/KR101809441B1/ko active Active
- 2010-02-17 US US13/201,061 patent/US9072798B2/en active Active
- 2010-02-17 EP EP10704485.1A patent/EP2398828B1/en active Active
- 2010-02-17 CA CA2752584A patent/CA2752584C/en active Active
- 2010-02-17 WO PCT/US2010/024407 patent/WO2010096434A2/en not_active Ceased
- 2010-02-17 SG SG2011058476A patent/SG173688A1/en unknown
- 2010-02-17 SI SI201030953T patent/SI2398828T1/sl unknown
- 2010-02-17 NZ NZ595224A patent/NZ595224A/xx unknown
- 2010-02-17 KR KR1020187032867A patent/KR20180125044A/ko not_active Withdrawn
- 2010-02-17 SI SI201031541T patent/SI2913344T1/sl unknown
- 2010-02-17 SG SG10201801945TA patent/SG10201801945TA/en unknown
-
2011
- 2011-08-14 IL IL214643A patent/IL214643A/en active IP Right Grant
- 2011-08-17 CL CL2011002003A patent/CL2011002003A1/es unknown
- 2011-08-17 GT GT201100223A patent/GT201100223A/es unknown
- 2011-08-18 MX MX2018015915A patent/MX2018015915A/es unknown
- 2011-09-09 CO CO11116706A patent/CO6420350A2/es not_active Application Discontinuation
- 2011-09-16 EC EC2011011335A patent/ECSP11011335A/es unknown
-
2014
- 2014-10-07 JP JP2014206544A patent/JP6199269B2/ja active Active
- 2014-10-28 PH PH12014502419A patent/PH12014502419A1/en unknown
-
2015
- 2015-05-22 CY CY20151100459T patent/CY1124849T1/el unknown
- 2015-06-11 US US14/737,381 patent/US20160046726A1/en not_active Abandoned
- 2015-10-19 CL CL2015003090A patent/CL2015003090A1/es unknown
- 2015-11-12 AU AU2015255246A patent/AU2015255246B2/en active Active
-
2016
- 2016-04-26 JP JP2016088333A patent/JP6317780B2/ja active Active
- 2016-07-25 HK HK16108847.0A patent/HK1220706A1/zh unknown
-
2017
- 2017-07-27 US US15/661,864 patent/US20180057606A1/en not_active Abandoned
- 2017-10-24 CY CY20171101103T patent/CY1119591T1/el unknown
- 2017-10-25 HR HRP20171636TT patent/HRP20171636T1/hr unknown
- 2017-12-12 AU AU2017276184A patent/AU2017276184A1/en not_active Abandoned
-
2018
- 2018-03-29 JP JP2018063673A patent/JP2018148887A/ja active Pending
- 2018-08-20 RU RU2018130075A patent/RU2018130075A/ru unknown
-
2020
- 2020-02-12 DO DO2020000032A patent/DOP2020000032A/es unknown
- 2020-03-13 US US16/818,062 patent/US20210032366A1/en not_active Abandoned
- 2020-04-23 JP JP2020076499A patent/JP2020195368A/ja active Pending
-
2021
- 2021-03-18 AU AU2021201724A patent/AU2021201724A1/en not_active Abandoned
-
2022
- 2022-06-07 JP JP2022092047A patent/JP2022137018A/ja active Pending
-
2023
- 2023-04-26 US US18/307,566 patent/US20240117073A1/en not_active Abandoned
-
2024
- 2024-06-28 JP JP2024104733A patent/JP2024138317A/ja active Pending
- 2024-09-06 AU AU2024219468A patent/AU2024219468A1/en active Pending
Also Published As
Similar Documents
| Publication | Publication Date | Title |
|---|---|---|
| KR101921046B1 (ko) | 특이적 결합 단백질 및 이의 용도 | |
| CA2447139C (en) | Specific binding proteins and uses thereof | |
| TW201124155A (en) | Specific binding proteins and uses thereof | |
| KR101245983B1 (ko) | 인간화 항-tgf-베타 항체 | |
| KR102763158B1 (ko) | 최적화된 항tl1a 항체 | |
| CN110121509B (zh) | 中和抗tl1a单克隆抗体 | |
| KR101920946B1 (ko) | Csf-1r에 대한 항체 | |
| KR100910433B1 (ko) | 이뮤노글로불린 변이체 및 이들의 용도 | |
| KR20060127409A (ko) | 종양 치료 방법 및 스크리닝 검정 | |
| JP7627216B2 (ja) | ムチン-16に対する抗体およびそれを使用する方法 | |
| TW201249868A (en) | Specific binding proteins and uses thereof | |
| CN111093692A (zh) | 治疗淀粉样沉积疾病的嵌合抗体 | |
| EP4357364A1 (en) | Antibody and use thereof | |
| US20250011448A1 (en) | Antibodies specifically recognizing tnfr2 and uses thereof | |
| TWI899684B (zh) | 中和抗tl1a之單株抗體 | |
| KR20100014279A (ko) | 인간 엘디엘 수용체에 대한 단일클론항체 | |
| CN103374071B (zh) | 一种抗derlin‑1人源化抗体的制备 | |
| EA048637B1 (ru) | Антитела против муцина-16 и способы их применения | |
| HK40028231A (en) | Chimeric antibodies for treatment of amyloid deposition diseases |
Legal Events
| Date | Code | Title | Description |
|---|---|---|---|
| A107 | Divisional application of patent | ||
| PA0104 | Divisional application for international application |
Comment text: Divisional Application for International Patent Patent event code: PA01041R01D Patent event date: 20181113 Application number text: 1020177018394 Filing date: 20170703 |
|
| PG1501 | Laying open of application | ||
| PA0201 | Request for examination |
Patent event code: PA02012R01D Patent event date: 20181212 Comment text: Request for Examination of Application |
|
| PA0104 | Divisional application for international application |
Comment text: Divisional Application for International Patent Patent event code: PA01041R01D Patent event date: 20190621 Application number text: 1020177018394 Filing date: 20170703 |
|
| PC1202 | Submission of document of withdrawal before decision of registration |
Comment text: [Withdrawal of Procedure relating to Patent, etc.] Withdrawal (Abandonment) Patent event code: PC12021R01D Patent event date: 20190625 |
|
| WITB | Written withdrawal of application |