WO2014199880A1 - 多孔質炭素触媒及びその製造方法並びに電極及び電池 - Google Patents

多孔質炭素触媒及びその製造方法並びに電極及び電池 Download PDF

Info

Publication number
WO2014199880A1
WO2014199880A1 PCT/JP2014/064831 JP2014064831W WO2014199880A1 WO 2014199880 A1 WO2014199880 A1 WO 2014199880A1 JP 2014064831 W JP2014064831 W JP 2014064831W WO 2014199880 A1 WO2014199880 A1 WO 2014199880A1
Authority
WO
WIPO (PCT)
Prior art keywords
organic polymer
metal
carbon catalyst
porous carbon
skeleton
Prior art date
Legal status (The legal status is an assumption and is not a legal conclusion. Google has not performed a legal analysis and makes no representation as to the accuracy of the status listed.)
Ceased
Application number
PCT/JP2014/064831
Other languages
English (en)
French (fr)
Japanese (ja)
Inventor
靖雄 今城
裕次 窪田
安希子 平
Current Assignee (The listed assignees may be inaccurate. Google has not performed a legal analysis and makes no representation or warranty as to the accuracy of the list.)
Nisshinbo Holdings Inc
Original Assignee
Nisshinbo Holdings Inc
Priority date (The priority date is an assumption and is not a legal conclusion. Google has not performed a legal analysis and makes no representation as to the accuracy of the date listed.)
Filing date
Publication date
Application filed by Nisshinbo Holdings Inc filed Critical Nisshinbo Holdings Inc
Priority to EP14810964.8A priority Critical patent/EP3009188B1/en
Priority to CA2914210A priority patent/CA2914210C/en
Priority to CN201480033720.6A priority patent/CN105283247B/zh
Priority to US14/894,588 priority patent/US10388967B2/en
Priority to KR1020157034557A priority patent/KR102219585B1/ko
Publication of WO2014199880A1 publication Critical patent/WO2014199880A1/ja
Anticipated expiration legal-status Critical
Ceased legal-status Critical Current

Links

Images

Classifications

    • HELECTRICITY
    • H01ELECTRIC ELEMENTS
    • H01MPROCESSES OR MEANS, e.g. BATTERIES, FOR THE DIRECT CONVERSION OF CHEMICAL ENERGY INTO ELECTRICAL ENERGY
    • H01M4/00Electrodes
    • H01M4/86Inert electrodes with catalytic activity, e.g. for fuel cells
    • H01M4/96Carbon-based electrodes
    • CCHEMISTRY; METALLURGY
    • C01INORGANIC CHEMISTRY
    • C01BNON-METALLIC ELEMENTS; COMPOUNDS THEREOF; METALLOIDS OR COMPOUNDS THEREOF NOT COVERED BY SUBCLASS C01C
    • C01B32/00Carbon; Compounds thereof
    • C01B32/05Preparation or purification of carbon not covered by groups C01B32/15, C01B32/20, C01B32/25, C01B32/30
    • HELECTRICITY
    • H01ELECTRIC ELEMENTS
    • H01MPROCESSES OR MEANS, e.g. BATTERIES, FOR THE DIRECT CONVERSION OF CHEMICAL ENERGY INTO ELECTRICAL ENERGY
    • H01M12/00Hybrid cells; Manufacture thereof
    • H01M12/02Details
    • HELECTRICITY
    • H01ELECTRIC ELEMENTS
    • H01MPROCESSES OR MEANS, e.g. BATTERIES, FOR THE DIRECT CONVERSION OF CHEMICAL ENERGY INTO ELECTRICAL ENERGY
    • H01M12/00Hybrid cells; Manufacture thereof
    • H01M12/04Hybrid cells; Manufacture thereof composed of a half-cell of the fuel-cell type and of a half-cell of the primary-cell type
    • HELECTRICITY
    • H01ELECTRIC ELEMENTS
    • H01MPROCESSES OR MEANS, e.g. BATTERIES, FOR THE DIRECT CONVERSION OF CHEMICAL ENERGY INTO ELECTRICAL ENERGY
    • H01M12/00Hybrid cells; Manufacture thereof
    • H01M12/08Hybrid cells; Manufacture thereof composed of a half-cell of a fuel-cell type and a half-cell of the secondary-cell type
    • HELECTRICITY
    • H01ELECTRIC ELEMENTS
    • H01MPROCESSES OR MEANS, e.g. BATTERIES, FOR THE DIRECT CONVERSION OF CHEMICAL ENERGY INTO ELECTRICAL ENERGY
    • H01M4/00Electrodes
    • H01M4/86Inert electrodes with catalytic activity, e.g. for fuel cells
    • H01M4/8605Porous electrodes
    • HELECTRICITY
    • H01ELECTRIC ELEMENTS
    • H01MPROCESSES OR MEANS, e.g. BATTERIES, FOR THE DIRECT CONVERSION OF CHEMICAL ENERGY INTO ELECTRICAL ENERGY
    • H01M4/00Electrodes
    • H01M4/86Inert electrodes with catalytic activity, e.g. for fuel cells
    • H01M4/90Selection of catalytic material
    • H01M4/9016Oxides, hydroxides or oxygenated metallic salts
    • HELECTRICITY
    • H01ELECTRIC ELEMENTS
    • H01MPROCESSES OR MEANS, e.g. BATTERIES, FOR THE DIRECT CONVERSION OF CHEMICAL ENERGY INTO ELECTRICAL ENERGY
    • H01M4/00Electrodes
    • H01M4/86Inert electrodes with catalytic activity, e.g. for fuel cells
    • H01M4/90Selection of catalytic material
    • H01M4/9075Catalytic material supported on carriers, e.g. powder carriers
    • H01M4/9083Catalytic material supported on carriers, e.g. powder carriers on carbon or graphite
    • HELECTRICITY
    • H01ELECTRIC ELEMENTS
    • H01MPROCESSES OR MEANS, e.g. BATTERIES, FOR THE DIRECT CONVERSION OF CHEMICAL ENERGY INTO ELECTRICAL ENERGY
    • H01M4/00Electrodes
    • H01M4/86Inert electrodes with catalytic activity, e.g. for fuel cells
    • H01M4/90Selection of catalytic material
    • H01M4/92Metals of platinum group
    • H01M4/925Metals of platinum group supported on carriers, e.g. powder carriers
    • H01M4/926Metals of platinum group supported on carriers, e.g. powder carriers on carbon or graphite
    • HELECTRICITY
    • H01ELECTRIC ELEMENTS
    • H01MPROCESSES OR MEANS, e.g. BATTERIES, FOR THE DIRECT CONVERSION OF CHEMICAL ENERGY INTO ELECTRICAL ENERGY
    • H01M12/00Hybrid cells; Manufacture thereof
    • H01M12/04Hybrid cells; Manufacture thereof composed of a half-cell of the fuel-cell type and of a half-cell of the primary-cell type
    • H01M12/06Hybrid cells; Manufacture thereof composed of a half-cell of the fuel-cell type and of a half-cell of the primary-cell type with one metallic and one gaseous electrode
    • HELECTRICITY
    • H01ELECTRIC ELEMENTS
    • H01MPROCESSES OR MEANS, e.g. BATTERIES, FOR THE DIRECT CONVERSION OF CHEMICAL ENERGY INTO ELECTRICAL ENERGY
    • H01M8/00Fuel cells; Manufacture thereof
    • H01M8/10Fuel cells with solid electrolytes
    • H01M2008/1095Fuel cells with polymeric electrolytes
    • YGENERAL TAGGING OF NEW TECHNOLOGICAL DEVELOPMENTS; GENERAL TAGGING OF CROSS-SECTIONAL TECHNOLOGIES SPANNING OVER SEVERAL SECTIONS OF THE IPC; TECHNICAL SUBJECTS COVERED BY FORMER USPC CROSS-REFERENCE ART COLLECTIONS [XRACs] AND DIGESTS
    • Y02TECHNOLOGIES OR APPLICATIONS FOR MITIGATION OR ADAPTATION AGAINST CLIMATE CHANGE
    • Y02EREDUCTION OF GREENHOUSE GAS [GHG] EMISSIONS, RELATED TO ENERGY GENERATION, TRANSMISSION OR DISTRIBUTION
    • Y02E60/00Enabling technologies; Technologies with a potential or indirect contribution to GHG emissions mitigation
    • Y02E60/10Energy storage using batteries
    • YGENERAL TAGGING OF NEW TECHNOLOGICAL DEVELOPMENTS; GENERAL TAGGING OF CROSS-SECTIONAL TECHNOLOGIES SPANNING OVER SEVERAL SECTIONS OF THE IPC; TECHNICAL SUBJECTS COVERED BY FORMER USPC CROSS-REFERENCE ART COLLECTIONS [XRACs] AND DIGESTS
    • Y02TECHNOLOGIES OR APPLICATIONS FOR MITIGATION OR ADAPTATION AGAINST CLIMATE CHANGE
    • Y02EREDUCTION OF GREENHOUSE GAS [GHG] EMISSIONS, RELATED TO ENERGY GENERATION, TRANSMISSION OR DISTRIBUTION
    • Y02E60/00Enabling technologies; Technologies with a potential or indirect contribution to GHG emissions mitigation
    • Y02E60/30Hydrogen technology
    • Y02E60/50Fuel cells

Definitions

  • the present invention relates to a porous carbon catalyst, a production method thereof, an electrode and a battery.
  • Patent Document 1 describes that a porous body containing polyacrylonitrile is fired to obtain a fired porous body.
  • Patent Document 1 does not describe any porous carbon catalyst exhibiting excellent catalytic activity.
  • the present invention has been made in view of the above problems, and an object thereof is to provide a porous carbon catalyst exhibiting excellent catalytic activity, a method for producing the same, an electrode, and a battery.
  • a method for producing a porous carbon catalyst according to an embodiment of the present invention for solving the above-mentioned problems includes carbonizing an organic polymer porous body having a skeleton containing a metal inside.
  • ADVANTAGE OF THE INVENTION According to this invention, the manufacturing method of the porous carbon catalyst which shows the outstanding catalyst activity can be provided.
  • the organic polymer porous body may be formed by precipitation in a solution containing the organic polymer and the metal.
  • a porous carbon catalyst according to an embodiment of the present invention for solving the above-described problems is obtained by carbonizing an organic polymer porous body having a skeleton containing a metal inside. According to the present invention, a porous carbon catalyst exhibiting excellent catalytic activity can be provided.
  • the organic polymer porous body may be formed by precipitation in a solution containing the organic polymer and the metal.
  • a porous carbon catalyst according to an embodiment of the present invention for solving the above-mentioned problems is characterized by having a skeleton containing a metal inside. According to the present invention, a porous carbon catalyst exhibiting excellent catalytic activity can be provided.
  • the porous carbon catalyst may be obtained by carbonizing an organic polymer porous body having a skeleton containing the metal inside.
  • the porous carbon catalyst may have the skeleton like a particle aggregate.
  • An electrode according to an embodiment of the present invention for solving the above-described problems includes any one of the above porous carbon catalysts.
  • ADVANTAGE OF THE INVENTION According to this invention, the electrode containing the porous carbon catalyst which shows the outstanding catalyst activity can be provided.
  • a battery according to an embodiment of the present invention for solving the above-described problems includes the electrode. According to the present invention, a battery including a porous carbon catalyst exhibiting excellent catalytic activity can be provided.
  • a porous carbon catalyst exhibiting excellent catalytic activity a method for producing the same, an electrode and a battery can be provided.
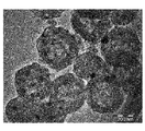
  • FIG. 7A It is explanatory drawing which expands and shows a part of FIG. 7A. It is explanatory drawing which shows the other example of the result of having observed the porous carbon catalyst in the scanning electron microscope in Example 2 which concerns on one Embodiment of this invention. It is explanatory drawing which expands and shows a part of FIG. 8A. It is explanatory drawing which shows the further another example of the result of having observed the porous carbon catalyst in the scanning electron microscope in Example 2 which concerns on one Embodiment of this invention. It is explanatory drawing which expands and shows a part of FIG. 9A. It is explanatory drawing which shows an example of the result of having evaluated the catalytic activity of the porous carbon catalyst in Example 2 which concerns on one Embodiment of this invention. It is explanatory drawing which shows an example of the result of having evaluated the catalytic activity of the porous carbon catalyst in Example 3 which concerns on one Embodiment of this invention.
  • the present catalyst is a porous carbon catalyst. That is, this catalyst is a carbon catalyst having a porous structure. More specifically, the present catalyst has a skeleton formed three-dimensionally so that a large number of pores are formed inside. This skeleton includes a carbon structure formed by carbonization of the organic polymer porous body described later. Further, the porous structure of the present catalyst is not a porous structure in which independent pores are formed like a foamed molded article having closed cells, but a porous structure in which continuous pores are formed.
  • This catalyst is, for example, a porous carbon catalyst having a porosity of 0.45 or more.
  • the porosity of the catalyst may be 0.50 or more, may be 0.55 or more, may be 0.60 or more, and may be 0.65 or more. Also good.
  • the upper limit value of the porosity of the catalyst is not particularly limited as long as it is less than 1.0, but may be 0.95 or less, for example.
  • the porosity of the present catalyst may be within a range defined by any one of the above lower limit values and any one of the above upper limit values.
  • this catalyst exhibits catalytic activity. That is, the present catalyst is a carbonized material that exhibits catalytic activity by itself without, for example, supporting a metal catalyst (for example, a noble metal catalyst such as platinum) on its surface.
  • a metal catalyst for example, a noble metal catalyst such as platinum
  • the present catalyst exhibits, for example, oxygen reduction activity as catalytic activity.
  • the oxygen reduction activity of this catalyst is evaluated by, for example, the oxygen reduction start potential.
  • Oxygen reduction starting potential is, for example, data indicating the relationship between voltage and current density obtained by sweeping the potential using a rotating ring disk electrode device having a working electrode coated with this catalyst (oxygen reduction voltammogram). Is obtained as a voltage (EO 2 ) when a reduction current of ⁇ 10 ⁇ A / cm 2 flows.
  • the present method includes carbonizing an organic polymer porous body having a skeleton containing a metal therein.
  • the present catalyst is a porous carbon catalyst obtained by carbonizing an organic polymer porous body having a skeleton containing a metal inside.
  • the organic polymer porous body is an organic polymer body having a porous structure. More specifically, the organic polymer porous body is an organic polymer porous body having a skeleton formed three-dimensionally so that a large number of pores are formed therein. This skeleton includes an organic polymer used as a raw material of the organic polymer porous body.
  • the organic polymer constituting the organic polymer porous body is not particularly limited as long as it is carbonized.
  • the organic polymer may include, for example, a homopolymer or a copolymer.
  • the organic polymer may include, for example, one or more selected from the group consisting of acrylic polymers, vinyl polymers, olefin polymers, ester polymers, urethane polymers, polycarbonates, and natural polymers. .
  • the acrylic polymer may be, for example, one or more selected from the group consisting of an acrylic acid polymer, a methacrylic acid polymer, an acrylonitrile polymer, and an acrylamide polymer.
  • the acrylic acid polymer may be, for example, a copolymer of acrylic acid and acrylonitrile.
  • the acrylic acid polymer may be, for example, an acrylic ester polymer.
  • the acrylic ester polymer may be, for example, a copolymer of an acrylic ester and acrylonitrile.
  • the methacrylic acid polymer may be, for example, a copolymer of methacrylic acid and acrylonitrile.
  • the methacrylic acid polymer may be, for example, a methacrylic acid ester polymer.
  • the methacrylate ester polymer may be, for example, a copolymer of a methacrylate ester and acrylonitrile.
  • the acrylonitrile-based polymer is, for example, selected from the group consisting of polyacrylonitrile, a copolymer of acrylonitrile and acrylic acid, a copolymer of acrylonitrile and acrylic acid ester, a copolymer of acrylonitrile and methacrylic acid, and a copolymer of acrylonitrile and methacrylic acid ester It is good also as being 1 or more types.
  • the acrylamide-based polymer is selected from the group consisting of, for example, polyacrylamide, a copolymer of acrylamide and acrylic acid, a copolymer of acrylamide and acrylic ester, a copolymer of acrylamide and methacrylic acid, and a copolymer of acrylamide and methacrylate. It may be one or more.
  • the vinyl polymer may be at least one selected from the group consisting of polyvinyl alcohol and polyvinylidene fluoride, for example.
  • the olefin polymer include polyolefins having 3 to 10 carbon atoms (polyethylene, polypropylene, etc.), copolymers containing two or more olefins having 3 to 10 carbon atoms, and monomers having 3 to 10 carbon atoms and monomers other than olefins (acrylic). It is good also as being 1 or more types selected from the group which consists of a copolymer with a system monomer, a vinyl-type monomer, etc.). Further, the olefin polymer may be crystalline.
  • the ester polymer may be, for example, a polyester polymer.
  • the polyester polymer may be, for example, polylactic acid.
  • the urethane polymer may be, for example, polyurethane.
  • a natural polymer is good also as being 1 or more types selected from the group which consists of cellulosic polymers (cellulose etc.) and protein (silk etc.), for example.
  • the organic polymer may include, for example, a nitrogen-containing organic polymer.
  • the nitrogen-containing organic polymer is not particularly limited as long as it contains one or more nitrogen atoms in the molecule and is carbonized.
  • the organic polymer includes, for example, at least one selected from the group consisting of acrylic polymers, vinyl polymers, olefin polymers, ester polymers, urethane polymers, polycarbonates, and natural polymers, and includes nitrogen-containing organic polymers. It is good.
  • at least one selected from the above group included in the organic polymer may include a nitrogen-containing organic polymer, and the organic polymer includes at least one nitrogen-containing organic polymer selected from the above group. It is good as well.
  • the organic polymer may include, for example, an oxygen-containing organic polymer.
  • the oxygen-containing organic polymer is not particularly limited as long as it contains one or more oxygen atoms in its molecule and is carbonized.
  • the organic polymer includes, for example, one or more selected from the group consisting of acrylic polymers, vinyl polymers, olefin polymers, ester polymers, urethane polymers, polycarbonates, and natural polymers, and includes oxygen-containing organic polymers. It is good.
  • at least one selected from the above group included in the organic polymer may include an oxygen containing organic polymer, and the organic polymer includes at least one oxygen containing organic polymer selected from the above group. It is good as well.
  • the organic polymer includes, for example, a nitrogen-containing organic polymer, and may include an oxygen-containing organic polymer. That is, the organic polymer includes, for example, one or more selected from the group consisting of acrylic polymers, vinyl polymers, olefin polymers, ester polymers, urethane polymers, polycarbonates, and natural polymers, and includes nitrogen-containing organic polymers. It is good also as including an oxygen-containing organic polymer. In this case, the organic polymer may include an organic polymer that is both a nitrogen-containing organic polymer and an oxygen-containing organic polymer.
  • the metal contained in the skeleton of the organic polymer porous body is not particularly limited as long as the present catalyst obtained using the metal exhibits catalytic activity. That is, the metal is, for example, a group 3 element, group 4 element, group 5 element, group 6 element, group 7 element, group 8 element, group 9 element, group 10 element, group 11 element, group 12 element of the periodic table, It may be one or more selected from the group consisting of Group 13 element, Group 14 element, Group 15 element and Group 16 element, and is preferably a transition metal (Group 3 to Group 12 of the periodic table), More preferably, the transition metal belongs to the fourth period of Group 3 to Group 12 of the periodic table.
  • the metal is, for example, scandium (Sc), titanium (Ti), vanadium (V), chromium (Cr), manganese (Mn), iron (Fe), cobalt (Co), nickel (Ni), copper (Cu), zinc (Zn), yttrium (Y), zirconium (Zr), niobium (Nb), molybdenum (Mo), ruthenium (Ru), rhodium (Rh), palladium (Pd), lanthanoid (cerium (Ce) Etc.) and one or more selected from the group consisting of actinoids.
  • metal a simple substance of the metal may be used, or a compound of the metal may be used.
  • metal compound for example, metal salts, metal oxides, metal hydroxides, metal nitrides, metal sulfides, metal carbonides or metal complexes may be used, and metal salts, metal oxides, metal sulfides may be used. It is preferable to use a product or a metal complex.
  • the porous organic polymer may contain other components in addition to the organic polymer and the metal inside the skeleton. That is, the skeleton of the organic polymer porous body may further include, for example, a conductive carbon material.
  • the conductive carbon material is not particularly limited as long as it imparts conductivity to the porous carbon catalyst produced by the present method or improves the conductivity of the porous carbon catalyst.
  • the conductive carbon material has conductivity.
  • the carbon material itself may not have catalytic activity.
  • the conductive carbon material may be at least one selected from the group consisting of carbon black, carbon nanotube, carbon nanohorn, carbon fiber, carbon fibril, and graphite powder, for example.
  • the method for forming the organic polymer porous body is not particularly limited, but the organic polymer porous body may be formed by precipitation in a solution containing an organic polymer and a metal, for example.
  • the present catalyst is, for example, a porous carbon catalyst obtained by carbonization of an organic polymer porous body having a skeleton containing a metal inside formed by precipitation in a solution containing an organic polymer and a metal. Also good.
  • the method may include forming the organic polymer porous body by precipitation in a solution containing the organic polymer and the metal, or may not include forming the organic polymer porous body. Good.
  • this method does not include forming an organic polymer porous body, in this method, a preformed organic polymer porous body is prepared, and the organic polymer porous body is carbonized.
  • the method for forming the organic polymer porous body by precipitation in a solution containing the organic polymer and the metal is not particularly limited.
  • the organic polymer and the metal are dissolved in a solvent to form the organic polymer. It is good also as preparing the solution containing a polymer and a metal, and precipitating the organic polymer porous body in the said solution on the 2nd conditions different from the said 1st conditions after that.
  • a combination of an organic polymer and a solvent is obtained by dissolving the organic polymer in the solvent under a first condition and precipitating the organic polymer in the solvent under a second condition. Select to form a polymeric porous body.
  • the selected organic polymer and metal are dissolved in the selected solvent to prepare a solution containing the organic polymer and metal, and then the condition is changed from the first condition to the second condition.
  • the organic polymer porous body is deposited by causing phase separation in the solution.
  • preparation of the solution containing an organic polymer and a metal is performed by mixing the said organic polymer, the said metal (a metal simple substance and / or a metal compound), and a solvent, for example by operation, such as stirring. By this mixing, the organic polymer and the metal are almost uniformly dispersed in the solution.
  • the first condition and the second condition may be, for example, a first temperature and a second temperature lower than the first temperature.
  • an organic polymer and a metal are dissolved in a solvent heated to a first temperature to prepare a solution containing the organic polymer and the metal, and then the solution is lower than the first temperature. It is good also as cooling to 2 temperature and depositing an organic polymer porous body in the said solution.
  • the solvent may be prepared, for example, by mixing a poor solvent of an organic polymer and a good solvent of the organic polymer.
  • the poor solvent of the organic polymer may be, for example, a solvent in which 50 g or more of the organic polymer is not dissolved in 1 L of the organic polymer, or may be a solvent in which 30 g or more of the organic polymer is not dissolved. It is good also as a solvent which 10g or more does not melt
  • the good solvent for the organic polymer may be, for example, a solvent in which 10 g or more of the organic polymer is dissolved in 1 liter thereof, or may be a solvent in which 30 g or more of the organic polymer is dissolved.
  • the solvent is prepared by mixing a poor solvent in which 50 g or more of the organic polymer is not dissolved in 1 L of the solvent and a good solvent in which 50 g or more of the organic polymer is dissolved in 1 L of the solvent. It is also possible to be prepared by mixing a poor solvent in which 30 g or more of the organic polymer is not dissolved with respect to 1 L of the solvent and a good solvent in which 30 g or more of the organic polymer is dissolved with respect to 1 L of the solvent.
  • the mixing ratio of the poor solvent and the good solvent is appropriately adjusted so that the organic polymer dissolves under the first condition and precipitates under the second condition as described above.
  • the solvent of the solution may be replaced with a poor solvent of the organic polymer. That is, in this case, for example, under the first condition, the organic polymer and the metal are dissolved in the first solvent (for example, a solvent prepared by mixing a poor solvent of the organic polymer and a good solvent of the organic polymer). Then, a solution containing the organic polymer and the metal is prepared, and then, under a second condition, the organic polymer porous body is precipitated in the solution, and then the first solvent is added to the poor organic polymer. It is good also as obtaining the said organic polymer porous body by substituting for the 2nd solvent which is a solvent.
  • the second solvent is the first poor solvent and May be a poor solvent for different organic polymers.
  • the method for replacing the solvent is not particularly limited.
  • the organic polymer porous body is taken out from the solution prepared by dissolving the organic polymer and the metal in the first solvent, and the organic polymer porous body is removed from the second organic polymer porous body. It may be performed by washing with a solvent.
  • a metal insolubilization treatment may be performed prior to the replacement of the solvent. That is, in this case, for example, in the first condition, the organic polymer and the metal are dissolved in the first solvent to prepare a solution containing the organic polymer and the metal, and then in the second condition, in the solution.
  • the organic polymer porous body is obtained by precipitating the organic polymer porous body and then replacing the first solvent with a second solvent that is a poor solvent for the organic polymer, the organic polymer porous body is obtained. After the deposition of the porous body, the metal may be insolubilized in the second solvent before the solvent is replaced.
  • the metal insolubilization treatment is not particularly limited, and may be, for example, an alkali treatment.
  • the alkali treatment may be, for example, a treatment in which an alkali and a metal are brought into contact with each other. That is, the metal insolubilization treatment may be performed, for example, by immersing the organic polymer porous body taken out from the solution in a solution containing an alkali, or in the solution containing the organic polymer porous body. It is good also as performing by adding.
  • An alkali is good also as being 1 or more types selected from the group which consists of ammonia water, sodium hydroxide aqueous solution, and potassium hydroxide aqueous solution, for example.
  • the present method includes carbonizing an organic polymer porous body having a particle aggregate-like skeleton containing metal therein, and obtaining a porous carbon catalyst having a particle aggregate-like skeleton. Also good. That is, in this case, the organic polymer porous body has a particle aggregate-like skeleton, and contains a metal inside the skeleton.
  • the catalyst has a particle aggregate-like skeleton.
  • this catalyst is good also as a porous carbon catalyst obtained by carbonization of the organic polymer porous body which has the frame
  • the present catalyst may be a porous carbon catalyst obtained by carbonization of an organic polymer porous body having a particle aggregate-like skeleton containing metal inside, and having a particle aggregate-like skeleton. Good.
  • the particle aggregate-like skeleton is, for example, a skeleton having a porous structure that looks as if the particles are aggregated when observed with an electron microscope (see the electron micrograph shown in the drawings of the present application).
  • This particle aggregate-like skeleton is preferably formed, for example, by precipitation in a solution containing an organic polymer and a metal.
  • the organic polymer porous body having a particle aggregate-like skeleton containing metal inside formed by precipitation in a solution containing the organic polymer and metal may be carbonized.
  • the present catalyst can be obtained, for example, by carbonization of an organic polymer porous body having a particle aggregate-like skeleton containing metal formed therein by precipitation in a solution containing an organic polymer and a metal. Or a porous carbon catalyst having a particle aggregate-like skeleton containing the metal.
  • the organic polymer porous body may be dried, and the dried organic polymer porous body may be carbonized.
  • the temperature for drying the organic polymer porous body is not particularly limited, but may be, for example, a temperature within a range of ⁇ 50 to 200 ° C.
  • the method for drying the organic polymer porous body is not particularly limited.
  • the organic polymer porous body may be dried under reduced pressure (for example, vacuum drying).
  • the method for carbonizing the organic polymer porous body is not particularly limited as long as the organic polymer contained in the organic polymer porous body is carbonized. That is, in carbonization, the organic polymer porous body is heated, and the organic polymer porous body is held at a temperature at which the organic polymer porous body is carbonized (carbonization temperature).
  • the carbonization temperature is not particularly limited as long as the organic polymer porous body is carbonized, and may be, for example, 300 ° C. or higher. More specifically, the carbonization temperature may be, for example, 300 ° C or higher and 1500 ° C or lower, may be 400 ° C or higher and 1500 ° C or lower, and is 500 ° C or higher and 1500 ° C or lower. It is good.
  • the heating rate when the organic polymer porous body is heated to the carbonization temperature is not particularly limited, and may be, for example, 0.5 ° C./min or more and 300 ° C./min or less.
  • the time for maintaining the organic polymer porous body at the carbonization temperature is not particularly limited as long as it is sufficient for the organic polymer porous body to be carbonized, and is, for example, 5 minutes or more. It is good as well. More specifically, the carbonization time may be, for example, 5 minutes or more and 240 minutes or less, or 20 minutes or more and 180 minutes or less.
  • Carbonization is preferably performed under an inert gas such as nitrogen (for example, under the flow of an inert gas).
  • infusibilization may be performed prior to carbonization. That is, an infusibilizing treatment of an organic polymer porous body having a skeleton containing a metal inside may be performed, and then the organic polymer porous body may be carbonized.
  • an infusibilizing treatment of an organic polymer porous body having a skeleton containing a metal inside may be performed, and then the organic polymer porous body may be carbonized.
  • the infusibilization treatment is not particularly limited as long as it is a treatment for infusibilizing the organic polymer contained in the organic polymer porous body.
  • the infusibilization treatment may be, for example, heating the organic polymer porous body at a temperature lower than the carbonization temperature.
  • the organic polymer porous body is infusibilized at a first temperature, and then the organic polymer porous body is carbonized at a second temperature higher than the first temperature. Also good.
  • the temperature at which the organic polymer porous body is infusible is not particularly limited as long as the organic polymer contained in the organic polymer porous body is infusible, and is, for example, 100 ° C. or higher and 500 ° C. or lower. It is good also as being. More specifically, for example, the infusibilization temperature may be 150 ° C. or more and 500 ° C. or less, and the carbonization temperature may be 500 ° C. or more and 1500 ° C. or less and higher than the infusibilization temperature. .
  • the infusibilization treatment may be performed in the atmosphere, but is preferably performed in an inert gas such as nitrogen (for example, under the flow of an inert gas).
  • an inert gas such as nitrogen
  • the organic polymer porous body preferably contains an oxygen-containing organic polymer.
  • the infusibilization treatment may be continuously performed at a plurality of stages having different infusibilization temperatures. That is, in this case, for example, the organic polymer porous body is heated to perform the first infusibilization treatment at the first temperature, and then the organic polymer porous body is further heated to start from the first temperature. Performing a second infusibilization treatment at a high second temperature, and further heating the organic polymer porous body to carbonize the organic polymer at a third temperature higher than the second temperature. It is good.
  • the first infusibilization temperature for performing the first infusibilization treatment is 100 ° C. or more and 300 ° C. or less
  • the second infusibilization temperature for performing the second infusibilization treatment is 300 ° C.
  • the temperature is 500 ° C. or lower and higher than the first infusibilization temperature
  • the carbonization temperature for carbonization is 500 ° C. or higher and 1500 ° C. or lower and higher than the second infusibilization temperature. It is good also as being.
  • the first infusibilization treatment may be performed in the atmosphere
  • the second infusibilization and carbonization may be performed in an inert gas.
  • the carbonized material generated by the above carbonization may be obtained as it is as a porous carbon catalyst. That is, by carbonizing an organic polymer porous body having a skeleton containing a metal inside, a porous carbonized material having a skeleton containing the metal inside and exhibiting catalytic activity can be obtained. Therefore, a porous carbonized material exhibiting this catalytic activity may be obtained as the present catalyst.
  • this catalyst is good also as performing the further process to the porous carbonization material obtained as mentioned above, and obtaining the porous carbonization material to which the said process was given as this catalyst.
  • the porous carbonized material may be pulverized, and the pulverized porous carbonized material may be obtained as the present catalyst.
  • the skeleton is pulverized to form a carbon catalyst (particulate carbon catalyst) composed of particles constituting the skeleton, and the particles It may be mixed with a pulverized porous carbon catalyst having an aggregate-like skeleton.
  • the porous carbonized material may be subjected to metal removal treatment, and the porous carbonized material after the metal removal treatment may be obtained as the present catalyst.
  • the metal removal process is a process for removing a part or all of the metal contained in the porous carbonized material.
  • the metal removal process may be, for example, an acid cleaning process or an electrolytic process.
  • the acid used for the acid cleaning treatment is not particularly limited as long as the effect of the metal removal treatment can be obtained.
  • hydrochloric acid for example, concentrated hydrochloric acid
  • nitric acid for example, concentrated nitric acid
  • sulfuric acid for example, concentrated sulfuric acid
  • the present catalyst obtained by subjecting a porous carbonized material having a skeleton containing a metal to a metal to a metal removal treatment may, for example, still contain a metal inside the skeleton. That is, in this case, at least a part of the metal contained in the surface of the skeleton of the porous carbonized material is removed by the metal removal treatment. However, at least a part of the metal contained in the skeleton of the porous carbonized material is not removed by the metal removal treatment, and remains in the skeleton even after the metal removal treatment.
  • the present catalyst may include, for example, a metal (a metal derived from the organic polymer porous body before carbonization) inside the skeleton, and the surface of the skeleton substantially does not contain the metal. .
  • the density of the metal contained in the skeleton (the amount of the metal contained per unit area or unit volume of the skeleton) is the density of the metal contained on the surface of the skeleton. It may be larger.
  • this catalyst is good also as a metal being included in the inside of the frame
  • the present catalyst is a porous carbon catalyst having a skeleton containing a metal inside. That is, this catalyst has a porous structure, and contains a metal inside the skeleton of the porous structure. Therefore, for example, when a cross section of the skeleton of the catalyst is observed (for example, when observed with a transmission electron microscope), the presence of metal (for example, metal fine particles) is confirmed in a portion corresponding to the inside of the skeleton. Is done.
  • the present catalyst may further include the metal (metal derived from the organic polymer porous body) on the surface of the skeleton.
  • the present method includes carbonizing an organic polymer porous body having a skeleton containing a metal inside, and obtaining a porous carbon catalyst having a skeleton containing the metal inside.
  • the present catalyst is a porous carbon catalyst obtained by carbonization of an organic polymer porous body having a skeleton containing a metal inside, and having a skeleton containing the metal inside. Further, the present catalyst is obtained, for example, by carbonization of an organic polymer porous body having a skeleton containing a metal inside formed by precipitation in a solution containing an organic polymer and a metal, and has a skeleton containing the metal inside. It may be a porous carbon catalyst having.
  • the present method for example, carbonizes an organic polymer porous body having a particle aggregate-like skeleton containing a metal inside, and porous carbon having a particle aggregate-like skeleton containing the metal inside. It may also include obtaining a catalyst.
  • the present catalyst is a porous carbon catalyst having a particle aggregate-like skeleton containing metal inside. That is, the present catalyst has a particle aggregate-like skeleton, and contains a metal inside the skeleton. Further, the present catalyst is obtained, for example, by carbonization of an organic polymer porous body having a particle aggregate-like skeleton containing metal therein, and porous carbon having a particle aggregate-like skeleton containing the metal inside. It may be a catalyst.
  • the present catalyst obtained by subjecting a porous carbonized material having a skeleton containing a metal to the inside to a metal removal treatment may not include a metal in the skeleton, for example. That is, in this case, the metal removal treatment removes the metal contained in the surface of the skeleton of the porous carbonized material and the metal contained in the skeleton by the metal removal treatment. The metal will no longer remain in the later skeleton.
  • the porous carbonized material is subjected to metal removal treatment, and then the porous carbonized material is subjected to heat treatment, and the porous carbonized material after the heat treatment is obtained as the present catalyst. Also good.
  • the heat treatment is performed by holding the porous carbonized material at a predetermined temperature (heat treatment temperature).
  • the heat treatment temperature may be 300 ° C. or higher. More specifically, the heat treatment temperature may be, for example, 300 ° C or higher and 1500 ° C or lower, may be 400 ° C or higher and 1500 ° C or lower, and may be 500 ° C or higher and 1500 ° C or lower. Also good.
  • the heat treatment temperature may be the same temperature as the carbonization temperature described above, or may be a different temperature. That is, the heat treatment temperature may be lower than the carbonization temperature or higher than the carbonization temperature.
  • the present catalyst obtained as described above exhibits excellent catalytic activity. That is, for example, the present catalyst obtained by carbonization of an organic polymer porous body having a skeleton containing a metal inside has an organic polymer porous body having a skeleton containing the metal only on the surface without containing the metal inside. Compared with the porous carbon catalyst obtained by carbonization of, high catalytic activity (for example, oxygen reduction activity) is exhibited.
  • the present catalyst having a skeleton containing a metal in the interior thereof is a porous carbon catalyst having a skeleton containing only the metal on the surface without containing the metal inside (that is, only on the surface not containing the metal inside).
  • a porous carbon catalyst obtained by carbonization of an organic polymer porous body having a skeleton containing the metal it exhibits high catalytic activity (for example, oxygen reduction activity).
  • the mechanism by which the present catalyst exhibits such excellent catalytic activity is not clear, for example, by carbonizing an organic polymer porous body having a skeleton containing a metal inside, the porous structure is maintained while maintaining the porous structure. It is considered that a carbon structure including an active site is effectively formed in the presence of a metal.
  • the present catalyst may contain a metal inside the skeleton, but the catalytic activity of the present catalyst is due to the carbon structure itself constituting the skeleton.
  • the catalytic activity of the present catalyst is due to the carbon structure itself constituting the skeleton.
  • the mechanism in which the carbon structure constituting the skeleton of the catalyst exhibits high catalytic activity is not clear, but for example, by carbonizing an organic polymer porous body having a skeleton containing a metal inside, the skeleton It is conceivable that a unique carbon structure having an active site is effectively formed around the metal at least in the inside. Even when the metal is removed from the skeleton, the carbon structure formed by carbonization is considered to exhibit high catalytic activity.
  • the present catalyst exhibiting such excellent catalytic activity may be, for example, a battery electrode catalyst, a hydrogen peroxide decomposition catalyst, an environmental catalyst, or a synthesis catalyst.
  • the present catalyst is a battery electrode catalyst
  • the present catalyst may be, for example, a fuel cell electrode catalyst or an air cell electrode catalyst.
  • the electrode according to the present embodiment (hereinafter referred to as “main electrode”) is an electrode including the present catalyst. That is, this electrode is, for example, an electrode on which the present catalyst is supported. Specifically, the present electrode is, for example, an electrode having an electrode base material and the present catalyst supported on the electrode base material.
  • This electrode is, for example, a battery electrode. That is, this electrode is, for example, a fuel cell electrode or an air cell electrode. Moreover, this electrode may be, for example, a cathode electrode or an anode electrode, and is preferably a cathode electrode.
  • the battery according to the present embodiment is a battery having the present electrode. That is, the present battery is a battery having the present electrode as one or both of a cathode electrode and an anode electrode. Specifically, this battery is, for example, a fuel cell or an air cell. Moreover, this battery is good also as having a membrane / electrode assembly containing this electrode, for example.
  • DMSO / water 85/15
  • organic polymer porous body was washed with methanol (poor solvent), and DMSO / distilled water (85/15) solvent and aqueous ammonia were replaced with methanol.
  • the obtained organic polymer porous body was vacuum-dried at room temperature of 20 ° C. to obtain an organic polymer porous body having a skeleton containing iron inside.
  • the dried organic polymer porous body is first heated in air at 205 ° C. for 3 hours, then heated in nitrogen at 450 ° C. for 30 minutes, and then further heated in nitrogen at 1000 ° C. for 1 hour.
  • the porous body was carbonized (fired).
  • a porous carbon catalyst which is a porous carbonized material having a skeleton containing iron inside, was obtained. Further, the obtained porous carbon catalyst was pulverized. That is, a silicon nitride ball having a diameter of 10 mm was set in the planetary ball mill, and the porous carbon catalyst was pulverized for 5 minutes at a rotational speed of 650 rpm by the planetary ball mill for 10 cycles. Thereafter, the pulverized porous carbon catalyst was taken out and passed through a sieve having an aperture of 106 ⁇ m to obtain a porous carbon catalyst that passed through the sieve.
  • Example 1-2 In Example 1-1 described above, a skeleton containing cobalt therein was similarly obtained except that cobalt chloride hexahydrate (CoCl 2 .6H 2 O) was used instead of iron chloride hexahydrate. A porous carbon catalyst having was obtained.
  • cobalt chloride hexahydrate CoCl 2 .6H 2 O
  • Example 1-3 In Example 1-1 described above, a skeleton containing nickel inside was similarly used except that nickel chloride hexahydrate (NiCl 2 .6H 2 O) was used instead of iron chloride hexahydrate. A porous carbon catalyst having was obtained.
  • nickel chloride hexahydrate NiCl 2 .6H 2 O
  • Example 1-4 A porous carbon catalyst having a skeleton containing zinc inside was obtained in the same manner as in Example 1-1 except that zinc chloride (ZnCl 2 ) was used instead of iron chloride hexahydrate. .
  • Example 1-1 The porous carbon catalyst obtained in Example 1-1, Example 1-2, Example 1-3, and Example 1-4 described above was observed with a scanning electron microscope (SEM).
  • SEM scanning electron microscope
  • TEM transmission electron microscope
  • a catalyst slurry was prepared. Specifically, 5 mg of a powdered porous carbon catalyst was weighed, and 2 cups (about 15 ⁇ L) of 50 ⁇ L binder solution (Nafion (registered trademark), DuPont), 150 ⁇ L distilled water, 150 ⁇ L ethanol and spatula The glass slurry (diameter 1 mm) was mixed and subjected to ultrasonic treatment for 10 minutes to prepare a catalyst slurry in which the porous carbon catalyst was uniformly dispersed.
  • binder solution Nafion (registered trademark), DuPont
  • the glass slurry (diameter 1 mm) was mixed and subjected to ultrasonic treatment for 10 minutes to prepare a catalyst slurry in which the porous carbon catalyst was uniformly dispersed.
  • the catalyst slurry was sucked with a pipette and applied to the disk electrode (0.1256 cm 2 ) of the rotating ring disk electrode device (RRDE-3A Ver. 1.2, manufactured by BAS Co., Ltd.)
  • a working electrode was produced by drying.
  • a platinum electrode was used as the ring electrode.
  • a silver / silver chloride (Ag / AgCl) electrode was used as the counter electrode.
  • As the electrolyte solution a 0.5 M sulfuric acid aqueous solution in which oxygen was dissolved at room temperature was used.
  • linear sweep voltammetry was performed using an electrochemical analyzer (CHI700D, manufactured by ALS Co., Ltd.).
  • CHI700D manufactured by ALS Co., Ltd.
  • NHE standard hydrogen electrode
  • the measurement was started.
  • the electrode was rotated at a rotational speed of 1500 rpm, and at 25 ° C., a sweep speed of 1 mV / second, from 0.8 V (vs. Ag / AgCl) to ⁇ 0.2 V (vs. Ag). / AgCl), the potential was swept, and the value of the current flowing through the working electrode was measured. That is, when converted into the standard hydrogen electrode (NHE) reference value, the potential was swept from 1.0 V (vs. NHE) to 0 V (vs. NHE).
  • the current at this time was recorded as a function of potential. From the obtained polarization curve, the voltage when a reduction current of ⁇ 10 ⁇ A / cm 2 flows was recorded as “oxygen reduction starting potential (EO 2 )” (V vs. NHE). The current density (mA / cm 2 ) when a voltage of 0.7 V (vs. NHE) was applied was also recorded as “i-0.7”.
  • [result] 1A and 1B are SEM photographs of the porous carbon catalyst obtained in Example 1-1 and having a skeleton containing iron inside.
  • FIG. 1B shows an enlarged part of FIG. 1A.
  • 2A and 2B are SEM photographs of the porous carbon catalyst obtained in Example 1-2 and having a skeleton containing cobalt inside.
  • FIG. 2B shows an enlarged part of FIG. 2A.
  • 3A and 3B are SEM photographs of the porous carbon catalyst obtained in Example 1-3 and having a skeleton containing nickel inside.
  • FIG. 4B shows an enlarged part of FIG. 4A.
  • any porous carbon catalyst had a porous structure. In this porous structure, a large number of communicating holes were formed. In addition, any porous carbon catalyst had a particle aggregate-like skeleton. Although not shown, the SEM observation shows that the organic polymer porous body before carbonization also has a porous structure similar to the porous carbon catalyst (a porous structure having a particle aggregate-like skeleton). It was confirmed that
  • FIG. 5 is a TEM photograph of the porous carbon catalyst obtained in Example 1-2.
  • the arrows shown in FIG. 5 indicate the fine metal particles contained in the skeleton of the porous carbon catalyst.
  • the portion corresponding to the inside of the particle aggregate-like skeleton of the porous carbon catalyst (more specifically, the portion corresponding to the inside of the particulate portion constituting the skeleton) Metal fine particles were observed as dispersed black particles. That is, in FIG. 5, it was confirmed that the metal was contained inside the skeleton of the porous carbon catalyst. It was also confirmed that the metal was dispersed and arranged inside the skeleton of the porous carbon catalyst.
  • FIG. 6 shows a reduction current of ⁇ 10 ⁇ A / cm 2 for each of the porous carbon catalysts obtained in Example 1-1, Example 1-2, Example 1-3, and Example 1-4.
  • Oxygen reduction starting potential (V vs. NHE) (“EO 2 ” in the figure) which is a voltage when a current flows, and a current density (mA / cm when a voltage of 0.7 V (vs. NHE) is applied. 2 ) (“i-0.7" in the figure) is measured.
  • any porous carbon catalyst having a skeleton containing iron, cobalt, nickel, or zinc inside exhibits excellent oxygen reduction activity.
  • the porous carbon catalysts (Example 1-1 and Example 1-2) having a skeleton containing iron or cobalt inside showed particularly excellent oxygen reduction activity.
  • porous carbon catalyst having a skeleton containing one or more selected from the group consisting of iron, cobalt, nickel and zinc shows excellent catalytic activity. It was confirmed that the porous carbon catalyst having a skeleton containing at least one selected from the group consisting of the following shows particularly excellent catalytic activity.
  • Example 2-1 DMSO / distilled water (85/15) in a solvent 38 g, and AN-MA copolymers amount of concentration of 5 wt%, and iron chloride hexahydrate 2.1mmol (FeCl 3 ⁇ 6H 2 O ), 8.5mmol Of zinc chloride (ZnCl 2 ) was dissolved at 90 ° C. to prepare a solution containing the AN-MA copolymer, iron and zinc.
  • an AN-MA copolymer a solution containing iron and zinc is allowed to stand at room temperature of 20 ° C., and the organic polymer porous body that is a gel-like precipitate having a skeleton containing iron and zinc inside the solution. Formed. Next, the obtained organic polymer porous body was immersed in ammonia water for 30 minutes.
  • the dried organic polymer porous body is first heated in air at 205 ° C. for 3 hours, then heated in nitrogen at 450 ° C. for 30 minutes, and then further heated in nitrogen at 1000 ° C. for 1 hour.
  • the porous body was carbonized (fired).
  • a porous carbon catalyst which is a porous carbonized material having a skeleton containing iron and zinc inside, was obtained. Further, the obtained porous carbon catalyst was pulverized in the same manner as in Example 1-1.
  • Example 2-2 In Example 2-1 described above, nickel chloride hexahydrate (NiCl 2 ⁇ 6H 2 O) was used instead of zinc chloride, and 1000 ° C. was used in the final heating of the stepwise calcination of the porous body. A porous carbon catalyst having a skeleton containing iron and nickel inside was obtained in the same manner except that it was heated at 1100 ° C. instead.
  • Example 2-3 In Example 2-1 described above, cobalt and zinc are contained in the same manner except that cobalt chloride hexahydrate (CoCl 2 .6H 2 O) is used instead of iron chloride hexahydrate. A porous carbon catalyst having a skeleton was obtained.
  • cobalt chloride hexahydrate CoCl 2 .6H 2 O
  • [result] 7A and 7B are SEM photographs of the porous carbon catalyst obtained in Example 2-1 and having a skeleton containing iron and zinc inside.
  • FIG. 7B shows an enlarged part of FIG. 7A.
  • 8A and 8B are SEM photographs of the porous carbon catalyst obtained in Example 2-2 and having a skeleton containing iron and nickel inside.
  • FIG. 8B shows an enlarged part of FIG. 8A.
  • 9A and 9B are SEM photographs of the porous carbon catalyst obtained in Example 2-3 and having a skeleton containing cobalt and zinc inside.
  • FIG. 9B shows an enlarged part of FIG. 9A.
  • any porous carbon catalyst had a porous structure.
  • this porous structure a large number of communicating holes were formed.
  • the porous structure of any porous carbon catalyst had a particle aggregate-like skeleton.
  • FIG. 10 the result of having evaluated the oxygen reduction activity of the porous carbon catalyst is shown. That is, FIG. 10 shows the results when a reduction current of ⁇ 10 ⁇ A / cm 2 flows for each of the porous carbon catalysts obtained in Example 2-1, Example 2-2, and Example 2-3. The result of measuring the oxygen reduction start potential (V vs. NHE) (“EO 2 ” in the figure) as a voltage is shown.
  • V vs. NHE oxygen reduction start potential
  • any porous carbon catalyst showed excellent oxygen reduction activity. That is, it was confirmed that the porous carbon catalyst having a skeleton containing one or more selected from the group consisting of iron and cobalt shows excellent catalytic activity. More specifically, the porous carbon catalyst having a skeleton containing one or more selected from the group consisting of iron and cobalt inside is one or more selected from the group consisting of nickel and zinc inside the skeleton. Even if it contains, it was confirmed that the catalyst activity was excellent.
  • the porous carbon catalyst having a skeleton containing one or more selected from the group consisting of iron and cobalt in the inside thereof is, for example, nickel and / Or even if it did not contain zinc, it was confirmed that excellent catalytic activity was exhibited.
  • the porous carbon catalyst obtained in Example 2-1 described above was subjected to a metal removal treatment and then subjected to a heat treatment, and the porous carbon catalyst obtained in the same manner was similarly treated with oxygen.
  • the reducing activity was evaluated. As a result, it was confirmed that there was no great difference in the oxygen reduction starting potential of the porous carbon catalyst depending on the presence or absence of the metal removal treatment and heat treatment.
  • the washing process by an acid was performed as follows. That is, 100 mL of concentrated hydrochloric acid was added to 1 g of the porous carbon catalyst and stirred for 1 hour. Next, after the porous carbon catalyst was precipitated and concentrated hydrochloric acid was removed, 100 mL of an acid solution prepared by mixing concentrated hydrochloric acid and distilled water at 1: 1 (volume ratio) was added and stirred for 1 hour. Furthermore, after the porous carbon catalyst was precipitated and the acid solution was removed, 100 mL of distilled water was added and stirred for 1 hour.
  • the acid solution containing the porous carbon catalyst was filtered using a filtration membrane (pore size: 1.0 ⁇ m, manufactured by Millipore), and washed with distilled water until the filtrate became neutral.
  • the recovered porous carbon catalyst was vacuum-dried at 60 ° C. for 12 hours. Further, the porous carbon catalyst thus subjected to the metal removal treatment was put in a quartz tube and heated at 700 ° C. for 1 hour in a nitrogen atmosphere, so that the porous carbon catalyst was heat-treated.
  • Example 2-1 by carbonizing the porous carbon catalyst obtained in Example 2-1 described above and a non-porous organic polymer composition without forming an organic polymer porous body.
  • the porosity was evaluated about the obtained non-porous carbon catalyst.
  • the porosity of the non-porous carbon catalyst was 0.4, whereas the porosity of the porous carbon catalyst was 0.7.
  • the porosity of the porous carbon catalyst is larger than that of the non-porous carbon catalyst. This was due to the bulk density of the porous carbon catalyst being smaller than that of the non-porous carbon catalyst.
  • the non-porous carbon catalyst was produced as follows. That is, as in Example 2-1 described above, 38 g of DMSO / distilled water (85/15) solvent, AN-MA copolymer in an amount of 5 wt%, and 2.1 mmol of iron chloride hexahydrate (FeCl 3 ⁇ 6H 2 O) and 8.5 mmol of zinc chloride (ZnCl 2 ) were dissolved at 90 ° C. to prepare a solution containing the AN-MA copolymer, iron and zinc.
  • the dried organic polymer composition is first heated in air at 205 ° C. for 3 hours, then heated in nitrogen at 450 ° C. for 30 minutes, and further heated in nitrogen at 1000 ° C. for 1 hour, so that the mixture is carbonized. (Sintered) to obtain a non-porous carbon catalyst which is a non-porous carbonized material.
  • This non-porous carbon catalyst also did not have a porous structure (more specifically, a porous structure having a particle aggregate-like skeleton) like the porous carbon catalyst.
  • Example 3-1 In the same manner as in Example 2-1 described above, a porous carbon catalyst having a skeleton containing iron and zinc inside was produced.
  • a porous carbon catalyst as a comparative control was produced. That is, an AN-MA copolymer having a concentration of 5 wt% was dissolved in 38 g of DMSO / distilled water (85/15) solvent at 90 ° C. to prepare a solution containing the AN-MA copolymer.
  • the solution containing the AN-MA copolymer was allowed to stand at room temperature of 20 ° C., and an organic polymer porous body that was a gel-like precipitate was formed in the solution.
  • the organic polymer porous body was washed with methanol, and DMSO / distilled water (85/15) solvent and aqueous ammonia were replaced with methanol.
  • the obtained organic polymer porous body was vacuum-dried at room temperature of 20 ° C.
  • the dried organic polymer porous body is impregnated with a solution prepared by dissolving iron chloride hexahydrate (FeCl 3 .6H 2 O) and zinc chloride (ZnCl 2 ) in methanol, and then at room temperature.
  • supported on the surface was obtained by vacuum-drying.
  • the dried organic polymer porous body is first heated in air at 205 ° C. for 3 hours, then heated in nitrogen at 450 ° C. for 30 minutes, and then further heated in nitrogen at 1000 ° C. for 1 hour.
  • the porous body was carbonized (fired) to obtain a porous carbon catalyst.
  • FIG. 11 shows the oxygen reduction start potential, which is the voltage when a reduction current of ⁇ 10 ⁇ A / cm 2 flows for each of the porous carbon catalysts obtained in Example 3-1 and Comparative Example 3-1. It shows the (V vs. NHE) results were measured ( "EO 2" in the figure).
  • the oxygen reduction activity of the porous carbon catalyst obtained in Example 3-1 was superior to that of the porous carbon catalyst obtained in Comparative Example 3-1. It was.
  • the SEM observation shows that the porous carbon catalyst obtained in Comparative Example 3-1 also has a porous structure having a shape similar to that of the porous carbon catalyst obtained in Example 3-1. It was confirmed to have (a porous structure having a particle aggregate-like skeleton).

Landscapes

  • Chemical & Material Sciences (AREA)
  • Chemical Kinetics & Catalysis (AREA)
  • Electrochemistry (AREA)
  • General Chemical & Material Sciences (AREA)
  • Engineering & Computer Science (AREA)
  • Materials Engineering (AREA)
  • Manufacturing & Machinery (AREA)
  • Organic Chemistry (AREA)
  • Inorganic Chemistry (AREA)
  • Catalysts (AREA)
  • Inert Electrodes (AREA)
  • Carbon And Carbon Compounds (AREA)
  • Physics & Mathematics (AREA)
  • Thermal Sciences (AREA)
PCT/JP2014/064831 2013-06-14 2014-06-04 多孔質炭素触媒及びその製造方法並びに電極及び電池 Ceased WO2014199880A1 (ja)

Priority Applications (5)

Application Number Priority Date Filing Date Title
EP14810964.8A EP3009188B1 (en) 2013-06-14 2014-06-04 Porous carbon catalyst, method for producing same, electrode and battery
CA2914210A CA2914210C (en) 2013-06-14 2014-06-04 Porous carbon catalyst, method for producing same, electrode and battery
CN201480033720.6A CN105283247B (zh) 2013-06-14 2014-06-04 多孔碳催化剂、其生产方法、电极及电池
US14/894,588 US10388967B2 (en) 2013-06-14 2014-06-04 Porous carbon catalyst, method for producing same, electrode and battery
KR1020157034557A KR102219585B1 (ko) 2013-06-14 2014-06-04 다공질 탄소 촉매와 그 제조 방법, 그리고 전극 및 전지

Applications Claiming Priority (2)

Application Number Priority Date Filing Date Title
JP2013126098A JP6159585B2 (ja) 2013-06-14 2013-06-14 多孔質炭素触媒及びその製造方法並びに電極及び電池
JP2013-126098 2013-06-14

Publications (1)

Publication Number Publication Date
WO2014199880A1 true WO2014199880A1 (ja) 2014-12-18

Family

ID=52022177

Family Applications (1)

Application Number Title Priority Date Filing Date
PCT/JP2014/064831 Ceased WO2014199880A1 (ja) 2013-06-14 2014-06-04 多孔質炭素触媒及びその製造方法並びに電極及び電池

Country Status (7)

Country Link
US (1) US10388967B2 (enExample)
EP (1) EP3009188B1 (enExample)
JP (1) JP6159585B2 (enExample)
KR (1) KR102219585B1 (enExample)
CN (1) CN105283247B (enExample)
CA (1) CA2914210C (enExample)
WO (1) WO2014199880A1 (enExample)

Cited By (3)

* Cited by examiner, † Cited by third party
Publication number Priority date Publication date Assignee Title
US11407876B2 (en) 2019-08-29 2022-08-09 Toyota Jidosha Kabushiki Kaisha Method of producing porous body of ethylene-vinyl alcohol copolymer
EP3786223B1 (en) * 2019-08-29 2023-09-13 Toyota Jidosha Kabushiki Kaisha Method of producing porous body of water-insoluble polymer
US12024610B2 (en) 2019-10-09 2024-07-02 Toyota Jidosha Kabushiki Kaisha Method of producing porous body

Families Citing this family (7)

* Cited by examiner, † Cited by third party
Publication number Priority date Publication date Assignee Title
KR20180073133A (ko) * 2016-12-22 2018-07-02 현대자동차주식회사 연료전지용 하이브리드 촉매 및 그 제조 방법
WO2019013052A1 (ja) * 2017-07-13 2019-01-17 日清紡ホールディングス株式会社 炭素触媒、電池電極及び電池
CN110891679B (zh) * 2017-07-13 2022-12-02 日清纺控股株式会社 碳催化剂、电池电极和电池
CN108232209B (zh) * 2017-12-18 2021-06-08 北京航空航天大学 中温碳化金属骨架化合物扩孔技术用于高活性铁氮碳催化剂制备
CN109126887B (zh) * 2018-09-10 2021-10-19 湖南科技大学 一种聚氨酯基复合光催化膜的制备方法
KR102196709B1 (ko) 2018-11-02 2020-12-30 한국화학연구원 과산화수소 분해용 활성탄소 촉매, 이의 제조방법 및 이를 사용한 과산화수소 분해방법
KR102690497B1 (ko) * 2021-11-25 2024-08-05 한국생산기술연구원 유무기나노세공체에서 유도된 다공성 탄소 구조체 제조방법 및 이에 의해 제조된 다공성 탄소 구조체

Citations (11)

* Cited by examiner, † Cited by third party
Publication number Priority date Publication date Assignee Title
JP2006012840A (ja) * 2004-06-25 2006-01-12 Saft (Soc Accumulateurs Fixes Traction) Sa カーボン・エアロゲルのカソードを有する電池
JP3750024B2 (ja) * 2002-09-30 2006-03-01 松下電器産業株式会社 多孔体の製造方法
JP2006512265A (ja) * 2002-09-17 2006-04-13 ビーエーエスエフ アクチェンゲゼルシャフト 炭素を主成分とし、高い内部表面積を有するフォーム、及びその製造方法
JP2009030017A (ja) 2007-06-22 2009-02-12 Osaka Univ (メタ)アクリル酸エステル系ポリマーを液体に溶解する方法
JP2009291706A (ja) * 2008-06-04 2009-12-17 Seizo Miyata 炭素触媒及び炭素触媒の製造方法、燃料電池、蓄電装置、炭素触媒の使用方法
JP2011032117A (ja) * 2009-07-31 2011-02-17 Sony Corp 多孔質炭素の製造方法及び電子デバイスの製造方法
WO2011138937A1 (ja) 2010-05-07 2011-11-10 国立大学法人大阪大学 ポリアクリロニトリル多孔質体
JP2011236292A (ja) 2010-05-07 2011-11-24 Kri Inc ポリフッ化ビニリデン多孔質体
WO2012063591A1 (ja) 2010-11-09 2012-05-18 国立大学法人大阪大学 金属多孔質体および金属含有多孔質体の製造方法ならびに金属多孔質体および金属含有多孔質体
WO2012063681A1 (ja) * 2010-11-08 2012-05-18 国立大学法人群馬大学 炭素触媒及びその製造方法並びにこれを用いた電極及び電池
JP2012251057A (ja) 2011-06-01 2012-12-20 Osaka Univ ポリビニルアルコール多孔質体およびその製造方法

Family Cites Families (26)

* Cited by examiner, † Cited by third party
Publication number Priority date Publication date Assignee Title
US5171560A (en) * 1984-12-06 1992-12-15 Hyperion Catalysis International Carbon fibrils, method for producing same, and encapsulated catalyst
CA2270771A1 (fr) * 1999-04-30 2000-10-30 Hydro-Quebec Nouveaux materiaux d'electrode presentant une conductivite de surface elevee
EP1244165A3 (en) * 2001-03-19 2006-03-29 Ube Industries, Ltd. Electrode base material for fuel cell
JP2003054922A (ja) * 2001-08-13 2003-02-26 Sony Corp 炭素被覆触媒ナノ粒子を含む構造体、該構造体を製造する方法および該構造体から炭素ナノ構造体を製造する方法。
US7482303B2 (en) * 2001-10-10 2009-01-27 Dominique Bosteels Catalytic burning reaction
US6843919B2 (en) * 2002-10-04 2005-01-18 Kansas State University Research Foundation Carbon-coated metal oxide nanoparticles
AU2004238517A1 (en) * 2003-05-16 2004-11-25 Cinvention Ag Method for coating substrates with a carbon-based material
JP3867232B2 (ja) * 2004-03-25 2007-01-10 株式会社 東北テクノアーチ 触媒ナノ粒子
CA2598840A1 (en) * 2005-03-18 2006-09-21 Cinvention Ag Process for the preparation of porous sintered metal materials
JP4402724B2 (ja) * 2005-11-30 2010-01-20 財団法人大阪産業振興機構 中空層多孔質カプセルに包接された触媒及びその製造方法
KR101443217B1 (ko) * 2007-09-12 2014-09-19 삼성전자주식회사 그라펜 쉘 및 그의 제조방법
JP5636171B2 (ja) * 2009-06-19 2014-12-03 東洋炭素株式会社 多孔質炭素及びその製造方法
JP2011006282A (ja) * 2009-06-25 2011-01-13 Teijin Ltd 炭素材料及びその製造方法
JP4964292B2 (ja) 2009-12-07 2012-06-27 日清紡ホールディングス株式会社 電極及び電池
CN102666376B (zh) * 2009-12-24 2015-05-13 东丽株式会社 碳微粒的制造方法
JP2011190170A (ja) * 2010-02-22 2011-09-29 Toray Ind Inc 金属含有炭素微粒子およびその製造方法
JP4890623B2 (ja) 2010-02-26 2012-03-07 国立大学法人群馬大学 水素吸蔵炭素材料
KR101195912B1 (ko) * 2010-09-17 2012-10-30 서강대학교산학협력단 구형의 다공성 탄소구조체 및 이의 제조 방법
JP5740889B2 (ja) * 2010-09-28 2015-07-01 凸版印刷株式会社 固体高分子形燃料電池用の炭素被覆触媒物質、その製造方法、電極触媒層、及び膜電極接合体
WO2012100354A1 (en) * 2011-01-28 2012-08-02 Zhongwei Chen Core-shell structured bifunctional catalysts for metal air battery/fuel cell
EP2673084A4 (en) * 2011-02-08 2018-01-24 Institut National De La Recherche Scientifique Catalysts made using thermally decomposable porous supports
US8597420B2 (en) * 2011-03-17 2013-12-03 Xerox Corporation Solvent-based inks comprising coated magnetic nanoparticles
CN102280613B (zh) 2011-06-23 2013-10-02 浙江大学 一种锂离子电池正极材料包覆碳纤维的制备方法及产品
US10950849B2 (en) * 2011-06-30 2021-03-16 Cornell University Hybrid materials and nanocomposite materials, methods of making same, and uses thereof
DE102012107199B4 (de) * 2012-08-06 2022-05-12 Westfälische Wilhelms-Universität Münster Verfahren zur Herstellung kohlenstoffbeschichteter metalldotierter Zinkoxid-Partikel, kohlenstoffbeschichtete metalldotierte Zinkoxid-Partikel, deren Verwendung, sowie Elektrodenmaterial, Elektrode und Elektrochemische Energiespeichervorrichtung
US9233366B2 (en) * 2012-10-16 2016-01-12 Board Of Trustees Of The University Of Alabama Catalysis by metal nanoparticles dispersed within a hierarchically porous carbon material

Patent Citations (11)

* Cited by examiner, † Cited by third party
Publication number Priority date Publication date Assignee Title
JP2006512265A (ja) * 2002-09-17 2006-04-13 ビーエーエスエフ アクチェンゲゼルシャフト 炭素を主成分とし、高い内部表面積を有するフォーム、及びその製造方法
JP3750024B2 (ja) * 2002-09-30 2006-03-01 松下電器産業株式会社 多孔体の製造方法
JP2006012840A (ja) * 2004-06-25 2006-01-12 Saft (Soc Accumulateurs Fixes Traction) Sa カーボン・エアロゲルのカソードを有する電池
JP2009030017A (ja) 2007-06-22 2009-02-12 Osaka Univ (メタ)アクリル酸エステル系ポリマーを液体に溶解する方法
JP2009291706A (ja) * 2008-06-04 2009-12-17 Seizo Miyata 炭素触媒及び炭素触媒の製造方法、燃料電池、蓄電装置、炭素触媒の使用方法
JP2011032117A (ja) * 2009-07-31 2011-02-17 Sony Corp 多孔質炭素の製造方法及び電子デバイスの製造方法
WO2011138937A1 (ja) 2010-05-07 2011-11-10 国立大学法人大阪大学 ポリアクリロニトリル多孔質体
JP2011236292A (ja) 2010-05-07 2011-11-24 Kri Inc ポリフッ化ビニリデン多孔質体
WO2012063681A1 (ja) * 2010-11-08 2012-05-18 国立大学法人群馬大学 炭素触媒及びその製造方法並びにこれを用いた電極及び電池
WO2012063591A1 (ja) 2010-11-09 2012-05-18 国立大学法人大阪大学 金属多孔質体および金属含有多孔質体の製造方法ならびに金属多孔質体および金属含有多孔質体
JP2012251057A (ja) 2011-06-01 2012-12-20 Osaka Univ ポリビニルアルコール多孔質体およびその製造方法

Non-Patent Citations (1)

* Cited by examiner, † Cited by third party
Title
See also references of EP3009188A4

Cited By (4)

* Cited by examiner, † Cited by third party
Publication number Priority date Publication date Assignee Title
US11407876B2 (en) 2019-08-29 2022-08-09 Toyota Jidosha Kabushiki Kaisha Method of producing porous body of ethylene-vinyl alcohol copolymer
EP3786223B1 (en) * 2019-08-29 2023-09-13 Toyota Jidosha Kabushiki Kaisha Method of producing porous body of water-insoluble polymer
US12227630B2 (en) 2019-08-29 2025-02-18 Toyota Jidosha Kabushiki Kaisha Method of producing porous body of water-insoluble polymer
US12024610B2 (en) 2019-10-09 2024-07-02 Toyota Jidosha Kabushiki Kaisha Method of producing porous body

Also Published As

Publication number Publication date
KR20160019423A (ko) 2016-02-19
EP3009188A1 (en) 2016-04-20
JP2015000374A (ja) 2015-01-05
CA2914210C (en) 2021-06-15
JP6159585B2 (ja) 2017-07-05
CN105283247B (zh) 2019-02-26
CA2914210A1 (en) 2014-12-18
US20160104900A1 (en) 2016-04-14
KR102219585B1 (ko) 2021-02-24
EP3009188B1 (en) 2018-12-12
US10388967B2 (en) 2019-08-20
EP3009188A4 (en) 2016-11-09
CN105283247A (zh) 2016-01-27

Similar Documents

Publication Publication Date Title
JP6159585B2 (ja) 多孔質炭素触媒及びその製造方法並びに電極及び電池
Ma et al. Fine Co nanoparticles encapsulated in a N-doped porous carbon matrix with superficial N-doped porous carbon nanofibers for efficient oxygen reduction
Choi et al. Binary and ternary doping of nitrogen, boron, and phosphorus into carbon for enhancing electrochemical oxygen reduction activity
JP5149364B2 (ja) 炭素触媒及びその製造方法並びにこれを用いた電極及び電池
Bhattacharyya et al. MOF derived carbon based nanocomposite materials as efficient electrocatalysts for oxygen reduction and oxygen and hydrogen evolution reactions
Zhang et al. Structural evolution from metal–organic framework to hybrids of nitrogen-doped porous carbon and carbon nanotubes for enhanced oxygen reduction activity
Barakat et al. Cobalt/copper-decorated carbon nanofibers as novel non-precious electrocatalyst for methanol electrooxidation
CA2782719C (en) Support for catalyst supporting, carrier with supported catalyst, electrode, and battery
Mohamed et al. Electrocatalytic behavior of a nanocomposite of Ni/Pd supported by carbonized PVA nanofibers towards formic acid, ethanol and urea oxidation: A physicochemical and electro-analysis study
Li et al. Hierarchically flower-like N-doped porous carbon materials derived from an explosive 3-fold interpenetrating diamondoid copper metal–organic framework for a supercapacitor
Wang et al. Fe/Ni-N-CNFs electrochemical catalyst for oxygen reduction reaction/oxygen evolution reaction in alkaline media
Gao et al. Co-N-doped directional multichannel PAN/CA-based electrospun carbon nanofibers as high-efficiency bifunctional oxygen electrocatalysts for Zn–air batteries
Wang et al. Small and well-dispersed Cu nanoparticles on carbon nanofibers: Self-supported electrode materials for efficient hydrogen evolution reaction
Hosseini et al. Preparation of electro-spun CuO nanoparticle and its application for hydrazine hydrate electro-oxidation
Sankar et al. Electrospun cobalt-ZIF micro-fibers for efficient water oxidation under unique pH conditions
Li et al. Effects of Ni (OH) 2 morphology on the catalytic performance of Pd/Ni (OH) 2/Ni foam hybrid catalyst toward ethanol electrooxidation
CN111146015B (zh) 氮掺杂石墨烯量子点/多孔碳纳米片阵列/碳布复合材料电极、其应用及其制备方法
WO2009098812A1 (ja) 炭素触媒及びこの炭素触媒を含むスラリー、炭素触媒の製造方法、ならびに、炭素触媒を用いた燃料電池、蓄電装置及び環境触媒
KR101781442B1 (ko) 철이 도핑된 질소 및 황을 포함하는 탄소 촉매 및 이의 제조방법
Tamilselvi et al. Reduced graphene oxide (rGO): supported NiO, Co3O4 and NiCo2O4 hybrid composite on carbon cloth (CC)—bi-functional electrode/catalyst for energy storage and conversion devices
Jin et al. Simple fabrication of titanium dioxide/N-doped carbon hybrid material as non-precious metal electrocatalyst for the oxygen reduction reaction
Patil et al. Metal-free N-doped ultrafine carbon fibers from electrospun Polymers of Intrinsic Microporosity (PIM-1) based fibers for oxygen reduction reaction
Wang et al. MOF-templated nitrogen-doped porous carbon materials as efficient electrocatalysts for oxygen reduction reactions
KR101652626B1 (ko) 전이금속과 질소가 도핑된 다공성 카본 촉매 제조방법
Yusibova et al. Optimizing post-treatment strategies for enhanced oxygen reduction/evolution activity in Co–N–C electrocatalyst

Legal Events

Date Code Title Description
WWE Wipo information: entry into national phase

Ref document number: 201480033720.6

Country of ref document: CN

121 Ep: the epo has been informed by wipo that ep was designated in this application

Ref document number: 14810964

Country of ref document: EP

Kind code of ref document: A1

WWE Wipo information: entry into national phase

Ref document number: 14894588

Country of ref document: US

ENP Entry into the national phase

Ref document number: 2914210

Country of ref document: CA

WWE Wipo information: entry into national phase

Ref document number: 2014810964

Country of ref document: EP

ENP Entry into the national phase

Ref document number: 20157034557

Country of ref document: KR

Kind code of ref document: A

NENP Non-entry into the national phase

Ref country code: DE