RU2539136C2 - Непрерывный способ получения диоксида кремния и продукт диоксида кремния, полученный этим способом - Google Patents
Непрерывный способ получения диоксида кремния и продукт диоксида кремния, полученный этим способом Download PDFInfo
- Publication number
- RU2539136C2 RU2539136C2 RU2012132276/15A RU2012132276A RU2539136C2 RU 2539136 C2 RU2539136 C2 RU 2539136C2 RU 2012132276/15 A RU2012132276/15 A RU 2012132276/15A RU 2012132276 A RU2012132276 A RU 2012132276A RU 2539136 C2 RU2539136 C2 RU 2539136C2
- Authority
- RU
- Russia
- Prior art keywords
- silica
- particles
- composition
- silica particles
- silicon dioxide
- Prior art date
Links
- VYPSYNLAJGMNEJ-UHFFFAOYSA-N Silicium dioxide Chemical compound O=[Si]=O VYPSYNLAJGMNEJ-UHFFFAOYSA-N 0.000 title claims abstract description 475
- 238000000034 method Methods 0.000 title claims description 63
- 238000011437 continuous method Methods 0.000 title 1
- 239000002245 particle Substances 0.000 claims abstract description 141
- 239000000203 mixture Substances 0.000 claims abstract description 92
- 238000010521 absorption reaction Methods 0.000 claims abstract description 42
- 239000003814 drug Substances 0.000 claims abstract description 8
- 239000000126 substance Substances 0.000 claims abstract description 7
- 239000000377 silicon dioxide Substances 0.000 claims description 203
- 235000012239 silicon dioxide Nutrition 0.000 claims description 69
- 239000000551 dentifrice Substances 0.000 claims description 50
- 239000003921 oil Substances 0.000 claims description 45
- 238000005299 abrasion Methods 0.000 claims description 15
- 239000002562 thickening agent Substances 0.000 claims description 11
- 239000004094 surface-active agent Substances 0.000 claims description 10
- 229940124597 therapeutic agent Drugs 0.000 claims description 6
- 239000011230 binding agent Substances 0.000 claims description 5
- 239000003086 colorant Substances 0.000 claims description 5
- 235000003599 food sweetener Nutrition 0.000 claims description 5
- 239000003765 sweetening agent Substances 0.000 claims description 5
- 239000003755 preservative agent Substances 0.000 claims description 4
- 125000003118 aryl group Chemical group 0.000 claims description 3
- 239000002738 chelating agent Substances 0.000 claims description 3
- 230000002285 radioactive effect Effects 0.000 claims description 3
- 210000004268 dentin Anatomy 0.000 claims description 2
- 230000002335 preservative effect Effects 0.000 claims description 2
- 239000002904 solvent Substances 0.000 claims description 2
- 239000008375 oral care agent Substances 0.000 abstract 1
- 239000000047 product Substances 0.000 description 139
- 238000006243 chemical reaction Methods 0.000 description 74
- 239000002535 acidifier Substances 0.000 description 58
- 239000007788 liquid Substances 0.000 description 57
- XLYOFNOQVPJJNP-UHFFFAOYSA-N water Substances O XLYOFNOQVPJJNP-UHFFFAOYSA-N 0.000 description 45
- 229910052910 alkali metal silicate Inorganic materials 0.000 description 44
- 235000019198 oils Nutrition 0.000 description 41
- 229910001868 water Inorganic materials 0.000 description 38
- 238000000227 grinding Methods 0.000 description 35
- BPQQTUXANYXVAA-UHFFFAOYSA-N Orthosilicate Chemical compound [O-][Si]([O-])([O-])[O-] BPQQTUXANYXVAA-UHFFFAOYSA-N 0.000 description 34
- QAOWNCQODCNURD-UHFFFAOYSA-N Sulfuric acid Chemical compound OS(O)(=O)=O QAOWNCQODCNURD-UHFFFAOYSA-N 0.000 description 31
- 239000002253 acid Substances 0.000 description 29
- PEDCQBHIVMGVHV-UHFFFAOYSA-N Glycerine Chemical compound OCC(O)CO PEDCQBHIVMGVHV-UHFFFAOYSA-N 0.000 description 27
- CURLTUGMZLYLDI-UHFFFAOYSA-N Carbon dioxide Chemical group O=C=O CURLTUGMZLYLDI-UHFFFAOYSA-N 0.000 description 25
- 238000001035 drying Methods 0.000 description 22
- 239000000243 solution Substances 0.000 description 22
- 239000000725 suspension Substances 0.000 description 22
- 239000004115 Sodium Silicate Substances 0.000 description 19
- 238000009826 distribution Methods 0.000 description 19
- 239000000463 material Substances 0.000 description 19
- NTHWMYGWWRZVTN-UHFFFAOYSA-N sodium silicate Chemical compound [Na+].[Na+].[O-][Si]([O-])=O NTHWMYGWWRZVTN-UHFFFAOYSA-N 0.000 description 18
- 229910052911 sodium silicate Inorganic materials 0.000 description 18
- PMZURENOXWZQFD-UHFFFAOYSA-L Sodium Sulfate Chemical compound [Na+].[Na+].[O-]S([O-])(=O)=O PMZURENOXWZQFD-UHFFFAOYSA-L 0.000 description 17
- 230000008569 process Effects 0.000 description 17
- 229910052938 sodium sulfate Inorganic materials 0.000 description 17
- 235000011152 sodium sulphate Nutrition 0.000 description 17
- DIZPMCHEQGEION-UHFFFAOYSA-H aluminium sulfate (anhydrous) Chemical compound [Al+3].[Al+3].[O-]S([O-])(=O)=O.[O-]S([O-])(=O)=O.[O-]S([O-])(=O)=O DIZPMCHEQGEION-UHFFFAOYSA-H 0.000 description 16
- 239000007864 aqueous solution Substances 0.000 description 15
- 239000012429 reaction media Substances 0.000 description 15
- -1 alkali metal aluminosilicate Chemical class 0.000 description 14
- 238000012360 testing method Methods 0.000 description 14
- 238000010924 continuous production Methods 0.000 description 13
- 239000000606 toothpaste Substances 0.000 description 13
- 229940034610 toothpaste Drugs 0.000 description 13
- 239000000796 flavoring agent Substances 0.000 description 12
- PUZPDOWCWNUUKD-UHFFFAOYSA-M sodium fluoride Chemical compound [F-].[Na+] PUZPDOWCWNUUKD-UHFFFAOYSA-M 0.000 description 12
- 239000001569 carbon dioxide Substances 0.000 description 11
- 229910002092 carbon dioxide Inorganic materials 0.000 description 11
- 235000011187 glycerol Nutrition 0.000 description 11
- 238000002156 mixing Methods 0.000 description 11
- YMKDRGPMQRFJGP-UHFFFAOYSA-M cetylpyridinium chloride Chemical compound [Cl-].CCCCCCCCCCCCCCCC[N+]1=CC=CC=C1 YMKDRGPMQRFJGP-UHFFFAOYSA-M 0.000 description 10
- 229960001927 cetylpyridinium chloride Drugs 0.000 description 10
- 239000000843 powder Substances 0.000 description 10
- FBPFZTCFMRRESA-FSIIMWSLSA-N D-Glucitol Natural products OC[C@H](O)[C@H](O)[C@@H](O)[C@H](O)CO FBPFZTCFMRRESA-FSIIMWSLSA-N 0.000 description 9
- DBMJMQXJHONAFJ-UHFFFAOYSA-M Sodium laurylsulphate Chemical compound [Na+].CCCCCCCCCCCCOS([O-])(=O)=O DBMJMQXJHONAFJ-UHFFFAOYSA-M 0.000 description 9
- GWEVSGVZZGPLCZ-UHFFFAOYSA-N Titan oxide Chemical compound O=[Ti]=O GWEVSGVZZGPLCZ-UHFFFAOYSA-N 0.000 description 9
- 150000001875 compounds Chemical class 0.000 description 9
- 235000013355 food flavoring agent Nutrition 0.000 description 9
- 235000019333 sodium laurylsulphate Nutrition 0.000 description 9
- 239000000600 sorbitol Substances 0.000 description 9
- 235000010356 sorbitol Nutrition 0.000 description 9
- 239000003795 chemical substances by application Substances 0.000 description 8
- QSHDDOUJBYECFT-UHFFFAOYSA-N mercury Chemical compound [Hg] QSHDDOUJBYECFT-UHFFFAOYSA-N 0.000 description 8
- 229910052753 mercury Inorganic materials 0.000 description 8
- 239000011148 porous material Substances 0.000 description 8
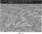
- 238000001878 scanning electron micrograph Methods 0.000 description 8
- LZZYPRNAOMGNLH-UHFFFAOYSA-M Cetrimonium bromide Chemical compound [Br-].CCCCCCCCCCCCCCCC[N+](C)(C)C LZZYPRNAOMGNLH-UHFFFAOYSA-M 0.000 description 7
- 239000008367 deionised water Substances 0.000 description 7
- 229910021641 deionized water Inorganic materials 0.000 description 7
- 239000006185 dispersion Substances 0.000 description 7
- 230000008859 change Effects 0.000 description 6
- 238000004140 cleaning Methods 0.000 description 6
- 239000012530 fluid Substances 0.000 description 6
- 229920001223 polyethylene glycol Polymers 0.000 description 6
- 239000011734 sodium Substances 0.000 description 6
- 239000011775 sodium fluoride Substances 0.000 description 6
- 235000013024 sodium fluoride Nutrition 0.000 description 6
- 238000010923 batch production Methods 0.000 description 5
- 239000002131 composite material Substances 0.000 description 5
- 239000004615 ingredient Substances 0.000 description 5
- VTHJTEIRLNZDEV-UHFFFAOYSA-L magnesium dihydroxide Chemical compound [OH-].[OH-].[Mg+2] VTHJTEIRLNZDEV-UHFFFAOYSA-L 0.000 description 5
- 239000000347 magnesium hydroxide Substances 0.000 description 5
- 229910001862 magnesium hydroxide Inorganic materials 0.000 description 5
- 238000004519 manufacturing process Methods 0.000 description 5
- 230000000704 physical effect Effects 0.000 description 5
- 238000002360 preparation method Methods 0.000 description 5
- 238000001694 spray drying Methods 0.000 description 5
- 238000003756 stirring Methods 0.000 description 5
- 239000004408 titanium dioxide Substances 0.000 description 5
- FTLYMKDSHNWQKD-UHFFFAOYSA-N (2,4,5-trichlorophenyl)boronic acid Chemical compound OB(O)C1=CC(Cl)=C(Cl)C=C1Cl FTLYMKDSHNWQKD-UHFFFAOYSA-N 0.000 description 4
- VTYYLEPIZMXCLO-UHFFFAOYSA-L Calcium carbonate Chemical compound [Ca+2].[O-]C([O-])=O VTYYLEPIZMXCLO-UHFFFAOYSA-L 0.000 description 4
- KRHYYFGTRYWZRS-UHFFFAOYSA-M Fluoride anion Chemical compound [F-] KRHYYFGTRYWZRS-UHFFFAOYSA-M 0.000 description 4
- 239000000654 additive Substances 0.000 description 4
- 229910052783 alkali metal Inorganic materials 0.000 description 4
- 230000015572 biosynthetic process Effects 0.000 description 4
- 125000002091 cationic group Chemical group 0.000 description 4
- 229920002678 cellulose Chemical class 0.000 description 4
- 239000001913 cellulose Chemical class 0.000 description 4
- 235000010980 cellulose Nutrition 0.000 description 4
- 238000004891 communication Methods 0.000 description 4
- 239000013078 crystal Substances 0.000 description 4
- 229940091249 fluoride supplement Drugs 0.000 description 4
- 235000013305 food Nutrition 0.000 description 4
- 238000001879 gelation Methods 0.000 description 4
- 230000002829 reductive effect Effects 0.000 description 4
- 229940085605 saccharin sodium Drugs 0.000 description 4
- FQENQNTWSFEDLI-UHFFFAOYSA-J sodium diphosphate Chemical compound [Na+].[Na+].[Na+].[Na+].[O-]P([O-])(=O)OP([O-])([O-])=O FQENQNTWSFEDLI-UHFFFAOYSA-J 0.000 description 4
- MGSRCZKZVOBKFT-UHFFFAOYSA-N thymol Chemical compound CC(C)C1=CC=C(C)C=C1O MGSRCZKZVOBKFT-UHFFFAOYSA-N 0.000 description 4
- 238000005406 washing Methods 0.000 description 4
- 229910001369 Brass Inorganic materials 0.000 description 3
- VEXZGXHMUGYJMC-UHFFFAOYSA-N Hydrochloric acid Chemical compound Cl VEXZGXHMUGYJMC-UHFFFAOYSA-N 0.000 description 3
- VVQNEPGJFQJSBK-UHFFFAOYSA-N Methyl methacrylate Chemical compound COC(=O)C(C)=C VVQNEPGJFQJSBK-UHFFFAOYSA-N 0.000 description 3
- 229920005372 Plexiglas® Polymers 0.000 description 3
- DNIAPMSPPWPWGF-UHFFFAOYSA-N Propylene glycol Chemical compound CC(O)CO DNIAPMSPPWPWGF-UHFFFAOYSA-N 0.000 description 3
- 229920002472 Starch Polymers 0.000 description 3
- 239000003082 abrasive agent Substances 0.000 description 3
- 150000007513 acids Chemical class 0.000 description 3
- 239000010951 brass Substances 0.000 description 3
- 230000000875 corresponding effect Effects 0.000 description 3
- 230000007423 decrease Effects 0.000 description 3
- 230000003247 decreasing effect Effects 0.000 description 3
- 239000003599 detergent Substances 0.000 description 3
- 239000000975 dye Substances 0.000 description 3
- 229940088598 enzyme Drugs 0.000 description 3
- 238000001914 filtration Methods 0.000 description 3
- 235000019634 flavors Nutrition 0.000 description 3
- 238000011068 loading method Methods 0.000 description 3
- 238000005259 measurement Methods 0.000 description 3
- 229910052751 metal Inorganic materials 0.000 description 3
- 239000002184 metal Substances 0.000 description 3
- 239000012452 mother liquor Substances 0.000 description 3
- 238000012545 processing Methods 0.000 description 3
- 239000002994 raw material Substances 0.000 description 3
- 230000009467 reduction Effects 0.000 description 3
- 150000003839 salts Chemical class 0.000 description 3
- 235000019698 starch Nutrition 0.000 description 3
- 230000003068 static effect Effects 0.000 description 3
- 239000003826 tablet Substances 0.000 description 3
- 235000019818 tetrasodium diphosphate Nutrition 0.000 description 3
- NOOLISFMXDJSKH-UTLUCORTSA-N (+)-Neomenthol Chemical compound CC(C)[C@@H]1CC[C@@H](C)C[C@@H]1O NOOLISFMXDJSKH-UTLUCORTSA-N 0.000 description 2
- WEEGYLXZBRQIMU-UHFFFAOYSA-N 1,8-cineole Natural products C1CC2CCC1(C)OC2(C)C WEEGYLXZBRQIMU-UHFFFAOYSA-N 0.000 description 2
- HZAXFHJVJLSVMW-UHFFFAOYSA-N 2-Aminoethan-1-ol Chemical compound NCCO HZAXFHJVJLSVMW-UHFFFAOYSA-N 0.000 description 2
- NGOZDSMNMIRDFP-UHFFFAOYSA-N 2-[methyl(tetradecanoyl)amino]acetic acid Chemical compound CCCCCCCCCCCCCC(=O)N(C)CC(O)=O NGOZDSMNMIRDFP-UHFFFAOYSA-N 0.000 description 2
- 244000215068 Acacia senegal Species 0.000 description 2
- IJGRMHOSHXDMSA-UHFFFAOYSA-N Atomic nitrogen Chemical compound N#N IJGRMHOSHXDMSA-UHFFFAOYSA-N 0.000 description 2
- KWIUHFFTVRNATP-UHFFFAOYSA-N Betaine Natural products C[N+](C)(C)CC([O-])=O KWIUHFFTVRNATP-UHFFFAOYSA-N 0.000 description 2
- 229920002134 Carboxymethyl cellulose Polymers 0.000 description 2
- FBPFZTCFMRRESA-JGWLITMVSA-N D-glucitol Chemical compound OC[C@H](O)[C@@H](O)[C@H](O)[C@H](O)CO FBPFZTCFMRRESA-JGWLITMVSA-N 0.000 description 2
- NOOLISFMXDJSKH-UHFFFAOYSA-N DL-menthol Natural products CC(C)C1CCC(C)CC1O NOOLISFMXDJSKH-UHFFFAOYSA-N 0.000 description 2
- 208000006558 Dental Calculus Diseases 0.000 description 2
- 235000019739 Dicalciumphosphate Nutrition 0.000 description 2
- 108090000790 Enzymes Proteins 0.000 description 2
- 102000004190 Enzymes Human genes 0.000 description 2
- WEEGYLXZBRQIMU-WAAGHKOSSA-N Eucalyptol Chemical compound C1C[C@H]2CC[C@]1(C)OC2(C)C WEEGYLXZBRQIMU-WAAGHKOSSA-N 0.000 description 2
- 229920000084 Gum arabic Polymers 0.000 description 2
- 229920000569 Gum karaya Polymers 0.000 description 2
- DGAQECJNVWCQMB-PUAWFVPOSA-M Ilexoside XXIX Chemical compound C[C@@H]1CC[C@@]2(CC[C@@]3(C(=CC[C@H]4[C@]3(CC[C@@H]5[C@@]4(CC[C@@H](C5(C)C)OS(=O)(=O)[O-])C)C)[C@@H]2[C@]1(C)O)C)C(=O)O[C@H]6[C@@H]([C@H]([C@@H]([C@H](O6)CO)O)O)O.[Na+] DGAQECJNVWCQMB-PUAWFVPOSA-M 0.000 description 2
- BACYUWVYYTXETD-UHFFFAOYSA-N N-Lauroylsarcosine Chemical compound CCCCCCCCCCCC(=O)N(C)CC(O)=O BACYUWVYYTXETD-UHFFFAOYSA-N 0.000 description 2
- 229910000503 Na-aluminosilicate Inorganic materials 0.000 description 2
- NBIIXXVUZAFLBC-UHFFFAOYSA-N Phosphoric acid Chemical compound OP(O)(O)=O NBIIXXVUZAFLBC-UHFFFAOYSA-N 0.000 description 2
- ZLMJMSJWJFRBEC-UHFFFAOYSA-N Potassium Chemical compound [K] ZLMJMSJWJFRBEC-UHFFFAOYSA-N 0.000 description 2
- 239000004365 Protease Substances 0.000 description 2
- INVGWHRKADIJHF-UHFFFAOYSA-N Sanguinarin Chemical compound C1=C2OCOC2=CC2=C3[N+](C)=CC4=C(OCO5)C5=CC=C4C3=CC=C21 INVGWHRKADIJHF-UHFFFAOYSA-N 0.000 description 2
- 239000005844 Thymol Substances 0.000 description 2
- 235000010489 acacia gum Nutrition 0.000 description 2
- 239000000205 acacia gum Substances 0.000 description 2
- 238000009825 accumulation Methods 0.000 description 2
- 150000001340 alkali metals Chemical class 0.000 description 2
- PNEYBMLMFCGWSK-UHFFFAOYSA-N aluminium oxide Inorganic materials [O-2].[O-2].[O-2].[Al+3].[Al+3] PNEYBMLMFCGWSK-UHFFFAOYSA-N 0.000 description 2
- 239000004599 antimicrobial Substances 0.000 description 2
- 229960000686 benzalkonium chloride Drugs 0.000 description 2
- 229960003872 benzethonium Drugs 0.000 description 2
- CADWTSSKOVRVJC-UHFFFAOYSA-N benzyl(dimethyl)azanium;chloride Chemical compound [Cl-].C[NH+](C)CC1=CC=CC=C1 CADWTSSKOVRVJC-UHFFFAOYSA-N 0.000 description 2
- 229960003237 betaine Drugs 0.000 description 2
- 230000005540 biological transmission Effects 0.000 description 2
- 239000001506 calcium phosphate Substances 0.000 description 2
- 238000004364 calculation method Methods 0.000 description 2
- 235000010948 carboxy methyl cellulose Nutrition 0.000 description 2
- 239000001768 carboxy methyl cellulose Substances 0.000 description 2
- MRUAUOIMASANKQ-UHFFFAOYSA-O carboxymethyl-[3-(dodecanoylamino)propyl]-dimethylazanium Chemical compound CCCCCCCCCCCC(=O)NCCC[N+](C)(C)CC(O)=O MRUAUOIMASANKQ-UHFFFAOYSA-O 0.000 description 2
- 239000007795 chemical reaction product Substances 0.000 description 2
- 239000003153 chemical reaction reagent Substances 0.000 description 2
- 229960005233 cineole Drugs 0.000 description 2
- 230000002596 correlated effect Effects 0.000 description 2
- 239000002537 cosmetic Substances 0.000 description 2
- 210000003298 dental enamel Anatomy 0.000 description 2
- NEFBYIFKOOEVPA-UHFFFAOYSA-K dicalcium phosphate Chemical compound [Ca+2].[Ca+2].[O-]P([O-])([O-])=O NEFBYIFKOOEVPA-UHFFFAOYSA-K 0.000 description 2
- 229940038472 dicalcium phosphate Drugs 0.000 description 2
- 229910000390 dicalcium phosphate Inorganic materials 0.000 description 2
- 239000012895 dilution Substances 0.000 description 2
- 238000010790 dilution Methods 0.000 description 2
- SIYLLGKDQZGJHK-UHFFFAOYSA-N dimethyl-(phenylmethyl)-[2-[2-[4-(2,4,4-trimethylpentan-2-yl)phenoxy]ethoxy]ethyl]ammonium Chemical compound C1=CC(C(C)(C)CC(C)(C)C)=CC=C1OCCOCC[N+](C)(C)CC1=CC=CC=C1 SIYLLGKDQZGJHK-UHFFFAOYSA-N 0.000 description 2
- XPPKVPWEQAFLFU-UHFFFAOYSA-N diphosphoric acid Chemical compound OP(O)(=O)OP(O)(O)=O XPPKVPWEQAFLFU-UHFFFAOYSA-N 0.000 description 2
- 238000007599 discharging Methods 0.000 description 2
- 229940079593 drug Drugs 0.000 description 2
- 239000003623 enhancer Substances 0.000 description 2
- RRAFCDWBNXTKKO-UHFFFAOYSA-N eugenol Chemical compound COC1=CC(CC=C)=CC=C1O RRAFCDWBNXTKKO-UHFFFAOYSA-N 0.000 description 2
- 239000007789 gas Substances 0.000 description 2
- 230000003993 interaction Effects 0.000 description 2
- 235000021388 linseed oil Nutrition 0.000 description 2
- 239000000944 linseed oil Substances 0.000 description 2
- 229940041616 menthol Drugs 0.000 description 2
- IBIKHMZPHNKTHM-RDTXWAMCSA-N merck compound 25 Chemical compound C1C[C@@H](C(O)=O)[C@H](O)CN1C(C1=C(F)C=CC=C11)=NN1C(=O)C1=C(Cl)C=CC=C1C1CC1 IBIKHMZPHNKTHM-RDTXWAMCSA-N 0.000 description 2
- OSWPMRLSEDHDFF-UHFFFAOYSA-N methyl salicylate Chemical compound COC(=O)C1=CC=CC=C1O OSWPMRLSEDHDFF-UHFFFAOYSA-N 0.000 description 2
- LXCFILQKKLGQFO-UHFFFAOYSA-N methylparaben Chemical compound COC(=O)C1=CC=C(O)C=C1 LXCFILQKKLGQFO-UHFFFAOYSA-N 0.000 description 2
- 238000012986 modification Methods 0.000 description 2
- 230000004048 modification Effects 0.000 description 2
- 125000001419 myristoyl group Chemical group O=C([*])C([H])([H])C([H])([H])C([H])([H])C([H])([H])C([H])([H])C([H])([H])C([H])([H])C([H])([H])C([H])([H])C([H])([H])C([H])([H])C([H])([H])C([H])([H])[H] 0.000 description 2
- 230000003472 neutralizing effect Effects 0.000 description 2
- 230000003287 optical effect Effects 0.000 description 2
- 239000006072 paste Substances 0.000 description 2
- 235000011837 pasties Nutrition 0.000 description 2
- 229910052700 potassium Inorganic materials 0.000 description 2
- 239000011591 potassium Substances 0.000 description 2
- NROKBHXJSPEDAR-UHFFFAOYSA-M potassium fluoride Chemical compound [F-].[K+] NROKBHXJSPEDAR-UHFFFAOYSA-M 0.000 description 2
- 239000002244 precipitate Substances 0.000 description 2
- 229940088417 precipitated calcium carbonate Drugs 0.000 description 2
- QELSKZZBTMNZEB-UHFFFAOYSA-N propylparaben Chemical compound CCCOC(=O)C1=CC=C(O)C=C1 QELSKZZBTMNZEB-UHFFFAOYSA-N 0.000 description 2
- 229940005657 pyrophosphoric acid Drugs 0.000 description 2
- 239000011541 reaction mixture Substances 0.000 description 2
- 230000001105 regulatory effect Effects 0.000 description 2
- CVHZOJJKTDOEJC-UHFFFAOYSA-N saccharin Chemical compound C1=CC=C2C(=O)NS(=O)(=O)C2=C1 CVHZOJJKTDOEJC-UHFFFAOYSA-N 0.000 description 2
- 229940071089 sarcosinate Drugs 0.000 description 2
- 238000004062 sedimentation Methods 0.000 description 2
- 150000004760 silicates Chemical class 0.000 description 2
- 229910052710 silicon Inorganic materials 0.000 description 2
- 239000010703 silicon Substances 0.000 description 2
- 229910052708 sodium Inorganic materials 0.000 description 2
- 235000012217 sodium aluminium silicate Nutrition 0.000 description 2
- 238000001179 sorption measurement Methods 0.000 description 2
- 239000012086 standard solution Substances 0.000 description 2
- 239000008107 starch Substances 0.000 description 2
- 238000003786 synthesis reaction Methods 0.000 description 2
- 229960000790 thymol Drugs 0.000 description 2
- YUOWTJMRMWQJDA-UHFFFAOYSA-J tin(iv) fluoride Chemical compound [F-].[F-].[F-].[F-].[Sn+4] YUOWTJMRMWQJDA-UHFFFAOYSA-J 0.000 description 2
- RUVINXPYWBROJD-ONEGZZNKSA-N trans-anethole Chemical compound COC1=CC=C(\C=C\C)C=C1 RUVINXPYWBROJD-ONEGZZNKSA-N 0.000 description 2
- 238000012546 transfer Methods 0.000 description 2
- 238000002834 transmittance Methods 0.000 description 2
- 238000011282 treatment Methods 0.000 description 2
- JIAARYAFYJHUJI-UHFFFAOYSA-L zinc dichloride Chemical compound [Cl-].[Cl-].[Zn+2] JIAARYAFYJHUJI-UHFFFAOYSA-L 0.000 description 2
- LNAZSHAWQACDHT-XIYTZBAFSA-N (2r,3r,4s,5r,6s)-4,5-dimethoxy-2-(methoxymethyl)-3-[(2s,3r,4s,5r,6r)-3,4,5-trimethoxy-6-(methoxymethyl)oxan-2-yl]oxy-6-[(2r,3r,4s,5r,6r)-4,5,6-trimethoxy-2-(methoxymethyl)oxan-3-yl]oxyoxane Chemical compound CO[C@@H]1[C@@H](OC)[C@H](OC)[C@@H](COC)O[C@H]1O[C@H]1[C@H](OC)[C@@H](OC)[C@H](O[C@H]2[C@@H]([C@@H](OC)[C@H](OC)O[C@@H]2COC)OC)O[C@@H]1COC LNAZSHAWQACDHT-XIYTZBAFSA-N 0.000 description 1
- IXPNQXFRVYWDDI-UHFFFAOYSA-N 1-methyl-2,4-dioxo-1,3-diazinane-5-carboximidamide Chemical class CN1CC(C(N)=N)C(=O)NC1=O IXPNQXFRVYWDDI-UHFFFAOYSA-N 0.000 description 1
- LFJJOPDNPVFCNZ-UHFFFAOYSA-N 2-[hexadecanoyl(methyl)amino]acetic acid Chemical compound CCCCCCCCCCCCCCCC(=O)N(C)CC(O)=O LFJJOPDNPVFCNZ-UHFFFAOYSA-N 0.000 description 1
- XGRSAFKZAGGXJV-UHFFFAOYSA-N 3-azaniumyl-3-cyclohexylpropanoate Chemical compound OC(=O)CC(N)C1CCCCC1 XGRSAFKZAGGXJV-UHFFFAOYSA-N 0.000 description 1
- WBZFUFAFFUEMEI-UHFFFAOYSA-M Acesulfame k Chemical compound [K+].CC1=CC(=O)[N-]S(=O)(=O)O1 WBZFUFAFFUEMEI-UHFFFAOYSA-M 0.000 description 1
- 240000000073 Achillea millefolium Species 0.000 description 1
- 235000007754 Achillea millefolium Nutrition 0.000 description 1
- 229920001817 Agar Chemical class 0.000 description 1
- 239000004382 Amylase Substances 0.000 description 1
- 108010065511 Amylases Proteins 0.000 description 1
- 102000013142 Amylases Human genes 0.000 description 1
- 108010004032 Bromelains Proteins 0.000 description 1
- 239000007848 Bronsted acid Substances 0.000 description 1
- OYPRJOBELJOOCE-UHFFFAOYSA-N Calcium Chemical compound [Ca] OYPRJOBELJOOCE-UHFFFAOYSA-N 0.000 description 1
- NPBVQXIMTZKSBA-UHFFFAOYSA-N Chavibetol Natural products COC1=CC=C(CC=C)C=C1O NPBVQXIMTZKSBA-UHFFFAOYSA-N 0.000 description 1
- LRBQNJMCXXYXIU-PPKXGCFTSA-N Chinese gallotannin Chemical compound OC1=C(O)C(O)=CC(C(=O)OC=2C(=C(O)C=C(C=2)C(=O)OC[C@@H]2[C@H]([C@H](OC(=O)C=3C=C(OC(=O)C=4C=C(O)C(O)=C(O)C=4)C(O)=C(O)C=3)[C@@H](OC(=O)C=3C=C(OC(=O)C=4C=C(O)C(O)=C(O)C=4)C(O)=C(O)C=3)[C@H](OC(=O)C=3C=C(OC(=O)C=4C=C(O)C(O)=C(O)C=4)C(O)=C(O)C=3)O2)OC(=O)C=2C=C(OC(=O)C=3C=C(O)C(O)=C(O)C=3)C(O)=C(O)C=2)O)=C1 LRBQNJMCXXYXIU-PPKXGCFTSA-N 0.000 description 1
- GHXZTYHSJHQHIJ-UHFFFAOYSA-N Chlorhexidine Chemical compound C=1C=C(Cl)C=CC=1NC(N)=NC(N)=NCCCCCCN=C(N)N=C(N)NC1=CC=C(Cl)C=C1 GHXZTYHSJHQHIJ-UHFFFAOYSA-N 0.000 description 1
- 244000223760 Cinnamomum zeylanicum Species 0.000 description 1
- 235000005979 Citrus limon Nutrition 0.000 description 1
- 244000131522 Citrus pyriformis Species 0.000 description 1
- FBPFZTCFMRRESA-KVTDHHQDSA-N D-Mannitol Chemical compound OC[C@@H](O)[C@@H](O)[C@H](O)[C@H](O)CO FBPFZTCFMRRESA-KVTDHHQDSA-N 0.000 description 1
- WQZGKKKJIJFFOK-QTVWNMPRSA-N D-mannopyranose Chemical compound OC[C@H]1OC(O)[C@@H](O)[C@@H](O)[C@@H]1O WQZGKKKJIJFFOK-QTVWNMPRSA-N 0.000 description 1
- 229940090898 Desensitizer Drugs 0.000 description 1
- 108010001682 Dextranase Proteins 0.000 description 1
- QXNVGIXVLWOKEQ-UHFFFAOYSA-N Disodium Chemical class [Na][Na] QXNVGIXVLWOKEQ-UHFFFAOYSA-N 0.000 description 1
- 239000004386 Erythritol Substances 0.000 description 1
- UNXHWFMMPAWVPI-UHFFFAOYSA-N Erythritol Natural products OCC(O)C(O)CO UNXHWFMMPAWVPI-UHFFFAOYSA-N 0.000 description 1
- FCEXWTOTHXCQCQ-UHFFFAOYSA-N Ethoxydihydrosanguinarine Natural products C12=CC=C3OCOC3=C2C(OCC)N(C)C(C2=C3)=C1C=CC2=CC1=C3OCO1 FCEXWTOTHXCQCQ-UHFFFAOYSA-N 0.000 description 1
- 239000001856 Ethyl cellulose Substances 0.000 description 1
- ZZSNKZQZMQGXPY-UHFFFAOYSA-N Ethyl cellulose Chemical compound CCOCC1OC(OC)C(OCC)C(OCC)C1OC1C(O)C(O)C(OC)C(CO)O1 ZZSNKZQZMQGXPY-UHFFFAOYSA-N 0.000 description 1
- 239000005770 Eugenol Substances 0.000 description 1
- RFSUNEUAIZKAJO-ARQDHWQXSA-N Fructose Chemical compound OC[C@H]1O[C@](O)(CO)[C@@H](O)[C@@H]1O RFSUNEUAIZKAJO-ARQDHWQXSA-N 0.000 description 1
- 108010010803 Gelatin Chemical class 0.000 description 1
- 241000206672 Gelidium Species 0.000 description 1
- 108010073178 Glucan 1,4-alpha-Glucosidase Proteins 0.000 description 1
- 102100022624 Glucoamylase Human genes 0.000 description 1
- WQZGKKKJIJFFOK-GASJEMHNSA-N Glucose Natural products OC[C@H]1OC(O)[C@H](O)[C@@H](O)[C@@H]1O WQZGKKKJIJFFOK-GASJEMHNSA-N 0.000 description 1
- 229920002907 Guar gum Polymers 0.000 description 1
- 239000004354 Hydroxyethyl cellulose Substances 0.000 description 1
- 229920000663 Hydroxyethyl cellulose Polymers 0.000 description 1
- 229920002153 Hydroxypropyl cellulose Polymers 0.000 description 1
- 239000002841 Lewis acid Substances 0.000 description 1
- 239000004367 Lipase Substances 0.000 description 1
- 108090001060 Lipase Proteins 0.000 description 1
- 102000004882 Lipase Human genes 0.000 description 1
- 229930195725 Mannitol Natural products 0.000 description 1
- ILRKKHJEINIICQ-OOFFSTKBSA-N Monoammonium glycyrrhizinate Chemical compound N.O([C@@H]1[C@@H](O)[C@H](O)[C@H](O[C@@H]1O[C@H]1CC[C@]2(C)[C@H]3C(=O)C=C4[C@@H]5C[C@](C)(CC[C@@]5(CC[C@@]4(C)[C@]3(C)CC[C@H]2C1(C)C)C)C(O)=O)C(O)=O)[C@@H]1O[C@H](C(O)=O)[C@@H](O)[C@H](O)[C@H]1O ILRKKHJEINIICQ-OOFFSTKBSA-N 0.000 description 1
- KWIUHFFTVRNATP-UHFFFAOYSA-O N,N,N-trimethylglycinium Chemical compound C[N+](C)(C)CC(O)=O KWIUHFFTVRNATP-UHFFFAOYSA-O 0.000 description 1
- GRYLNZFGIOXLOG-UHFFFAOYSA-N Nitric acid Chemical compound O[N+]([O-])=O GRYLNZFGIOXLOG-UHFFFAOYSA-N 0.000 description 1
- MXRIRQGCELJRSN-UHFFFAOYSA-N O.O.O.[Al] Chemical compound O.O.O.[Al] MXRIRQGCELJRSN-UHFFFAOYSA-N 0.000 description 1
- 229910019142 PO4 Inorganic materials 0.000 description 1
- 108090000526 Papain Proteins 0.000 description 1
- 108091005804 Peptidases Proteins 0.000 description 1
- 229920003171 Poly (ethylene oxide) Polymers 0.000 description 1
- 239000002202 Polyethylene glycol Substances 0.000 description 1
- 108010059820 Polygalacturonase Proteins 0.000 description 1
- 108010009736 Protein Hydrolysates Proteins 0.000 description 1
- UVMRYBDEERADNV-UHFFFAOYSA-N Pseudoeugenol Natural products COC1=CC(C(C)=C)=CC=C1O UVMRYBDEERADNV-UHFFFAOYSA-N 0.000 description 1
- 102100037486 Reverse transcriptase/ribonuclease H Human genes 0.000 description 1
- 229910004298 SiO 2 Inorganic materials 0.000 description 1
- 241000934878 Sterculia Species 0.000 description 1
- CZMRCDWAGMRECN-UGDNZRGBSA-N Sucrose Chemical compound O[C@H]1[C@H](O)[C@@H](CO)O[C@@]1(CO)O[C@@H]1[C@H](O)[C@@H](O)[C@H](O)[C@@H](CO)O1 CZMRCDWAGMRECN-UGDNZRGBSA-N 0.000 description 1
- 229930006000 Sucrose Natural products 0.000 description 1
- QAOWNCQODCNURD-UHFFFAOYSA-L Sulfate Chemical compound [O-]S([O-])(=O)=O QAOWNCQODCNURD-UHFFFAOYSA-L 0.000 description 1
- 229910010413 TiO 2 Inorganic materials 0.000 description 1
- 229920001615 Tragacanth Polymers 0.000 description 1
- XEFQLINVKFYRCS-UHFFFAOYSA-N Triclosan Chemical compound OC1=CC(Cl)=CC=C1OC1=CC=C(Cl)C=C1Cl XEFQLINVKFYRCS-UHFFFAOYSA-N 0.000 description 1
- 229920004890 Triton X-100 Polymers 0.000 description 1
- 239000013504 Triton X-100 Substances 0.000 description 1
- TVXBFESIOXBWNM-UHFFFAOYSA-N Xylitol Natural products OCCC(O)C(O)C(O)CCO TVXBFESIOXBWNM-UHFFFAOYSA-N 0.000 description 1
- FGUZFFWTBWJBIL-XWVZOOPGSA-N [(1r)-1-[(2s,3r,4s)-3,4-dihydroxyoxolan-2-yl]-2-hydroxyethyl] 16-methylheptadecanoate Chemical compound CC(C)CCCCCCCCCCCCCCC(=O)O[C@H](CO)[C@H]1OC[C@H](O)[C@H]1O FGUZFFWTBWJBIL-XWVZOOPGSA-N 0.000 description 1
- YKTSYUJCYHOUJP-UHFFFAOYSA-N [O--].[Al+3].[Al+3].[O-][Si]([O-])([O-])[O-] Chemical compound [O--].[Al+3].[Al+3].[O-][Si]([O-])([O-])[O-] YKTSYUJCYHOUJP-UHFFFAOYSA-N 0.000 description 1
- 239000006096 absorbing agent Substances 0.000 description 1
- 239000000619 acesulfame-K Substances 0.000 description 1
- 239000003929 acidic solution Substances 0.000 description 1
- 230000000996 additive effect Effects 0.000 description 1
- 235000010419 agar Nutrition 0.000 description 1
- 238000005054 agglomeration Methods 0.000 description 1
- 230000002776 aggregation Effects 0.000 description 1
- 150000001298 alcohols Chemical class 0.000 description 1
- 150000001299 aldehydes Chemical class 0.000 description 1
- 229950010221 alexidine Drugs 0.000 description 1
- LFVVNPBBFUSSHL-UHFFFAOYSA-N alexidine Chemical compound CCCCC(CC)CNC(=N)NC(=N)NCCCCCCNC(=N)NC(=N)NCC(CC)CCCC LFVVNPBBFUSSHL-UHFFFAOYSA-N 0.000 description 1
- 125000001931 aliphatic group Chemical group 0.000 description 1
- 229910052782 aluminium Inorganic materials 0.000 description 1
- XAGFODPZIPBFFR-UHFFFAOYSA-N aluminium Chemical compound [Al] XAGFODPZIPBFFR-UHFFFAOYSA-N 0.000 description 1
- 229910000147 aluminium phosphate Inorganic materials 0.000 description 1
- 229910000323 aluminium silicate Inorganic materials 0.000 description 1
- SNAAJJQQZSMGQD-UHFFFAOYSA-N aluminum magnesium Chemical compound [Mg].[Al] SNAAJJQQZSMGQD-UHFFFAOYSA-N 0.000 description 1
- 150000001413 amino acids Chemical class 0.000 description 1
- 229940073143 ammoniated glycyrrhizin Drugs 0.000 description 1
- 150000003863 ammonium salts Chemical class 0.000 description 1
- 235000019418 amylase Nutrition 0.000 description 1
- 229940011037 anethole Drugs 0.000 description 1
- 125000000129 anionic group Chemical group 0.000 description 1
- 239000000420 anogeissus latifolia wall. gum Substances 0.000 description 1
- 239000003242 anti bacterial agent Substances 0.000 description 1
- 229940088710 antibiotic agent Drugs 0.000 description 1
- 239000003963 antioxidant agent Substances 0.000 description 1
- 229940027983 antiseptic and disinfectant quaternary ammonium compound Drugs 0.000 description 1
- 239000007900 aqueous suspension Substances 0.000 description 1
- 239000000305 astragalus gummifer gum Substances 0.000 description 1
- 230000001580 bacterial effect Effects 0.000 description 1
- 239000000440 bentonite Substances 0.000 description 1
- 229910000278 bentonite Inorganic materials 0.000 description 1
- SVPXDRXYRYOSEX-UHFFFAOYSA-N bentoquatam Chemical compound O.O=[Si]=O.O=[Al]O[Al]=O SVPXDRXYRYOSEX-UHFFFAOYSA-N 0.000 description 1
- WQZGKKKJIJFFOK-VFUOTHLCSA-N beta-D-glucose Chemical compound OC[C@H]1O[C@@H](O)[C@H](O)[C@@H](O)[C@@H]1O WQZGKKKJIJFFOK-VFUOTHLCSA-N 0.000 description 1
- 230000001588 bifunctional effect Effects 0.000 description 1
- 230000033228 biological regulation Effects 0.000 description 1
- 230000000903 blocking effect Effects 0.000 description 1
- 239000001045 blue dye Substances 0.000 description 1
- 230000001680 brushing effect Effects 0.000 description 1
- 239000011575 calcium Substances 0.000 description 1
- 229910052791 calcium Inorganic materials 0.000 description 1
- 229910000019 calcium carbonate Inorganic materials 0.000 description 1
- JUNWLZAGQLJVLR-UHFFFAOYSA-J calcium diphosphate Chemical compound [Ca+2].[Ca+2].[O-]P([O-])(=O)OP([O-])([O-])=O JUNWLZAGQLJVLR-UHFFFAOYSA-J 0.000 description 1
- 229940043256 calcium pyrophosphate Drugs 0.000 description 1
- 159000000007 calcium salts Chemical class 0.000 description 1
- 239000006229 carbon black Substances 0.000 description 1
- 239000008112 carboxymethyl-cellulose Substances 0.000 description 1
- 239000004075 cariostatic agent Substances 0.000 description 1
- 235000010418 carrageenan Nutrition 0.000 description 1
- 239000000679 carrageenan Substances 0.000 description 1
- 229920001525 carrageenan Polymers 0.000 description 1
- 229940113118 carrageenan Drugs 0.000 description 1
- 238000005119 centrifugation Methods 0.000 description 1
- 238000012512 characterization method Methods 0.000 description 1
- 229960003260 chlorhexidine Drugs 0.000 description 1
- YZIYKJHYYHPJIB-UUPCJSQJSA-N chlorhexidine gluconate Chemical compound OC[C@@H](O)[C@@H](O)[C@H](O)[C@@H](O)C(O)=O.OC[C@@H](O)[C@@H](O)[C@H](O)[C@@H](O)C(O)=O.C1=CC(Cl)=CC=C1NC(=N)NC(=N)NCCCCCCNC(=N)NC(=N)NC1=CC=C(Cl)C=C1 YZIYKJHYYHPJIB-UUPCJSQJSA-N 0.000 description 1
- 229960003333 chlorhexidine gluconate Drugs 0.000 description 1
- 235000017803 cinnamon Nutrition 0.000 description 1
- 239000012459 cleaning agent Substances 0.000 description 1
- 239000010634 clove oil Substances 0.000 description 1
- 238000000576 coating method Methods 0.000 description 1
- 238000004040 coloring Methods 0.000 description 1
- 239000008139 complexing agent Substances 0.000 description 1
- 230000001276 controlling effect Effects 0.000 description 1
- 238000001816 cooling Methods 0.000 description 1
- 239000000973 cosmetic coloring agent Substances 0.000 description 1
- 229940109275 cyclamate Drugs 0.000 description 1
- HCAJEUSONLESMK-UHFFFAOYSA-N cyclohexylsulfamic acid Chemical compound OS(=O)(=O)NC1CCCCC1 HCAJEUSONLESMK-UHFFFAOYSA-N 0.000 description 1
- 208000002925 dental caries Diseases 0.000 description 1
- 239000008121 dextrose Substances 0.000 description 1
- 238000010586 diagram Methods 0.000 description 1
- SHFGJEQAOUMGJM-UHFFFAOYSA-N dialuminum dipotassium disodium dioxosilane iron(3+) oxocalcium oxomagnesium oxygen(2-) Chemical compound [O--].[O--].[O--].[O--].[O--].[O--].[O--].[O--].[Na+].[Na+].[Al+3].[Al+3].[K+].[K+].[Fe+3].[Fe+3].O=[Mg].O=[Ca].O=[Si]=O SHFGJEQAOUMGJM-UHFFFAOYSA-N 0.000 description 1
- 235000019821 dicalcium diphosphate Nutrition 0.000 description 1
- 150000004683 dihydrates Chemical group 0.000 description 1
- 235000011180 diphosphates Nutrition 0.000 description 1
- FXNRKXSSLJKNGH-UHFFFAOYSA-L dipotassium;fluoro-dioxido-oxo-$l^{5}-phosphane Chemical compound [K+].[K+].[O-]P([O-])(F)=O FXNRKXSSLJKNGH-UHFFFAOYSA-L 0.000 description 1
- 238000006073 displacement reaction Methods 0.000 description 1
- POULHZVOKOAJMA-UHFFFAOYSA-M dodecanoate Chemical compound CCCCCCCCCCCC([O-])=O POULHZVOKOAJMA-UHFFFAOYSA-M 0.000 description 1
- GVGUFUZHNYFZLC-UHFFFAOYSA-N dodecyl benzenesulfonate;sodium Chemical compound [Na].CCCCCCCCCCCCOS(=O)(=O)C1=CC=CC=C1 GVGUFUZHNYFZLC-UHFFFAOYSA-N 0.000 description 1
- 238000005265 energy consumption Methods 0.000 description 1
- 235000019414 erythritol Nutrition 0.000 description 1
- 229940009714 erythritol Drugs 0.000 description 1
- UNXHWFMMPAWVPI-ZXZARUISSA-N erythritol Chemical compound OC[C@H](O)[C@H](O)CO UNXHWFMMPAWVPI-ZXZARUISSA-N 0.000 description 1
- 150000002148 esters Chemical class 0.000 description 1
- 235000010944 ethyl methyl cellulose Nutrition 0.000 description 1
- 229960002217 eugenol Drugs 0.000 description 1
- 238000011156 evaluation Methods 0.000 description 1
- 230000007717 exclusion Effects 0.000 description 1
- 108010000165 exo-1,3-alpha-glucanase Proteins 0.000 description 1
- 108010093305 exopolygalacturonase Proteins 0.000 description 1
- MDQRDWAGHRLBPA-UHFFFAOYSA-N fluoroamine Chemical class FN MDQRDWAGHRLBPA-UHFFFAOYSA-N 0.000 description 1
- 238000005187 foaming Methods 0.000 description 1
- 239000000989 food dye Substances 0.000 description 1
- 239000012634 fragment Substances 0.000 description 1
- 229960002737 fructose Drugs 0.000 description 1
- 239000000499 gel Substances 0.000 description 1
- 239000008273 gelatin Chemical class 0.000 description 1
- 229920000159 gelatin Chemical class 0.000 description 1
- 235000019322 gelatine Nutrition 0.000 description 1
- 235000011852 gelatine desserts Nutrition 0.000 description 1
- 208000024693 gingival disease Diseases 0.000 description 1
- 229960001031 glucose Drugs 0.000 description 1
- 235000010417 guar gum Nutrition 0.000 description 1
- 239000000665 guar gum Substances 0.000 description 1
- 229960002154 guar gum Drugs 0.000 description 1
- 235000019314 gum ghatti Nutrition 0.000 description 1
- KWLMIXQRALPRBC-UHFFFAOYSA-L hectorite Chemical compound [Li+].[OH-].[OH-].[Na+].[Mg+2].O1[Si]2([O-])O[Si]1([O-])O[Si]([O-])(O1)O[Si]1([O-])O2 KWLMIXQRALPRBC-UHFFFAOYSA-L 0.000 description 1
- 229910000271 hectorite Inorganic materials 0.000 description 1
- 239000003906 humectant Substances 0.000 description 1
- 235000019447 hydroxyethyl cellulose Nutrition 0.000 description 1
- 229920003063 hydroxymethyl cellulose Polymers 0.000 description 1
- 229940031574 hydroxymethyl cellulose Drugs 0.000 description 1
- 235000010977 hydroxypropyl cellulose Nutrition 0.000 description 1
- 239000001863 hydroxypropyl cellulose Substances 0.000 description 1
- 239000012535 impurity Substances 0.000 description 1
- 229910052500 inorganic mineral Inorganic materials 0.000 description 1
- 238000002955 isolation Methods 0.000 description 1
- 235000010494 karaya gum Nutrition 0.000 description 1
- 239000000231 karaya gum Substances 0.000 description 1
- 229940039371 karaya gum Drugs 0.000 description 1
- 150000002576 ketones Chemical class 0.000 description 1
- 239000000832 lactitol Substances 0.000 description 1
- 235000010448 lactitol Nutrition 0.000 description 1
- VQHSOMBJVWLPSR-JVCRWLNRSA-N lactitol Chemical compound OC[C@H](O)[C@@H](O)[C@@H]([C@H](O)CO)O[C@@H]1O[C@H](CO)[C@H](O)[C@H](O)[C@H]1O VQHSOMBJVWLPSR-JVCRWLNRSA-N 0.000 description 1
- 229960003451 lactitol Drugs 0.000 description 1
- 229940075468 lauramidopropyl betaine Drugs 0.000 description 1
- 229940071145 lauroyl sarcosinate Drugs 0.000 description 1
- 150000007517 lewis acids Chemical class 0.000 description 1
- 230000000670 limiting effect Effects 0.000 description 1
- 235000019421 lipase Nutrition 0.000 description 1
- 239000007937 lozenge Substances 0.000 description 1
- NEMFQSKAPLGFIP-UHFFFAOYSA-N magnesiosodium Chemical compound [Na].[Mg] NEMFQSKAPLGFIP-UHFFFAOYSA-N 0.000 description 1
- ZLNQQNXFFQJAID-UHFFFAOYSA-L magnesium carbonate Chemical compound [Mg+2].[O-]C([O-])=O ZLNQQNXFFQJAID-UHFFFAOYSA-L 0.000 description 1
- 239000001095 magnesium carbonate Substances 0.000 description 1
- 229910000021 magnesium carbonate Inorganic materials 0.000 description 1
- 239000000391 magnesium silicate Substances 0.000 description 1
- 229910052919 magnesium silicate Inorganic materials 0.000 description 1
- 235000019792 magnesium silicate Nutrition 0.000 description 1
- 239000000594 mannitol Substances 0.000 description 1
- 235000010355 mannitol Nutrition 0.000 description 1
- 229960001855 mannitol Drugs 0.000 description 1
- 229940041290 mannose Drugs 0.000 description 1
- 230000007246 mechanism Effects 0.000 description 1
- 239000001525 mentha piperita l. herb oil Substances 0.000 description 1
- 239000001683 mentha spicata herb oil Substances 0.000 description 1
- HEBKCHPVOIAQTA-UHFFFAOYSA-N meso ribitol Natural products OCC(O)C(O)C(O)CO HEBKCHPVOIAQTA-UHFFFAOYSA-N 0.000 description 1
- 229910052914 metal silicate Inorganic materials 0.000 description 1
- 229920000609 methyl cellulose Polymers 0.000 description 1
- 239000004292 methyl p-hydroxybenzoate Substances 0.000 description 1
- 235000010270 methyl p-hydroxybenzoate Nutrition 0.000 description 1
- 229960001047 methyl salicylate Drugs 0.000 description 1
- 235000010981 methylcellulose Nutrition 0.000 description 1
- 239000001923 methylcellulose Substances 0.000 description 1
- 229920003087 methylethyl cellulose Polymers 0.000 description 1
- 229960002216 methylparaben Drugs 0.000 description 1
- 238000001000 micrograph Methods 0.000 description 1
- 238000003801 milling Methods 0.000 description 1
- 235000010755 mineral Nutrition 0.000 description 1
- 239000011707 mineral Substances 0.000 description 1
- 239000002324 mouth wash Substances 0.000 description 1
- 229940051866 mouthwash Drugs 0.000 description 1
- 229940070782 myristoyl sarcosinate Drugs 0.000 description 1
- ARGKVCXINMKCAZ-UZRWAPQLSA-N neohesperidin Chemical compound C1=C(O)C(OC)=CC=C1[C@H]1OC2=CC(O[C@H]3[C@@H]([C@@H](O)[C@H](O)[C@@H](CO)O3)O[C@H]3[C@@H]([C@H](O)[C@@H](O)[C@H](C)O3)O)=CC(O)=C2C(=O)C1 ARGKVCXINMKCAZ-UZRWAPQLSA-N 0.000 description 1
- ARGKVCXINMKCAZ-UHFFFAOYSA-N neohesperidine Natural products C1=C(O)C(OC)=CC=C1C1OC2=CC(OC3C(C(O)C(O)C(CO)O3)OC3C(C(O)C(O)C(C)O3)O)=CC(O)=C2C(=O)C1 ARGKVCXINMKCAZ-UHFFFAOYSA-N 0.000 description 1
- 229910017604 nitric acid Inorganic materials 0.000 description 1
- 229910052757 nitrogen Inorganic materials 0.000 description 1
- 239000003605 opacifier Substances 0.000 description 1
- 239000007800 oxidant agent Substances 0.000 description 1
- 229940055729 papain Drugs 0.000 description 1
- 235000019834 papain Nutrition 0.000 description 1
- RUVINXPYWBROJD-UHFFFAOYSA-N para-methoxyphenyl Natural products COC1=CC=C(C=CC)C=C1 RUVINXPYWBROJD-UHFFFAOYSA-N 0.000 description 1
- 239000001814 pectin Chemical class 0.000 description 1
- 235000010987 pectin Nutrition 0.000 description 1
- 229920001277 pectin Chemical class 0.000 description 1
- 235000019477 peppermint oil Nutrition 0.000 description 1
- 230000000737 periodic effect Effects 0.000 description 1
- 208000028169 periodontal disease Diseases 0.000 description 1
- 239000010451 perlite Substances 0.000 description 1
- 235000019362 perlite Nutrition 0.000 description 1
- 150000002978 peroxides Chemical class 0.000 description 1
- 239000008017 pharmaceutical colorant Substances 0.000 description 1
- 238000005191 phase separation Methods 0.000 description 1
- JTJMJGYZQZDUJJ-UHFFFAOYSA-N phencyclidine Chemical class C1CCCCN1C1(C=2C=CC=CC=2)CCCCC1 JTJMJGYZQZDUJJ-UHFFFAOYSA-N 0.000 description 1
- 150000002989 phenols Chemical class 0.000 description 1
- 235000021317 phosphate Nutrition 0.000 description 1
- 150000003013 phosphoric acid derivatives Chemical class 0.000 description 1
- 239000000049 pigment Substances 0.000 description 1
- 238000005498 polishing Methods 0.000 description 1
- 238000003752 polymerase chain reaction Methods 0.000 description 1
- 235000010989 polyoxyethylene sorbitan monostearate Nutrition 0.000 description 1
- 239000001818 polyoxyethylene sorbitan monostearate Substances 0.000 description 1
- 238000002459 porosimetry Methods 0.000 description 1
- 239000011698 potassium fluoride Substances 0.000 description 1
- 235000003270 potassium fluoride Nutrition 0.000 description 1
- OQZCJRJRGMMSGK-UHFFFAOYSA-M potassium metaphosphate Chemical compound [K+].[O-]P(=O)=O OQZCJRJRGMMSGK-UHFFFAOYSA-M 0.000 description 1
- 229940099402 potassium metaphosphate Drugs 0.000 description 1
- 159000000001 potassium salts Chemical class 0.000 description 1
- 235000019353 potassium silicate Nutrition 0.000 description 1
- 239000012254 powdered material Substances 0.000 description 1
- 238000001556 precipitation Methods 0.000 description 1
- 238000011321 prophylaxis Methods 0.000 description 1
- 239000004405 propyl p-hydroxybenzoate Substances 0.000 description 1
- 235000010232 propyl p-hydroxybenzoate Nutrition 0.000 description 1
- 229960003415 propylparaben Drugs 0.000 description 1
- 235000019419 proteases Nutrition 0.000 description 1
- 102000004169 proteins and genes Human genes 0.000 description 1
- 108090000623 proteins and genes Proteins 0.000 description 1
- 238000010926 purge Methods 0.000 description 1
- 239000010453 quartz Substances 0.000 description 1
- 150000003856 quaternary ammonium compounds Chemical class 0.000 description 1
- 239000012066 reaction slurry Substances 0.000 description 1
- 230000003134 recirculating effect Effects 0.000 description 1
- 238000004064 recycling Methods 0.000 description 1
- 229920005989 resin Polymers 0.000 description 1
- 239000011347 resin Substances 0.000 description 1
- 238000012552 review Methods 0.000 description 1
- 229940081974 saccharin Drugs 0.000 description 1
- 235000019204 saccharin Nutrition 0.000 description 1
- 239000000901 saccharin and its Na,K and Ca salt Substances 0.000 description 1
- 229940084560 sanguinarine Drugs 0.000 description 1
- YZRQUTZNTDAYPJ-UHFFFAOYSA-N sanguinarine pseudobase Natural products C1=C2OCOC2=CC2=C3N(C)C(O)C4=C(OCO5)C5=CC=C4C3=CC=C21 YZRQUTZNTDAYPJ-UHFFFAOYSA-N 0.000 description 1
- 230000035945 sensitivity Effects 0.000 description 1
- 238000000926 separation method Methods 0.000 description 1
- 239000000741 silica gel Substances 0.000 description 1
- 229910002027 silica gel Inorganic materials 0.000 description 1
- 239000000661 sodium alginate Chemical class 0.000 description 1
- 235000010413 sodium alginate Nutrition 0.000 description 1
- 229940005550 sodium alginate Drugs 0.000 description 1
- 239000000429 sodium aluminium silicate Substances 0.000 description 1
- URGAHOPLAPQHLN-UHFFFAOYSA-N sodium aluminosilicate Chemical compound [Na+].[Al+3].[O-][Si]([O-])=O.[O-][Si]([O-])=O URGAHOPLAPQHLN-UHFFFAOYSA-N 0.000 description 1
- WXMKPNITSTVMEF-UHFFFAOYSA-M sodium benzoate Chemical compound [Na+].[O-]C(=O)C1=CC=CC=C1 WXMKPNITSTVMEF-UHFFFAOYSA-M 0.000 description 1
- 239000004299 sodium benzoate Substances 0.000 description 1
- 235000010234 sodium benzoate Nutrition 0.000 description 1
- 229960003885 sodium benzoate Drugs 0.000 description 1
- 229940080264 sodium dodecylbenzenesulfonate Drugs 0.000 description 1
- 229940075560 sodium lauryl sulfoacetate Drugs 0.000 description 1
- AQMNWCRSESPIJM-UHFFFAOYSA-M sodium metaphosphate Chemical compound [Na+].[O-]P(=O)=O AQMNWCRSESPIJM-UHFFFAOYSA-M 0.000 description 1
- 229960004711 sodium monofluorophosphate Drugs 0.000 description 1
- 235000019351 sodium silicates Nutrition 0.000 description 1
- 235000019832 sodium triphosphate Nutrition 0.000 description 1
- UAJTZZNRJCKXJN-UHFFFAOYSA-M sodium;2-dodecoxy-2-oxoethanesulfonate Chemical compound [Na+].CCCCCCCCCCCCOC(=O)CS([O-])(=O)=O UAJTZZNRJCKXJN-UHFFFAOYSA-M 0.000 description 1
- 229940057429 sorbitan isostearate Drugs 0.000 description 1
- 229950006451 sorbitan laurate Drugs 0.000 description 1
- 229960002920 sorbitol Drugs 0.000 description 1
- 235000019721 spearmint oil Nutrition 0.000 description 1
- 239000012798 spherical particle Substances 0.000 description 1
- 239000007921 spray Substances 0.000 description 1
- 230000006641 stabilisation Effects 0.000 description 1
- 238000011105 stabilization Methods 0.000 description 1
- 239000003381 stabilizer Substances 0.000 description 1
- 238000010561 standard procedure Methods 0.000 description 1
- 239000007858 starting material Substances 0.000 description 1
- 239000005720 sucrose Substances 0.000 description 1
- 229960004793 sucrose Drugs 0.000 description 1
- 239000001117 sulphuric acid Substances 0.000 description 1
- 235000011149 sulphuric acid Nutrition 0.000 description 1
- 239000006228 supernatant Substances 0.000 description 1
- 108010038851 tannase Proteins 0.000 description 1
- 238000010998 test method Methods 0.000 description 1
- 239000000892 thaumatin Substances 0.000 description 1
- 235000010436 thaumatin Nutrition 0.000 description 1
- 229920001187 thermosetting polymer Polymers 0.000 description 1
- 229960005196 titanium dioxide Drugs 0.000 description 1
- 235000010215 titanium dioxide Nutrition 0.000 description 1
- 229960003500 triclosan Drugs 0.000 description 1
- HRXKRNGNAMMEHJ-UHFFFAOYSA-K trisodium citrate Chemical compound [Na+].[Na+].[Na+].[O-]C(=O)CC(O)(CC([O-])=O)C([O-])=O HRXKRNGNAMMEHJ-UHFFFAOYSA-K 0.000 description 1
- WGIWBXUNRXCYRA-UHFFFAOYSA-H trizinc;2-hydroxypropane-1,2,3-tricarboxylate Chemical compound [Zn+2].[Zn+2].[Zn+2].[O-]C(=O)CC(O)(CC([O-])=O)C([O-])=O.[O-]C(=O)CC(O)(CC([O-])=O)C([O-])=O WGIWBXUNRXCYRA-UHFFFAOYSA-H 0.000 description 1
- 235000013343 vitamin Nutrition 0.000 description 1
- 239000011782 vitamin Substances 0.000 description 1
- 229940088594 vitamin Drugs 0.000 description 1
- 229930003231 vitamin Natural products 0.000 description 1
- 239000000341 volatile oil Substances 0.000 description 1
- 238000009736 wetting Methods 0.000 description 1
- 229920001285 xanthan gum Polymers 0.000 description 1
- 235000010493 xanthan gum Nutrition 0.000 description 1
- 239000000230 xanthan gum Substances 0.000 description 1
- 229940082509 xanthan gum Drugs 0.000 description 1
- 239000000811 xylitol Substances 0.000 description 1
- 235000010447 xylitol Nutrition 0.000 description 1
- 229960002675 xylitol Drugs 0.000 description 1
- HEBKCHPVOIAQTA-SCDXWVJYSA-N xylitol Chemical compound OC[C@H](O)[C@@H](O)[C@H](O)CO HEBKCHPVOIAQTA-SCDXWVJYSA-N 0.000 description 1
- 239000011592 zinc chloride Substances 0.000 description 1
- 235000005074 zinc chloride Nutrition 0.000 description 1
- 239000011746 zinc citrate Substances 0.000 description 1
- 235000006076 zinc citrate Nutrition 0.000 description 1
- 229940068475 zinc citrate Drugs 0.000 description 1
- UHVMMEOXYDMDKI-JKYCWFKZSA-L zinc;1-(5-cyanopyridin-2-yl)-3-[(1s,2s)-2-(6-fluoro-2-hydroxy-3-propanoylphenyl)cyclopropyl]urea;diacetate Chemical class [Zn+2].CC([O-])=O.CC([O-])=O.CCC(=O)C1=CC=C(F)C([C@H]2[C@H](C2)NC(=O)NC=2N=CC(=CC=2)C#N)=C1O UHVMMEOXYDMDKI-JKYCWFKZSA-L 0.000 description 1
- GFQYVLUOOAAOGM-UHFFFAOYSA-N zirconium(iv) silicate Chemical compound [Zr+4].[O-][Si]([O-])([O-])[O-] GFQYVLUOOAAOGM-UHFFFAOYSA-N 0.000 description 1
Images
Classifications
-
- C—CHEMISTRY; METALLURGY
- C01—INORGANIC CHEMISTRY
- C01B—NON-METALLIC ELEMENTS; COMPOUNDS THEREOF; METALLOIDS OR COMPOUNDS THEREOF NOT COVERED BY SUBCLASS C01C
- C01B33/00—Silicon; Compounds thereof
- C01B33/113—Silicon oxides; Hydrates thereof
- C01B33/12—Silica; Hydrates thereof, e.g. lepidoic silicic acid
- C01B33/126—Preparation of silica of undetermined type
- C01B33/128—Preparation of silica of undetermined type by acidic treatment of aqueous silicate solutions
-
- A—HUMAN NECESSITIES
- A61—MEDICAL OR VETERINARY SCIENCE; HYGIENE
- A61K—PREPARATIONS FOR MEDICAL, DENTAL OR TOILETRY PURPOSES
- A61K6/00—Preparations for dentistry
- A61K6/70—Preparations for dentistry comprising inorganic additives
-
- A—HUMAN NECESSITIES
- A61—MEDICAL OR VETERINARY SCIENCE; HYGIENE
- A61K—PREPARATIONS FOR MEDICAL, DENTAL OR TOILETRY PURPOSES
- A61K8/00—Cosmetics or similar toiletry preparations
- A61K8/18—Cosmetics or similar toiletry preparations characterised by the composition
- A61K8/19—Cosmetics or similar toiletry preparations characterised by the composition containing inorganic ingredients
- A61K8/25—Silicon; Compounds thereof
-
- A—HUMAN NECESSITIES
- A61—MEDICAL OR VETERINARY SCIENCE; HYGIENE
- A61Q—SPECIFIC USE OF COSMETICS OR SIMILAR TOILETRY PREPARATIONS
- A61Q11/00—Preparations for care of the teeth, of the oral cavity or of dentures; Dentifrices, e.g. toothpastes; Mouth rinses
-
- B—PERFORMING OPERATIONS; TRANSPORTING
- B01—PHYSICAL OR CHEMICAL PROCESSES OR APPARATUS IN GENERAL
- B01J—CHEMICAL OR PHYSICAL PROCESSES, e.g. CATALYSIS OR COLLOID CHEMISTRY; THEIR RELEVANT APPARATUS
- B01J20/00—Solid sorbent compositions or filter aid compositions; Sorbents for chromatography; Processes for preparing, regenerating or reactivating thereof
- B01J20/28—Solid sorbent compositions or filter aid compositions; Sorbents for chromatography; Processes for preparing, regenerating or reactivating thereof characterised by their form or physical properties
- B01J20/28002—Solid sorbent compositions or filter aid compositions; Sorbents for chromatography; Processes for preparing, regenerating or reactivating thereof characterised by their form or physical properties characterised by their physical properties
- B01J20/28004—Sorbent size or size distribution, e.g. particle size
-
- B—PERFORMING OPERATIONS; TRANSPORTING
- B01—PHYSICAL OR CHEMICAL PROCESSES OR APPARATUS IN GENERAL
- B01J—CHEMICAL OR PHYSICAL PROCESSES, e.g. CATALYSIS OR COLLOID CHEMISTRY; THEIR RELEVANT APPARATUS
- B01J20/00—Solid sorbent compositions or filter aid compositions; Sorbents for chromatography; Processes for preparing, regenerating or reactivating thereof
- B01J20/28—Solid sorbent compositions or filter aid compositions; Sorbents for chromatography; Processes for preparing, regenerating or reactivating thereof characterised by their form or physical properties
- B01J20/28054—Solid sorbent compositions or filter aid compositions; Sorbents for chromatography; Processes for preparing, regenerating or reactivating thereof characterised by their form or physical properties characterised by their surface properties or porosity
- B01J20/28057—Surface area, e.g. B.E.T specific surface area
- B01J20/28059—Surface area, e.g. B.E.T specific surface area being less than 100 m2/g
-
- B—PERFORMING OPERATIONS; TRANSPORTING
- B01—PHYSICAL OR CHEMICAL PROCESSES OR APPARATUS IN GENERAL
- B01J—CHEMICAL OR PHYSICAL PROCESSES, e.g. CATALYSIS OR COLLOID CHEMISTRY; THEIR RELEVANT APPARATUS
- B01J20/00—Solid sorbent compositions or filter aid compositions; Sorbents for chromatography; Processes for preparing, regenerating or reactivating thereof
- B01J20/28—Solid sorbent compositions or filter aid compositions; Sorbents for chromatography; Processes for preparing, regenerating or reactivating thereof characterised by their form or physical properties
- B01J20/28054—Solid sorbent compositions or filter aid compositions; Sorbents for chromatography; Processes for preparing, regenerating or reactivating thereof characterised by their form or physical properties characterised by their surface properties or porosity
- B01J20/28057—Surface area, e.g. B.E.T specific surface area
- B01J20/28061—Surface area, e.g. B.E.T specific surface area being in the range 100-500 m2/g
-
- C—CHEMISTRY; METALLURGY
- C01—INORGANIC CHEMISTRY
- C01B—NON-METALLIC ELEMENTS; COMPOUNDS THEREOF; METALLOIDS OR COMPOUNDS THEREOF NOT COVERED BY SUBCLASS C01C
- C01B33/00—Silicon; Compounds thereof
- C01B33/113—Silicon oxides; Hydrates thereof
- C01B33/12—Silica; Hydrates thereof, e.g. lepidoic silicic acid
- C01B33/18—Preparation of finely divided silica neither in sol nor in gel form; After-treatment thereof
-
- C—CHEMISTRY; METALLURGY
- C01—INORGANIC CHEMISTRY
- C01B—NON-METALLIC ELEMENTS; COMPOUNDS THEREOF; METALLOIDS OR COMPOUNDS THEREOF NOT COVERED BY SUBCLASS C01C
- C01B33/00—Silicon; Compounds thereof
- C01B33/113—Silicon oxides; Hydrates thereof
- C01B33/12—Silica; Hydrates thereof, e.g. lepidoic silicic acid
- C01B33/18—Preparation of finely divided silica neither in sol nor in gel form; After-treatment thereof
- C01B33/187—Preparation of finely divided silica neither in sol nor in gel form; After-treatment thereof by acidic treatment of silicates
- C01B33/193—Preparation of finely divided silica neither in sol nor in gel form; After-treatment thereof by acidic treatment of silicates of aqueous solutions of silicates
-
- A—HUMAN NECESSITIES
- A61—MEDICAL OR VETERINARY SCIENCE; HYGIENE
- A61K—PREPARATIONS FOR MEDICAL, DENTAL OR TOILETRY PURPOSES
- A61K2800/00—Properties of cosmetic compositions or active ingredients thereof or formulation aids used therein and process related aspects
- A61K2800/40—Chemical, physico-chemical or functional or structural properties of particular ingredients
- A61K2800/41—Particular ingredients further characterized by their size
- A61K2800/412—Microsized, i.e. having sizes between 0.1 and 100 microns
-
- A—HUMAN NECESSITIES
- A61—MEDICAL OR VETERINARY SCIENCE; HYGIENE
- A61K—PREPARATIONS FOR MEDICAL, DENTAL OR TOILETRY PURPOSES
- A61K9/00—Medicinal preparations characterised by special physical form
- A61K9/14—Particulate form, e.g. powders, Processes for size reducing of pure drugs or the resulting products, Pure drug nanoparticles
- A61K9/16—Agglomerates; Granulates; Microbeadlets ; Microspheres; Pellets; Solid products obtained by spray drying, spray freeze drying, spray congealing,(multiple) emulsion solvent evaporation or extraction
- A61K9/1605—Excipients; Inactive ingredients
- A61K9/1611—Inorganic compounds
-
- C—CHEMISTRY; METALLURGY
- C01—INORGANIC CHEMISTRY
- C01B—NON-METALLIC ELEMENTS; COMPOUNDS THEREOF; METALLOIDS OR COMPOUNDS THEREOF NOT COVERED BY SUBCLASS C01C
- C01B33/00—Silicon; Compounds thereof
- C01B33/113—Silicon oxides; Hydrates thereof
- C01B33/12—Silica; Hydrates thereof, e.g. lepidoic silicic acid
- C01B33/18—Preparation of finely divided silica neither in sol nor in gel form; After-treatment thereof
- C01B33/187—Preparation of finely divided silica neither in sol nor in gel form; After-treatment thereof by acidic treatment of silicates
-
- C—CHEMISTRY; METALLURGY
- C01—INORGANIC CHEMISTRY
- C01P—INDEXING SCHEME RELATING TO STRUCTURAL AND PHYSICAL ASPECTS OF SOLID INORGANIC COMPOUNDS
- C01P2004/00—Particle morphology
- C01P2004/01—Particle morphology depicted by an image
- C01P2004/03—Particle morphology depicted by an image obtained by SEM
-
- C—CHEMISTRY; METALLURGY
- C01—INORGANIC CHEMISTRY
- C01P—INDEXING SCHEME RELATING TO STRUCTURAL AND PHYSICAL ASPECTS OF SOLID INORGANIC COMPOUNDS
- C01P2004/00—Particle morphology
- C01P2004/30—Particle morphology extending in three dimensions
-
- C—CHEMISTRY; METALLURGY
- C01—INORGANIC CHEMISTRY
- C01P—INDEXING SCHEME RELATING TO STRUCTURAL AND PHYSICAL ASPECTS OF SOLID INORGANIC COMPOUNDS
- C01P2004/00—Particle morphology
- C01P2004/30—Particle morphology extending in three dimensions
- C01P2004/32—Spheres
-
- C—CHEMISTRY; METALLURGY
- C01—INORGANIC CHEMISTRY
- C01P—INDEXING SCHEME RELATING TO STRUCTURAL AND PHYSICAL ASPECTS OF SOLID INORGANIC COMPOUNDS
- C01P2004/00—Particle morphology
- C01P2004/51—Particles with a specific particle size distribution
-
- C—CHEMISTRY; METALLURGY
- C01—INORGANIC CHEMISTRY
- C01P—INDEXING SCHEME RELATING TO STRUCTURAL AND PHYSICAL ASPECTS OF SOLID INORGANIC COMPOUNDS
- C01P2004/00—Particle morphology
- C01P2004/60—Particles characterised by their size
- C01P2004/61—Micrometer sized, i.e. from 1-100 micrometer
-
- C—CHEMISTRY; METALLURGY
- C01—INORGANIC CHEMISTRY
- C01P—INDEXING SCHEME RELATING TO STRUCTURAL AND PHYSICAL ASPECTS OF SOLID INORGANIC COMPOUNDS
- C01P2006/00—Physical properties of inorganic compounds
- C01P2006/12—Surface area
-
- C—CHEMISTRY; METALLURGY
- C01—INORGANIC CHEMISTRY
- C01P—INDEXING SCHEME RELATING TO STRUCTURAL AND PHYSICAL ASPECTS OF SOLID INORGANIC COMPOUNDS
- C01P2006/00—Physical properties of inorganic compounds
- C01P2006/19—Oil-absorption capacity, e.g. DBP values
-
- C—CHEMISTRY; METALLURGY
- C01—INORGANIC CHEMISTRY
- C01P—INDEXING SCHEME RELATING TO STRUCTURAL AND PHYSICAL ASPECTS OF SOLID INORGANIC COMPOUNDS
- C01P2006/00—Physical properties of inorganic compounds
- C01P2006/21—Attrition-index or crushing strength of granulates
-
- Y—GENERAL TAGGING OF NEW TECHNOLOGICAL DEVELOPMENTS; GENERAL TAGGING OF CROSS-SECTIONAL TECHNOLOGIES SPANNING OVER SEVERAL SECTIONS OF THE IPC; TECHNICAL SUBJECTS COVERED BY FORMER USPC CROSS-REFERENCE ART COLLECTIONS [XRACs] AND DIGESTS
- Y10—TECHNICAL SUBJECTS COVERED BY FORMER USPC
- Y10T—TECHNICAL SUBJECTS COVERED BY FORMER US CLASSIFICATION
- Y10T428/00—Stock material or miscellaneous articles
- Y10T428/29—Coated or structually defined flake, particle, cell, strand, strand portion, rod, filament, macroscopic fiber or mass thereof
- Y10T428/2982—Particulate matter [e.g., sphere, flake, etc.]
Landscapes
- Chemical & Material Sciences (AREA)
- Health & Medical Sciences (AREA)
- Organic Chemistry (AREA)
- Life Sciences & Earth Sciences (AREA)
- Inorganic Chemistry (AREA)
- Veterinary Medicine (AREA)
- Animal Behavior & Ethology (AREA)
- General Health & Medical Sciences (AREA)
- Public Health (AREA)
- Chemical Kinetics & Catalysis (AREA)
- Analytical Chemistry (AREA)
- Oral & Maxillofacial Surgery (AREA)
- Epidemiology (AREA)
- Birds (AREA)
- Silicon Compounds (AREA)
- Cosmetics (AREA)
- Compounds Of Alkaline-Earth Elements, Aluminum Or Rare-Earth Metals (AREA)
- Silicon Polymers (AREA)
Applications Claiming Priority (3)
| Application Number | Priority Date | Filing Date | Title |
|---|---|---|---|
| US12/711,321 | 2010-02-24 | ||
| US12/711,321 US8609068B2 (en) | 2010-02-24 | 2010-02-24 | Continuous silica production process and silica product prepared from same |
| PCT/US2011/025626 WO2011106289A2 (en) | 2010-02-24 | 2011-02-21 | Continuous silica production process and silica product prepared from same |
Related Child Applications (2)
| Application Number | Title | Priority Date | Filing Date |
|---|---|---|---|
| RU2014144152A Division RU2673449C9 (ru) | 2010-02-24 | 2011-02-21 | Непрерывный способ получения диоксида кремния и продукт диоксида кремния, полученный этим способом |
| RU2014144151/05A Division RU2591242C2 (ru) | 2010-02-24 | 2014-11-05 | Непрерывный способ получения диоксида кремния |
Publications (2)
| Publication Number | Publication Date |
|---|---|
| RU2012132276A RU2012132276A (ru) | 2014-03-27 |
| RU2539136C2 true RU2539136C2 (ru) | 2015-01-10 |
Family
ID=44209705
Family Applications (3)
| Application Number | Title | Priority Date | Filing Date |
|---|---|---|---|
| RU2014144152A RU2673449C9 (ru) | 2010-02-24 | 2011-02-21 | Непрерывный способ получения диоксида кремния и продукт диоксида кремния, полученный этим способом |
| RU2012132276/15A RU2539136C2 (ru) | 2010-02-24 | 2011-02-21 | Непрерывный способ получения диоксида кремния и продукт диоксида кремния, полученный этим способом |
| RU2014144151/05A RU2591242C2 (ru) | 2010-02-24 | 2014-11-05 | Непрерывный способ получения диоксида кремния |
Family Applications Before (1)
| Application Number | Title | Priority Date | Filing Date |
|---|---|---|---|
| RU2014144152A RU2673449C9 (ru) | 2010-02-24 | 2011-02-21 | Непрерывный способ получения диоксида кремния и продукт диоксида кремния, полученный этим способом |
Family Applications After (1)
| Application Number | Title | Priority Date | Filing Date |
|---|---|---|---|
| RU2014144151/05A RU2591242C2 (ru) | 2010-02-24 | 2014-11-05 | Непрерывный способ получения диоксида кремния |
Country Status (20)
| Country | Link |
|---|---|
| US (4) | US8609068B2 (enExample) |
| EP (3) | EP2538915B1 (enExample) |
| JP (2) | JP5905401B2 (enExample) |
| KR (4) | KR101652771B1 (enExample) |
| CN (3) | CN102753137B (enExample) |
| AR (3) | AR080655A1 (enExample) |
| AU (1) | AU2011221218B2 (enExample) |
| BR (3) | BR112012021263B1 (enExample) |
| DE (1) | DE11718532T1 (enExample) |
| ES (3) | ES2748576T3 (enExample) |
| HU (2) | HUE047179T2 (enExample) |
| MX (3) | MX348190B (enExample) |
| MY (1) | MY158259A (enExample) |
| PH (3) | PH12017500235B1 (enExample) |
| PL (3) | PL2538915T3 (enExample) |
| PT (2) | PT3210592T (enExample) |
| RU (3) | RU2673449C9 (enExample) |
| TR (1) | TR201902549T4 (enExample) |
| TW (3) | TWI443066B (enExample) |
| WO (1) | WO2011106289A2 (enExample) |
Cited By (2)
| Publication number | Priority date | Publication date | Assignee | Title |
|---|---|---|---|---|
| RU2720206C1 (ru) * | 2016-11-18 | 2020-04-27 | ПиПиДжи ИНДАСТРИЗ ОГАЙО, ИНК. | Сферические частицы на основе кремнезема и способы их получения |
| RU2788169C2 (ru) * | 2017-08-28 | 2023-01-17 | Эвоник Оперейшнс Гмбх | Сферический диоксид кремния, предназначенный для окклюзии канальцев |
Families Citing this family (44)
| Publication number | Priority date | Publication date | Assignee | Title |
|---|---|---|---|---|
| US8609068B2 (en) * | 2010-02-24 | 2013-12-17 | J.M. Huber Corporation | Continuous silica production process and silica product prepared from same |
| US8642529B2 (en) * | 2010-11-15 | 2014-02-04 | Conopco, Inc. | Liquid low surfactant compositions structured with a fibrous polymer |
| US9028605B2 (en) * | 2011-02-25 | 2015-05-12 | J.M. Huber Corporation | Coating compositions comprising spheroid silica or silicate |
| US9724277B2 (en) * | 2011-04-04 | 2017-08-08 | Robert L. Karlinsey | Microbeads for dental use |
| DE102012202587A1 (de) * | 2012-02-21 | 2013-08-22 | Evonik Degussa Gmbh | Verfahren zur Herstellung von hochreinem SiO2 |
| JP5968126B2 (ja) * | 2012-07-04 | 2016-08-10 | 太平洋セメント株式会社 | 非晶質シリカの製造方法 |
| US9186307B2 (en) * | 2012-11-19 | 2015-11-17 | J.M. Huber Corporation | Treated silicas and metal silicates for improved cleaning in dentifrice |
| US11400032B2 (en) | 2013-12-20 | 2022-08-02 | Colgate-Palmolive Company | Tooth whitening oral care product with core shell silica particles |
| MX367806B (es) | 2013-12-20 | 2019-09-06 | Colgate Palmolive Co | Partículas de sílice de núcleo-cubierta y uso para reducción del mal olor. |
| DE102014204053A1 (de) * | 2014-03-05 | 2015-09-10 | Beiersdorf Ag | Abrasive Hautreinigungsmittel II |
| PH12017501984B1 (en) | 2015-05-08 | 2023-09-20 | Evonik Operations Gmbh | Color-bleed resistant silica and silicate pigments and methods of making same |
| KR102709609B1 (ko) * | 2015-09-28 | 2024-09-26 | 에보니크 오퍼레이션즈 게엠베하 | 실리카계 항균성 경구용 조성물 |
| WO2017055977A1 (en) | 2015-09-30 | 2017-04-06 | Umicore | Precursors for lithium transition metal oxide cathode materials for rechargeable batteries |
| EP3374079B1 (en) * | 2015-11-10 | 2025-03-12 | Imertech Sas | High absorption minerals |
| US11242260B2 (en) * | 2015-12-23 | 2022-02-08 | Tata Chemicals Limited | Process for preparing precipitated silica |
| ES2708704T3 (es) | 2016-05-16 | 2022-10-20 | Martinswerk Gmbh | Productos de alúmina y uso de los mismos en composiciones poliméricas con alta conductividad térmica |
| JP6918825B2 (ja) * | 2016-07-27 | 2021-08-11 | ワッカー ケミー アクチエンゲゼルシャフトWacker Chemie AG | 改質沈降シリカの製造方法および改質沈降シリカを含有する組成物 |
| PT3554460T (pt) | 2016-12-19 | 2025-09-11 | Evonik Operations Gmbh | Composições dentífricas contendo partículas de sílica compatíveis com estanho |
| WO2018114280A1 (en) * | 2016-12-19 | 2018-06-28 | Evonik Degussa Gmbh | Stannous compatible silica |
| US20230157277A1 (en) * | 2017-03-17 | 2023-05-25 | The Hong Kong University Of Science And Technology | Antimicrobial coating material for surface coating |
| EP3675963A1 (en) * | 2017-08-28 | 2020-07-08 | Evonik Operations GmbH | Spherical silica for tubule occlusion |
| US11285088B2 (en) * | 2017-08-29 | 2022-03-29 | Evonik Operations Gmbh | Spherical silica particle size for RDA control |
| CN108046278B (zh) * | 2018-01-23 | 2020-12-08 | 合肥星巢环保科技有限公司 | 一种管式连续流法制备高比表面积二氧化硅的方法 |
| KR102567067B1 (ko) * | 2018-04-30 | 2023-08-11 | 주식회사 엘지화학 | 우수한 분산성을 갖는 알루미노실리케이트 나노입자의 제조 방법, 상기 알루미노실리케이트 나노입자를 포함한 고무 보강재 및 이를 포함한 타이어용 고무 조성물 |
| EP3807217B1 (en) | 2018-06-12 | 2023-08-16 | Evonik Operations GmbH | Spherical stannous compatible silica particles for reduced rda |
| AU2019287467B2 (en) * | 2018-06-12 | 2022-02-03 | The Procter & Gamble Company | Dentifrice formulations having spherical stannous compatible silica particles for reduced RDA |
| CN109319794A (zh) * | 2018-11-20 | 2019-02-12 | 福建省三明同晟化工有限公司 | 一种连续法制备沉淀二氧化硅的方法 |
| EP3883532B1 (de) * | 2018-11-23 | 2022-08-24 | BLBR GmbH | Aufschäumbare zahnpflegezusammensetzung, system bestehend aus der zahnpflegezusammensetzung und einem spender sowie verwendung der zahnpflegezusammensetzung in einem verfahren zum gleichzeitigen reinigen mehrerer, vorzugsweise aller zähne |
| EP3659968A1 (en) * | 2018-11-29 | 2020-06-03 | ImerTech | Mineral composition |
| EP3890687A2 (en) | 2018-12-04 | 2021-10-13 | The Procter & Gamble Company | Oral care compositions with improved tin compatability |
| CN109850911B (zh) * | 2019-04-08 | 2023-11-28 | 原初科技(北京)有限公司 | 一种利用氯化氢气体浸取硅酸盐矿制备超细二氧化硅的系统及方法 |
| JP7620553B2 (ja) * | 2019-07-30 | 2025-01-23 | 株式会社クラレ | 樹脂粉体及びその製造方法 |
| CN110606492B (zh) * | 2019-10-29 | 2022-07-12 | 朱志宏 | 一种连续合成白炭黑及氟化钠的方法 |
| WO2021093961A1 (de) | 2019-11-14 | 2021-05-20 | Wacker Chemie Ag | Modifizierte fällungskieselsäure mit reduziertem feuchteanteil |
| CN111392739B (zh) * | 2020-03-27 | 2020-12-01 | 广州市飞雪材料科技有限公司 | 一种高分散性增稠型二氧化硅的制备方法及应用 |
| CN112174147B (zh) * | 2020-09-30 | 2023-12-22 | 南京工业大学 | 一种管式连续流法制备球形纳米二氧化硅的方法 |
| JP2023545636A (ja) | 2020-10-02 | 2023-10-31 | エボニック オペレーションズ ゲーエムベーハー | 粉体コーティングにおける艶消し剤としての球状低表面積沈降シリカ |
| CA3138558C (en) | 2020-11-16 | 2024-01-30 | Church & Dwight Co., Inc. | Teeth cleaning composition comprising banana extract |
| WO2022171507A1 (en) | 2021-02-11 | 2022-08-18 | Evonik Operations Gmbh | Amorphous non-porous silicas |
| US20250059054A1 (en) * | 2021-12-20 | 2025-02-20 | Evonik Operations Gmbh | Precipitated silica and methods thereof |
| EP4532413A1 (en) | 2022-05-27 | 2025-04-09 | Evonik Operations GmbH | Spherical calcium silicate |
| WO2023245069A2 (en) * | 2022-06-14 | 2023-12-21 | Aquestive Therapeutics, Inc. | Enhanced delivery epinephrine and prodrug compositions |
| AR133668A1 (es) | 2023-10-16 | 2025-10-22 | Evonik Operations Gmbh | Esferoides de hidróxido de aluminio precipitado y procedimiento de producción de los mismos |
| JP7756756B1 (ja) * | 2024-06-03 | 2025-10-20 | 東ソー・シリカ株式会社 | 沈澱法シリカおよびそれを含む組成物ならびに沈澱法シリカの製造方法 |
Citations (3)
| Publication number | Priority date | Publication date | Assignee | Title |
|---|---|---|---|---|
| RU2242965C2 (ru) * | 2000-05-09 | 2004-12-27 | Колгейт-Палмолив Компани | Композиция средства для чистки зубов |
| US20060137575A1 (en) * | 2002-08-03 | 2006-06-29 | Degussa Ag | Highly dispersible precipitated silica with a high surface area |
| WO2009072218A1 (ja) * | 2007-12-07 | 2009-06-11 | Catalysts & Chemicals Industries Co., Ltd. | 表面平滑性を備えた多孔質シリカ系粒子、その製造方法および該多孔質シリカ系粒子を配合してなる化粧料 |
Family Cites Families (86)
| Publication number | Priority date | Publication date | Assignee | Title |
|---|---|---|---|---|
| US2727876A (en) | 1952-03-06 | 1955-12-20 | Du Pont | Composition and process |
| US3386810A (en) * | 1961-10-03 | 1968-06-04 | Burke | Apparatus for the production of silica pigments |
| US3324093A (en) * | 1963-10-21 | 1967-06-06 | Phillips Petroleum Co | Loop reactor |
| US4001379A (en) * | 1968-04-27 | 1977-01-04 | Deutsche Gold- Und Silber-Scheideanstalt Vormals Roessler | Process of making superfine amorphous high structural silicic acid |
| US4122160A (en) * | 1974-10-31 | 1978-10-24 | J. M. Huber Corporation | Toothpaste compositions containing improved amorphous precipitated silicas |
| US3987096A (en) * | 1975-01-20 | 1976-10-19 | E. I. Du Pont De Nemours And Company | Process for chlorination of acetaldoxime |
| GB1561189A (en) * | 1976-12-24 | 1980-02-13 | Yokohama Rubber Co Ltd | Pressure responsive electrically conductive elastomeric composition |
| US4421527A (en) | 1977-12-20 | 1983-12-20 | J. M. Huber Corporation | High fluoride compatibility dentifrice abrasives and compositions |
| US4420312A (en) | 1979-05-23 | 1983-12-13 | J. M. Huber Corporation | Method for production of high fluoride compatibility dentifrice abrasives and compositions |
| US4340583A (en) | 1979-05-23 | 1982-07-20 | J. M. Huber Corporation | High fluoride compatibility dentifrice abrasives and compositions |
| DE3370469D1 (en) * | 1982-11-16 | 1987-04-30 | Hoechst Ag | Aluminium silicates with a zeolite structure and process for their preparation |
| DE3347476A1 (de) * | 1982-12-29 | 1984-07-05 | Lion Corp., Tokio / Tokyo | Zahnpflegemittel und dafuer geeignetes schleifmittel |
| JPS60105609A (ja) | 1983-03-04 | 1985-06-11 | Taki Chem Co Ltd | 歯磨用シリカ基剤及びその製造方法 |
| FR2567504B1 (fr) * | 1984-07-11 | 1989-12-29 | Rhone Poulenc Chim Base | Colloides de silice et silices spheriques et procedes pour leur obtiention |
| FR2567505B1 (fr) * | 1984-07-11 | 1986-11-21 | Rhone Poulenc Chim Base | Silice a prise d'huile elevee et a structure primaire controlee et procede pour son obtention |
| JPS61220182A (ja) * | 1985-03-26 | 1986-09-30 | Nitto Electric Ind Co Ltd | カセツトテ−プ用テ−プガイド |
| JPS6287507A (ja) * | 1985-10-11 | 1987-04-22 | Fuji Debuison Kagaku Kk | 歯磨剤 |
| US4874549A (en) * | 1985-12-13 | 1989-10-17 | Advanced Micro-Matrix, Inc. | Pressure sensitive electro-conductive materials |
| GB8604985D0 (en) * | 1986-02-28 | 1986-04-09 | Unilever Plc | Precipitated silicas |
| JPS62252312A (ja) * | 1986-04-25 | 1987-11-04 | Nippon Chem Ind Co Ltd:The | 含水珪酸の製造方法 |
| US4767433A (en) | 1986-05-22 | 1988-08-30 | Asahi Glass Company Ltd. | Spherical silica glass powder particles and process for their production |
| EP0255716B1 (en) * | 1986-08-04 | 1996-11-06 | Dainippon Ink And Chemicals, Inc. | Process of producing toners for developing electrostatic images and the said toners |
| JP2742693B2 (ja) * | 1988-09-22 | 1998-04-22 | コニカ株式会社 | 磁性トナー |
| US5030286A (en) | 1988-09-22 | 1991-07-09 | Ppg Industries, Inc. | High solids aqueous silica slurry |
| ATE159232T1 (de) * | 1990-08-06 | 1997-11-15 | Crosfield Joseph & Sons | Kieselsäuren |
| FR2678259B1 (fr) * | 1991-06-26 | 1993-11-05 | Rhone Poulenc Chimie | Nouvelles silices precipitees sous forme de granules ou de poudres, procedes de synthese et utilisation au renforcement des elastomeres. |
| KR960010781B1 (ko) | 1991-10-02 | 1996-08-08 | 유니레버 엔브이 | 실리카 |
| US5279807A (en) * | 1992-05-26 | 1994-01-18 | E. I. Du Pont De Nemours And Company | Method for preparing low-concentration polysilicate microgels |
| IL104722A (en) | 1993-02-02 | 1998-04-05 | Rotem Fertilizers Ltd | Process for the manufacture of pure silica from rock containing it |
| JPH06239722A (ja) * | 1993-02-15 | 1994-08-30 | Johnson & Johnson Kk | 歯みがき組成物 |
| US5691095A (en) * | 1994-12-09 | 1997-11-25 | Dainippon Ink And Chemicals, Inc. | Toner for developing electrostatic latent image and process for producing the same |
| US5658553A (en) | 1995-05-02 | 1997-08-19 | The Procter & Gamble Company | Dentifrice compositions |
| US5651958A (en) | 1995-05-02 | 1997-07-29 | The Procter & Gamble Company | Dentifrice compositions |
| US5676932A (en) * | 1995-05-02 | 1997-10-14 | J.M. Huber Corporation | Silica abrasive compositions |
| DE19524182A1 (de) * | 1995-07-03 | 1997-01-09 | Basf Ag | Verfahren und Vorrichtung zur kontinuierlichen Herstellung von Polymeren |
| US5891421A (en) * | 1996-03-22 | 1999-04-06 | J.M. Huber Corporation | Precipitated silicas having improved dentifrice performance characteristics and methods of preparation |
| FR2747669B1 (fr) * | 1996-04-22 | 1998-05-22 | Rhone Poulenc Chimie | Procede de preparation de particules creuses de silice |
| US5929156A (en) * | 1997-05-02 | 1999-07-27 | J.M. Huber Corporation | Silica product for use in elastomers |
| CN1152822C (zh) * | 1997-06-04 | 2004-06-09 | 纳幕尔杜邦公司 | 改进的制备低浓度聚硅铝酸盐微凝胶的方法 |
| KR100573343B1 (ko) * | 1997-06-13 | 2006-04-24 | 이 아이 듀폰 디 네모아 앤드 캄파니 | 저-농도 폴리알루미노실리케이트 마이크로겔의 개선된제조 방법 |
| US6239235B1 (en) * | 1997-07-15 | 2001-05-29 | Phillips Petroleum Company | High solids slurry polymerization |
| EP0967068B1 (en) * | 1998-06-22 | 2003-09-03 | Mitsubishi Polyester Film Corporation | Biaxially oriented polyester film |
| US6406789B1 (en) * | 1998-07-22 | 2002-06-18 | Borden Chemical, Inc. | Composite proppant, composite filtration media and methods for making and using same |
| DE60027837T2 (de) * | 1999-04-02 | 2006-09-28 | Sanyo Chemical Industries, Ltd. | Trockenentwickler |
| JP4412759B2 (ja) * | 1999-04-30 | 2010-02-10 | 水澤化学工業株式会社 | 球状シリカゲル粒子及びその製法 |
| US6114430A (en) | 1999-08-25 | 2000-09-05 | H.B. Fuller Licensing & Financing, Inc. | Aqueous paint compositions comprising polyether amides |
| US6274112B1 (en) * | 1999-12-08 | 2001-08-14 | E. I. Du Pont De Nemours And Company | Continuous production of silica-based microgels |
| CA2292819A1 (en) | 1999-12-22 | 2001-06-22 | Bayer Inc. | Process for the production of a precipitated silica slurry with a controlled aggregate particle size distribution |
| US6652611B1 (en) * | 2000-08-18 | 2003-11-25 | J. M. Huber Corporation | Method for making abrasive compositions and products thereof |
| US6419174B1 (en) * | 2000-08-18 | 2002-07-16 | J. M. Huber Corporation | Abrasive compositions and methods for making same |
| US6403059B1 (en) * | 2000-08-18 | 2002-06-11 | J. M. Huber Corporation | Methods of making dentifrice compositions and products thereof |
| JP2002275274A (ja) | 2001-03-19 | 2002-09-25 | Dokai Chemical Industries Co Ltd | 鱗片状シリカ粒子を含有する高い保存安定性を有する硬化性組成物及びその製造方法 |
| US20050109238A1 (en) | 2001-10-25 | 2005-05-26 | Takeyuki Yamaki | Coating material composition and article having coating film formed therewith |
| TWI228553B (en) | 2001-11-16 | 2005-03-01 | Du Pont | Method of producing coating compositions and coating compositions made therefrom |
| US20030110338A1 (en) | 2001-12-06 | 2003-06-12 | Yuanlong Wang | Method and apparatus for emulating computer buses using point-to-point techniues |
| US6616916B1 (en) * | 2001-12-10 | 2003-09-09 | J. M. Huber Corporation | Transparent dentifrices |
| GB0130907D0 (en) | 2001-12-22 | 2002-02-13 | Ineos Silicas Ltd | Amorphous silica |
| FR2833937B1 (fr) | 2001-12-26 | 2004-11-12 | Rhodia Chimie Sa | Silices a faible reprise en eau |
| US20030228369A1 (en) | 2002-05-06 | 2003-12-11 | Kuhrts Eric Hauser | Process for conversion of high viscosity fluids and compositions thereof |
| DE10248799B4 (de) | 2002-10-19 | 2007-03-15 | Georg Gros | Partikel enthaltende Beschichtungszusammensetzung und Verfahren zur Beschichtung von Oberflächen |
| US6946119B2 (en) * | 2003-02-14 | 2005-09-20 | J.M. Huber Corporation | Precipitated silica product with low surface area, dentifrices containing same, and processes |
| JP4239835B2 (ja) * | 2004-01-28 | 2009-03-18 | 富士ゼロックス株式会社 | 静電荷像現像用トナー、静電荷像現像用現像剤及び画像形成方法 |
| US7429789B2 (en) | 2004-03-31 | 2008-09-30 | Endicott Interconnect Technologies, Inc. | Fluoropolymer dielectric composition for use in circuitized substrates and circuitized substrate including same |
| GB0416256D0 (en) * | 2004-07-20 | 2004-08-25 | Avecia Ltd | Manufacturing process |
| US20070253987A1 (en) | 2004-11-01 | 2007-11-01 | Wozniak Mark E | Novel pigments for wrinkle-hiding cosmetic applications |
| US20070258922A1 (en) | 2004-11-01 | 2007-11-08 | Wozniak Mark E | Novel silica- or silicate-based pigments for wrinkle-hiding cosmetic applications |
| US7303742B2 (en) * | 2004-11-24 | 2007-12-04 | J.M. Huber Corporation | Viscosity-modifying silica materials that exhibit low cleaning and abrasive levels and dentifrices thereof |
| US7306788B2 (en) * | 2004-11-24 | 2007-12-11 | J.M. Huber Corporation | High-cleaning/moderate abrasive silica materials and dentifrice containing such materials |
| US7267814B2 (en) * | 2004-11-24 | 2007-09-11 | J.M. Huber Corporation | High-cleaning/low abrasive silica and materials and dentifrice containing such materials |
| US7670593B2 (en) * | 2004-11-24 | 2010-03-02 | J.M. Huber Corporation | High-cleaning silica materials and dentifrice containing such |
| US20060110307A1 (en) * | 2004-11-24 | 2006-05-25 | Mcgill Patrick D | High-cleaning silica materials made via product morphology control and dentifrice containing such |
| US20080187498A1 (en) * | 2005-02-04 | 2008-08-07 | Edward Francis | Multiphase Toothpaste Composition |
| US7159803B1 (en) * | 2005-06-29 | 2007-01-09 | J.M. Huber Corporation | Method for making particulate compositions and products thereof |
| US7731110B2 (en) * | 2005-06-29 | 2010-06-08 | J.M. Huber Corporation | Method for making precipitated silica compositions and products thereof |
| DE102005043201A1 (de) * | 2005-09-09 | 2007-03-15 | Degussa Ag | Fällungskieselsäuren mit einer besonderen Porengrößenverteilung |
| KR100740346B1 (ko) * | 2005-12-01 | 2007-07-19 | 이엔비나노텍(주) | 나노기공 실리카의 제조장치 및 그 제조방법 |
| GB0525369D0 (en) * | 2005-12-14 | 2006-01-18 | Ineos Silicas Ltd | Silicas |
| US7906598B2 (en) * | 2006-08-30 | 2011-03-15 | Intertape Polymer Corp. | Recirculation loop reactor bulk polymerization process |
| US7270803B1 (en) * | 2006-03-23 | 2007-09-18 | J.M. Huber Corporation | High-cleaning, low abrasion, high brightness silica materials for dentrifices |
| US20070224133A1 (en) * | 2006-03-23 | 2007-09-27 | Mcgill Patrick D | High-cleaning silica materials made via product morphology control under high shear conditions |
| JPWO2007122930A1 (ja) * | 2006-04-20 | 2009-09-03 | 旭硝子株式会社 | コアシェル型シリカおよびその製造方法 |
| BRPI0912655A2 (pt) | 2008-05-16 | 2019-09-17 | Colgate Palmolive Co | composição oral, e, método para melhorar a saúde oral |
| US20100047742A1 (en) | 2008-08-25 | 2010-02-25 | Pitcock Jr William Henry | Tubule-blocking silica materials for dentifrices |
| RU2487699C2 (ru) * | 2008-11-25 | 2013-07-20 | Дзе Проктер Энд Гэмбл Компани | КОМПОЗИЦИИ ДЛЯ УХОДА ЗА ПОЛОСТЬЮ РТА, СОДЕРЖАЩИЕ АМОРФНЫЙ КВАРЦ И ОБЛАДАЮЩИЕ НИЗКИМ ЗНАЧЕНИЕМ pH |
| US8609068B2 (en) * | 2010-02-24 | 2013-12-17 | J.M. Huber Corporation | Continuous silica production process and silica product prepared from same |
| US9028605B2 (en) | 2011-02-25 | 2015-05-12 | J.M. Huber Corporation | Coating compositions comprising spheroid silica or silicate |
-
2010
- 2010-02-24 US US12/711,321 patent/US8609068B2/en active Active
-
2011
- 2011-02-21 BR BR112012021263-0A patent/BR112012021263B1/pt active IP Right Grant
- 2011-02-21 EP EP11718532.2A patent/EP2538915B1/en active Active
- 2011-02-21 BR BR122014004158A patent/BR122014004158B1/pt active IP Right Grant
- 2011-02-21 KR KR1020127024750A patent/KR101652771B1/ko active Active
- 2011-02-21 ES ES17161713T patent/ES2748576T3/es active Active
- 2011-02-21 PH PH1/2017/500235A patent/PH12017500235B1/en unknown
- 2011-02-21 PL PL11718532T patent/PL2538915T3/pl unknown
- 2011-02-21 PT PT171617103T patent/PT3210592T/pt unknown
- 2011-02-21 PH PH1/2012/501561A patent/PH12012501561A1/en unknown
- 2011-02-21 PL PL17161713T patent/PL3216442T3/pl unknown
- 2011-02-21 RU RU2014144152A patent/RU2673449C9/ru active
- 2011-02-21 AU AU2011221218A patent/AU2011221218B2/en not_active Ceased
- 2011-02-21 HU HUE17161710A patent/HUE047179T2/hu unknown
- 2011-02-21 CN CN201180009175.3A patent/CN102753137B/zh active Active
- 2011-02-21 PL PL17161710T patent/PL3210592T3/pl unknown
- 2011-02-21 HU HUE11718532A patent/HUE042617T2/hu unknown
- 2011-02-21 EP EP17161710.3A patent/EP3210592B1/en not_active Revoked
- 2011-02-21 KR KR1020167023237A patent/KR101710493B1/ko active Active
- 2011-02-21 DE DE11718532T patent/DE11718532T1/de active Pending
- 2011-02-21 MX MX2014009519A patent/MX348190B/es unknown
- 2011-02-21 TR TR2019/02549T patent/TR201902549T4/tr unknown
- 2011-02-21 ES ES17161710T patent/ES2748574T3/es active Active
- 2011-02-21 MX MX2014009518A patent/MX352133B/es unknown
- 2011-02-21 KR KR1020177004100A patent/KR101830313B1/ko active Active
- 2011-02-21 JP JP2012555065A patent/JP5905401B2/ja active Active
- 2011-02-21 MX MX2012008829A patent/MX2012008829A/es active IP Right Grant
- 2011-02-21 KR KR1020167023241A patent/KR101710532B1/ko active Active
- 2011-02-21 PT PT11718532T patent/PT2538915T/pt unknown
- 2011-02-21 BR BR122014004122-5A patent/BR122014004122B1/pt active IP Right Grant
- 2011-02-21 ES ES11718532T patent/ES2402119T3/es active Active
- 2011-02-21 MY MYPI2012003415A patent/MY158259A/en unknown
- 2011-02-21 RU RU2012132276/15A patent/RU2539136C2/ru active
- 2011-02-21 WO PCT/US2011/025626 patent/WO2011106289A2/en not_active Ceased
- 2011-02-21 EP EP17161713.7A patent/EP3216442B1/en active Active
- 2011-02-21 CN CN201410591716.3A patent/CN104402008B/zh active Active
- 2011-02-21 CN CN201410592567.2A patent/CN104473776B/zh active Active
- 2011-02-23 TW TW100105898A patent/TWI443066B/zh active
- 2011-02-23 TW TW103118388A patent/TWI488810B/zh active
- 2011-02-23 TW TW103118386A patent/TWI496742B/zh active
- 2011-02-24 AR ARP110100570A patent/AR080655A1/es active IP Right Grant
-
2013
- 2013-11-13 US US14/078,589 patent/US8945517B2/en active Active
-
2014
- 2014-05-16 AR ARP140101972A patent/AR096331A2/es active IP Right Grant
- 2014-11-05 RU RU2014144151/05A patent/RU2591242C2/ru active
- 2014-12-02 US US14/557,498 patent/US9327988B2/en active Active
-
2015
- 2015-01-16 JP JP2015006575A patent/JP5914708B2/ja active Active
-
2016
- 2016-04-04 US US15/089,629 patent/US9617162B2/en active Active
-
2017
- 2017-02-13 PH PH12017500271A patent/PH12017500271A1/en unknown
- 2017-08-17 AR ARP170102302A patent/AR109367A2/es active IP Right Grant
Patent Citations (3)
| Publication number | Priority date | Publication date | Assignee | Title |
|---|---|---|---|---|
| RU2242965C2 (ru) * | 2000-05-09 | 2004-12-27 | Колгейт-Палмолив Компани | Композиция средства для чистки зубов |
| US20060137575A1 (en) * | 2002-08-03 | 2006-06-29 | Degussa Ag | Highly dispersible precipitated silica with a high surface area |
| WO2009072218A1 (ja) * | 2007-12-07 | 2009-06-11 | Catalysts & Chemicals Industries Co., Ltd. | 表面平滑性を備えた多孔質シリカ系粒子、その製造方法および該多孔質シリカ系粒子を配合してなる化粧料 |
Cited By (2)
| Publication number | Priority date | Publication date | Assignee | Title |
|---|---|---|---|---|
| RU2720206C1 (ru) * | 2016-11-18 | 2020-04-27 | ПиПиДжи ИНДАСТРИЗ ОГАЙО, ИНК. | Сферические частицы на основе кремнезема и способы их получения |
| RU2788169C2 (ru) * | 2017-08-28 | 2023-01-17 | Эвоник Оперейшнс Гмбх | Сферический диоксид кремния, предназначенный для окклюзии канальцев |
Also Published As
Similar Documents
| Publication | Publication Date | Title |
|---|---|---|
| RU2539136C2 (ru) | Непрерывный способ получения диоксида кремния и продукт диоксида кремния, полученный этим способом | |
| AU2013205133B2 (en) | Continuous Silica Production Process And Silica Product Prepared From Same |
Legal Events
| Date | Code | Title | Description |
|---|---|---|---|
| PC41 | Official registration of the transfer of exclusive right |
Effective date: 20190424 |
|
| PD4A | Correction of name of patent owner |