KR20220038754A - 금속 담지 촉매, 전지 전극 및 전지 - Google Patents
금속 담지 촉매, 전지 전극 및 전지 Download PDFInfo
- Publication number
- KR20220038754A KR20220038754A KR1020227006443A KR20227006443A KR20220038754A KR 20220038754 A KR20220038754 A KR 20220038754A KR 1020227006443 A KR1020227006443 A KR 1020227006443A KR 20227006443 A KR20227006443 A KR 20227006443A KR 20220038754 A KR20220038754 A KR 20220038754A
- Authority
- KR
- South Korea
- Prior art keywords
- catalyst
- metal
- peak
- supported
- nitrogen atom
- Prior art date
- Legal status (The legal status is an assumption and is not a legal conclusion. Google has not performed a legal analysis and makes no representation as to the accuracy of the status listed.)
- Pending
Links
- 239000003054 catalyst Substances 0.000 title claims abstract description 562
- OKTJSMMVPCPJKN-UHFFFAOYSA-N Carbon Chemical compound [C] OKTJSMMVPCPJKN-UHFFFAOYSA-N 0.000 claims abstract description 301
- 229910052751 metal Inorganic materials 0.000 claims abstract description 285
- 239000002184 metal Substances 0.000 claims abstract description 284
- 229910052799 carbon Inorganic materials 0.000 claims abstract description 267
- 229910052757 nitrogen Inorganic materials 0.000 claims abstract description 249
- 125000004433 nitrogen atom Chemical group N* 0.000 claims abstract description 214
- 239000002923 metal particle Substances 0.000 claims abstract description 100
- 230000003197 catalytic effect Effects 0.000 claims abstract description 65
- 238000004833 X-ray photoelectron spectroscopy Methods 0.000 claims abstract description 55
- 150000001721 carbon Chemical group 0.000 claims abstract description 22
- 238000002186 photoelectron spectrum Methods 0.000 claims abstract description 20
- BASFCYQUMIYNBI-UHFFFAOYSA-N platinum Chemical compound [Pt] BASFCYQUMIYNBI-UHFFFAOYSA-N 0.000 claims description 365
- IJGRMHOSHXDMSA-UHFFFAOYSA-N Atomic nitrogen Chemical compound N#N IJGRMHOSHXDMSA-UHFFFAOYSA-N 0.000 claims description 141
- 229910052697 platinum Inorganic materials 0.000 claims description 134
- 239000002245 particle Substances 0.000 claims description 131
- 238000003795 desorption Methods 0.000 claims description 40
- 238000001069 Raman spectroscopy Methods 0.000 claims description 28
- 238000000034 method Methods 0.000 claims description 26
- 238000001179 sorption measurement Methods 0.000 claims description 26
- 238000001237 Raman spectrum Methods 0.000 claims description 25
- UFHFLCQGNIYNRP-UHFFFAOYSA-N Hydrogen Chemical compound [H][H] UFHFLCQGNIYNRP-UHFFFAOYSA-N 0.000 claims description 19
- 239000001257 hydrogen Substances 0.000 claims description 19
- 229910052739 hydrogen Inorganic materials 0.000 claims description 19
- 230000005611 electricity Effects 0.000 claims description 15
- 238000000634 powder X-ray diffraction Methods 0.000 claims description 12
- 238000002484 cyclic voltammetry Methods 0.000 claims description 11
- 229910002091 carbon monoxide Inorganic materials 0.000 claims description 8
- UGFAIRIUMAVXCW-UHFFFAOYSA-N Carbon monoxide Chemical compound [O+]#[C-] UGFAIRIUMAVXCW-UHFFFAOYSA-N 0.000 claims description 7
- 238000003950 stripping voltammetry Methods 0.000 claims description 5
- 239000011148 porous material Substances 0.000 description 81
- 229910001260 Pt alloy Inorganic materials 0.000 description 69
- 229910000510 noble metal Inorganic materials 0.000 description 67
- 150000003624 transition metals Chemical class 0.000 description 60
- 229910052723 transition metal Inorganic materials 0.000 description 59
- 229910045601 alloy Inorganic materials 0.000 description 51
- 239000000956 alloy Substances 0.000 description 51
- XEEYBQQBJWHFJM-UHFFFAOYSA-N Iron Chemical compound [Fe] XEEYBQQBJWHFJM-UHFFFAOYSA-N 0.000 description 39
- 239000002994 raw material Substances 0.000 description 39
- 238000001095 inductively coupled plasma mass spectrometry Methods 0.000 description 37
- 238000005259 measurement Methods 0.000 description 37
- 238000002441 X-ray diffraction Methods 0.000 description 36
- QGZKDVFQNNGYKY-UHFFFAOYSA-N Ammonia Chemical compound N QGZKDVFQNNGYKY-UHFFFAOYSA-N 0.000 description 35
- 238000003763 carbonization Methods 0.000 description 33
- PXHVJJICTQNCMI-UHFFFAOYSA-N Nickel Chemical compound [Ni] PXHVJJICTQNCMI-UHFFFAOYSA-N 0.000 description 30
- 238000000926 separation method Methods 0.000 description 28
- 239000005539 carbonized material Substances 0.000 description 27
- 238000010438 heat treatment Methods 0.000 description 24
- 238000012937 correction Methods 0.000 description 23
- 229910052742 iron Inorganic materials 0.000 description 22
- QVGXLLKOCUKJST-UHFFFAOYSA-N atomic oxygen Chemical compound [O] QVGXLLKOCUKJST-UHFFFAOYSA-N 0.000 description 21
- 229910052759 nickel Inorganic materials 0.000 description 21
- 239000001301 oxygen Substances 0.000 description 21
- 229910052760 oxygen Inorganic materials 0.000 description 21
- KDLHZDBZIXYQEI-UHFFFAOYSA-N Palladium Chemical compound [Pd] KDLHZDBZIXYQEI-UHFFFAOYSA-N 0.000 description 19
- 239000000446 fuel Substances 0.000 description 19
- 239000000243 solution Substances 0.000 description 19
- XLYOFNOQVPJJNP-UHFFFAOYSA-N water Substances O XLYOFNOQVPJJNP-UHFFFAOYSA-N 0.000 description 19
- 239000000126 substance Substances 0.000 description 18
- 239000012298 atmosphere Substances 0.000 description 17
- 230000009467 reduction Effects 0.000 description 17
- 239000000203 mixture Substances 0.000 description 16
- 238000012360 testing method Methods 0.000 description 16
- 229910021529 ammonia Inorganic materials 0.000 description 15
- 239000002253 acid Substances 0.000 description 14
- 238000001228 spectrum Methods 0.000 description 14
- 238000009841 combustion method Methods 0.000 description 13
- 238000010586 diagram Methods 0.000 description 13
- 238000000921 elemental analysis Methods 0.000 description 13
- 239000010948 rhodium Substances 0.000 description 13
- 239000000725 suspension Substances 0.000 description 12
- JUJWROOIHBZHMG-UHFFFAOYSA-N Pyridine Chemical compound C1=CC=NC=C1 JUJWROOIHBZHMG-UHFFFAOYSA-N 0.000 description 11
- 239000007789 gas Substances 0.000 description 11
- 238000000731 high angular annular dark-field scanning transmission electron microscopy Methods 0.000 description 11
- 229910052763 palladium Inorganic materials 0.000 description 11
- 238000010248 power generation Methods 0.000 description 11
- 125000004429 atom Chemical group 0.000 description 10
- 238000006243 chemical reaction Methods 0.000 description 10
- 239000003792 electrolyte Substances 0.000 description 10
- 239000000843 powder Substances 0.000 description 10
- 239000007864 aqueous solution Substances 0.000 description 9
- 230000005540 biological transmission Effects 0.000 description 9
- 239000012153 distilled water Substances 0.000 description 9
- 239000010931 gold Substances 0.000 description 9
- 230000003647 oxidation Effects 0.000 description 9
- 238000007254 oxidation reaction Methods 0.000 description 9
- 229910052703 rhodium Inorganic materials 0.000 description 9
- 229910052707 ruthenium Inorganic materials 0.000 description 9
- 239000010949 copper Substances 0.000 description 8
- 230000000694 effects Effects 0.000 description 8
- 229910052741 iridium Inorganic materials 0.000 description 8
- 238000004220 aggregation Methods 0.000 description 7
- 230000002776 aggregation Effects 0.000 description 7
- 125000004432 carbon atom Chemical group C* 0.000 description 7
- 229910052802 copper Inorganic materials 0.000 description 7
- 238000001514 detection method Methods 0.000 description 7
- 229910001873 dinitrogen Inorganic materials 0.000 description 7
- 238000009826 distribution Methods 0.000 description 7
- 229910052737 gold Inorganic materials 0.000 description 7
- 239000003273 ketjen black Substances 0.000 description 7
- 239000000463 material Substances 0.000 description 7
- 239000012299 nitrogen atmosphere Substances 0.000 description 7
- QJGQUHMNIGDVPM-UHFFFAOYSA-N nitrogen group Chemical group [N] QJGQUHMNIGDVPM-UHFFFAOYSA-N 0.000 description 7
- 229920005989 resin Polymers 0.000 description 7
- 239000011347 resin Substances 0.000 description 7
- 229920006395 saturated elastomer Polymers 0.000 description 7
- KAESVJOAVNADME-UHFFFAOYSA-N Pyrrole Chemical compound C=1C=CNC=1 KAESVJOAVNADME-UHFFFAOYSA-N 0.000 description 6
- GUTLYIVDDKVIGB-UHFFFAOYSA-N cobalt atom Chemical compound [Co] GUTLYIVDDKVIGB-UHFFFAOYSA-N 0.000 description 6
- 229910052736 halogen Inorganic materials 0.000 description 6
- 238000011068 loading method Methods 0.000 description 6
- 239000011572 manganese Substances 0.000 description 6
- 238000004519 manufacturing process Methods 0.000 description 6
- 239000012528 membrane Substances 0.000 description 6
- 229910052709 silver Inorganic materials 0.000 description 6
- 239000010936 titanium Substances 0.000 description 6
- 229910052725 zinc Inorganic materials 0.000 description 6
- 239000011701 zinc Substances 0.000 description 6
- GRYLNZFGIOXLOG-UHFFFAOYSA-N Nitric acid Chemical compound O[N+]([O-])=O GRYLNZFGIOXLOG-UHFFFAOYSA-N 0.000 description 5
- 238000010000 carbonizing Methods 0.000 description 5
- 239000013078 crystal Substances 0.000 description 5
- 229910002804 graphite Inorganic materials 0.000 description 5
- 239000010439 graphite Substances 0.000 description 5
- 229910052748 manganese Inorganic materials 0.000 description 5
- 229910017604 nitric acid Inorganic materials 0.000 description 5
- 230000008569 process Effects 0.000 description 5
- 229910052719 titanium Inorganic materials 0.000 description 5
- KJTLSVCANCCWHF-UHFFFAOYSA-N Ruthenium Chemical compound [Ru] KJTLSVCANCCWHF-UHFFFAOYSA-N 0.000 description 4
- BQCADISMDOOEFD-UHFFFAOYSA-N Silver Chemical compound [Ag] BQCADISMDOOEFD-UHFFFAOYSA-N 0.000 description 4
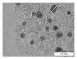
- 238000003917 TEM image Methods 0.000 description 4
- 238000004458 analytical method Methods 0.000 description 4
- 239000011651 chromium Substances 0.000 description 4
- 229910017052 cobalt Inorganic materials 0.000 description 4
- 239000010941 cobalt Substances 0.000 description 4
- 238000011156 evaluation Methods 0.000 description 4
- PCHJSUWPFVWCPO-UHFFFAOYSA-N gold Chemical compound [Au] PCHJSUWPFVWCPO-UHFFFAOYSA-N 0.000 description 4
- 125000005843 halogen group Chemical group 0.000 description 4
- GKOZUEZYRPOHIO-UHFFFAOYSA-N iridium atom Chemical compound [Ir] GKOZUEZYRPOHIO-UHFFFAOYSA-N 0.000 description 4
- 230000007935 neutral effect Effects 0.000 description 4
- 239000010955 niobium Substances 0.000 description 4
- 229910052762 osmium Inorganic materials 0.000 description 4
- 230000000737 periodic effect Effects 0.000 description 4
- UMJSCPRVCHMLSP-UHFFFAOYSA-N pyridine Natural products COC1=CC=CN=C1 UMJSCPRVCHMLSP-UHFFFAOYSA-N 0.000 description 4
- MHOVAHRLVXNVSD-UHFFFAOYSA-N rhodium atom Chemical compound [Rh] MHOVAHRLVXNVSD-UHFFFAOYSA-N 0.000 description 4
- 239000004332 silver Substances 0.000 description 4
- 239000002002 slurry Substances 0.000 description 4
- 239000007787 solid Substances 0.000 description 4
- 229910018979 CoPt Inorganic materials 0.000 description 3
- 229910005335 FePt Inorganic materials 0.000 description 3
- KFZMGEQAYNKOFK-UHFFFAOYSA-N Isopropanol Chemical compound CC(C)O KFZMGEQAYNKOFK-UHFFFAOYSA-N 0.000 description 3
- ZMXDDKWLCZADIW-UHFFFAOYSA-N N,N-Dimethylformamide Chemical compound CN(C)C=O ZMXDDKWLCZADIW-UHFFFAOYSA-N 0.000 description 3
- 229910021586 Nickel(II) chloride Inorganic materials 0.000 description 3
- 229920002845 Poly(methacrylic acid) Polymers 0.000 description 3
- 230000010757 Reduction Activity Effects 0.000 description 3
- 229920002125 Sokalan® Polymers 0.000 description 3
- 229910052768 actinide Inorganic materials 0.000 description 3
- 150000001255 actinides Chemical class 0.000 description 3
- 229910052804 chromium Inorganic materials 0.000 description 3
- 239000011248 coating agent Substances 0.000 description 3
- 238000000576 coating method Methods 0.000 description 3
- AVMBSRQXOWNFTR-UHFFFAOYSA-N cobalt platinum Chemical compound [Pt][Co][Pt] AVMBSRQXOWNFTR-UHFFFAOYSA-N 0.000 description 3
- 238000009792 diffusion process Methods 0.000 description 3
- 239000006185 dispersion Substances 0.000 description 3
- 239000008151 electrolyte solution Substances 0.000 description 3
- 230000001747 exhibiting effect Effects 0.000 description 3
- 239000000706 filtrate Substances 0.000 description 3
- 238000001914 filtration Methods 0.000 description 3
- 239000011521 glass Substances 0.000 description 3
- 239000001307 helium Substances 0.000 description 3
- 229910052734 helium Inorganic materials 0.000 description 3
- SWQJXJOGLNCZEY-UHFFFAOYSA-N helium atom Chemical compound [He] SWQJXJOGLNCZEY-UHFFFAOYSA-N 0.000 description 3
- 238000010191 image analysis Methods 0.000 description 3
- RAXXELZNTBOGNW-UHFFFAOYSA-N imidazole Natural products C1=CNC=N1 RAXXELZNTBOGNW-UHFFFAOYSA-N 0.000 description 3
- FBAFATDZDUQKNH-UHFFFAOYSA-M iron chloride Chemical compound [Cl-].[Fe] FBAFATDZDUQKNH-UHFFFAOYSA-M 0.000 description 3
- PWBYYTXZCUZPRD-UHFFFAOYSA-N iron platinum Chemical compound [Fe][Pt][Pt] PWBYYTXZCUZPRD-UHFFFAOYSA-N 0.000 description 3
- 229910052747 lanthanoid Inorganic materials 0.000 description 3
- 150000002602 lanthanoids Chemical class 0.000 description 3
- 150000002739 metals Chemical class 0.000 description 3
- 229910052750 molybdenum Inorganic materials 0.000 description 3
- QMMRZOWCJAIUJA-UHFFFAOYSA-L nickel dichloride Chemical compound Cl[Ni]Cl QMMRZOWCJAIUJA-UHFFFAOYSA-L 0.000 description 3
- PCLURTMBFDTLSK-UHFFFAOYSA-N nickel platinum Chemical compound [Ni].[Pt] PCLURTMBFDTLSK-UHFFFAOYSA-N 0.000 description 3
- 229910052758 niobium Inorganic materials 0.000 description 3
- 229910052755 nonmetal Inorganic materials 0.000 description 3
- 150000002894 organic compounds Chemical class 0.000 description 3
- 239000011368 organic material Substances 0.000 description 3
- 239000005416 organic matter Substances 0.000 description 3
- SYQBFIAQOQZEGI-UHFFFAOYSA-N osmium atom Chemical compound [Os] SYQBFIAQOQZEGI-UHFFFAOYSA-N 0.000 description 3
- 239000004584 polyacrylic acid Substances 0.000 description 3
- 229920002239 polyacrylonitrile Polymers 0.000 description 3
- -1 polybenzoimidazole Polymers 0.000 description 3
- 229920000642 polymer Polymers 0.000 description 3
- 239000000047 product Substances 0.000 description 3
- BDERNNFJNOPAEC-UHFFFAOYSA-N propan-1-ol Chemical compound CCCO BDERNNFJNOPAEC-UHFFFAOYSA-N 0.000 description 3
- 125000000168 pyrrolyl group Chemical group 0.000 description 3
- 229910052706 scandium Inorganic materials 0.000 description 3
- 229910052727 yttrium Inorganic materials 0.000 description 3
- KXGFMDJXCMQABM-UHFFFAOYSA-N 2-methoxy-6-methylphenol Chemical compound [CH]OC1=CC=CC([CH])=C1O KXGFMDJXCMQABM-UHFFFAOYSA-N 0.000 description 2
- LXBGSDVWAMZHDD-UHFFFAOYSA-N 2-methyl-1h-imidazole Chemical compound CC1=NC=CN1 LXBGSDVWAMZHDD-UHFFFAOYSA-N 0.000 description 2
- PAYRUJLWNCNPSJ-UHFFFAOYSA-N Aniline Chemical compound NC1=CC=CC=C1 PAYRUJLWNCNPSJ-UHFFFAOYSA-N 0.000 description 2
- 238000004438 BET method Methods 0.000 description 2
- YLQBMQCUIZJEEH-UHFFFAOYSA-N Furan Chemical compound C=1C=COC=1 YLQBMQCUIZJEEH-UHFFFAOYSA-N 0.000 description 2
- 229910052688 Gadolinium Inorganic materials 0.000 description 2
- OAKJQQAXSVQMHS-UHFFFAOYSA-N Hydrazine Chemical compound NN OAKJQQAXSVQMHS-UHFFFAOYSA-N 0.000 description 2
- YNAVUWVOSKDBBP-UHFFFAOYSA-N Morpholine Chemical compound C1COCCN1 YNAVUWVOSKDBBP-UHFFFAOYSA-N 0.000 description 2
- 229920000557 Nafion® Polymers 0.000 description 2
- GLUUGHFHXGJENI-UHFFFAOYSA-N Piperazine Chemical compound C1CNCCN1 GLUUGHFHXGJENI-UHFFFAOYSA-N 0.000 description 2
- 239000004952 Polyamide Substances 0.000 description 2
- YTPLMLYBLZKORZ-UHFFFAOYSA-N Thiophene Chemical compound C=1C=CSC=1 YTPLMLYBLZKORZ-UHFFFAOYSA-N 0.000 description 2
- 238000011088 calibration curve Methods 0.000 description 2
- 239000003575 carbonaceous material Substances 0.000 description 2
- 239000012159 carrier gas Substances 0.000 description 2
- 230000008859 change Effects 0.000 description 2
- 229910052801 chlorine Inorganic materials 0.000 description 2
- 125000001309 chloro group Chemical group Cl* 0.000 description 2
- 238000001816 cooling Methods 0.000 description 2
- 230000007797 corrosion Effects 0.000 description 2
- 238000005260 corrosion Methods 0.000 description 2
- 238000001035 drying Methods 0.000 description 2
- 150000002148 esters Chemical class 0.000 description 2
- 125000000524 functional group Chemical group 0.000 description 2
- 150000002367 halogens Chemical class 0.000 description 2
- 125000004435 hydrogen atom Chemical group [H]* 0.000 description 2
- 239000011261 inert gas Substances 0.000 description 2
- NQXWGWZJXJUMQB-UHFFFAOYSA-K iron trichloride hexahydrate Chemical compound O.O.O.O.O.O.[Cl-].Cl[Fe+]Cl NQXWGWZJXJUMQB-UHFFFAOYSA-K 0.000 description 2
- 238000007561 laser diffraction method Methods 0.000 description 2
- 150000002736 metal compounds Chemical class 0.000 description 2
- 150000002815 nickel Chemical group 0.000 description 2
- 230000001590 oxidative effect Effects 0.000 description 2
- 125000004430 oxygen atom Chemical group O* 0.000 description 2
- VLTRZXGMWDSKGL-UHFFFAOYSA-N perchloric acid Chemical compound OCl(=O)(=O)=O VLTRZXGMWDSKGL-UHFFFAOYSA-N 0.000 description 2
- 229920001568 phenolic resin Polymers 0.000 description 2
- 229920002647 polyamide Polymers 0.000 description 2
- 239000011164 primary particle Substances 0.000 description 2
- XSCHRSMBECNVNS-UHFFFAOYSA-N quinoxaline Chemical compound N1=CC=NC2=CC=CC=C21 XSCHRSMBECNVNS-UHFFFAOYSA-N 0.000 description 2
- 210000003660 reticulum Anatomy 0.000 description 2
- 239000011163 secondary particle Substances 0.000 description 2
- 230000035945 sensitivity Effects 0.000 description 2
- 241000894007 species Species 0.000 description 2
- 238000003756 stirring Methods 0.000 description 2
- 239000000758 substrate Substances 0.000 description 2
- 238000010408 sweeping Methods 0.000 description 2
- 229910052720 vanadium Inorganic materials 0.000 description 2
- JIAARYAFYJHUJI-UHFFFAOYSA-L zinc dichloride Chemical compound [Cl-].[Cl-].[Zn+2] JIAARYAFYJHUJI-UHFFFAOYSA-L 0.000 description 2
- 229910052726 zirconium Inorganic materials 0.000 description 2
- MGRVRXRGTBOSHW-UHFFFAOYSA-N (aminomethyl)phosphonic acid Chemical compound NCP(O)(O)=O MGRVRXRGTBOSHW-UHFFFAOYSA-N 0.000 description 1
- JYEUMXHLPRZUAT-UHFFFAOYSA-N 1,2,3-triazine Chemical compound C1=CN=NN=C1 JYEUMXHLPRZUAT-UHFFFAOYSA-N 0.000 description 1
- MCTWTZJPVLRJOU-UHFFFAOYSA-N 1-methyl-1H-imidazole Chemical compound CN1C=CN=C1 MCTWTZJPVLRJOU-UHFFFAOYSA-N 0.000 description 1
- HYZJCKYKOHLVJF-UHFFFAOYSA-N 1H-benzimidazole Chemical compound C1=CC=C2NC=NC2=C1 HYZJCKYKOHLVJF-UHFFFAOYSA-N 0.000 description 1
- RNAMYOYQYRYFQY-UHFFFAOYSA-N 2-(4,4-difluoropiperidin-1-yl)-6-methoxy-n-(1-propan-2-ylpiperidin-4-yl)-7-(3-pyrrolidin-1-ylpropoxy)quinazolin-4-amine Chemical compound N1=C(N2CCC(F)(F)CC2)N=C2C=C(OCCCN3CCCC3)C(OC)=CC2=C1NC1CCN(C(C)C)CC1 RNAMYOYQYRYFQY-UHFFFAOYSA-N 0.000 description 1
- VEUMANXWQDHAJV-UHFFFAOYSA-N 2-[2-[(2-hydroxyphenyl)methylideneamino]ethyliminomethyl]phenol Chemical compound OC1=CC=CC=C1C=NCCN=CC1=CC=CC=C1O VEUMANXWQDHAJV-UHFFFAOYSA-N 0.000 description 1
- KGIGUEBEKRSTEW-UHFFFAOYSA-N 2-vinylpyridine Chemical compound C=CC1=CC=CC=N1 KGIGUEBEKRSTEW-UHFFFAOYSA-N 0.000 description 1
- MGADZUXDNSDTHW-UHFFFAOYSA-N 2H-pyran Chemical compound C1OC=CC=C1 MGADZUXDNSDTHW-UHFFFAOYSA-N 0.000 description 1
- NLHHRLWOUZZQLW-UHFFFAOYSA-N Acrylonitrile Chemical compound C=CC#N NLHHRLWOUZZQLW-UHFFFAOYSA-N 0.000 description 1
- 239000002028 Biomass Substances 0.000 description 1
- UJOBWOGCFQCDNV-UHFFFAOYSA-N Carbazole Natural products C1=CC=C2C3=CC=CC=C3NC2=C1 UJOBWOGCFQCDNV-UHFFFAOYSA-N 0.000 description 1
- 229920002134 Carboxymethyl cellulose Polymers 0.000 description 1
- 229920002101 Chitin Polymers 0.000 description 1
- 229920001661 Chitosan Polymers 0.000 description 1
- VYZAMTAEIAYCRO-UHFFFAOYSA-N Chromium Chemical compound [Cr] VYZAMTAEIAYCRO-UHFFFAOYSA-N 0.000 description 1
- RYGMFSIKBFXOCR-UHFFFAOYSA-N Copper Chemical compound [Cu] RYGMFSIKBFXOCR-UHFFFAOYSA-N 0.000 description 1
- VEXZGXHMUGYJMC-UHFFFAOYSA-N Hydrochloric acid Chemical compound Cl VEXZGXHMUGYJMC-UHFFFAOYSA-N 0.000 description 1
- PWHULOQIROXLJO-UHFFFAOYSA-N Manganese Chemical compound [Mn] PWHULOQIROXLJO-UHFFFAOYSA-N 0.000 description 1
- ZOKXTWBITQBERF-UHFFFAOYSA-N Molybdenum Chemical compound [Mo] ZOKXTWBITQBERF-UHFFFAOYSA-N 0.000 description 1
- JZTPOMIFAFKKSK-UHFFFAOYSA-N O-phosphonohydroxylamine Chemical compound NOP(O)(O)=O JZTPOMIFAFKKSK-UHFFFAOYSA-N 0.000 description 1
- ZCQWOFVYLHDMMC-UHFFFAOYSA-N Oxazole Chemical compound C1=COC=N1 ZCQWOFVYLHDMMC-UHFFFAOYSA-N 0.000 description 1
- 230000010718 Oxidation Activity Effects 0.000 description 1
- 241000282320 Panthera leo Species 0.000 description 1
- 239000004696 Poly ether ether ketone Substances 0.000 description 1
- 229920002319 Poly(methyl acrylate) Polymers 0.000 description 1
- 239000004962 Polyamide-imide Substances 0.000 description 1
- 239000004642 Polyimide Substances 0.000 description 1
- 239000004721 Polyphenylene oxide Substances 0.000 description 1
- 239000004372 Polyvinyl alcohol Substances 0.000 description 1
- 229920001328 Polyvinylidene chloride Polymers 0.000 description 1
- WTKZEGDFNFYCGP-UHFFFAOYSA-N Pyrazole Chemical compound C=1C=NNC=1 WTKZEGDFNFYCGP-UHFFFAOYSA-N 0.000 description 1
- CZPWVGJYEJSRLH-UHFFFAOYSA-N Pyrimidine Chemical compound C1=CN=CN=C1 CZPWVGJYEJSRLH-UHFFFAOYSA-N 0.000 description 1
- FZWLAAWBMGSTSO-UHFFFAOYSA-N Thiazole Chemical compound C1=CSC=N1 FZWLAAWBMGSTSO-UHFFFAOYSA-N 0.000 description 1
- RTAQQCXQSZGOHL-UHFFFAOYSA-N Titanium Chemical compound [Ti] RTAQQCXQSZGOHL-UHFFFAOYSA-N 0.000 description 1
- XSQUKJJJFZCRTK-UHFFFAOYSA-N Urea Chemical compound NC(N)=O XSQUKJJJFZCRTK-UHFFFAOYSA-N 0.000 description 1
- IBVAQQYNSHJXBV-UHFFFAOYSA-N adipic acid dihydrazide Chemical compound NNC(=O)CCCCC(=O)NN IBVAQQYNSHJXBV-UHFFFAOYSA-N 0.000 description 1
- 229910002065 alloy metal Inorganic materials 0.000 description 1
- 150000001412 amines Chemical class 0.000 description 1
- QZPSXPBJTPJTSZ-UHFFFAOYSA-N aqua regia Chemical compound Cl.O[N+]([O-])=O QZPSXPBJTPJTSZ-UHFFFAOYSA-N 0.000 description 1
- 239000007900 aqueous suspension Substances 0.000 description 1
- 230000000712 assembly Effects 0.000 description 1
- 238000000429 assembly Methods 0.000 description 1
- HCOMFAYPHBFMKU-UHFFFAOYSA-N butanedihydrazide Chemical compound NNC(=O)CCC(=O)NN HCOMFAYPHBFMKU-UHFFFAOYSA-N 0.000 description 1
- 239000004202 carbamide Substances 0.000 description 1
- 239000006229 carbon black Substances 0.000 description 1
- 239000001768 carboxy methyl cellulose Substances 0.000 description 1
- 235000010948 carboxy methyl cellulose Nutrition 0.000 description 1
- 239000008112 carboxymethyl-cellulose Substances 0.000 description 1
- 239000001913 cellulose Substances 0.000 description 1
- 229920002678 cellulose Polymers 0.000 description 1
- 239000013522 chelant Substances 0.000 description 1
- 238000004140 cleaning Methods 0.000 description 1
- 238000003776 cleavage reaction Methods 0.000 description 1
- GFHNAMRJFCEERV-UHFFFAOYSA-L cobalt chloride hexahydrate Chemical compound O.O.O.O.O.O.[Cl-].[Cl-].[Co+2] GFHNAMRJFCEERV-UHFFFAOYSA-L 0.000 description 1
- 238000002485 combustion reaction Methods 0.000 description 1
- 229920001577 copolymer Polymers 0.000 description 1
- 230000003247 decreasing effect Effects 0.000 description 1
- 230000007547 defect Effects 0.000 description 1
- 239000011363 dried mixture Substances 0.000 description 1
- 239000010411 electrocatalyst Substances 0.000 description 1
- 238000010828 elution Methods 0.000 description 1
- 239000003822 epoxy resin Substances 0.000 description 1
- 230000005284 excitation Effects 0.000 description 1
- 238000010304 firing Methods 0.000 description 1
- 239000007849 furan resin Substances 0.000 description 1
- UIWYJDYFSGRHKR-UHFFFAOYSA-N gadolinium atom Chemical compound [Gd] UIWYJDYFSGRHKR-UHFFFAOYSA-N 0.000 description 1
- 150000002431 hydrogen Chemical class 0.000 description 1
- 238000005984 hydrogenation reaction Methods 0.000 description 1
- NBZBKCUXIYYUSX-UHFFFAOYSA-N iminodiacetic acid Chemical compound OC(=O)CNCC(O)=O NBZBKCUXIYYUSX-UHFFFAOYSA-N 0.000 description 1
- 238000005470 impregnation Methods 0.000 description 1
- 230000006872 improvement Effects 0.000 description 1
- 230000006698 induction Effects 0.000 description 1
- 230000010354 integration Effects 0.000 description 1
- 230000001678 irradiating effect Effects 0.000 description 1
- 229920005610 lignin Polymers 0.000 description 1
- 239000003077 lignite Substances 0.000 description 1
- 239000007788 liquid Substances 0.000 description 1
- 230000014759 maintenance of location Effects 0.000 description 1
- 238000000691 measurement method Methods 0.000 description 1
- 150000001247 metal acetylides Chemical class 0.000 description 1
- 229910000000 metal hydroxide Inorganic materials 0.000 description 1
- 150000004692 metal hydroxides Chemical class 0.000 description 1
- 229910044991 metal oxide Inorganic materials 0.000 description 1
- 150000004706 metal oxides Chemical class 0.000 description 1
- 229910052976 metal sulfide Inorganic materials 0.000 description 1
- 238000001000 micrograph Methods 0.000 description 1
- 238000002156 mixing Methods 0.000 description 1
- 239000011733 molybdenum Substances 0.000 description 1
- 239000002105 nanoparticle Substances 0.000 description 1
- LAIZPRYFQUWUBN-UHFFFAOYSA-L nickel chloride hexahydrate Chemical compound O.O.O.O.O.O.[Cl-].[Cl-].[Ni+2] LAIZPRYFQUWUBN-UHFFFAOYSA-L 0.000 description 1
- GUCVJGMIXFAOAE-UHFFFAOYSA-N niobium atom Chemical compound [Nb] GUCVJGMIXFAOAE-UHFFFAOYSA-N 0.000 description 1
- 150000004767 nitrides Chemical class 0.000 description 1
- 150000002829 nitrogen Chemical class 0.000 description 1
- 125000004355 nitrogen functional group Chemical group 0.000 description 1
- 230000006911 nucleation Effects 0.000 description 1
- 238000010899 nucleation Methods 0.000 description 1
- 150000007523 nucleic acids Chemical class 0.000 description 1
- 102000039446 nucleic acids Human genes 0.000 description 1
- 108020004707 nucleic acids Proteins 0.000 description 1
- 229920000368 omega-hydroxypoly(furan-2,5-diylmethylene) polymer Polymers 0.000 description 1
- 230000010355 oscillation Effects 0.000 description 1
- 239000005011 phenolic resin Substances 0.000 description 1
- 150000003057 platinum Chemical class 0.000 description 1
- 231100000572 poisoning Toxicity 0.000 description 1
- 230000000607 poisoning effect Effects 0.000 description 1
- 229920000747 poly(lactic acid) Polymers 0.000 description 1
- 229920003229 poly(methyl methacrylate) Polymers 0.000 description 1
- 229920002492 poly(sulfone) Polymers 0.000 description 1
- 229920002037 poly(vinyl butyral) polymer Polymers 0.000 description 1
- 229920002312 polyamide-imide Polymers 0.000 description 1
- 229920000768 polyamine Polymers 0.000 description 1
- 229920000767 polyaniline Polymers 0.000 description 1
- 229920001088 polycarbazole Polymers 0.000 description 1
- 229920000647 polyepoxide Polymers 0.000 description 1
- 229920000728 polyester Polymers 0.000 description 1
- 229920000570 polyether Polymers 0.000 description 1
- 229920002530 polyetherether ketone Polymers 0.000 description 1
- 229920001721 polyimide Polymers 0.000 description 1
- 239000004626 polylactic acid Substances 0.000 description 1
- 239000005518 polymer electrolyte Substances 0.000 description 1
- 239000004926 polymethyl methacrylate Substances 0.000 description 1
- 229920000128 polypyrrole Polymers 0.000 description 1
- 239000004814 polyurethane Substances 0.000 description 1
- 229920002635 polyurethane Polymers 0.000 description 1
- 229920002451 polyvinyl alcohol Polymers 0.000 description 1
- 239000005033 polyvinylidene chloride Substances 0.000 description 1
- 229920002717 polyvinylpyridine Polymers 0.000 description 1
- 238000003825 pressing Methods 0.000 description 1
- 238000012545 processing Methods 0.000 description 1
- 238000010298 pulverizing process Methods 0.000 description 1
- 239000010453 quartz Substances 0.000 description 1
- 239000000376 reactant Substances 0.000 description 1
- 230000001105 regulatory effect Effects 0.000 description 1
- 230000002441 reversible effect Effects 0.000 description 1
- 230000000630 rising effect Effects 0.000 description 1
- 150000003839 salts Chemical class 0.000 description 1
- 238000005070 sampling Methods 0.000 description 1
- 238000009738 saturating Methods 0.000 description 1
- SIXSYDAISGFNSX-UHFFFAOYSA-N scandium atom Chemical compound [Sc] SIXSYDAISGFNSX-UHFFFAOYSA-N 0.000 description 1
- 230000007017 scission Effects 0.000 description 1
- VSZWPYCFIRKVQL-UHFFFAOYSA-N selanylidenegallium;selenium Chemical compound [Se].[Se]=[Ga].[Se]=[Ga] VSZWPYCFIRKVQL-UHFFFAOYSA-N 0.000 description 1
- VYPSYNLAJGMNEJ-UHFFFAOYSA-N silicon dioxide Inorganic materials O=[Si]=O VYPSYNLAJGMNEJ-UHFFFAOYSA-N 0.000 description 1
- 239000010944 silver (metal) Substances 0.000 description 1
- 239000002904 solvent Substances 0.000 description 1
- 230000006641 stabilisation Effects 0.000 description 1
- 238000011105 stabilization Methods 0.000 description 1
- 230000000087 stabilizing effect Effects 0.000 description 1
- 239000004094 surface-active agent Substances 0.000 description 1
- JBQYATWDVHIOAR-UHFFFAOYSA-N tellanylidenegermanium Chemical compound [Te]=[Ge] JBQYATWDVHIOAR-UHFFFAOYSA-N 0.000 description 1
- 229920005992 thermoplastic resin Polymers 0.000 description 1
- 229920001187 thermosetting polymer Polymers 0.000 description 1
- 229930192474 thiophene Natural products 0.000 description 1
- 239000011573 trace mineral Substances 0.000 description 1
- 235000013619 trace mineral Nutrition 0.000 description 1
- 230000001131 transforming effect Effects 0.000 description 1
- ZSDSQXJSNMTJDA-UHFFFAOYSA-N trifluralin Chemical compound CCCN(CCC)C1=C([N+]([O-])=O)C=C(C(F)(F)F)C=C1[N+]([O-])=O ZSDSQXJSNMTJDA-UHFFFAOYSA-N 0.000 description 1
- 238000001132 ultrasonic dispersion Methods 0.000 description 1
- LEONUFNNVUYDNQ-UHFFFAOYSA-N vanadium atom Chemical compound [V] LEONUFNNVUYDNQ-UHFFFAOYSA-N 0.000 description 1
- 238000005406 washing Methods 0.000 description 1
- 238000004736 wide-angle X-ray diffraction Methods 0.000 description 1
- 210000002268 wool Anatomy 0.000 description 1
- VWQVUPCCIRVNHF-UHFFFAOYSA-N yttrium atom Chemical compound [Y] VWQVUPCCIRVNHF-UHFFFAOYSA-N 0.000 description 1
- 235000005074 zinc chloride Nutrition 0.000 description 1
- 239000011592 zinc chloride Substances 0.000 description 1
Images
Classifications
-
- H—ELECTRICITY
- H01—ELECTRIC ELEMENTS
- H01M—PROCESSES OR MEANS, e.g. BATTERIES, FOR THE DIRECT CONVERSION OF CHEMICAL ENERGY INTO ELECTRICAL ENERGY
- H01M4/00—Electrodes
- H01M4/86—Inert electrodes with catalytic activity, e.g. for fuel cells
- H01M4/88—Processes of manufacture
-
- B—PERFORMING OPERATIONS; TRANSPORTING
- B01—PHYSICAL OR CHEMICAL PROCESSES OR APPARATUS IN GENERAL
- B01J—CHEMICAL OR PHYSICAL PROCESSES, e.g. CATALYSIS OR COLLOID CHEMISTRY; THEIR RELEVANT APPARATUS
- B01J35/00—Catalysts, in general, characterised by their form or physical properties
- B01J35/60—Catalysts, in general, characterised by their form or physical properties characterised by their surface properties or porosity
- B01J35/66—Pore distribution
-
- H—ELECTRICITY
- H01—ELECTRIC ELEMENTS
- H01M—PROCESSES OR MEANS, e.g. BATTERIES, FOR THE DIRECT CONVERSION OF CHEMICAL ENERGY INTO ELECTRICAL ENERGY
- H01M4/00—Electrodes
- H01M4/86—Inert electrodes with catalytic activity, e.g. for fuel cells
- H01M4/90—Selection of catalytic material
- H01M4/92—Metals of platinum group
- H01M4/925—Metals of platinum group supported on carriers, e.g. powder carriers
- H01M4/926—Metals of platinum group supported on carriers, e.g. powder carriers on carbon or graphite
-
- B—PERFORMING OPERATIONS; TRANSPORTING
- B01—PHYSICAL OR CHEMICAL PROCESSES OR APPARATUS IN GENERAL
- B01J—CHEMICAL OR PHYSICAL PROCESSES, e.g. CATALYSIS OR COLLOID CHEMISTRY; THEIR RELEVANT APPARATUS
- B01J21/00—Catalysts comprising the elements, oxides, or hydroxides of magnesium, boron, aluminium, carbon, silicon, titanium, zirconium, or hafnium
- B01J21/18—Carbon
-
- B—PERFORMING OPERATIONS; TRANSPORTING
- B01—PHYSICAL OR CHEMICAL PROCESSES OR APPARATUS IN GENERAL
- B01J—CHEMICAL OR PHYSICAL PROCESSES, e.g. CATALYSIS OR COLLOID CHEMISTRY; THEIR RELEVANT APPARATUS
- B01J23/00—Catalysts comprising metals or metal oxides or hydroxides, not provided for in group B01J21/00
- B01J23/38—Catalysts comprising metals or metal oxides or hydroxides, not provided for in group B01J21/00 of noble metals
-
- B—PERFORMING OPERATIONS; TRANSPORTING
- B01—PHYSICAL OR CHEMICAL PROCESSES OR APPARATUS IN GENERAL
- B01J—CHEMICAL OR PHYSICAL PROCESSES, e.g. CATALYSIS OR COLLOID CHEMISTRY; THEIR RELEVANT APPARATUS
- B01J23/00—Catalysts comprising metals or metal oxides or hydroxides, not provided for in group B01J21/00
- B01J23/70—Catalysts comprising metals or metal oxides or hydroxides, not provided for in group B01J21/00 of the iron group metals or copper
- B01J23/89—Catalysts comprising metals or metal oxides or hydroxides, not provided for in group B01J21/00 of the iron group metals or copper combined with noble metals
-
- B—PERFORMING OPERATIONS; TRANSPORTING
- B01—PHYSICAL OR CHEMICAL PROCESSES OR APPARATUS IN GENERAL
- B01J—CHEMICAL OR PHYSICAL PROCESSES, e.g. CATALYSIS OR COLLOID CHEMISTRY; THEIR RELEVANT APPARATUS
- B01J23/00—Catalysts comprising metals or metal oxides or hydroxides, not provided for in group B01J21/00
- B01J23/70—Catalysts comprising metals or metal oxides or hydroxides, not provided for in group B01J21/00 of the iron group metals or copper
- B01J23/89—Catalysts comprising metals or metal oxides or hydroxides, not provided for in group B01J21/00 of the iron group metals or copper combined with noble metals
- B01J23/8906—Iron and noble metals
-
- B—PERFORMING OPERATIONS; TRANSPORTING
- B01—PHYSICAL OR CHEMICAL PROCESSES OR APPARATUS IN GENERAL
- B01J—CHEMICAL OR PHYSICAL PROCESSES, e.g. CATALYSIS OR COLLOID CHEMISTRY; THEIR RELEVANT APPARATUS
- B01J23/00—Catalysts comprising metals or metal oxides or hydroxides, not provided for in group B01J21/00
- B01J23/70—Catalysts comprising metals or metal oxides or hydroxides, not provided for in group B01J21/00 of the iron group metals or copper
- B01J23/89—Catalysts comprising metals or metal oxides or hydroxides, not provided for in group B01J21/00 of the iron group metals or copper combined with noble metals
- B01J23/8913—Cobalt and noble metals
-
- B—PERFORMING OPERATIONS; TRANSPORTING
- B01—PHYSICAL OR CHEMICAL PROCESSES OR APPARATUS IN GENERAL
- B01J—CHEMICAL OR PHYSICAL PROCESSES, e.g. CATALYSIS OR COLLOID CHEMISTRY; THEIR RELEVANT APPARATUS
- B01J23/00—Catalysts comprising metals or metal oxides or hydroxides, not provided for in group B01J21/00
- B01J23/70—Catalysts comprising metals or metal oxides or hydroxides, not provided for in group B01J21/00 of the iron group metals or copper
- B01J23/89—Catalysts comprising metals or metal oxides or hydroxides, not provided for in group B01J21/00 of the iron group metals or copper combined with noble metals
- B01J23/892—Nickel and noble metals
-
- B—PERFORMING OPERATIONS; TRANSPORTING
- B01—PHYSICAL OR CHEMICAL PROCESSES OR APPARATUS IN GENERAL
- B01J—CHEMICAL OR PHYSICAL PROCESSES, e.g. CATALYSIS OR COLLOID CHEMISTRY; THEIR RELEVANT APPARATUS
- B01J27/00—Catalysts comprising the elements or compounds of halogens, sulfur, selenium, tellurium, phosphorus or nitrogen; Catalysts comprising carbon compounds
- B01J27/24—Nitrogen compounds
-
- B—PERFORMING OPERATIONS; TRANSPORTING
- B01—PHYSICAL OR CHEMICAL PROCESSES OR APPARATUS IN GENERAL
- B01J—CHEMICAL OR PHYSICAL PROCESSES, e.g. CATALYSIS OR COLLOID CHEMISTRY; THEIR RELEVANT APPARATUS
- B01J35/00—Catalysts, in general, characterised by their form or physical properties
- B01J35/30—Catalysts, in general, characterised by their form or physical properties characterised by their physical properties
- B01J35/33—Electric or magnetic properties
-
- B—PERFORMING OPERATIONS; TRANSPORTING
- B01—PHYSICAL OR CHEMICAL PROCESSES OR APPARATUS IN GENERAL
- B01J—CHEMICAL OR PHYSICAL PROCESSES, e.g. CATALYSIS OR COLLOID CHEMISTRY; THEIR RELEVANT APPARATUS
- B01J35/00—Catalysts, in general, characterised by their form or physical properties
- B01J35/60—Catalysts, in general, characterised by their form or physical properties characterised by their surface properties or porosity
- B01J35/61—Surface area
- B01J35/618—Surface area more than 1000 m2/g
-
- B—PERFORMING OPERATIONS; TRANSPORTING
- B01—PHYSICAL OR CHEMICAL PROCESSES OR APPARATUS IN GENERAL
- B01J—CHEMICAL OR PHYSICAL PROCESSES, e.g. CATALYSIS OR COLLOID CHEMISTRY; THEIR RELEVANT APPARATUS
- B01J35/00—Catalysts, in general, characterised by their form or physical properties
- B01J35/60—Catalysts, in general, characterised by their form or physical properties characterised by their surface properties or porosity
- B01J35/63—Pore volume
-
- B—PERFORMING OPERATIONS; TRANSPORTING
- B01—PHYSICAL OR CHEMICAL PROCESSES OR APPARATUS IN GENERAL
- B01J—CHEMICAL OR PHYSICAL PROCESSES, e.g. CATALYSIS OR COLLOID CHEMISTRY; THEIR RELEVANT APPARATUS
- B01J35/00—Catalysts, in general, characterised by their form or physical properties
- B01J35/60—Catalysts, in general, characterised by their form or physical properties characterised by their surface properties or porosity
- B01J35/64—Pore diameter
-
- H—ELECTRICITY
- H01—ELECTRIC ELEMENTS
- H01M—PROCESSES OR MEANS, e.g. BATTERIES, FOR THE DIRECT CONVERSION OF CHEMICAL ENERGY INTO ELECTRICAL ENERGY
- H01M12/00—Hybrid cells; Manufacture thereof
- H01M12/04—Hybrid cells; Manufacture thereof composed of a half-cell of the fuel-cell type and of a half-cell of the primary-cell type
- H01M12/06—Hybrid cells; Manufacture thereof composed of a half-cell of the fuel-cell type and of a half-cell of the primary-cell type with one metallic and one gaseous electrode
-
- H—ELECTRICITY
- H01—ELECTRIC ELEMENTS
- H01M—PROCESSES OR MEANS, e.g. BATTERIES, FOR THE DIRECT CONVERSION OF CHEMICAL ENERGY INTO ELECTRICAL ENERGY
- H01M12/00—Hybrid cells; Manufacture thereof
- H01M12/08—Hybrid cells; Manufacture thereof composed of a half-cell of a fuel-cell type and a half-cell of the secondary-cell type
-
- H—ELECTRICITY
- H01—ELECTRIC ELEMENTS
- H01M—PROCESSES OR MEANS, e.g. BATTERIES, FOR THE DIRECT CONVERSION OF CHEMICAL ENERGY INTO ELECTRICAL ENERGY
- H01M4/00—Electrodes
- H01M4/86—Inert electrodes with catalytic activity, e.g. for fuel cells
-
- H—ELECTRICITY
- H01—ELECTRIC ELEMENTS
- H01M—PROCESSES OR MEANS, e.g. BATTERIES, FOR THE DIRECT CONVERSION OF CHEMICAL ENERGY INTO ELECTRICAL ENERGY
- H01M4/00—Electrodes
- H01M4/86—Inert electrodes with catalytic activity, e.g. for fuel cells
- H01M4/90—Selection of catalytic material
-
- H—ELECTRICITY
- H01—ELECTRIC ELEMENTS
- H01M—PROCESSES OR MEANS, e.g. BATTERIES, FOR THE DIRECT CONVERSION OF CHEMICAL ENERGY INTO ELECTRICAL ENERGY
- H01M4/00—Electrodes
- H01M4/86—Inert electrodes with catalytic activity, e.g. for fuel cells
- H01M4/90—Selection of catalytic material
- H01M4/92—Metals of platinum group
-
- H—ELECTRICITY
- H01—ELECTRIC ELEMENTS
- H01M—PROCESSES OR MEANS, e.g. BATTERIES, FOR THE DIRECT CONVERSION OF CHEMICAL ENERGY INTO ELECTRICAL ENERGY
- H01M4/00—Electrodes
- H01M4/86—Inert electrodes with catalytic activity, e.g. for fuel cells
- H01M4/96—Carbon-based electrodes
-
- H—ELECTRICITY
- H01—ELECTRIC ELEMENTS
- H01M—PROCESSES OR MEANS, e.g. BATTERIES, FOR THE DIRECT CONVERSION OF CHEMICAL ENERGY INTO ELECTRICAL ENERGY
- H01M8/00—Fuel cells; Manufacture thereof
- H01M8/10—Fuel cells with solid electrolytes
-
- H—ELECTRICITY
- H01—ELECTRIC ELEMENTS
- H01M—PROCESSES OR MEANS, e.g. BATTERIES, FOR THE DIRECT CONVERSION OF CHEMICAL ENERGY INTO ELECTRICAL ENERGY
- H01M8/00—Fuel cells; Manufacture thereof
- H01M8/10—Fuel cells with solid electrolytes
- H01M8/1016—Fuel cells with solid electrolytes characterised by the electrolyte material
- H01M8/1018—Polymeric electrolyte materials
- H01M8/102—Polymeric electrolyte materials characterised by the chemical structure of the main chain of the ion-conducting polymer
- H01M8/1032—Polymeric electrolyte materials characterised by the chemical structure of the main chain of the ion-conducting polymer having sulfur, e.g. sulfonated-polyethersulfones [S-PES]
-
- H—ELECTRICITY
- H01—ELECTRIC ELEMENTS
- H01M—PROCESSES OR MEANS, e.g. BATTERIES, FOR THE DIRECT CONVERSION OF CHEMICAL ENERGY INTO ELECTRICAL ENERGY
- H01M8/00—Fuel cells; Manufacture thereof
- H01M8/10—Fuel cells with solid electrolytes
- H01M8/1016—Fuel cells with solid electrolytes characterised by the electrolyte material
- H01M8/1018—Polymeric electrolyte materials
- H01M8/1039—Polymeric electrolyte materials halogenated, e.g. sulfonated polyvinylidene fluorides
-
- H—ELECTRICITY
- H01—ELECTRIC ELEMENTS
- H01M—PROCESSES OR MEANS, e.g. BATTERIES, FOR THE DIRECT CONVERSION OF CHEMICAL ENERGY INTO ELECTRICAL ENERGY
- H01M4/00—Electrodes
- H01M4/86—Inert electrodes with catalytic activity, e.g. for fuel cells
- H01M2004/8678—Inert electrodes with catalytic activity, e.g. for fuel cells characterised by the polarity
- H01M2004/8689—Positive electrodes
-
- H—ELECTRICITY
- H01—ELECTRIC ELEMENTS
- H01M—PROCESSES OR MEANS, e.g. BATTERIES, FOR THE DIRECT CONVERSION OF CHEMICAL ENERGY INTO ELECTRICAL ENERGY
- H01M8/00—Fuel cells; Manufacture thereof
- H01M8/10—Fuel cells with solid electrolytes
- H01M2008/1095—Fuel cells with polymeric electrolytes
-
- H—ELECTRICITY
- H01—ELECTRIC ELEMENTS
- H01M—PROCESSES OR MEANS, e.g. BATTERIES, FOR THE DIRECT CONVERSION OF CHEMICAL ENERGY INTO ELECTRICAL ENERGY
- H01M2300/00—Electrolytes
- H01M2300/0017—Non-aqueous electrolytes
- H01M2300/0065—Solid electrolytes
- H01M2300/0082—Organic polymers
-
- Y—GENERAL TAGGING OF NEW TECHNOLOGICAL DEVELOPMENTS; GENERAL TAGGING OF CROSS-SECTIONAL TECHNOLOGIES SPANNING OVER SEVERAL SECTIONS OF THE IPC; TECHNICAL SUBJECTS COVERED BY FORMER USPC CROSS-REFERENCE ART COLLECTIONS [XRACs] AND DIGESTS
- Y02—TECHNOLOGIES OR APPLICATIONS FOR MITIGATION OR ADAPTATION AGAINST CLIMATE CHANGE
- Y02E—REDUCTION OF GREENHOUSE GAS [GHG] EMISSIONS, RELATED TO ENERGY GENERATION, TRANSMISSION OR DISTRIBUTION
- Y02E60/00—Enabling technologies; Technologies with a potential or indirect contribution to GHG emissions mitigation
- Y02E60/30—Hydrogen technology
- Y02E60/50—Fuel cells
Landscapes
- Chemical & Material Sciences (AREA)
- Chemical Kinetics & Catalysis (AREA)
- Engineering & Computer Science (AREA)
- General Chemical & Material Sciences (AREA)
- Electrochemistry (AREA)
- Materials Engineering (AREA)
- Organic Chemistry (AREA)
- Manufacturing & Machinery (AREA)
- Sustainable Energy (AREA)
- Life Sciences & Earth Sciences (AREA)
- Sustainable Development (AREA)
- Crystallography & Structural Chemistry (AREA)
- Catalysts (AREA)
- Inert Electrodes (AREA)
- Hybrid Cells (AREA)
- Fuel Cell (AREA)
Applications Claiming Priority (3)
| Application Number | Priority Date | Filing Date | Title |
|---|---|---|---|
| JP2019143406A JP7175857B2 (ja) | 2019-08-02 | 2019-08-02 | 金属担持触媒、電池電極及び電池 |
| JPJP-P-2019-143406 | 2019-08-02 | ||
| PCT/JP2020/026045 WO2021024658A1 (ja) | 2019-08-02 | 2020-07-02 | 金属担持触媒、電池電極及び電池 |
Publications (1)
| Publication Number | Publication Date |
|---|---|
| KR20220038754A true KR20220038754A (ko) | 2022-03-29 |
Family
ID=74502952
Family Applications (1)
| Application Number | Title | Priority Date | Filing Date |
|---|---|---|---|
| KR1020227006443A Pending KR20220038754A (ko) | 2019-08-02 | 2020-07-02 | 금속 담지 촉매, 전지 전극 및 전지 |
Country Status (7)
| Country | Link |
|---|---|
| US (1) | US12132212B2 (enExample) |
| EP (1) | EP4008430A4 (enExample) |
| JP (1) | JP7175857B2 (enExample) |
| KR (1) | KR20220038754A (enExample) |
| CN (1) | CN114245944B (enExample) |
| CA (1) | CA3149149A1 (enExample) |
| WO (1) | WO2021024658A1 (enExample) |
Families Citing this family (8)
| Publication number | Priority date | Publication date | Assignee | Title |
|---|---|---|---|---|
| JP7158350B2 (ja) | 2019-08-02 | 2022-10-21 | 日清紡ホールディングス株式会社 | 金属担持触媒、電池電極及び電池 |
| JP7130311B2 (ja) * | 2019-08-02 | 2022-09-05 | 日清紡ホールディングス株式会社 | 金属担持触媒、電池電極及び電池 |
| JP7408614B2 (ja) * | 2021-12-01 | 2024-01-05 | 日清紡ホールディングス株式会社 | 水素製造用触媒及び水素製造方法 |
| JP2023129139A (ja) * | 2022-03-04 | 2023-09-14 | 日清紡ホールディングス株式会社 | 金属担持触媒及びその製造方法並びに電極及び電池 |
| JP7720272B2 (ja) * | 2022-03-04 | 2025-08-07 | 日清紡ホールディングス株式会社 | 金属担持触媒、電極及び電池 |
| WO2025005291A1 (ja) * | 2023-06-30 | 2025-01-02 | 日鉄ケミカル&マテリアル株式会社 | 固体高分子型燃料電池の触媒担体用炭素材料、固体高分子型燃料電池用触媒層、及び燃料電池 |
| JP7717304B2 (ja) * | 2023-06-30 | 2025-08-01 | 日鉄ケミカル&マテリアル株式会社 | 酸素処理カーボンブラック、賦活カーボンブラック、固体高分子型燃料電池の触媒担体用炭素材料、固体高分子型燃料電池用触媒層、及び燃料電池 |
| CN117534056B (zh) * | 2023-12-20 | 2024-09-13 | 江苏浦士达环保科技股份有限公司 | 一种木质硬炭材料,其制备方法及其应用 |
Citations (2)
| Publication number | Priority date | Publication date | Assignee | Title |
|---|---|---|---|---|
| JP2018181739A (ja) | 2017-04-19 | 2018-11-15 | 株式会社豊田中央研究所 | 空気極用電極触媒 |
| JP2019517110A (ja) | 2016-05-25 | 2019-06-20 | ジョンソン、マッセイ、フュエル、セルズ、リミテッドJohnson Matthey Fuel Cells Limited | 触媒 |
Family Cites Families (51)
| Publication number | Priority date | Publication date | Assignee | Title |
|---|---|---|---|---|
| US4613582A (en) | 1983-01-17 | 1986-09-23 | United Technologies Corporation | Method for making ternary fuel cell catalysts containing platinum cobalt and chromium |
| US4677092A (en) | 1983-01-17 | 1987-06-30 | International Fuel Cells Corporation | Ordered ternary fuel cell catalysts containing platinum and cobalt and method for making the catalysts |
| US4447506A (en) | 1983-01-17 | 1984-05-08 | United Technologies Corporation | Ternary fuel cell catalysts containing platinum, cobalt and chromium |
| US4711829A (en) | 1985-12-23 | 1987-12-08 | International Fuel Cells Corporation | Ordered ternary fuel cell catalysts containing platinum and cobalt |
| JPH07155618A (ja) | 1993-12-06 | 1995-06-20 | Hitachi Ltd | 担持金属触媒、及びその製造方法 |
| JP2003518132A (ja) | 1999-12-21 | 2003-06-03 | モンサント テクノロジー エルエルシー | 炭素支持貴金属含有触媒と組み合わせた促進助剤の液相酸化反応における使用 |
| JP5281221B2 (ja) | 2001-08-03 | 2013-09-04 | トヨタ自動車株式会社 | 貴金属−卑金属合金系触媒とその評価および製造方法 |
| KR100480969B1 (ko) | 2003-03-10 | 2005-04-14 | 한국에너지기술연구원 | 일산화탄소에 대한 내피독성 지지체를 이용한 연료전지용전극촉매 |
| CN100466345C (zh) | 2004-04-22 | 2009-03-04 | 新日本制铁株式会社 | 燃料电池和燃料电池用气体扩散电极 |
| KR100897637B1 (ko) | 2004-04-22 | 2009-05-14 | 신닛뽄세이테쯔 카부시키카이샤 | 연료 전지 및 연료 전지용 가스 확산 전극 |
| US7867648B2 (en) * | 2005-02-16 | 2011-01-11 | 3M Innovative Properties Company | Fuel cell catalyst |
| KR101255237B1 (ko) | 2006-02-07 | 2013-04-16 | 삼성에스디아이 주식회사 | 연료전지용 담지 촉매, 그 제조방법, 이를 포함하는연료전지용 전극 및 상기 전극을 포함하는 연료전지 |
| AU2007217054A1 (en) | 2006-02-17 | 2007-08-30 | Monsanto Technology Llc | Transition metal-containing catalysts and processes for their preparation and use as fuel cell catalysts |
| JP5164373B2 (ja) | 2006-12-20 | 2013-03-21 | 新日鐵住金株式会社 | 固体高分子型燃料電池用触媒 |
| JP5166842B2 (ja) | 2007-06-11 | 2013-03-21 | トヨタ自動車株式会社 | 燃料電池用電極触媒、その製造法、及びその電極触媒を用いた燃料電池 |
| JP5314910B2 (ja) | 2008-03-26 | 2013-10-16 | 株式会社東芝 | メタノール酸化触媒およびその製造方法 |
| CA2725434C (en) | 2008-05-01 | 2017-02-28 | Monsanto Technology Llc | Metal utilization in supported, metal-containing catalysts |
| US8252953B2 (en) | 2008-05-01 | 2012-08-28 | Monsanto Technology Llc | Metal utilization in supported, metal-containing catalysts |
| JP5456561B2 (ja) | 2009-06-11 | 2014-04-02 | 本田技研工業株式会社 | 酸化還元反応用合金触媒 |
| JP4964292B2 (ja) | 2009-12-07 | 2012-06-27 | 日清紡ホールディングス株式会社 | 電極及び電池 |
| US8709295B2 (en) * | 2010-04-26 | 2014-04-29 | Los Alamos National Security, Llc | Nitrogen-doped carbon-supported cobalt-iron oxygen reduction catalyst |
| KR101240971B1 (ko) | 2010-07-30 | 2013-03-11 | 기아자동차주식회사 | 연료전지 촉매 및 제조방법 |
| AU2013290185B2 (en) | 2012-07-11 | 2016-06-30 | Stc.Unm | Carbendazim-based catalytic materials |
| JP6244936B2 (ja) * | 2013-01-30 | 2017-12-13 | 東洋インキScホールディングス株式会社 | 炭素触媒及びその製造方法、及び該炭素触媒を用いた触媒インキ並びに燃料電池 |
| KR101757088B1 (ko) | 2013-02-15 | 2017-07-11 | 다나카 기킨조쿠 고교 가부시키가이샤 | 고체 고분자형 연료 전지용 촉매 및 그 제조 방법 |
| EP2959970B1 (en) | 2013-02-21 | 2018-12-05 | Nippon Steel & Sumikin Chemical Co., Ltd. | Carbon material for catalyst support use |
| US9812719B2 (en) | 2013-03-11 | 2017-11-07 | Stc.Unm | Mixed-reactant fuel cells with selective electrodes |
| JP6156490B2 (ja) | 2013-04-25 | 2017-07-05 | 日産自動車株式会社 | 燃料電池用電極触媒ならびに当該触媒を用いる電極触媒層、膜電極接合体および燃料電池 |
| KR20160052588A (ko) | 2013-09-06 | 2016-05-12 | 셰브론 필립스 케미컬 컴퍼니 엘피 | 쌍봉 지지체를 포함하는 선택적 수소화 촉매 및 이의 제조 및 사용 방법 |
| CN103721736B (zh) | 2013-12-27 | 2016-04-06 | 北京大学 | 氮化铁/氮掺杂石墨烯气凝胶及其制备方法和应用 |
| CN106030877B (zh) | 2014-03-19 | 2018-11-02 | 新日铁住金株式会社 | 固体高分子型燃料电池用的载体碳材料和担载有催化剂金属粒子的碳材料 |
| JP6411770B2 (ja) | 2014-04-15 | 2018-10-24 | トヨタ自動車株式会社 | 燃料電池用電極触媒、及び燃料電池用電極触媒の製造方法 |
| WO2015178459A1 (ja) | 2014-05-23 | 2015-11-26 | 三菱化学株式会社 | 金属担持触媒、金属担持触媒の保存方法及びアルコールの製造方法 |
| WO2016067876A1 (ja) | 2014-10-29 | 2016-05-06 | 日産自動車株式会社 | 燃料電池用電極触媒、燃料電池用電極触媒層、その製造方法ならびに当該触媒層を用いる膜電極接合体および燃料電池 |
| JP6327681B2 (ja) | 2014-10-29 | 2018-05-23 | 日産自動車株式会社 | 燃料電池用電極触媒、その製造方法、当該触媒を含む燃料電池用電極触媒層ならびに当該触媒または触媒層を用いる燃料電池用膜電極接合体および燃料電池 |
| WO2016133921A1 (en) * | 2015-02-16 | 2016-08-25 | Stc.Unm | Materials with atomically dispersed chemical moieties |
| EP3271071A1 (en) | 2015-03-20 | 2018-01-24 | BASF Corporation | Pt and/or pd egg-shell catalyst and use thereof |
| CA2951407C (en) | 2015-03-31 | 2019-10-22 | N.E. Chemcat Corporation | Composite particle having a core containing pd and a shell containing pt for use as a structural component of an electrode catalyst |
| US20170033368A1 (en) | 2015-07-31 | 2017-02-02 | GM Global Technology Operations LLC | Oxidative Control of Pore Structure in Carbon-Supported PGM-Based Catalysts |
| JP6352955B2 (ja) | 2016-01-08 | 2018-07-04 | トヨタ自動車株式会社 | 燃料電池用電極触媒、及び燃料電池用電極触媒の製造方法 |
| JP2017147187A (ja) | 2016-02-19 | 2017-08-24 | トヨタ自動車株式会社 | 燃料電池用電極触媒の製造方法 |
| KR20190003554A (ko) * | 2016-05-02 | 2019-01-09 | 히타치가세이가부시끼가이샤 | 리튬 이온 2차 전지용 음극재, 리튬 이온 2차 전지용 음극재의 제조 방법, 리튬 이온 2차 전지용 음극 및 리튬 이온 2차 전지 |
| JP6800608B2 (ja) | 2016-05-17 | 2020-12-16 | 日清紡ホールディングス株式会社 | 電池電極、電池電極触媒層用組成物及び電池 |
| JP2017210638A (ja) * | 2016-05-24 | 2017-11-30 | 東洋インキScホールディングス株式会社 | 水電解用炭素触媒及びその製造方法、及び該炭素触媒を用いた水電解用触媒インキ並びに水電解装置 |
| US9947935B1 (en) | 2016-09-30 | 2018-04-17 | GM Global Technology Operations LLC | Facile control of pore structure in carbon-supported PGM-based catalysts |
| KR102019826B1 (ko) * | 2016-10-18 | 2019-09-10 | 한국에너지기술연구원 | 연료전지용 하이브리드형 전극 촉매 및 그 제조 방법 |
| JP6857878B2 (ja) * | 2016-12-06 | 2021-04-14 | 日清紡ホールディングス株式会社 | 炭素触媒並びにこれを含む電極及び電池 |
| JP6608800B2 (ja) | 2016-12-09 | 2019-11-20 | トヨタ自動車株式会社 | 燃料電池用電極触媒 |
| WO2019013052A1 (ja) | 2017-07-13 | 2019-01-17 | 日清紡ホールディングス株式会社 | 炭素触媒、電池電極及び電池 |
| US11344867B2 (en) | 2017-07-13 | 2022-05-31 | Nisshinbo Holdings Inc. | Carbon catalyst, battery electrode and battery |
| KR102223655B1 (ko) * | 2019-07-15 | 2021-03-05 | 한국과학기술연구원 | 연료전지 촉매 및 그 제조방법 |
-
2019
- 2019-08-02 JP JP2019143406A patent/JP7175857B2/ja active Active
-
2020
- 2020-07-02 EP EP20849249.6A patent/EP4008430A4/en active Pending
- 2020-07-02 US US17/631,243 patent/US12132212B2/en active Active
- 2020-07-02 KR KR1020227006443A patent/KR20220038754A/ko active Pending
- 2020-07-02 WO PCT/JP2020/026045 patent/WO2021024658A1/ja not_active Ceased
- 2020-07-02 CA CA3149149A patent/CA3149149A1/en active Pending
- 2020-07-02 CN CN202080056171.XA patent/CN114245944B/zh active Active
Patent Citations (2)
| Publication number | Priority date | Publication date | Assignee | Title |
|---|---|---|---|---|
| JP2019517110A (ja) | 2016-05-25 | 2019-06-20 | ジョンソン、マッセイ、フュエル、セルズ、リミテッドJohnson Matthey Fuel Cells Limited | 触媒 |
| JP2018181739A (ja) | 2017-04-19 | 2018-11-15 | 株式会社豊田中央研究所 | 空気極用電極触媒 |
Also Published As
| Publication number | Publication date |
|---|---|
| EP4008430A1 (en) | 2022-06-08 |
| WO2021024658A1 (ja) | 2021-02-11 |
| US20220285696A1 (en) | 2022-09-08 |
| CN114245944A (zh) | 2022-03-25 |
| JP2021023874A (ja) | 2021-02-22 |
| EP4008430A4 (en) | 2024-10-30 |
| CN114245944B (zh) | 2023-11-24 |
| US12132212B2 (en) | 2024-10-29 |
| CA3149149A1 (en) | 2021-02-11 |
| JP7175857B2 (ja) | 2022-11-21 |
Similar Documents
| Publication | Publication Date | Title |
|---|---|---|
| US12249722B2 (en) | Metal-loaded catalyst, battery electrode and battery | |
| US12132212B2 (en) | Metal supported catalyst, battery electrode, and battery | |
| US12362365B2 (en) | Metal-supported catalyst, battery electrode, and battery | |
| CA2817237C (en) | Carbon catalyst and process for production thereof, and electrode and battery each equipped with same | |
| US12080896B2 (en) | Carbon catalyst, battery electrode, and battery | |
| KR20240159589A (ko) | 탄소담체 그리고 이를 포함하는 금속담지촉매, 전극 및 전지 | |
| KR20230065994A (ko) | 금속 담지 촉매, 전지 전극 및 전지 | |
| WO2022054485A1 (ja) | 金属担持触媒、電池電極及び電池 | |
| JP7720272B2 (ja) | 金属担持触媒、電極及び電池 | |
| EP4667098A1 (en) | Carbon carrier, metal-supported catalyst, electrode, and fuel cell | |
| CN118871198A (zh) | 负载型金属催化剂、电极和电池 |
Legal Events
| Date | Code | Title | Description |
|---|---|---|---|
| PA0105 | International application |
Patent event date: 20220224 Patent event code: PA01051R01D Comment text: International Patent Application |
|
| PG1501 | Laying open of application | ||
| E902 | Notification of reason for refusal | ||
| PE0902 | Notice of grounds for rejection |
Comment text: Notification of reason for refusal Patent event date: 20250422 Patent event code: PE09021S01D |