KR20140037868A - 폐동맥 고혈압의 치료에서 마이크로rna를 조절하는 방법 - Google Patents
폐동맥 고혈압의 치료에서 마이크로rna를 조절하는 방법 Download PDFInfo
- Publication number
- KR20140037868A KR20140037868A KR1020137032530A KR20137032530A KR20140037868A KR 20140037868 A KR20140037868 A KR 20140037868A KR 1020137032530 A KR1020137032530 A KR 1020137032530A KR 20137032530 A KR20137032530 A KR 20137032530A KR 20140037868 A KR20140037868 A KR 20140037868A
- Authority
- KR
- South Korea
- Prior art keywords
- mir
- inhibitor
- sequence
- antisense oligonucleotide
- modification
- Prior art date
- Legal status (The legal status is an assumption and is not a legal conclusion. Google has not performed a legal analysis and makes no representation as to the accuracy of the status listed.)
- Withdrawn
Links
- 206010064911 Pulmonary arterial hypertension Diseases 0.000 title claims abstract description 97
- 238000000034 method Methods 0.000 title claims abstract description 63
- 238000011282 treatment Methods 0.000 title claims abstract description 24
- 108091070501 miRNA Proteins 0.000 title description 14
- 108091028684 Mir-145 Proteins 0.000 claims abstract description 321
- 239000003112 inhibitor Substances 0.000 claims abstract description 101
- 230000003405 preventing effect Effects 0.000 claims abstract description 16
- 208000002815 pulmonary hypertension Diseases 0.000 claims abstract description 16
- 230000002265 prevention Effects 0.000 claims abstract description 10
- 239000000074 antisense oligonucleotide Substances 0.000 claims description 78
- 238000012230 antisense oligonucleotides Methods 0.000 claims description 78
- 108091034117 Oligonucleotide Proteins 0.000 claims description 59
- 241000282414 Homo sapiens Species 0.000 claims description 49
- 230000000295 complement effect Effects 0.000 claims description 46
- 125000003729 nucleotide group Chemical group 0.000 claims description 41
- 230000004048 modification Effects 0.000 claims description 39
- 238000012986 modification Methods 0.000 claims description 39
- 239000002773 nucleotide Substances 0.000 claims description 38
- 108090000623 proteins and genes Proteins 0.000 claims description 32
- 230000035772 mutation Effects 0.000 claims description 29
- 108020000948 Antisense Oligonucleotides Proteins 0.000 claims description 25
- 235000000346 sugar Nutrition 0.000 claims description 21
- 102000039446 nucleic acids Human genes 0.000 claims description 16
- 108020004707 nucleic acids Proteins 0.000 claims description 16
- 150000007523 nucleic acids Chemical class 0.000 claims description 16
- 239000000843 powder Substances 0.000 claims description 12
- 239000002777 nucleoside Substances 0.000 claims description 10
- 150000003833 nucleoside derivatives Chemical class 0.000 claims description 9
- 125000002619 bicyclic group Chemical group 0.000 claims description 8
- 102000004169 proteins and genes Human genes 0.000 claims description 8
- RYYWUUFWQRZTIU-UHFFFAOYSA-K thiophosphate Chemical compound [O-]P([O-])([O-])=S RYYWUUFWQRZTIU-UHFFFAOYSA-K 0.000 claims description 6
- 239000008263 liquid aerosol Substances 0.000 claims description 5
- 210000000988 bone and bone Anatomy 0.000 claims description 3
- 230000000921 morphogenic effect Effects 0.000 claims 2
- 230000014509 gene expression Effects 0.000 abstract description 108
- 230000000694 effects Effects 0.000 abstract description 22
- 239000008194 pharmaceutical composition Substances 0.000 abstract description 13
- 241000699670 Mus sp. Species 0.000 description 118
- 206010021143 Hypoxia Diseases 0.000 description 71
- 210000004072 lung Anatomy 0.000 description 63
- 108091032973 (ribonucleotides)n+m Proteins 0.000 description 47
- 230000001146 hypoxic effect Effects 0.000 description 41
- 239000002679 microRNA Substances 0.000 description 41
- 108091027766 Mir-143 Proteins 0.000 description 40
- 210000004027 cell Anatomy 0.000 description 40
- 108700011259 MicroRNAs Proteins 0.000 description 37
- 102100025422 Bone morphogenetic protein receptor type-2 Human genes 0.000 description 34
- 101000934635 Homo sapiens Bone morphogenetic protein receptor type-2 Proteins 0.000 description 34
- 239000000203 mixture Substances 0.000 description 34
- 238000004458 analytical method Methods 0.000 description 33
- QVGXLLKOCUKJST-UHFFFAOYSA-N atomic oxygen Chemical compound [O] QVGXLLKOCUKJST-UHFFFAOYSA-N 0.000 description 31
- 239000001301 oxygen Substances 0.000 description 30
- 229910052760 oxygen Inorganic materials 0.000 description 30
- 108050003627 Wnt Proteins 0.000 description 29
- 102000013814 Wnt Human genes 0.000 description 29
- 230000007954 hypoxia Effects 0.000 description 29
- 210000001147 pulmonary artery Anatomy 0.000 description 29
- 238000003753 real-time PCR Methods 0.000 description 26
- 241001465754 Metazoa Species 0.000 description 24
- 239000000243 solution Substances 0.000 description 23
- 210000001519 tissue Anatomy 0.000 description 23
- 230000008859 change Effects 0.000 description 22
- 239000000523 sample Substances 0.000 description 22
- 230000011664 signaling Effects 0.000 description 22
- 208000020875 Idiopathic pulmonary arterial hypertension Diseases 0.000 description 20
- 108091031479 miR-204 stem-loop Proteins 0.000 description 20
- 239000000126 substance Substances 0.000 description 20
- 108091032382 miR-204-1 stem-loop Proteins 0.000 description 18
- 108091085803 miR-204-2 stem-loop Proteins 0.000 description 18
- 108091089766 miR-204-3 stem-loop Proteins 0.000 description 18
- 108091073500 miR-204-4 stem-loop Proteins 0.000 description 18
- 108091053626 miR-204-5 stem-loop Proteins 0.000 description 18
- MWUXSHHQAYIFBG-UHFFFAOYSA-N nitrogen oxide Inorganic materials O=[N] MWUXSHHQAYIFBG-UHFFFAOYSA-N 0.000 description 18
- 102000040430 polynucleotide Human genes 0.000 description 17
- 108091033319 polynucleotide Proteins 0.000 description 17
- 239000002157 polynucleotide Substances 0.000 description 17
- 239000005557 antagonist Substances 0.000 description 16
- 230000001965 increasing effect Effects 0.000 description 16
- 208000000924 Right ventricular hypertrophy Diseases 0.000 description 15
- 241000699666 Mus <mouse, genus> Species 0.000 description 14
- 210000004204 blood vessel Anatomy 0.000 description 14
- 230000002401 inhibitory effect Effects 0.000 description 14
- 102000007469 Actins Human genes 0.000 description 13
- 108010085238 Actins Proteins 0.000 description 13
- 150000001875 compounds Chemical class 0.000 description 13
- 108090000765 processed proteins & peptides Proteins 0.000 description 13
- 230000002685 pulmonary effect Effects 0.000 description 13
- 108020004414 DNA Proteins 0.000 description 12
- LFQSCWFLJHTTHZ-UHFFFAOYSA-N Ethanol Chemical compound CCO LFQSCWFLJHTTHZ-UHFFFAOYSA-N 0.000 description 12
- 230000001684 chronic effect Effects 0.000 description 12
- 230000002829 reductive effect Effects 0.000 description 12
- 238000012360 testing method Methods 0.000 description 12
- LOKCTEFSRHRXRJ-UHFFFAOYSA-I dipotassium trisodium dihydrogen phosphate hydrogen phosphate dichloride Chemical compound P(=O)(O)(O)[O-].[K+].P(=O)(O)([O-])[O-].[Na+].[Na+].[Cl-].[K+].[Cl-].[Na+] LOKCTEFSRHRXRJ-UHFFFAOYSA-I 0.000 description 11
- 239000003814 drug Substances 0.000 description 11
- 239000002953 phosphate buffered saline Substances 0.000 description 11
- 210000000329 smooth muscle myocyte Anatomy 0.000 description 11
- 238000009472 formulation Methods 0.000 description 10
- 239000000546 pharmaceutical excipient Substances 0.000 description 10
- 230000008685 targeting Effects 0.000 description 10
- 230000003827 upregulation Effects 0.000 description 10
- 230000002861 ventricular Effects 0.000 description 10
- FWMNVWWHGCHHJJ-SKKKGAJSSA-N 4-amino-1-[(2r)-6-amino-2-[[(2r)-2-[[(2r)-2-[[(2r)-2-amino-3-phenylpropanoyl]amino]-3-phenylpropanoyl]amino]-4-methylpentanoyl]amino]hexanoyl]piperidine-4-carboxylic acid Chemical compound C([C@H](C(=O)N[C@H](CC(C)C)C(=O)N[C@H](CCCCN)C(=O)N1CCC(N)(CC1)C(O)=O)NC(=O)[C@H](N)CC=1C=CC=CC=1)C1=CC=CC=C1 FWMNVWWHGCHHJJ-SKKKGAJSSA-N 0.000 description 9
- 102100021242 Dymeclin Human genes 0.000 description 9
- 101000817629 Homo sapiens Dymeclin Proteins 0.000 description 9
- 239000002585 base Substances 0.000 description 9
- 230000003828 downregulation Effects 0.000 description 9
- 108020004999 messenger RNA Proteins 0.000 description 9
- 102000005962 receptors Human genes 0.000 description 9
- 108020003175 receptors Proteins 0.000 description 9
- 101001139134 Homo sapiens Krueppel-like factor 4 Proteins 0.000 description 8
- 102100020677 Krueppel-like factor 4 Human genes 0.000 description 8
- 102000004887 Transforming Growth Factor beta Human genes 0.000 description 8
- 108090001012 Transforming Growth Factor beta Proteins 0.000 description 8
- 206010052428 Wound Diseases 0.000 description 8
- 208000027418 Wounds and injury Diseases 0.000 description 8
- 210000001367 artery Anatomy 0.000 description 8
- 239000000872 buffer Substances 0.000 description 8
- 230000012010 growth Effects 0.000 description 8
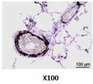
- 238000007901 in situ hybridization Methods 0.000 description 8
- 239000003446 ligand Substances 0.000 description 8
- 230000004807 localization Effects 0.000 description 8
- 238000002493 microarray Methods 0.000 description 8
- 239000013642 negative control Substances 0.000 description 8
- 238000001543 one-way ANOVA Methods 0.000 description 8
- 102000004196 processed proteins & peptides Human genes 0.000 description 8
- 238000007634 remodeling Methods 0.000 description 8
- 230000004044 response Effects 0.000 description 8
- 230000020874 response to hypoxia Effects 0.000 description 8
- 150000003839 salts Chemical class 0.000 description 8
- ZRKFYGHZFMAOKI-QMGMOQQFSA-N tgfbeta Chemical compound C([C@H](NC(=O)[C@H](C(C)C)NC(=O)CNC(=O)[C@H](CCC(O)=O)NC(=O)[C@H](CCCNC(N)=N)NC(=O)[C@H](CC(N)=O)NC(=O)[C@H](CC(C)C)NC(=O)[C@H]([C@@H](C)O)NC(=O)[C@H](CCC(O)=O)NC(=O)[C@H]([C@@H](C)O)NC(=O)[C@H](CC(C)C)NC(=O)CNC(=O)[C@H](C)NC(=O)[C@H](CO)NC(=O)[C@H](CCC(N)=O)NC(=O)[C@@H](NC(=O)[C@H](C)NC(=O)[C@H](C)NC(=O)[C@@H](NC(=O)[C@H](CC(C)C)NC(=O)[C@@H](N)CCSC)C(C)C)[C@@H](C)CC)C(=O)N[C@@H]([C@@H](C)O)C(=O)N[C@@H](C(C)C)C(=O)N[C@@H](CC=1C=CC=CC=1)C(=O)N[C@@H](C)C(=O)N1[C@@H](CCC1)C(=O)N[C@@H]([C@@H](C)O)C(=O)N[C@@H](CC(N)=O)C(=O)N[C@@H](CCC(O)=O)C(=O)N[C@@H](C)C(=O)N[C@@H](CC=1C=CC=CC=1)C(=O)N[C@@H](CCCNC(N)=N)C(=O)N[C@@H](C)C(=O)N[C@@H](CC(C)C)C(=O)N1[C@@H](CCC1)C(=O)N1[C@@H](CCC1)C(=O)N[C@@H](CCCNC(N)=N)C(=O)N[C@@H](CCC(O)=O)C(=O)N[C@@H](CCCNC(N)=N)C(=O)N[C@@H](CO)C(=O)N[C@@H](CCCNC(N)=N)C(=O)N[C@@H](CC(C)C)C(=O)N[C@@H](CC(C)C)C(O)=O)C1=CC=C(O)C=C1 ZRKFYGHZFMAOKI-QMGMOQQFSA-N 0.000 description 8
- 239000013598 vector Substances 0.000 description 8
- 102100030988 Angiotensin-converting enzyme Human genes 0.000 description 7
- 101710185050 Angiotensin-converting enzyme Proteins 0.000 description 7
- 238000000636 Northern blotting Methods 0.000 description 7
- 208000032594 Vascular Remodeling Diseases 0.000 description 7
- 238000002679 ablation Methods 0.000 description 7
- 230000002792 vascular Effects 0.000 description 7
- XLYOFNOQVPJJNP-UHFFFAOYSA-N water Substances O XLYOFNOQVPJJNP-UHFFFAOYSA-N 0.000 description 7
- SNICXCGAKADSCV-JTQLQIEISA-N (-)-Nicotine Chemical compound CN1CCC[C@H]1C1=CC=CN=C1 SNICXCGAKADSCV-JTQLQIEISA-N 0.000 description 6
- 102100028572 Disabled homolog 2 Human genes 0.000 description 6
- PEDCQBHIVMGVHV-UHFFFAOYSA-N Glycerine Chemical compound OCC(O)CO PEDCQBHIVMGVHV-UHFFFAOYSA-N 0.000 description 6
- 101000915391 Homo sapiens Disabled homolog 2 Proteins 0.000 description 6
- 101001139130 Homo sapiens Krueppel-like factor 5 Proteins 0.000 description 6
- 101000665937 Homo sapiens Wnt inhibitory factor 1 Proteins 0.000 description 6
- 102100020680 Krueppel-like factor 5 Human genes 0.000 description 6
- 102100030053 Secreted frizzled-related protein 3 Human genes 0.000 description 6
- 108020004459 Small interfering RNA Proteins 0.000 description 6
- 108010020277 WD repeat containing planar cell polarity effector Proteins 0.000 description 6
- 102100038258 Wnt inhibitory factor 1 Human genes 0.000 description 6
- 230000033228 biological regulation Effects 0.000 description 6
- HVYWMOMLDIMFJA-DPAQBDIFSA-N cholesterol Chemical group C1C=C2C[C@@H](O)CC[C@]2(C)[C@@H]2[C@@H]1[C@@H]1CC[C@H]([C@H](C)CCCC(C)C)[C@@]1(C)CC2 HVYWMOMLDIMFJA-DPAQBDIFSA-N 0.000 description 6
- 230000008045 co-localization Effects 0.000 description 6
- 239000013068 control sample Substances 0.000 description 6
- 230000006870 function Effects 0.000 description 6
- 230000001939 inductive effect Effects 0.000 description 6
- 229960002715 nicotine Drugs 0.000 description 6
- SNICXCGAKADSCV-UHFFFAOYSA-N nicotine Natural products CN1CCCC1C1=CC=CN=C1 SNICXCGAKADSCV-UHFFFAOYSA-N 0.000 description 6
- 239000012188 paraffin wax Substances 0.000 description 6
- 229920001184 polypeptide Polymers 0.000 description 6
- 230000001105 regulatory effect Effects 0.000 description 6
- 210000005241 right ventricle Anatomy 0.000 description 6
- 210000002460 smooth muscle Anatomy 0.000 description 6
- 238000010186 staining Methods 0.000 description 6
- 238000011870 unpaired t-test Methods 0.000 description 6
- 210000004509 vascular smooth muscle cell Anatomy 0.000 description 6
- 108060000903 Beta-catenin Proteins 0.000 description 5
- 102000015735 Beta-catenin Human genes 0.000 description 5
- 108010007726 Bone Morphogenetic Proteins Proteins 0.000 description 5
- 102000007350 Bone Morphogenetic Proteins Human genes 0.000 description 5
- 102100031181 Glyceraldehyde-3-phosphate dehydrogenase Human genes 0.000 description 5
- 238000001190 Q-PCR Methods 0.000 description 5
- FAPWRFPIFSIZLT-UHFFFAOYSA-M Sodium chloride Chemical compound [Na+].[Cl-] FAPWRFPIFSIZLT-UHFFFAOYSA-M 0.000 description 5
- 230000000903 blocking effect Effects 0.000 description 5
- 229940112869 bone morphogenetic protein Drugs 0.000 description 5
- 238000006243 chemical reaction Methods 0.000 description 5
- 239000006185 dispersion Substances 0.000 description 5
- 238000011156 evaluation Methods 0.000 description 5
- 238000002474 experimental method Methods 0.000 description 5
- 108020004445 glyceraldehyde-3-phosphate dehydrogenase Proteins 0.000 description 5
- 238000003364 immunohistochemistry Methods 0.000 description 5
- 238000001727 in vivo Methods 0.000 description 5
- 239000010410 layer Substances 0.000 description 5
- 235000013372 meat Nutrition 0.000 description 5
- 239000012528 membrane Substances 0.000 description 5
- 210000003205 muscle Anatomy 0.000 description 5
- 230000000399 orthopedic effect Effects 0.000 description 5
- 230000000144 pharmacologic effect Effects 0.000 description 5
- 230000001681 protective effect Effects 0.000 description 5
- 235000018102 proteins Nutrition 0.000 description 5
- 238000011002 quantification Methods 0.000 description 5
- 230000009467 reduction Effects 0.000 description 5
- 125000002652 ribonucleotide group Chemical group 0.000 description 5
- 230000009885 systemic effect Effects 0.000 description 5
- 230000001225 therapeutic effect Effects 0.000 description 5
- 238000001890 transfection Methods 0.000 description 5
- 238000005406 washing Methods 0.000 description 5
- 239000005541 ACE inhibitor Substances 0.000 description 4
- 101150054149 ANGPTL4 gene Proteins 0.000 description 4
- 108091003079 Bovine Serum Albumin Proteins 0.000 description 4
- 102000006311 Cyclin D1 Human genes 0.000 description 4
- 108010058546 Cyclin D1 Proteins 0.000 description 4
- 102000010170 Death domains Human genes 0.000 description 4
- 108050001718 Death domains Proteins 0.000 description 4
- 102100036089 Fascin Human genes 0.000 description 4
- WSFSSNUMVMOOMR-UHFFFAOYSA-N Formaldehyde Chemical compound O=C WSFSSNUMVMOOMR-UHFFFAOYSA-N 0.000 description 4
- ZHNUHDYFZUAESO-UHFFFAOYSA-N Formamide Chemical compound NC=O ZHNUHDYFZUAESO-UHFFFAOYSA-N 0.000 description 4
- 101100437773 Homo sapiens BMPR2 gene Proteins 0.000 description 4
- 101001021925 Homo sapiens Fascin Proteins 0.000 description 4
- 102100025725 Mothers against decapentaplegic homolog 4 Human genes 0.000 description 4
- 101710143112 Mothers against decapentaplegic homolog 4 Proteins 0.000 description 4
- 206010028980 Neoplasm Diseases 0.000 description 4
- IQFYYKKMVGJFEH-XLPZGREQSA-N Thymidine Chemical compound O=C1NC(=O)C(C)=CN1[C@@H]1O[C@H](CO)[C@@H](O)C1 IQFYYKKMVGJFEH-XLPZGREQSA-N 0.000 description 4
- 102100040247 Tumor necrosis factor Human genes 0.000 description 4
- DRTQHJPVMGBUCF-XVFCMESISA-N Uridine Chemical compound O[C@@H]1[C@H](O)[C@@H](CO)O[C@H]1N1C(=O)NC(=O)C=C1 DRTQHJPVMGBUCF-XVFCMESISA-N 0.000 description 4
- JLCPHMBAVCMARE-UHFFFAOYSA-N [3-[[3-[[3-[[3-[[3-[[3-[[3-[[3-[[3-[[3-[[3-[[5-(2-amino-6-oxo-1H-purin-9-yl)-3-[[3-[[3-[[3-[[3-[[3-[[5-(2-amino-6-oxo-1H-purin-9-yl)-3-[[5-(2-amino-6-oxo-1H-purin-9-yl)-3-hydroxyoxolan-2-yl]methoxy-hydroxyphosphoryl]oxyoxolan-2-yl]methoxy-hydroxyphosphoryl]oxy-5-(5-methyl-2,4-dioxopyrimidin-1-yl)oxolan-2-yl]methoxy-hydroxyphosphoryl]oxy-5-(6-aminopurin-9-yl)oxolan-2-yl]methoxy-hydroxyphosphoryl]oxy-5-(6-aminopurin-9-yl)oxolan-2-yl]methoxy-hydroxyphosphoryl]oxy-5-(6-aminopurin-9-yl)oxolan-2-yl]methoxy-hydroxyphosphoryl]oxy-5-(6-aminopurin-9-yl)oxolan-2-yl]methoxy-hydroxyphosphoryl]oxyoxolan-2-yl]methoxy-hydroxyphosphoryl]oxy-5-(5-methyl-2,4-dioxopyrimidin-1-yl)oxolan-2-yl]methoxy-hydroxyphosphoryl]oxy-5-(4-amino-2-oxopyrimidin-1-yl)oxolan-2-yl]methoxy-hydroxyphosphoryl]oxy-5-(5-methyl-2,4-dioxopyrimidin-1-yl)oxolan-2-yl]methoxy-hydroxyphosphoryl]oxy-5-(5-methyl-2,4-dioxopyrimidin-1-yl)oxolan-2-yl]methoxy-hydroxyphosphoryl]oxy-5-(6-aminopurin-9-yl)oxolan-2-yl]methoxy-hydroxyphosphoryl]oxy-5-(6-aminopurin-9-yl)oxolan-2-yl]methoxy-hydroxyphosphoryl]oxy-5-(4-amino-2-oxopyrimidin-1-yl)oxolan-2-yl]methoxy-hydroxyphosphoryl]oxy-5-(4-amino-2-oxopyrimidin-1-yl)oxolan-2-yl]methoxy-hydroxyphosphoryl]oxy-5-(4-amino-2-oxopyrimidin-1-yl)oxolan-2-yl]methoxy-hydroxyphosphoryl]oxy-5-(6-aminopurin-9-yl)oxolan-2-yl]methoxy-hydroxyphosphoryl]oxy-5-(4-amino-2-oxopyrimidin-1-yl)oxolan-2-yl]methyl [5-(6-aminopurin-9-yl)-2-(hydroxymethyl)oxolan-3-yl] hydrogen phosphate Polymers Cc1cn(C2CC(OP(O)(=O)OCC3OC(CC3OP(O)(=O)OCC3OC(CC3O)n3cnc4c3nc(N)[nH]c4=O)n3cnc4c3nc(N)[nH]c4=O)C(COP(O)(=O)OC3CC(OC3COP(O)(=O)OC3CC(OC3COP(O)(=O)OC3CC(OC3COP(O)(=O)OC3CC(OC3COP(O)(=O)OC3CC(OC3COP(O)(=O)OC3CC(OC3COP(O)(=O)OC3CC(OC3COP(O)(=O)OC3CC(OC3COP(O)(=O)OC3CC(OC3COP(O)(=O)OC3CC(OC3COP(O)(=O)OC3CC(OC3COP(O)(=O)OC3CC(OC3COP(O)(=O)OC3CC(OC3COP(O)(=O)OC3CC(OC3COP(O)(=O)OC3CC(OC3COP(O)(=O)OC3CC(OC3COP(O)(=O)OC3CC(OC3CO)n3cnc4c(N)ncnc34)n3ccc(N)nc3=O)n3cnc4c(N)ncnc34)n3ccc(N)nc3=O)n3ccc(N)nc3=O)n3ccc(N)nc3=O)n3cnc4c(N)ncnc34)n3cnc4c(N)ncnc34)n3cc(C)c(=O)[nH]c3=O)n3cc(C)c(=O)[nH]c3=O)n3ccc(N)nc3=O)n3cc(C)c(=O)[nH]c3=O)n3cnc4c3nc(N)[nH]c4=O)n3cnc4c(N)ncnc34)n3cnc4c(N)ncnc34)n3cnc4c(N)ncnc34)n3cnc4c(N)ncnc34)O2)c(=O)[nH]c1=O JLCPHMBAVCMARE-UHFFFAOYSA-N 0.000 description 4
- 239000004480 active ingredient Substances 0.000 description 4
- 239000000443 aerosol Substances 0.000 description 4
- 229940044094 angiotensin-converting-enzyme inhibitor Drugs 0.000 description 4
- 230000004872 arterial blood pressure Effects 0.000 description 4
- 229940098773 bovine serum albumin Drugs 0.000 description 4
- 230000015556 catabolic process Effects 0.000 description 4
- 238000006731 degradation reaction Methods 0.000 description 4
- 239000005547 deoxyribonucleotide Substances 0.000 description 4
- 125000002637 deoxyribonucleotide group Chemical group 0.000 description 4
- 238000011161 development Methods 0.000 description 4
- 230000018109 developmental process Effects 0.000 description 4
- 229940079593 drug Drugs 0.000 description 4
- 239000013604 expression vector Substances 0.000 description 4
- 210000004602 germ cell Anatomy 0.000 description 4
- 238000009396 hybridization Methods 0.000 description 4
- 238000000338 in vitro Methods 0.000 description 4
- 238000002347 injection Methods 0.000 description 4
- 239000007924 injection Substances 0.000 description 4
- 230000035800 maturation Effects 0.000 description 4
- 230000001404 mediated effect Effects 0.000 description 4
- 238000010172 mouse model Methods 0.000 description 4
- 230000037361 pathway Effects 0.000 description 4
- 238000002360 preparation method Methods 0.000 description 4
- 239000002464 receptor antagonist Substances 0.000 description 4
- 229940044551 receptor antagonist Drugs 0.000 description 4
- 150000003384 small molecules Chemical class 0.000 description 4
- 239000011734 sodium Substances 0.000 description 4
- 229940124597 therapeutic agent Drugs 0.000 description 4
- 238000007492 two-way ANOVA Methods 0.000 description 4
- 102100033347 AP-2 complex subunit beta Human genes 0.000 description 3
- 102000045205 Angiopoietin-Like Protein 4 Human genes 0.000 description 3
- 108700042530 Angiopoietin-Like Protein 4 Proteins 0.000 description 3
- 102100031168 CCN family member 2 Human genes 0.000 description 3
- 102000000905 Cadherin Human genes 0.000 description 3
- 108050007957 Cadherin Proteins 0.000 description 3
- 102100033093 Calcium/calmodulin-dependent protein kinase type II subunit alpha Human genes 0.000 description 3
- 102000004127 Cytokines Human genes 0.000 description 3
- 108090000695 Cytokines Proteins 0.000 description 3
- 108010049207 Death Domain Receptors Proteins 0.000 description 3
- 102000009058 Death Domain Receptors Human genes 0.000 description 3
- 208000004248 Familial Primary Pulmonary Hypertension Diseases 0.000 description 3
- 241000282412 Homo Species 0.000 description 3
- 101000732341 Homo sapiens AP-2 complex subunit beta Proteins 0.000 description 3
- 101000777550 Homo sapiens CCN family member 2 Proteins 0.000 description 3
- 101000944249 Homo sapiens Calcium/calmodulin-dependent protein kinase type II subunit alpha Proteins 0.000 description 3
- 101000976713 Homo sapiens Integrin beta-like protein 1 Proteins 0.000 description 3
- 101000635958 Homo sapiens Transforming growth factor beta-2 proprotein Proteins 0.000 description 3
- 101000611183 Homo sapiens Tumor necrosis factor Proteins 0.000 description 3
- 206010020772 Hypertension Diseases 0.000 description 3
- 102100034343 Integrase Human genes 0.000 description 3
- 102100023481 Integrin beta-like protein 1 Human genes 0.000 description 3
- 102100030610 Mothers against decapentaplegic homolog 5 Human genes 0.000 description 3
- 101710143113 Mothers against decapentaplegic homolog 5 Proteins 0.000 description 3
- 108091028043 Nucleic acid sequence Proteins 0.000 description 3
- 108091093037 Peptide nucleic acid Proteins 0.000 description 3
- DNIAPMSPPWPWGF-UHFFFAOYSA-N Propylene glycol Chemical compound CC(O)CO DNIAPMSPPWPWGF-UHFFFAOYSA-N 0.000 description 3
- 108091028664 Ribonucleotide Proteins 0.000 description 3
- 102100026260 Titin Human genes 0.000 description 3
- 108010009583 Transforming Growth Factors Proteins 0.000 description 3
- 102000009618 Transforming Growth Factors Human genes 0.000 description 3
- 102100030737 Transforming growth factor beta-2 proprotein Human genes 0.000 description 3
- 235000001014 amino acid Nutrition 0.000 description 3
- 150000001413 amino acids Chemical class 0.000 description 3
- 230000001772 anti-angiogenic effect Effects 0.000 description 3
- 230000006907 apoptotic process Effects 0.000 description 3
- 239000007864 aqueous solution Substances 0.000 description 3
- 238000007385 chemical modification Methods 0.000 description 3
- 239000003795 chemical substances by application Substances 0.000 description 3
- 235000012000 cholesterol Nutrition 0.000 description 3
- 239000002299 complementary DNA Substances 0.000 description 3
- 230000008602 contraction Effects 0.000 description 3
- 230000007423 decrease Effects 0.000 description 3
- 238000001514 detection method Methods 0.000 description 3
- 201000010099 disease Diseases 0.000 description 3
- 208000037265 diseases, disorders, signs and symptoms Diseases 0.000 description 3
- 239000003937 drug carrier Substances 0.000 description 3
- 210000002889 endothelial cell Anatomy 0.000 description 3
- 230000002068 genetic effect Effects 0.000 description 3
- 239000004615 ingredient Substances 0.000 description 3
- 230000005764 inhibitory process Effects 0.000 description 3
- 230000003993 interaction Effects 0.000 description 3
- 238000001990 intravenous administration Methods 0.000 description 3
- 238000011813 knockout mouse model Methods 0.000 description 3
- 230000000670 limiting effect Effects 0.000 description 3
- 239000007788 liquid Substances 0.000 description 3
- 238000010208 microarray analysis Methods 0.000 description 3
- 238000002156 mixing Methods 0.000 description 3
- 210000000663 muscle cell Anatomy 0.000 description 3
- 210000000056 organ Anatomy 0.000 description 3
- ZJAOAACCNHFJAH-UHFFFAOYSA-N phosphonoformic acid Chemical compound OC(=O)P(O)(O)=O ZJAOAACCNHFJAH-UHFFFAOYSA-N 0.000 description 3
- 201000008312 primary pulmonary hypertension Diseases 0.000 description 3
- 230000035755 proliferation Effects 0.000 description 3
- 239000002336 ribonucleotide Substances 0.000 description 3
- 210000002966 serum Anatomy 0.000 description 3
- 239000011780 sodium chloride Substances 0.000 description 3
- 239000002904 solvent Substances 0.000 description 3
- 238000001262 western blot Methods 0.000 description 3
- 108020005345 3' Untranslated Regions Proteins 0.000 description 2
- 102100027499 5-hydroxytryptamine receptor 1B Human genes 0.000 description 2
- 101710138639 5-hydroxytryptamine receptor 1B Proteins 0.000 description 2
- 241000272517 Anseriformes Species 0.000 description 2
- 241000271566 Aves Species 0.000 description 2
- DWRXFEITVBNRMK-UHFFFAOYSA-N Beta-D-1-Arabinofuranosylthymine Natural products O=C1NC(=O)C(C)=CN1C1C(O)C(O)C(CO)O1 DWRXFEITVBNRMK-UHFFFAOYSA-N 0.000 description 2
- 241000283707 Capra Species 0.000 description 2
- 102000053642 Catalytic RNA Human genes 0.000 description 2
- 108090000994 Catalytic RNA Proteins 0.000 description 2
- 208000002330 Congenital Heart Defects Diseases 0.000 description 2
- UIKROCXWUNQSPJ-UHFFFAOYSA-N Cotinine Natural products C1CC(=O)N(C)C1C1=CC=CN=C1 UIKROCXWUNQSPJ-UHFFFAOYSA-N 0.000 description 2
- 102000053602 DNA Human genes 0.000 description 2
- 239000006144 Dulbecco’s modified Eagle's medium Substances 0.000 description 2
- 206010014561 Emphysema Diseases 0.000 description 2
- 108010067770 Endopeptidase K Proteins 0.000 description 2
- 101000597770 Homo sapiens Tropomodulin-1 Proteins 0.000 description 2
- 241000701024 Human betaherpesvirus 5 Species 0.000 description 2
- VEXZGXHMUGYJMC-UHFFFAOYSA-N Hydrochloric acid Chemical compound Cl VEXZGXHMUGYJMC-UHFFFAOYSA-N 0.000 description 2
- DGAQECJNVWCQMB-PUAWFVPOSA-M Ilexoside XXIX Chemical compound C[C@@H]1CC[C@@]2(CC[C@@]3(C(=CC[C@H]4[C@]3(CC[C@@H]5[C@@]4(CC[C@@H](C5(C)C)OS(=O)(=O)[O-])C)C)[C@@H]2[C@]1(C)O)C)C(=O)O[C@H]6[C@@H]([C@H]([C@@H]([C@H](O6)CO)O)O)O.[Na+] DGAQECJNVWCQMB-PUAWFVPOSA-M 0.000 description 2
- 108700002232 Immediate-Early Genes Proteins 0.000 description 2
- XEEYBQQBJWHFJM-UHFFFAOYSA-N Iron Chemical compound [Fe] XEEYBQQBJWHFJM-UHFFFAOYSA-N 0.000 description 2
- 206010058467 Lung neoplasm malignant Diseases 0.000 description 2
- 241000124008 Mammalia Species 0.000 description 2
- FXFANIORDKRCCA-UHFFFAOYSA-N Norcotinine Chemical compound N1C(=O)CCC1C1=CC=CN=C1 FXFANIORDKRCCA-UHFFFAOYSA-N 0.000 description 2
- CTQNGGLPUBDAKN-UHFFFAOYSA-N O-Xylene Chemical compound CC1=CC=CC=C1C CTQNGGLPUBDAKN-UHFFFAOYSA-N 0.000 description 2
- 229930040373 Paraformaldehyde Natural products 0.000 description 2
- 241001494479 Pecora Species 0.000 description 2
- 108010033276 Peptide Fragments Proteins 0.000 description 2
- 102000007079 Peptide Fragments Human genes 0.000 description 2
- ISWSIDIOOBJBQZ-UHFFFAOYSA-N Phenol Chemical compound OC1=CC=CC=C1 ISWSIDIOOBJBQZ-UHFFFAOYSA-N 0.000 description 2
- NBIIXXVUZAFLBC-UHFFFAOYSA-N Phosphoric acid Chemical compound OP(O)(O)=O NBIIXXVUZAFLBC-UHFFFAOYSA-N 0.000 description 2
- 208000010378 Pulmonary Embolism Diseases 0.000 description 2
- 238000002123 RNA extraction Methods 0.000 description 2
- 108010092799 RNA-directed DNA polymerase Proteins 0.000 description 2
- 238000011529 RT qPCR Methods 0.000 description 2
- 241000283984 Rodentia Species 0.000 description 2
- 108091005735 TGF-beta receptors Proteins 0.000 description 2
- 102000016715 Transforming Growth Factor beta Receptors Human genes 0.000 description 2
- 102100035291 Tropomodulin-1 Human genes 0.000 description 2
- 102100040112 Tumor necrosis factor receptor superfamily member 10B Human genes 0.000 description 2
- 101710187743 Tumor necrosis factor receptor superfamily member 1A Proteins 0.000 description 2
- 102100033732 Tumor necrosis factor receptor superfamily member 1A Human genes 0.000 description 2
- 102100022203 Tumor necrosis factor receptor superfamily member 25 Human genes 0.000 description 2
- 241000700605 Viruses Species 0.000 description 2
- 230000002159 abnormal effect Effects 0.000 description 2
- 230000005856 abnormality Effects 0.000 description 2
- 239000003070 absorption delaying agent Substances 0.000 description 2
- OIRDTQYFTABQOQ-KQYNXXCUSA-N adenosine Chemical compound C1=NC=2C(N)=NC=NC=2N1[C@@H]1O[C@H](CO)[C@@H](O)[C@H]1O OIRDTQYFTABQOQ-KQYNXXCUSA-N 0.000 description 2
- 239000004037 angiogenesis inhibitor Substances 0.000 description 2
- 239000003242 anti bacterial agent Substances 0.000 description 2
- 230000000844 anti-bacterial effect Effects 0.000 description 2
- 230000000692 anti-sense effect Effects 0.000 description 2
- 239000003429 antifungal agent Substances 0.000 description 2
- 229940121375 antifungal agent Drugs 0.000 description 2
- 239000000427 antigen Substances 0.000 description 2
- 108091007433 antigens Proteins 0.000 description 2
- 102000036639 antigens Human genes 0.000 description 2
- 239000011324 bead Substances 0.000 description 2
- IQFYYKKMVGJFEH-UHFFFAOYSA-N beta-L-thymidine Natural products O=C1NC(=O)C(C)=CN1C1OC(CO)C(O)C1 IQFYYKKMVGJFEH-UHFFFAOYSA-N 0.000 description 2
- DRTQHJPVMGBUCF-PSQAKQOGSA-N beta-L-uridine Natural products O[C@H]1[C@@H](O)[C@H](CO)O[C@@H]1N1C(=O)NC(=O)C=C1 DRTQHJPVMGBUCF-PSQAKQOGSA-N 0.000 description 2
- 210000004556 brain Anatomy 0.000 description 2
- 210000000621 bronchi Anatomy 0.000 description 2
- 230000010261 cell growth Effects 0.000 description 2
- 230000001413 cellular effect Effects 0.000 description 2
- 239000003153 chemical reaction reagent Substances 0.000 description 2
- OSASVXMJTNOKOY-UHFFFAOYSA-N chlorobutanol Chemical compound CC(C)(O)C(Cl)(Cl)Cl OSASVXMJTNOKOY-UHFFFAOYSA-N 0.000 description 2
- 210000000349 chromosome Anatomy 0.000 description 2
- 239000011248 coating agent Substances 0.000 description 2
- 238000000576 coating method Methods 0.000 description 2
- 208000028831 congenital heart disease Diseases 0.000 description 2
- 210000004351 coronary vessel Anatomy 0.000 description 2
- 229950006073 cotinine Drugs 0.000 description 2
- 230000006378 damage Effects 0.000 description 2
- 239000005549 deoxyribonucleoside Substances 0.000 description 2
- 230000001419 dependent effect Effects 0.000 description 2
- 230000004069 differentiation Effects 0.000 description 2
- 239000003085 diluting agent Substances 0.000 description 2
- 239000002612 dispersion medium Substances 0.000 description 2
- 230000008030 elimination Effects 0.000 description 2
- 238000003379 elimination reaction Methods 0.000 description 2
- 239000000839 emulsion Substances 0.000 description 2
- 239000006274 endogenous ligand Substances 0.000 description 2
- 238000000605 extraction Methods 0.000 description 2
- 239000012530 fluid Substances 0.000 description 2
- 238000010230 functional analysis Methods 0.000 description 2
- 210000003917 human chromosome Anatomy 0.000 description 2
- 238000010249 in-situ analysis Methods 0.000 description 2
- 238000011065 in-situ storage Methods 0.000 description 2
- 238000001361 intraarterial administration Methods 0.000 description 2
- 238000007918 intramuscular administration Methods 0.000 description 2
- 238000007912 intraperitoneal administration Methods 0.000 description 2
- 239000007951 isotonicity adjuster Substances 0.000 description 2
- 210000003734 kidney Anatomy 0.000 description 2
- 230000003902 lesion Effects 0.000 description 2
- -1 lipofection Polymers 0.000 description 2
- 239000002502 liposome Substances 0.000 description 2
- 201000005202 lung cancer Diseases 0.000 description 2
- 208000020816 lung neoplasm Diseases 0.000 description 2
- 238000004519 manufacturing process Methods 0.000 description 2
- 239000000463 material Substances 0.000 description 2
- 239000002207 metabolite Substances 0.000 description 2
- 239000000693 micelle Substances 0.000 description 2
- 244000005700 microbiome Species 0.000 description 2
- 230000009456 molecular mechanism Effects 0.000 description 2
- 125000004573 morpholin-4-yl group Chemical group N1(CCOCC1)* 0.000 description 2
- 108091027963 non-coding RNA Proteins 0.000 description 2
- 102000042567 non-coding RNA Human genes 0.000 description 2
- 239000003921 oil Substances 0.000 description 2
- 235000019198 oils Nutrition 0.000 description 2
- 229920002866 paraformaldehyde Polymers 0.000 description 2
- 239000002245 particle Substances 0.000 description 2
- 239000013612 plasmid Substances 0.000 description 2
- 229920001223 polyethylene glycol Polymers 0.000 description 2
- 239000002243 precursor Substances 0.000 description 2
- 238000012545 processing Methods 0.000 description 2
- 239000000047 product Substances 0.000 description 2
- 208000005069 pulmonary fibrosis Diseases 0.000 description 2
- 239000002510 pyrogen Substances 0.000 description 2
- ZAHRKKWIAAJSAO-UHFFFAOYSA-N rapamycin Natural products COCC(O)C(=C/C(C)C(=O)CC(OC(=O)C1CCCCN1C(=O)C(=O)C2(O)OC(CC(OC)C(=CC=CC=CC(C)CC(C)C(=O)C)C)CCC2C)C(C)CC3CCC(O)C(C3)OC)C ZAHRKKWIAAJSAO-UHFFFAOYSA-N 0.000 description 2
- 238000011084 recovery Methods 0.000 description 2
- 230000022532 regulation of transcription, DNA-dependent Effects 0.000 description 2
- 230000029058 respiratory gaseous exchange Effects 0.000 description 2
- 230000008458 response to injury Effects 0.000 description 2
- 238000010839 reverse transcription Methods 0.000 description 2
- 239000003161 ribonuclease inhibitor Substances 0.000 description 2
- 108091092562 ribozyme Proteins 0.000 description 2
- 208000037812 secondary pulmonary hypertension Diseases 0.000 description 2
- BNRNXUUZRGQAQC-UHFFFAOYSA-N sildenafil Chemical compound CCCC1=NN(C)C(C(N2)=O)=C1N=C2C(C(=CC=1)OCC)=CC=1S(=O)(=O)N1CCN(C)CC1 BNRNXUUZRGQAQC-UHFFFAOYSA-N 0.000 description 2
- QFJCIRLUMZQUOT-HPLJOQBZSA-N sirolimus Chemical compound C1C[C@@H](O)[C@H](OC)C[C@@H]1C[C@@H](C)[C@H]1OC(=O)[C@@H]2CCCCN2C(=O)C(=O)[C@](O)(O2)[C@H](C)CC[C@H]2C[C@H](OC)/C(C)=C/C=C/C=C/[C@@H](C)C[C@@H](C)C(=O)[C@H](OC)[C@H](O)/C(C)=C/[C@@H](C)C(=O)C1 QFJCIRLUMZQUOT-HPLJOQBZSA-N 0.000 description 2
- 229960002930 sirolimus Drugs 0.000 description 2
- 229910052708 sodium Inorganic materials 0.000 description 2
- 210000000952 spleen Anatomy 0.000 description 2
- 239000007921 spray Substances 0.000 description 2
- 150000003431 steroids Chemical class 0.000 description 2
- 238000003860 storage Methods 0.000 description 2
- 210000003699 striated muscle Anatomy 0.000 description 2
- 238000007920 subcutaneous administration Methods 0.000 description 2
- 125000000446 sulfanediyl group Chemical group *S* 0.000 description 2
- 239000004094 surface-active agent Substances 0.000 description 2
- 208000024891 symptom Diseases 0.000 description 2
- 229940104230 thymidine Drugs 0.000 description 2
- 238000013518 transcription Methods 0.000 description 2
- 230000035897 transcription Effects 0.000 description 2
- 230000002103 transcriptional effect Effects 0.000 description 2
- GETQZCLCWQTVFV-UHFFFAOYSA-N trimethylamine Chemical compound CN(C)C GETQZCLCWQTVFV-UHFFFAOYSA-N 0.000 description 2
- DRTQHJPVMGBUCF-UHFFFAOYSA-N uracil arabinoside Natural products OC1C(O)C(CO)OC1N1C(=O)NC(=O)C=C1 DRTQHJPVMGBUCF-UHFFFAOYSA-N 0.000 description 2
- 229940045145 uridine Drugs 0.000 description 2
- 238000001291 vacuum drying Methods 0.000 description 2
- 231100000216 vascular lesion Toxicity 0.000 description 2
- 239000013603 viral vector Substances 0.000 description 2
- 238000012800 visualization Methods 0.000 description 2
- 239000008096 xylene Substances 0.000 description 2
- WZUVPPKBWHMQCE-XJKSGUPXSA-N (+)-haematoxylin Chemical compound C12=CC(O)=C(O)C=C2C[C@]2(O)[C@H]1C1=CC=C(O)C(O)=C1OC2 WZUVPPKBWHMQCE-XJKSGUPXSA-N 0.000 description 1
- UIKROCXWUNQSPJ-VIFPVBQESA-N (-)-cotinine Chemical compound C1CC(=O)N(C)[C@@H]1C1=CC=CN=C1 UIKROCXWUNQSPJ-VIFPVBQESA-N 0.000 description 1
- MYKUKUCHPMASKF-VIFPVBQESA-N (S)-nornicotine Chemical compound C1CCN[C@@H]1C1=CC=CN=C1 MYKUKUCHPMASKF-VIFPVBQESA-N 0.000 description 1
- DPKCLDSTXVCYSN-NTMALXAHSA-N (Z)-[ethyl-[2-(ethylamino)ethyl]amino]-hydroxyimino-oxidoazanium Chemical compound CCNCCN(CC)[N+](\[O-])=N\O DPKCLDSTXVCYSN-NTMALXAHSA-N 0.000 description 1
- IIZPXYDJLKNOIY-JXPKJXOSSA-N 1-palmitoyl-2-arachidonoyl-sn-glycero-3-phosphocholine Chemical compound CCCCCCCCCCCCCCCC(=O)OC[C@H](COP([O-])(=O)OCC[N+](C)(C)C)OC(=O)CCC\C=C/C\C=C/C\C=C/C\C=C/CCCCC IIZPXYDJLKNOIY-JXPKJXOSSA-N 0.000 description 1
- QKNYBSVHEMOAJP-UHFFFAOYSA-N 2-amino-2-(hydroxymethyl)propane-1,3-diol;hydron;chloride Chemical compound Cl.OCC(N)(CO)CO QKNYBSVHEMOAJP-UHFFFAOYSA-N 0.000 description 1
- HSTOKWSFWGCZMH-UHFFFAOYSA-N 3,3'-diaminobenzidine Chemical compound C1=C(N)C(N)=CC=C1C1=CC=C(N)C(N)=C1 HSTOKWSFWGCZMH-UHFFFAOYSA-N 0.000 description 1
- YHXKVHQFWVYXIC-UHFFFAOYSA-N 3-(1-methylpyrrolidin-2-yl)-1-oxidopyridin-1-ium Chemical class CN1CCCC1C1=CC=C[N+]([O-])=C1 YHXKVHQFWVYXIC-UHFFFAOYSA-N 0.000 description 1
- XOKCJXZZNAUIQN-IENPIDJESA-N 3-hydroxycotinine Chemical compound C1C(O)C(=O)N(C)[C@@H]1C1=CC=CN=C1 XOKCJXZZNAUIQN-IENPIDJESA-N 0.000 description 1
- BBNHNZGTKSWIHD-SNVBAGLBSA-N 5'-Hydroxycotinine Chemical compound CN1C(=O)CC[C@@]1(O)C1=CC=CN=C1 BBNHNZGTKSWIHD-SNVBAGLBSA-N 0.000 description 1
- QRXMUCSWCMTJGU-UHFFFAOYSA-N 5-bromo-4-chloro-3-indolyl phosphate Chemical compound C1=C(Br)C(Cl)=C2C(OP(O)(=O)O)=CNC2=C1 QRXMUCSWCMTJGU-UHFFFAOYSA-N 0.000 description 1
- QGZKDVFQNNGYKY-UHFFFAOYSA-O Ammonium Chemical compound [NH4+] QGZKDVFQNNGYKY-UHFFFAOYSA-O 0.000 description 1
- 206010002091 Anaesthesia Diseases 0.000 description 1
- 102400000068 Angiostatin Human genes 0.000 description 1
- 108010079709 Angiostatins Proteins 0.000 description 1
- 102400000345 Angiotensin-2 Human genes 0.000 description 1
- 101800000733 Angiotensin-2 Proteins 0.000 description 1
- 241000156724 Antirhea Species 0.000 description 1
- 102000004411 Antithrombin III Human genes 0.000 description 1
- 108090000935 Antithrombin III Proteins 0.000 description 1
- 101710081722 Antitrypsin Proteins 0.000 description 1
- 108091023037 Aptamer Proteins 0.000 description 1
- 239000004475 Arginine Substances 0.000 description 1
- DCXYFEDJOCDNAF-UHFFFAOYSA-N Asparagine Natural products OC(=O)C(N)CC(N)=O DCXYFEDJOCDNAF-UHFFFAOYSA-N 0.000 description 1
- 241000972773 Aulopiformes Species 0.000 description 1
- 241000894006 Bacteria Species 0.000 description 1
- XPCFTKFZXHTYIP-PMACEKPBSA-N Benazepril Chemical compound C([C@@H](C(=O)OCC)N[C@@H]1C(N(CC(O)=O)C2=CC=CC=C2CC1)=O)CC1=CC=CC=C1 XPCFTKFZXHTYIP-PMACEKPBSA-N 0.000 description 1
- 102100024505 Bone morphogenetic protein 4 Human genes 0.000 description 1
- 108050008407 Bone morphogenetic protein receptor type-2 Proteins 0.000 description 1
- 241000283690 Bos taurus Species 0.000 description 1
- 102400000667 Brain natriuretic peptide 32 Human genes 0.000 description 1
- 101800000407 Brain natriuretic peptide 32 Proteins 0.000 description 1
- 101800002247 Brain natriuretic peptide 45 Proteins 0.000 description 1
- 206010006187 Breast cancer Diseases 0.000 description 1
- 208000026310 Breast neoplasm Diseases 0.000 description 1
- 239000002126 C01EB10 - Adenosine Substances 0.000 description 1
- 239000002083 C09CA01 - Losartan Substances 0.000 description 1
- 239000004072 C09CA03 - Valsartan Substances 0.000 description 1
- 239000002947 C09CA04 - Irbesartan Substances 0.000 description 1
- 239000002053 C09CA06 - Candesartan Substances 0.000 description 1
- 102000007499 CD27 Ligand Human genes 0.000 description 1
- 108010046080 CD27 Ligand Proteins 0.000 description 1
- 108010017987 CD30 Ligand Proteins 0.000 description 1
- 108010029697 CD40 Ligand Proteins 0.000 description 1
- 102100032937 CD40 ligand Human genes 0.000 description 1
- 102100025805 Cadherin-1 Human genes 0.000 description 1
- OYPRJOBELJOOCE-UHFFFAOYSA-N Calcium Chemical compound [Ca] OYPRJOBELJOOCE-UHFFFAOYSA-N 0.000 description 1
- 241000282836 Camelus dromedarius Species 0.000 description 1
- 241000282472 Canis lupus familiaris Species 0.000 description 1
- 241001631457 Cannula Species 0.000 description 1
- 208000024172 Cardiovascular disease Diseases 0.000 description 1
- 241000700198 Cavia Species 0.000 description 1
- 108091007854 Cdh1/Fizzy-related Proteins 0.000 description 1
- 102000000844 Cell Surface Receptors Human genes 0.000 description 1
- 108010001857 Cell Surface Receptors Proteins 0.000 description 1
- 241000282693 Cercopithecidae Species 0.000 description 1
- 102100031162 Collagen alpha-1(XVIII) chain Human genes 0.000 description 1
- 108020004635 Complementary DNA Proteins 0.000 description 1
- 241000701022 Cytomegalovirus Species 0.000 description 1
- HMFHBZSHGGEWLO-SOOFDHNKSA-N D-ribofuranose Chemical compound OC[C@H]1OC(O)[C@H](O)[C@@H]1O HMFHBZSHGGEWLO-SOOFDHNKSA-N 0.000 description 1
- 102000004163 DNA-directed RNA polymerases Human genes 0.000 description 1
- 108090000626 DNA-directed RNA polymerases Proteins 0.000 description 1
- 101150046623 Dab2 gene Proteins 0.000 description 1
- 101100317380 Danio rerio wnt4a gene Proteins 0.000 description 1
- 229920002307 Dextran Polymers 0.000 description 1
- 101710158332 Diuretic hormone Proteins 0.000 description 1
- 101710204261 Diuretic hormone class 2 Proteins 0.000 description 1
- 108010069091 Dystrophin Proteins 0.000 description 1
- 102000001039 Dystrophin Human genes 0.000 description 1
- 102100040278 E3 ubiquitin-protein ligase RNF19A Human genes 0.000 description 1
- 241000196324 Embryophyta Species 0.000 description 1
- 108010079505 Endostatins Proteins 0.000 description 1
- 102400000686 Endothelin-1 Human genes 0.000 description 1
- 101800004490 Endothelin-1 Proteins 0.000 description 1
- 102000004190 Enzymes Human genes 0.000 description 1
- 108090000790 Enzymes Proteins 0.000 description 1
- LMHIPJMTZHDKEW-XQYLJSSYSA-M Epoprostenol sodium Chemical compound [Na+].O1\C(=C/CCCC([O-])=O)C[C@@H]2[C@@H](/C=C/[C@@H](O)CCCCC)[C@H](O)C[C@@H]21 LMHIPJMTZHDKEW-XQYLJSSYSA-M 0.000 description 1
- 241000283086 Equidae Species 0.000 description 1
- 108700039887 Essential Genes Proteins 0.000 description 1
- HKVAMNSJSFKALM-GKUWKFKPSA-N Everolimus Chemical compound C1C[C@@H](OCCO)[C@H](OC)C[C@@H]1C[C@@H](C)[C@H]1OC(=O)[C@@H]2CCCCN2C(=O)C(=O)[C@](O)(O2)[C@H](C)CC[C@H]2C[C@H](OC)/C(C)=C/C=C/C=C/[C@@H](C)C[C@@H](C)C(=O)[C@H](OC)[C@H](O)/C(C)=C/[C@@H](C)C(=O)C1 HKVAMNSJSFKALM-GKUWKFKPSA-N 0.000 description 1
- 241000282326 Felis catus Species 0.000 description 1
- 241000233866 Fungi Species 0.000 description 1
- 241000287828 Gallus gallus Species 0.000 description 1
- 102100022951 Gamma-secretase subunit APH-1A Human genes 0.000 description 1
- 108010010803 Gelatin Proteins 0.000 description 1
- XURCMZMFZXXQDJ-UKNJCJGYSA-N Gestonorone caproate Chemical compound C1CC2=CC(=O)CC[C@@H]2[C@@H]2[C@@H]1[C@@H]1CC[C@@](C(C)=O)(OC(=O)CCCCC)[C@@]1(C)CC2 XURCMZMFZXXQDJ-UKNJCJGYSA-N 0.000 description 1
- WQZGKKKJIJFFOK-GASJEMHNSA-N Glucose Natural products OC[C@H]1OC(O)[C@H](O)[C@@H](O)[C@@H]1O WQZGKKKJIJFFOK-GASJEMHNSA-N 0.000 description 1
- 102100025296 Guanine nucleotide-binding protein G(o) subunit alpha Human genes 0.000 description 1
- 229940121710 HMGCoA reductase inhibitor Drugs 0.000 description 1
- WZUVPPKBWHMQCE-UHFFFAOYSA-N Haematoxylin Natural products C12=CC(O)=C(O)C=C2CC2(O)C1C1=CC=C(O)C(O)=C1OC2 WZUVPPKBWHMQCE-UHFFFAOYSA-N 0.000 description 1
- 206010019280 Heart failures Diseases 0.000 description 1
- 208000021124 Heritable pulmonary arterial hypertension Diseases 0.000 description 1
- 241001272567 Hominoidea Species 0.000 description 1
- 101000762379 Homo sapiens Bone morphogenetic protein 4 Proteins 0.000 description 1
- 101000757496 Homo sapiens Gamma-secretase subunit APH-1A Proteins 0.000 description 1
- 101000857837 Homo sapiens Guanine nucleotide-binding protein G(o) subunit alpha Proteins 0.000 description 1
- 101000741790 Homo sapiens Peroxisome proliferator-activated receptor gamma Proteins 0.000 description 1
- 101000864743 Homo sapiens Secreted frizzled-related protein 1 Proteins 0.000 description 1
- 101000864786 Homo sapiens Secreted frizzled-related protein 2 Proteins 0.000 description 1
- 101100100117 Homo sapiens TNFRSF10B gene Proteins 0.000 description 1
- 101000645320 Homo sapiens Titin Proteins 0.000 description 1
- 101000610605 Homo sapiens Tumor necrosis factor receptor superfamily member 10A Proteins 0.000 description 1
- 101000610604 Homo sapiens Tumor necrosis factor receptor superfamily member 10B Proteins 0.000 description 1
- 101000679903 Homo sapiens Tumor necrosis factor receptor superfamily member 25 Proteins 0.000 description 1
- 101000611023 Homo sapiens Tumor necrosis factor receptor superfamily member 6 Proteins 0.000 description 1
- 101000808011 Homo sapiens Vascular endothelial growth factor A Proteins 0.000 description 1
- 101000742579 Homo sapiens Vascular endothelial growth factor B Proteins 0.000 description 1
- 108010001336 Horseradish Peroxidase Proteins 0.000 description 1
- 229920002153 Hydroxypropyl cellulose Polymers 0.000 description 1
- 208000001953 Hypotension Diseases 0.000 description 1
- CZGUSIXMZVURDU-JZXHSEFVSA-N Ile(5)-angiotensin II Chemical compound C([C@@H](C(=O)N[C@@H]([C@@H](C)CC)C(=O)N[C@@H](CC=1NC=NC=1)C(=O)N1[C@@H](CCC1)C(=O)N[C@@H](CC=1C=CC=CC=1)C([O-])=O)NC(=O)[C@@H](NC(=O)[C@H](CCCNC(N)=[NH2+])NC(=O)[C@@H]([NH3+])CC([O-])=O)C(C)C)C1=CC=C(O)C=C1 CZGUSIXMZVURDU-JZXHSEFVSA-N 0.000 description 1
- 102000001706 Immunoglobulin Fab Fragments Human genes 0.000 description 1
- 108010054477 Immunoglobulin Fab Fragments Proteins 0.000 description 1
- 101710203526 Integrase Proteins 0.000 description 1
- 102000008070 Interferon-gamma Human genes 0.000 description 1
- 108010074328 Interferon-gamma Proteins 0.000 description 1
- 108091029795 Intergenic region Proteins 0.000 description 1
- 108010002352 Interleukin-1 Proteins 0.000 description 1
- 102000000589 Interleukin-1 Human genes 0.000 description 1
- 108010002350 Interleukin-2 Proteins 0.000 description 1
- 102000000588 Interleukin-2 Human genes 0.000 description 1
- PIWKPBJCKXDKJR-UHFFFAOYSA-N Isoflurane Chemical compound FC(F)OC(Cl)C(F)(F)F PIWKPBJCKXDKJR-UHFFFAOYSA-N 0.000 description 1
- HNDVDQJCIGZPNO-YFKPBYRVSA-N L-histidine Chemical compound OC(=O)[C@@H](N)CC1=CN=CN1 HNDVDQJCIGZPNO-YFKPBYRVSA-N 0.000 description 1
- 102000004083 Lymphotoxin-alpha Human genes 0.000 description 1
- 108090000542 Lymphotoxin-alpha Proteins 0.000 description 1
- 102000002274 Matrix Metalloproteinases Human genes 0.000 description 1
- 108010000684 Matrix Metalloproteinases Proteins 0.000 description 1
- 102000003792 Metallothionein Human genes 0.000 description 1
- 108090000157 Metallothionein Proteins 0.000 description 1
- 102100024193 Mitogen-activated protein kinase 1 Human genes 0.000 description 1
- 241000713333 Mouse mammary tumor virus Species 0.000 description 1
- 241000699660 Mus musculus Species 0.000 description 1
- 101100144701 Mus musculus Drosha gene Proteins 0.000 description 1
- 101001092908 Mus musculus Serum amyloid P-component Proteins 0.000 description 1
- 102100038895 Myc proto-oncogene protein Human genes 0.000 description 1
- 101710135898 Myc proto-oncogene protein Proteins 0.000 description 1
- 102000005604 Myosin Heavy Chains Human genes 0.000 description 1
- 102100026925 Myosin regulatory light chain 2, ventricular/cardiac muscle isoform Human genes 0.000 description 1
- 208000034827 Neointima Diseases 0.000 description 1
- 102000008299 Nitric Oxide Synthase Human genes 0.000 description 1
- 108010021487 Nitric Oxide Synthase Proteins 0.000 description 1
- 102100028452 Nitric oxide synthase, endothelial Human genes 0.000 description 1
- 101710090055 Nitric oxide synthase, endothelial Proteins 0.000 description 1
- 239000004677 Nylon Substances 0.000 description 1
- 108700020796 Oncogene Proteins 0.000 description 1
- 241000283973 Oryctolagus cuniculus Species 0.000 description 1
- 238000010222 PCR analysis Methods 0.000 description 1
- 206010033557 Palpitations Diseases 0.000 description 1
- 241000282579 Pan Species 0.000 description 1
- 108091005804 Peptidases Proteins 0.000 description 1
- 102000003992 Peroxidases Human genes 0.000 description 1
- 102100038825 Peroxisome proliferator-activated receptor gamma Human genes 0.000 description 1
- 241000286209 Phasianidae Species 0.000 description 1
- NTUPOKHATNSWCY-JYJNAYRXSA-N Phe-Pro-Arg Chemical compound C([C@H](N)C(=O)N1[C@@H](CCC1)C(=O)N[C@@H](CCCN=C(N)N)C(O)=O)C1=CC=CC=C1 NTUPOKHATNSWCY-JYJNAYRXSA-N 0.000 description 1
- 108091000080 Phosphotransferase Proteins 0.000 description 1
- 101150076840 PolI gene Proteins 0.000 description 1
- 229920001213 Polysorbate 20 Polymers 0.000 description 1
- ZLMJMSJWJFRBEC-UHFFFAOYSA-N Potassium Chemical compound [K] ZLMJMSJWJFRBEC-UHFFFAOYSA-N 0.000 description 1
- 241000288906 Primates Species 0.000 description 1
- OFOBLEOULBTSOW-UHFFFAOYSA-N Propanedioic acid Natural products OC(=O)CC(O)=O OFOBLEOULBTSOW-UHFFFAOYSA-N 0.000 description 1
- 239000004365 Protease Substances 0.000 description 1
- 102000004245 Proteasome Endopeptidase Complex Human genes 0.000 description 1
- 108090000708 Proteasome Endopeptidase Complex Proteins 0.000 description 1
- 102000005569 Protein Phosphatase 1 Human genes 0.000 description 1
- 108010059000 Protein Phosphatase 1 Proteins 0.000 description 1
- 102000017143 RNA Polymerase I Human genes 0.000 description 1
- 108010013845 RNA Polymerase I Proteins 0.000 description 1
- 102000009572 RNA Polymerase II Human genes 0.000 description 1
- 108010009460 RNA Polymerase II Proteins 0.000 description 1
- 102000014450 RNA Polymerase III Human genes 0.000 description 1
- 108010078067 RNA Polymerase III Proteins 0.000 description 1
- 238000010802 RNA extraction kit Methods 0.000 description 1
- 102100035772 Regulator of G-protein signaling 12 Human genes 0.000 description 1
- 101710148337 Regulator of G-protein signaling 12 Proteins 0.000 description 1
- 108091027981 Response element Proteins 0.000 description 1
- 102100037486 Reverse transcriptase/ribonuclease H Human genes 0.000 description 1
- PYMYPHUHKUWMLA-LMVFSUKVSA-N Ribose Natural products OC[C@@H](O)[C@@H](O)[C@@H](O)C=O PYMYPHUHKUWMLA-LMVFSUKVSA-N 0.000 description 1
- 206010039163 Right ventricular failure Diseases 0.000 description 1
- 241000714474 Rous sarcoma virus Species 0.000 description 1
- 108010017324 STAT3 Transcription Factor Proteins 0.000 description 1
- 240000004808 Saccharomyces cerevisiae Species 0.000 description 1
- 102100030058 Secreted frizzled-related protein 1 Human genes 0.000 description 1
- 102100030054 Secreted frizzled-related protein 2 Human genes 0.000 description 1
- MTCFGRXMJLQNBG-UHFFFAOYSA-N Serine Natural products OCC(N)C(O)=O MTCFGRXMJLQNBG-UHFFFAOYSA-N 0.000 description 1
- 102100022056 Serum response factor Human genes 0.000 description 1
- 102100024040 Signal transducer and activator of transcription 3 Human genes 0.000 description 1
- 102000007374 Smad Proteins Human genes 0.000 description 1
- 108010007945 Smad Proteins Proteins 0.000 description 1
- 102000008063 Small Heat-Shock Proteins Human genes 0.000 description 1
- 108010088928 Small Heat-Shock Proteins Proteins 0.000 description 1
- 101150037203 Sox2 gene Proteins 0.000 description 1
- 101150004321 Srgap2 gene Proteins 0.000 description 1
- 238000000692 Student's t-test Methods 0.000 description 1
- 208000037065 Subacute sclerosing leukoencephalitis Diseases 0.000 description 1
- 206010042297 Subacute sclerosing panencephalitis Diseases 0.000 description 1
- 241000282887 Suidae Species 0.000 description 1
- 102000002154 T-Lymphoma Invasion and Metastasis-inducing Protein 1 Human genes 0.000 description 1
- 108010001288 T-Lymphoma Invasion and Metastasis-inducing Protein 1 Proteins 0.000 description 1
- 102100033456 TGF-beta receptor type-1 Human genes 0.000 description 1
- 101710084191 TGF-beta receptor type-1 Proteins 0.000 description 1
- 102100033455 TGF-beta receptor type-2 Human genes 0.000 description 1
- 101710084188 TGF-beta receptor type-2 Proteins 0.000 description 1
- QJJXYPPXXYFBGM-LFZNUXCKSA-N Tacrolimus Chemical compound C1C[C@@H](O)[C@H](OC)C[C@@H]1\C=C(/C)[C@@H]1[C@H](C)[C@@H](O)CC(=O)[C@H](CC=C)/C=C(C)/C[C@H](C)C[C@H](OC)[C@H]([C@H](C[C@H]2C)OC)O[C@@]2(O)C(=O)C(=O)N2CCCC[C@H]2C(=O)O1 QJJXYPPXXYFBGM-LFZNUXCKSA-N 0.000 description 1
- 239000004098 Tetracycline Substances 0.000 description 1
- RYYWUUFWQRZTIU-UHFFFAOYSA-N Thiophosphoric acid Chemical group OP(O)(S)=O RYYWUUFWQRZTIU-UHFFFAOYSA-N 0.000 description 1
- 108090000190 Thrombin Proteins 0.000 description 1
- AUYYCJSJGJYCDS-LBPRGKRZSA-N Thyrolar Chemical class IC1=CC(C[C@H](N)C(O)=O)=CC(I)=C1OC1=CC=C(O)C(I)=C1 AUYYCJSJGJYCDS-LBPRGKRZSA-N 0.000 description 1
- 101710150448 Transcriptional regulator Myc Proteins 0.000 description 1
- 108700019146 Transgenes Proteins 0.000 description 1
- SHGAZHPCJJPHSC-NWVFGJFESA-N Tretinoin Chemical compound OC(=O)/C=C(\C)/C=C/C=C(C)C=CC1=C(C)CCCC1(C)C SHGAZHPCJJPHSC-NWVFGJFESA-N 0.000 description 1
- 239000007983 Tris buffer Substances 0.000 description 1
- 108060008682 Tumor Necrosis Factor Proteins 0.000 description 1
- 108060008683 Tumor Necrosis Factor Receptor Proteins 0.000 description 1
- 102100032100 Tumor necrosis factor ligand superfamily member 8 Human genes 0.000 description 1
- 102100040113 Tumor necrosis factor receptor superfamily member 10A Human genes 0.000 description 1
- 102100040403 Tumor necrosis factor receptor superfamily member 6 Human genes 0.000 description 1
- 102100039037 Vascular endothelial growth factor A Human genes 0.000 description 1
- 102100038217 Vascular endothelial growth factor B Human genes 0.000 description 1
- 208000035868 Vascular inflammations Diseases 0.000 description 1
- 206010053648 Vascular occlusion Diseases 0.000 description 1
- 108010051583 Ventricular Myosins Proteins 0.000 description 1
- 241000251539 Vertebrata <Metazoa> Species 0.000 description 1
- 101150010310 WNT-4 gene Proteins 0.000 description 1
- 101150019524 WNT2 gene Proteins 0.000 description 1
- 230000004156 Wnt signaling pathway Effects 0.000 description 1
- 108700020986 Wnt-2 Proteins 0.000 description 1
- 102000052556 Wnt-2 Human genes 0.000 description 1
- 102000052548 Wnt-4 Human genes 0.000 description 1
- 108700020984 Wnt-4 Proteins 0.000 description 1
- 101100334377 Xenopus laevis fscn gene Proteins 0.000 description 1
- 101100485099 Xenopus laevis wnt2b-b gene Proteins 0.000 description 1
- SXEHKFHPFVVDIR-UHFFFAOYSA-N [4-(4-hydrazinylphenyl)phenyl]hydrazine Chemical compound C1=CC(NN)=CC=C1C1=CC=C(NN)C=C1 SXEHKFHPFVVDIR-UHFFFAOYSA-N 0.000 description 1
- QRSFFHRCBYCWBS-UHFFFAOYSA-N [O].[O] Chemical compound [O].[O] QRSFFHRCBYCWBS-UHFFFAOYSA-N 0.000 description 1
- 210000001015 abdomen Anatomy 0.000 description 1
- 238000010521 absorption reaction Methods 0.000 description 1
- 238000009825 accumulation Methods 0.000 description 1
- 239000002253 acid Substances 0.000 description 1
- 230000009471 action Effects 0.000 description 1
- 239000013543 active substance Substances 0.000 description 1
- 229960005305 adenosine Drugs 0.000 description 1
- 239000002671 adjuvant Substances 0.000 description 1
- 229930013930 alkaloid Natural products 0.000 description 1
- 230000000172 allergic effect Effects 0.000 description 1
- 102000013640 alpha-Crystallin B Chain Human genes 0.000 description 1
- 108010051585 alpha-Crystallin B Chain Proteins 0.000 description 1
- HMFHBZSHGGEWLO-UHFFFAOYSA-N alpha-D-Furanose-Ribose Natural products OCC1OC(O)C(O)C1O HMFHBZSHGGEWLO-UHFFFAOYSA-N 0.000 description 1
- 229910000147 aluminium phosphate Inorganic materials 0.000 description 1
- 230000001668 ameliorated effect Effects 0.000 description 1
- JKOQGQFVAUAYPM-UHFFFAOYSA-N amifostine Chemical compound NCCCNCCSP(O)(O)=O JKOQGQFVAUAYPM-UHFFFAOYSA-N 0.000 description 1
- 229960001097 amifostine Drugs 0.000 description 1
- 229940024606 amino acid Drugs 0.000 description 1
- 125000003277 amino group Chemical group 0.000 description 1
- 229960000528 amlodipine Drugs 0.000 description 1
- HTIQEAQVCYTUBX-UHFFFAOYSA-N amlodipine Chemical compound CCOC(=O)C1=C(COCCN)NC(C)=C(C(=O)OC)C1C1=CC=CC=C1Cl HTIQEAQVCYTUBX-UHFFFAOYSA-N 0.000 description 1
- 230000003321 amplification Effects 0.000 description 1
- 238000012197 amplification kit Methods 0.000 description 1
- 230000037005 anaesthesia Effects 0.000 description 1
- 230000033115 angiogenesis Effects 0.000 description 1
- 238000002399 angioplasty Methods 0.000 description 1
- 229950006323 angiotensin ii Drugs 0.000 description 1
- 238000010171 animal model Methods 0.000 description 1
- 210000003423 ankle Anatomy 0.000 description 1
- 230000001475 anti-trypsic effect Effects 0.000 description 1
- 239000003146 anticoagulant agent Substances 0.000 description 1
- 229940127219 anticoagulant drug Drugs 0.000 description 1
- 229940127218 antiplatelet drug Drugs 0.000 description 1
- 229960005348 antithrombin iii Drugs 0.000 description 1
- 210000000709 aorta Anatomy 0.000 description 1
- 238000013459 approach Methods 0.000 description 1
- 239000012736 aqueous medium Substances 0.000 description 1
- ODKSFYDXXFIFQN-UHFFFAOYSA-N arginine Natural products OC(=O)C(N)CCCNC(N)=N ODKSFYDXXFIFQN-UHFFFAOYSA-N 0.000 description 1
- 229960001230 asparagine Drugs 0.000 description 1
- 235000009582 asparagine Nutrition 0.000 description 1
- 125000000613 asparagine group Chemical group N[C@@H](CC(N)=O)C(=O)* 0.000 description 1
- FZCSTZYAHCUGEM-UHFFFAOYSA-N aspergillomarasmine B Natural products OC(=O)CNC(C(O)=O)CNC(C(O)=O)CC(O)=O FZCSTZYAHCUGEM-UHFFFAOYSA-N 0.000 description 1
- 238000003556 assay Methods 0.000 description 1
- 208000010668 atopic eczema Diseases 0.000 description 1
- 229960004530 benazepril Drugs 0.000 description 1
- 230000009286 beneficial effect Effects 0.000 description 1
- WQZGKKKJIJFFOK-VFUOTHLCSA-N beta-D-glucose Chemical compound OC[C@H]1O[C@@H](O)[C@H](O)[C@@H](O)[C@@H]1O WQZGKKKJIJFFOK-VFUOTHLCSA-N 0.000 description 1
- 230000015572 biosynthetic process Effects 0.000 description 1
- 238000009395 breeding Methods 0.000 description 1
- 230000001488 breeding effect Effects 0.000 description 1
- 239000011575 calcium Substances 0.000 description 1
- 229910052791 calcium Inorganic materials 0.000 description 1
- 239000001506 calcium phosphate Substances 0.000 description 1
- 229910000389 calcium phosphate Inorganic materials 0.000 description 1
- 235000011010 calcium phosphates Nutrition 0.000 description 1
- 201000011510 cancer Diseases 0.000 description 1
- 229960000932 candesartan Drugs 0.000 description 1
- SGZAIDDFHDDFJU-UHFFFAOYSA-N candesartan Chemical compound CCOC1=NC2=CC=CC(C(O)=O)=C2N1CC(C=C1)=CC=C1C1=CC=CC=C1C1=NN=N[N]1 SGZAIDDFHDDFJU-UHFFFAOYSA-N 0.000 description 1
- 239000002775 capsule Substances 0.000 description 1
- 229960000830 captopril Drugs 0.000 description 1
- FAKRSMQSSFJEIM-RQJHMYQMSA-N captopril Chemical compound SC[C@@H](C)C(=O)N1CCC[C@H]1C(O)=O FAKRSMQSSFJEIM-RQJHMYQMSA-N 0.000 description 1
- 239000004202 carbamide Substances 0.000 description 1
- 150000001720 carbohydrates Chemical class 0.000 description 1
- 235000014633 carbohydrates Nutrition 0.000 description 1
- 125000003178 carboxy group Chemical group [H]OC(*)=O 0.000 description 1
- 239000002371 cardiac agent Substances 0.000 description 1
- 210000001715 carotid artery Anatomy 0.000 description 1
- 230000021164 cell adhesion Effects 0.000 description 1
- 230000024245 cell differentiation Effects 0.000 description 1
- 230000003915 cell function Effects 0.000 description 1
- 230000004663 cell proliferation Effects 0.000 description 1
- 230000007248 cellular mechanism Effects 0.000 description 1
- 230000033077 cellular process Effects 0.000 description 1
- 230000002490 cerebral effect Effects 0.000 description 1
- 239000002975 chemoattractant Substances 0.000 description 1
- 210000000038 chest Anatomy 0.000 description 1
- 229960004926 chlorobutanol Drugs 0.000 description 1
- 229950006523 cilexetil Drugs 0.000 description 1
- 230000004087 circulation Effects 0.000 description 1
- 238000004140 cleaning Methods 0.000 description 1
- 238000000975 co-precipitation Methods 0.000 description 1
- 238000001246 colloidal dispersion Methods 0.000 description 1
- 238000011284 combination treatment Methods 0.000 description 1
- 230000002301 combined effect Effects 0.000 description 1
- 230000006835 compression Effects 0.000 description 1
- 238000007906 compression Methods 0.000 description 1
- 238000009833 condensation Methods 0.000 description 1
- 230000005494 condensation Effects 0.000 description 1
- 238000011109 contamination Methods 0.000 description 1
- 230000001276 controlling effect Effects 0.000 description 1
- 210000004748 cultured cell Anatomy 0.000 description 1
- WZHCOOQXZCIUNC-UHFFFAOYSA-N cyclandelate Chemical compound C1C(C)(C)CC(C)CC1OC(=O)C(O)C1=CC=CC=C1 WZHCOOQXZCIUNC-UHFFFAOYSA-N 0.000 description 1
- 230000001351 cycling effect Effects 0.000 description 1
- VTDCYOLLYVAJSY-UHFFFAOYSA-N cyclohexyl propan-2-yl carbonate Chemical compound CC(C)OC(=O)OC1CCCCC1 VTDCYOLLYVAJSY-UHFFFAOYSA-N 0.000 description 1
- 235000018417 cysteine Nutrition 0.000 description 1
- XUJNEKJLAYXESH-UHFFFAOYSA-N cysteine Natural products SCC(N)C(O)=O XUJNEKJLAYXESH-UHFFFAOYSA-N 0.000 description 1
- 125000000151 cysteine group Chemical group N[C@@H](CS)C(=O)* 0.000 description 1
- 210000005220 cytoplasmic tail Anatomy 0.000 description 1
- 230000003436 cytoskeletal effect Effects 0.000 description 1
- 210000004292 cytoskeleton Anatomy 0.000 description 1
- 231100000433 cytotoxic Toxicity 0.000 description 1
- 230000001472 cytotoxic effect Effects 0.000 description 1
- 238000007405 data analysis Methods 0.000 description 1
- 238000011157 data evaluation Methods 0.000 description 1
- 230000003247 decreasing effect Effects 0.000 description 1
- 230000007812 deficiency Effects 0.000 description 1
- 230000002950 deficient Effects 0.000 description 1
- 230000007850 degeneration Effects 0.000 description 1
- 230000003111 delayed effect Effects 0.000 description 1
- 238000002716 delivery method Methods 0.000 description 1
- UQLDLKMNUJERMK-UHFFFAOYSA-L di(octadecanoyloxy)lead Chemical compound [Pb+2].CCCCCCCCCCCCCCCCCC([O-])=O.CCCCCCCCCCCCCCCCCC([O-])=O UQLDLKMNUJERMK-UHFFFAOYSA-L 0.000 description 1
- 235000014113 dietary fatty acids Nutrition 0.000 description 1
- UGMCXQCYOVCMTB-UHFFFAOYSA-K dihydroxy(stearato)aluminium Chemical compound CCCCCCCCCCCCCCCCCC(=O)O[Al](O)O UGMCXQCYOVCMTB-UHFFFAOYSA-K 0.000 description 1
- 229960004166 diltiazem Drugs 0.000 description 1
- HSUGRBWQSSZJOP-RTWAWAEBSA-N diltiazem Chemical compound C1=CC(OC)=CC=C1[C@H]1[C@@H](OC(C)=O)C(=O)N(CCN(C)C)C2=CC=CC=C2S1 HSUGRBWQSSZJOP-RTWAWAEBSA-N 0.000 description 1
- UKWLRLAKGMZXJC-QIECWBMSSA-L disodium;[4-chloro-3-[(3r,5s)-1-chloro-3'-methoxyspiro[adamantane-4,4'-dioxetane]-3'-yl]phenyl] phosphate Chemical compound [Na+].[Na+].O1OC2([C@@H]3CC4C[C@H]2CC(Cl)(C4)C3)C1(OC)C1=CC(OP([O-])([O-])=O)=CC=C1Cl UKWLRLAKGMZXJC-QIECWBMSSA-L 0.000 description 1
- XEYBHCRIKKKOSS-UHFFFAOYSA-N disodium;azanylidyneoxidanium;iron(2+);pentacyanide Chemical compound [Na+].[Na+].[Fe+2].N#[C-].N#[C-].N#[C-].N#[C-].N#[C-].[O+]#N XEYBHCRIKKKOSS-UHFFFAOYSA-N 0.000 description 1
- 239000002270 dispersing agent Substances 0.000 description 1
- 208000002173 dizziness Diseases 0.000 description 1
- 239000002552 dosage form Substances 0.000 description 1
- 238000001035 drying Methods 0.000 description 1
- 238000004520 electroporation Methods 0.000 description 1
- 210000004212 embryonic organizer Anatomy 0.000 description 1
- 210000001671 embryonic stem cell Anatomy 0.000 description 1
- 239000002309 endothelin receptor agonist Substances 0.000 description 1
- 239000002158 endotoxin Substances 0.000 description 1
- 238000005516 engineering process Methods 0.000 description 1
- 230000002708 enhancing effect Effects 0.000 description 1
- 229940088598 enzyme Drugs 0.000 description 1
- 229960001123 epoprostenol Drugs 0.000 description 1
- BEFDCLMNVWHSGT-UHFFFAOYSA-N ethenylcyclopentane Chemical compound C=CC1CCCC1 BEFDCLMNVWHSGT-UHFFFAOYSA-N 0.000 description 1
- 229960005167 everolimus Drugs 0.000 description 1
- 210000001723 extracellular space Anatomy 0.000 description 1
- 206010016256 fatigue Diseases 0.000 description 1
- 229930195729 fatty acid Natural products 0.000 description 1
- 239000000194 fatty acid Substances 0.000 description 1
- 150000004665 fatty acids Chemical class 0.000 description 1
- 210000002950 fibroblast Anatomy 0.000 description 1
- 239000012634 fragment Substances 0.000 description 1
- 239000012458 free base Substances 0.000 description 1
- 238000004108 freeze drying Methods 0.000 description 1
- 229940044627 gamma-interferon Drugs 0.000 description 1
- 239000007789 gas Substances 0.000 description 1
- 239000000499 gel Substances 0.000 description 1
- 239000008273 gelatin Substances 0.000 description 1
- 229920000159 gelatin Polymers 0.000 description 1
- 235000019322 gelatine Nutrition 0.000 description 1
- 235000011852 gelatine desserts Nutrition 0.000 description 1
- 238000003633 gene expression assay Methods 0.000 description 1
- 239000008103 glucose Substances 0.000 description 1
- 229940125672 glycoprotein IIb/IIIa inhibitor Drugs 0.000 description 1
- 229930182470 glycoside Natural products 0.000 description 1
- 150000002338 glycosides Chemical class 0.000 description 1
- 230000013595 glycosylation Effects 0.000 description 1
- 238000006206 glycosylation reaction Methods 0.000 description 1
- 239000003102 growth factor Substances 0.000 description 1
- 239000003119 guanylate cyclase activator Substances 0.000 description 1
- 230000000004 hemodynamic effect Effects 0.000 description 1
- 229940094991 herring sperm dna Drugs 0.000 description 1
- HNDVDQJCIGZPNO-UHFFFAOYSA-N histidine Natural products OC(=O)C(N)CC1=CN=CN1 HNDVDQJCIGZPNO-UHFFFAOYSA-N 0.000 description 1
- 102000055983 human BMPR2 Human genes 0.000 description 1
- 150000004679 hydroxides Chemical class 0.000 description 1
- 239000002471 hydroxymethylglutaryl coenzyme A reductase inhibitor Substances 0.000 description 1
- 239000001863 hydroxypropyl cellulose Substances 0.000 description 1
- 235000010977 hydroxypropyl cellulose Nutrition 0.000 description 1
- 230000003463 hyperproliferative effect Effects 0.000 description 1
- 230000036543 hypotension Effects 0.000 description 1
- 229960002240 iloprost Drugs 0.000 description 1
- HIFJCPQKFCZDDL-ACWOEMLNSA-N iloprost Chemical compound C1\C(=C/CCCC(O)=O)C[C@@H]2[C@@H](/C=C/[C@@H](O)C(C)CC#CC)[C@H](O)C[C@@H]21 HIFJCPQKFCZDDL-ACWOEMLNSA-N 0.000 description 1
- 229960001195 imidapril Drugs 0.000 description 1
- KLZWOWYOHUKJIG-BPUTZDHNSA-N imidapril Chemical compound C([C@@H](C(=O)OCC)N[C@@H](C)C(=O)N1C(N(C)C[C@H]1C(O)=O)=O)CC1=CC=CC=C1 KLZWOWYOHUKJIG-BPUTZDHNSA-N 0.000 description 1
- 239000003018 immunosuppressive agent Substances 0.000 description 1
- 229940125721 immunosuppressive agent Drugs 0.000 description 1
- 230000001976 improved effect Effects 0.000 description 1
- 239000012535 impurity Substances 0.000 description 1
- 238000011534 incubation Methods 0.000 description 1
- 208000015181 infectious disease Diseases 0.000 description 1
- 230000036512 infertility Effects 0.000 description 1
- 230000000977 initiatory effect Effects 0.000 description 1
- 239000007972 injectable composition Substances 0.000 description 1
- 150000007529 inorganic bases Chemical class 0.000 description 1
- 108010044426 integrins Proteins 0.000 description 1
- 102000006495 integrins Human genes 0.000 description 1
- 230000002452 interceptive effect Effects 0.000 description 1
- 239000011229 interlayer Substances 0.000 description 1
- 230000003834 intracellular effect Effects 0.000 description 1
- 238000010253 intravenous injection Methods 0.000 description 1
- 229960002198 irbesartan Drugs 0.000 description 1
- YCPOHTHPUREGFM-UHFFFAOYSA-N irbesartan Chemical compound O=C1N(CC=2C=CC(=CC=2)C=2C(=CC=CC=2)C=2[N]N=NN=2)C(CCCC)=NC21CCCC2 YCPOHTHPUREGFM-UHFFFAOYSA-N 0.000 description 1
- 229910052742 iron Inorganic materials 0.000 description 1
- 229960002725 isoflurane Drugs 0.000 description 1
- JJWLVOIRVHMVIS-UHFFFAOYSA-N isopropylamine Chemical compound CC(C)N JJWLVOIRVHMVIS-UHFFFAOYSA-N 0.000 description 1
- 229960000201 isosorbide dinitrate Drugs 0.000 description 1
- MOYKHGMNXAOIAT-JGWLITMVSA-N isosorbide dinitrate Chemical compound [O-][N+](=O)O[C@H]1CO[C@@H]2[C@H](O[N+](=O)[O-])CO[C@@H]21 MOYKHGMNXAOIAT-JGWLITMVSA-N 0.000 description 1
- 238000002372 labelling Methods 0.000 description 1
- 239000000787 lecithin Substances 0.000 description 1
- 235000010445 lecithin Nutrition 0.000 description 1
- 229940067606 lecithin Drugs 0.000 description 1
- 210000005240 left ventricle Anatomy 0.000 description 1
- 150000002632 lipids Chemical class 0.000 description 1
- 238000001638 lipofection Methods 0.000 description 1
- 244000144972 livestock Species 0.000 description 1
- 229960004773 losartan Drugs 0.000 description 1
- KJJZZJSZUJXYEA-UHFFFAOYSA-N losartan Chemical compound CCCCC1=NC(Cl)=C(CO)N1CC1=CC=C(C=2C(=CC=CC=2)C=2[N]N=NN=2)C=C1 KJJZZJSZUJXYEA-UHFFFAOYSA-N 0.000 description 1
- 210000005265 lung cell Anatomy 0.000 description 1
- 239000006166 lysate Substances 0.000 description 1
- 229920002521 macromolecule Polymers 0.000 description 1
- 238000012423 maintenance Methods 0.000 description 1
- VZCYOOQTPOCHFL-UPHRSURJSA-N maleic acid Chemical compound OC(=O)\C=C/C(O)=O VZCYOOQTPOCHFL-UPHRSURJSA-N 0.000 description 1
- 239000011976 maleic acid Substances 0.000 description 1
- 210000004962 mammalian cell Anatomy 0.000 description 1
- OCSMOTCMPXTDND-OUAUKWLOSA-N marimastat Chemical compound CNC(=O)[C@H](C(C)(C)C)NC(=O)[C@H](CC(C)C)[C@H](O)C(=O)NO OCSMOTCMPXTDND-OUAUKWLOSA-N 0.000 description 1
- 229950008959 marimastat Drugs 0.000 description 1
- 239000003550 marker Substances 0.000 description 1
- 238000005259 measurement Methods 0.000 description 1
- 230000007246 mechanism Effects 0.000 description 1
- 239000002609 medium Substances 0.000 description 1
- 238000002844 melting Methods 0.000 description 1
- 230000008018 melting Effects 0.000 description 1
- QSHDDOUJBYECFT-UHFFFAOYSA-N mercury Chemical compound [Hg] QSHDDOUJBYECFT-UHFFFAOYSA-N 0.000 description 1
- 229910052753 mercury Inorganic materials 0.000 description 1
- 108091042948 miR-145 stem-loop Proteins 0.000 description 1
- 108091059964 miR-154 stem-loop Proteins 0.000 description 1
- 108091007426 microRNA precursor Proteins 0.000 description 1
- 230000000813 microbial effect Effects 0.000 description 1
- 210000003632 microfilament Anatomy 0.000 description 1
- 238000000520 microinjection Methods 0.000 description 1
- 239000004005 microsphere Substances 0.000 description 1
- 150000007522 mineralic acids Chemical class 0.000 description 1
- 229940126619 mouse monoclonal antibody Drugs 0.000 description 1
- 210000004165 myocardium Anatomy 0.000 description 1
- 210000000651 myofibroblast Anatomy 0.000 description 1
- 108010065781 myosin light chain 2 Proteins 0.000 description 1
- KCXCCSJYRGUQFM-UHFFFAOYSA-N n-[ethyl-[2-(ethylamino)ethyl]amino]-n-hydroxynitrous amide Chemical compound CCNCCN(CC)N(O)N=O KCXCCSJYRGUQFM-UHFFFAOYSA-N 0.000 description 1
- 239000002088 nanocapsule Substances 0.000 description 1
- 230000008692 neointimal formation Effects 0.000 description 1
- HPNRHPKXQZSDFX-OAQDCNSJSA-N nesiritide Chemical compound C([C@H]1C(=O)NCC(=O)N[C@@H](CCCNC(N)=N)C(=O)N[C@@H](CCCCN)C(=O)N[C@@H](CCSC)C(=O)N[C@@H](CC(O)=O)C(=O)N[C@@H](CCCNC(N)=N)C(=O)N[C@H](C(N[C@@H](CO)C(=O)N[C@@H](CO)C(=O)N[C@@H](CO)C(=O)N[C@@H](CO)C(=O)NCC(=O)N[C@@H](CC(C)C)C(=O)NCC(=O)N[C@@H](CSSC[C@@H](C(=O)N1)NC(=O)CNC(=O)[C@H](CO)NC(=O)CNC(=O)[C@H](CCC(N)=O)NC(=O)[C@@H](NC(=O)[C@H](CCSC)NC(=O)[C@H](CCCCN)NC(=O)[C@H]1N(CCC1)C(=O)[C@@H](N)CO)C(C)C)C(=O)N[C@@H](CCCCN)C(=O)N[C@@H](C(C)C)C(=O)N[C@@H](CC(C)C)C(=O)N[C@@H](CCCNC(N)=N)C(=O)N[C@@H](CCCNC(N)=N)C(=O)N[C@@H](CC=1N=CNC=1)C(O)=O)=O)[C@@H](C)CC)C1=CC=CC=C1 HPNRHPKXQZSDFX-OAQDCNSJSA-N 0.000 description 1
- 230000007935 neutral effect Effects 0.000 description 1
- 229960001597 nifedipine Drugs 0.000 description 1
- HYIMSNHJOBLJNT-UHFFFAOYSA-N nifedipine Chemical compound COC(=O)C1=C(C)NC(C)=C(C(=O)OC)C1C1=CC=CC=C1[N+]([O-])=O HYIMSNHJOBLJNT-UHFFFAOYSA-N 0.000 description 1
- 238000010606 normalization Methods 0.000 description 1
- 238000003199 nucleic acid amplification method Methods 0.000 description 1
- 210000004940 nucleus Anatomy 0.000 description 1
- 229920001778 nylon Polymers 0.000 description 1
- 230000003287 optical effect Effects 0.000 description 1
- 150000007524 organic acids Chemical class 0.000 description 1
- 235000005985 organic acids Nutrition 0.000 description 1
- 150000007530 organic bases Chemical class 0.000 description 1
- 229940094443 oxytocics prostaglandins Drugs 0.000 description 1
- 230000036407 pain Effects 0.000 description 1
- 210000004738 parenchymal cell Anatomy 0.000 description 1
- 238000007911 parenteral administration Methods 0.000 description 1
- 230000001936 parietal effect Effects 0.000 description 1
- 230000036961 partial effect Effects 0.000 description 1
- 230000007310 pathophysiology Effects 0.000 description 1
- 239000013610 patient sample Substances 0.000 description 1
- 229960002582 perindopril Drugs 0.000 description 1
- IPVQLZZIHOAWMC-QXKUPLGCSA-N perindopril Chemical compound C1CCC[C@H]2C[C@@H](C(O)=O)N(C(=O)[C@H](C)N[C@@H](CCC)C(=O)OCC)[C@H]21 IPVQLZZIHOAWMC-QXKUPLGCSA-N 0.000 description 1
- 210000005259 peripheral blood Anatomy 0.000 description 1
- 239000011886 peripheral blood Substances 0.000 description 1
- 230000002093 peripheral effect Effects 0.000 description 1
- 108040007629 peroxidase activity proteins Proteins 0.000 description 1
- 238000004634 pharmacological analysis method Methods 0.000 description 1
- 230000009038 pharmacological inhibition Effects 0.000 description 1
- 229960003742 phenol Drugs 0.000 description 1
- 150000004713 phosphodiesters Chemical class 0.000 description 1
- 102000020233 phosphotransferase Human genes 0.000 description 1
- 230000008288 physiological mechanism Effects 0.000 description 1
- 229940096701 plain lipid modifying drug hmg coa reductase inhibitors Drugs 0.000 description 1
- 239000000106 platelet aggregation inhibitor Substances 0.000 description 1
- 229920000768 polyamine Polymers 0.000 description 1
- 229920005862 polyol Polymers 0.000 description 1
- 150000003077 polyols Chemical class 0.000 description 1
- 239000000256 polyoxyethylene sorbitan monolaurate Substances 0.000 description 1
- 235000010486 polyoxyethylene sorbitan monolaurate Nutrition 0.000 description 1
- 230000029279 positive regulation of transcription, DNA-dependent Effects 0.000 description 1
- 239000011591 potassium Substances 0.000 description 1
- 229910052700 potassium Inorganic materials 0.000 description 1
- 239000003450 potassium channel blocker Substances 0.000 description 1
- 239000003755 preservative agent Substances 0.000 description 1
- 230000002335 preservative effect Effects 0.000 description 1
- 108091007428 primary miRNA Proteins 0.000 description 1
- MFDFERRIHVXMIY-UHFFFAOYSA-N procaine Chemical compound CCN(CC)CCOC(=O)C1=CC=C(N)C=C1 MFDFERRIHVXMIY-UHFFFAOYSA-N 0.000 description 1
- 229960004919 procaine Drugs 0.000 description 1
- 230000002035 prolonged effect Effects 0.000 description 1
- 239000003380 propellant Substances 0.000 description 1
- 238000011321 prophylaxis Methods 0.000 description 1
- 150000003180 prostaglandins Chemical class 0.000 description 1
- 230000006916 protein interaction Effects 0.000 description 1
- 230000004088 pulmonary circulation Effects 0.000 description 1
- 208000008128 pulmonary tuberculosis Diseases 0.000 description 1
- 229960003401 ramipril Drugs 0.000 description 1
- HDACQVRGBOVJII-JBDAPHQKSA-N ramipril Chemical compound C([C@@H](C(=O)OCC)N[C@@H](C)C(=O)N1[C@@H](C[C@@H]2CCC[C@@H]21)C(O)=O)CC1=CC=CC=C1 HDACQVRGBOVJII-JBDAPHQKSA-N 0.000 description 1
- 230000009711 regulatory function Effects 0.000 description 1
- 230000010076 replication Effects 0.000 description 1
- 230000002207 retinal effect Effects 0.000 description 1
- 229930002330 retinoic acid Natural products 0.000 description 1
- 230000001177 retroviral effect Effects 0.000 description 1
- 239000002342 ribonucleoside Substances 0.000 description 1
- 229920002477 rna polymer Polymers 0.000 description 1
- 235000019515 salmon Nutrition 0.000 description 1
- 230000035945 sensitivity Effects 0.000 description 1
- 238000000926 separation method Methods 0.000 description 1
- 230000035939 shock Effects 0.000 description 1
- 229960003310 sildenafil Drugs 0.000 description 1
- 210000003491 skin Anatomy 0.000 description 1
- 239000001509 sodium citrate Substances 0.000 description 1
- NLJMYIDDQXHKNR-UHFFFAOYSA-K sodium citrate Chemical compound O.O.[Na+].[Na+].[Na+].[O-]C(=O)CC(O)(CC([O-])=O)C([O-])=O NLJMYIDDQXHKNR-UHFFFAOYSA-K 0.000 description 1
- 229940083618 sodium nitroprusside Drugs 0.000 description 1
- 229940075582 sorbic acid Drugs 0.000 description 1
- 235000010199 sorbic acid Nutrition 0.000 description 1
- 239000004334 sorbic acid Substances 0.000 description 1
- 230000002269 spontaneous effect Effects 0.000 description 1
- 238000007619 statistical method Methods 0.000 description 1
- 239000008221 sterile excipient Substances 0.000 description 1
- 239000008174 sterile solution Substances 0.000 description 1
- 230000001954 sterilising effect Effects 0.000 description 1
- 238000004659 sterilization and disinfection Methods 0.000 description 1
- 239000003270 steroid hormone Substances 0.000 description 1
- 230000000638 stimulation Effects 0.000 description 1
- 210000002948 striated muscle cell Anatomy 0.000 description 1
- 238000010254 subcutaneous injection Methods 0.000 description 1
- 239000007929 subcutaneous injection Substances 0.000 description 1
- 239000000758 substrate Substances 0.000 description 1
- 150000008163 sugars Chemical class 0.000 description 1
- 239000013589 supplement Substances 0.000 description 1
- 230000008961 swelling Effects 0.000 description 1
- 206010042772 syncope Diseases 0.000 description 1
- 230000004873 systolic arterial blood pressure Effects 0.000 description 1
- 238000012353 t test Methods 0.000 description 1
- 229960000835 tadalafil Drugs 0.000 description 1
- IEHKWSGCTWLXFU-IIBYNOLFSA-N tadalafil Chemical compound C1=C2OCOC2=CC([C@@H]2C3=C([C]4C=CC=CC4=N3)C[C@H]3N2C(=O)CN(C3=O)C)=C1 IEHKWSGCTWLXFU-IIBYNOLFSA-N 0.000 description 1
- 238000012911 target assessment Methods 0.000 description 1
- 229930101283 tetracycline Natural products 0.000 description 1
- 229960002180 tetracycline Drugs 0.000 description 1
- 235000019364 tetracycline Nutrition 0.000 description 1
- 150000003522 tetracyclines Chemical class 0.000 description 1
- RTKIYNMVFMVABJ-UHFFFAOYSA-L thimerosal Chemical compound [Na+].CC[Hg]SC1=CC=CC=C1C([O-])=O RTKIYNMVFMVABJ-UHFFFAOYSA-L 0.000 description 1
- 229940033663 thimerosal Drugs 0.000 description 1
- 229960004072 thrombin Drugs 0.000 description 1
- 239000005495 thyroid hormone Substances 0.000 description 1
- 229940036555 thyroid hormone Drugs 0.000 description 1
- VZCYOOQTPOCHFL-UHFFFAOYSA-N trans-butenedioic acid Natural products OC(=O)C=CC(O)=O VZCYOOQTPOCHFL-UHFFFAOYSA-N 0.000 description 1
- 238000011222 transcriptome analysis Methods 0.000 description 1
- 238000011830 transgenic mouse model Methods 0.000 description 1
- 238000013519 translation Methods 0.000 description 1
- 229960005032 treprostinil Drugs 0.000 description 1
- PAJMKGZZBBTTOY-ZFORQUDYSA-N treprostinil Chemical compound C1=CC=C(OCC(O)=O)C2=C1C[C@@H]1[C@@H](CC[C@@H](O)CCCCC)[C@H](O)C[C@@H]1C2 PAJMKGZZBBTTOY-ZFORQUDYSA-N 0.000 description 1
- 229960001727 tretinoin Drugs 0.000 description 1
- QORWJWZARLRLPR-UHFFFAOYSA-H tricalcium bis(phosphate) Chemical compound [Ca+2].[Ca+2].[Ca+2].[O-]P([O-])([O-])=O.[O-]P([O-])([O-])=O QORWJWZARLRLPR-UHFFFAOYSA-H 0.000 description 1
- LENZDBCJOHFCAS-UHFFFAOYSA-N tris Chemical compound OCC(N)(CO)CO LENZDBCJOHFCAS-UHFFFAOYSA-N 0.000 description 1
- 239000002753 trypsin inhibitor Substances 0.000 description 1
- 102000003298 tumor necrosis factor receptor Human genes 0.000 description 1
- 238000002604 ultrasonography Methods 0.000 description 1
- 241000701161 unidentified adenovirus Species 0.000 description 1
- 229960004699 valsartan Drugs 0.000 description 1
- SJSNUMAYCRRIOM-QFIPXVFZSA-N valsartan Chemical compound C1=CC(CN(C(=O)CCCC)[C@@H](C(C)C)C(O)=O)=CC=C1C1=CC=CC=C1C1=NN=N[N]1 SJSNUMAYCRRIOM-QFIPXVFZSA-N 0.000 description 1
- 208000021331 vascular occlusion disease Diseases 0.000 description 1
- 230000004865 vascular response Effects 0.000 description 1
- 210000005166 vasculature Anatomy 0.000 description 1
- 229940124549 vasodilator Drugs 0.000 description 1
- 239000003071 vasodilator agent Substances 0.000 description 1
- 235000015112 vegetable and seed oil Nutrition 0.000 description 1
- 239000008158 vegetable oil Substances 0.000 description 1
- 239000003981 vehicle Substances 0.000 description 1
- 230000003612 virological effect Effects 0.000 description 1
- 239000011782 vitamin Substances 0.000 description 1
- 229940088594 vitamin Drugs 0.000 description 1
- 229930003231 vitamin Natural products 0.000 description 1
- 235000013343 vitamin Nutrition 0.000 description 1
- 150000003722 vitamin derivatives Chemical class 0.000 description 1
- 229960005080 warfarin Drugs 0.000 description 1
- PJVWKTKQMONHTI-UHFFFAOYSA-N warfarin Chemical compound OC=1C2=CC=CC=C2OC(=O)C=1C(CC(=O)C)C1=CC=CC=C1 PJVWKTKQMONHTI-UHFFFAOYSA-N 0.000 description 1
Images
Classifications
-
- A—HUMAN NECESSITIES
- A61—MEDICAL OR VETERINARY SCIENCE; HYGIENE
- A61K—PREPARATIONS FOR MEDICAL, DENTAL OR TOILETRY PURPOSES
- A61K48/00—Medicinal preparations containing genetic material which is inserted into cells of the living body to treat genetic diseases; Gene therapy
-
- C—CHEMISTRY; METALLURGY
- C12—BIOCHEMISTRY; BEER; SPIRITS; WINE; VINEGAR; MICROBIOLOGY; ENZYMOLOGY; MUTATION OR GENETIC ENGINEERING
- C12N—MICROORGANISMS OR ENZYMES; COMPOSITIONS THEREOF; PROPAGATING, PRESERVING, OR MAINTAINING MICROORGANISMS; MUTATION OR GENETIC ENGINEERING; CULTURE MEDIA
- C12N15/00—Mutation or genetic engineering; DNA or RNA concerning genetic engineering, vectors, e.g. plasmids, or their isolation, preparation or purification; Use of hosts therefor
- C12N15/09—Recombinant DNA-technology
- C12N15/11—DNA or RNA fragments; Modified forms thereof; Non-coding nucleic acids having a biological activity
- C12N15/113—Non-coding nucleic acids modulating the expression of genes, e.g. antisense oligonucleotides; Antisense DNA or RNA; Triplex- forming oligonucleotides; Catalytic nucleic acids, e.g. ribozymes; Nucleic acids used in co-suppression or gene silencing
-
- A—HUMAN NECESSITIES
- A61—MEDICAL OR VETERINARY SCIENCE; HYGIENE
- A61P—SPECIFIC THERAPEUTIC ACTIVITY OF CHEMICAL COMPOUNDS OR MEDICINAL PREPARATIONS
- A61P11/00—Drugs for disorders of the respiratory system
-
- A—HUMAN NECESSITIES
- A61—MEDICAL OR VETERINARY SCIENCE; HYGIENE
- A61P—SPECIFIC THERAPEUTIC ACTIVITY OF CHEMICAL COMPOUNDS OR MEDICINAL PREPARATIONS
- A61P9/00—Drugs for disorders of the cardiovascular system
- A61P9/12—Antihypertensives
-
- C—CHEMISTRY; METALLURGY
- C12—BIOCHEMISTRY; BEER; SPIRITS; WINE; VINEGAR; MICROBIOLOGY; ENZYMOLOGY; MUTATION OR GENETIC ENGINEERING
- C12N—MICROORGANISMS OR ENZYMES; COMPOSITIONS THEREOF; PROPAGATING, PRESERVING, OR MAINTAINING MICROORGANISMS; MUTATION OR GENETIC ENGINEERING; CULTURE MEDIA
- C12N2310/00—Structure or type of the nucleic acid
- C12N2310/10—Type of nucleic acid
- C12N2310/11—Antisense
- C12N2310/113—Antisense targeting other non-coding nucleic acids, e.g. antagomirs
-
- C—CHEMISTRY; METALLURGY
- C12—BIOCHEMISTRY; BEER; SPIRITS; WINE; VINEGAR; MICROBIOLOGY; ENZYMOLOGY; MUTATION OR GENETIC ENGINEERING
- C12N—MICROORGANISMS OR ENZYMES; COMPOSITIONS THEREOF; PROPAGATING, PRESERVING, OR MAINTAINING MICROORGANISMS; MUTATION OR GENETIC ENGINEERING; CULTURE MEDIA
- C12N2310/00—Structure or type of the nucleic acid
- C12N2310/10—Type of nucleic acid
- C12N2310/14—Type of nucleic acid interfering nucleic acids [NA]
-
- C—CHEMISTRY; METALLURGY
- C12—BIOCHEMISTRY; BEER; SPIRITS; WINE; VINEGAR; MICROBIOLOGY; ENZYMOLOGY; MUTATION OR GENETIC ENGINEERING
- C12N—MICROORGANISMS OR ENZYMES; COMPOSITIONS THEREOF; PROPAGATING, PRESERVING, OR MAINTAINING MICROORGANISMS; MUTATION OR GENETIC ENGINEERING; CULTURE MEDIA
- C12N2310/00—Structure or type of the nucleic acid
- C12N2310/30—Chemical structure
- C12N2310/32—Chemical structure of the sugar
- C12N2310/323—Chemical structure of the sugar modified ring structure
- C12N2310/3231—Chemical structure of the sugar modified ring structure having an additional ring, e.g. LNA, ENA
Landscapes
- Health & Medical Sciences (AREA)
- Life Sciences & Earth Sciences (AREA)
- Engineering & Computer Science (AREA)
- Genetics & Genomics (AREA)
- Biomedical Technology (AREA)
- Chemical & Material Sciences (AREA)
- Organic Chemistry (AREA)
- Bioinformatics & Cheminformatics (AREA)
- Molecular Biology (AREA)
- Biotechnology (AREA)
- General Engineering & Computer Science (AREA)
- Wood Science & Technology (AREA)
- Zoology (AREA)
- General Health & Medical Sciences (AREA)
- Plant Pathology (AREA)
- Microbiology (AREA)
- Biophysics (AREA)
- Physics & Mathematics (AREA)
- Biochemistry (AREA)
- Medicinal Chemistry (AREA)
- Pharmacology & Pharmacy (AREA)
- Veterinary Medicine (AREA)
- Public Health (AREA)
- Animal Behavior & Ethology (AREA)
- General Chemical & Material Sciences (AREA)
- Nuclear Medicine, Radiotherapy & Molecular Imaging (AREA)
- Chemical Kinetics & Catalysis (AREA)
- Pulmonology (AREA)
- Heart & Thoracic Surgery (AREA)
- Cardiology (AREA)
- Epidemiology (AREA)
- Pharmaceuticals Containing Other Organic And Inorganic Compounds (AREA)
- Medicines That Contain Protein Lipid Enzymes And Other Medicines (AREA)
- Medicinal Preparation (AREA)
- Medicines Containing Material From Animals Or Micro-Organisms (AREA)
Applications Claiming Priority (5)
| Application Number | Priority Date | Filing Date | Title |
|---|---|---|---|
| US201161484091P | 2011-05-09 | 2011-05-09 | |
| US61/484,091 | 2011-05-09 | ||
| US201261605376P | 2012-03-01 | 2012-03-01 | |
| US61/605,376 | 2012-03-01 | ||
| PCT/GB2012/051018 WO2012153135A1 (en) | 2011-05-09 | 2012-05-09 | Methods of modulating micrornas in the treatment of pulmonary arterial hypertension |
Publications (1)
| Publication Number | Publication Date |
|---|---|
| KR20140037868A true KR20140037868A (ko) | 2014-03-27 |
Family
ID=46178572
Family Applications (1)
| Application Number | Title | Priority Date | Filing Date |
|---|---|---|---|
| KR1020137032530A Withdrawn KR20140037868A (ko) | 2011-05-09 | 2012-05-09 | 폐동맥 고혈압의 치료에서 마이크로rna를 조절하는 방법 |
Country Status (11)
| Country | Link |
|---|---|
| US (1) | US9267134B2 (enExample) |
| EP (1) | EP2707485B1 (enExample) |
| JP (1) | JP6049700B2 (enExample) |
| KR (1) | KR20140037868A (enExample) |
| CN (1) | CN103814131A (enExample) |
| AU (1) | AU2012252165A1 (enExample) |
| BR (1) | BR112013029016A2 (enExample) |
| CA (1) | CA2835568A1 (enExample) |
| CO (1) | CO6870004A2 (enExample) |
| SG (1) | SG194901A1 (enExample) |
| WO (1) | WO2012153135A1 (enExample) |
Cited By (1)
| Publication number | Priority date | Publication date | Assignee | Title |
|---|---|---|---|---|
| WO2022154636A1 (ko) * | 2021-01-18 | 2022-07-21 | (주)스템메디텍 | Mir 145 억제제를 유효성분으로 포함하는 심근경색증의 치료용 조성물 |
Families Citing this family (9)
| Publication number | Priority date | Publication date | Assignee | Title |
|---|---|---|---|---|
| EP2970968B1 (en) | 2013-03-15 | 2018-01-10 | Miragen Therapeutics, Inc. | Bridged bicyclic nucleosides |
| US9752143B2 (en) | 2013-03-15 | 2017-09-05 | MiRagen Therapeutics, Inc. | Locked nucleic acid inhibitor of miR-145 and uses thereof |
| WO2015082896A1 (en) * | 2013-12-02 | 2015-06-11 | The University Court Of The University Of Glasgow | Materials and methods for treatment of pulmonary arterial hypertension |
| CA2956256A1 (en) * | 2014-08-01 | 2016-02-04 | The Brigham And Women's Hospital, Inc. | Methods and compositions relating to treatment of pulmonary arterial hypertension |
| BR112017014914B1 (pt) * | 2015-01-13 | 2023-11-14 | Vivus, Inc | Uso de uma combinação de tacrolimus e um segundo agente ativo eficaz no tratamento ou prevenção da hipertensão pulmonar |
| CN110088278B (zh) * | 2016-10-31 | 2023-08-11 | e-NA生物科技公司 | 双链核酸分子及其用途 |
| CN115175685B (zh) * | 2019-12-09 | 2024-12-13 | 艾姆皮瑞克公司 | 用于治疗血管生成素样4(angptl4)相关疾病的寡核苷酸 |
| CN113332306A (zh) * | 2021-04-28 | 2021-09-03 | 武汉华纪元生物技术开发有限公司 | 用于治疗肺动脉高血压的microRNA-30a抑制剂及其应用 |
| GB202215974D0 (en) * | 2022-10-28 | 2022-12-14 | Imperial College Innovations Ltd | Microrna panels for pulmonary hypertension |
Family Cites Families (25)
| Publication number | Priority date | Publication date | Assignee | Title |
|---|---|---|---|---|
| US6060451A (en) | 1990-06-15 | 2000-05-09 | The National Research Council Of Canada | Thrombin inhibitors based on the amino acid sequence of hirudin |
| WO1995003843A1 (en) | 1993-07-30 | 1995-02-09 | The Regents Of The University Of California | Endocardial infusion catheter |
| GB9525620D0 (en) | 1995-12-15 | 1996-02-14 | Glaxo Group Ltd | Chemical compounds |
| SE9600216D0 (sv) | 1996-01-18 | 1996-01-18 | Hans Arne Hansson | Styrning av läkningsprocesser |
| ATE211741T1 (de) | 1996-05-31 | 2002-01-15 | C & C Res Lab | Aromatische amidinderivate als selektive thrombininhibitoren |
| US5985833A (en) | 1996-09-17 | 1999-11-16 | Wisconsin Alumni Research Foundation | Thrombin inhibitor |
| US6416510B1 (en) | 1997-03-13 | 2002-07-09 | Biocardia, Inc. | Drug delivery catheters that attach to tissue and methods for their use |
| US6147109A (en) | 1997-10-14 | 2000-11-14 | The General Hospital Corporation | Upregulation of Type III endothelial cell Nitric Oxide Synthase by HMG-CoA reductase inhibitors |
| US6749617B1 (en) | 1997-11-04 | 2004-06-15 | Scimed Life Systems, Inc. | Catheter and implants for the delivery of therapeutic agents to tissues |
| SI20474A (sl) | 1998-05-26 | 2001-08-31 | Icn Pharmaceuticals, Inc. | Novi nukleozidi, ki imajo bicikličen sladkorni del |
| EP1117398A2 (en) | 1998-09-28 | 2001-07-25 | Merck & Co., Inc. | A method for treating inflammatory diseases by administering a thrombin inhibitor |
| US6838283B2 (en) | 1998-09-29 | 2005-01-04 | Isis Pharmaceuticals Inc. | Antisense modulation of survivin expression |
| US6693187B1 (en) | 2000-10-17 | 2004-02-17 | Lievre Cornu Llc | Phosphinoamidite carboxlates and analogs thereof in the synthesis of oligonucleotides having reduced internucleotide charge |
| EP1648914A4 (en) * | 2003-07-31 | 2009-12-16 | Regulus Therapeutics Inc | OLIGOMERIC COMPOUNDS AND COMPOSITIONS USEFUL FOR MODULATING SMALL NON-CODING RNA |
| US20070203445A1 (en) | 2004-02-26 | 2007-08-30 | V-Kardia Pty Ltd | Isolating cardiac circulation |
| BRPI0508073A (pt) | 2004-02-26 | 2007-07-17 | Kardia Pty Ltd V | método e aparelho para isolar substancialmente circulação cardìaca da circulação sistêmica aparelho para perfundir o coração com um agente terapêutico, cateter de obstrução para obstruir fluxo entre um vaso principal e um ou mais vasos ramificados, método para administrar um agente terapêutico ao coração e estrutura de suporte percutaneamente administrável para manter patência do sinus coronário |
| US7722596B2 (en) | 2004-02-26 | 2010-05-25 | Osprey Medical, Inc. | Regional cardiac tissue treatment |
| WO2006089340A2 (en) | 2005-02-23 | 2006-08-31 | V-Kardia Pty Ltd | Polynucleotide delivery to cardiac tissue |
| CN101448942B (zh) | 2005-12-12 | 2014-04-23 | 北卡罗来纳大学查珀尔希尔分校 | 调节肌细胞增殖和分化的microrna |
| WO2009121031A1 (en) | 2008-03-27 | 2009-10-01 | Vascular Biosciences, Inc. | Methods of novel therapeutic candidate identification through gene expression analysis in vascular-related diseases |
| US8735568B2 (en) | 2009-03-09 | 2014-05-27 | The J. David Gladstone Institutes | Methods of modulating smooth muscle cell proliferation and differentiation |
| CN101843632B (zh) * | 2009-03-24 | 2012-07-04 | 复旦大学附属华山医院 | miR-145在制备治疗炎症药物中的应用 |
| SG176716A1 (en) * | 2009-06-08 | 2012-01-30 | Miragen Therapeutics | CHEMICAL MODIFICATION MOTIFS FOR miRNA INHIBITORS AND MIMETICS |
| US20130005658A1 (en) * | 2009-12-15 | 2013-01-03 | Board Of Regents, The University Of Texas System | Micro-rna regulation in ischemia and ischemia-reperfusion injury |
| CN102382824A (zh) * | 2010-09-01 | 2012-03-21 | 中国科学院上海药物研究所 | 人miR-145反义核酸及其应用 |
-
2012
- 2012-05-09 CN CN201280034183.8A patent/CN103814131A/zh active Pending
- 2012-05-09 KR KR1020137032530A patent/KR20140037868A/ko not_active Withdrawn
- 2012-05-09 SG SG2013083480A patent/SG194901A1/en unknown
- 2012-05-09 WO PCT/GB2012/051018 patent/WO2012153135A1/en not_active Ceased
- 2012-05-09 AU AU2012252165A patent/AU2012252165A1/en not_active Abandoned
- 2012-05-09 CA CA2835568A patent/CA2835568A1/en not_active Abandoned
- 2012-05-09 JP JP2014509823A patent/JP6049700B2/ja not_active Expired - Fee Related
- 2012-05-09 EP EP12724369.9A patent/EP2707485B1/en not_active Not-in-force
- 2012-05-09 US US14/116,724 patent/US9267134B2/en not_active Expired - Fee Related
- 2012-05-09 BR BR112013029016A patent/BR112013029016A2/pt not_active IP Right Cessation
-
2013
- 2013-11-14 CO CO13268130A patent/CO6870004A2/es not_active Application Discontinuation
Cited By (2)
| Publication number | Priority date | Publication date | Assignee | Title |
|---|---|---|---|---|
| WO2022154636A1 (ko) * | 2021-01-18 | 2022-07-21 | (주)스템메디텍 | Mir 145 억제제를 유효성분으로 포함하는 심근경색증의 치료용 조성물 |
| EP4279091A4 (en) * | 2021-01-18 | 2024-12-11 | Regen Innopharm Inc. | Composition comprising mir 145 inhibitor as active ingredient for treatment of myocardial infarction |
Also Published As
| Publication number | Publication date |
|---|---|
| BR112013029016A2 (pt) | 2017-01-17 |
| EP2707485A1 (en) | 2014-03-19 |
| WO2012153135A1 (en) | 2012-11-15 |
| SG194901A1 (en) | 2013-12-30 |
| JP6049700B2 (ja) | 2016-12-21 |
| CO6870004A2 (es) | 2014-02-20 |
| US9267134B2 (en) | 2016-02-23 |
| JP2014516027A (ja) | 2014-07-07 |
| CA2835568A1 (en) | 2012-11-15 |
| CN103814131A (zh) | 2014-05-21 |
| EP2707485B1 (en) | 2016-12-14 |
| US20140163086A1 (en) | 2014-06-12 |
| AU2012252165A1 (en) | 2013-03-21 |
Similar Documents
| Publication | Publication Date | Title |
|---|---|---|
| EP2707485B1 (en) | Methods of modulating micrornas in the treatment of pulmonary arterial hypertension | |
| JP5898843B2 (ja) | 血管新生、血管形成、若しくは血管修復を促進するか、又は腫瘍血管新生を阻害する方法 | |
| KR101928418B1 (ko) | 잠금 핵산 모티프를 포함하는 올리고뉴클레오티드-기반 억제제 | |
| JP6157852B2 (ja) | 多繊毛上皮細胞における繊毛の機能不全に関連する疾患を治療するためのマイクロrnaの使用 | |
| KR20110128838A (ko) | 심장 질환 치료에서 mir-208 및 mir-499의 이중 표적화 | |
| EP2275545A1 (en) | Use of microRNA-24 and/or its targets for the treatment and prevention of ischemia and induction of angiogenesis | |
| US20120282326A1 (en) | Compositions and methods related to mirna in diabetic conditions | |
| CN101563458A (zh) | 治疗肌肉和心血管病症的组合物和方法 | |
| JP7646359B2 (ja) | miR-181阻害剤及びその使用 | |
| KR20170103841A (ko) | Mir-92 억제제 및 이의 용도 | |
| EP2968396B1 (en) | Locked nucleic acid inhibitor of mir-145 and uses thereof | |
| JP6430945B2 (ja) | Rna活性及び血管透過性の調節 | |
| WO2010129950A1 (en) | Micro-rna that regulates cardiac remodeling | |
| WO2020184700A1 (ja) | Ihh発現を調節するための核酸複合体 |
Legal Events
| Date | Code | Title | Description |
|---|---|---|---|
| PA0105 | International application |
Patent event date: 20131206 Patent event code: PA01051R01D Comment text: International Patent Application |
|
| PG1501 | Laying open of application | ||
| PC1203 | Withdrawal of no request for examination | ||
| WITN | Application deemed withdrawn, e.g. because no request for examination was filed or no examination fee was paid |