KR20140114830A - 식품 및/또는 사료 첨가제로서 및/또는 치료제로서의 당단백질 강화 조성물 - Google Patents
식품 및/또는 사료 첨가제로서 및/또는 치료제로서의 당단백질 강화 조성물 Download PDFInfo
- Publication number
- KR20140114830A KR20140114830A KR1020147019476A KR20147019476A KR20140114830A KR 20140114830 A KR20140114830 A KR 20140114830A KR 1020147019476 A KR1020147019476 A KR 1020147019476A KR 20147019476 A KR20147019476 A KR 20147019476A KR 20140114830 A KR20140114830 A KR 20140114830A
- Authority
- KR
- South Korea
- Prior art keywords
- glycoprotein
- composition
- food
- plasma
- feed additive
- Prior art date
- Legal status (The legal status is an assumption and is not a legal conclusion. Google has not performed a legal analysis and makes no representation as to the accuracy of the status listed.)
- Withdrawn
Links
- 239000000203 mixture Substances 0.000 title claims abstract description 128
- 102000003886 Glycoproteins Human genes 0.000 title claims abstract description 109
- 108090000288 Glycoproteins Proteins 0.000 title claims abstract description 109
- 239000002778 food additive Substances 0.000 title claims abstract description 46
- 235000013305 food Nutrition 0.000 title claims abstract description 44
- 239000003674 animal food additive Substances 0.000 title claims abstract description 41
- 239000003814 drug Substances 0.000 title claims description 6
- 229940124597 therapeutic agent Drugs 0.000 title 1
- 238000011282 treatment Methods 0.000 claims abstract description 29
- 230000002708 enhancing effect Effects 0.000 claims abstract description 23
- 208000018522 Gastrointestinal disease Diseases 0.000 claims abstract description 22
- 230000002265 prevention Effects 0.000 claims abstract description 21
- 241001465754 Metazoa Species 0.000 claims description 23
- 206010012735 Diarrhoea Diseases 0.000 claims description 20
- 238000000034 method Methods 0.000 claims description 13
- 241000283690 Bos taurus Species 0.000 claims description 8
- 239000005862 Whey Substances 0.000 claims description 7
- 102000007544 Whey Proteins Human genes 0.000 claims description 7
- 108010046377 Whey Proteins Proteins 0.000 claims description 7
- 235000010469 Glycine max Nutrition 0.000 claims description 6
- 239000007788 liquid Substances 0.000 claims description 6
- 240000005979 Hordeum vulgare Species 0.000 claims description 5
- 235000007340 Hordeum vulgare Nutrition 0.000 claims description 5
- 241000124008 Mammalia Species 0.000 claims description 5
- 208000019331 Foodborne disease Diseases 0.000 claims description 4
- 235000021307 Triticum Nutrition 0.000 claims description 4
- 240000008042 Zea mays Species 0.000 claims description 4
- 235000005824 Zea mays ssp. parviglumis Nutrition 0.000 claims description 4
- 235000002017 Zea mays subsp mays Nutrition 0.000 claims description 4
- 235000005822 corn Nutrition 0.000 claims description 4
- 235000015872 dietary supplement Nutrition 0.000 claims description 4
- 239000007787 solid Substances 0.000 claims description 4
- 102000009027 Albumins Human genes 0.000 claims description 3
- 108010088751 Albumins Proteins 0.000 claims description 3
- 235000017060 Arachis glabrata Nutrition 0.000 claims description 3
- 244000105624 Arachis hypogaea Species 0.000 claims description 3
- 235000010777 Arachis hypogaea Nutrition 0.000 claims description 3
- 235000018262 Arachis monticola Nutrition 0.000 claims description 3
- 241000271566 Aves Species 0.000 claims description 3
- 235000014698 Brassica juncea var multisecta Nutrition 0.000 claims description 3
- 235000006008 Brassica napus var napus Nutrition 0.000 claims description 3
- 235000006618 Brassica rapa subsp oleifera Nutrition 0.000 claims description 3
- 235000004977 Brassica sinapistrum Nutrition 0.000 claims description 3
- 241000283073 Equus caballus Species 0.000 claims description 3
- 235000019733 Fish meal Nutrition 0.000 claims description 3
- 244000062793 Sorghum vulgare Species 0.000 claims description 3
- 239000002374 bone meal Substances 0.000 claims description 3
- 229940036811 bone meal Drugs 0.000 claims description 3
- 235000013601 eggs Nutrition 0.000 claims description 3
- 239000004467 fishmeal Substances 0.000 claims description 3
- 229910052500 inorganic mineral Inorganic materials 0.000 claims description 3
- 235000013372 meat Nutrition 0.000 claims description 3
- 239000011707 mineral Substances 0.000 claims description 3
- 235000020232 peanut Nutrition 0.000 claims description 3
- 235000013365 dairy product Nutrition 0.000 claims description 2
- 235000013312 flour Nutrition 0.000 claims description 2
- 235000019713 millet Nutrition 0.000 claims description 2
- 244000068988 Glycine max Species 0.000 claims 2
- 240000000385 Brassica napus var. napus Species 0.000 claims 1
- 244000098338 Triticum aestivum Species 0.000 claims 1
- 239000008280 blood Substances 0.000 claims 1
- 210000004369 blood Anatomy 0.000 claims 1
- 208000018556 stomach disease Diseases 0.000 claims 1
- 208000037265 diseases, disorders, signs and symptoms Diseases 0.000 abstract description 10
- 201000010099 disease Diseases 0.000 abstract description 9
- 230000001225 therapeutic effect Effects 0.000 abstract description 3
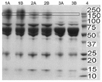
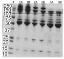
- 210000002381 plasma Anatomy 0.000 description 35
- 108060003951 Immunoglobulin Proteins 0.000 description 22
- 102000018358 immunoglobulin Human genes 0.000 description 22
- 235000013373 food additive Nutrition 0.000 description 9
- 241000282887 Suidae Species 0.000 description 8
- 238000009472 formulation Methods 0.000 description 8
- 235000018102 proteins Nutrition 0.000 description 8
- 102000004169 proteins and genes Human genes 0.000 description 8
- 108090000623 proteins and genes Proteins 0.000 description 8
- 238000000926 separation method Methods 0.000 description 8
- 241000588724 Escherichia coli Species 0.000 description 7
- 208000010643 digestive system disease Diseases 0.000 description 7
- 208000018685 gastrointestinal system disease Diseases 0.000 description 7
- 208000028774 intestinal disease Diseases 0.000 description 7
- DNIAPMSPPWPWGF-UHFFFAOYSA-N Propylene glycol Chemical compound CC(O)CO DNIAPMSPPWPWGF-UHFFFAOYSA-N 0.000 description 6
- 241000700605 Viruses Species 0.000 description 6
- 239000000654 additive Substances 0.000 description 6
- 229940072221 immunoglobulins Drugs 0.000 description 6
- 235000012054 meals Nutrition 0.000 description 6
- 238000002264 polyacrylamide gel electrophoresis Methods 0.000 description 6
- 239000004480 active ingredient Substances 0.000 description 5
- 230000001965 increasing effect Effects 0.000 description 5
- 244000052769 pathogen Species 0.000 description 5
- 238000011321 prophylaxis Methods 0.000 description 5
- 241000894006 Bacteria Species 0.000 description 4
- 241000282412 Homo Species 0.000 description 4
- 230000003247 decreasing effect Effects 0.000 description 4
- 230000000694 effects Effects 0.000 description 4
- 210000000987 immune system Anatomy 0.000 description 4
- 230000000968 intestinal effect Effects 0.000 description 4
- 244000144972 livestock Species 0.000 description 4
- 238000002156 mixing Methods 0.000 description 4
- 239000003921 oil Substances 0.000 description 4
- 235000019198 oils Nutrition 0.000 description 4
- 239000000843 powder Substances 0.000 description 4
- 239000000047 product Substances 0.000 description 4
- DGVVWUTYPXICAM-UHFFFAOYSA-N β‐Mercaptoethanol Chemical compound OCCS DGVVWUTYPXICAM-UHFFFAOYSA-N 0.000 description 4
- 241000193403 Clostridium Species 0.000 description 3
- 241001494479 Pecora Species 0.000 description 3
- 241000702670 Rotavirus Species 0.000 description 3
- 241000282898 Sus scrofa Species 0.000 description 3
- 241000209140 Triticum Species 0.000 description 3
- 244000309466 calf Species 0.000 description 3
- 239000003795 chemical substances by application Substances 0.000 description 3
- 230000004154 complement system Effects 0.000 description 3
- 239000003651 drinking water Substances 0.000 description 3
- 235000020188 drinking water Nutrition 0.000 description 3
- 208000015181 infectious disease Diseases 0.000 description 3
- 238000004519 manufacturing process Methods 0.000 description 3
- 235000015097 nutrients Nutrition 0.000 description 3
- 230000008092 positive effect Effects 0.000 description 3
- 230000009467 reduction Effects 0.000 description 3
- 238000002415 sodium dodecyl sulfate polyacrylamide gel electrophoresis Methods 0.000 description 3
- 238000010186 staining Methods 0.000 description 3
- 239000005996 Blood meal Substances 0.000 description 2
- 244000188595 Brassica sinapistrum Species 0.000 description 2
- 241000589876 Campylobacter Species 0.000 description 2
- 241000283707 Capra Species 0.000 description 2
- 241000283086 Equidae Species 0.000 description 2
- 102000008946 Fibrinogen Human genes 0.000 description 2
- 108010049003 Fibrinogen Proteins 0.000 description 2
- 241000224466 Giardia Species 0.000 description 2
- 241001263478 Norovirus Species 0.000 description 2
- 240000007594 Oryza sativa Species 0.000 description 2
- 235000007164 Oryza sativa Nutrition 0.000 description 2
- 241000607142 Salmonella Species 0.000 description 2
- 241000607768 Shigella Species 0.000 description 2
- CDBYLPFSWZWCQE-UHFFFAOYSA-L Sodium Carbonate Chemical compound [Na+].[Na+].[O-]C([O-])=O CDBYLPFSWZWCQE-UHFFFAOYSA-L 0.000 description 2
- 239000013543 active substance Substances 0.000 description 2
- 235000001014 amino acid Nutrition 0.000 description 2
- 150000001413 amino acids Chemical class 0.000 description 2
- 238000004364 calculation method Methods 0.000 description 2
- 239000000969 carrier Substances 0.000 description 2
- 235000013339 cereals Nutrition 0.000 description 2
- 229940012952 fibrinogen Drugs 0.000 description 2
- 235000011389 fruit/vegetable juice Nutrition 0.000 description 2
- 235000020256 human milk Nutrition 0.000 description 2
- 210000004251 human milk Anatomy 0.000 description 2
- 238000001727 in vivo Methods 0.000 description 2
- 230000002458 infectious effect Effects 0.000 description 2
- 210000000936 intestine Anatomy 0.000 description 2
- 239000000463 material Substances 0.000 description 2
- 235000013336 milk Nutrition 0.000 description 2
- 239000008267 milk Substances 0.000 description 2
- 210000004080 milk Anatomy 0.000 description 2
- 235000010755 mineral Nutrition 0.000 description 2
- 244000045947 parasite Species 0.000 description 2
- 239000000546 pharmaceutical excipient Substances 0.000 description 2
- 239000000825 pharmaceutical preparation Substances 0.000 description 2
- 229940127557 pharmaceutical product Drugs 0.000 description 2
- 235000009566 rice Nutrition 0.000 description 2
- 239000000126 substance Substances 0.000 description 2
- 238000002560 therapeutic procedure Methods 0.000 description 2
- 241000701161 unidentified adenovirus Species 0.000 description 2
- 235000013343 vitamin Nutrition 0.000 description 2
- 239000011782 vitamin Substances 0.000 description 2
- 229940088594 vitamin Drugs 0.000 description 2
- 229930003231 vitamin Natural products 0.000 description 2
- 244000215068 Acacia senegal Species 0.000 description 1
- GUBGYTABKSRVRQ-XLOQQCSPSA-N Alpha-Lactose Chemical compound O[C@@H]1[C@@H](O)[C@@H](O)[C@@H](CO)O[C@H]1O[C@@H]1[C@@H](CO)O[C@H](O)[C@H](O)[C@H]1O GUBGYTABKSRVRQ-XLOQQCSPSA-N 0.000 description 1
- 208000031295 Animal disease Diseases 0.000 description 1
- 235000007319 Avena orientalis Nutrition 0.000 description 1
- 241000209763 Avena sativa Species 0.000 description 1
- 235000007558 Avena sp Nutrition 0.000 description 1
- 241001148534 Brachyspira Species 0.000 description 1
- 241000282472 Canis lupus familiaris Species 0.000 description 1
- 229920002134 Carboxymethyl cellulose Polymers 0.000 description 1
- 241000700198 Cavia Species 0.000 description 1
- 241000282693 Cercopithecidae Species 0.000 description 1
- 244000060011 Cocos nucifera Species 0.000 description 1
- 235000013162 Cocos nucifera Nutrition 0.000 description 1
- 238000011537 Coomassie blue staining Methods 0.000 description 1
- 229920002261 Corn starch Polymers 0.000 description 1
- 241000711573 Coronaviridae Species 0.000 description 1
- 241000223935 Cryptosporidium Species 0.000 description 1
- 241000701022 Cytomegalovirus Species 0.000 description 1
- 241000224431 Entamoeba Species 0.000 description 1
- 241000282326 Felis catus Species 0.000 description 1
- 208000005577 Gastroenteritis Diseases 0.000 description 1
- 241001517118 Goose parvovirus Species 0.000 description 1
- 229920000084 Gum arabic Polymers 0.000 description 1
- 241001272567 Hominoidea Species 0.000 description 1
- GUBGYTABKSRVRQ-QKKXKWKRSA-N Lactose Natural products OC[C@H]1O[C@@H](O[C@H]2[C@H](O)[C@@H](O)C(O)O[C@@H]2CO)[C@H](O)[C@@H](O)[C@H]1O GUBGYTABKSRVRQ-QKKXKWKRSA-N 0.000 description 1
- 241001469654 Lawsonia <weevil> Species 0.000 description 1
- 240000006240 Linum usitatissimum Species 0.000 description 1
- 235000004431 Linum usitatissimum Nutrition 0.000 description 1
- 240000004658 Medicago sativa Species 0.000 description 1
- 235000017587 Medicago sativa ssp. sativa Nutrition 0.000 description 1
- 241000699670 Mus sp. Species 0.000 description 1
- 206010028980 Neoplasm Diseases 0.000 description 1
- 241000282579 Pan Species 0.000 description 1
- 235000019483 Peanut oil Nutrition 0.000 description 1
- 241000288906 Primates Species 0.000 description 1
- 241000125945 Protoparvovirus Species 0.000 description 1
- 235000019779 Rapeseed Meal Nutrition 0.000 description 1
- 241000283984 Rodentia Species 0.000 description 1
- 241000282849 Ruminantia Species 0.000 description 1
- 244000000231 Sesamum indicum Species 0.000 description 1
- 235000003434 Sesamum indicum Nutrition 0.000 description 1
- 235000011684 Sorghum saccharatum Nutrition 0.000 description 1
- 235000019764 Soybean Meal Nutrition 0.000 description 1
- 229920002472 Starch Polymers 0.000 description 1
- CZMRCDWAGMRECN-UGDNZRGBSA-N Sucrose Chemical compound O[C@H]1[C@H](O)[C@@H](CO)O[C@@]1(CO)O[C@@H]1[C@H](O)[C@@H](O)[C@H](O)[C@@H](CO)O1 CZMRCDWAGMRECN-UGDNZRGBSA-N 0.000 description 1
- 229930006000 Sucrose Natural products 0.000 description 1
- 239000000205 acacia gum Substances 0.000 description 1
- 235000010489 acacia gum Nutrition 0.000 description 1
- 230000009471 action Effects 0.000 description 1
- 230000000996 additive effect Effects 0.000 description 1
- 239000002671 adjuvant Substances 0.000 description 1
- 238000004458 analytical method Methods 0.000 description 1
- 239000003242 anti bacterial agent Substances 0.000 description 1
- 230000000845 anti-microbial effect Effects 0.000 description 1
- 229940088710 antibiotic agent Drugs 0.000 description 1
- 244000309743 astrovirus Species 0.000 description 1
- 244000052616 bacterial pathogen Species 0.000 description 1
- 235000013527 bean curd Nutrition 0.000 description 1
- 235000013361 beverage Nutrition 0.000 description 1
- 238000009835 boiling Methods 0.000 description 1
- 239000006227 byproduct Substances 0.000 description 1
- 201000011510 cancer Diseases 0.000 description 1
- 235000014633 carbohydrates Nutrition 0.000 description 1
- 150000001720 carbohydrates Chemical class 0.000 description 1
- 239000001768 carboxy methyl cellulose Substances 0.000 description 1
- 235000010948 carboxy methyl cellulose Nutrition 0.000 description 1
- 239000008112 carboxymethyl-cellulose Substances 0.000 description 1
- 239000005018 casein Substances 0.000 description 1
- BECPQYXYKAMYBN-UHFFFAOYSA-N casein, tech. Chemical compound NCCCCC(C(O)=O)N=C(O)C(CC(O)=O)N=C(O)C(CCC(O)=N)N=C(O)C(CC(C)C)N=C(O)C(CCC(O)=O)N=C(O)C(CC(O)=O)N=C(O)C(CCC(O)=O)N=C(O)C(C(C)O)N=C(O)C(CCC(O)=N)N=C(O)C(CCC(O)=N)N=C(O)C(CCC(O)=N)N=C(O)C(CCC(O)=O)N=C(O)C(CCC(O)=O)N=C(O)C(COP(O)(O)=O)N=C(O)C(CCC(O)=N)N=C(O)C(N)CC1=CC=CC=C1 BECPQYXYKAMYBN-UHFFFAOYSA-N 0.000 description 1
- 235000021240 caseins Nutrition 0.000 description 1
- 239000012677 causal agent Substances 0.000 description 1
- 230000008859 change Effects 0.000 description 1
- 238000004587 chromatography analysis Methods 0.000 description 1
- 150000001875 compounds Chemical class 0.000 description 1
- 239000002285 corn oil Substances 0.000 description 1
- 235000005687 corn oil Nutrition 0.000 description 1
- 239000008120 corn starch Substances 0.000 description 1
- 230000007812 deficiency Effects 0.000 description 1
- 230000002950 deficient Effects 0.000 description 1
- 238000011161 development Methods 0.000 description 1
- 238000004821 distillation Methods 0.000 description 1
- VHJLVAABSRFDPM-QWWZWVQMSA-N dithiothreitol Chemical compound SC[C@@H](O)[C@H](O)CS VHJLVAABSRFDPM-QWWZWVQMSA-N 0.000 description 1
- 229940079593 drug Drugs 0.000 description 1
- 239000003937 drug carrier Substances 0.000 description 1
- 210000001198 duodenum Anatomy 0.000 description 1
- 239000003995 emulsifying agent Substances 0.000 description 1
- 239000003623 enhancer Substances 0.000 description 1
- 230000000688 enterotoxigenic effect Effects 0.000 description 1
- 210000002919 epithelial cell Anatomy 0.000 description 1
- 210000003238 esophagus Anatomy 0.000 description 1
- 239000003925 fat Substances 0.000 description 1
- 235000019197 fats Nutrition 0.000 description 1
- 210000003746 feather Anatomy 0.000 description 1
- 235000021050 feed intake Nutrition 0.000 description 1
- 235000004426 flaxseed Nutrition 0.000 description 1
- 235000012055 fruits and vegetables Nutrition 0.000 description 1
- 210000001035 gastrointestinal tract Anatomy 0.000 description 1
- 238000007429 general method Methods 0.000 description 1
- 229930182470 glycoside Natural products 0.000 description 1
- 150000002338 glycosides Chemical class 0.000 description 1
- 230000036541 health Effects 0.000 description 1
- 238000010438 heat treatment Methods 0.000 description 1
- 210000003405 ileum Anatomy 0.000 description 1
- 208000008384 ileus Diseases 0.000 description 1
- 239000012729 immediate-release (IR) formulation Substances 0.000 description 1
- 210000002865 immune cell Anatomy 0.000 description 1
- 230000028993 immune response Effects 0.000 description 1
- 238000010348 incorporation Methods 0.000 description 1
- 239000004615 ingredient Substances 0.000 description 1
- 239000007972 injectable composition Substances 0.000 description 1
- 230000010354 integration Effects 0.000 description 1
- 230000003870 intestinal permeability Effects 0.000 description 1
- 230000009545 invasion Effects 0.000 description 1
- 230000001788 irregular Effects 0.000 description 1
- 210000001630 jejunum Anatomy 0.000 description 1
- 239000008101 lactose Substances 0.000 description 1
- 210000002429 large intestine Anatomy 0.000 description 1
- 239000012263 liquid product Substances 0.000 description 1
- 230000033001 locomotion Effects 0.000 description 1
- 230000007246 mechanism Effects 0.000 description 1
- 230000000877 morphologic effect Effects 0.000 description 1
- 235000016709 nutrition Nutrition 0.000 description 1
- 230000035764 nutrition Effects 0.000 description 1
- 239000004006 olive oil Substances 0.000 description 1
- 235000008390 olive oil Nutrition 0.000 description 1
- 239000000312 peanut oil Substances 0.000 description 1
- 239000008194 pharmaceutical composition Substances 0.000 description 1
- 229920001223 polyethylene glycol Polymers 0.000 description 1
- 244000144977 poultry Species 0.000 description 1
- 238000001556 precipitation Methods 0.000 description 1
- 238000002360 preparation method Methods 0.000 description 1
- 239000003755 preservative agent Substances 0.000 description 1
- 230000008569 process Effects 0.000 description 1
- 238000012545 processing Methods 0.000 description 1
- 235000013772 propylene glycol Nutrition 0.000 description 1
- 239000004456 rapeseed meal Substances 0.000 description 1
- 210000000664 rectum Anatomy 0.000 description 1
- 230000003014 reinforcing effect Effects 0.000 description 1
- 239000008159 sesame oil Substances 0.000 description 1
- 235000011803 sesame oil Nutrition 0.000 description 1
- -1 sextet Substances 0.000 description 1
- 210000001599 sigmoid colon Anatomy 0.000 description 1
- 235000020183 skimmed milk Nutrition 0.000 description 1
- 210000000813 small intestine Anatomy 0.000 description 1
- 229910000029 sodium carbonate Inorganic materials 0.000 description 1
- 239000000243 solution Substances 0.000 description 1
- 238000001179 sorption measurement Methods 0.000 description 1
- 239000004455 soybean meal Substances 0.000 description 1
- 239000007921 spray Substances 0.000 description 1
- 239000003381 stabilizer Substances 0.000 description 1
- 239000008107 starch Substances 0.000 description 1
- 235000019698 starch Nutrition 0.000 description 1
- 230000001954 sterilising effect Effects 0.000 description 1
- 238000004659 sterilization and disinfection Methods 0.000 description 1
- 210000002784 stomach Anatomy 0.000 description 1
- 238000005728 strengthening Methods 0.000 description 1
- 239000005720 sucrose Substances 0.000 description 1
- 235000020238 sunflower seed Nutrition 0.000 description 1
- 239000013589 supplement Substances 0.000 description 1
- XLYOFNOQVPJJNP-UHFFFAOYSA-N water Substances O XLYOFNOQVPJJNP-UHFFFAOYSA-N 0.000 description 1
- 230000003313 weakening effect Effects 0.000 description 1
- 238000009736 wetting Methods 0.000 description 1
- 239000000080 wetting agent Substances 0.000 description 1
- 235000015099 wheat brans Nutrition 0.000 description 1
Images
Classifications
-
- A—HUMAN NECESSITIES
- A23—FOODS OR FOODSTUFFS; TREATMENT THEREOF, NOT COVERED BY OTHER CLASSES
- A23J—PROTEIN COMPOSITIONS FOR FOODSTUFFS; WORKING-UP PROTEINS FOR FOODSTUFFS; PHOSPHATIDE COMPOSITIONS FOR FOODSTUFFS
- A23J1/00—Obtaining protein compositions for foodstuffs; Bulk opening of eggs and separation of yolks from whites
- A23J1/06—Obtaining protein compositions for foodstuffs; Bulk opening of eggs and separation of yolks from whites from blood
-
- A—HUMAN NECESSITIES
- A61—MEDICAL OR VETERINARY SCIENCE; HYGIENE
- A61K—PREPARATIONS FOR MEDICAL, DENTAL OR TOILETRY PURPOSES
- A61K38/00—Medicinal preparations containing peptides
- A61K38/16—Peptides having more than 20 amino acids; Gastrins; Somatostatins; Melanotropins; Derivatives thereof
- A61K38/17—Peptides having more than 20 amino acids; Gastrins; Somatostatins; Melanotropins; Derivatives thereof from animals; from humans
- A61K38/1703—Peptides having more than 20 amino acids; Gastrins; Somatostatins; Melanotropins; Derivatives thereof from animals; from humans from vertebrates
-
- A—HUMAN NECESSITIES
- A23—FOODS OR FOODSTUFFS; TREATMENT THEREOF, NOT COVERED BY OTHER CLASSES
- A23K—FODDER
- A23K20/00—Accessory food factors for animal feeding-stuffs
- A23K20/10—Organic substances
-
- A—HUMAN NECESSITIES
- A23—FOODS OR FOODSTUFFS; TREATMENT THEREOF, NOT COVERED BY OTHER CLASSES
- A23K—FODDER
- A23K20/00—Accessory food factors for animal feeding-stuffs
- A23K20/10—Organic substances
- A23K20/142—Amino acids; Derivatives thereof
- A23K20/147—Polymeric derivatives, e.g. peptides or proteins
-
- A—HUMAN NECESSITIES
- A23—FOODS OR FOODSTUFFS; TREATMENT THEREOF, NOT COVERED BY OTHER CLASSES
- A23K—FODDER
- A23K20/00—Accessory food factors for animal feeding-stuffs
- A23K20/10—Organic substances
- A23K20/163—Sugars; Polysaccharides
-
- A—HUMAN NECESSITIES
- A23—FOODS OR FOODSTUFFS; TREATMENT THEREOF, NOT COVERED BY OTHER CLASSES
- A23K—FODDER
- A23K50/00—Feeding-stuffs specially adapted for particular animals
- A23K50/30—Feeding-stuffs specially adapted for particular animals for swines
-
- A—HUMAN NECESSITIES
- A23—FOODS OR FOODSTUFFS; TREATMENT THEREOF, NOT COVERED BY OTHER CLASSES
- A23K—FODDER
- A23K50/00—Feeding-stuffs specially adapted for particular animals
- A23K50/60—Feeding-stuffs specially adapted for particular animals for weanlings
-
- A—HUMAN NECESSITIES
- A23—FOODS OR FOODSTUFFS; TREATMENT THEREOF, NOT COVERED BY OTHER CLASSES
- A23L—FOODS, FOODSTUFFS OR NON-ALCOHOLIC BEVERAGES, NOT OTHERWISE PROVIDED FOR; PREPARATION OR TREATMENT THEREOF
- A23L33/00—Modifying nutritive qualities of foods; Dietetic products; Preparation or treatment thereof
- A23L33/10—Modifying nutritive qualities of foods; Dietetic products; Preparation or treatment thereof using additives
- A23L33/17—Amino acids, peptides or proteins
-
- A—HUMAN NECESSITIES
- A23—FOODS OR FOODSTUFFS; TREATMENT THEREOF, NOT COVERED BY OTHER CLASSES
- A23L—FOODS, FOODSTUFFS OR NON-ALCOHOLIC BEVERAGES, NOT OTHERWISE PROVIDED FOR; PREPARATION OR TREATMENT THEREOF
- A23L33/00—Modifying nutritive qualities of foods; Dietetic products; Preparation or treatment thereof
- A23L33/10—Modifying nutritive qualities of foods; Dietetic products; Preparation or treatment thereof using additives
- A23L33/17—Amino acids, peptides or proteins
- A23L33/175—Amino acids
-
- A—HUMAN NECESSITIES
- A61—MEDICAL OR VETERINARY SCIENCE; HYGIENE
- A61K—PREPARATIONS FOR MEDICAL, DENTAL OR TOILETRY PURPOSES
- A61K35/00—Medicinal preparations containing materials or reaction products thereof with undetermined constitution
- A61K35/12—Materials from mammals; Compositions comprising non-specified tissues or cells; Compositions comprising non-embryonic stem cells; Genetically modified cells
- A61K35/14—Blood; Artificial blood
- A61K35/16—Blood plasma; Blood serum
-
- A—HUMAN NECESSITIES
- A61—MEDICAL OR VETERINARY SCIENCE; HYGIENE
- A61K—PREPARATIONS FOR MEDICAL, DENTAL OR TOILETRY PURPOSES
- A61K35/00—Medicinal preparations containing materials or reaction products thereof with undetermined constitution
- A61K35/12—Materials from mammals; Compositions comprising non-specified tissues or cells; Compositions comprising non-embryonic stem cells; Genetically modified cells
- A61K35/20—Milk; Whey; Colostrum
-
- A—HUMAN NECESSITIES
- A61—MEDICAL OR VETERINARY SCIENCE; HYGIENE
- A61K—PREPARATIONS FOR MEDICAL, DENTAL OR TOILETRY PURPOSES
- A61K35/00—Medicinal preparations containing materials or reaction products thereof with undetermined constitution
- A61K35/56—Materials from animals other than mammals
- A61K35/57—Birds; Materials from birds, e.g. eggs, feathers, egg white, egg yolk or endothelium corneum gigeriae galli
-
- A—HUMAN NECESSITIES
- A61—MEDICAL OR VETERINARY SCIENCE; HYGIENE
- A61P—SPECIFIC THERAPEUTIC ACTIVITY OF CHEMICAL COMPOUNDS OR MEDICINAL PREPARATIONS
- A61P1/00—Drugs for disorders of the alimentary tract or the digestive system
- A61P1/12—Antidiarrhoeals
-
- A—HUMAN NECESSITIES
- A23—FOODS OR FOODSTUFFS; TREATMENT THEREOF, NOT COVERED BY OTHER CLASSES
- A23V—INDEXING SCHEME RELATING TO FOODS, FOODSTUFFS OR NON-ALCOHOLIC BEVERAGES AND LACTIC OR PROPIONIC ACID BACTERIA USED IN FOODSTUFFS OR FOOD PREPARATION
- A23V2002/00—Food compositions, function of food ingredients or processes for food or foodstuffs
Landscapes
- Life Sciences & Earth Sciences (AREA)
- Chemical & Material Sciences (AREA)
- Health & Medical Sciences (AREA)
- Polymers & Plastics (AREA)
- Engineering & Computer Science (AREA)
- Zoology (AREA)
- Food Science & Technology (AREA)
- Animal Husbandry (AREA)
- Proteomics, Peptides & Aminoacids (AREA)
- Pharmacology & Pharmacy (AREA)
- Animal Behavior & Ethology (AREA)
- General Health & Medical Sciences (AREA)
- Public Health (AREA)
- Veterinary Medicine (AREA)
- Medicinal Chemistry (AREA)
- Epidemiology (AREA)
- Cell Biology (AREA)
- Immunology (AREA)
- Biotechnology (AREA)
- Mycology (AREA)
- Birds (AREA)
- Biomedical Technology (AREA)
- Developmental Biology & Embryology (AREA)
- Hematology (AREA)
- Virology (AREA)
- Nutrition Science (AREA)
- Bioinformatics & Cheminformatics (AREA)
- Biochemistry (AREA)
- Marine Sciences & Fisheries (AREA)
- Gastroenterology & Hepatology (AREA)
- Chemical Kinetics & Catalysis (AREA)
- Nuclear Medicine, Radiotherapy & Molecular Imaging (AREA)
- General Chemical & Material Sciences (AREA)
- Organic Chemistry (AREA)
- Fodder In General (AREA)
- Medicines That Contain Protein Lipid Enzymes And Other Medicines (AREA)
Applications Claiming Priority (5)
| Application Number | Priority Date | Filing Date | Title |
|---|---|---|---|
| EP11195701.5 | 2011-12-23 | ||
| EP11195701.5A EP2606741B1 (en) | 2011-12-23 | 2011-12-23 | Glycoprotein enriched composition as a food and feed additive and/or as a therapeutic agent |
| US201161581202P | 2011-12-29 | 2011-12-29 | |
| US61/581,202 | 2011-12-29 | ||
| PCT/EP2012/076382 WO2013092861A1 (en) | 2011-12-23 | 2012-12-20 | Glycoprotein enriched composition as a food and/or feed additive and/or as a therapeutic agent |
Publications (1)
| Publication Number | Publication Date |
|---|---|
| KR20140114830A true KR20140114830A (ko) | 2014-09-29 |
Family
ID=47747254
Family Applications (1)
| Application Number | Title | Priority Date | Filing Date |
|---|---|---|---|
| KR1020147019476A Withdrawn KR20140114830A (ko) | 2011-12-23 | 2012-12-20 | 식품 및/또는 사료 첨가제로서 및/또는 치료제로서의 당단백질 강화 조성물 |
Country Status (12)
| Country | Link |
|---|---|
| US (1) | US20150018535A1 (enExample) |
| EP (1) | EP2606741B1 (enExample) |
| KR (1) | KR20140114830A (enExample) |
| CN (1) | CN104144612A (enExample) |
| BE (1) | BE1020455A3 (enExample) |
| BR (1) | BR112014015193A8 (enExample) |
| CA (1) | CA2860123A1 (enExample) |
| DK (1) | DK2606741T3 (enExample) |
| ES (1) | ES2470335T3 (enExample) |
| IN (1) | IN2014MN01459A (enExample) |
| PL (1) | PL2606741T3 (enExample) |
| WO (1) | WO2013092861A1 (enExample) |
Families Citing this family (1)
| Publication number | Priority date | Publication date | Assignee | Title |
|---|---|---|---|---|
| PL226770B1 (pl) | 2014-10-29 | 2017-09-29 | Michałowski Paweł Andrzej | Preparat stymulujacy poprawe zdrowotnosci oraz przyrosty masy młodych ssaków, zwłaszcza prosiat, poprawiajacy wynik tuczu oraz sposób podawania tego preparatu |
Family Cites Families (9)
| Publication number | Priority date | Publication date | Assignee | Title |
|---|---|---|---|---|
| CA1046407A (en) * | 1975-06-20 | 1979-01-16 | Canada Packers Limited | Dried particulate animal serum of reduced saline content |
| US5372811A (en) * | 1993-12-03 | 1994-12-13 | American Meat Protein Corporation | Animal feed supplement containing co-spray dried plasma protein and amylase |
| AR023135A1 (es) * | 1999-03-23 | 2002-09-04 | American Protein Corp | Suplemento de plasma animal para cultivos en agua |
| US7138262B1 (en) * | 2000-08-18 | 2006-11-21 | Shire Human Genetic Therapies, Inc. | High mannose proteins and methods of making high mannose proteins |
| WO2002078741A2 (en) * | 2001-01-30 | 2002-10-10 | The Lauridsen Group, Incorporated | Methods and compositions for modulating the immune system of animals |
| US20030190314A1 (en) * | 2001-01-30 | 2003-10-09 | The Lauridsen Group | Methods and compositions of treatment for modulating the immune system of animals |
| NL1019143C2 (nl) | 2001-10-08 | 2003-04-09 | Nutricia Nv | Farmaceutisch product of voedingssupplement en daarbij te gebruiken tussenproduct. |
| CN1772287A (zh) * | 2005-11-02 | 2006-05-17 | 白求恩医科大学制药厂 | 猴头菌丝体糖蛋白在制药中的应用 |
| CN1923028A (zh) * | 2006-09-30 | 2007-03-07 | 王焕玉 | 一种猪用浓缩饲料及其制备方法 |
-
2011
- 2011-12-23 DK DK11195701.5T patent/DK2606741T3/da active
- 2011-12-23 EP EP11195701.5A patent/EP2606741B1/en not_active Not-in-force
- 2011-12-23 PL PL11195701T patent/PL2606741T3/pl unknown
- 2011-12-23 ES ES11195701.5T patent/ES2470335T3/es active Active
-
2012
- 2012-12-20 CA CA2860123A patent/CA2860123A1/en not_active Abandoned
- 2012-12-20 US US14/367,774 patent/US20150018535A1/en not_active Abandoned
- 2012-12-20 BE BE2012/0858A patent/BE1020455A3/nl active
- 2012-12-20 WO PCT/EP2012/076382 patent/WO2013092861A1/en not_active Ceased
- 2012-12-20 IN IN1459MUN2014 patent/IN2014MN01459A/en unknown
- 2012-12-20 CN CN201280061835.7A patent/CN104144612A/zh active Pending
- 2012-12-20 BR BR112014015193A patent/BR112014015193A8/pt not_active IP Right Cessation
- 2012-12-20 KR KR1020147019476A patent/KR20140114830A/ko not_active Withdrawn
Also Published As
| Publication number | Publication date |
|---|---|
| BR112014015193A2 (pt) | 2017-06-13 |
| CA2860123A1 (en) | 2013-06-27 |
| PL2606741T3 (pl) | 2014-08-29 |
| DK2606741T3 (da) | 2014-06-23 |
| BR112014015193A8 (pt) | 2017-06-13 |
| IN2014MN01459A (enExample) | 2015-04-17 |
| EP2606741A1 (en) | 2013-06-26 |
| BE1020455A3 (nl) | 2013-10-01 |
| EP2606741B1 (en) | 2014-04-16 |
| CN104144612A (zh) | 2014-11-12 |
| WO2013092861A1 (en) | 2013-06-27 |
| US20150018535A1 (en) | 2015-01-15 |
| ES2470335T3 (es) | 2014-06-23 |
Similar Documents
| Publication | Publication Date | Title |
|---|---|---|
| Beski et al. | Specialized protein products in broiler chicken nutrition: A review | |
| ES2236928T3 (es) | Suplemento proteinico de plasma granular con bioeficacia mejorada. | |
| RU2485800C1 (ru) | Система для кормления домашнего животного | |
| EP2224918B1 (en) | Use of edta and its salts for prevention and treatment of bacterial intestinal diseases of pigs | |
| US11319367B2 (en) | Compositions and methods of use of interleukin-10 peptides and anti-interleukin-10 antibodies | |
| Ilsley et al. | Plant extracts as supplements for lactating sows: effects on piglet performance, sow food intake and diet digestibility | |
| RU2483570C2 (ru) | Способы изменения потребления корма, модифицирующие перевариваемость нутриентов и изменяющие качество и/или частоту стула | |
| Adams | Nutrition-based health in animal production | |
| Boudry et al. | Effect of a bovine colostrum whey supplementation on growth performance, faecal Escherichia coli population and systemic immune response of piglets at weaning | |
| BR112021002969A2 (pt) | produto de alimentação animal e uso de um produto de alimentação animal | |
| UA129447C2 (uk) | Спосіб попередження та/або лікування інфекції, опосередкованої e. coli, у тварин та композиція для його здійснення | |
| WO2016067230A1 (en) | Preparation stimulating health improvement and weight gain in young mammals, especially piglets, improving the results of fattening and the method of administration of this preparation | |
| RU2285399C1 (ru) | Способ повышения мясной продуктивности молодняка свиней на откорме | |
| EP3681910B1 (en) | Interleukin-10 receptor-2 peptides, antibodies, compositions, and methods of use thereof | |
| EP2606741B1 (en) | Glycoprotein enriched composition as a food and feed additive and/or as a therapeutic agent | |
| Mushtaq et al. | Effects of Lactobacillus and Serratopeptidase Supplementation on Growth Performance, Hematology, Immune Response, and Intestinal Morphology in Broiler Chicks | |
| KR20040102964A (ko) | 적석지를 함유한 동물용 사료 조성물 | |
| KR20260003023A (ko) | 동물용 조성물 | |
| RU2251299C1 (ru) | Кормовая добавка | |
| Polo et al. | Plasma Functional Proteins: A Sustainable Solution to Reduce Postweaning Diarrhea Without Compromising Piglet Growth | |
| CN121127139A (zh) | 用于动物的组合物 | |
| CN120732075A (zh) | 一种提高猫免疫功能的猫粮冻干食品 | |
| CN107048042A (zh) | 一种哺乳仔猪预混剂及其应用 | |
| CN119013008A (zh) | 用于家畜和家禽的新型甲基萘醌-n(维生素-k2-7)补充剂 | |
| Merriman | Defining the range for plasma protein incorporation in milk replacer for dairy calves |
Legal Events
| Date | Code | Title | Description |
|---|---|---|---|
| PA0105 | International application |
Patent event date: 20140714 Patent event code: PA01051R01D Comment text: International Patent Application |
|
| PG1501 | Laying open of application | ||
| PC1203 | Withdrawal of no request for examination | ||
| WITN | Application deemed withdrawn, e.g. because no request for examination was filed or no examination fee was paid |