KR20220067467A - 몰로키아 추출물을 유효성분으로 포함하는 알코올성 간 손상 개선, 예방 또는 치료용 조성물 - Google Patents

몰로키아 추출물을 유효성분으로 포함하는 알코올성 간 손상 개선, 예방 또는 치료용 조성물 Download PDF

Info

Publication number
KR20220067467A
KR20220067467A KR1020210064837A KR20210064837A KR20220067467A KR 20220067467 A KR20220067467 A KR 20220067467A KR 1020210064837 A KR1020210064837 A KR 1020210064837A KR 20210064837 A KR20210064837 A KR 20210064837A KR 20220067467 A KR20220067467 A KR 20220067467A
Authority
KR
South Korea
Prior art keywords
extract
molochia
liver damage
alcoholic
alcoholic liver
Prior art date
Legal status (The legal status is an assumption and is not a legal conclusion. Google has not performed a legal analysis and makes no representation as to the accuracy of the status listed.)
Granted
Application number
KR1020210064837A
Other languages
English (en)
Other versions
KR102693765B1 (ko
Inventor
박호영
도문호
오미진
이은정
전현정
이혜빈
강선희
한태원
김슬기
박용곤
Original Assignee
한국식품연구원
Priority date (The priority date is an assumption and is not a legal conclusion. Google has not performed a legal analysis and makes no representation as to the accuracy of the date listed.)
Filing date
Publication date
Application filed by 한국식품연구원 filed Critical 한국식품연구원
Publication of KR20220067467A publication Critical patent/KR20220067467A/ko
Application granted granted Critical
Publication of KR102693765B1 publication Critical patent/KR102693765B1/ko
Active legal-status Critical Current
Anticipated expiration legal-status Critical

Links

Images

Classifications

    • AHUMAN NECESSITIES
    • A23FOODS OR FOODSTUFFS; TREATMENT THEREOF, NOT COVERED BY OTHER CLASSES
    • A23LFOODS, FOODSTUFFS OR NON-ALCOHOLIC BEVERAGES, NOT OTHERWISE PROVIDED FOR; PREPARATION OR TREATMENT THEREOF
    • A23L33/00Modifying nutritive qualities of foods; Dietetic products; Preparation or treatment thereof
    • A23L33/10Modifying nutritive qualities of foods; Dietetic products; Preparation or treatment thereof using additives
    • A23L33/105Plant extracts, their artificial duplicates or their derivatives
    • AHUMAN NECESSITIES
    • A23FOODS OR FOODSTUFFS; TREATMENT THEREOF, NOT COVERED BY OTHER CLASSES
    • A23LFOODS, FOODSTUFFS OR NON-ALCOHOLIC BEVERAGES, NOT OTHERWISE PROVIDED FOR; PREPARATION OR TREATMENT THEREOF
    • A23L5/00Preparation or treatment of foods or foodstuffs, in general; Food or foodstuffs obtained thereby; Materials therefor
    • A23L5/20Removal of unwanted matter, e.g. deodorisation or detoxification
    • A23L5/23Removal of unwanted matter, e.g. deodorisation or detoxification by extraction with solvents
    • AHUMAN NECESSITIES
    • A61MEDICAL OR VETERINARY SCIENCE; HYGIENE
    • A61KPREPARATIONS FOR MEDICAL, DENTAL OR TOILETRY PURPOSES
    • A61K36/00Medicinal preparations of undetermined constitution containing material from algae, lichens, fungi or plants, or derivatives thereof, e.g. traditional herbal medicines
    • A61K36/18Magnoliophyta (angiosperms)
    • A61K36/185Magnoliopsida (dicotyledons)
    • AHUMAN NECESSITIES
    • A61MEDICAL OR VETERINARY SCIENCE; HYGIENE
    • A61PSPECIFIC THERAPEUTIC ACTIVITY OF CHEMICAL COMPOUNDS OR MEDICINAL PREPARATIONS
    • A61P1/00Drugs for disorders of the alimentary tract or the digestive system
    • A61P1/16Drugs for disorders of the alimentary tract or the digestive system for liver or gallbladder disorders, e.g. hepatoprotective agents, cholagogues, litholytics
    • AHUMAN NECESSITIES
    • A23FOODS OR FOODSTUFFS; TREATMENT THEREOF, NOT COVERED BY OTHER CLASSES
    • A23VINDEXING SCHEME RELATING TO FOODS, FOODSTUFFS OR NON-ALCOHOLIC BEVERAGES AND LACTIC OR PROPIONIC ACID BACTERIA USED IN FOODSTUFFS OR FOOD PREPARATION
    • A23V2002/00Food compositions, function of food ingredients or processes for food or foodstuffs
    • AHUMAN NECESSITIES
    • A23FOODS OR FOODSTUFFS; TREATMENT THEREOF, NOT COVERED BY OTHER CLASSES
    • A23VINDEXING SCHEME RELATING TO FOODS, FOODSTUFFS OR NON-ALCOHOLIC BEVERAGES AND LACTIC OR PROPIONIC ACID BACTERIA USED IN FOODSTUFFS OR FOOD PREPARATION
    • A23V2200/00Function of food ingredients
    • A23V2200/30Foods, ingredients or supplements having a functional effect on health
    • AHUMAN NECESSITIES
    • A23FOODS OR FOODSTUFFS; TREATMENT THEREOF, NOT COVERED BY OTHER CLASSES
    • A23VINDEXING SCHEME RELATING TO FOODS, FOODSTUFFS OR NON-ALCOHOLIC BEVERAGES AND LACTIC OR PROPIONIC ACID BACTERIA USED IN FOODSTUFFS OR FOOD PREPARATION
    • A23V2300/00Processes
    • A23V2300/14Extraction
    • YGENERAL TAGGING OF NEW TECHNOLOGICAL DEVELOPMENTS; GENERAL TAGGING OF CROSS-SECTIONAL TECHNOLOGIES SPANNING OVER SEVERAL SECTIONS OF THE IPC; TECHNICAL SUBJECTS COVERED BY FORMER USPC CROSS-REFERENCE ART COLLECTIONS [XRACs] AND DIGESTS
    • Y02TECHNOLOGIES OR APPLICATIONS FOR MITIGATION OR ADAPTATION AGAINST CLIMATE CHANGE
    • Y02ATECHNOLOGIES FOR ADAPTATION TO CLIMATE CHANGE
    • Y02A50/00TECHNOLOGIES FOR ADAPTATION TO CLIMATE CHANGE in human health protection, e.g. against extreme weather
    • Y02A50/30Against vector-borne diseases, e.g. mosquito-borne, fly-borne, tick-borne or waterborne diseases whose impact is exacerbated by climate change

Landscapes

  • Health & Medical Sciences (AREA)
  • Life Sciences & Earth Sciences (AREA)
  • Chemical & Material Sciences (AREA)
  • Engineering & Computer Science (AREA)
  • Natural Medicines & Medicinal Plants (AREA)
  • Animal Behavior & Ethology (AREA)
  • Public Health (AREA)
  • Botany (AREA)
  • Polymers & Plastics (AREA)
  • Medicinal Chemistry (AREA)
  • Food Science & Technology (AREA)
  • Mycology (AREA)
  • Pharmacology & Pharmacy (AREA)
  • Nutrition Science (AREA)
  • Veterinary Medicine (AREA)
  • General Health & Medical Sciences (AREA)
  • Bioinformatics & Cheminformatics (AREA)
  • Alternative & Traditional Medicine (AREA)
  • Epidemiology (AREA)
  • Microbiology (AREA)
  • Medical Informatics (AREA)
  • Gastroenterology & Hepatology (AREA)
  • Biotechnology (AREA)
  • Chemical Kinetics & Catalysis (AREA)
  • General Chemical & Material Sciences (AREA)
  • Nuclear Medicine, Radiotherapy & Molecular Imaging (AREA)
  • Organic Chemistry (AREA)
  • Medicines Containing Plant Substances (AREA)
  • Coloring Foods And Improving Nutritive Qualities (AREA)

Abstract

본 발명은 몰로키아 추출물을 유효성분으로 포함하는 알코올성 간 손상을 개선, 예방 또는 치료할 수 있는 조성물에 관한 것으로, 몰로키아 추출물은 알코올에 의한 직접적인 간 손상 개선, 예방 효과가 우수할 뿐만 아니라, 알코올에 의한 장 손상까지 효과적으로 개선, 예방 및 회복시킬 수 있어, 간 손상 개선, 예방 또는 치료를 위한 식품 조성물, 나아가 건강기능식품, 알코올성 간 손상 개선 또는 예방용 사료 조성물, 알코올성 간 질환 치료용 약학 조성물, 또는 동물용 약학 조성물로 활용될 수 있다.

Description

몰로키아 추출물을 유효성분으로 포함하는 알코올성 간 손상 개선, 예방 또는 치료용 조성물{A composition comprising the ethanol extract of Corchorus olitorius for the prevention or treatment of alcoholic liver damage}
본 발명은 몰로키아 잎 추출물을 유효성분으로 포함하여 알코올성 간 손상을 개선, 예방 또는 치료할 수 있는 조성물에 관한 것이다.
현대인들은 개인적인 음주뿐만 아니라 업무적인 회식이 빈번하여, 과도한 음주가 잦아지고 있다. 술의 주성분인 에탄올은 섭취 후 80 ~ 90 % 정도는 빠른 속도로 간에서 대사되는데, 간세포의 알코올 탈수소효소(ADH: alcohol dehydrogenase)에 의해 아세트알데하이드(acetaldehyde)로 분해되고 다시 알데하이드 탈수소효소(ALDH: aldehyde dehydrogenase)에 의해 대사되어 아세테이트(acetate)가 된 후, 이산화탄소와 물로 가수분해된다. 이렇듯 지속적인 알코올의 과량 섭취나 만성적인 섭취는 소화관 점막을 손상시키고 많은 장기와 조직에 유해한 손상을 미친다(비특허문헌 1). 또한 알코올의 분해과정에서 생산되는 아세트알데하이드는 알코올 그 자체보다 더 큰 독성을 지니므로, 그 독성에 의해 간세포의 장애가 초래되어 알코올성 간염이나 간경화증이 유발될 수 있다.
지속적으로 음주하는 알코올성 간 질환 환자에게는 어떤 약을 투여하더라도 간은 지속적으로 손상되어 나빠진다. 급성으로 중증 알코올 간염이 발생한 경우에는 단기 사망률이 매우 높으므로 스테로이드나 펜톡시필린과 같은 특별한 치료약제를 조심스럽게 사용하기도 하지만 모두 회복되는 것은 아니다. 따라서 완전 금주가 가장 현명한 치료방법이다. 하지만 현대사회에서 음주란 사회적 친화력과 응집력을 높여주는 문화라는 사고가 사회 전반에 깊이 자리 잡고 있기 때문에, 이를 완전히 파괴하기는 어렵다. 2010년 우리나라 성인의 연간 음주율은 79%이고, 대학생의 음주율은 94.4%에 이른다는 통계가 이를 입증해주고 있다.
따라서 일상생활에서 간을 보호하기 위한 예방과 치료하는 것이 훨씬 효과적이므로, 이에, 안전하게 사용할 수 있는 천연물질을 이용한 간보호용 조성물을 제공하려는 연구들이 진행되어 왔으며, 황칠나무 발효 추출물과 매생이 발효 추출물이 혼합 조성된 숙취 해소 및 간 기능 개선 복합 발효 추출물(특허문헌 1)과 헛개나무 어린가지 추출물을 포함하는 간 보호 효과용 식품 조성물(특허문헌 2) 등이 개발된 바 있다. 그러나, 상술한 조성물은 효과를 기대했던 것만큼 보지 못하고 있고, 알코올에 의한 숙취와 간독성에 대해서만 고려하고 있을 뿐, 알코올에 의한 간 손상을 유도하는 장 투과성 증가, 내독성 등과 같은 복합적 원인에 대해 한꺼번에 충족시켜야 하는 간 손상 기능성 조성물로서의 종합 효과 요구 특성을 충족시키지 못하는 문제점들을 가지고 있다.
한편 몰로키아(Molokhia,학명 Corchorus olitorius)는 이집트가 원산지이고 일본에서는 모로헤이야(moloheiya) 혹은 jew's mellow로 부르는 피나무과의 1년초 녹황색 야채로서 지중해 연안에서 자생하는 식물이다. 열매는 4 월 상순에 열리고, 꽃이 달려 있지 않은 잎줄기 끝 10 cm 정도에서 잘라 수확하고 있다. 몰로키아는 칼슘, 식이섬유, 비타민이나 미네랄을 균형있게 함유하고 있어 건강식품으로 알려져 있으며, 이집트에서는 왕이 병들어 의사가 몰로키아 스프를 먹인 후 병이 낮게 되어 왕의 스프 또는 궁전 스프로 불려지게 될 정도로 수천년 전부터 "건강"에 붙는 야채로서 사람들에게 사랑받았고, 각종 효능이 뛰어난 야채로 널리 인식되고 보급되어 있다.
이러한 몰로키아를 사용한 국내 특허들은 몰로키아를 함유하는 햄버거, 곤약, 우동, 냉면, 제면, 두부, 술, 과자, 차, 미네랄조성물, 건강식품, 동물사료, 목욕제조성물, 소취제, 항종양제, 항염증제 등이 주류를 이루고 있을 뿐, 알코올에 의한 간에 대해서는 전혀 공지된 바 없다.
특허문헌 1. 대한민국 등록특허공보 제10-1638038호
본 발명이 해결하고자 하는 과제는 몰로키아(Corchorus olitorius) 추출물을 유효성분으로 포함하는 알코올성 간 손상 개선 또는 예방용 식품 조성물을 제공하는 것이다.
본 발명이 해결하고자 하는 다른 과제는 몰로키아(Corchorus olitorius) 추출물을 유효성분으로 포함하는 것을 특징으로 하는 알코올성 간 손상 개선 또는 예방용 사료 조성물을 제공하는 것이다.
본 발명이 해결하고자 하는 또 다른 과제는 몰로키아(Corchorus olitorius) 추출물을 유효성분으로 포함하는 것을 특징으로 하는 알코올성 장 손상 개선 또는 예방용 식품 조성물을 제공하는 것이다.
본 발명이 해결하고자 하는 다른 과제는 몰로키아(Corchorus olitorius) 추출물을 유효성분으로 포함하는 것을 특징으로 하는 알코올성 간 손상 예방 또는 치료용 약학 조성물을 제공하는 것이다.
본 발명이 해결하고자 하는 또 다른 과제는 인간, 또는 인간을 제외한 동물에게 상기 조성물을 투여하는 알코올성 간 손상 치료방법을 제공하는 것이다.
본 발명이 해결하고자 하는 또 다른 과제는 알코올성 간 손상 치료용 의약, 또는 동물용 의약 제조를 위한 몰로키아 추출물의 신규 용도를 제공하는 것이다.
본 발명은 상기 과제를 달성하기 위하여, 몰로키아(Corchorus olitorius) 추출물을 유효성분으로 포함하는 알코올성 간 손상 개선 또는 예방용 식품 조성물을 제공한다.
본 발명의 일 실시예에 의하면, 상기 몰로키아(Corchorus olitorius) 추출물은 열수 추출물 또는 몰로키아 유래 다당 분획물일 수 있다.
본 발명의 일 실시예에 의하면, 상기 몰로키아 추출물은 몰로키아 잎에 대한 추출물일 수 있다.
본 발명의 일 실시예에 의하면, 상기 몰로키아 유래 다당 분획물은 전체 다당 분획물 대비 중성 다당(Neutral sugar)은 40 내지 60 중량%, 우론산(uronic acid)은 35 내지 55 중량%, KDO 유사물질(2-keto-3-deoxy-D-manno-octulosonic acid)은 1 내지 10 중량%를 포함하는 것일 수 있다.
본 발명의 일 실시예에 의하면, 상기 몰로키아 유래 다당 분획물은 단백질 0.5 내지 5 중량%를 더 포함하는 것일 수 있다.
본 발명의 일 실시예에 의하면, 상기 몰로키아 유래 다당 분획물은 폴리페놀을 1 내지 10 중량% 더 포함하는 것일 수 있다.
본 발명의 일 실시예에 의하면, 상기 중성 다당은 람노오스, 푸코오스, 아라비노오스, 자일로스, 만노오스, 갈락토오스, 글루코오스, 글루쿠로닉산(glucuronic acid) 및 갈락투로닉산(galacturonic acid)을 포함하는 것일 수 있다.
본 발명의 일 실시예에 의하면, 상기 중성 다당은 15 내지 25 몰%의 람노오스, 0.1 내지 1 몰%의 푸코오스, 1 내지 10 몰%의 아라비노오스, 0.5 내지 5 몰%의 자일로스, 0.1 내지 1 몰%의 만노오스, 10 내지 30 몰%의 갈락토오스, 0.5 내지 5 몰%의 글루코오스, 10 내지 30 몰%의 글루쿠로닉산(glucuronic acid) 및 20 내지 40 몰%의 갈락투로닉산(galacturonic acid)을 포함하는 것일 수 있다.
본 발명의 일 실시예에 의하면, 상기 몰로키아 유래 다당 분획물은 (a) 몰로키아 분말에 추출용매를 혼합하여 70 내지 110 ℃에서 1차 추출하는 단계; (b) 상기 1차 추출된 추출물을 C1 내지 C4의 알코올로 침전시켜 분획물을 회수하는 단계; 및 (c) 상기 분획물에서 분자량이 10 내지 20 kDa 이상의 분획물을 회수하는 단계;를 포함하는 제조방법에 의해 제조된 것일 수 있다.
본 발명의 일 실시예에 의하면, 상기 식품 조성물은 알코올에 의한 간 손상 개선 또는 예방용 건강기능식품일 수 있다.
또한 본 발명은 몰로키아(Corchorus olitorius) 추출물을 유효성분으로 포함하는 것을 특징으로 하는 알코올성 간 손상 개선 또는 예방용 사료 조성물을 제공한다.
또한, 본 발명은 몰로키아(Corchorus olitorius) 추출물을 유효성분으로 포함하는 것을 특징으로 하는 알코올성 간 손상 예방 또는 치료용 약학 조성물을 제공한다.
본 발명의 일 실시예에 의하면, 상기 몰로키아(Corchorus olitorius) 추출물은 열수 추출물 또는 몰로키아 유래 다당 분획물일 수 있다.
본 발명의 일 실시예에 의하면, 상기 알코올에 의한 간 손상과 관련된 질환은, 알코올성 지방간, 알코올성 급성 간염, 알코올성 만성 간염, 알코올성 간섬유증, 알코올성 간경변, 알코올성 간암 및 알코올성 담즙정체성 간질환으로 이루어진 군으로부터 선택되는 어느 하나 이상일 수 있다.
또한 본 발명은 몰로키아(Corchorus olitorius) 추출물을 유효성분으로 포함하는 것을 특징으로 하는 알코올성 장 손상 개선 또는 예방용 식품 조성물을 제공한다.
상기 알코올성 장 손상은 알코올에 의해 유도된 알코올성 장누수 증후군(Leaky Gut Syndrome)일 수 있다.
또한 본 발명은 인간, 또는 인간을 제외한 동물에게 상기 조성물을 투여하는 알코올성 간 손상의 치료방법을 제공한다.
또한 본 발명은 알코올성 간 손상 치료용 의약, 또는 동물용 의약 제조를 위한 몰로키아(Corchorus olitorius) 추출물의 신규 용도를 제공한다.
본 발명의 몰로키아(Corchorus olitorius) 추출물을 유효성분으로 포함하는 조성물은 독성이 없으며, 알코올성 간 손상에 대한 개선, 예방 또는 치료 효과가 매우 뛰어난다. 구체적으로 몰로키아 추출물은 알코올에 의한 독성을 억제하고, 혈중 중성지방, 내독소 억제, 장 건강 관련 지표인 OCCludin, Claudin-1을 정상 수준으로 회복하였고, TNF-α 발현을 감소시키며, 알코올에 의한 간 기능 효소인 ALT, AST, LDH 활성을 억제하는 효과가 우수할 뿐만 아니라, 알코올에 의한 간의 기능저하를 효과적으로 억제할 수 있어, 간 손상 개선, 예방 또는 치료를 위한 식품 조성물, 나아가 건강기능식품, 알코올성 간 손상 개선 또는 예방용 사료 조성물, 알코올성 간 질환 치료용 약학 조성물, 또는 동물용 약학 조성물로 활용될 수 있다.
도 1은 본 발명의 몰로키아 추출물의 알코올 독성에 대한 간세포 보호 효과를 확인하기 위하여 고농도 알코올 상태인 간세포에 실시예 1의 몰로키아 추출물을 다양한 농도로 처리한 후, 각각에 대한 생존율을 분석한 그래프이다. *p < 0.05, **p < 0.01, ***p < 0.001 vs. Normal, #p < 0.05, ##p < 0.01, and ###p < 0.001 vs. control
도 2는 정상군, 대조군, 양성대조군, 실험군 1 및 2에서의 FITC-dextran 검출농도를 시간에 따라 측정하여 나타낸 그래프이다.
도 3은 정상군, 대조군, 양성대조군, 실험군 1 및 2에서의 총면적(AUC) FITC-dextran 검출농도를 측정하여 나타낸 그래프이다. *p < 0.05, **p < 0.01, ***p < 0.001 vs. Normal, #p < 0.05, ##p < 0.01, and ###p < 0.001 vs. control
도 4는 정상군, 음성대조군, 양성대조군, 실험군 1 및 2로부터 내독소 수치를 측정하여 나타낸 그래프이다. *p < 0.05, **p < 0.01, ***p < 0.001 vs. Normal, #p < 0.05, ##p < 0.01, and ###p < 0.001 vs. control
도 5는 정상군, 음성대조군, 양성대조군, 실험군 1 및 2로부터 중성지방(TG) 변화를 측정하여 나타낸 그래프이다. *p < 0.05, **p < 0.01, ***p < 0.001 vs. Normal, #p < 0.05, ##p < 0.01, and ###p < 0.001 vs. control
도 6은 정상군, 음성대조군, 양성대조군, 실험군 1 및 2로부터 장 건강 관련 단백질의 발현을 측정하여 나타낸 도면이다.
도 7 내지 9는 정상군, 음성대조군, 양성대조군, 실험군 1 및 2로부터 혈중 간 기능 관련 효소(ALT, AST, LDH)의 발현을 측정하여 나타낸 도면이다. *p < 0.05, **p < 0.01, ***p < 0.001 vs. Normal, #p < 0.05, ##p < 0.01, and ###p < 0.001 vs. control
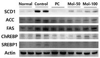
도 10은 정상군, 음성대조군, 양성대조군, 실험군 1 및 2로부터 간의 지질대사 관련 단백질(SCD1, ACC, FAS, ChREBP, SREBP1)의 발현을 측정하여 나타낸 도면이다.
도 11은 정상군, 음성대조군, 양성대조군, 실험군 1 및 2로부터 간의 염증 관련 사이토카인 단백질(IL-6, TNF-α)의 발현을 측정하여 나타낸 도면이다.
이하, 본 발명을 상세하게 설명한다.
본 발명의 발명자들은 알코올에 의해 간 독성 또는 간 손상과 몰로키아(Corchorus olitorius) 추출물의 연관성을 다양하게 평가한 결과, 몰로키아 추출물의 경구 투여에 의한 알코올성 간 손상 개선, 예방 또는 치료 효능을 확인하였다. 또한 몰로키아 추출물의 경구 투여에 의한 알코올성 장 손상 개선, 예방 또는 치료 효능을 가지고 있음을 확인하였다.
본 발명은 몰로키아(Corchorus olitorius) 추출물을 유효성분으로 포함하는 알코올성 간 손상 개선 또는 예방용 식품 조성물에 관한 것이다.
몰로키아(Molokhia,학명 Corchorus olitorius)는 이집트가 원산지이고 일본에서는 모로헤이야(moloheiya) 혹은 jew's mellow로 부르는 피나무과의 1년초 녹황색 야채로서 지중해 연안에서 자생하는 식물이다. 열매는 4 월 상순에 열리고, 꽃이 달려 있지 않은 잎줄기 끝 10cm 정도에서 잘라 수확하고 있다. 몰로키아는 칼슘, 식이섬유, 비타민이나 미네랄을 균형있게 함유하고 있어 건강식품으로 알려져 있으며, 이집트에서는 왕이 병들어 의사가 몰로키아 스프를 먹인 후 병이 낮게 되어 왕의 스프 또는 궁전 스프로 불려지게 될 정도로 수천년 전부터 "건강"에 붙는 야채로서 사람들에게 사랑받았고, 각종 효능이 뛰어난 야채로 널리 인식되고 보급되어 있으나, 알코올성 간 손상 개선 또는 예방 또는 치료를 비롯하여 알코올성 장 손상 개선 또는 예방 또는 치료에 대해서는 알려진 바가 없다. 본 발명에서 상기 몰로키아는 특별히 이에 제한되지 않으나, 한국에서 재배되는 몰로키아인 것이 바람직하다.
종래 숙취와 간 보호 효과를 갖는다고 알려진 헛개나무와 같은 식물들은 알코올에 의한 직접적인 간 손상만을 개선하는데 그쳤다. 그러나 알코올에 의한 간 손상은 알코올에 의한 장의 장벽 기능 저하로 혈류 내 알코올의 유입이 증가하고 내독소가 증가하는 등 알코올, 아세트알데하이드에 의한 장 손상으로 인해 발생하게 되는 간 손상도 큰 문제로 작용하고 있다. 즉 알코올로 인한 장 투과성 증가로 인해 장내 세균 독소의 혈류 유입이 알코올성 간 손상의 중요한 문제가 되는 것이다. 따라서 알코올성 간 손상을 개선, 예방 또는 치료하기 위해서, 직접적인 간 세포 보호만으로는 완전한 효능을 기대하기 어렵다.
이러한 측면에서 본 발명의 몰로키아 추출물은 다른 식물들과 달리, 알코올에 의한 직접적인 간 손상뿐만 아니라 알코올에 의한 간접적인 간 손상에 대해서도 개선, 예방 또는 치료 효능을 갖는다. 구체적으로 본 발명의 몰로키아 추출물은 알코올, 아세트알데하이드로 인한 직접적인 간 손상, 염증을 회복시킬 뿐만 아니라, 알코올, 아세트알데하이드로 인한 장 손상의 장투과성을 개선, 억제 및 회복시키고, 장내 세균 독소의 혈류 유입을 막아 알코올성 간 손상을 효과적으로 개선, 예방 또는 치료할 수 있다. 즉 상기 몰로키아 추출물은 알코올성 간 손상 및 장 손상을 효과적으로 개선, 예방 또는 치료할 수 있다.
본 발명에서 사용되는 용어 '추출물'은 추출 원재료에 추출 용매를 이용하여 몰로키아(Corchorus olitorius)에 포함된 성분을 추출한 추출물, 이들로부터 분획한 분획물, 이들 추출물 또는 분획물을 추가적으로 농축한 농축물, 이를 정제 또는 분리한 정제물도 포함하고, 상기 추출물, 분획물, 농축물 또는 정제물을 건조한 건조물 또는 그를 분쇄한 분말을 포함하는 의미로 사용된다. 바람직하게 몰로키아 추출물은 열수 추출물 또는 몰로키아 유래 다당 분획물일 수 있다.
상기 정제물의 제조를 위해 분자량 컷-오프 값을 갖는 한외 여과막을 통과시키거나, 또는 다양한 크로마토그래피(크기, 전하, 소수성 또는 친화성에 따른 분리를 위해 제작된 것)에 의한 분리 등, 추가적으로 실시된 다양한 정제 방법을 부가할 수 있다.
상기 분획물은, 바람직하게 몰로키아(Corchorus olitorius) 열수 추출물(바람직하게는 몰로키아 잎의 열수 추출물)을 10 kDa 분자량 컷-오프 값을 갖는 한외 여과막을 통과시켜, 10 kDa 이상의 고분자 물질만 분리해 놓은 몰로키아 고분자 분획물일 수 있다.
상기 몰로키아 고분자 분획물은, 몰로키아 유래 다당 분획물이라고도 할 수 있다.
본 발명에서 '유효성분'이란, 단독으로 목적하는 활성을 나타내거나 또는 그 자체는 활성이 없는 담체와 함께 활성을 나타낼 수 있는 성분을 의미한다.
본 발명의 몰로키아 추출물은, 알코올에 의한 독성을 억제하고, 혈중 중성지방, 내독소 억제, 장 건강 관련 지표인 OCCludin, Claudin-1을 정상 수준으로 회복하였고, TNF-α 발현을 감소시키며, 알코올에 의한 간 기능 효소인 ALT, AST, LDH 활성을 억제하는 효과가 우수할 뿐만 아니라, 알코올에 의한 간의 기능저하를 효과적으로 억제하는 것으로 확인되었다.
또한 본 발명에서 몰로키아(Corchorus olitorius) 추출물은 상기 몰로키아를 식용수로 추출한 열수 추출물이거나, 상기 몰로키아 열수 추출물을 분자량 10 kDa 이상으로 분획한 몰로키아 고분자 분획물일 수 있다.
본 발명의 몰로키아 열수 추출물과 몰로키아 고분자 분획물이 유기 용매로 추출된 추출물에 비하여 알코올에 의한 간 손상에 대한 효과가 우수하므로 물을 추출용매로 사용하는 것이 바람직하다.
본 발명의 상기 몰로키아(Corchorus olitorius) 추출물은 뿌리, 잎 및 줄기를 혼합한 혼합 추출물일 수 있으나, 바람직하게는 몰로키아의 잎 만을 추출한 것일 수 있다. 상기 몰로키아 잎 외에 다른 뿌리, 줄기 및 이들의 혼합물을 사용하는 경우에는, 후술하는 실험예에서와 같이 알코올에 의한 간손상 개선, 예방 또는 치료 효과가 현저히 저하되는 문제가 발생할 수 있다.
본 발명의 몰로키아(Corchorus olitorius) 잎 추출물이 아닌 뿌리, 줄기 단독 또는 혼합 추출물을 사용하는 경우에는 몰로키아(Corchorus olitorius) 잎 추출물에 비하여 알코올에 의한 간손상 뿐만 아니라 알코올에 의한 장투과성 증가에 의한 간손상 회복 효과가 현저히 저하될 수 있다.
상기 몰로키아 추출물은 몰로키아 잎을 증류수로, 20 내지 100 ℃에서 1 내지 10 시간동안 추출된 것일 수 있다. 추출 온도 및 시간이 상기 하한치 미만인 경우에는 유효성분이 추출되지 않을 수 있으며, 상기 상한치 초과인 경우에는 유효성분이 파괴될 수 있다.
상기 몰로키아(Corchorus olitorius) 추출물은, 열수 추출물을 한외여과막 또는 유기용매로 재분획한 분획물을 포함한다. 상기 유기용매는 탄소수 1 내지 4의 알코올, 헥산, 아세톤, 에틸아세테이트, 클로로포름 및 디에틸에테르 등에서 선택되는 하나 이상의 유기용매일 수 있고, 바람직하게는 헥산 또는 에틸아세테이트일 수 있다.
본 발명의 몰로키아 유래 다당 분획물은 전체 다당 분획물 대비 중성 다당(Neutral sugar)은 40 내지 60 중량%, 우론산(uronic acid)은 35 내지 55 중량%, KDO 유사물질(2-keto-3-deoxy-D-manno-octulosonic acid)은 1 내지 10 중량%를 포함할 수 있다.
또한 본 발명의 몰로키아 유래 다당 분획물은 단백질 0.5 내지 5 중량%를 더 포함할 수 있다.
또한 본 발명의 몰로키아 유래 다당 분획물은 폴리페놀을 1 내지 10 중량% 더 포함할 수 있다.
상기 중성 다당은 람노오스, 푸코오스, 아라비노오스, 자일로스, 만노오스, 갈락토오스, 글루코오스, 글루쿠로닉산(glucuronic acid) 및 갈락투로닉산(galacturonic acid)을 포함할 수 있고, 보다 구체적으로 상기 중성 다당은 15 내지 25 몰%의 람노오스, 0.1 내지 1 몰%의 푸코오스, 1 내지 10 몰%의 아라비노오스, 0.5 내지 5 몰%의 자일로스, 0.1 내지 1 몰%의 만노오스, 10 내지 30 몰%의 갈락토오스, 0.5 내지 5 몰%의 글루코오스, 10 내지 30 몰%의 글루쿠로닉산(glucuronic acid) 및 20 내지 40 몰%의 갈락투로닉산(galacturonic acid)을 포함할 수 있다.
본 발명의 몰로키아 유래 다당 분획물은 (a) 몰로키아 분말에 추출용매를 혼합하여 70 내지 110 ℃에서 1차 추출하는 단계; (b) 상기 1차 추출된 추출물을 C1 내지 C4의 알코올로 침전시켜 분획물을 회수하는 단계; 및 (c) 상기 분획물에서 분자량이 10 내지 20 kDa 이상의 분획물을 회수하는 단계;를 포함하는 제조방법에 의해 제조된 것일 수 있다.
먼저 (a) 몰로키아 분말에 추출용매를 혼합하여 70 내지 110 ℃에서 1차 추출한다. 상기 추출용매는 물, 탄소수 1 내지 4 개의 알코올 또는 이들의 혼합 용매일 수 있고, 바람직하게는 물일 수 있다.
본 발명에서 몰로키아는 몰로키아의 잎을 일정한 크기로 절단하여 그늘이나, 건조기를 사용하여 건조한 후, 파쇄시키거나 그대로 사용할 수 있다. 상기 건조 기간은 몰로키아 내에 수분함량이 20% 미만인 것이라면 특별히 한정되지 않는다.
바람직하게 상기 몰로키아 분말은 증류수로 5 내지 20배(w/v) 정도로 현탁하여 사용할 수 있다.
상기 (a) 단계 이후에 잔사를 제거하는 단계를 추가로 수행할 수 있다. 상기 잔사를 제거하는 방법은 원심분리, 필터링 등 공지의 방법이라면 특별히 제한되지 않고 사용할 수 있으며, 바람직하게는 원심분리일 수 있다.
다음으로 (b) 상기 1차 추출된 추출물을 C1 내지 C4의 알코올로 침전시켜 분획물을 회수한다. 알코올 침전은 공지의 에탄올 침전법에 의할 수 있으며, 상기 에탄올 침전에 사용되는 에탄올은 물과 혼합하여 70% 내지 95%(v/v)의 농도를 가지는 에탄올이 바람직하다.
최종적으로 (c) 상기 분획물에서 분자량이 10 내지 20 kDa 이상의 분획물을 회수한다. 상기 분획물을 수득하는 방법은 분자량을 기준으로 정제하는 방법이라면 특별히 한정되지 않으나, 바람직하게는 투석에 의한 방법이 바람직하다. 상기 투석은 0.5 내지 5일간 수행될 수 있으며, 바람직하게는 1 내지 3일간 수행되는 것일 수 있다.
상기 수득된 몰로키아 유래 다당 분획물의 구성당을 HPAEC-PAD로 분석한 결과, 전체 다당 대비 중성 다당(Neutral sugar)은 47.1 중량%, 우론산(uronic acid)은 44.7 중량%, KDO 유사물질(2-keto-3-deoxy-D-manno-octulosonic acid)은 1.4 중량%, 폴리페놀은 3.6 중량%이며, 상기 중성 다당의 성분을 분석한 결과, 전체 중성 다당 대비 람노오스 22.4 mole%, 푸코오스 0.3 mole%, 아라비노오스 5.3 mole%, 자일로스 1.2 mole%, 만노오스 0.3 mole%, 갈락토오스 11.5 mole%, 글루코오스 2.1 mole%, 글루쿠론산 20.1 mole% 및 갈락투론산 28.5 mole%인 것을 확인하였다(표 1 참조).
상기 최종 다당 분획물을 동결건조하는 과정을 추가로 수행할 수 있다.
구체적으로 본 발명은 상기 몰로키아를 추출용매로 추출한 후, 탄소수 1 내지 4의 알코올 침전시켜 얻은 몰로키아 유래 분획물을 상기와 같은 방법을 이용하여 분자량 10 kDa 이상인 몰로키아 유래 다당 분획물을 수득하였다.
또한, 본 발명의 몰로키아 추출물이 알코올에 의한 간 손상을 억제하고 간 보호 활성이 있는지 실험동물을 통해 분석하였는데, 이를 위해 몰로키아 추출물과 알코올을 경구 투여한 실험동물에서의 내독소, 혈중 알코올 농도, 당부하, 당화혈색소 및 장투과성을 분석하였다.
그 결과, 본 발명의 몰로키아 추출물을 처리한 군은 알코올에 의한 독성을 억제하고, 혈중 중성지방, 내독소 억제, 장 건강 관련 지표인 OCCludin, Claudin-1을 정상 수준으로 회복하였고, TNF-α 발현을 감소시키며, 알코올에 의한 간 기능 효소인 ALT, AST, LDH 활성을 억제하는 효과가 우수하였으며, 이러한 효과는 숙취 및 간보호제로 알려진 헛개나무 추출물 처리군보다 더 우수한 활성이 있는 것으로 나타났다.
따라서, 본 발명의 몰로키아 추출물은 알코올에 직접적인 간 손상을 효과적으로 억제하고 간 세포를 보호할 수 있을 뿐만 아니라, 알코올에 의한 장 손상을 개선, 억제 또는 회복시킴으로써 간접적인 간 손상까지 효과적으로 억제하고 보호할 수 있음을 알 수 있었다.
본 발명의 몰로키아 추출물은 알코올에 의한 간 손상 또는 간 독성을 억제, 감소 또는 예방할 수 있으며, 나아가 알코올에 의한 장 손상을 억제, 감소 또는 예방하여 이로 인한 간 손상 또는 간 독성을 억제, 예방할 수 있다.
본 발명의 식품 조성물은 유효성분으로 몰로키아(Corchorus olitorius) 추출물을 포함하여, 알코올성 간 손상을 개선 또는 예방할 수 있다.
본 발명은 몰로키아(Corchorus olitorius) 추출물을 유효성분으로 포함하는 알코올성 간 손상 개선 또는 예방용 식품 조성물에 관한 것이다.
상기 '식품 조성물'은 유효성분으로 몰로키아(Corchorus olitorius) 추출물 이외에, 식품 제조에 통상적으로 사용되는 식품의 기준 및 규격('식품공전')에 기재된 식품으로 사용가능한 식품 원료, 식품첨가물 공전에 기재된 식품첨가물을 포함한다.
특별히 한정할 필요는 없으나 예를 들어 단백질, 탄수화물, 지방, 영양소, 조미제 및 향미제를 포함한다. 상기 탄수화물은 단당류, 예를 들어, 포도당, 과당 등; 이당류, 예를 들어 말토스, 설탕, 유당 등; 올리고당 또는 폴리사카라이드, 예를 들어 덱스트린, 물엿, 사이클로덱스트린 등; 당알코올, 예를 들어 자일리톨, 소르비톨, 에리트리톨 등을 사용할 수 있다. 상기 향미제는 천연 향미제[타우마틴, 스테비아 추출물(예를 들어 레바우디오시드 A, 글리시르히진 등]) 및 합성 향미제(사카린, 아스파르탐 등)를 사용할 수 있다.
상기 몰로키아(Corchorus olitorius) 추출물을 유효성분으로 식품 조성물을 제조하는 경우 몰로키아(Corchorus olitorius) 추출물은 알코올성 간 손상 개선 또는 예방 효능을 나타내는 함량이면 특별히 한정할 필요는 없으나, 예를 들어 0.1 내지 99 중량%, 0.5 내지 95 중량%, 1 내지 90 중량%, 2 내지 80 중량%, 3 내지 70 중량%, 4 내지 60 중량%, 5 내지 50 중량%로 포함될 수 있다.
상기 식품 조성물에서 유효성분인 몰로키아(Corchorus olitorius) 추출물은 섭취자의 상태, 체중, 질병의 유무나 정도 및 기간에 따라 다르지만, 통상의 기술자에 의해 적절하게 선택될 수 있다. 예들 들어 1일 투여량을 기준으로 10 내지 5,000 mg, 바람직하게는 50 내지 2,000 mg, 더욱 바람직하게는 100 내지 1,000 mg, 가장 바람직하게는 100 내지 500 mg일 수 있고, 투여 횟수는 특별히 한정할 필요는 없으나 1일 3회 내지 1주일에 1회의 범위 내에서 통상의 기술자가 조절할 수 있다. 건강 및 위생을 목적으로 하거나 또는 건강 조절을 목적으로 하는 장기간의 섭취의 경우에는 상기 범위 이하일 수 있다.
상기 식품 조성물은 특별히 한정할 필요는 없으나 예를 들어 산제, 과립제, 정제, 캡슐제, 환제, 엑스제, 젤리 제형, 티백 제형 또는 음료 제형일 수 있다.
또한 일반 식품에 알코올성 간 손상의 개선 또는 예방 효능을 부여하기 위하여 상기 몰로키아(Corchorus olitorius) 추출물을 첨가할 수 있으며, 첨가가 가능한 식품은, 특별히 한정할 필요는 없으나 예를 들어 식품위생법 제7조에 따른 식품의 기준 및 규격('식품공전')에 예시된 과자류, 빵 또는 떡류, 코코아가공품류 또는 초콜릿류, 식육 또는 알가공품, 어육가공품, 두부류 또는 묵류, 면류, 다류, 커피, 음료류, 특수용도식품, 장류, 조미식품, 드레싱류, 김치류, 젓갈류, 절임식품, 조림식품, 주류, 건포류, 기타 식품류 등에 첨가될 수 있다. 또한 축산물위생관리법 제4조에 따른 축산물의 가공기준 및 성분규격('축산물공전')에 예시된 유가공품, 식육가공품 및 포장육, 알가공품에 첨가될 수 있다.
한편 상기 몰로키아(Corchorus olitorius) 추출물을 유효성분으로 하는 식품 조성물은 단독으로 "알코올성 간 손상의 개선 또는 예방을 위해 도움을 주는 건강기능식품"으로 이용될 수 있고, 또는 "알코올성 간 손상에 도움을 주는 건강기능식품"으로 이용될 수 있으며, 또는 "알코올성 장 손상에 의한 간 손상의 개선 또는 예방을 위해 도움을 주는 건강기능식품"으로 이용될 수 있으며, 또는 "알코올성 장 손상으로 인해 유도된 간 손상의 개선 또는 예방을 위해 도움을 주는 건강기능식품"으로도 이용될 수 있다.
상기 '건강기능식품'은 인체에 유용한 기능성을 가진 원료나 성분을 사용하여 법적 기준에 따라 제조(가공을 포함)한 식품(건강기능식품에 관한 법률 제3조 제1호)을 말한다. 상기 '건강기능식품'은 국가마다 용어나 범위에 차이가 있을 수 있으나, 미국의 '식이 보충제(Dietary Supplement)', 유럽의 '식품 보충제(Food Supplemnet)', 일본의 '보건기능식품' 또는 '특정보건용식품(Food for Special Health Use, FoSHU)', 중국의 '보건식품' 등에 해당할 수 있다.
상기 식품 조성물 또는 건강기능식품은 식품첨가물을 추가로 포함할 수 있으며, 식품첨가물로서의 적합여부는 다른 규정이 없는 한 '식품첨가물공전'의 총칙 및 일반시험법 등에 따라 해당 품목에 관한 규격 및 기준에 따른다.
또한 상기 건강기능식품에는 상기 몰로키아(Corchorus olitorius) 추출물과 함께 "알코올성 간 손상의 개선 또는 예방을 위해 도움을 주는 건강기능식품"에 사용되는 '기능성 원료'로 고시된 원료 또는 개별인정된 원료로서, 표고버섯균사체추출물, 표고버섯균사체, 복분자추출분말, 유산균발효 다시마 추출물, 도라지 추출물, 유산균 발효 마늘 추출물, 발효울금, 브로콜리 스프라우트 분말, 곰피 추출물, 헛개나무과병 추출 분말, 댕댕이 나무 열매 추출분말, 밀크씨슬 추출물 등의 알코올성 간 손상과 관련된 건강기능식품 소재를 복합하여 사용할 수 있다.
본 발명은 몰로키아(Corchorus olitorius) 추출물을 유효성분으로 포함하는 알코올성 간 손상 개선 또는 예방용 사료 조성물에 관한 것이다.
본 발명은 몰로키아(Corchorus olitorius) 추출물을 유효성분으로 포함하는 알코올성 장 손상 개선 또는 예방용 사료 조성물에 관한 것이다.
상기 '사료 조성물'은 유효성분으로 몰로키아(Corchorus olitorius) 추출물 이외에, 식품의 기준 및 규격('식품공전')에 기재된 식품으로 사용가능한 식품 원료, 식품첨가물 공전에 기재된 식품첨가물을 사용할 수 있고, 식품으로 사용가능한 식품 원료 또는 식품첨가물이 아니더라도 '사료 등의 기준 및 규격' 별표 1의 단미사료의 범위에 해당하는 원료, 별표 2의 보조사료의 범위에 해당하는 원료를 사용할 수 있다.
상기 '사료 조성물'은 '사료 등의 기준 및 규격'에 따른 보조사료 중 추출제일 수 있고, 상기 보조사료를 포함하는 배합사료일 수 있다.
상기 몰로키아(Corchorus olitorius) 추출물을 유효성분으로 사료 조성물을 제조하는 경우 몰로키아(Corchorus olitorius) 추출물은 알코올성 간 손상 개선 또는 예방 효능 또는 알코올성 장 손상 개선 또는 예방 효능을 나타내는 함량이면 특별히 한정할 필요는 없으나, 예를 들어 0.1 내지 99 중량%, 0.5 내지 95 중량%, 1 내지 90 중량%, 2 내지 80 중량%, 3 내지 70 중량%, 4 내지 60 중량%, 5 내지 50 중량%로 포함될 수 있다.
상기 사료 조성물에서 유효성분인 몰로키아(Corchorus olitorius) 추출물은 섭취 동물의 상태, 체중, 질병의 유무나 정도 및 기간에 따라 다르지만, 통상의 기술자에 의해 적절하게 선택될 수 있다. 예들 들어 1일 투여량을 기준으로 10 내지 5,000 mg, 바람직하게는 50 내지 2,000 mg, 더욱 바람직하게는 100 내지 1,000 mg, 더더욱 바람직하게는 100 내지 800 mg, 가장 바람직하게는 100 내지 500 mg일 수 있고, 투여 횟수는 특별히 한정할 필요는 없으나 1일 3회 내지 1주일에 1회의 범위 내에서 통상의 기술자가 조절할 수 있다. 건강 및 위생을 목적으로 하거나 또는 건강 조절을 목적으로 하는 장기간의 섭취의 경우에는 상기 범위 이하일 수 있다.
또한 본 발명은 몰로키아(Corchorus olitorius) 추출물을 유효성분으로 하는 알코올성 장 손상 개선 또는 예방용 식품 조성물에 관한 것이다. 본 발명의 발명자들은 몰로키아(Corchorus olitorius) 추출물의 알코올성 장 손상 개선 또는 예방 효과를 확인하기 위하여, 몰로키아 추출물이 알코올 처리된 실험동물의 장투과성과 내독소 억제 및 회복에 미치는 영향을 조사하였다. 그 결과 본 발명의 몰로키아 추출물은 알코올에 의한 장 손상을 억제하고 회복시키고 있음을 확인할 수 있었다.
또한 본 발명의 몰로키아(Corchorus olitorius) 추출물은 다른 간 보호용 식물들에 비해, 현저히 우수한 장투과성 억제 효과를 가지며, 이는 알코올에 의한 장 손상이 발생되어 혈액 내로 장내 세균에 의한 독소가 유입되는 것을 방지 또는 예방하는 것으로, 넘어서서는 간 손상까지 개선 및 예방하는 효과를 갖는다.
본 발명은 몰로키아(Corchorus olitorius) 추출물을 유효성분으로 포함하는 알코올성 간 손상 예방 또는 치료용 약학 조성물에 관한 것이다. 상기 알코올성 간 손상 예방 또는 치료용 조성물은 알코올성 간 질환의 치료 또는 예방이나 간 보호, 간 기능 개선 및 간 손상 예방을 위해 사용될 수 있다. 또한, 본 발명의 몰로키아 추출물은 알코올성 간 질환 뿐만 아니라 알코올성 장 질환의 치료 또는 예방이나 장 보호, 장 기능 개선 및 장 손상 예방을 위해 사용될 수 있다. 즉 본 발명의 몰로키아 추출물은 단독 투여를 통해 알코올성 간 질환과 알코올성 장 질환에 동시에 작용하는 효과를 갖는다.
본 발명에서 상기 간 질환은 알코올에 의해 유발되는 질환으로, 이에 제한되지는 않으나, 알코올성 지방간, 알코올성 급성 간염, 알코올성 만성 간염, 알코올성 간섬유증, 알코올성 간경변, 알코올성 간암 또는 알코올성 담즙정체성 간질환일 수 있다.
본 발명에서 상기 알코올성 장 질환은 알코올성 장누수 증후군(Leaky Gut Syndrome)일 수 있다.
또한 본 발명은 몰로키아(Corchorus olitorius) 추출물을 유효성분으로 포함하는 알코올성 간 손상 예방 또는 치료용 동물용 약학 조성물에 관한 것이다.
또한 본 발명은 인간, 또는 인간을 제외한 동물에게 상기 조성물을 투여하는 알코올성 간 손상의 치료방법을 제공한다.
또한 본 발명은 알코올성 간 손상 또는 알코올성 간 질환 예방 또는 치료용 의약, 또는 동물용 의약 제조를 위한 몰로키아(Corchorus olitorius) 추출물의 신규 용도를 제공한다.
또한, 본 발명의 몰로키아 추출물은 알코올에 의한 간 손상 뿐만 아니라 알코올에 의한 장 손상까지 예방 또는 치료 효과를 갖는다.
상기 '약학 조성물', '의약', '동물용 약학 조성물' 또는 '동물용 의약'은 유효성분으로 몰로키아(Corchorus olitorius) 추출물 이외에, 약학 조성물 등의 제조에 통상적으로 사용하는 적절한 담체, 부형제 및 희석제를 더 포함할 수 있다.
상기 '담체'는 세포 또는 조직 내로의 화합물의 부가를 용이하게 하는 화합물이다. 상기 '희석제'는 대상 화합물의 생물학적 활성 형태를 안정화시킬 뿐만 아니라, 화합물을 용해시키게 되는 물에서 희석되는 화합물이다.
상기 담체, 부형제 및 희석제로는 특별히 한정할 필요는 없으나 예를 들어, 유당, 포도당, 설탕, 솔비톨, 만니톨, 자일리톨, 에리스리톨, 말티톨, 전분, 아카시아 고무, 알지네이트, 젤라틴, 칼슘 포스페이트, 칼슘 실리케이트, 셀룰로즈, 메틸 셀룰로즈, 미정질 셀룰로스, 폴리비닐 피롤리돈, 물, 메틸히드록시벤조에이트, 프로필히드록시벤조에이트, 탈크, 마그네슘 스테아레이트 및 광물유 등을 들 수 있다.
상기 약학 조성물, 의약, 동물용 약학 조성물 또는 동물용 의약의 사용량은 환자 또는 치료대상 동물의 나이, 성별, 체중에 따라 달라질 수 있으며, 무엇보다도, 치료대상 개체의 상태, 치료 대상 질환의 특정한 카테고리 또는 종류, 투여 경로, 사용되는 치료제의 속성에 의존적일 것이다.
본 발명의 약학 조성물은 경구 또는 비경구로 투여할 수 있고, 비경구 투여인 경우에는 정맥내 주입, 피하 주입, 근육 주입, 복강 주입, 경피 투여 등으로 투여할 수 있으며, 바람직하게는 경구 투여이다.
상기 약학 조성물, 의약, 동물용 약학 조성물 또는 동물용 의약은 체내에서 활성성분의 흡수도, 배설속도, 환자 또는 치료대상 동물의 연령 및 체중, 성별 및 상태, 치료할 질병의 중증정도 등에 따라 적절히 선택되나, 일반적으로 1일 1 내지 1,000 mg/kg, 바람직하게는 10 내지 500 mg/kg, 더욱 바람직하게는 50 내지 300 mg/kg, 가장 바람직하게는 100 내지 300 mg/kg으로 투여하는 것이 바람직하다. 이렇게 제형화 된 단위 투여형 제제는 필요에 따라 일정시간 간격으로 수회 투여할 수 있다.
상기 약학 조성물, 의약, 동물용 약학 조성물 또는 동물용 의약은 개별적으로 예방제 또는 치료제로서 투여하거나 다른 치료제와 병용하여 투여될 수 있고, 종래의 치료제와는 순차적 또는 동시에 투여될 수 있다.
상기 약학 조성물, 의약, 동물용 약학 조성물 또는 동물용 의약은 각각 통상의 방법에 따라 산제, 과립제, 정제, 캡슐제, 트로키제, 현탁액, 에멀젼, 시럽, 에어로졸 등의 경구 제형으로 제형화하여 사용될 수 있다. 제형화할 경우에는 보통 사용하는 충진제, 증량제, 결합제, 습윤제, 붕해제, 계면활성제 등의 희석제 또는 부형제를 사용하여 조제될 수 있다.
경구 투여를 위한 고형 제제에는 정제, 환제, 산제, 과립제, 캡슐제, 트로키제 등이 포함되며, 이러한 고형 제제는 상기 화합물에 적어도 하나 이상의 부형제 예를 들면, 전분, 칼슘 카보네이트, 설탕 또는 유당, 젤라틴 등을 섞어 조제될 수 있다. 또한 단순한 부형제 이외에 마그네슘 스테아레이트, 탈크 같은 윤활제들도 사용될 수 있다. 경구를 위한 액상 제제로는 현탁제, 내용액제, 유제, 시럽제 등이 해당되는데 흔히 사용되는 단순 희석제인 물, 리퀴드 파라핀 이외에 여러 가지 부형제, 예를 들면 습윤제, 감미제, 방향제, 보존제 등이 포함될 수 있다.
상기 알코올성 간 손상 또는 알코올성 간 질환의 치료방법은 인간, 또는 인간을 제외한 동물, 특히 포유동물에게 상기 조성물을 경구 또는 비경구 투여 하는 것으로, 예를 들어 알코올성 간 손상 또는 알코올성 간 질환을 가진 치료대상 개체에게 상기 조성물을 투여하는 것이다.
또한, 본 발명의 몰로키아 추출물은 알코올성 간 질환 뿐만 아니라 알코올성 장 질환의 치료 또는 예방이나 장 보호, 장 기능 개선 및 장 손상 치료를 위해 사용될 수 있다. 즉 본 발명의 몰로키아 추출물은 단독 투여를 통해 알코올성 간 질환과 알코올성 장 질환에 동시에 작용하는 효과를 갖는다.
본 발명의 치료방법에서 몰로키아 추출물을 유효 성분으로 포함하는 조성물은 경구, 직장, 정맥내, 동맥내, 복강내, 근육내, 흉골내, 경피, 국소, 안구내 또는 피내 경로를 통해 통상적인 방식으로 투여할 수 있고, 바람직하게는 경구 투여일 수 있다.
상기 치료를 위한 투여량, 투여 방법 및 투여 횟수는 상기 약학 조성물, 의약, 동물용 약학 조성물 또는 동물용 의약의 투여량, 투여 방법 및 투여 횟수를 참고할 수 있다.
이하, 바람직한 실시예를 들어 본 발명을 더욱 상세하게 설명한다. 그러나 이들 실시예는 본 발명을 보다 구체적으로 설명하기 위한 것으로, 본 발명의 범위가 이에 의하여 제한되지 않는다는 것은 당업계의 통상의 지식을 가진 자에게 자명할 것이다.
실시예 1 및 비교예 1-3 : 몰로키아 부위별 열수 추출물 제조
가공 및 건조된 몰로키아 잎, 줄기, 뿌리를 세척한 후, 건조한 다음 각각 40 내지 100 메쉬(mesh)로 분쇄하였다. 분쇄된 분쇄물의 중량 대비 10 배수의 증류수를 추출기에 넣은 후 원료인 건조된 몰로키아 잎, 줄기, 뿌리 분쇄물을 각각 서서히 투입하였다. 원료 투입이 완료된 후 온도를 80 ℃에서, 3 시간 동안 교반 추출하였다. 이들 여과액을 회전식 진공 증발기(rotary vaccum evaporator)를 사용하여 회전 속도를 60 rpm, 37 ℃에서 용매를 증발시키고, 물을 첨가하여 혼탁시킨 뒤 동결 건조하여 사용하였다.
구분 부위
실시예 1 몰로키아 잎
비교예 1 몰로키아 줄기
비교예 2 몰로키아 뿌리
비교예 3 몰로키아 줄기, 잎
(1:0.5)
비교예 4 몰로키아 줄기, 잎
(1:1)
비교예 5 몰로키아 줄기, 잎
(1:2)
비교예 6 몰로키아 뿌리, 줄기, 잎
(1:1:0.5)
비교예 7 몰로키아 뿌리, 줄기, 잎
(1:1:1)
비교예 8 몰로키아 뿌리, 줄기, 잎
(1:1:2)
실시예 2 : 몰로키아 고분자 분획물(몰로키아 유래 조다당 분획물)
실시예 1로부터 제조된 몰로키아 열수 추출물을 여과한 다음, 회전 진공 증발기(rotary vacuum evaporator)를 이용하여 추출액의 1/10이 되도록 감압농축하고, 감압농축된 열수 추출물의 4배 부피(v/v)의 80% ethanol을 가하여 24시간 침전시켰다. 침전시킨 후 원심분리(6000 rpm, 635Xg, 30분)하여 침전물을 얻었으며 여기에 소량의 증류수를 가하여 침전물을 재용해하고 투석막(MW cut off 12,000, Sigma-Aldrich Co., St. Louis, MO, USA)을 이용하여 2~3일간 투석을 행하여 저분자 물질들을 제거하였으며 72시간 동결건조하여 몰로키아 유래 조다당 분획물(High-molecular fraction)을 얻었다.
비교예 9,10 : 몰로키아 용매별 추출물 제조
실시예 1에서 추출 용매로 증류수가 아닌 70 중량% 에탄올 또는 70 중량% 메탄올을 사용한 것을 제외하고는 모두 실시예 1과 동일하게 제조하였다.
구분 추출 용매 수율
비교예 9 70 중량% 에탄올 3.5%
비교예 10 70 중량% 메탄올 4.2%
<시험예>
시험예 1. 몰로키아 열수 추출물과 몰로키아 유래 조다당 분획물의 수율, 당과 단백질 함량 분석
구성당 분석은 Albersheim 등의 방법을 일부 변형하여 가수분해 후 각 구성당을 알디톨 아세테이트(alditol acetate)와 aldonolactone로 유도체화 하여 GC(Gas Chromatography ACME-6100, Young-Lin Co. Ltd. Anyang, Korea)를 이용하여 분석하였다. 시료를 2 M TFA(trifluroacetic acid) 중에서 121℃, 1.5 hr 반응시켜 가수분해한 후, 1 ㎖의 1 M NH4OH (ammonia solution)에 용해하여 10 ㎎의 NaBH4로 4 시간 동안 환원시켰다. 아세트산(Acetic acid)을 적당량 가하여 잔존 NaBH4를 제거한 후, 메탄올을 가하며 반복 건조함으로써 과량으로 가해진 아세트산을 제거하여 알디톨(alditol)로 전환하였다. 중성당의 구성을 알기 위하여 상기 알디톨(alditol)에 1 ㎖의 아세트산 무수물(acetic anhydride)을 가하여 121℃에서 30 분 동안 반응시켜 알디톨 아세테이트(alditol acetate)로 전환시켰으며 이를 클로로포름/H2O 2상 용매계로 분리하여 추출하고, 추출물은 건조 후 소량의 아세톤에 용해하여 분석용 시료로 사용하였다.
단백질 정량은 Bradford법에 따라 측정하였으며, BSA(Bovine Serum Albumin, sigma aldrich)를 표준품으로 사용하여 1 ㎎/㎖를 최고 농도로 하여 일정배수로 희석하였다. Bradford시약 980 ㎕에 표준품과 시료를 각각 20 ㎕를 가하여 반응시킨 후 microplate reader를 이용하여 595 nm에서 흡광도를 측정하였다. 단백질 정량은 BSA에 대한 양으로 환산하였다.
총당은 페놀황산법(phenol-sulfuric acid)에 따라 측정하였으며, 시료용액 0.5 mL에 동량의 5 % phenol 용액을 첨가하여 교반한 후 진한 황산(98%, v/v) 2.5 mL를 가하여 상온에서 20분간 반응시켜 microplate reader를 이용하여 470 nm에서 흡광도를 측정하였다. 총당의 정량은 glucose 표준품(sigma aldrich)을 사용하여 검량선을 작성하여 이에 대한 양으로 환산하였다.
총 폴리페놀 함량은 gallic acid(sigma aldrich)를 이용하여 Folin Denis법에 따라 분석하였다.
구성당의 경우, 시료의 당사슬을 단당으로 가수분해 한 후 HPAEC-PAD(high-performance anion-exchange chromatography-pulsed amperometric detector)를 사용하였으며, 데이터는 Chromelon 6.80 소프트웨어(Dionex)를 이용하여 분석하였다. 표준용액으로 단당류(fucose, rhamnose, arabinose, galactose, glucose, xylose)를 사용하였다.
실시예 2로부터 제조된 몰로키아 유래 조다당 분획물과 실시예 1의 몰로키아 열수 추출물에 대한 주요성분 함량 등 이화학적 특성을 분석하였고, 그 결과 하기 표 1과 같았다.
비교예 1(WEML) 실시예 1(PML)
Extraction yield (%) 29.98 1.9
Chemical composition (%)
Protein(단백질) 2.8 ± 0.1 3.2 ± 0.7
Neutral sugar(중성당) 67.6 ± 2.0 47.1 ± 1.3
Uronic acid(우론산) 18.8 ± 0.8 44.7 ± 1.3
KDO-liked material(KDO 유사물질) 0.5 ± 0.3 1.4 ± 1.0
polyphenol(폴리페놀) 12.2 ± 0.2 3.6 ± 0.8
Component sugar (PMP) (mole%)
Rhamnose(람노오스) 10.1 ± 0.1 22.4 ± 0.5
Fucose(푸코오스) - 0.3 ± 0.1
Arabinose(아라비노오스) 4.0 ± 0.0 5.3 ± 0.0
Xylose(자일로스) 1.2 ± 0.1 1.2 ± 0.0
Mannose(만노오스) 2.2 ± 0.0 0.3 ± 0.0
Galactose(갈락토오스) 8.5 ± 0.0 11.5 ± 0.2
Glucose(글루코오스) 40.9 ± 0.1 2.1 ± 0.0
Glucuronic acid(글루쿠론산) 9.0 ± 0.1 20.1 ± 0.1
Galacturonic acid(갈락투론산) 10.9 ± 0.0 28.5 ± 0.7
* 상기 chemical component의 함량비(%)는 건조 샘플 내의 중량%를 나타낸 것이다.
* 상기 mole%는 검출된 총 중성당의 양으로부터 계산한 것으로 몰%와 혼용하여 사용하였다.
표 1에 나타난 바와 같이, 실시예 1로부터 제조된 몰로키아 열수 추출물은 수율이 29.98%로 나타났으며, 단백질 함량은 2.8 중량%, 중성당 함량은 67.6 중량%인 것으로 확인되었다. 또한, 실시예 1로부터 제조된 몰로키아 열수 추출물은 중성 다당의 대부분이 글루코오스(40.9 mole%)이고, 나머지는 미량 포함되어 있으며, KDO 유사물질은 아주 미량 존재하고, 푸코오스는 존재하지 않는 것으로 확인되었다.
이에 반해 실시예 2로부터 제조된 몰로키아 유래 조다당 분획물의 추출수율은 1.9%에 불과하나, 단백질 함량은 3.2 중량%이고, 중성당 함량은 47.1 중량%이며, 우론산 함량은 44.7 중량%로 당 함량이 높은 것으로 확인되었다. 실시예 2의 몰로키아 유래 조다당 분획물은 몰로키아 열수 추출물과 달리 중성 다당이 람노오스(22.4 mole%), 글루쿠로닉산(20.1 mole%), 갈락투로닉산(28.5 mole%)에서 가장 높았고, 다음으로 갈락토오스이 11.5 mole% 차지하고 있었으며, 푸코오스, 아라비노오스, 자일로스, 만노오스 및 글루코오스(각각 0.3, 5.3, 1.2, 0.3, 2.1 mole%)가 미량 존재하고 있음을 확인하였다.
실험예 2. 실시예에 따른 간세포 보호능 확인
알코올에 의한 간손상이 유도된 간세포에 대한 몰로키아 추출물의 보호 활성을 MTT 분석법으로 확인하였다. 즉, 본 시험에 사용된 동물 세포주로는 사람 간세포인 HepG2 세포를 사용하였다. 일반적인 세포의 유지를 위해서 90%의 DMEM 배지(Gibco)와 10% FBS(Gibco) 및 항생체(penicillin/strptomycin)가 함유된 배지에서 5% CO2, 37 ℃에서 세포배양을 하였다. 상기 세포주를 3X105 cells/well로 24 well plate에 분주하고, 24시간 후에 각 웰(well)에 알코올 650 mM과 실시예 1, 실시예 2, 비교예 1 내지 5 몰로키아 추출물(200 ㎍/㎖)을 처리하여 24 시간 배양하였다. 배양 후 MTT 용액으로 2 시간동안 반응시키고 용해하였다. 흡광도는 ELISA를 이용하여 570 nm에서 측정하였다.
정상군(Normal)으로는 알코올을 처리하지 않은 간세포의 생존율을 상기와 동일한 방법으로 측정하였고, 대조군(control)으로는 알코올을 처리하여 간손상이 발생한 간세포의 생존율을 상기와 동일한 방법으로 측정하였다.
상기 웰(well)에 알코올을 처리하지 않은 경우의 간세포(Normal)의 생존율을 기준으로 하여 각 경우에 대한 간세포의 생존율을 분석하였고, 그 결과를 표 4에 나타내었다.
구분 세포 생존율(%)
정상군 100%
대조군 65%
실시예 1 98%
실시예 2 101%
비교예 1 75%
비교예 2 58%
비교예 3 64%
비교예 4 61%
비교예 5 63%
비교예 6 59%
비교예 7 60%
비교예 8 60%
비교예 9 77%
비교예 10 75%
표 4에 나타난 바와 같이, 본 발명의 몰로키아 추출물(실시예 1)과 몰로키아 유래 조다당 분획물(실시예 2)을 처리한 경우 고농도 알코올 조건하에서도 간세포 생존율이 90% 이상 유지되는 것을 확인하였다. 이에 반해, 몰로키아 복합 추출물(비교예 1-8)은 50~75% 이상의 간세포 생존율을 나타내었으며, 에탄올과 메탄올로 추출한 비교예 9, 10의 경우에는 대조군과 유사한정도의 간세포 생존율만을 유지하고 있음을 알 수 있다.
실험예 3. 실시예에 따른 간세포 보호능 확인
알코올에 의한 간손상이 유도된 간세포에 대한 몰로키아 추출물의 보호 활성을 MTT 분석법으로 확인하였다. 즉, 본 시험에 사용된 동물 세포주로는 사람 간세포인 HepG2 세포를 사용하였다. 일반적인 세포의 유지를 위해서 90%의 DMEM 배지(Gibco)와 10% FBS(Gibco) 및 항생체(penicillin/strptomycin)가 함유된 배지에서 5% CO2, 37 ℃에서 세포배양을 하였다. 상기 세포주를 3×105 cells/well로 24 well plate에 분주하고, 24시간 후에 각 웰(well)에 알코올 650 mM과 실시예 1 몰로키아 추출물을 다양한 농도(10-500 ㎍/㎖)로 처리하여 24 시간 배양하였다. 배양 후 MTT 용액으로 2 시간동안 반응시키고 용해하였다. 흡광도는 ELISA를 이용하여 570 nm에서 측정하였다.
정상군(Normal)으로는 알코올을 처리하지 않은 간세포의 생존율을 상기와 동일한 방법으로 측정하였고, 대조군(control)으로는 알코올을 처리하여 간손상이 발생한 간세포의 생존율을 상기와 동일한 방법으로 측정하였다.
상기 웰(well)에 알코올을 처리하지 않은 경우의 간세포(Normal)의 생존율을 기준으로 하여 각 경우에 대한 간세포의 생존율을 분석하였고, 그 결과를 도 1에 나타내었다.
세포주를 이용한 실험 결과는 평균±표준편차, in vivo 실험 결과는 평균±표준오차로 나타내었으며 실험군 간의 통계학적 분석은 GraphPad Prism 7 (GraphPad Software, Inc., San Diego, CA)을 이용하여 one-way analysis of variance (ANOVA) 분석을 실시하였으며, 유의차가 있은 항목에 대해서는 Tukey's multiple range test로 p<0.05의 수준에서 통계적 유의성을 검정하였다.
도 1은 본 발명의 몰로키아 추출물의 알코올 독성에 대한 간세포 보호 효과를 확인하기 위하여 고농도 알코올 상태인 간세포에 실시예 1의 몰로키아 추출물을 다양한 농도로 처리한 후, 각각에 대한 생존율을 분석한 그래프이다. ***p < 0.001 vs. Normal, #p < 0.05, ##p < 0.01, and ###p < 0.001 vs. EtOH
도 1에서 확인할 수 있는 바와 같이, 650 mM 고농도의 알코올을 간세포에 처리한 경우의 간세포 생존율을 59.1% 감소시켰는데 반하여, 본 발명의 몰로키아 추출물(실시예 1)을 처리한 경우 농도 의존적으로 알코올에 의해 감소된 간세포 생존율이 증가하였다. 구체적으로 몰로키아 추출물(실시예 1)을 100 ㎍/㎖ 추가하였을 때부터 80% 이상으로 간세포 생존율이 회복됨을 알 수 있다.
실험예 4 : 동물모델에서 몰로키아 추출물의 알코올 노출에 의한 간세포 손상 치료/예방 효과 확인
1) 실험동물 준비
본 발명의 몰로키아 추출물이 알코올에 의해 유도된 간손상에 효과적으로 간세포 보호 및 간손상 개선 효과를 나타내는지 확인하기 위해 실험동물을 이용하여 분석하였다. 실험동물로는 8주령 C57BL/6J 마우스(수컷) 45마리를 샘타코에서 분양받아 사용하였다. 실험동물은 일정한 조건(온도: 21±2 ℃, 습도: 50~60%, 명암: 12시간 주기)하에서 일반 고형사료와 물을 충분히 공급하면서 1주 동안 적응시킨 후 실험에 사용하였다.
먼저, 각 군당 9 마리씩 6 개 군으로 분류하였다. 정상군을 제외한 모든 군은 40%로 희석된 알코올 5 g/kg을 8주간 경구 투여하여 알코올에 의한 간손상을 유발하였다. 알코올을 투여하기 전에 먼저 상기 실시예 1의 몰로키아 추출물은 50 mg/kg 또는 100 mg/kg의 농도, 실시예 2의 몰로키아 유래 조다당 분획물은 50 mg/kg로 마우스용 존데를 이용하여 알코올과 함께 8 주간 경구투여 하였다(시험군 1, 2, 3).
대조군(control)은 상기 마우스에 알코올 5 g/kg만을 8주간 처리한 것을 제외하고는 상기와 동일한 방법으로 시험하였다. 양성대조군(헛개나무군)은 상기 실시예 1의 몰로키아 추출물 대신에 헛개나무(Hovenia dulcis Thunb.; H. dulcis) 열수 추출물 50 mg/kg을 경구 투여한 것을 제외하고는 상기와 동일한 방법으로 시험하였다.
정상군은 상기 마우스에 상기 실시예 1의 몰로키아 추출물 대신에 생리식염수를 경구투여하고, 알코올을 투여하지 않은 것을 제외하고는 상기와 동일한 방법으로 시험하였다. 실험 시작일로부터 1주일 간격으로 체중 및 사료 섭취량을 측정하였고, 그 결과 사료섭취량은 각 군의 큰 변화가 없었으나, 정상군을 제외한 알코올 투여군은 모두 체중이 다소 감소하였다.
그룹 설계 실험동물 수
정상군(Normal) 생리식염수 경구 투여 9
대조군(control) 알코올 4 g/kg 경구 투여 9
양성대조군(H. dulcis-50) 헛개나무(Hovenia dulcis Thunb.) 열수 추출물 50 mg/kg 8주간 경구 투여 + 알코올 4 g/kg 9
실험군 1(Mol-50) 실시예 1 몰로키아 추출물 50 mg/kg 8주간 경구 투여 + 알코올 4 g/kg 9
실험군 2(Mol-100) 실시예 1 몰로키아 추출물 100 mg/kg 8주간 경구 투여 + 알코올 4 g/kg 9
실험군 3(H-Mol-50) 실시예 1 몰로키아 유래 조다당 분획물 50 mg/kg 8주간 경구 투여 + 알코올 4 g/kg 9
2) 장 투과도
각 그룹의 실험동물들로부터 알코올성 지방간 유도 7주 후, 실험동물을 6시간 절식시킨 후, 다음과 같이 장 투과성을 확인하였다. 각 실험동물들로부터 장 투과성을 확인하기 위해 멸균생리식염수에 녹인 FITC-dextran 500 mg/kg body weight을 경구 투여한 후 0, 2, 5시간 뒤에 미정맥 채혈을 진행하였다. 얻어진 혈액을 원심분리(12,000 ×g, 10 min, 4 ℃)하여 상등액을 취하였고 이를 microplate reader기를 이용하여 여기파장(excitation wavelength)은 485 nm, 방출파장(emission wavelength)은 535 nm로 설정하여 흡광도를 측정하였다. 이는 FITC-dextran의 표준 곡선을 이용하여 농도를 산출하였고, 시간대 별 FITC-dextran 농도를 곡선아래면적(AUC, area under the curve)로 나타내었다.
도 2는 정상군, 대조군, 양성대조군, 실험군 1 및 2에서의 FITC-dextran 검출농도를 시간에 따라 측정하여 나타낸 그래프이고, 도 3은 정상군, 대조군, 양성대조군, 실험군 1 및 2에서의 총면적(AUC) FITC-dextran 검출농도를 측정하여 나타낸 그래프이다.
도 2 및 3에 나타난 바와 같이, 알코올이 처리된 대조군(control)의 총면적(AUC)은 4.71 ㎍/L/h이고, 정상군(Normal)의 총면적(AUC)는 3.32 ㎍/L/h로, 알코올성 간 손상에 의해 장 투과성이 유의미하게 증가하였음을 알 수 있다.
양성대조군(H.dulcis-50)과 실험군 1(Mol-50)은 각각 4.519 ㎍/L/h, 4.923 ㎍/L/h로 알코올이 처리된 대조군(control)과 유사한 장투과성을 나타내는 것으로 확인된 바, 헛개 추출물과 미량의 몰로키아 추출물은 알코올에 의한 장 투과에 대해서는 전혀 효과를 나타내지 못함을 알 수 있다.
그러나 실시예 1의 몰로키아 추출물을 100 mg/kg 이상 투여하면, 정상군과 상당히 유사한 수치인 3.514 ㎍/L/h까지 장투과성이 억제 및 감소됨을 알 수 있다. 따라서 본 발명에 따른 몰로키아 추출물을 100 mg/kg이상 투여할 경우, 알코올 및 아세트알데하이드로 인해 장 손상(장투과성 증가에 따른 내독소 증가)을 억제함으로써, 알코올로 인한 간접적인 간 손상을 예방, 개선 및 치료할 수 있음을 알 수 있다.
3) 혈중 내독소 및 혈중 중성지방
각 그룹의 실험동물들로부터 알코올성 지방간 유도 8주 후, 실험동물을 18시간 절식시킨 후, 마취하여 심장에서 혈액을 채취하여 다음과 같이 혈청학적 분석을 실시하였다. 채취한 혈액을 원심분리(3,000 rpm, 15 min, 4 ℃)하여 혈청을 취하였고, 분리한 혈청은 분석전까지 - 70 ℃ 냉동고에 보관하였다.
혈청 내 중성지방(TG), 내독소(Enotoxin)의 함량은 Thermo fisher Waltham, MA, USA) 로부터 kit를 구입하여 측정하였다.
도 4는 정상군, 음성대조군, 양성대조군, 실험군 1, 2 및 3으로부터 내독소 수치를 측정하여 나타낸 그래프이다. 이에 따르면 알코올을 투여한 대조군(control)(9.522 EU/ml)은 정상군(Normal)(7.932 EU/ml)보다 내독소 농도가 증가하였다. 대조군(control)에서 증가한 내독소 농도는 실시예 1의 몰로키아 추출물이 100 mg/kg이상 투여된 경우(실험군 2), 8.316 EU/ml로 유의미하게 감소하였다. 즉 본 발명의 몰로키아 추출물을 100 mg/kg 농도로 투여된 경우, 알코올에 의한 장 손상을 억제 및 회복시켜 박테리아가 장 내에서 혈류로 빠져나가지 못하도록 하여, 내독소 수치를 크게 억제함으로써 간 보호 효과를 달성할 수 있다.
실시예 2의 몰로키아 유래 조다당 분획물의 경우, 실시예 1의 몰로키아 추출물보다 2배 낮은 농도(50 mg/kg)(실험군 3; H-Mol-50)임에도 불구하고 대조군(control)에서 증가한 내독소 농도를 유의미하게 감소하는 것을 확인할 수 있다. 즉 본 발명의 몰로키아 유래 조다당 분획물은 동량의 몰로키아 추출물보다, 알코올에 의한 장 손상을 현저히 억제 및 회복시키므로, 박테리아가 장 내에서 혈류로 빠져나가지 못하도록 하여, 내독소 수치를 유의미하게 현저히 억제함으로써 높은 간 보호 효과를 달성할 수 있다는 것을 알 수 있다.
도 5는 정상군, 음성대조군, 양성대조군, 실험군 1, 2 및 3으로부터 중성지방(TG) 변화를 측정하여 나타낸 그래프이다. 이에 따르면 혈중 TG 수준은 정상군(55.01 ㎎/㎗) 보다 대조군(76.85 ㎎/㎗)이 높은 수치를 보였으며, 양성대조군은 41.97 ㎎/㎗로 나타났다. 대조군과 비교하여 몰로키아 실험군 1, 2는 45.90, 39.67 ㎎/㎗으로 유의적인 차이를 나타내고 있음을 알 수 있다.
실시예 2의 몰로키아 유래 조다당 분획물의 경우, 실시예 1의 몰로키아 추출물보다 2배 낮은 농도(50 mg/kg)(실험군 3; H-Mol-50)임에도 불구하고 대조군과 비교하여 중성지방(TG)의 유의미하게 감소를 확인할 수 있다.
4) 장 건강 관련 단백질 변화
알코올성 지방간 관련 바이오마커의 분석을 위하여 각 군의 간 및 대장 조직은 단백질 분해효소 저해인자(protease inhibitor)가 포함된 세포용해 완충액(lysis buffer)을 첨가한 후, 균질화하여 10,000 ×g로 5 분간 원심 분리하여 상층액을 얻었다. 회수한 상층액은 단백질 정량한 후, 10% SDS-polyacrylamide gel(Bio-Rad, CA, USA)을 사용하여 전기영동 후, PVDF막(Bio-Rad, CA, USA)에 전이(transfer)하였다. 5% skim milk(0.1% Tween 20 containing PBS, PBST) 용액에서 비특이적 결합부위(nonspecific binding site)를 차단(blocking)시킨 뒤, 1차 항체(anti-β-actin, anti-TNF-α, anti-Occludin, anti-Claudin-1, Abcam)로 4 ℃에서 밤새 반응시킨 후, 2차 항체(anti-rabbit IgG or anti-mouse IgG linked with horseradish peroxidase, Cell signaling Technology)로 상온에서 1 시간 배양하였고, streptavidin-horseradish peroxidase와 ChemiDoc XRS device(Bio-Rad, USA)를 이용하여 검출하였다.
도 6은 정상군, 음성대조군, 양성대조군, 실험군 1 및 2로부터 장 건강 관련 단백질의 발현을 측정하여 나타낸 도면이다.
본 발명에서 측정한 Occludin, Claudin-1은 장 투과도와 관련이 있다고 알려진 Tight Junction 단백질이고, TNF-α는 염증과 관련이 있는 단백질이다. 도 6에 나타난 바와 같이 알코올로 인해 간손상/지방간이 발생한 경우에는 Occludin, Claudin-1의 발현이 감소되고, TNF-α의 발현은 증가하는 것을 알 수 있다. 이에 대해 양성대조군은 감소된 Occludin, Claudin-1의 발현을 개선시키지 못하였지만 몰로키아 추출물 100 ㎎/㎏ 군(실험군 2)은 정상군 수준으로 회복시키는 것을 확인하였다.
또한 양성대조군은 TNF-α의 발현 역시 크게 감소시키지 못하였으나, 몰로키아 추출물 100 ㎎/㎏ 군(실험군 2)에서는 TNF-α의 발현이 크게 감소되는 것을 확인하였다.
5) 혈중 간 기능 관련 효소 변화
각 그룹의 실험동물들로부터 알코올성 지방간 유도 8주 후, 실험동물을 18시간 절식시킨 후, 마취하여 심장에서 혈액을 채취하여 다음과 같이 혈청학적 분석을 실시하였다. 채취한 혈액을 원심분리(3,000 rpm, 15 min, 4 ℃)하여 혈청을 취하였고, 분리한 혈청은 분석전까지 - 70 ℃ 냉동고에 보관하였다.
상기 혈청으로부터 아미노전이효소(ALT), 아스파르트산 아미노전이효소(AST) 함량을 Cell Biolabs, Inc(Beverly, MA, USA)로부터 구입한 키트를 사용하여 측정하였으며, LDH 함량은 Abcam(Cambridge, MA, USA)으로부터 구입한 키트를 사용하여 측정하였다.
도 7 내지 9는 정상군, 음성대조군, 양성대조군, 실험군 1, 2 및 3으로부터 혈중 간 기능 관련 효소(ALT, AST, LDH)의 발현을 측정하여 나타낸 도면이다.
도 7에 따르면, 정상군의 ALT 수준은 19.25 U/L이였고, 대조군의 ALT 수준은 34.8 U/L로 높았다. 양성대조군의 ALT 수준은 18.86 U/L인 것으로 확인되었다. 몰로키아 추출물 처리군(실험군 1, 2) 역시 16.00, 17.67 U/L의 ALT 수준으로 정상군과 유사한 수치임을 확인하였다.
도 8에 따르면, 정상군의 AST 혈중농도는 36.29 U/L이고, 대조군의 AST 혈중농도는 68.33 U/L로 증가하였다. 양성대조군의 AST 혈중농도는 42.29 U/L로 나타났으며 몰로키아 추출물 처리군(실험군 1, 2)의 AST 혈중농도는 38.00, 41.00 U/L로 대조군에 비해 유의적으로 감소하였음을 알 수 있다.
도 9에 따르면, 정상군(76.31 U/L)에 비해 대조군(114.5 U/L)에서 매우 증가하는 것을 확인하였다. 양성대조군은 90.03 U/L로 대조군과 유의적인 차이를 나타내지 않았으나, 몰로키아 추출물 처리군(실험군 1, 2)은 77.22, 73.77 U/L로 대조군에 비해 유의적으로 감소하였음을 알 수 있다.
도 7 내지 9에 따르면, 실시예 2의 몰로키아 유래 조다당 분획물의 경우, 실시예 1의 몰로키아 추출물보다 2배 낮은 농도(50 mg/kg)(실험군 3; H-Mol-50)임에도 불구하고, 대조군(control)보다 혈중 간 기능 관련 효소(ALT, AST, LDH)의 발현을 유의미하게 감소시키는 것을 확인할 수 있다. 즉 본 발명의 몰로키아 유래 조다당 분획물은 동량의 몰로키아 추출물보다, 높은 간 보호 효과를 달성할 수 있다는 것을 알 수 있다.
6) 간의 지질대사 관련 단백질 변화
간의 지질대사 관련 단백질 분석을 위하여 각 군의 간 및 대장 조직은 단백질 분해효소 저해인자(protease inhibitor)가 포함된 세포용해 완충액(lysis buffer)을 첨가한 후, 균질화하여 10,000 ×g로 5 분간 원심 분리하여 상층액을 얻었다. 회수한 상층액은 단백질 정량한 후, 10% SDS-polyacrylamide gel(Bio-Rad, CA, USA)을 사용하여 전기영동 후, PVDF막(Bio-Rad, CA, USA)에 전이(transfer)하였다. 5% skim milk(0.1% Tween 20 containing PBS, PBST) 용액에서 비특이적 결합부위(nonspecific binding site)를 차단(blocking)시킨 뒤, 1차 항체(anti-β-actin, anti-SREBP1c anti-SCD1 anti-ACC, anti-FAS, anti-ChREBP, Abcam)로 4 ℃에서 밤새 반응시킨 후, 2차 항체(anti-rabbit IgG or anti-mouse IgG linked with horseradish peroxidase, Cell signaling Technology)로 상온에서 1 시간 배양하였고, streptavidin-horseradish peroxidase와 ChemiDoc XRS device(Bio-Rad, USA)를 이용하여 검출하였다.
도 10은 정상군, 음성대조군, 양성대조군, 실험군 1 및 2로부터 간의 지질대사 관련 단백질(SCD1, ACC, FAS, ChREBP, SREBP1)의 발현을 측정하여 나타낸 도면이다.
도 10에 따르면 알코올성 지방간 모델의 간조직에서 몰로키아 추출물에 의한 지질대사 관련 단백질인 지방산합성효소(fatty acid synthase, FAS), 아세틸조효소A 카르복실라아제(acetyl CoA carboxylase, ACC), stearoyl CoA desaurase(SCD)의 발현을 확인하였다. 지방산 합성에 관여하는 효소인 ACC, FAS, SCD의 발현은 알코올에 의해 간이 손상되면 증가하는 것으로 확인되었다(정상군<대조군).
이에 대해, 몰로키아 추출물 처리군(실험군 1, 2)은 지방산 합성에 관여하는 효소인 ACC, FAS, SCD의 발현을 정상군과 비슷한 수준으로 회복시킴을 확인하였다.
또한, 지방대사를 조절하는 전사인자인 SREBP1c과 지방합성을 촉진하는 단백질인 ChREBP의 변화를 살펴본 결과, 알코올 투여로 인해 SREBP1c와 ChREBP의 발현이 증가한 것을 확인할 수 있었다(정상군<대조군). 몰로키아 추출물 처리군(실험군 1, 2)에서 SREBP1c와 ChREBP의 발현이 정상군 수준으로 회복됨을 확인하였다.
7) 간의 염증 관련 사이토카인 단백질 변화
지방축적에 의한 친염증성 사이토카인인 IL6, TNF-α의 단백질 발현 변화를 관찰하고자 하였다. 간의 지질대사 관련 단백질 분석을 위하여 각 군의 간 및 대장 조직은 단백질 분해효소 저해인자(protease inhibitor)가 포함된 세포용해 완충액(lysis buffer)을 첨가한 후, 균질화하여 10,000 ×g로 5 분간 원심 분리하여 상층액을 얻었다. 회수한 상층액은 단백질 정량한 후, 10% SDS-polyacrylamide gel(Bio-Rad, CA, USA)을 사용하여 전기영동 후, PVDF막(Bio-Rad, CA, USA)에 전이(transfer)하였다. 5% skim milk(0.1% Tween 20 containing PBS, PBST) 용액에서 비특이적 결합부위(nonspecific binding site)를 차단(blocking)시킨 뒤, 1차 항체(anti-β-actin, anti-IL-6, anti-TNF-α, Abcam)로 4 ℃에서 밤새 반응시킨 후, 2차 항체(anti-rabbit IgG or anti-mouse IgG linked with horseradish peroxidase, Cell signaling Technology)로 상온에서 1 시간 배양하였고, streptavidin-horseradish peroxidase와 ChemiDoc XRS device(Bio-Rad, USA)를 이용하여 검출하였다.
도 11은 정상군, 음성대조군, 양성대조군, 실험군 1 및 2로부터 간의 염증 관련 사이토카인 단백질(IL-6, TNF-α)의 발현을 측정하여 나타낸 도면이다.
도 11에 따르면 알코올 투여로 인해 염증인자(IL-6, TNF-α) 발현이 증가한 것을 확인할 수 있었다(정상군<대조군). 몰로키아 추출물 처리군(실험군 1, 2)에서 염증인자(IL-6, TNF-α) 발현이 정상군 수준으로 회복됨을 확인하였다.
아래에 본 발명의 추출물을 포함하는 조성물의 제제예를 설명하나, 본 발명은 이를 한정하고자 함이 아닌 단지 구체적으로 설명하고자 함이다.
제제예 1: 산제의 제조
실시예 1 또는 2의 몰로키아 추출물 분말 20 mg
유당 100 mg
탈크 10 mg
상기의 성분들을 혼합하고 기밀포에 충진하여 산제를 제조한다.
제제예 2: 정제의 제조
실시예 1 또는 2의 몰로키아 추출물 분말 10 mg
옥수수전분 100 mg
유당 100 mg
스테아린산 마그네슘 2 mg
상기의 성분들을 혼합한 후 통상의 정제의 제조방법에 따라서 타정하여 정제를 제조한다.
제제예 3: 캡슐제의 제조
실시예 1 또는 2의 몰로키아 추출물 분말 10 mg
결정성 셀룰로오스 3 mg
락토오스 14.8 mg
마그네슘 스테아레이트 0.2 mg
통상의 캡슐제 제조방법에 따라 상기의 성분을 혼합하고 젤라틴 캡슐에 충전하여 캡슐제를 제조한다.
제제예 4: 과립제의 제조
실시예 1 또는 2의 몰로키아 추출물 분말 1,000 mg
비타민 혼합물 적량
비타민 A 아세테이트 70 ㎍
비타민 E 1.0 mg
비타민 B1 0.13 mg
비타민 B2 0.15 mg
비타민 B6 0.5 mg
비타민 B12 0.2 ㎍
비타민 C 10 mg
비오틴 10 ㎍
니코틴산아미드 1.7 mg
엽산 50 ㎍
판토텐산 칼슘 0.5 mg
무기질 혼합물 적량
황산제1철 1.75 mg
산화아연 0.82 mg
탄산마그네슘 25.3 mg
제1인산칼륨 15 mg
제2인산칼슘 55 mg
구연산칼륨 90 mg
탄산칼슘 100 mg
염화마그네슘 24.8 mg
상기의 비타민 및 미네랄 혼합물의 조성비는 건강기능식품에 적합한 성분을 바람직한 실시예로 혼합 조성하였지만, 그 배합비를 임의로 변형 실시하여도 무방하며, 통상의 건강기능식품 제조방법에 따라 상기의 성분을 혼합한 다음, 과립을 제조하고, 통상의 방법에 따라 건강기능식품 조성물 제조에 사용할 수 있다.
제제예 5: 음료 제형의 제조
실시예 1 또는 2의 몰로키아 추출물 분말 1,000 mg
구연산 1,000 mg
올리고당 100 g
매실농축액 2 g
타우린 1 g
정제수를 가하여 전체 900 mL
통상의 음료 제조방법에 따라 상기의 성분을 혼합한 다음, 약 1 시간 동안 85 ℃에서 교반 가열한 후, 만들어진 용액을 여과하여 멸균된 2 L 용기에 취득하여 밀봉 멸균한 뒤 냉장 보관한 다음 본 발명의 기능성 음료 조성물 제조에 사용한다.
제제예 6: 사료 조성물의 제조
실시예 1 또는 2의 몰로키아 추출물 분말 0.1 kg, 옥수수 25.5 kg, 소맥 15.04 kg, 소맥분 8.15 kg, 미강 7.4 kg, 대두박 18 kg, 옥구르텐 1kg, 닭부산물 14 kg, 동물성유지 9 kg, 가공염 0.3 kg, 인산제삼칼슘 0.3 kg, 석회석 1 kg, 염화콜린 0.01 kg, 비타민 0.05 kg, 미네랄 0.05 kg 및 소화효소제 0.1 kg을 혼합하여 동물(개, 애완견) 사료 조성물을 제조하였다.

Claims (14)

  1. 몰로키아(Corchorus olitorius) 추출물을 유효성분으로 포함하는 알코올성 간 손상 개선 또는 예방용 식품 조성물.
  2. 제1항에 있어서,
    상기 몰로키아(Corchorus olitorius) 추출물은 열수 추출물 또는 몰로키아 유래 다당 분획물인 것을 특징으로 하는 알코올성 간 손상 개선 또는 예방용 식품 조성물.
  3. 제1항에 있어서,
    상기 몰로키아 추출물은 몰로키아 잎에 대한 추출물인 것을 특징으로 하는 알코올성 간 손상 개선 또는 예방용 식품 조성물.
  4. 제2항에 있어서,
    상기 몰로키아 유래 다당 분획물은 전체 다당 분획물 대비 중성 다당(Neutral sugar)은 40 내지 60 중량%, 우론산(uronic acid)은 35 내지 55 중량%, KDO 유사물질(2-keto-3-deoxy-D-manno-octulosonic acid)은 1 내지 10 중량%를 포함하는 것을 특징으로 하는 알코올성 간 손상 개선 또는 예방용 식품 조성물.
  5. 제2항에 있어서,
    상기 몰로키아 유래 다당 분획물은 단백질 0.5 내지 5 중량%를 더 포함하는 것을 특징으로 하는 알코올성 간 손상 개선 또는 예방용 식품 조성물.
  6. 제2항에 있어서,
    상기 몰로키아 유래 다당 분획물은 폴리페놀을 1 내지 10 중량% 더 포함하는 것을 특징으로 하는 알코올성 간 손상 개선 또는 예방용 식품 조성물.
  7. 제2항에 있어서,
    상기 중성 다당은 람노오스, 푸코오스, 아라비노오스, 자일로스, 만노오스, 갈락토오스, 글루코오스, 글루쿠로닉산(glucuronic acid) 및 갈락투로닉산(galacturonic acid)을 포함하는 것을 특징으로 하는 알코올성 간 손상 개선 또는 예방용 식품 조성물.
  8. 제2항에 있어서,
    상기 중성 다당은 15 내지 25 몰%의 람노오스, 0.1 내지 1 몰%의 푸코오스, 1 내지 10 몰%의 아라비노오스, 0.5 내지 5 몰%의 자일로스, 0.1 내지 1 몰%의 만노오스, 10 내지 30 몰%의 갈락토오스, 0.5 내지 5 몰%의 글루코오스, 10 내지 30 몰%의 글루쿠로닉산(glucuronic acid) 및 20 내지 40 몰%의 갈락투로닉산(galacturonic acid)을 포함하는 것을 특징으로 하는 알코올성 간 손상 개선 또는 예방용 식품 조성물.
  9. 제2항에 있어서,
    상기 몰로키아 유래 다당 분획물은 (a) 몰로키아 분말에 추출용매를 혼합하여 70 내지 110 ℃에서 1차 추출하는 단계; (b) 상기 1차 추출된 추출물을 C1 내지 C4의 알코올로 침전시켜 분획물을 회수하는 단계; 및 (c) 상기 분획물에서 분자량이 10 내지 20 kDa 이상의 분획물을 회수하는 단계;를 포함하는 제조방법에 의해 제조된 것을 특징으로 하는 알코올성 간 손상 개선 또는 예방용 식품 조성물.
  10. 제1항 또는 제2항에 있어서,
    상기 식품 조성물은 알코올에 의한 간 손상 개선 또는 예방용 건강기능식품인 것을 특징으로 하는 알코올성 간 손상 개선 또는 예방용 식품 조성물.
  11. 몰로키아(Corchorus olitorius) 추출물을 유효성분으로 포함하는 것을 특징으로 하는 알코올성 간 손상 개선 또는 예방용 사료 조성물.
  12. 몰로키아(Corchorus olitorius) 추출물을 유효성분으로 포함하는 것을 특징으로 하는 알코올성 간 손상 예방 또는 치료용 약학 조성물.
  13. 제12항에 있어서,
    상기 몰로키아(Corchorus olitorius) 추출물은 열수 추출물 또는 몰로키아 유래 다당 분획물인 것을 특징으로 하는 알코올성 간 손상 예방 또는 치료용 약학 조성물.
  14. 제12항에 있어서,
    상기 알코올에 의한 간 손상과 관련된 질환은, 알코올성 지방간, 알코올성 급성 간염, 알코올성 만성 간염, 알코올성 간섬유증, 알코올성 간경변, 알코올성 간암 및 알코올성 담즙정체성 간질환으로 이루어진 군으로부터 선택되는 어느 하나 이상인 것을 특징으로 하는 약학 조성물.
KR1020210064837A 2020-11-17 2021-05-20 몰로키아 추출물을 유효성분으로 포함하는 알코올성 간 손상 개선, 예방 또는 치료용 조성물 Active KR102693765B1 (ko)

Applications Claiming Priority (2)

Application Number Priority Date Filing Date Title
KR20200153830 2020-11-17
KR1020200153830 2020-11-17

Publications (2)

Publication Number Publication Date
KR20220067467A true KR20220067467A (ko) 2022-05-24
KR102693765B1 KR102693765B1 (ko) 2024-08-13

Family

ID=81806181

Family Applications (1)

Application Number Title Priority Date Filing Date
KR1020210064837A Active KR102693765B1 (ko) 2020-11-17 2021-05-20 몰로키아 추출물을 유효성분으로 포함하는 알코올성 간 손상 개선, 예방 또는 치료용 조성물

Country Status (1)

Country Link
KR (1) KR102693765B1 (ko)

Cited By (1)

* Cited by examiner, † Cited by third party
Publication number Priority date Publication date Assignee Title
CN117860678A (zh) * 2024-03-13 2024-04-12 中国农业大学 一种治疗酒精性脂肪肝的药物组合物及其制备方法

Citations (3)

* Cited by examiner, † Cited by third party
Publication number Priority date Publication date Assignee Title
KR101638038B1 (ko) 2014-04-30 2016-07-08 윤권섭 몰로키아가 첨가된 냉면의 제조방법 및 이를 이용한 냉면
WO2020171144A1 (ja) * 2019-02-19 2020-08-27 国立大学法人香川大学 生体内機能成分を含むズイナを植物体の形態で利用する経口組成物
KR20200125154A (ko) * 2019-04-26 2020-11-04 한국식품연구원 몰로키아 추출물을 포함하는 비만 및 대사성질환 개선, 예방 또는 치료용 조성물

Patent Citations (3)

* Cited by examiner, † Cited by third party
Publication number Priority date Publication date Assignee Title
KR101638038B1 (ko) 2014-04-30 2016-07-08 윤권섭 몰로키아가 첨가된 냉면의 제조방법 및 이를 이용한 냉면
WO2020171144A1 (ja) * 2019-02-19 2020-08-27 国立大学法人香川大学 生体内機能成分を含むズイナを植物体の形態で利用する経口組成物
KR20200125154A (ko) * 2019-04-26 2020-11-04 한국식품연구원 몰로키아 추출물을 포함하는 비만 및 대사성질환 개선, 예방 또는 치료용 조성물

Non-Patent Citations (1)

* Cited by examiner, † Cited by third party
Title
Lee et al., Molokhia leaf extract prevents gut inflammation and obesity. Journal of Ethnopharmacology. Volume 257, 15 July 2020 *

Cited By (2)

* Cited by examiner, † Cited by third party
Publication number Priority date Publication date Assignee Title
CN117860678A (zh) * 2024-03-13 2024-04-12 中国农业大学 一种治疗酒精性脂肪肝的药物组合物及其制备方法
CN117860678B (zh) * 2024-03-13 2024-05-28 中国农业大学 一种治疗酒精性脂肪肝的药物组合物及其制备方法

Also Published As

Publication number Publication date
KR102693765B1 (ko) 2024-08-13

Similar Documents

Publication Publication Date Title
KR101464337B1 (ko) 고욤나무 추출물을 유효성분으로 함유하는 항비만용 조성물
KR20200125155A (ko) 무청 추출물을 포함하는 비만 및 대사성질환 개선, 예방 또는 치료용 조성물
JP5568806B2 (ja) 糖尿病または糖尿病合併症予防剤
KR102233749B1 (ko) 몰로키아 추출물을 포함하는 장내 염증 또는 장누수증후군 개선, 예방 또는 치료용 조성물
KR102416786B1 (ko) 고춧잎 추출물을 포함하는 비만 및 대사성질환 개선, 예방 또는 치료용 조성물
KR20150072660A (ko) 잔대 추출물을 포함하는 간 보호용 조성물
JP2006045212A (ja) 特定のキナ酸誘導体を含有する経口用組成物
KR102693765B1 (ko) 몰로키아 추출물을 유효성분으로 포함하는 알코올성 간 손상 개선, 예방 또는 치료용 조성물
KR102411428B1 (ko) 몰로키아 추출물을 포함하는 비만 및 대사성질환 개선, 예방 또는 치료용 조성물
KR101557934B1 (ko) 발효 더덕 추출물 또는 더덕으로부터 분리된 화합물을 포함하는 비만 또는 비만 관련 질환의 예방, 개선 또는 치료용 조성물
KR20180042936A (ko) 치마버섯 분리 균사체 배양액을 유효성분으로 함유하는 숙취해소 및 간질환의 예방 및 치료용 약학조성물
KR102133473B1 (ko) 고구마 줄기를 포함하는 장내 미생물 개선용 조성물
KR102885567B1 (ko) 노니 에탄올 추출물을 유효성분으로 포함하는 알코올성 간 손상 개선, 예방 또는 치료용 조성물
KR20150085215A (ko) 흑마늘 및 천마 추출물을 포함하는 항산화 조성물 및 그 제조 방법
KR20150072659A (ko) 청미래 추출물을 포함하는 간 보호용 조성물
KR102183916B1 (ko) 복합 추출물을 포함하는 이상지질혈증 예방, 개선 또는 치료용 조성물
KR101338532B1 (ko) 해삼 추출물을 포함하는 대장암 예방 또는 치료용 조성물
KR102183915B1 (ko) 복합 추출물을 포함하는 혈행 개선용 조성물
KR20140083493A (ko) 참모자반 추출물 또는 괭생이모자반 추출물을 유효성분으로 함유하는 항비만용 조성물
KR20190036338A (ko) 고들빼기 추출물을 포함하는 간 보호용 조성물
KR102233744B1 (ko) 고춧잎 추출물을 포함하는 장누수증후군 개선, 예방 또는 치료용 조성물
KR20250070935A (ko) 석창포 유래 다당 분획물을 포함하는 비만 또는 대사질환의 예방, 개선 또는 치료용 조성물
KR20220153713A (ko) 몰로키아 유래 다당 분획물을 포함하는 비만 또는 대사질환 개선, 예방 또는 치료용 조성물
KR20230144935A (ko) 치커리 추출물, 늙은 호박 발효물 및 차전자피 분말을 유효성분으로 포함하는 기능성 식품 조성물
KR20250091381A (ko) 인삼싹 착즙액을 유효성분으로 포함하는 면역증강용 조성물

Legal Events

Date Code Title Description
PA0109 Patent application

St.27 status event code: A-0-1-A10-A12-nap-PA0109

PA0201 Request for examination

St.27 status event code: A-1-2-D10-D11-exm-PA0201

PN2301 Change of applicant

St.27 status event code: A-3-3-R10-R13-asn-PN2301

St.27 status event code: A-3-3-R10-R11-asn-PN2301

PG1501 Laying open of application

St.27 status event code: A-1-1-Q10-Q12-nap-PG1501

E902 Notification of reason for refusal
PE0902 Notice of grounds for rejection

St.27 status event code: A-1-2-D10-D21-exm-PE0902

E13-X000 Pre-grant limitation requested

St.27 status event code: A-2-3-E10-E13-lim-X000

P11-X000 Amendment of application requested

St.27 status event code: A-2-2-P10-P11-nap-X000

P13-X000 Application amended

St.27 status event code: A-2-2-P10-P13-nap-X000

R18-X000 Changes to party contact information recorded

St.27 status event code: A-3-3-R10-R18-oth-X000

E701 Decision to grant or registration of patent right
PE0701 Decision of registration

St.27 status event code: A-1-2-D10-D22-exm-PE0701

GRNT Written decision to grant
PR0701 Registration of establishment

St.27 status event code: A-2-4-F10-F11-exm-PR0701

PR1002 Payment of registration fee

St.27 status event code: A-2-2-U10-U11-oth-PR1002

Fee payment year number: 1

PG1601 Publication of registration

St.27 status event code: A-4-4-Q10-Q13-nap-PG1601

P22-X000 Classification modified

St.27 status event code: A-4-4-P10-P22-nap-X000

P22-X000 Classification modified

St.27 status event code: A-4-4-P10-P22-nap-X000